Home
JournalsCollections
For Authors For Reviewers For Editorial Board Members
Article Processing Charges Open Access
Ethics Advertising Policy
Editorial Policy Resource Center
Company Information Contact Us Membership Collaborators Partners
OPEN ACCESS

Hepatic Biliary Adenofibroma: Histological Characteristics, Diagnostic Challenges, and Its Role as a Precursor to Intrahepatic Cholangiocarcinoma

  • Xiaoyan Liao1,*  and
  • Xuchen Zhang2,* 
Journal of Clinical and Translational Pathology   2024;4(4):163-167

doi: 10.14218/JCTP.2024.00044

Received:

Revised:

Accepted:

Published online:

 Author information

Citation: Liao X, Zhang X. Hepatic Biliary Adenofibroma: Histological Characteristics, Diagnostic Challenges, and Its Role as a Precursor to Intrahepatic Cholangiocarcinoma. J Clin Transl Pathol. 2024;4(4):163-167. doi: 10.14218/JCTP.2024.00044.

Abstract

Hepatic biliary adenofibroma is an exceedingly rare biliary neoplasm that primarily affects adults. It typically presents as a solitary mass composed of low-grade microcystic and tubuloglandular bile duct structures, which are lined by low columnar to cuboidal non-mucin-producing biliary epithelium and supported by abundant fibrous stroma. Histologically, it resembles the Von Meyenburg complex but is much larger in size and often shows cytologic atypia. Although considered benign, emerging case studies and analyses suggest that biliary adenofibroma may serve as a precursor lesion to intrahepatic cholangiocarcinoma. However, its extreme rarity, coupled with an incompletely understood histogenesis, perpetuates diagnostic uncertainty and may lead to misclassification with other similar entities. This review consolidates the current understanding of the histopathological and molecular characteristics of biliary adenofibroma, highlights its differential diagnosis, explores its potential progression to cholangiocarcinoma, and discusses unresolved questions while proposing future research directions.

Keywords

Liver, Biliary adenofibroma, Ductal plate malformation, Von Meyenburg complex, Bile duct adenoma, Intrahepatic cholangiocarcinoma, Pathology

