Home
JournalsCollections
For Authors For Reviewers For Editorial Board Members
Article Processing Charges Open Access
Ethics Advertising Policy
Editorial Policy Resource Center
Company Information Contact Us Membership Collaborators Partners
OPEN ACCESS

The World Health Organization System for Reporting Pancreaticobiliary Cytopathology: Standardized Categories and Practical Approaches to Pancreatic Lesions

  • Minhua Wang1,* ,
  • Maria D. Lozano2 and
  • Guoping Cai1,3
Journal of Clinical and Translational Pathology   2024;4(3):122-135

doi: 10.14218/JCTP.2024.00034

Received:

Accepted:

Published online:

 Author information

Citation: Wang M, Lozano MD, Cai G. The World Health Organization System for Reporting Pancreaticobiliary Cytopathology: Standardized Categories and Practical Approaches to Pancreatic Lesions. J Clin Transl Pathol. 2024;4(3):122-135. doi: 10.14218/JCTP.2024.00034.

Abstract

The World Health Organization System for Reporting Pancreaticobiliary Cytopathology introduces a seven-tier category system to standardize terminology and nomenclature. This system includes the following categories: Insufficient/non-diagnostic, benign/negative for malignancy, atypia, pancreaticobiliary neoplasm low-risk/grade, pancreaticobiliary neoplasm high-risk/grade, suspicious for malignancy, and malignant categories. Adopting a standardized reporting scheme facilitates consistent diagnostic criteria among pathologists, thereby reducing report variability and enhancing communication with the clinical team for optimal patient management. The report also highlights the role of critical ancillary tests in improving diagnostic accuracy for pancreatic lesions and discusses practical approaches to managing solid and cystic pancreatic lesions.

Keywords

Pancreaticobiliary cytology, World Health Organization (WHO) Reporting System, Papanicolaou Society of Cytopathology Reporting System, Low-grade neoplasm, High-grade neoplasm, Risk of malignancy

Introduction

Pancreatic tissue biopsies are less commonly employed than cytology sampling for diagnosing and guiding treatment in patients with pancreaticobiliary lesions. The primary indications for cytological evaluation are pancreatic cysts or masses and bile duct strictures. Endoscopic ultrasound-guided fine-needle aspiration (EUS-FNA) remains the predominant method for assessing pancreatic lesions, whereas endoscopic retrograde cholangiopancreatography (ERCP) with bile duct brushing is preferred for evaluating bile duct strictures.

The World Health Organization introduced the System for Reporting Pancreaticobiliary Cytopathology to standardize terminology and nomenclature. This system features a seven-tier diagnostic category system, which includes the categories: insufficient/non-diagnostic (ND), benign/negative for malignancy (NFM), atypia, pancreaticobiliary neoplasm low-risk/grade (PanN-low), pancreaticobiliary neoplasm high-risk/grade (PanN-high), suspicious for malignancy (SFM), and malignant (MAL). The criteria for each category are detailed in Table 1.1 Before the implementation of this World Health Organization (WHO) Reporting System, the Papanicolaou Society of Cytopathology (PSC) had proposed a six-tier reporting system that included the categories: non-diagnostic, negative, atypical, neoplastic (benign or other), suspicious, and positive.2,3 The major difference between the WHO and PSC reporting systems is that the WHO Reporting System re-categorizes the entities listed as “neoplastic, benign, or other” under the PSC Reporting System. The changes include: 1) the entities categorized as “neoplastic benign” in the PSC Reporting System, such as lymphangioma and serous cystadenoma, are now classified as benign in the WHO Reporting System; 2) certain entities categorized under “neoplasm other” in the PSC Reporting System, such as well-differentiated neuroendocrine tumor and solid-pseudopapillary neoplasm are classified as malignant in the WHO Reporting System; 3) the remaining entities under the category of “neoplastic other” in PSC Reporting System, primarily mucinous lesions are further classified into “neoplastic low-risk/grade” and “neoplastic high-risk/grade” in the WHO Reporting System according to the degree of atypia identified. The diagnostic criteria and entities in each diagnostic category in both WHO and PSC Reporting Systems are summarized in Table 2.1,3,4 This article aims to discuss the WHO system and introduce a practical approach to pancreatic lesions.

Table 1

Diagnostic categories for the World Health Organization System for Reporting Pancreaticobiliary Cytopathology1

Diagnostic categoriesDefinitions
Insufficient/Inadequate/Non-diagnosticFor qualitative and/or quantitative reasons, the specimen does not permit a diagnosis of the targeted lesion
Benign/Negative for malignancySpecimens with cellular changes completely lacking evidence of malignancy
AtypicalSpecimens showing limited cellular (nuclear) and/or architectural atypia
Pancreaticobiliary neoplasm, low-risk/grade (PanN-low)Specimens showing features of neoplastic epithelial cells with low-grade cytologic atypia
Pancreaticobiliary neoplasm, high-risk/grade (PanN-high)Specimens showing features of neoplastic epithelial cells with high-grade cytologic atypia
Suspicious for malignancyA specimen demonstrates some cytopathological features suggestive of malignancy but with features insufficient in either quantity or quality to make an unequivocal diagnosis of malignancy
MalignantA specimen demonstrates unequivocal cytopathological features of malignancy. The malignant (MAL) category includes primary pancreatic neoplasms and metastases.
Table 2

Diagnostic categories of the Papanicolaou Society of Cytopathology System for Reporting Pancreaticobiliary Cytology and the World Health Organization System for Reporting Pancreaticobiliary Cytopathology1,3,4

The Papanicolaou Society of Cytopathology System for Reporting Pancreaticobiliary Cytology
World Health Organization System for Reporting Pancreaticobiliary Cytopathology
Diagnostic CategoryEntitiesDiagnostic CategoryEntities
I. Non-diagnosticPreparation or obscuring artifacts precludes evaluation of the cellular component; Gastrointestinal contamination; Normal pancreatic parenchyma, in the setting of a clearly defined mass by imaging; Acellular aspirate of a solid mass or pancreaticobiliary brushing; Acellular aspirate with no evidence of a mucinous etiology1. Insufficient/inadequate/non-diagnosticThe preparation artefact, including degeneration and stain precipitate, obscuring blood, contaminant gastrointestinal epithelium, or other material; Normal pancreatic tissue in the context of a targeted solid or cystic mass; Acellular fine-needle aspiration biopsy (FNAB) of a solid mass or duct brushing; Acellular FNAB of a cyst without evidence of a mucinous etiology such as thick, colloid-like extracellular mucin or elevated carcinoembryonic antigen (CEA) (>192 ng/mL)
II. Negative for malignancyAcute pancreatitis; Autoimmune pancreatitis; Benign pancreatic parenchyma, if well-defined mass is not identified on imaging; Chronic pancreatitis; Ectopic splenic tissue; Lymphoepithelial cyst; Pseudocyst2. Benign/negative for malignancyAcute pancreatitis; Autoimmune pancreatitis; Benign pancreatic parenchyma, if a well-defined mass is not identified on imaging; Chronic pancreatitis; Ectopic splenic tissue; Lymphoepithelial cyst; Lymphangioma; Pseudocyst; Serous cystadenoma
III. Atypical3. Atypical
IV. Neoplastic: benignLymphangioma; Serous cystadenoma4. Pancreatic; neoplasm-low-risk/gradePancreatic intraepithelial neoplasia, low-grade; Pancreatic intraductal papillary mucinous neoplasm with low-to intermediate-grade dysplasia; Mucinous cystic neoplasm with low-to intermediate-grade dysplasia; Biliary intraepithelial neoplasia, low-grade; Intraductal papillary neoplasm of the bile duct, low-grade; Neoplasm, but a definitive diagnosis cannot be made, including schwannomas, neurofibromas, lipomas, paragangliomas, fibromatosis, haemangiomas, and lymphangiomas
IV. Neoplastic: OtherIntraductal papillary mucinous neoplasm (including all grades of dysplasia); Mucinous cystic neoplasm (including all grades of dysplasia); Neuroendocrine tumor, well-differentiated; Solid-pseudopapillary Neoplasm5. Pancreatic neoplasm-high-risk/gradePancreatic intraepithelial neoplasia, high-grade; Biliary intraepithelial neoplasia, high-grade; Pancreatic intraductal papillary mucinous neoplasm with high-grade dysplasia; Intraductal papillary neoplasm of the bile duct, high-grade; Mucinous cystic neoplasm with high-grade dysplasia; Intraductal oncocytic papillary neoplasm; Intraductal tubulopapillary neoplasm
V. Suspicious for malignancyAtypia falling just short of that necessary for a definitive diagnosis of malignancy; High-grade biliary intraepithelial neoplasia (BilIN)6. Suspicious for malignancyNo proposed change
VI. Positive or malignantAcinar cell carcinoma; Cholangiocarcinoma; Ductal adenocarcinoma; Neuroendocrine carcinoma, poorly differentiated; Pancreatoblastoma; Metastatic malignancy7. Positive (for malignancy)Acinar cell carcinoma; Cholangiocarcinoma; Ductal adenocarcinoma; Neuroendocrine carcinoma; Neuroendocrine tumor (including all grades); Pancreatoblastoma; Pancreatic lymphomas; Solid-pseudopapillary neoplasm; Other: leiomyosarcoma, gastrointestinal stromal tumor; Metastatic malignancy

The reporting system

Insufficient/inadequate/ND

Definition

The insufficient/Inadequate/Non-diagnostic category is defined as one that, for qualitative and/or quantitative reasons, does not permit a diagnosis of the targeted lesion.1

Diagnostic considerations and pitfalls

Currently, there is no consensus on the minimum number of epithelial cells required to determine the adequacy of a sample, especially for pancreatic cystic lesions. The WHO Reporting System advises correlating cytopathological diagnoses with clinical and radiological findings. When imaging reveals a distinct mass or solid lesion, a paucicellular or acellular specimen should not be considered representative and should be diagnosed as insufficient/ND. Similarly, if a specimen contains only benign pancreatic tissue, regardless of cellularity, and fails to account for the observed mass, it should also be categorized as ND.

