Home
JournalsCollections
For Authors For Reviewers For Editorial Board Members
Article Processing Charges Open Access
Ethics Advertising Policy
Editorial Policy Resource Center
Company Information Contact Us Membership Collaborators Partners
OPEN ACCESS

Immunoglobulin G4-related Autoimmune Hepatitis: Diagnosis and Treatment

  • Fang Wei1,
  • Jiping Zhang2 and
  • Xuan An1,* 
Journal of Clinical and Translational Hepatology   2025

doi: 10.14218/JCTH.2025.00288

Received:

Revised:

Accepted:

Published online:

 Author information

Citation: Wei F, Zhang J, An X. Immunoglobulin G4-related Autoimmune Hepatitis: Diagnosis and Treatment. J Clin Transl Hepatol. Published online: Sep 28, 2025. doi: 10.14218/JCTH.2025.00288.

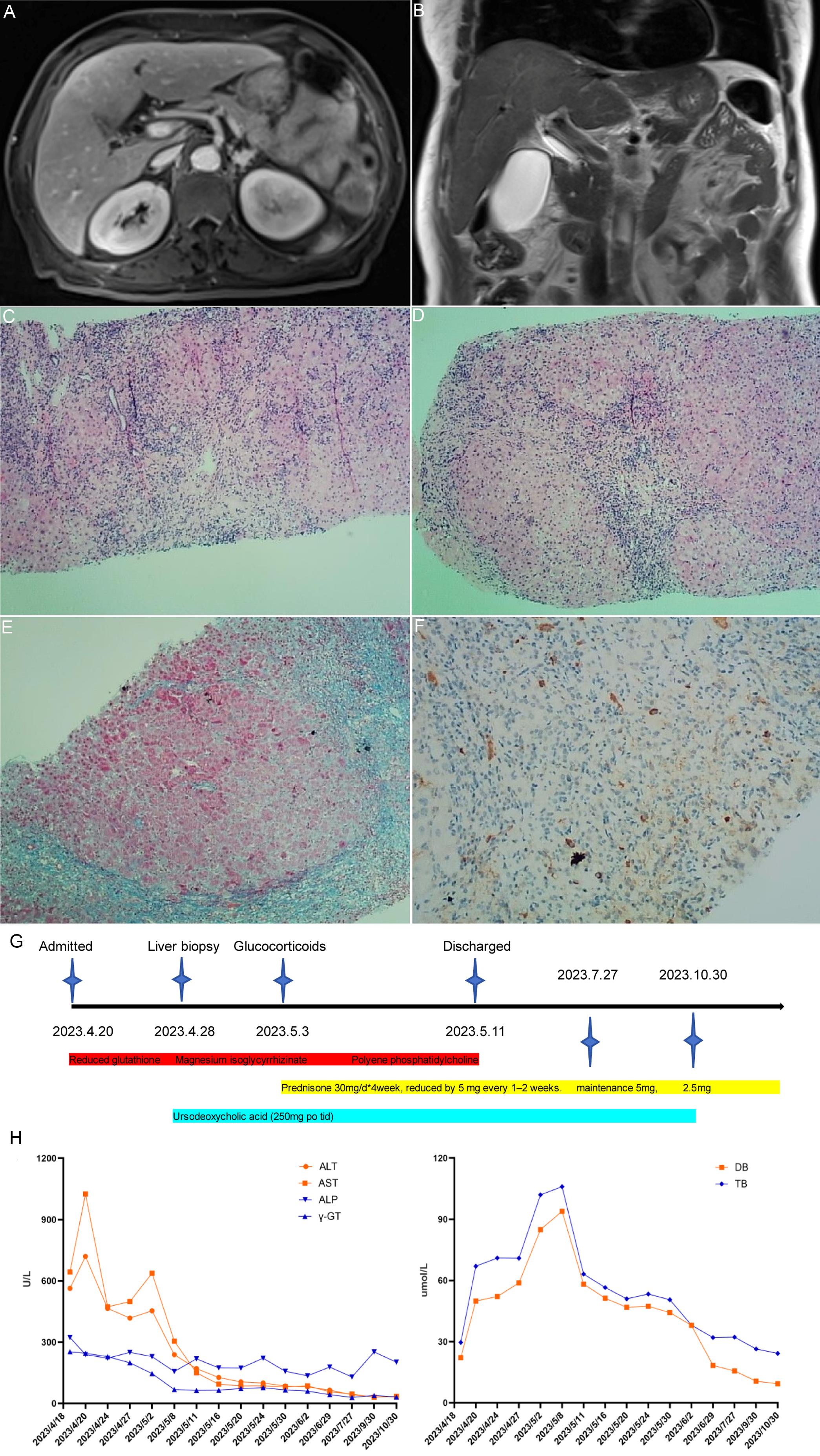
A 78-year-old female patient was admitted to our hospital on April 20, 2023, for further evaluation following the detection of elevated liver transaminases and jaundice during a routine health screening performed on April 18, 2023. Initial biochemical assessment at the local community hospital revealed marked hepatocellular injury, with the following results: alanine aminotransferase (ALT), 563.4 U/L; aspartate aminotransferase (AST), 643.4 U/L; alkaline phosphatase (ALP), 323.0 U/L; gamma-glutamyl transferase (γ-GT), 253.0 U/L; total bilirubin (TB) , 29.6 µmol/L (1.73 mg/dL); and direct bilirubin (DB), 22.1 µmol/L (1.29 mg/dL), all exceeding normal ranges. The patient was asymptomatic, reporting no fatigue, anorexia, nausea, vomiting, or pruritus. She had a 14-year history of type 2 diabetes and a 12-year history of hypertension (maximum blood pressure, 160/100 mmHg). Her current medications included insulin degludec (16 IU subcutaneously twice daily) and oral irbesartan tablets (150 mg once daily), which provided good control of her blood glucose and blood pressure. She had no history of surgery, hepatotoxic drug use, relevant medical conditions, alcohol abuse, or smoking, and no family history of genetic metabolic disease was reported. Physical examination revealed only mild scleral jaundice. Routine blood, urine, and imaging examinations were performed. Biochemical analysis at our hospital on April 20, 2023, revealed significant hepatocyte damage, with values higher than those detected two days earlier: ALT, 719.8 U/L; AST, 1,025.5 U/L; ALP, 239.0 U/L; γ-GT, 245.0 U/L;TB, 67.0 µmol/L (3.91 mg/dL);DB, 49.9 µmol/L (2.91 mg/dL); and R factor (ratio of measured ALT/upper limit of normal ALT to measured ALP/upper limit of normal ALP), 10 (above the threshold of 5). Serum levels of alpha-fetoprotein, carcinoembryonic antigen, cancer antigen 125, carbohydrate antigen 19-9, ceruloplasmin, α1-antitrypsin, and ferritin, as well as thyroid function, lipid profile, and coagulation parameters, were within normal ranges. Urinalysis was positive for bilirubin (2+). Serum immunoglobulin G (IgG) was elevated (27.36 g/L), and autoantibody testing demonstrated positivity for antinuclear antibodies at titers of 1:100 and 1:320 (both with a nuclear homogeneous pattern). Magnetic resonance imaging (MRI) revealed mild dilation of the common bile duct and intrahepatic bile ducts (Fig. 1A and B). FibroScan examination (Model Specification: Fibroscan 530 Compact) yielded a liver stiffness of 38.5 kPa, indicating advanced hepatic fibrosis.