Introduction

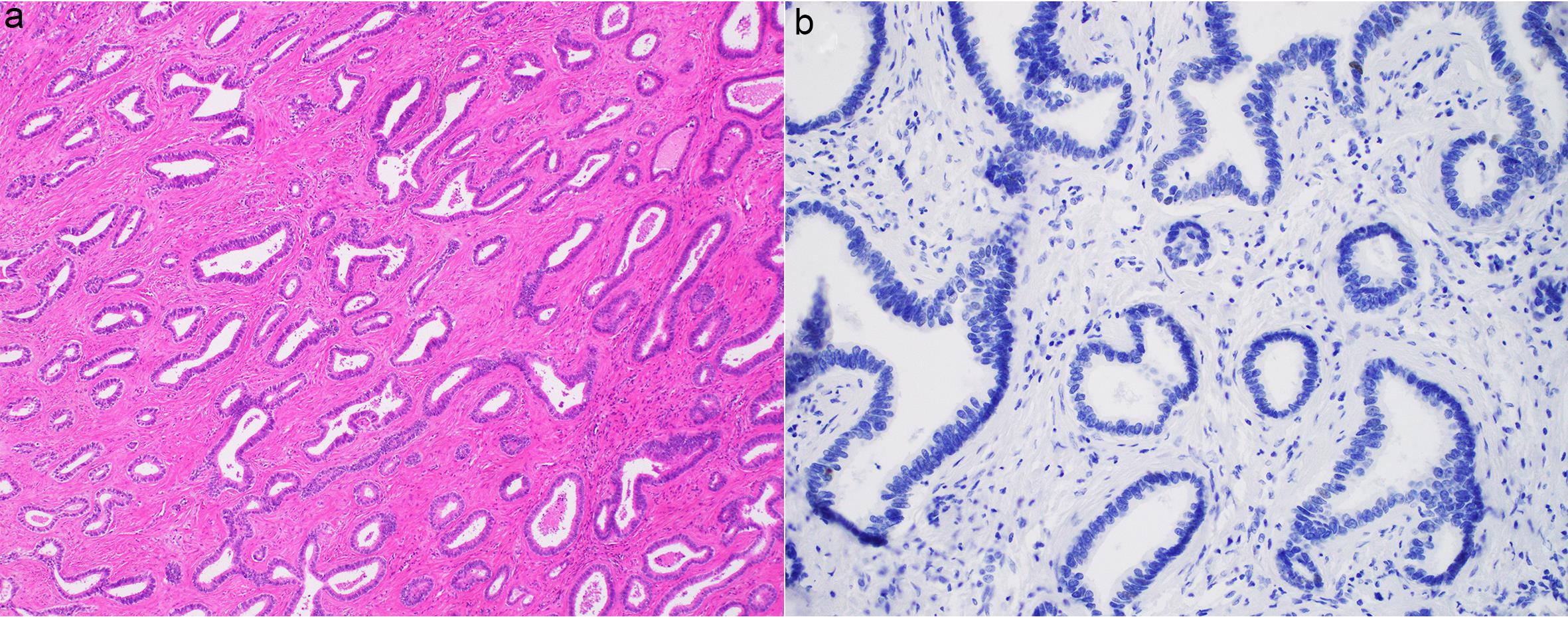
Neoplasms arising from the biliary system in the liver can be benign, borderline, or malignant. Intrahepatic cholangiocarcinoma (iCCA) refers to malignant bile duct tumors, accounting for approximately 10–15% of primary liver cancers, second only to hepatocellular carcinoma.1,2 iCCA may arise from borderline tumors or precursors such as biliary intraepithelial neoplasms. Benign biliary tumors commonly include von Meyenburg complexes (VMC), bile duct adenomas (BDA), biliary cysts, or cystadenomas (mucinous cystic neoplasms (MCNs)).3 Hepatic biliary adenofibroma (BAF), on the other hand, is an extremely rare benign bile duct tumor featuring low-grade tubuloglandular structures lined by a single layer of biliary epithelium and supported by abundant collagenous stroma, which is the origin of its name.4,5 Fewer than 25 cases have been documented in the English literature since the first case of BAF was reported three decades ago.4,6–9 Over the past decades, only one case fulfilling the morphologic criteria was retrospectively identified in the pathology databases of the two tertiary medical centers with which the authors are affiliated (Fig. 1a). The tumor exhibited a low Ki-67 proliferation index of less than 10% in both the epithelium and stroma, a characteristic feature supporting its diagnosis (Fig. 1b). Despite official recognition in the World Health Organization 5th edition for tumors of the digestive system as a distinct benign biliary tumor and precursor lesion to iCCA,5 the rarity of BAF continues to pose significant diagnostic challenges and raise unresolved questions, fueling ongoing interest and controversy surrounding this entity. This review aimed to enhance understanding of the histopathological and molecular features of BAF while outlining future research directions.

A rare case of biliary adenofibroma showing proliferation of individual biliary tubules and microcystic structures within a fibrous stroma (a). The tumor shows an extremely low Ki67 proliferation index in both the epithelium and stroma (b).
Fig. 1  A rare case of biliary adenofibroma showing proliferation of individual biliary tubules and microcystic structures within a fibrous stroma (a). The tumor shows an extremely low Ki67 proliferation index in both the epithelium and stroma (b).

Magnification: a: 40×; b: 200×.

Clinicopathologic characteristics

The first case of BAF was reported by Tsui et al.4 in 1993 in a 74-year-old woman who presented with abdominal pain and imaging findings of a 7-cm mass in the right hepatic lobe. Macroscopically, the tumor appeared as a well-circumscribed pedunculated mass with a microcystic cut surface. Histologically, the tumor exhibited biliary tubules, acini, and microcysts within a variably dense fibrotic stroma. It resembled VMC but was much larger and showed mild to moderate nuclear atypia. Following complete excision, the patient had a benign clinical course. However, the presence of cytologic atypia led the authors to suggest that BAF may have the potential to transform into iCCA.