Conversely, if imaging does not show a clear mass, the specimen can be classified as benign, with a note indicating the potential inadequacy of the specimen to represent the lesion of interest fully. For conditions like a pseudocyst or serous cystadenoma, the presence of scant cellularity, inflammatory cells, and histiocytes in the cytology specimen typically reflects the cyst's nature. Thus, even without detectable epithelial cells, such specimens should be placed in the benign category rather than ND.

In cases where a specimen contains mucin (thick, colloid-like) or shows carcinoembryonic antigen (CEA) levels above 192 ng/mL but is acellular or has sparse epithelial cells, it should not be classified as ND (Fig. 1). Instead, it should be categorized as a mucinous neoplasm, with an added comment that the grading of dysplasia is indeterminate. Paper tissue-like thin mucin is difficult to distinguish from gastrointestinal contamination. The presence of abundant thin mucin may suggest a mucinous cyst.

Mucin.
Fig. 1  Mucin.

(a) Colloid-like mucin, PAP stain, 600×. (b) Thin, paper tissue-like mucin, PAP stain, 200×. (c) Mucin with Hematoxylin and eosin stain, 200×. PAP, Papanicolaou.

Notably, epithelium from the duodenum and stomach frequently contaminates cytology specimens. These cells, particularly stomach foveolar cells, can be mistaken for mucinous epithelial cells from a mucinous neoplasm due to their similar morphology (Fig. 2).5,6 Useful clues to differentiate gastrointestinal contaminants from lesional mucinous epithelial cells include that gastrointestinal contaminants typically display a larger sheet of regular mosaic epithelium, whereas lesional mucinous cells often appear as small clusters or individual cells. Duodenal epithelium can be identified by the presence of scattered Goblet cells. Additionally, conditions such as autoimmune pancreatitis and chronic pancreatitis are likely to yield insufficient material due to extensive fibrosis.

Gastrointestinal contaminant.
Fig. 2  Gastrointestinal contaminant.

(a) Duodenal epithelium with goblet cells, PAP stain, 200×. (b) Gastric epithelium, Diff-Quik, 200×. PAP, Papanicolaou.

The ND category includes the following conditions1:

  • Preparation artefact including degeneration and stain precipitate.

  • Obscuring blood, contaminant gastrointestinal epithelium, or other material

  • Normal pancreatic tissue in the context of a targeted solid or cystic mass

  • Acellular specimen of a solid mass or duct brushing

  • Acellular specimen of a cyst without evidence of a mucinous etiology such as thick, colloid-like extracellular mucin or elevated CEA (>192 ng/mL)

Risk of malignancy (ROM) and clinical management

The reported ROM from this category varies widely, ranging from 5% to 50% based on retrospective and prospective studies.7–13 The ROM of bile duct brushing specimens ranges from 28 to 69%.1 Repeat sampling is usually recommended. Alternatively, a different methodology, such as fine needle and core needle biopsies, may be considered to obtain sufficient material.14,15 Rapid on-site evaluation (ROSE) reduces the ND rate and improves diagnostic performance.16

Benign/NFM

Definition

A specimen defined as “Benign/Negative for malignancy” demonstrates unequivocal benign cytopathological features, which may or may not be diagnostic of a specific process or benign neoplasm.

Diagnostic considerations and pitfalls

As previously stated, when an imaging study identifies a targeted solid mass lesion but the cytology specimen only contains normal pancreatic tissue, it is advisable to classify the specimen as insufficient or ND. However, if the lesion is indistinct, a diagnosis of benign might be appropriate, albeit with a disclaimer. This approach could lead to an increased false-negative rate and ROM for the benign category, potentially impacting patient management decisions. The benign category includes both non-neoplastic lesions and benign neoplasms, such as serous cystadenoma and schwannoma (Table 2).

Notably, lymphoepithelial cysts often exhibit elevated levels of CEA, and degenerated keratin debris can mimic mucin, leading to possible misdiagnosis of a lymphoepithelial cyst as a mucinous neoplasm. FNA for a serous cystadenoma typically yields paucicellular specimens with rare cuboidal epithelial cells, making diagnosis extremely challenging (Fig. 3). A retrospective study revealed that 63% of serous cystadenomas were initially misdiagnosed as benign ductal and acinar cells, pseudocysts, or mucinous cystic neoplasms. Additionally, 27% of serous cystadenomas were categorized as insufficient or ND, underscoring the complexity of accurately diagnosing these lesions.17 Additionally, gastric mucin can be mistaken for mucin from a mucinous neoplasm, further complicating the diagnostic process.

Serous cystadenoma.
Fig. 3  Serous cystadenoma.

(a) Cell block shows non-mucinous, cuboidal epithelial cells, Hematoxylin and eosin stain, 400×. (b) epithelial cells are staining for inhibin, 400×.

Risk of malignancy and clinical management

The ROM of the benign category of the pancreas ranges from 0 to 40%.7–13 The ROM of bile duct brushing is difficult to estimate due to the limited number of studies on this topic, but it may be as high as 30%.18–23 The clinical management typically involves follow-up, and treatment is tailored to the specific disease, such as pancreatitis. In cases where only normal pancreatic tissue is obtained in the presence of a mass lesion, it is essential to notify the clinical team and review imaging study findings to determine the next step. For patients with bile duct stricture, continued surveillance is recommended despite a “NFM” diagnosis.1

Atypical

Definition

A specimen categorized as “Atypical” demonstrates features predominantly seen in benign lesions and minimal features that may raise the possibility of a malignant lesion, but with features insufficient in either quantity or quality to diagnose a process or lesion as “Benign”, “PanN-low”, “PanN-high”, or “Malignant”.

Diagnostic considerations and pitfalls

The diagnostic criteria for the atypical category can vary, leading to a high variability in incidence in practice. Consequently, some cases of low-grade biliary intraepithelial neoplasia and intraductal papillary mucinous neoplasm that should ideally fall under the “PanN-low” may inadvertently be classified as an “Atypical” category. In bile duct brushing, the “atypical” refers to atypia beyond that typically observed in reactive conditions.

Risk of malignancy and clinical management

There is a wide range of ROMs in the atypical category. For pancreatic lesions, the ROM ranges from 28% to 100% using the PSC Reporting system and from 28% to 50% using the WHO Reporting System, based on limited data.4,7–13,24–27 The ROM for the bile duct ranges from 25% to 61%.18–20,22,23 Management typically involves consensus review by multidisciplinary teams, additional molecular testing, and repeat sampling with ROSE.

PanN-low

Definition

A specimen categorized as “PanN-low” has features of an intraductal and/or cystic neoplasm with low-grade epithelial atypia.1

Diagnostic considerations and pitfalls

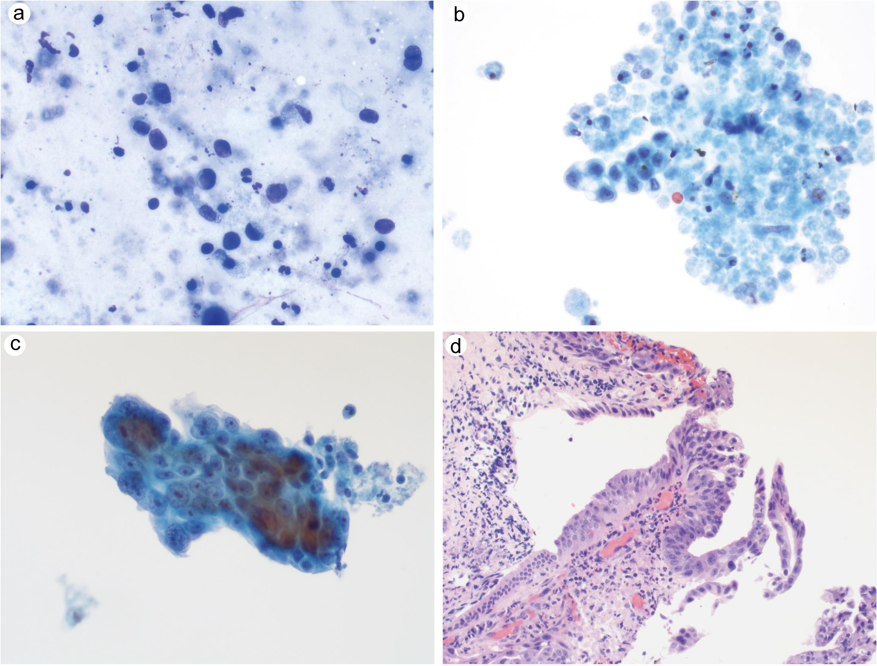
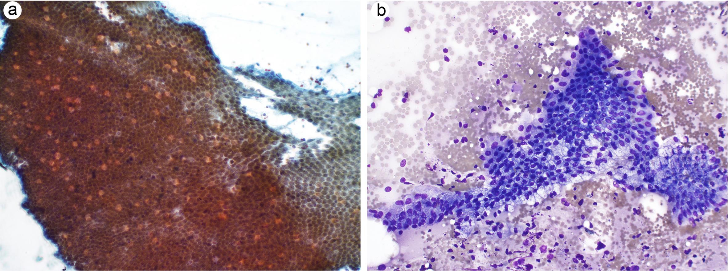
This category, newly introduced in the WHO Reporting System, is designated for intraductal and cystic neoplasms exhibiting low-grade epithelial atypia. It includes some cases formerly classified as “atypical” under the PSC system, as well as lesions previously categorized within the “Neoplastic other” category that display low-grade atypia (Table 2). This category encompasses intraductal papillary mucinous neoplasm (IPMN) (Fig. 4a, b), low-grade biliary intraepithelial neoplasia, and low-grade intraductal papillary neoplasm (Fig. 4c, d).

