Home
JournalsCollections
For Authors For Reviewers For Editorial Board Members
Article Processing Charges Open Access
Ethics Advertising Policy
Editorial Policy Resource Center
Company Information Contact Us Membership Collaborators Partners
OPEN ACCESS

Applications of Molecular Genetic Testing in Hematopoietic and Lymphocytic Neoplasms

  • Weiqiang Zhao* 
Journal of Clinical and Translational Pathology   2024;4(4):153-162

doi: 10.14218/JCTP.2024.00042

Received:

Revised:

Accepted:

Published online:

 Author information

Citation: Zhao W. Applications of Molecular Genetic Testing in Hematopoietic and Lymphocytic Neoplasms. J Clin Transl Pathol. 2024;4(4):153-162. doi: 10.14218/JCTP.2024.00042.

Abstract

The number of molecular abnormalities identified in hematopoietic and lymphocytic neoplasms has grown exponentially over the past decades. Patients with genetic biomarker-matched targeted therapies have experienced significantly improved survival rates. Modern molecular laboratories, equipped with advanced technologies such as next-generation sequencing, can simultaneously test hundreds of genes and thousands of hotspots in a single run with multiple samples analyzed side by side. Bioinformatics tools provide seamless, evidence-based information to determine whether the detected mutations are benign or pathogenic, somatic or germline, druggable or diagnostic. This review is divided into five sections, each aiming to provide a comprehensive overview of the genetic landscape of myeloid and lymphocytic neoplasms. It highlights the challenges and proposes potential solutions to facilitate interpretation and maximize the clinical utility of molecular profiling results.

Keywords

Leukemia, Lymphoma, Genes, Mutation, Translocation, Next generation sequencing

Introduction

Hematopoietic neoplasms (HLNs) encompass tumors that occur in two distinct but closely related systems: the hematopoietic and lymphocytic systems, with clinical outcomes ranging from pre-cancerous conditions to fatal consequences. The incidence of HLNs has remained relatively stable (or unchanged) over the past 20 years, at approximately 10.5%. Numerous studies have been conducted to classify HLNs based on morphology, lineage identification, and karyotypes/fluorescence in situ hybridization (FISH). For example, detecting the Philadelphia chromosome or the BCR::ABL1 fusion gene in chronic myeloid leukemia (CML), or the PML::RARA in acute promyelocytic leukemia (APL), has significant implications for diagnosis, prognosis, targeted therapy, and post-therapeutic monitoring, which have collectively improved survival rates for these leukemia patients. However, approximately 50% of acute myeloid leukemia (AML) cases do not exhibit detectable chromosomal abnormalities. The overall mortality rates for AML and high-grade lymphoma have shown little change over the past 20 years, despite efforts to standardize chemotherapeutic regimens. Recent technological advances in multiplex genotyping and high-throughput genomic profiling via next-generation sequencing (NGS) technologies offer the possibility of rapidly and comprehensively interrogating the genomes of leukemia and lymphoma patients. These techniques can be applied to small tumor biopsies, samples with minimal residual diseases, and even composite malignancies. Multiplexed NGS, which often involve massively parallel sequencing and advanced bioinformatics, enable clinicians, including pathologists, hematologists, and oncologists, to better classify neoplasms based on their genetic abnormalities in both the precancerous and cancerous stages. These advancements help establish evidence-based practice guidelines, monitor patients at molecular levels, select precise therapies targeting specific genes and pathways, and ultimately improve patient survival outcomes. The purpose of this study was to review the history of molecular marker development and discuss the rationale for selecting appropriate assays in hematopathology.

Chronic myeloid leukemia

CML was first described in 1845 by two pathologists, John H. Bennett and Rudolph Virchow.1 It was characterized by leukocytosis, or increased white blood cell (WBC) counts (medium counts ≥ 100,000/mL), in the peripheral blood, consisting predominantly of left-shifted neutrophils or immature myelocytes and metamyelocytes, without an increase in blasts (<2%) or dysplasia (Fig. 1a). There was a lag before the discovery of an abnormal minute chromosome 22 and an elongated chromosome 9 in CML by Nowell and Hungerford at the Fox Chase Cancer Center in Philadelphia.2 This minute or truncated chromosome 22 was called the Philadelphia chromosome (Ph1).3,4 The Ph1 comprises a functional in-frame fusion gene, BCR::ABL1 (Fig. 1b). The BCR::ABL1 gene produces proteins with constitutive tyrosine kinase activity, promoting proliferation, suppressing differentiation, and inhibiting apoptosis via JAK2/STAT, PI3K, and RAS/RAF signaling pathways, thereby inducing CML.5 In the 1990s, a clinical trial was conducted on CML patients using a tyrosine kinase inhibitor, STI-751, now known as imatinib, led by Dr. Druker.6 The clinical trial was successful, showing prominent antileukemic effects with minimal side effects.7 On May 10, 2001, the United States Food and Drug Administration (FDA) approved its use for CML patients. Imatinib is taken orally and is so effective that WBC counts often return to the normal range within one to three months of treatment (Fig. 1c). Three types of clinical laboratory tests are applied to monitor therapeutic effects: Microscopy to examine WBC counts, cytogenetics/FISH to detect Ph1, and polymerase chain reaction (PCR) to determine the presence of the BCR::ABL1 fusion gene in patients’ peripheral blood (Table 1).5 WBC counts typically return to normal in one to three months in patients treated with imatinib, achieving a hematological response. A complete cytogenetic response is reached within three to twelve months when Ph1 is undetectable. In some patients, a partial cytogenetic response may occur if Ph1 is still present in <65% of WBCs examined. The most sensitive test is quantitative real-time PCR, which detects the copy numbers of BCR::ABL1. A major molecular response is defined as <0.1% copy numbers within 12–18 months of treatment. A deep molecular response or MR4 is defined as <0.01%, and MR4.5 < 0.0032%.8,9

Chronic myeloid leukemia, Chronic phase and Philadelphia chromosome (BCR::ABL1 fusion gene).
Fig. 1  Chronic myeloid leukemia, Chronic phase and Philadelphia chromosome (BCR::ABL1 fusion gene).

(a) Peripheral blood smear in a patient with the chronic phase of chronic myeloid leukemia (CML) before treatment; (b) Detection of BCR::ABL1 fusion gene, p210 by RNA sequencing; (c) Peripheral blood in a three-month post-treatment patient with imatinib.