Nearly a decade later, a second case of BAF was reported in a 47-year-old woman, presenting as a 16-cm solid and cystic liver mass with a histologic appearance similar to the first case, which also followed an indolent course.9 Over time, more cases were reported, with the largest case series comprising six patients, with a mean age of 60 years (range: 37–83 years) and a slight female predominance (F:M = 2:1). The masses, located in either the right or left hepatic lobes, were round to oval and ranged in size from 1.7 to 16 cm. The cut surface showed both solid and microcystic components in varying proportions, with a sponge-like appearance. Histologically, all masses displayed cystic/microcystic and tubular/glandular structures lined by low columnar and cuboidal non-mucin-producing biliary epithelium, similar to the initially reported case and our own (Fig. 1). Although immunohistochemical staining is not necessary for diagnosis, the epithelial cells were positive for AE1/3, CAM5.2, CK7, CK19, CEA, and EMA, which are typical of a biliary phenotype. Notably, none of the cases exhibited malignant features. Despite recurrences in two cases, all patients followed a benign or indolent course after excision, with no associated deaths.9

BAF with malignant transformation

Although no malignancy was reported in the largest case series,4 the potential link between BAF and iCCA has been a subject of ongoing discussion. This is unsurprising given the large size and dysplastic nature of the epithelium in BAF.6–8 However, due to the rarity of BAF, earlier case reports addressing its malignant transformation have varied in accuracy and consistency. For instance, Akin and Coskun, who reported the first case of malignant transformation of BAF with subsequent lung metastasis, did not provide histologic evidence to confirm the initial BAF diagnosis.10 Similarly, other reported cases have lacked convincing histopathological support for the BAF diagnosis.11 Nguyen et al.12 described a case of BAF with carcinoma in situ, but the accompanying histologic image resembled a benign biliary cyst rather than BAF. More convincing cases of malignant transformation of BAF require compelling histological evidence of a true BAF, an abrupt transition between BAF and adjacent iCC,13–16 or the presence of high-grade dysplasia originating from the epithelium within a BAF.17 Despite some inconsistencies in these reports, BAF is now widely recognized, like other benign biliary tumors, as a precursor lesion to iCCA. The exact risk of malignant transformation in BAF remains unclear due to the limited number of validated case reports. However, some authors suggest a malignancy rate of 37% (7/19) in resected BAF.18 Regardless, thorough sampling to exclude any focus of malignant transformation is recommended when BAF is encountered in practice.

Differential diagnosis

As a benign lesion, BAF needs to be distinguished from other biliary tumors. VMC is considered a miniature version of BAF in the first case report.4 Unlike BAF, which likely originates from the interlobular larger bile ducts (15–100 µm), VMC is thought to originate from the terminal bile ducts (<15 µm) and thus is much smaller in size, typically <0.5 cm.19 VMC is often multiple and can be associated with ductal plate malformation (DPM), a developmental anomaly due to the persistence of embryonic bile duct structures,20,21 whereas BAF is often solitary and has no established association with DPM. Histologically, both VMC and BAF feature dilated, irregular, and anastomosing bile ducts lined by bland cuboidal epithelium within a fibrotic stroma (Fig. 2a). However, the epithelium in VMC is often completely benign and lacks atypia, in contrast to BAF. Regardless, both BAF and VMC are considered precursor lesions to iCCA,22 and some literature describing the malignant transformation of BAF might actually be referring to VMC with malignant transformation,23 or vice versa,24 especially in cases where lesion size is unspecified.

Entities that mimic biliary adenofibroma.
Fig. 2  Entities that mimic biliary adenofibroma.

(a) Von Meyenburg complex, a small, incidental biliary lesion featuring dilated, irregular, and anastomosing bile ducts lined by bland cuboidal epithelium within a collagenous stroma. (b) Bile duct adenoma consists of small, evenly spaced bile duct structures with mild cytologic atypia and scant fibrous stroma. (c) A multilocular biliary cyst shows features of an intraductal papillary neoplasm of the bile duct lined by mucinous epithelium (left) and smaller cysts lined by non-mucinous epithelium (right), similar to biliary adenofibroma. (d) A large duct-type intrahepatic cholangiocarcinoma contains individual glands within a fibrous stroma resembling biliary adenofibroma but with marked cytologic atypia and perineural invasion. Magnification: a-c: 40×; d: 100×.