Pancreaticobiliary neoplasm, low grade.
Fig. 4  Pancreaticobiliary neoplasm, low grade.

Pancreatic intraductal papillary mucinous neoplasm, low-grade: (a) PAP stain, 400×; (b) Hematoxylin and eosin stain, 200×. Intraductal papillary neoplasm of the bile duct, low-grade: (c) Diff-Quik stain, 100×; (d) Hematoxylin and eosin stain, 200×. PAP, Papanicolaou.

Due to the mild nature of the epithelial atypia, a primary differential diagnosis is contamination from gastrointestinal sources. A significant diagnostic challenge arises from gastric foveolar epithelial cells, which can morphologically mimic the mucinous epithelia seen in IPMN or mucinous cystic neoplasm (MCN). To assist in making a more accurate diagnosis, ancillary tests such as CEA, amylase, glucose measurements, and Kirsten rat sarcoma viral oncogene homolog (KRAS) mutation analysis are recommended. These tests provide crucial information that helps differentiate actual neoplastic changes from benign or contaminant cells.

Risk of malignancy and clinical management

Data regarding the ROM for this category is currently limited. Recent studies showed that ROM ranges from 5% to 20%.4,9 Patients with PanN-low lesions are typically managed conservatively and undergo active surveillance. While MCN was previously considered an absolute indication for surgery, recent guidelines suggest a preference for a conservative approach involving surveillance unless high-risk factors are present.28,29

PanN-high

Definition

A specimen categorized as “PanN-high” has features of an intraductal and/or cystic neoplasm with high-grade epithelial atypia.

Diagnostic considerations and pitfalls

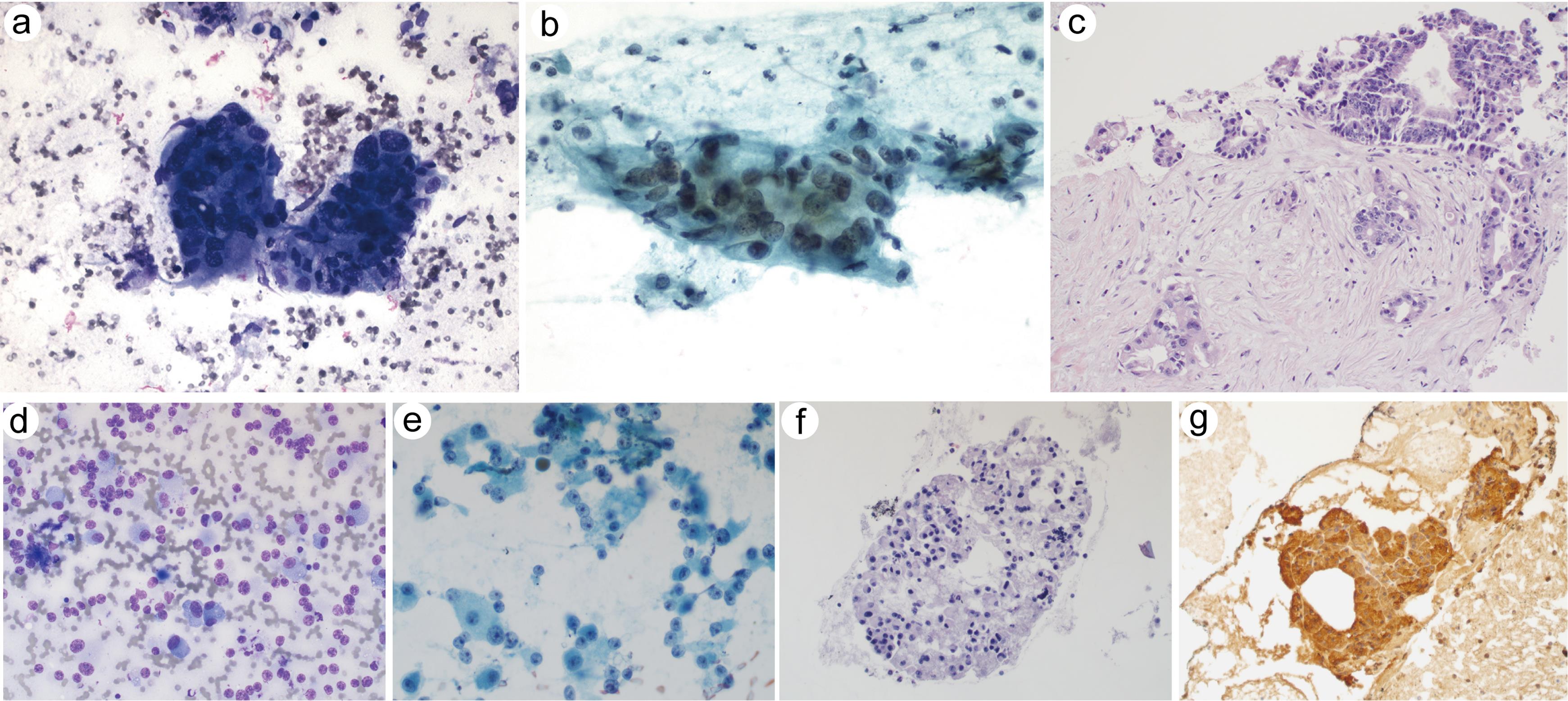
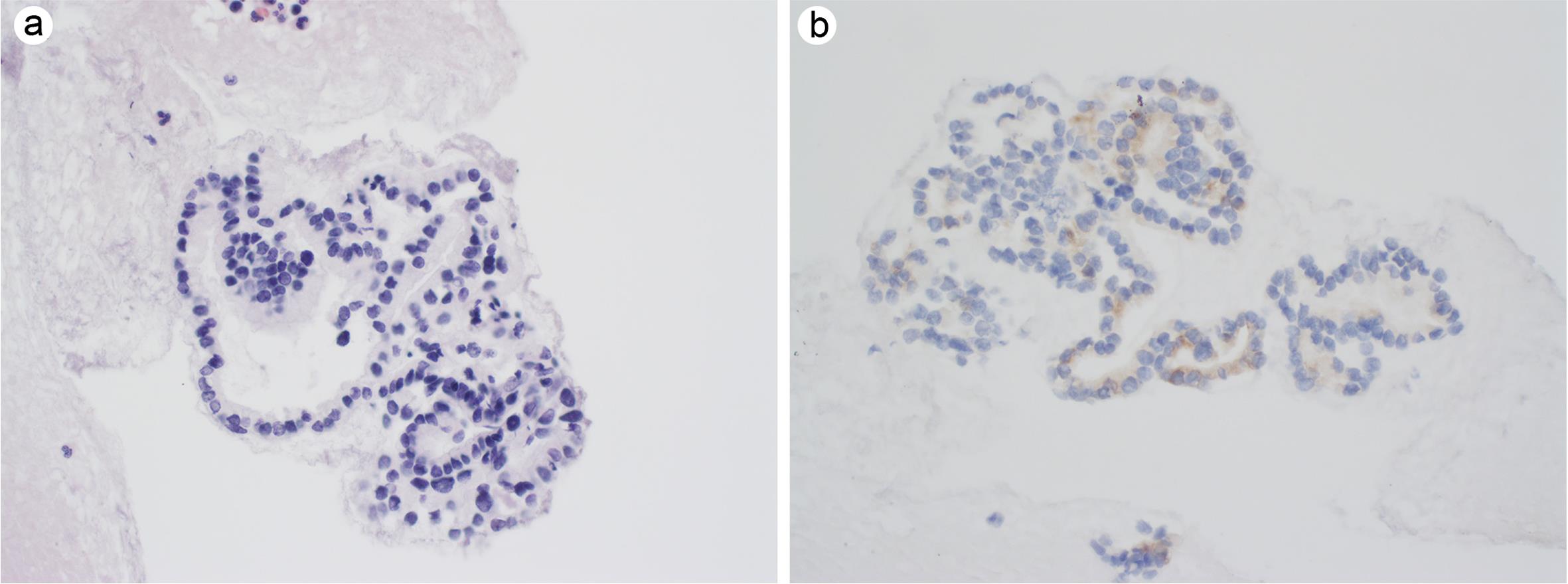
This category has been extracted from the “Neoplastic: other” category of the PSC system.3 In the context of pancreas lesions, it is specifically limited to intraductal and cystic neoplasms exhibiting high-grade epithelial atypia. Additionally, it may encompass some cysts presenting with invasive carcinoma.1 The criteria for high-grade atypia encompass several features: small cell size (typically <12 µm, resembling duodenal enterocytes), elevated nuclear to cytoplasmic ratio, abnormal chromatin (either hypo- or hyperchromatic), and a background of cellular necrosis (Fig. 5a–d).1,3,30 The differential diagnosis involves distinguishing the high-grade features from atypical cyst lining cells observed in benign cystic lesions, neuroendocrine tumors, and intermediate-grade dysplasia. Cytology alone is often insufficient to differentiate between pancreatic intraepithelial/intraductal neoplasia with high-grade dysplasia and pancreatic ductal adenocarcinoma, as well as bile duct neoplasia with high-grade dysplasia and cholangiocarcinoma. This distinction may not be crucial since surgical resection is typically the treatment approach for both adenocarcinomas and neoplasms with high-grade dysplasia.1 Entities such as intraductal oncocytic papillary neoplasm and intraductal tubulopapillary neoplasm are also included in this category (Fig. 6a–f).