MRI, histopathology, clinical diagnosis-treatment course, and lab parameter dynamic changes of the patient with IgG4-related AIH.
Fig. 1  MRI, histopathology, clinical diagnosis-treatment course, and lab parameter dynamic changes of the patient with IgG4-related AIH.

(A, B) The result of MRI. (C) Severe interfacial inflammation. (D) Bridging fibrosis. (E) Mass staining. (F) Immunostaining for IgG4. (G) The course of clinical diagnosis-treatment. (H) The dynamic changes of ALT, AST, ALP, γ-GT, TB and DB. AIH, autoimmune hepatitis; MRI, Magnetic resonance imaging; ALT, alanine transaminase; AST, aspartate aminotransferase; ALP, alkaline phosphatase; γ-GT, gamma-glutamyl transferase; DB, direct bilirubin; TB, total bilirubin.

Given these findings, autoimmune liver disease, particularly autoimmune hepatitis (AIH), was strongly suspected. The simplified International Autoimmune Hepatitis Group (IAIHG) score was six [i.e., exclusion of viral hepatitis (two points), antinuclear antibody positivity (two points), serum IgG > 1.1 times the upper limit of normal (two points)]. To confirm the diagnosis, an ultrasound-guided liver biopsy was performed on April 28, 2023. Pathology showed severe interface hepatitis, lymphocyte and plasma cell infiltration, rosette-like cells, and the lymphocyte penetration phenomenon (Fig. 1C and D), consistent with severe active inflammation and a tendency toward cirrhosis (modified Scheuer score G4S3–4; Fig. 1E). The simplified IAIHG score increased to eight, confirming definite AIH with cirrhotic tendency. However, the patient’s IgG4 level was significantly elevated (2,074.8 mg/L), and immunohistochemistry revealed more than 10 IgG4-positive plasma cells per high-power field (Fig. 1F). Ultimately, the patient was diagnosed with IgG4-related AIH. Prednisone therapy was initiated on May 3, 2023, for induction of remission, while ursodeoxycholic acid (250 mg orally three times daily) continued (started on April 28, 2023) to facilitate bile excretion. Prednisone was administered at a weight-based dose of 30 mg/day (0.6–0.8 mg/kg) orally for one month, then tapered by 5 mg every one to two weeks according to clinical symptoms, serological indicators, and adverse effects. Maintenance therapy (2.5–5 mg/day) was continued to prevent recurrence (Fig. 1G). After five days, laboratory parameters had improved significantly (Fig. 1H). She was discharged on May 11, 2023, with continued maintenance prednisone therapy. After two years of regular follow-up, the patient’s liver transaminases, jaundice, and fibrosis markers had improved significantly, serum IgG4 normalized, and sustained remission was achieved.