Another differential diagnosis for BAF is BDA. BDA is a benign, well-circumscribed lesion typically under 1 cm, often incidentally discovered during surgery for other conditions.25 Histologically, it features small, evenly spaced bile duct structures with mild cytologic atypia, similar to that seen in BAF, but lacks the cystic dilation, branching, and prominent fibrous component characteristic of BAF (Fig. 2b). Some studies have found frequent BRAF V600E mutations in BDA,26 suggesting a neoplastic nature. Similar to VMC, BDA can occur as a solitary lesion or in association with DPM and is also considered a potential precursor lesion to iCCA.27

Bile duct cystadenoma is an obsolete term in older nomenclature.28,29 It used to refer to multilocular or unilocular cysts with focal projected polypoid solid-tumor growth, including MCNs.30 The current definition of MCN requires the presence of ovarian-like subepithelial stroma, while cases with marked cystic changes but without ovarian-like stroma are reclassified as intraductal papillary or tubulopapillary neoplasms of the bile ducts (IPNB/ITPN).5 Nonetheless, these entities may overlap with BAF, making them sometimes difficult to distinguish.31 Some cases may show features of both BAF and IPNB/ITPN (Fig. 2c), and some reported cases of BAF with imminent malignant changes may actually be lesions that can be classifiable as IPNB or ITPN.17

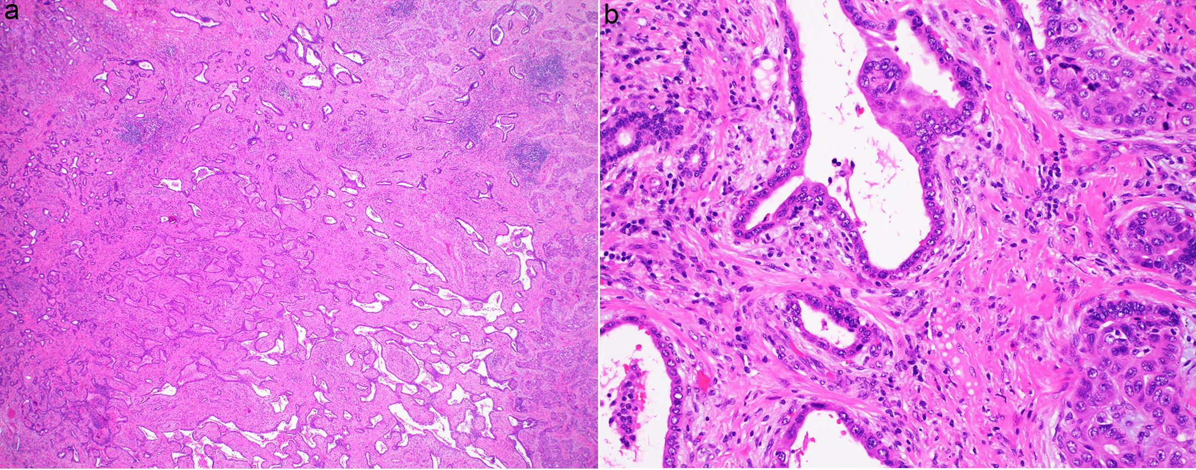
iCCA is perhaps the most critical differential diagnosis for BAF, particularly because iCCA can originate from BAF. The histomorphology of iCCA is diverse and categorized into small duct and large duct subtypes. The large duct iCCA often contains large cystically dilated glands resembling BAF, but significant cytologic atypia and an infiltrative growth pattern differentiate them from BAF (Fig. 2d). Small duct iCCA, especially the morphologic variant known as iCCA with DPM pattern, can closely mimic BAF as well. As the name implies, iCCA with DPM pattern features elongated, tortuous, and fused bile duct-like structures reminiscent of DPM.5,32,33 A careful examination for features such as pronounced cytologic atypia, increased mitotic activity, single-cell necrosis, and infiltrative growth is essential to differentiate iCCA from the benign nature of BAF. Nevertheless, iCCA, as a heterogeneous tumor, often contains a mixture of morphologic variants or a blend of low- and high-grade components (Fig. 3), which can lead to diagnostic confusion, particularly on biopsy specimens. In those cases, a portion of iCCA with DPM pattern may be misinterpreted as BAF,23,34 potentially contributing to an overestimation of reports describing BAF with malignant transformation.

An intrahepatic cholangiocarcinoma showing mixed histologic patterns, characterized by low-grade tubulocystic morphology that may be misinterpreted as a biliary adenofibroma at the bottom, a classic cholangiolocellular carcinoma pattern on the right, and a ductal plate malformation-like pattern on the left (a). Higher power shows the transition of the lower-grade microcystic component to the higher-grade solid component of this tumor (b), both components sharing similar nuclear features.
Fig. 3  An intrahepatic cholangiocarcinoma showing mixed histologic patterns, characterized by low-grade tubulocystic morphology that may be misinterpreted as a biliary adenofibroma at the bottom, a classic cholangiolocellular carcinoma pattern on the right, and a ductal plate malformation-like pattern on the left (a). Higher power shows the transition of the lower-grade microcystic component to the higher-grade solid component of this tumor (b), both components sharing similar nuclear features.