Pancreaticobiliary neoplasm, high grade.
Fig. 5  Pancreaticobiliary neoplasm, high grade.

Pancreatic intraductal papillary mucinous neoplasm, high-grade: (a) High-grade epithelial cells show a high nuclear-cytoplasmic ratio. Diff-Quik stain, 400×; (b) Small cluster and necrosis. PAP stain, 600×. Intraductal papillary neoplasm of the bile duct, high-grade: (c) PAP stain, 400×; (d) Hematoxylin and eosin stain, 200×. PAP, Papanicolaou.

Pancreaticobiliary neoplasm, high grade.
Fig. 6  Pancreaticobiliary neoplasm, high grade.

Intraductal oncocytic papillary neoplasm: (a) Diff-Quik stain, 200×; (b) PAP stain, 200×; (c) Hematoxylin and eosin stain, 200×. Intraductal tubulopapillary neoplasm: (d) Diff-Quik stain, 200×; (e) PAP stain, 200×; (f) Hematoxylin and eosin stain, 200×. PAP, Papanicolaou.

Risk of malignancy and clinical management

The ROM for pancreatic neoplasm in this category is 60–90%.4,9 However, there is currently no available data regarding ROM for this category in bile duct brushing specimens. Nevertheless, this category is considered a high-risk test result and warrants surgical intervention.28,31–34

Suspicious for malignancy (SUS)

Definition

A specimen demonstrates some cytopathological features suggestive of malignancy but with features insufficient in either number or quality to make an unequivocal diagnosis of malignancy.1

Diagnostic considerations and pitfalls

The SUS category is employed when a mucinous cyst lesion exhibits high-grade dysplasia coupled with necrosis, particularly if accompanied by high-risk imaging findings. Additionally, this category can be assigned to lesions that cytologically suggest adenocarcinoma, acinic cell carcinoma, or neuroendocrine tumor but where a definitive diagnosis is obstructed by inadequate sample material, poor preservation, or the absence of a distinct mass lesion in imaging studies.

A significant difference between the WHO and the PSC systems is worth noting regarding specimens indicative but not diagnostic of pancreatic neuroendocrine tumors and solid pseudopapillary neoplasm. In the WHO system, these specimens fall under the “SFM” category, whereas in the PSC system, they are typically classified as “Atypical”. Furthermore, when the confirmation of malignancy is impeded by the absence of immunohistochemistry due to limited material, categorizing the SUS category is deemed appropriate.

In bile duct brushing, the SUS category is frequently applied to specimens demonstrating significant architectural and cytological alterations against an inflammatory backdrop, such as those associated with stents, stones, or primary sclerosing cholangitis.

Risk of malignancy and clinical management

The ROM for pancreatic lesions ranges from 80% to 100%.4,7–9 While for bile duct brushing, it ranges from 74% to 100%.12,18–23 The management of the SUS category relies on clinical correlation and ancillary testing results. However, a SUS diagnosis does not necessarily warrant surgical intervention or neoadjuvant treatment.

MAL

Definition

A specimen demonstrates unequivocal cytopathological features of malignancy. The MAL category includes primary pancreatic neoplasms and metastases.

Diagnostic considerations and pitfalls

The most common primary pancreatic malignancies encompass pancreatic ductal adenocarcinoma (Fig. 7a–c), acinar cell carcinoma (Fig. 7d–g), cholangiocarcinoma, non-Hodgkin lymphoma, and pancreatoblastoma. Although rare, spindle cell tumors such as gastrointestinal stromal tumors and sarcoma can also occur. Ancillary testing is crucial in diagnosing these entities (see below). As mentioned in the "Atypical" section, in the WHO Reporting System, well-differentiated neuroendocrine tumor (NET) (Fig. 8a–d) and solid pseudopapillary neoplasm (Fig. 8e, f) are categorized under the MAL category, rather than the "Neoplastic other" category of the PSC Reporting System. A differential diagnosis of metastatic disease should be raised when a specimen shows cytomorphologic features that are not typically seen in primary pancreatic tumors, especially in patients with a prior history of malignancy. Representative metastatic breast, colonic, lung, and renal cell carcinomas in the pancreas are shown in Figure 9.

Primary pancreatic malignant neoplasm.
Fig. 7  Primary pancreatic malignant neoplasm.

Ductal adenocarcinoma: (a) Diff-Quik stain, 200×; (b) PAP stain, 400×; (c) Hematoxylin and eosin stain, 200×. (d-g) Acinar cell carcinoma: (d) Diff-Quik, 200×; (e) PAP stain, 400×; (f) Hematoxylin and eosin stain, 200×; (g) Tumor cells are positive for trypsin stain, 200×. PAP, Papanicolaou.

Primary pancreatic malignant neoplasm.
Fig. 8  Primary pancreatic malignant neoplasm.

Neuroendocrine tumor: (a) Diff-Quik, 200×; (b) PAP stain, 200×; (c) Hematoxylin and eosin stain, 200×; (d) Tumor cells are positive for synaptophysin stain, 100×. (e-f) Solid pseudopapillary neoplasm: (e) Diff-Quik stain, 200×; (f) PAP stain, 400×. PAP, Papanicolaou.

Metastatic carcinoma in pancreas.
Fig. 9  Metastatic carcinoma in pancreas.

Metastatic breast carcinoma: (a) Diff-Quik stain, 400×; (b) PAP stain, 400×; (c) Hematoxylin and eosin stain, 200×; (d) Tumor cells are positive for GATA3, 200×. Metastatic colonic adenocarcinoma: (e) Diff-Quik stain, 400×; (f) PAP stain, 400×. (g, h) Metastatic lung adenocarcinoma: (g) Hematoxylin and eosin stain, 200×; (h) Tumor cells are positive for TTF1, 200×. Metastatic renal cell carcinoma: (i) Diff-Quik stain, 400×; (j) PAP stain, 400×; (k) Hematoxylin and eosin stain, 200×; (l) Tumor cells are positive for PAX8, 200×. GATA3, GATA binding protein 3; PAP, Papanicolaou; PAX8, paired box gene 8; TTF1, thyroid transcription factor 1.

Risk of malignancy and clinical management

Based on the PSC Reporting System, the ROM is 97–100% for pancreatic lesions,4,7,9,24,35,36 and 88–100% for biliary tract brushing.18,20,23,37–42 Surgical resection is the primary management approach for pancreatic neoplasms.43 If the lesion is unresectable or the patient is not a surgical candidate, chemotherapy with or without radiation therapy is typically pursued. Some lesions are operatable after neoadjuvant therapy, providing the patient the opportunity to resect tumors.44–47 Surgical resection is recommended for all functioning PanNETs and localized non-functioning PanNETs.48

Diagnostic approaches and incorporation of ancillary tests

The diagnoses of pancreatic lesions are best determined by a multimodal approach that incorporates clinical information, imaging findings, cytomorphologic features, and ancillary testing results. Pancreatic lesions can be broadly divided into solid mass and cystic lesions. Diagnostic approaches should be tailored according to the nature (solid vs. cystic) of the lesions.

Cystic lesions

Pancreatic cystic lesions encompass a diverse range of pathologies, including inflammatory (pseudocysts), benign (serous cystadenoma), premalignant (mucinous cystic neoplasm and pancreatic intraductal papillary mucinous neoplasm), and malignant (mucinous) lesions.49 Cyst fluid can be used for biochemical study and molecular testing (Table 3).17,49–54 Additionally, immunocytochemistry can be performed in selective cases.

Table 3

Ancillary tests for classifying pancreatic cystic lesions17,49–54

Cyst typeAmylaseCEAGlucoseMolecular testing
Pseudocyst↑↑Wild type
Serous cystadenoma>50CTNNB1 mutation
Lymphoepithelial cystWild type
Mucinous cystic lesion↓↓KRAS mutation (+/−)
  IPMNGNAS mutation (+)
  Mucinous cystic neoplasmGNAS mutation (−)
MarkerDiagnostic findingClinical significance
MucicarminePositiveHelp to identify mucinous epithelium
InhibinPositiveSupport serous cystadenoma
Cyst fluid amylase>1,000 U/LSuggest pseudocyst
Note: Serous cystadenoma usually has low levels of amylase (<1,000 U/L); IPMNs have variable levels
<250 U/LHelp to exclude pseudocyst
Cyst fluid CEA>192 ng/mLSupport mucinous cystic lesion
Note: CEA can be low in mucinous neoplasms; it may be elevated in duplication and lymphoepithelial cysts
<5 ng/mLSuggest serous cystadenoma or pseudocyst.
Cyst fluid glucose<50 mg/dLSupport mucinous cystic lesion
KRAS mutationSupport mucinous cystic lesion
GNAS mutationSupport IPMN

For cystic pancreatic lesions, the primary diagnostic objective involves differentiating mucinous from non-mucinous cysts and, within mucinous cysts, determining whether the lesional epithelial cells exhibit low-grade or high-grade atypia (Fig. 10). The identification of mucin-containing epithelial cells and/or colloid-like thick mucin is indicative of a mucinous cyst. However, such features may not always be present in lesions like IPMNs, which can exhibit various lining epithelial cell types, including gastric-type, intestinal, pancreaticobiliary, or a mixture thereof.