Table 1

Three different clinical laboratory approaches to monitoring imatinib effects on CML

ResponsesDuration (months)Expected responsesClinic lab (methods)
Hematology (HR)3–6WBC 4–10KHematology (microscopy)
Cytogenetics (CyR)3–12Ph1 <65%–0%Cytogenetics (karyotype/FISH)
Molecular (MR)12–18BCR::ABL1 <0.1%–<0.01%Molecular lab (qRT-PCR)

Imatinib works by inhibiting the activation of the BCR::ABL1 protein but does not eliminate leukemic stem cells. Therefore, after prolonged utilization, leukemic cells may evade imatinib through various mechanisms. The most common mechanism is mutations occurring in the imatinib-binding sites of the BCR::ABL1 fusion gene. When such mutations occur, patients’ WBC counts may rebound to abnormally high levels, often exceeding 10 million. In 2006, Zhao and Jones proposed using kinase gene mutation profiling to monitor CML patients treated with imatinib.10 This approach is also applicable to second-generation tyrosine kinase inhibitors and Ph1+ acute lymphoblastic leukemia.11,12

Imatinib is a pioneering targeted therapeutic drug for cancer patients. It is not only effective against Ph1+ CML but also useful in other myeloid/lymphoid neoplasms with fusion or mutated genes sensitive to this drug (Table 2). The table lists recommended approaches for selecting molecular assays to facilitate effective diagnosis and monitoring responses to imatinib treatment.

Table 2

Hematopoietic neoplasms targetable to imatinib

NeoplasmsTarget molecular genesDiagnostic approachesMonitoring
ALLP190 BCR::ABL1Cy/FISHqRT-PCR
MDS/MPNPDGFRCy/FISHqRT-PCR
MPN-EOSPDGFRA, PDGFRBCy/FISHqRT-PCR
SMCKIT D618VddPCRddPCR

Molecular applications in the management of BCR::ABL1 negative myeloid neoplasms

The development of modern molecular technologies, such as NGS, allows us to identify and characterize mutations in genes that alter hematopoietic maturation and development (Table 3, adapted from the new WHO 5th edition of Hematologic/lymphocytic neoplasm, WHO-HAEM5, 2022).13 The application of NGS in myeloid neoplasms not only aids clinicians in making accurate diagnoses, applying risk stratification, and selecting treatments based on the specific genetic mutations present in individual patients but also improves our understanding of these disorders. This section discusses the applications of characterized gene mutations or genetic abnormalities in myeloproliferative neoplasms (MPNs) that are Ph1-negative or lack the BCR::ABL1 fusion gene.

Table 3

Common somatic variants in genes altering hematopoiesis

Gene functionsGenes
Signal transactivatingCBL, JAK2, KRAS, NRAS, NF1, PTPN11, RRAS, FLT3, PDGFRA, PDGFRB, ALK, CSF3R, JAK1, JAK3, STAT3, STAT5B
Epigenetic regulatorsASXL1, IDH1, IDH2, DNMT3A, TRRAP, SETBP1, EZH2, BCOR, KMT2D, ARID1A, EP300, STAG2
Transcription factorsCUX1, GATA2, RUNX1, ETV6, CEBPA, NRF2
RNA splicing machinerySRSF2, U2AF1, U2AF2, SF3B1, ZRSR2
Tumor suppressorsTP53, WT1, PPM1D
EnzymesETNK1, UBA1

Chronic neutrophilic leukemia (CNL) and chronic eosinophilic leukemia (CEL)

Chronic neutrophilic leukemia is defined as sustained, mature peripheral blood neutrophilia without monocytosis, eosinophilia, or basophilia. Morphologically, it may be indistinguishable from CML, but it is Ph1-negative or lacks the BCR::ABL1 fusion gene. In CNL, the presence of the CSF3R T618I mutation is considered a clonal driver.14 Mutations in ASXL1, TET2, DNMT3A, SRSF2, U2AF1, U2AF2, SF3B1, ZRSR2, SETBP1, and EZH2 may also be present in CNL.13

CEL is diagnosed when patients exhibit significant eosinophilia (≥1.5 × 109/L), composed of mature eosinophils and occasional immature eosinophilic precursors, and when other molecularly defined myeloid neoplasms with high eosinophilic counts are excluded. Cytogenetic and molecular studies should be performed to exclude CML, AML with CBFB::MYH11, and myeloid/lymphoid neoplasms with eosinophilia and tyrosine kinase gene fusions. Secondary eosinophilia may also be seen in T-cell lymphoma, classic Hodgkin lymphoma, and acute lymphoblastic leukemia with IGH::IL3. Careful morphological examination and patient history are important to avoid misdiagnosis. Genetic drivers for CEL may overlap with other myeloid neoplasms, such as KIT p.D816V or JAK2 variants, which may be seen in systemic mastocytosis or classical MPNs, respectively. A prompt diagnostic workup should be performed to rule out these diseases.

Classical MPNs

There are three classical Ph1-negative MPNs: polycythemia vera, essential thrombocythemia, and primary myelofibrosis. These conditions represent the uncontrolled proliferation of erythroid cells, megakaryocytes, and stromal fibroblasts due to constitutive activation of JAK/STAT signaling pathways driven by mutations in JAK2, MPL, or CALR genes. Occasionally, MPNs lacking these mutations may be referred to as “triple-negative MPN” based on a single-gene test. However, other genes functioning as epigenetic regulators or in RNA splicing machinery, such as ASXL1, TET2, SRSF2, and U2AF1, may serve as oncogenic drivers in triple-negative MPN (Table 3). Therefore, the application of NGS to detect these gene mutations can help prevent misdiagnosis. Mutations may evolve after diagnosis or during treatment. For example, a recent investigation found that evolved NFE2 gene mutations in MPNs might serve as a predictive marker for poor prognosis or indicate a potential for blastic transformation in these chronic neoplasms.15 Thus, dynamic molecular monitoring may be helpful in predicting disease progression in MPNs.

Genetic abnormalities in Myeloid/lymphoid neoplasms associated with eosinophilia and tyrosine kinase fusion genes