Magnification: a: 20×; b: 200×.

Because some individual case reports describing “carcinoma arising from BAF” did not provide convincing histologic evidence of a true BAF,35 and because the overlaps between BAF and a peculiar pattern of iCCA with distinctive tubulocystic morphology frequently lead to diagnostic confusion, some authors have recently proposed a new histologic subtype of iCCA called “tubulocystic carcinoma” of the bile ducts.36 In this recently published case series, “tubulocystic carcinoma” was described as low-grade, deceptively benign-appearing tubulocystic glands resembling BAF, transitioning into more complex IPNB and conventional small-duct iCCA. Based on limited data, this newly proposed variant may be less aggressive compared to conventional iCCA. However, histologic details were provided for only four of the eight cases, making it difficult to fully assess the validity of this variant.

Molecular pathogenesis

The molecular landscape of BAF remains poorly characterized due to the rarity of this lesion. As a precancerous entity, most BAFs display wild-type p53 expression by immunohistochemistry, suggesting an absence of TP53 mutations.7,9 However, slightly increased p53 expression, tetraploid status, and findings of chromosomal copy number alterations, including amplifications of the CCND1 and ERBB2 genes in some cases, suggest malignant potential in BAF.7,9 In cases of BAF with malignant transformation, one study revealed CCND1 amplification in both the BAF and the associated iCCA,15 with the iCCA component further harboring NRAS mutations. Another study reported two polymorphisms, TP53 (NM_000546.5: c.215C>G) and KIT (NM_000222.2: c.1621A>C), in both the BAF and iCCA components.10

In contrast, the molecular pathogenesis of iCCA is characterized by a more extensive and intricate genetic and molecular landscape,37 with frequent mutations in TP53, ARID1A, KRAS, IDH1, CDKN2A, BAP1, SMAD4, and PIK3CA, along with gene fusions involving FGFR2 or amplifications in genes such as EGFR2 (Her2/neu), MYC, MDM2, MET, CCND1, and CCNE1.38 In large duct iCCA, KRAS and SMAD4 mutations are common (up to 30% each), while in small duct iCCA, mutations in IDH1/2, BAP1, and BRAF (15–20%), or FGFR2 fusions (15%) are characteristic.38,39 iCCA with DPM pattern shares similar genetic profiles with small duct iCCA, with alterations in ARID1A, CDKN2A, TP53, BAP1, ATM, NF1, and STK11, alongside an FGFR2 fusion.40 Interestingly, the newly described “tubulocystic carcinoma” of the bile duct also features ARID1A, BAP1, and PBRM1 mutations, as well as an actionable FGFR2:MCU fusion,36,40 highlighting similarities among small duct iCCA, iCCA with a DPM pattern, and “tubulocystic carcinoma”. In this context, the observed, albeit less frequent, alterations of CCND1 and ERBB2 in BAF appear to be consistent with its role as a precursor lesion to iCCA within this spectrum.9

Future directions

Since BAF was first described more than three decades ago, it has been recognized as a distinct benign biliary tumor and a precursor lesion to iCCA, alongside BDA, MCN, and IPNB/ITPN. However, its rarity continues to pose diagnostic challenges and unresolved questions. First, is a size threshold of 0.5 cm sufficient to differentiate BAF from VMC? How should cytologic atypia be defined in BAF: should BAF only include lesions with a certain degree of atypia or dysplasia, or should cases with completely normal epithelium also be included in its category? Given the similarities between the VMC and BAF, further studies are needed to explore the potential relationship between them. Similarly, BAF, multilocular biliary cysts, and IPNB/ITPN may overlap in histogenesis,31 and thus entities with features of concurrent lesions may exist (Fig. 2c). Second, it is the authors’ opinion that BAF may not be reliably diagnosed by radiology alone or biopsy specimens due to its potential for malignancy. Therefore, it should explicitly be stated in World Health Organization guidelines to prevent confusion in both clinical practice and research. Finally, BAF with malignant transformation should be more clearly defined to avoid confusion with iCCA presenting with a DPM pattern or focal tubulocystic morphology. To address these controversies, continuous and collaborative efforts are essential to improve our understanding of this rare entity, refine the diagnostic criteria, and ensure clarity while minimizing the risk of misdiagnosis.