Algorithm for the investigation of pancreatic cystic lesion.
Fig. 10  Algorithm for the investigation of pancreatic cystic lesion.

CEA, carcinoembryonic antigen; GNAS, Guanine Nucleotide binding protein; IPMN, intraductal papillary mucinous neoplasm; KRAS, Kirsten rat sarcoma viral oncogene homolog; MCN, mucinous cystic neoplasms.

These lining epithelial cells can sometimes be difficult to distinguish from gastrointestinal contaminants. In cases where it is challenging to differentiate between lesional cells and gastrointestinal-contaminating epithelium, the cells should be cautiously characterized as “atypia”.50 Notably, a low CEA level does not entirely rule out a mucinous cyst. If neoplastic mucinous epithelium or colloid-like mucin is confirmed, even if CEA levels are not elevated, in the appropriate clinical setting, the lesion should be categorized as a pancreaticobiliary neoplasm. The next step is to identify if there is high-grade dysplasia. Epithelial cells with high-grade dysplasia are typically found in small clusters or single cells. Morphologically, these cells are smaller than a 12-micron duodenal enterocyte, with a high nuclear-to-cytoplasmic ratio and irregular nuclear contour. The presence of a necrotic background is also a valuable feature for identifying high-grade dysplasia, but it is not an accurate indicator for distinguishing it from invasive carcinoma.1,3,50

Biochemical analysis of cyst fluid is the most helpful diagnostic tool. The cyst fluid CEA is a widely used biomarker for distinguishing mucinous from non-mucinous cysts, with a 73% sensitivity and 84% specificity when applying a cutoff value of 192 ng/mL.49 The pitfall is that CEA levels may also be elevated in duplication cyst and lymphoepithelial cysts and, in rare instances, in serous cystadenoma.49,50 Low glucose level in pancreatic cyst fluid has shown high diagnostic utility for differentiating mucinous cystic lesions, with a sensitivity of 91% and specificity ranging from 75% to 86%. The commonly used cutoff for pancreatic cyst fluid glucose is <50 mg/dL. Its high sensitivity makes it a valuable marker for excluding a mucinous cyst.51 Recent studies suggest that the glucose biomarker may outperform CEA in mucinous differentiation.51–53 The glucose biomarker in the current WHO Reporting System has not been introduced as a standard diagnostic tool for pancreatic cystic lesions. Low CEA levels <5 ng/mL suggest serous cystadenoma or pseudocyst.54 Amylase levels of <250 U/L help to exclude a pseudocyst.17,54

Nonetheless, due to the nature of the cyst, the cytology specimen is usually paucicellular, and cyst lining epithelium may not be identified. However, it only comprises histiocytes, inflammatory cells, and debris. In the absence of epithelium, the lesion should be diagnosed as "PanN-low," with a comment disclaiming that the epithelial atypical grading is indeterminate due to the absence of neoplastic epithelium.1 If the CEA level is low, and imaging indicates a simple cyst, the cystic lesion may be diagnosed as a “non-mucinous cyst” and categorized as NFM.

Molecular testing can be performed on cyst fluid or supernatant material to identify gene mutations related to mucinous neoplasms. Identification of KRAS mutations in cyst fluid supports a neoplastic mucinous cyst but cannot differentiate between IPMN and MCN.55GNAS mutation is identified in 47–66% of IPMN but not in MCN.56–58 The combination of KRAS and GNAS mutations has demonstrated a sensitivity of 65% and a specificity of 100% for mucinous differentiation.59 Additionally, a meta-analysis study indicates that the pooled sensitivity, specificity, and diagnostic accuracy of KRAS and GNAS mutations for diagnosing IPMN were 94%, 91%, and 97%, respectively.60 Another study demonstrates that KRAS and GNAS mutation testing does not show a significant difference in accuracy compared to the group using cytology or CEA level. Thus, combining molecular analysis, CEA level, and cytology improves diagnostic accuracy.61 Molecular test might be beneficial when cytology is non-diagnostic, cyst fluid is insufficient for CEA measurement, or its level is indeterminate.61 Detection of KRAS mutations also supports a neoplasm in bile duct brushing specimens. However, the mutation is found in only 30% of biliary intraepithelial neoplasia with high-grade dysplasia and 56% of intraductal papillary neoplasm of the bile duct.62,63 It should be pointed out that these mutations are not necessarily correlated with dysplastic grading.

For non-mucinous cystic lesions, lining epithelial cells may help to determine the specific type of cyst. However, correctly categorizing the cyst is more important than making a definitive diagnosis. Immunohistochemistry on cell block sections is helpful for some entities. Serous cystadenoma lining cells are positive for pan-cytokeratin and alpha-inhibin.50 Notably, 10–15% of PanNETs present as cystic lesions. Therefore, PanNETs should always be included in the differential diagnosis for cystic pancreatic lesions. Additionally, although less common, solid pseudopapillary neoplasms may also appear as cystic lesions in imaging studies. Immunocytochemistry utilizing markers such as chromogranin, synaptophysin, insulinoma-associated protein 1 (INSM1), or beta-catenin can be crucial in accurately diagnosing these rare cystic presentations.

Solid mass lesions

Solid mass lesions in the pancreas can be classified into ductal and non-ductal types. Primary pancreaticobiliary malignancies typically involve ductal adenocarcinoma and cholangiocarcinoma. These specimens usually display high cellularity with tissue fragments containing isolated cells. The tumor cells often exhibit a haphazard architectural arrangement, which can be likened to a “drunken honeycomb” pattern, with irregular nuclear contours and anisonucleosis (a variation in nuclear size exceeding a 4-to-1 ratio within a single epithelial cell group). The nuclei may appear hypochromatic with parachromatin clearing and sometimes transition to hyperchromatic. Mucinous adenocarcinomas are characterized by vacuolated cytoplasm, resulting in a low nuclear-to-cytoplasmic ratio. Additionally, cell blocks may sometimes contain small tissue fragments embedded with single atypical cells or small clusters of atypical glandular cells, which are diagnostic for invasive adenocarcinoma.

Distinguishing chronic pancreatitis is essential. The presence of abnormal p53 staining patterns, including nuclear overexpression and a null phenotype, helps support the diagnosis of adenocarcinoma.64–67 Positivity for mesothelin and loss of nuclear suppressor of mothers against decapentaplegic 4 (SMAD4) expression may also support the diagnosis of malignancy (Table 4).1,65,67

Table 4

Immunocytochemical staining for pancreatic primary tumor and metastatic carcinomas1,65,67

Tumor typeImmunostain
Pancreatic ductal adenocarcinomaPositive for CK7, CK19, and mesothelin; abnormal p53 staining pattern, loss of SMAD4
Pancreatic neuroendocrine tumor (NET)/carcinoma (NEC)Synaptophysin, chromogranin, INSM1, CD56
NET: RB retained, wild-type p53 staining pattern, loss of ATRX (G3)
NEC: loss of Rb1, aberrant p53 staining, ATRX expression retained
Acinar cell carcinomaTrypsin, chymotrypsin, BCL10, focal positivity for synaptophysin, chromogranin, and INSM1
Solid pseudopapillary neoplasmNuclear expression of beta-catenin; positive for CD10, SOX11, LEF1, TFE3, CD99, synaptophysin, and CD56; negative for chromogranin trypsin, BCL10
Breast carcinomaPositive for CK7, GATA3, TRPS1, mammaglobin, GCDFP15, ER, PR
Colon cancerPositive for CK20, CDX2, SATB2; negative for CK7
Lung adenocarcinomaPositive for CK7, TTF1, napsin A; negative for CK20
Renal cell carcinomaPositive for PAX8
Clear cell type: Positive for CAIX (box-like); negative for CK7
Papillary type: positive for CK7
MelanomaPositive for SOX10, S100, melan-A (MART 1), HMB45; negative for cytokeratin

Acinar cell carcinoma, neuroendocrine tumor or carcinoma, and solid pseudopapillary neoplasm can present overlapping cytomorphologic features, often necessitating immunocytochemistry for differentiation (Table 4). Acinar cell carcinoma typically exhibits high cellularity with dense 3D tissue fragments and numerous dispersed single cells. Tumor cells display granular cytoplasm, large nuclei, and prominent nucleoli. The differential diagnosis includes normal pancreatic tissue, neuroendocrine tumors, and solid pseudopapillary neoplasms. Normal pancreatic tissue typically appears more cohesive, with fragments of grape-like clusters and a fibrovascular stroma. It may contain few isolated cells and naked nuclei. Acinar cells exhibit small round nuclei, indistinct nucleoli, and no cytological atypia. Sufficient cell block material for immunohistochemistry is essential for distinguishing it from neuroendocrine tumors and solid pseudopapillary neoplasm. The tumor cells of acinar cell carcinoma are positive for trypsin, chymotrypsin, and B-cell lymphoma/leukemia (BCL10) (Fig. 7d–g). Synaptophysin, chromogranin, and INSM1 can be focally positive in tumor cells.