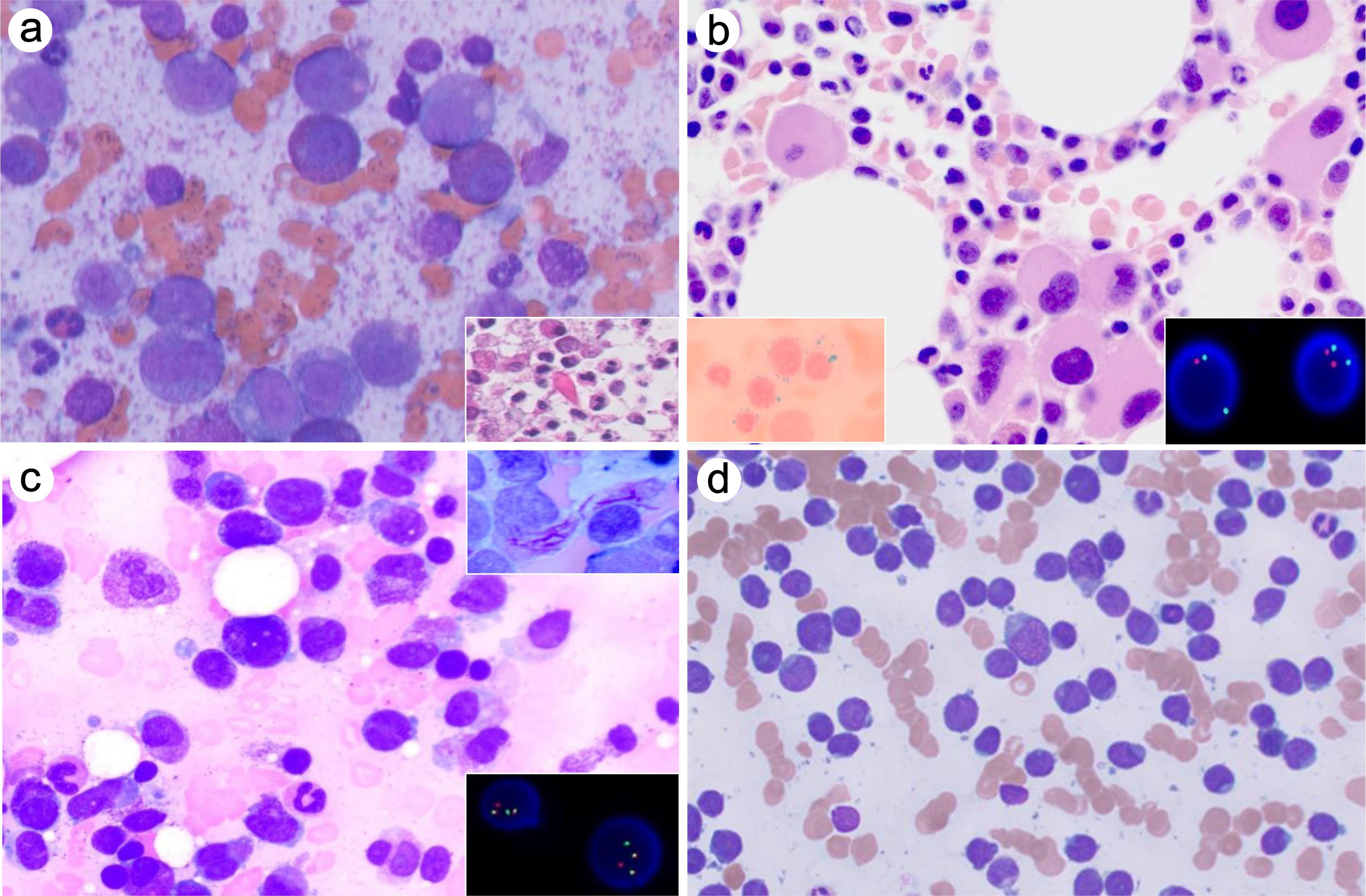
A new category in myeloid neoplasms in the current WHO-HAEM5 is called Myeloid/lymphoid neoplasms associated with eosinophilia and tyrosine kinase fusion genes. These neoplasms clinically resemble myeloproliferative neoplasms but with increased eosinophils and rearranged tyrosine kinase genes (Table 4). Figure 2a shows a case diagnosed by the author as MPN-EOS-PDGFRB, which demonstrates numerous eosinophils and precursors in a bone marrow aspirate, along with necrotic leukemic eosinophils and Charcot-Leyden crystals in the necrosis (insert, Fig. 2a). Accurate and prompt diagnostics are crucial, as neoplasms with rearranged PDGFRA and PDGFRB are sensitive to imatinib or other tyrosine kinase inhibitors, resulting in favorable outcomes. Diagnostic caveats may arise in cases where eosinophilia is absent at the initial diagnosis, during the initial presentation of lymphoblastic leukemia or lymphoma, or in the blastic transformation (or blast phase) of lymphoblastic leukemia or lymphoma. A panel of FISH probes covering these genes is often used in most cancer center cytogenetics/FISH or molecular laboratories (Table 4).

Table 4

Myeloid/lymphoid neoplasms associated with eosinophilia and tyrosine kinase gene fusions

Diseases and driver genesClin pathology featuresPatternersPredictiveTreatment
PDGFRA (4q)EosinophiliaFIP1L1 and 66 other partnersFavorableRespond to TKI (T674I resist. mutation)
↑Serum tryptase, ↑Vitamin B12
↑Marrow mast cells
PDGFRB (5q)EosinophiliaETV6Favorable variableUnfavorable (2y) but respond to TKI
Monocytosis mimicking CMML, Excl: BAL-B-ALL with ETV6-PDGFRB
FGFR1 (8p)EosinophiliaZMYM2 (ZNF198)/13q12.11,CNTRL CEP43 and 14+UnfavorablePoor prognosis; do not respond to TKI
Often presents with T-ALL or AML
PCM1::JAK2 (8p,9p)EosinophiliaPCM1VariableMay respond to JAK2 inhibitors
Rarely presents with T-ALL or B-ALL
BM left-shifted erythroid predominance, lymphoid aggregates and fibrosis
FLT3 (13q12)Leukocytosis, anemia, and thrombocytopenia, and eosinophilia.ETV6/12p131, ZMYM2/13q12UnfavorableMay respond to FLT3 inhibitors
ETV6 9q34Leukocytosis, anemia, thrombocytosis or thrombocytopenia, and basophiliaETV6::ABL1 t(9;12)(q34;p13)UnfavorableMay response to ABL1 inhibitors
Myeloid neoplasms.
Fig. 2  Myeloid neoplasms.

(a) MPN-EOS-PDGFRB, BMA Wright-Giemsa, 100× (insert: Charcot–Leyden crystals in H&E BM biopsy, 40×); (b) MDS-LB-5q, BM biopsy H&E, 100× (left insert: ring-sideroblasts; right insert: del(5q) by FISH, 100×); (c) APL, BMA Wright-Giemsa 50× (upper right insert: Fagot cells; bottom right insert: Detection of PML::RARA by FISH, 100×); (d) AML with NPM1 mutation, BMA 50×, NGS concurrently detected FLT3-ITD, DNMT3A, and IDH2 mutations in this case. AML, acute myeloid leukemia; APL, acute promyelocytic leukemia; BM, bone marrow; BMA, bone marrow aspirate; EOS, eosinophilia; FISH, fluorescence in situ hybridization; H&E, hematoxylin and eosin; MPN, myeloproliferative neoplasm; NGS, next generation sequencing; PDGFRB, platelet derived growth factor receptor B.

Genetic abnormalities in myelodysplastic syndrome (MDS) and MDS/MPN: Approaches to detection and follow-up

Myelodysplastic neoplasm, also known as MDS, comprises a group of myeloid neoplasms arising from abnormal hematopoietic stem cells and is clinically defined by cytopenia, morphological dysplasia, and progression to AML. In the latest WHO-HAEM5, MDS entities are classified based on defined genetic abnormalities and morphological characteristics. MDS/MPN refers to cases with MDS plus myeloid proliferation, especially monocytes, which are relatively or absolutely elevated at the same time.