IgG4-related disease is a chronic, multisystemic inflammatory disorder characterized by synchronous or heterogeneous involvement of multiple organs.1 IgG4-related disease affecting the biliary tract is known as IgG4-related sclerosing cholangitis, while liver involvement can result in IgG4-related hepatopathy and AIH.2 The first case of IgG4-related AIH, a rare disease, was reported by Umemura et al.3 in 2007. Currently, widely accepted clinical diagnostic criteria require fulfillment of the simplified IAIHG scoring system for AIH, plasma cell infiltration (>10 per high-power field), especially in the portal area, and serum IgG4 >135 mg/dL.3–5 Our patient met these criteria. Laboratory tests, thoracic computed tomography, and magnetic resonance cholangiopancreatography revealed no involvement of other organs, confirming the diagnosis of IgG4-related AIH rather than systemic IgG4-related disease. However, whether IgG4-related AIH represents a subtype of AIH or a hepatic manifestation of IgG4-related liver disease remains controversial. IgG4-related AIH is distinguished from classical AIH by more prominent infiltration of T cells, B cells, and plasma cells in liver tissue.6 Furthermore, IgG4-positive cells are observed in approximately 30% of classical AIH cases, but serum IgG4 levels remain within the normal range in most cases.7–9 Histological findings from two cases of IgG4-related AIH reported by Umemura et al.10,11 indicate that the disease is characterized by higher incidences of lobular hepatitis, plasma cell infiltration, and rosette formation than AIH unrelated to IgG4. Compared with classical AIH, patients with IgG4-related AIH exhibit more severe inflammation and advanced fibrosis but have comparable prognoses. IgG4-related AIH may therefore represent a phenotype distinct from classical AIH.5 Recent research has suggested subdividing IgG4-related AIH into two types: one with lesions limited to the liver (considered a subtype of AIH) and another with multiorgan involvement (with hepatic damage occurring in the context of systemic IgG4-related disease).8,12 Careful pathological examination may help discriminate between these two forms. In our case, MRI revealed mild dilation of the common bile duct and intrahepatic bile ducts, while liver biopsy showed slight bile duct damage with mild-to-moderate hyperplasia. The potential risk of progression to IgG4-related sclerosing cholangitis in such cases warrants long-term follow-up.

Glucocorticoids are the preferred first-line treatment for active IgG4-related AIH.13 This condition generally responds well to steroid therapy. The presence of numerous IgG4-positive plasma cells in liver tissue is considered a predictive marker of favorable treatment efficacy.6,8 Thus, accurate diagnosis and prompt initiation of treatment are crucial. Although IgG4-related disease is also sensitive to glucocorticoids, relapses often occur during dose reduction or after discontinuation. Some investigators recommend prolonged maintenance therapy (two to three years) to reduce recurrence risk; however, long-term glucocorticoid use carries adverse effects such as infection, osteoporosis, and atherosclerosis. In the present case, the patient’s advanced age, type 2 diabetes, and cirrhotic tendency required careful evaluation of glucocorticoid-related risks and adverse effects during long-term follow-up. No severe adverse reactions were observed. Determining the optimal duration of glucocorticoid maintenance therapy and whether to switch to azathioprine subsequently will require additional clinical data. As more immunocompetent cells and immune-related molecules involved in IgG4-related disease pathogenesis are identified, new molecular therapies targeting B cells, such as anti–cluster of differentiation 19 and 20 antibodies, are yielding favorable results in treatment. Such agents may be considered in refractory cases.

This case report, combined with a literature-based discussion, describes the clinical characteristics of IgG4-related AIH, explores its relationship to classical AIH, and presents outcomes following glucocorticoid therapy. Given the limited number of reported cases, many aspects of IgG4-related AIH, including its pathogenesis, recurrence rate, and treatment efficacy, remain unclear. This study aimed to enhance understanding of the disease, emphasizing the need for accurate diagnosis and treatment through further research and case reporting to refine clinical approaches.