PanNET typically presents as highly cellular aspirates with loosely cohesive fragments and numerous dispersed individual cells and naked nuclei. Tumor cells are relatively uniform, exhibiting epithelioid and plasmacytoid features, with eccentric nuclei and a characteristic salt-and-pepper chromatin pattern. The cytoplasm is dense and granular, sometimes containing fine lipid droplets, a hallmark of the “lipid-rich” PanNET. Tumor cells typically stain positive for synaptophysin, chromogranin, INSM1, neural cell adhesion molecule 1 (CD56). PanNET should be graded, at least attempted, on cytology specimens, primarily based on the proliferation index, Ki-67, although grading PanNET on cytology material may not be as reliable as on surgical specimens (Table 5).68 PanNET should also be distinguished from PanNEC, small and large cell types, based on the cytomorphologic features, mitotic figures, and/or Ki-67 index. The distinction between G3 PanNET and PanNEC is challenging due to overlapping morphology and Ki-67 proliferation index. G3 PanNETs retain retinoblastoma (RB) nuclear expression and exhibit a wild-type p53 staining pattern.69–71 Approximately 50% of G3 PanNETs may show loss of alpha-thalassemia/mental retardation, X-linked (ATRX) or death domain associated protein (DAXX) expression.72,73 In contrast, loss of expression of RB1 can be seen in most of PanNECs.74,75 About 80–90% of PanNECs show an aberrant p53 staining pattern, while ATRX expression is usually retained.72,76 Therefore, the retained expression of ATRX or RB1 is not particularly helpful. However, loss of RB1 or aberrant p53 staining patterns suggests PanNEC, whereas loss of ATRX expression suggests G3 PanNET. In addition to acinar cell carcinoma and solid pseudopapillary neoplasm, the differential diagnosis of lipid-rich PanNET also includes metastatic renal cell carcinoma and ectopic adrenal cortical tissue.

Table 5

Pancreatic neuroendocrine tumors (PanNETs) and neuroendocrine carcinoma (PanNEC)

Tumor gradeDifferentiationMitotic count/mm2Ki-67 (%)
Neuroendocrine tumor G1Well-differentiated<2/mm2<3
Neuroendocrine tumor G2Well-differentiated2–20/mm23–20
Neuroendocrine tumor G3Well-differentiated>20/mm2>20
Neuroendocrine carcinoma, small cell, and large cell typePoorly differentiated>20/mm2>20

Solid pseudopapillary neoplasm (SPN) is characterized by high cellularity and a distinctive branching papillary architecture, which includes vascular cores lined by neoplastic epithelium. The monomorphic tumor cells typically feature round to oval or bean-shaped nuclei, nuclear grooves, finely granular chromatin, and indistinct cell borders. Notably, single cells may display cytoplasmic tails, and the presence of hyaline globules can be a significant diagnostic aid in identifying SPN. Immunocytochemical staining shows nuclear expression of beta-catenin, CD10, synaptophysin, CD56, pancytokeratin, SRY-box transcription factor 11 (SOX11), lymphoid enhancer binding factor 1 (LEF1), ranscription factor binding to IGHM enhancer 3 (TFE3), and Cluster of differentiation 99 (CD99). Typically, these cells are negative for chromogranin, trypsin, and BCL10.67

Conclusions

A standardized reporting scheme for pancreaticobiliary cytopathology ensures consistent diagnostic criteria among pathologists, reducing variability in pathology reports. This consistency aids in clearer communication with clinicians, enhancing patient management. Biochemical analysis and molecular testing significantly improve the diagnostic accuracy of cystic lesions. Additionally, immunocytochemistry is crucial for distinguishing primary pancreatic non-ductal adenocarcinomas and primary pancreatic carcinomas from metastatic carcinomas.

Declarations

Acknowledgement

None.

Funding

The work was partly supported by an NIH research grant from the National Institutes of Health (P30CA016359).

Conflict of interest

GC is the Editor-in-Chief of the Journal of Clinical and Translational Pathology. The authors have no other conflicts of interest to declare.

Authors’ contributions

Manuscript writing (MW) and critical revision (MW, MDL, GC). All authors have approved the final version and publication of the manuscript.