Genetic variants in MDS

In MDS, key chromosomal abnormalities include 5q-, 7q-, 8+, 17p-, 20q-, 11q-, and 12p-, which are well-known and defined. Most clinical laboratories have FISH panels to detect these chromosomal abnormalities when requested.

The mutated genes associated with MDS are listed in Table 3 and are clustered based on their effects on RNA splicing, epigenetic regulation, and tumor suppression. WHO-HAEM5 divides MDS into separate groups based on morphology, genetic abnormalities, or a combination of both.13Figure 2b shows a clinical case of MDS-LB-5q-. In this bone marrow biopsy, a hematoxylin and eosin stain (H&E) section showed atypical small megakaryocytes with non-lobated or hypolobated nuclei. Meanwhile, FISH detected 5q loss (right insert, Fig. 2b) as well as the presence of an SF3B1 mutation. The SF3B1 mutation, which clusters in the domains called HEAT (Huntingtin, EF3, PP2A, and TOR1), is often associated with ring sideroblasts in erythroid precursors (left insert of Fig. 2b).16 Bi-allelic TP53 mutations are defined as the presence of two or more TP53 mutations, or one TP53 mutation along with concurrent TP53 copy loss or copy-neutral loss of heterozygosity, such as 17p loss of heterozygosity.13 Finally, patients with MDS-low blast and bi-allelic TP53 mutations (MDS-biTP53) usually have increased blast counts, a higher risk of leukemic transformation, and a higher risk of death.

Genetic variants in MDS/MPN

In MDS/MPN, we focus on two neoplasms: MDS/MPN with neutrophilia, previously called atypical CML, and MDS/MPD with thrombocytosis.

MDS/MPD with neutrophilia is a BCR::ABL1-negative granulocytic proliferative neoplasm characterized by sustained leukocytosis (≥13 × 109/L), neutrophils with hypogranulations and hyposegmentations, and immature myeloid cells, which are often seen in peripheral blood. The bone marrow is often hypercellular with granulocytic predominance and dysplasia, with or without megakaryocytic dysplasia. To make the diagnosis, clonal ETNK1 (N244S, H243Y) or SETBP1 mutations are often detected.17,18 The absence of mutations in JAK2, CALR, MPL, and CSF3R is included as part of the differential diagnosis.

Clinicopathologically, MDS/MPD with SF3B1 mutation and thrombocytosis overlaps with MDS, MPN, essential thrombocythemia, and other BCR::ABL1-negative MPNs. Thrombocytosis, defined as a platelet count of ≥450 × 109/L, is one of the diagnostic criteria, along with ring sideroblasts (>15%) and dyserythropoiesis. Notably, SF3B1 mutations are readily detected, along with mutations in JAK2 and many others commonly seen in MDS.19

Genetic abnormalities in AML and approaches to detection and follow-up

AML is a rapidly progressive and fatal hematopoietic disease. In 2024, the estimated number of new cases in the United States is about 20,800, with estimated deaths of around 11,220.20 Approximately 50% of AML patients have a short survival time of less than a year. Therefore, appropriate clinical management is critical to patient outcomes, which have been shown to correlate with genetic and molecular abnormalities.

Cytogenetics and FISH used in AML

In about 50% of AML patients, there are 10 well-characterized chromosomal changes (Table 5), and three of which are associated with favorable outcomes: PML::RARA, RUNX1::RUNX1T, and CBFB::MYH11. In contrast, BCR::ABL1, rearrangements of KMT2A, MECOM, and NUP98 are considered unfavorable.13 Detection of these abnormalities is typically performed in clinical cytogenetics laboratories, which include karyotyping and FISH panels. Prompt morphological diagnosis of APL at onset can be challenging but is critical for patient management to prevent disseminated intravascular coagulation. Figure 2c shows a case of microgranular APL, where rare Fagot cells with abundant Auer rods were present (upper right insert, Fig. 2c), and the presence of PML::RARA by FISH confirmed the final diagnosis (bottom right insert, Fig. 2c).

Table 5

Molecular signatures in acute myeloid leukemia

AML with defined fusions in WHO-HAEM5AML with other defined fusions in WHO-HAEM5
PML::RARAFavorable prognosis and therapeutic markerCBFA2T3::GLIS2RAM immunophenotype – strong CD56 expression and lack of HLA-DR and CD38.
RUNX1::RUNX1T1Favorable prognosisKAT6A::CREBBPBlasts with monocytic differentiation (CD34-/CD117), with erythrophagocytosis (70%), leukemia cutis (58%), and DIC (39%).
CBFB::MYH11Favorable prognosis, might have eosinophiliaFUS::ERGThe blasts have no specific differentiation pattern or immunophenotype
DEK::NUP214Favorable prognosis. Often have FLT3-ITD (50–88%)MNX1::ETV630% in children, no specific differentiation pattern but approximately 10% show megakaryoblast or express T-cell/Myeloid markers
RBM15::MRTFAVariable prognosis. Often expression of megakaryocytic markersNPM1::MLF1The blasts have no specific differentiation pattern or immunophenotype, but multilineage dysplasia can be seen
BCR::ABL1**Unfavorable prognosis. Additional RUNX1 (40%)
KMT2AUnfavorable but might variable. Often Monocytic differentiation.
MECOMUnfavorable prognosis. Often with multilineage dysplasia
NUP98Unfavorable prognosis, especially with FLT3 mutations.
Defined mutations in WHO-HAEM5Other mutations defined but not included in WHO-HAEM5
NPM1**Favorable prognosis. Caveats in MDS with increased blastsFLT3-ITD & TKD**Unfavorable prognosis but target therapy. Mandatory in European leukemiaNet
bZIP-CEBPA**favorable prognosis and germline. Often with dysplasiaIDH1/2**Prognosis and target therapy
MDS-defined mutationsASXL1, BCOR, EZH2, RUNX1, SF3B1, SRSF2, STAG2, U2AF1, ZRSR2UBA1**Pending further studies in AML with or without features of VEXAS

Gene variants in AML

In WHO-HAEM5, three AML subtypes with defined mutated genes are listed: NPM1, CEBPA, and RUNX1 (provisional) (Table 5).13 The significance of mutation-defined AML is reflected not only in the outcome but also in clinical management. For example, AML with FLT3 mutations indicates an adverse prognosis; however, the co-existence of an NPM1 mutation confers an intermediate prognosis.21Figure 2d shows a clinical case of AML in which both FLT3-ITD and NPM1 (type A) mutations were detected. Recent studies have shown that monitoring NPM1 mutations in minimal residual disease in NPM1+ AML may improve survival rates following bone marrow transplant therapy, which is a promising cure for AML.22 The new technology called droplet digital PCR (ddPCR) provides an accurate and sensitive method to detect NPM1 copies at levels as low as 0.1% in pre-transplant bone marrow.