Declarations

Ethical statement

This study was conducted according to the guidelines of the Declaration of Helsinki as revised in 2024. Written informed consent for publication was obtained from the patient, and all potentially identifying details have been fully anonymized.

Data sharing statement

De-identified individual participant data underlying the results reported in this article are available from the corresponding author upon reasonable request for academic purposes. Researchers interested in obtaining the dataset may contacted the corresponding author via email.

Funding

This work is supported by Chongqing Special Project for Technological Innovation and Application Development of Rural Revitalization (GSTB2023TIAD-ZXX0009).

Conflict of interest

The authors have no conflict of interests related to this publication.

Authors’ contributions

Manuscript draft: FW, data curation: FW and XA; technical support and resources: JZ and XA, study concept and design: FW and XA. All authors have approved the final version and all potentially identifying details have been fully anonymized.

References

  1. Culver EL, Chapman RW. IgG4-related hepatobiliary disease: an overview. Nat Rev Gastroenterol Hepatol 2016;13(10):601-612 View Article PubMed/NCBI
  2. Chen JH, Deshpande V. IgG4-related Disease and the Liver. Gastroenterol Clin North Am 2017;46(2):195-216 View Article PubMed/NCBI
  3. Umemura T, Zen Y, Hamano H, Ichijo T, Kawa S, Nakanuma Y, et al. IgG4 associated autoimmune hepatitis: a differential diagnosis for classical autoimmune hepatitis. Gut 2007;56(10):1471-1472 View Article PubMed/NCBI
  4. Hennes EM, Zeniya M, Czaja AJ, Parés A, Dalekos GN, Krawitt EL, et al. Simplified criteria for the diagnosis of autoimmune hepatitis. Hepatology 2008;48(1):169-176 View Article PubMed/NCBI
  5. Arase Y, Matsumoto K, Anzai K, Tsuruya K, Sugiyama S, Yoshihara S, et al. Clinicopathological Features of Autoimmune Hepatitis with IgG4-Positive Plasma Cell Infiltration. Dig Dis 2021;39(3):225-233 View Article PubMed/NCBI
  6. Chung H, Watanabe T, Kudo M, Maenishi O, Wakatsuki Y, Chiba T. Identification and characterization of IgG4-associated autoimmune hepatitis. Liver Int 2010;30(2):222-231 View Article PubMed/NCBI
  7. Nakanuma Y, Ishizu Y, Zen Y, Harada K, Umemura T. Histopathology of IgG4-Related Autoimmune Hepatitis and IgG4-Related Hepatopathy in IgG4-Related Disease. Semin Liver Dis 2016;36(3):229-241 View Article PubMed/NCBI
  8. Minaga K, Watanabe T, Chung H, Kudo M. Autoimmune hepatitis and IgG4-related disease. World J Gastroenterol 2019;25(19):2308-2314 View Article PubMed/NCBI
  9. Tanaka A, Notohara K. Immunoglobulin G4 (IgG4)-related autoimmune hepatitis and IgG4-hepatopathy: A histopathological and clinical perspective. Hepatol Res 2021;51(8):850-859 View Article PubMed/NCBI
  10. Umemura T, Zen Y, Hamano H, Kawa S, Nakanuma Y, Kiyosawa K. Immunoglobin G4-hepatopathy: association of immunoglobin G4-bearing plasma cells in liver with autoimmune pancreatitis. Hepatology 2007;46(2):463-471 View Article PubMed/NCBI
  11. Umemura T, Zen Y, Nakanuma Y, Kiyosawa K. Another cause of autoimmune hepatitis. Hepatology 2010;52(1):389-390 View Article PubMed/NCBI
  12. Arai Y, Yamashita K, Kuriyama K, Shiokawa M, Kodama Y, Sakurai T, et al. Plasmacytoid Dendritic Cell Activation and IFN-α Production Are Prominent Features of Murine Autoimmune Pancreatitis and Human IgG4-Related Autoimmune Pancreatitis. J Immunol 2015;195(7):3033-3044 View Article PubMed/NCBI
  13. Löhr JM, Beuers U, Vujasinovic M, Alvaro D, Frøkjær JB, Buttgereit F, et al. European Guideline on IgG4-related digestive disease - UEG and SGF evidence-based recommendations. United European Gastroenterol J 2020;8(6):637-666 View Article PubMed/NCBI

About this Article

Cite this article
Wei F, Zhang J, An X. Immunoglobulin G4-related Autoimmune Hepatitis: Diagnosis and Treatment. J Clin Transl Hepatol. Published online: Sep 28, 2025. doi: 10.14218/JCTH.2025.00288.
Copy Export to RIS Export to EndNote
Article History
Received Revised Accepted Published
June 16, 2025 August 12, 2025 August 28, 2025 September 28, 2025
DOI http://dx.doi.org/10.14218/JCTH.2025.00288