References

  1. IAC-IARC-WHO Joint Editorial Board. WHO Reporting System for Pancreaticobiliary Cytopathology. 1st edition. Lyon, France: International Agency for Research on Cancer; 2022 View Article PubMed/NCBI
  2. Pitman MB, Centeno BA, Ali SZ, Genevay M, Stelow E, Mino-Kenudson M, et al. Standardized terminology and nomenclature for pancreatobiliary cytology: the Papanicolaou Society of Cytopathology guidelines. Diagn Cytopathol 2014;42(4):338-350 View Article PubMed/NCBI
  3. Pitman MB, Layfield LJ. The Papanicolaou Society of Cytopathology System for Reporting Pancreaticobiliary Cytology: Definitions, Criteria and Explanatory Notes. Cham: Springer; 2015 View Article PubMed/NCBI
  4. Hoda RS, Arpin RN, Rosenbaum MW, Pitman MB. Risk of malignancy associated with diagnostic categories of the proposed World Health Organization International System for Reporting Pancreaticobiliary Cytopathology. Cancer Cytopathol 2022;130(3):195-201 View Article PubMed/NCBI
  5. Collins BT. Serous cystadenoma of the pancreas with endoscopic ultrasound fine needle aspiration biopsy and surgical correlation. Acta Cytol 2013;57(3):241-251 View Article PubMed/NCBI
  6. Lal A, Bourtsos EP, DeFrias DV, Nemcek AA, Nayar R. Microcystic adenoma of the pancreas: clinical, radiologic, and cytologic features. Cancer 2004;102(5):288-294 View Article PubMed/NCBI
  7. Hoda RS, Finer EB, Arpin RN, Rosenbaum M, Pitman MB. Risk of malignancy in the categories of the Papanicolaou Society of Cytopathology system for reporting pancreaticobiliary cytology. J Am Soc Cytopathol 2019;8(3):120-127 View Article PubMed/NCBI
  8. Smith AL, Abdul-Karim FW, Goyal A. Cytologic categorization of pancreatic neoplastic mucinous cysts with an assessment of the risk of malignancy: A retrospective study based on the Papanicolaou Society of Cytopathology guidelines. Cancer Cytopathol 2016;124(4):285-293 View Article PubMed/NCBI
  9. Sung S, Del Portillo A, Gonda TA, Kluger MD, Tiscornia-Wasserman PG. Update on risk stratification in the Papanicolaou Society of Cytopathology System for Reporting Pancreaticobiliary Cytology categories: 3-Year, prospective, single-institution experience. Cancer Cytopathol 2020;128(1):29-35 View Article PubMed/NCBI
  10. Gocun PU, Simsek B, Ekinci O, Ekmen N, Arhan M, Karakan T, et al. Risk of Malignancy Using the Diagnostic Categories Proposed by the World Health Organization International System for Reporting Pancreaticobiliary Cytopathology. Acta Cytol 2022;66(6):475-485 View Article PubMed/NCBI
  11. Ilyas AM, Bohra M, More NM, Naik LP. Papanicolaou society of cytopathology system for reporting pancreaticobiliary cytology: Risk stratification and cytology scope - 2.5-year study. Cytojournal 2022;19:33 View Article PubMed/NCBI
  12. Nikas IP, Proctor T, Seide S, Chatziioannou SS, Reynolds JP, Ntourakis D. Diagnostic Performance of Pancreatic Cytology with the Papanicolaou Society of Cytopathology System: A Systematic Review, before Shifting into the Upcoming WHO International System. Int J Mol Sci 2022;23(3):1650 View Article PubMed/NCBI
  13. Nishith N, Rao RN, Rai P. Cytologic Categorization with Risk Stratification of Endoscopic Ultrasound-Guided Fine Needle Aspiration from Pancreatic Lesions Based on Guidelines of the Papanicolaou Society of Cytopathology: 12-Year Tertiary Care Experience. Discoveries (Craiova) 2021;9(3):e134 View Article PubMed/NCBI
  14. Masuda S, Koizumi K, Shionoya K, Jinushi R, Makazu M, Nishino T, et al. Comprehensive review on endoscopic ultrasound-guided tissue acquisition techniques for solid pancreatic tumor. World J Gastroenterol 2023;29(12):1863-1874 View Article PubMed/NCBI
  15. Caymaz I, Afandiyeva N. Diagnostic Evaluation of Solid Pancreatic Lesions: Endoscopic Ultrasound-Guided Fine Needle Aspiration Versus Percutaneous Ultrasound-Guided Core Needle Biopsy. Cardiovasc Intervent Radiol 2023;46(11):1596-1602 View Article PubMed/NCBI
  16. Milluzzo SM, Olivari N, Rossi G, Bianchi D, Liserre B, Graffeo M, et al. Rapid on-site evaluation improves the sensitivity of endoscopic ultrasound-guided fine needle aspiration (EUS-FNA) for solid pancreatic lesions irrespective of technique: A single-centre experience. Cytopathology 2023;34(4):318-324 View Article PubMed/NCBI
  17. Lilo MT, VandenBussche CJ, Allison DB, Lennon AM, Younes BK, Hruban RH, et al. Serous Cystadenoma of the Pancreas: Potentials and Pitfalls of a Preoperative Cytopathologic Diagnosis. Acta Cytol 2017;61(1):27-33 View Article PubMed/NCBI
  18. Chadwick BE, Layfield LJ, Witt BL, Schmidt RL, Cox RN, Adler DG. Significance of atypia in pancreatic and bile duct brushings: follow-up analysis of the categories atypical and suspicious for malignancy. Diagn Cytopathol 2014;42(4):285-291 View Article PubMed/NCBI
  19. Dudley JC, Zheng Z, McDonald T, Le LP, Dias-Santagata D, Borger D, et al. Next-Generation Sequencing and Fluorescence in Situ Hybridization Have Comparable Performance Characteristics in the Analysis of Pancreaticobiliary Brushings for Malignancy. J Mol Diagn 2016;18(1):124-130 View Article PubMed/NCBI
  20. Layfield LJ, Zhang T, Esebua M. Diagnostic sensitivity and risk of malignancy for bile duct brushings categorized by the Papanicolaou Society of Cytopathology System for reporting pancreaticobiliary cytopathology. Diagn Cytopathol 2022;50(1):24-27 View Article PubMed/NCBI
  21. Poller DN, Schmitt F. Should uncertainty concerning the risk of malignancy be included in diagnostic (nongynecologic) cytopathology reports?. Cancer Cytopathol 2021;129(1):16-21 View Article PubMed/NCBI
  22. Vandervoort J, Soetikno RM, Montes H, Lichtenstein DR, Van Dam J, Ruymann FW, et al. Accuracy and complication rate of brush cytology from bile duct versus pancreatic duct. Gastrointest Endosc 1999;49(3 Pt 1):322-327 View Article PubMed/NCBI
  23. Yeo MK, Kim KH, Lee YM, Lee BS, Choi SY. The usefulness of adding p53 immunocytochemistry to bile drainage cytology for the diagnosis of malignant biliary strictures. Diagn Cytopathol 2017;45(7):592-597 View Article PubMed/NCBI
  24. Chen B, Zhao Y, Gu J, Wu H, Liang Z, Meng Z. Papanicolaou Society of Cytopathology new guidelines have a greater ability of risk stratification for pancreatic endoscopic ultrasound-guided fine-needle aspiration specimens. Oncotarget 2017;8(5):8154-8161 View Article PubMed/NCBI
  25. Gilani SM, Adeniran AJ, Cai G. Endoscopic Ultrasound-Guided Fine Needle Aspiration Cytologic Evaluation of Intraductal Papillary Mucinous Neoplasm and Mucinous Cystic Neoplasms of Pancreas. Am J Clin Pathol 2020;154(4):559-570 View Article PubMed/NCBI
  26. Trisolini E, Armellini E, Paganotti A, Veggiani C, Bozzola C, Frattini M, et al. KRAS mutation testing on all non-malignant diagnosis of pancreatic endoscopic ultrasound-guided fine-needle aspiration biopsies improves diagnostic accuracy. Pathology 2017;49(4):379-386 View Article PubMed/NCBI
  27. Wright PK, Shelton DA, Holbrook MR, Thiryayi SA, Narine N, Slater D, et al. Outcomes of endoscopic ultrasound-guided pancreatic FNAC diagnosis for solid and cystic lesions at Manchester Royal Infirmary based upon the Papanicolaou Society of Cytopathology pancreaticobiliary terminology classification scheme. Cytopathology 2018;29(1):71-79 View Article PubMed/NCBI
  28. Elta GH, Enestvedt BK, Sauer BG, Lennon AM. ACG Clinical Guideline: Diagnosis and Management of Pancreatic Cysts. Am J Gastroenterol 2018;113(4):464-479 View Article PubMed/NCBI
  29. Scourtas A, Dudley JC, Brugge WR, Kadayifci A, Mino-Kenudson M, Pitman MB. Preoperative characteristics and cytological features of 136 histologically confirmed pancreatic mucinous cystic neoplasms. Cancer Cytopathol 2017;125(3):169-177 View Article PubMed/NCBI
  30. Pitman MB, Centeno BA, Daglilar ES, Brugge WR, Mino-Kenudson M. Cytological criteria of high-grade epithelial atypia in the cyst fluid of pancreatic intraductal papillary mucinous neoplasms. Cancer Cytopathol 2014;122(1):40-47 View Article PubMed/NCBI
  31. European Study Group on Cystic Tumours of the Pancreas. European evidence-based guidelines on pancreatic cystic neoplasms. Gut 2018;67(5):789-804 View Article PubMed/NCBI
  32. Megibow AJ, Baker ME, Morgan DE, Kamel IR, Sahani DV, Newman E, et al. Management of Incidental Pancreatic Cysts: A White Paper of the ACR Incidental Findings Committee. J Am Coll Radiol 2017;14(7):911-923 View Article PubMed/NCBI
  33. Tanaka M, Fernández-Del Castillo C, Kamisawa T, Jang JY, Levy P, Ohtsuka T, et al. Revisions of international consensus Fukuoka guidelines for the management of IPMN of the pancreas. Pancreatology 2017;17(5):738-753 View Article PubMed/NCBI
  34. Vege SS, Ziring B, Jain R, Moayyedi P, Clinical Guidelines Committee, American Gastroenterology Association. View Article PubMed/NCBI
  35. Layfield LJ, Dodd L, Factor R, Schmidt RL. Malignancy risk associated with diagnostic categories defined by the Papanicolaou Society of Cytopathology pancreaticobiliary guidelines. Cancer Cytopathol 2014;122(6):420-427 View Article PubMed/NCBI
  36. Bergeron JP, Perry KD, Houser PM, Yang J. Endoscopic ultrasound-guided pancreatic fine-needle aspiration: potential pitfalls in one institution's experience of 1212 procedures. Cancer Cytopathol 2015;123(2):98-107 View Article PubMed/NCBI
  37. Volmar KE, Vollmer RT, Routbort MJ, Creager AJ. Pancreatic and bile duct brushing cytology in 1000 cases: review of findings and comparison of preparation methods. Cancer 2006;108(4):231-238 View Article PubMed/NCBI
  38. Pereira P, Morais R, Vilas-Boas F, Rodrigues-Pinto E, Lopes J, Carneiro F, et al. Brush Cytology Performance for the Assessment of Biliopancreatic Strictures. Acta Cytol 2020;64(4):344-351 View Article PubMed/NCBI
  39. Mehmood S, Loya A, Yusuf MA. Biliary Brush Cytology Revisited. Acta Cytol 2016;60(2):167-172 View Article PubMed/NCBI