Most cancer center molecular laboratories use NGS panels containing around 100 genes or more, covering thousands of variants, to provide biomarkers useful for clinical diagnosis, residual disease monitoring, and clinical trials for sensitive biomarkers. Additionally, patients may have MDS-related AML, which involves not only pure blast populations but also concurrent dysplasia, either pre-existing or de novo. These AML cases will have more complex mutation profiles, with variants associated with genes involved in tumor suppression (e.g., TP53, WT1, CDKN2A/B), epigenetic regulation (e.g., ASXL1, ECOR1, EZH2, IDH1/2, TET2), RNA splicing (e.g., SF3B1, U2AF1, SF1), and kinase signaling (e.g., FLT3, KIT, N/KRAS, CBL). Among these, IDH1/2 and FLT3 mutations are targetable by specific medications to treat patients with individualized regimens.23–25 To monitor these patients, single-gene analysis is not sufficient; NGS is more efficient and cost-effective.

Genetic abnormalities in B- and T-cell lymphoproliferative disorders (LPDs)/lymphomas

Chronic lymphocytic leukemia (CLL)/small lymphocytic lymphoma (SLL)

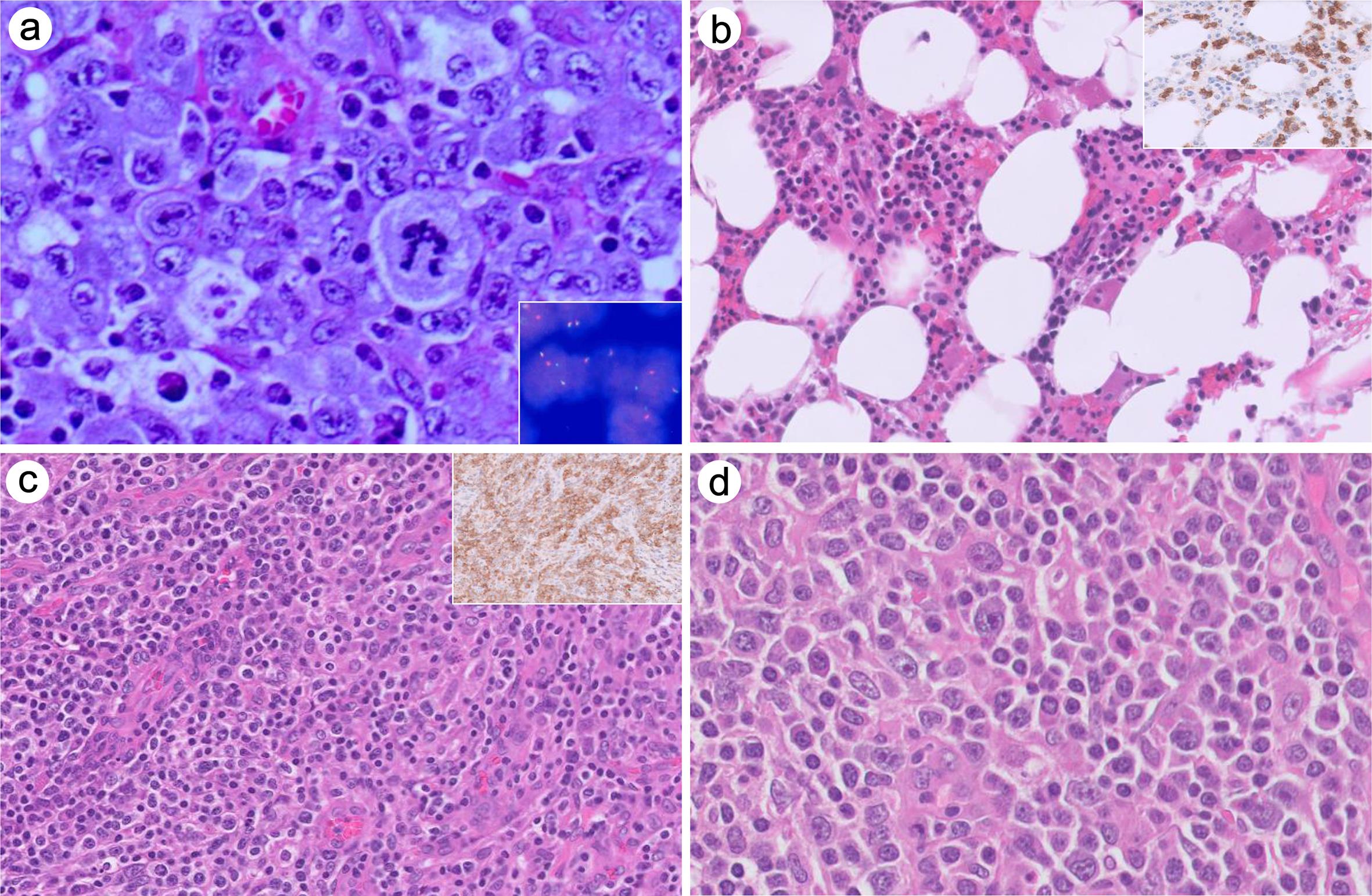
CLL/SLL is one of the most common chronic hematologic malignancies in Western countries. Most patients may be asymptomatic, but when diagnosed, there is often systemic involvement with small mature lymphocytes in the peripheral blood, bone marrow, spleen, and lymph nodes. Figure 3a shows a lymph node touch preparation with numerous small lymphocytes displaying mature chromatin. Though CLL is a chronic process, some patients may progress rapidly and evolve into high-grade lymphoma, a condition called Richter’s Transformation, which includes large cell transformation (diffuse Large B-cell lymphoma (DLBCL)), Hodgkin lymphoma, and prolymphocytic leukemia. Figure 3b shows a bone marrow aspirate with large atypical lymphoma cells transformed from a history of CLL. A fatal outcome can occur if these patients are not properly managed. As early as 1999, hematologists discovered that the outcomes or survival rates of CLL patients heavily rely on genetic abnormalities. One such finding is that mutation rates in the immunoglobulin heavy-chain gene variable region (IGVH) contribute to the survival of CLL patients. Two side-by-side publications in Blood by Damle and Hamblin, respectively, showed that a mutation rate of ≥2%, or hypermutated IGVH, is associated with a good prognosis, while a mutation rate of <2%, or non-hypermutated IGHV, is associated with worse outcomes.26,27 The IGHV mutation rates are detected using reverse transcription PCR followed by complementary DNA sequencing, which has become routine practice in most clinical molecular laboratories and provides guidance for the clinical management of CLL patients.

B-cell lymphoma.
Fig. 3  B-cell lymphoma.

(a) CLL LN biopsy touch smear, quick diff, 5×; (b) CLL with Richter transformation, BM smear, Wright-Giemsa, 100×; (c) Burkitt lymphoma, Lymph node biopsy H&E, 40× (insert: FISH MYC rearrangement, 60×); (d) HCL, BM biopsy H&E (insert: PAX5 2×). A BRAF V600E mutation was detected in this bone marrow specimen. BM, bone marrow; CLL, chronic lymphocytic leukemia; FISH, fluorescence in situ hybridization; H&E, hematoxyllin and eosin; HCL, hairy cell leukemia; LN, lymph node.

In addition to IGVH mutation status, cytogenetics plays an important role in subclassifying CLL into favorable and unfavorable groups (Table 6). For example, deletions of the long arm of chromosome 13 (13q-), or trisomy 12 (12+), belong to the favorable or intermediate group, while 11q- and 17p- (TP53) belong to the unfavorable group.28,29 The application of NGS of CD19-selected leukemia B-cells has found that mutations in TP53, NOTCH1, and SF3B1 are unfavorable in prognosis.

Table 6

Molecular signatures in chronic lymphocytic leukemia

MarkersFavorable/IntermediateUnfavorable
Cy and FISH12+, 13q- (MIR15A, MIR16-1)11q- (ATM); 17p- (TP53)
Mol IGVHHypermutatedNot hypermutated
Mol NGSMYD88TP53, NOTCH1, SF3B1
ProteinsZAP70-ZAP70+

Research into clinical management for patients with unfavorable or treatment-resistant CLL has shown promising results, leading to the clinical application of small molecules targeting kinase genes in the B-cell receptor (BCR) signaling pathways. One of the most notable of these molecules is ibrutinib, a small molecule that targets Bruton tyrosine kinase (BTK), an intracellular protein involved in the BCR signaling pathway. The nationwide clinical trial for ibrutinib in CLL patients with adverse outcomes started in 2009, led by Dr. John Byrd, then a hematologist at the Ohio State University James Cancer Center, and coordinated by the Cancer and Leukemia Group B. With outstanding therapeutic effects, in November 2013, less than a year after the Phase III trial for CLL patients, the FDA approved ibrutinib for clinical use in recurrent/relapsed (R/R) mantle cell lymphoma. Seven months later, in February 2014, the FDA granted accelerated approval for its use in R/R CLL/SLL, followed by Waldenström macroglobulinemia/Lymphoplasmacytic lymphoma (January 2015), naïve CLL/SLL (March 2016), and R/R marginal zone lymphoma (January 2017).30

Just as resistant mutations arise in Imatinib-treated CML patients, point mutations occur in ibrutinib-treated CLL patients. These mutations include C481S in BTK and R665W in PLCG2, which result from binding failure or BTK-independent activation of BCR signaling, respectively. Molecular monitoring of relapsed patients treated with BTK inhibitors using ddPCR, NGS, or other methods has become a common practice in the molecular laboratories worldwide.31 Clinical management triage for CLL patients, based on molecular risk assessments and genetic/molecular findings, is now widely used in CLL treatment.

Low-grade B-cell lymphomas

Rearranged genes are major driving factors for lymphomagenesis, such as r-CCND1 in mantle cell lymphoma, r-BCL2 in follicular lymphoma, and r-MYC in Burkitt lymphoma. Figure 3c shows a Burkitt lymphoma case with morphological features of “starry sky” apoptotic figures admixed with large atypical lymphoma cells, which are often positive for EBV and r-MYC by FISH (insert, Fig. 3c) (Table 7). Mutations in oncogenes may also contribute to lymphomagenesis (Table 7). For example, recurrent BRAF V600E is found in hairy cell leukemia, and MYD88 L625P in lymphoplasmacytic lymphoma. Figure 3d shows a bone marrow sample involved with hairy cell leukemia, and BRAF V600E was detected by ddPCR. However, mutation detection is still not widely used in low-grade B-cell lymphoma, as IHC markers, IGH rearrangement PCR, and FISH for fusion genes are adequate for the classification of these lymphomas.

Table 7

Common genetic abnormalities in B-cell and T-cell lymphoma

Type of lymphomaFusion genesDiagnosisType of lymphomaMutationsDiagnosis
B-Cell LGCCND1, BCL2MCL, FLB-Cell LGBRAF V600EHCL
B-Cell LGMALT1, BCL10MZLB-Cell LGMYD88, CXCR4LPL/WM
B-cell,HGMYC, BCL2/BCL6, IRF4BL,Double hit, IRF4+B-Cell HGID3, TCF3, SMARCA4, and CCND3 NOTCH1BL LBCL (unfavorable)
T-cell lymphomaALK1, DUSP:IRF4ALCL,c-ALCLT-cell lymphomaSTA5B, SETD2, GNAI2, JAK3EATL, MEITL
Inv(14) /TCL1A/BT-PLL
HTLV-IATLLSTAT3, STAT5A or STAT5BLGL
CTLA4::CD28TFHRHOA, TET2, DNMT3A, IDH2TFH

High-grade B-cell lymphoma (HGBCL)/DLBCL

When HGBCL/DLBCL is diagnosed, FISH panels with fusion genes of MYC and BCL2/BCL6 are often applied to diagnose HGBCL/DLBCL with concomitant MYC and BCL2 rearrangements, also known as double-hit lymphoma, which has a worse prognosis.32 Mutation analysis has not yet been widely used in DLBCL, but recent findings suggest that it may affect prognosis.33 For example, the average five-year survival rate among DLBCL patients is about 50%. However, some of these patients may have an adverse and clinically progressive course. Studies by Schmitz et al.34 showed that DLBCL might be subgrouped into favorable, intermediate, and unfavorable groups (Table 7) based on the gene mutations present in the lymphomas. One of the genes, such as NOTCH1, found in group N1, might indicate a worse outcome, with a dismal five-year survival rate of 27–40%, far lower than the survival rate of 75–84% in the ST2 group with SGK1 mutations.34,35 Therefore, the molecular profile of high-grade B-cell lymphoma may aid clinicians in triaging patients for the most effective and appropriate therapies.

T-cell lymphoma

T- and NK-cell LPDs comprise a broad range of entities, ranging from low-grade to aggressive lymphomas. Most of them arise from peripheral lymphoid organs, such as lymph nodes, spleen, and extranodal organs. In general, T- and NK-cell neoplasms can be diagnosed based on morphology and immunophenotypic analysis. In contrast to B-cell lymphomas, establishing clonality based on immunophenotype by flow cytometry is more difficult. T-cell receptor gene rearrangement, assessed by DNA-based PCR, can be used to determine clonality in most LPDs, as opposed to reactive polyclonal T-cell hyperplasia. However, the results of T-cell receptors can be difficult to interpret due to the presence of oligoclonal or polyclonal patterns with skewed results. Finally, clonality has limited utility for classification in most T-cell LPDs.