  40. Logrono R, Kurtycz DF, Molina CP, Trivedi VA, Wong JY, Block KP. Analysis of false-negative diagnoses on endoscopic brush cytology of biliary and pancreatic duct strictures: the experience at 2 university hospitals. Arch Pathol Lab Med 2000;124(3):387-392 View Article PubMed/NCBI
  41. Govil H, Reddy V, Kluskens L, Treaba D, Massarani-Wafai R, Selvaggi S, et al. Brush cytology of the biliary tract: retrospective study of 278 cases with histopathologic correlation. Diagn Cytopathol 2002;26(5):273-277 View Article PubMed/NCBI
  42. Geramizadeh B, Moughali M, Shahim-Aein A, Memari S, Ghetmiri Z, Taghavi A, et al. False negative and false positive rates in common bile duct brushing cytology, a single center experience. Gastroenterol Hepatol Bed Bench 2018;11(4):296-300 View Article PubMed/NCBI
  43. McGuigan A, Kelly P, Turkington RC, Jones C, Coleman HG, McCain RS. Pancreatic cancer: A review of clinical diagnosis, epidemiology, treatment and outcomes. World J Gastroenterol 2018;24(43):4846-4861 View Article PubMed/NCBI
  44. Mirkin KA, Hollenbeak CS, Wong J. Survival impact of neoadjuvant therapy in resected pancreatic cancer: A Prospective Cohort Study involving 18,332 patients from the National Cancer Data Base. Int J Surg 2016;34:96-102 View Article PubMed/NCBI
  45. Shubert CR, Bergquist JR, Groeschl RT, Habermann EB, Wilson PM, Truty MJ, et al. Overall survival is increased among stage III pancreatic adenocarcinoma patients receiving neoadjuvant chemotherapy compared to surgery first and adjuvant chemotherapy: An intention to treat analysis of the National Cancer Database. Surgery 2016;160(4):1080-1096 View Article PubMed/NCBI
  46. Katz MH, Wang H, Balachandran A, Bhosale P, Crane CH, Wang X, et al. Effect of neoadjuvant chemoradiation and surgical technique on recurrence of localized pancreatic cancer. J Gastrointest Surg 2012;16(1):68-78 View Article PubMed/NCBI
  47. Pingpank JF, Hoffman JP, Ross EA, Cooper HS, Meropol NJ, Freedman G, et al. Effect of preoperative chemoradiotherapy on surgical margin status of resected adenocarcinoma of the head of the pancreas. J Gastrointest Surg 2001;5(2):121-130 View Article PubMed/NCBI
  48. Shah MH, Goldner WS, Halfdanarson TR, Bergsland E, Berlin JD, Halperin D, et al. NCCN Guidelines Insights: Neuroendocrine and Adrenal Tumors, Version 2.2018. J Natl Compr Canc Netw 2018;16(6):693-702 View Article PubMed/NCBI
  49. Brugge WR, Lewandrowski K, Lee-Lewandrowski E, Centeno BA, Szydlo T, Regan S, et al. Diagnosis of pancreatic cystic neoplasms: a report of the cooperative pancreatic cyst study. Gastroenterology 2004;126(5):1330-1336 View Article PubMed/NCBI
  50. Jhala N, Jhala D. Approach to FNA of Pancreatic Cysts. Adv Anat Pathol 2022;29(6):349-357 View Article PubMed/NCBI
  51. Rossi G, Petrone MC, Tacelli M, Zaccari P, Crippa S, Belfiori G, et al. Glucose and lactate levels are lower in EUS-aspirated cyst fluid of mucinous vs non-mucinous pancreatic cystic lesions. Dig Liver Dis 2024;56(5):836-840 View Article PubMed/NCBI
  52. Faias S, Cravo M, Chaves P, Pereira L. Comparative analysis of glucose and carcinoembryonic antigen in the diagnosis of pancreatic mucinous cysts: a systematic review and meta-analysis. Gastrointest Endosc 2021;94(2):235-247 View Article PubMed/NCBI
  53. McCarty TR, Garg R, Rustagi T. Pancreatic cyst fluid glucose in differentiating mucinous from nonmucinous pancreatic cysts: a systematic review and meta-analysis. Gastrointest Endosc 2021;94(4):698-712.e6 View Article PubMed/NCBI
  54. van der Waaij LA, van Dullemen HM, Porte RJ. Cyst fluid analysis in the differential diagnosis of pancreatic cystic lesions: a pooled analysis. Gastrointest Endosc 2005;62(3):383-389 View Article PubMed/NCBI
  55. Schoedel KE, Finkelstein SD, Ohori NP. K-Ras and microsatellite marker analysis of fine-needle aspirates from intraductal papillary mucinous neoplasms of the pancreas. Diagn Cytopathol 2006;34(9):605-608 View Article PubMed/NCBI
  56. Kadayifci A, Atar M, Wang JL, Forcione DG, Casey BW, Pitman MB, et al. Value of adding GNAS testing to pancreatic cyst fluid KRAS and carcinoembryonic antigen analysis for the diagnosis of intraductal papillary mucinous neoplasms. Dig Endosc 2017;29(1):111-117 View Article PubMed/NCBI
  57. Wu J, Matthaei H, Maitra A, Dal Molin M, Wood LD, Eshleman JR, et al. Recurrent GNAS mutations define an unexpected pathway for pancreatic cyst development. Sci Transl Med 2011;3(92):92ra66 View Article PubMed/NCBI
  58. Faias S, Duarte M, Albuquerque C, da Silva JP, Fonseca R, Roque R, et al. Clinical Impact of KRAS and GNAS Analysis Added to CEA and Cytology in Pancreatic Cystic Fluid Obtained by EUS-FNA. Dig Dis Sci 2018;63(9):2351-2361 View Article PubMed/NCBI
  59. Singhi AD, Nikiforova MN, Fasanella KE, McGrath KM, Pai RK, Ohori NP, et al. Preoperative GNAS and KRAS testing in the diagnosis of pancreatic mucinous cysts. Clin Cancer Res 2014;20(16):4381-4389 View Article PubMed/NCBI
  60. McCarty TR, Paleti S, Rustagi T. Molecular analysis of EUS-acquired pancreatic cyst fluid for KRAS and GNAS mutations for diagnosis of intraductal papillary mucinous neoplasia and mucinous cystic lesions: a systematic review and meta-analysis. Gastrointest Endosc 2021;93(5):1019-1033.e5 View Article PubMed/NCBI
  61. Al-Haddad M, DeWitt J, Sherman S, Schmidt CM, LeBlanc JK, McHenry L, et al. Performance characteristics of molecular (DNA) analysis for the diagnosis of mucinous pancreatic cysts. Gastrointest Endosc 2014;79(1):79-87 View Article PubMed/NCBI
  62. Stendahl K, Gilani SM, Basturk O, Hui P, Sigel C, Cai G. Intraductal papillary neoplasm of the bile duct: Cytomorphologic and molecular features. Cancer Cytopathol 2023;131(1):37-49 View Article PubMed/NCBI
  63. Huang P, Zhang H, Zhang XF, Zhang X, Lyu W, Fan Z. Evaluation of Intraductal Ultrasonography, Endoscopic Brush Cytology and K-ras, P53 Gene Mutation in the Early Diagnosis of Malignant Bile Duct Stricture. Chin Med J (Engl) 2015;128(14):1887-1892 View Article PubMed/NCBI
  64. DiGiuseppe JA, Hruban RH, Goodman SN, Polak M, van den Berg FM, Allison DC, et al. Overexpression of p53 protein in adenocarcinoma of the pancreas. Am J Clin Pathol 1994;101(6):684-688 View Article PubMed/NCBI
  65. Furuhata A, Minamiguchi S, Shirahase H, Kodama Y, Adachi S, Sakurai T, et al. Immunohistochemical Antibody Panel for the Differential Diagnosis of Pancreatic Ductal Carcinoma From Gastrointestinal Contamination and Benign Pancreatic Duct Epithelium in Endoscopic Ultrasound-Guided Fine-Needle Aspiration. Pancreas 2017;46(4):531-538 View Article PubMed/NCBI
  66. Grant TJ, Hua K, Singh A. Molecular Pathogenesis of Pancreatic Cancer. Prog Mol Biol Transl Sci 2016;144:241-275 View Article PubMed/NCBI
  67. Layfield LJ, Ehya H, Filie AC, Hruban RH, Jhala N, Joseph L, et al. Utilization of ancillary studies in the cytologic diagnosis of biliary and pancreatic lesions: the Papanicolaou Society of Cytopathology guidelines for pancreatobiliary cytology. Diagn Cytopathol 2014;42(4):351-362 View Article PubMed/NCBI
  68. Hasegawa T, Yamao K, Hijioka S, Bhatia V, Mizuno N, Hara K, et al. Evaluation of Ki-67 index in EUS-FNA specimens for the assessment of malignancy risk in pancreatic neuroendocrine tumors. Endoscopy 2014;46(1):32-38 View Article PubMed/NCBI
  69. Uccella S, La Rosa S, Metovic J, Marchiori D, Scoazec JY, Volante M, et al. Genomics of High-Grade Neuroendocrine Neoplasms: Well-Differentiated Neuroendocrine Tumor with High-Grade Features (G3 NET) and Neuroendocrine Carcinomas (NEC) of Various Anatomic Sites. Endocr Pathol 2021;32(1):192-210 View Article PubMed/NCBI
  70. Tang LH, Untch BR, Reidy DL, O'Reilly E, Dhall D, Jih L, et al. Well-Differentiated Neuroendocrine Tumors with a Morphologically Apparent High-Grade Component: A Pathway Distinct from Poorly Differentiated Neuroendocrine Carcinomas. Clin Cancer Res 2016;22(4):1011-1017 View Article PubMed/NCBI
  71. Tang LH, Basturk O, Sue JJ, Klimstra DS. A Practical Approach to the Classification of WHO Grade 3 (G3) Well-differentiated Neuroendocrine Tumor (WD-NET) and Poorly Differentiated Neuroendocrine Carcinoma (PD-NEC) of the Pancreas. Am J Surg Pathol 2016;40(9):1192-1202 View Article PubMed/NCBI
  72. Yachida S, Vakiani E, White CM, Zhong Y, Saunders T, Morgan R, et al. Small cell and large cell neuroendocrine carcinomas of the pancreas are genetically similar and distinct from well-differentiated pancreatic neuroendocrine tumors. Am J Surg Pathol 2012;36(2):173-184 View Article PubMed/NCBI
  73. Singhi AD, Klimstra DS. Well-differentiated pancreatic neuroendocrine tumours (PanNETs) and poorly differentiated pancreatic neuroendocrine carcinomas (PanNECs): concepts, issues and a practical diagnostic approach to high-grade (G3) cases. Histopathology 2018;72(1):168-177 View Article PubMed/NCBI
  74. Rindi G, Mete O, Uccella S, Basturk O, La Rosa S, Brosens LAA, et al. Overview of the 2022 WHO Classification of Neuroendocrine Neoplasms. Endocr Pathol 2022;33(1):115-154 View Article PubMed/NCBI
  75. George J, Lim JS, Jang SJ, Cun Y, Ozretić L, Kong G, et al. Comprehensive genomic profiles of small cell lung cancer. Nature 2015;524(7563):47-53 View Article PubMed/NCBI
  76. Umetsu SE, Kakar S, Basturk O, Kim GE, Chatterjee D, Wen KW, et al. Integrated Genomic and Clinicopathologic Approach Distinguishes Pancreatic Grade 3 Neuroendocrine Tumor From Neuroendocrine Carcinoma and Identifies a Subset With Molecular Overlap. Mod Pathol 2023;36(3):100065 View Article PubMed/NCBI

About this Article

Cite this article
Wang M, Lozano MD, Cai G. The World Health Organization System for Reporting Pancreaticobiliary Cytopathology: Standardized Categories and Practical Approaches to Pancreatic Lesions. J Clin Transl Pathol. 2024;4(3):122-135. doi: 10.14218/JCTP.2024.00034.
Copy Export to RIS Export to EndNote
Article History
Received Revised Accepted Published
August 21, 2024 September 21, 2024 September 25, 2024
DOI http://dx.doi.org/10.14218/JCTP.2024.00034