Diagnostic driver fusion genes in T-cell lymphoma are fewer than those in B-cell lymphoma (Table 7). Rearrangement of ALK1 is diagnostic for anaplastic large cell lymphoma (Fig. 4a). In cutaneous anaplastic large cell lymphoma, the presence of DUSP::IRF4 is diagnostic (Table 7). Recently, recurrent gene mutations have been identified in some T-cell lymphomas. For example, mutations in STAT3 and STAT5B are found in large granular T-cell leukemia (Fig. 4b).36,37 Mutations in RHOA, TET2, DNMT3A, and IDH2 are often found in patients with nodal T follicular helper cell lymphoma, angioimmunoblastic type (nTFHL-AI) (Fig. 4c),38 and occasionally in peripheral T-cell lymphoma, not otherwise specified. Figure 4d shows a clinical case of peripheral T-cell lymphoma, not otherwise specified, in which no RHOA or DNMT3A mutations were detected, but TET2 and NRAS mutations were detected (Fig. 4d).

T-cell lymphomas.
Fig. 4  T-cell lymphomas.

(a) ALK+ ALCL, H&E 100×. ALK rearrangement is detected by FISH (insert: ALK FISH 100×); (b) LGL BM biopsy H&E, 10× (insert: CD3). In this case, TCR-beta and -gamma PCR showed monoclonal patterns. The LGL-associated STAT3 in-frame variant was detected by lymphoma NGS; (c) nTFHL-AI, H&E, 10×. Molecular TCR PCR test detected clonal T-cell population. RHOA, IDH2, and TET2 mutations were detected by lymphoma NGS; (d) PTCL-NOS, H&E 40×; TCR-PCR detected clonal T-cell population. NRAS and TET2 were detected by NGS but negative for IDH1, IDH2, JAK1, JAK3, RHOA, DNMT3A, STAT3, or STAT5B mutations. ALCL, anaplastic large cell lymphoma; BM, bone marrow; FISH, fluorescence in situ hybridization; H&E, hematoxyllin and eosin; LGL, large granular T-cell leukemia; NGS, next generation sequencing; nTFHL-AI, nodal T follicular helper cell lymphoma (nTFHL) -angioimmunoblastic type; PCR, polymerase chain reaction; PTCL-NOS, peripheral T-cell lymphoma, not otherwise specified; TCR, T-cell receptor.

Conclusions

For every cancer, there are genetic abnormalities, which offer more opportunities for cure due to these characteristics of neoplasms. The broad application of mutation profiles not only helps in understanding genetic pathogenesis but also provides accurate diagnosis, predicts risk stratification, and aids in triaging patients for more effective treatments.

Declarations

Acknowledgement

None.

Funding

None.

Conflict of interest

The author reports no conflict of interest.

Authors’ contributions

WZ is the sole author of the manuscript.

References

  1. Degos L. John Hughes Bennett, Rudolph Virchow… and Alfred Donné: the first description of leukemia. Hematol J 2001;2(1):1 View Article PubMed/NCBI
  2. Koretzky GA. The legacy of the Philadelphia chromosome. J Clin Invest 2007;117(8):2030-2032 View Article PubMed/NCBI
  3. Heisterkamp N, Stephenson JR, Groffen J, Hansen PF, de Klein A, Bartram CR, et al. Localization of the c-ab1 oncogene adjacent to a translocation break point in chronic myelocytic leukaemia. Nature 1983;306(5940):239-242 View Article PubMed/NCBI
  4. Groffen J, Stephenson JR, Heisterkamp N, de Klein A, Bartram CR, Grosveld G. Philadelphia chromosomal breakpoints are clustered within a limited region, bcr, on chromosome 22. Cell 1984;36(1):93-99 View Article PubMed/NCBI
  5. Demehri S, O’Hare T, Eide CA, Smith CA, Tyner JW, Druker BJ, et al. The function of the pleckstrin homology domain in BCR-ABL-mediated leukemogenesis. Leukemia 2010;24(1):226-229 View Article PubMed/NCBI
  6. Peng B, Hayes M, Resta D, Racine-Poon A, Druker BJ, Talpaz M, et al. Pharmacokinetics and pharmacodynamics of imatinib in a phase I trial with chronic myeloid leukemia patients. J Clin Oncol 2004;22(5):935-942 View Article PubMed/NCBI
  7. Nadal E, Olavarria E. Imatinib mesylate (Gleevec/Glivec) a molecular-targeted therapy for chronic myeloid leukaemia and other malignancies. Int J Clin Pract 2004;58(5):511-516 View Article PubMed/NCBI
  8. Jabbour E, Kantarjian H. Chronic myeloid leukemia: 2018 update on diagnosis, therapy and monitoring. Am J Hematol 2018;93(3):442-459 View Article PubMed/NCBI
  9. Hochhaus A, Baccarani M, Silver RT, Schiffer C, Apperley JF, Cervantes F, et al. European LeukemiaNet 2020 recommendations for treating chronic myeloid leukemia. Leukemia 2020;34(4):966-984 View Article PubMed/NCBI
  10. Zhao W, Cortes J, Hannah C, Kantarjian HM, Jones D. Kinase Profiling as a Tool in Molecular Dissection of Imatinib Resistant Chronic Myeloid Leukemia (CML). Blood 2006;108(11):2337 View Article PubMed/NCBI
  11. Vinhas R, Lourenço A, Santos S, Lemos M, Ribeiro P, de Sousa AB, et al. A novel BCR-ABL1 mutation in a patient with Philadelphia chromosome-positive B-cell acute lymphoblastic leukemia. Onco Targets Ther 2018;11:8589-8598 View Article PubMed/NCBI
  12. Jones D, Thomas D, Yin CC, O’Brien S, Cortes JE, Jabbour E, et al. Kinase domain point mutations in Philadelphia chromosome-positive acute lymphoblastic leukemia emerge after therapy with BCR-ABL kinase inhibitors. Cancer 2008;113(5):985-994 View Article PubMed/NCBI
  13. WHO Classification of Tumours Editorial Board. WHO classification of tumours: Haematolymphoid tumours. 5th edition. Vol. 11. Lyon, France: IARC Publications; 2024 View Article PubMed/NCBI
  14. Maxson JE, Gotlib J, Pollyea DA, Fleischman AG, Agarwal A, Eide CA, et al. Oncogenic CSF3R mutations in chronic neutrophilic leukemia and atypical CML. N Engl J Med 2013;368(19):1781-1790 View Article PubMed/NCBI
  15. Marcault C, Zhao LP, Maslah N, Verger E, Daltro de Oliveira R, Soret-Dulphy J, et al. Impact of NFE2 mutations on AML transformation and overall survival in patients with myeloproliferative neoplasms. Blood 2021;138(21):2142-2148 View Article PubMed/NCBI
  16. Mupo A, Seiler M, Sathiaseelan V, Pance A, Yang Y, Agrawal AA, et al. Hemopoietic-specific Sf3b1-K700E knock-in mice display the splicing defect seen in human MDS but develop anemia without ring sideroblasts. Leukemia 2017;31(3):720-727 View Article PubMed/NCBI
  17. Fontana D, Mauri M, Renso R, Docci M, Crespiatico I, Røst LM, et al. ETNK1 mutations induce a mutator phenotype that can be reverted with phosphoethanolamine. Nat Commun 2020;11(1):5938 View Article PubMed/NCBI
  18. Piazza R, Magistroni V, Redaelli S, Mauri M, Massimino L, Sessa A, et al. SETBP1 induces transcription of a network of development genes by acting as an epigenetic hub. Nat Commun 2018;9(1):2192 View Article PubMed/NCBI
  19. Mangaonkar AA, Lasho TL, Ketterling RP, Reichard KK, Gangat N, Al-Kali A, et al. Myelodysplastic/myeloproliferative neoplasms with ring sideroblasts and thrombocytosis (MDS/MPN-RS-T): Mayo-Moffitt collaborative study of 158 patients. Blood Cancer J 2022;12(2):26 View Article PubMed/NCBI
  20. National Cancer Institute. SEER Cancer Stat Facts: Leukemia — Acute Lymphocytic Leukemia (ALL). Available from: https://seer.cancer.gov/statfacts/html/alyl.html. Accessed December 30, 2024 View Article PubMed/NCBI
  21. Döhner H, Estey E, Grimwade D, Amadori S, Appelbaum FR, Büchner T, et al. Diagnosis and management of AML in adults: 2017 ELN recommendations from an international expert panel. Blood 2017;129(4):424-447 View Article PubMed/NCBI
  22. Dillon R, Hills R, Freeman S, Potter N, Jovanovic J, Ivey A, et al. Molecular MRD status and outcome after transplantation in NPM1-mutated AML. Blood 2020;135(9):680-688 View Article PubMed/NCBI
  23. Issa GC, DiNardo CD. Acute myeloid leukemia with IDH1 and IDH2 mutations: 2021 treatment algorithm. Blood Cancer J 2021;11(6):107 View Article PubMed/NCBI
  24. Uy GL, Mandrekar SJ, Laumann K, Marcucci G, Zhao W, Levis MJ, et al. A phase 2 study incorporating sorafenib into the chemotherapy for older adults with FLT3-mutated acute myeloid leukemia: CALGB 11001. Blood Adv 2017;1(5):331-340 View Article PubMed/NCBI
  25. Haferlach T, Nagata Y, Grossmann V, Okuno Y, Bacher U, Nagae G, et al. Landscape of genetic lesions in 944 patients with myelodysplastic syndromes. Leukemia 2014;28(2):241-247 View Article PubMed/NCBI
  26. Damle RN, Wasil T, Fais F, Ghiotto F, Valetto A, Allen SL, et al. Ig V gene mutation status and CD38 expression as novel prognostic indicators in chronic lymphocytic leukemia. Blood 1999;94(6):1840-1847 View Article PubMed/NCBI
  27. Hamblin TJ, Davis Z, Gardiner A, Oscier DG, Stevenson FK. Unmutated Ig V(H) genes are associated with a more aggressive form of chronic lymphocytic leukemia. Blood 1999;94(6):1848-1854 View Article PubMed/NCBI
  28. Visentin A, Bonaldi L, Rigolin GM, Mauro FR, Martines A, Frezzato F, et al. The combination of complex karyotype subtypes and IGHV mutational status identifies new prognostic and predictive groups in chronic lymphocytic leukaemia. Br J Cancer 2019;121(2):150-156 View Article PubMed/NCBI
  29. Avenarius MR, Huang Y, Hyak J, Byrd JC, Bhat SA, Grever M, et al. Refining prognosis in chronic lymphocytic leukemia with normal Fluorescence in situ hybridization results. Hematol Oncol 2023;41(4):771-775 View Article PubMed/NCBI
  30. Byrd JC, Furman RR, Coutre SE, Flinn IW, Burger JA, Blum KA, et al. Targeting BTK with ibrutinib in relapsed chronic lymphocytic leukemia. N Engl J Med 2013;369(1):32-42 View Article PubMed/NCBI
  31. Woyach JA, Ruppert AS, Guinn D, Lehman A, Blachly JS, Lozanski A, et al. BTK(C481S)-Mediated Resistance to Ibrutinib in Chronic Lymphocytic Leukemia. J Clin Oncol 2017;35(13):1437-1443 View Article PubMed/NCBI
  32. Laude MC, Lebras L, Sesques P, Ghesquieres H, Favre S, Bouabdallah K, et al. First-line treatment of double-hit and triple-hit lymphomas: Survival and tolerance data from a retrospective multicenter French study. Am J Hematol 2021;96(3):302-311 View Article PubMed/NCBI
  33. Lacy SE, Barrans SL, Beer PA, Painter D, Smith AG, Roman E, et al. Targeted sequencing in DLBCL, molecular subtypes, and outcomes: a Haematological Malignancy Research Network report. Blood 2020;135(20):1759-1771 View Article PubMed/NCBI
  34. Schmitz R, Wright GW, Huang DW, Johnson CA, Phelan JD, Wang JQ, et al. Genetics and Pathogenesis of Diffuse Large B-Cell Lymphoma. N Engl J Med 2018;378(15):1396-1407 View Article PubMed/NCBI
  35. Wright GW, Huang DW, Phelan JD, Coulibaly ZA, Roulland S, Young RM, et al. A Probabilistic Classification Tool for Genetic Subtypes of Diffuse Large B Cell Lymphoma with Therapeutic Implications. Cancer Cell 2020;37(4):551-568.e14 View Article PubMed/NCBI
  36. Jerez A, Clemente MJ, Makishima H, Koskela H, Leblanc F, Peng Ng K, et al. STAT3 mutations unify the pathogenesis of chronic lymphoproliferative disorders of NK cells and T-cell large granular lymphocyte leukemia. Blood 2012;120(15):3048-3057 View Article PubMed/NCBI
  37. Rajala HL, Eldfors S, Kuusanmäki H, van Adrichem AJ, Olson T, Lagström S, et al. Discovery of somatic STAT5b mutations in large granular lymphocytic leukemia. Blood 2013;121(22):4541-4550 View Article PubMed/NCBI
  38. Palomero T, Couronné L, Khiabanian H, Kim MY, Ambesi-Impiombato A, Perez-Garcia A, et al. Recurrent mutations in epigenetic regulators, RHOA and FYN kinase in peripheral T cell lymphomas. Nat Genet 2014;46(2):166-170 View Article PubMed/NCBI

About this Article

Cite this article
Zhao W. Applications of Molecular Genetic Testing in Hematopoietic and Lymphocytic Neoplasms. J Clin Transl Pathol. 2024;4(4):153-162. doi: 10.14218/JCTP.2024.00042.
Copy Export to RIS Export to EndNote
Article History
Received Revised Accepted Published
November 22, 2024 December 22, 2024 December 23, 2024 December 25, 2024
DOI http://dx.doi.org/10.14218/JCTP.2024.00042