Conclusions

BAF is considered a premalignant lesion, typically presenting on macroscopic examination as a well-demarcated mass with mixed solid and cystic components. Histopathological examination remains essential for the diagnosis, requiring a detailed assessment of size, epithelial atypia, growth patterns, and any features indicative of malignancy. Besides refining clear diagnostic criteria, a deeper understanding of its malignant potential is also critical. Future research should prioritize molecular studies comparing BAF with related iCCA subtypes. Additionally, prospective clinical data may be needed to determine whether patients with BAF would benefit from regular follow-up to enable early detection of malignant transformation.

Declarations

Acknowledgement

The authors thank the Histology Department at the University of Rochester Medical Center for providing technical support.

Funding

This work was supported in part by the NIH Yale Liver Center Award (NIH P30 DK034989).

Conflict of interest

Both authors, XL and XZ have been editorial board members of Journal of Clinical and Translational Pathology since April 2023. The authors declare no other conflicts of interest.

Authors’ contributions

XL conducted the literature review and drafted the manuscript; XZ conducted the literature review and edited the manuscript. Both authors approved the final version for publication.

References

  1. Sung H, Ferlay J, Siegel RL, Laversanne M, Soerjomataram I, Jemal A, et al. Global Cancer Statistics 2020: GLOBOCAN Estimates of Incidence and Mortality Worldwide for 36 Cancers in 185 Countries. CA Cancer J Clin 2021;71(3):209-249 View Article PubMed/NCBI
  2. Bridgewater J, Galle PR, Khan SA, Llovet JM, Park JW, Patel T, et al. Guidelines for the diagnosis and management of intrahepatic cholangiocarcinoma. J Hepatol 2014;60(6):1268-1289 View Article PubMed/NCBI
  3. Sarcognato S, Sacchi D, Fassan M, Fabris L, Cadamuro M, Zanus G, et al. Benign biliary neoplasms and biliary tumor precursors. Pathologica 2021;113(3):147-157 View Article PubMed/NCBI
  4. Tsui WM, Loo KT, Chow LT, Tse CC. Biliary adenofibroma. A heretofore unrecognized benign biliary tumor of the liver. Am J Surg Pathol 1993;17(2):186-192 View Article PubMed/NCBI
  5. WHO Classification of Tumours Editorial Board. WHO Classification of Tumours: Digestive System Tumours. 5th edition. Lyon, France: IARC Publications; 2019 View Article PubMed/NCBI
  6. Jacobs MA, Lanciault C, Weinstein S. Incidental biliary adenofibroma with dysplastic features. BJR Case Rep 2015;1(2):20150100 View Article PubMed/NCBI
  7. Varnholt H, Vauthey JN, Dal Cin P, Marsh Rde W, Bhathal PS, Hughes NR, et al. Biliary adenofibroma: a rare neoplasm of bile duct origin with an indolent behavior. Am J Surg Pathol 2003;27(5):693-698 View Article PubMed/NCBI
  8. Gurrera A, Alaggio R, Leone G, Aprile G, Magro G. Biliary adenofibroma of the liver: report of a case and review of the literature. Patholog Res Int 2010;2010:504584 View Article PubMed/NCBI
  9. Arnason T, Borger DR, Corless C, Hagen C, Iafrate AJ, Makhlouf H, et al. Biliary Adenofibroma of Liver: Morphology, Tumor Genetics, and Outcomes in 6 Cases. Am J Surg Pathol 2017;41(4):499-505 View Article PubMed/NCBI
  10. Akin O, Coskun M. Biliary adenofibroma with malignant transformation and pulmonary metastases: CT findings. AJR Am J Roentgenol 2002;179(1):280-281 View Article PubMed/NCBI
  11. Wang SC, Chen YY, Cheng F, Wang HY, Wu FS, Teng LS. Malignant transformation of biliary adenofibroma combined with benign lymphadenopathy mimicking advanced liver carcinoma: A case report. World J Clin Cases 2022;10(25):9104-9111 View Article PubMed/NCBI
  12. Nguyen NT, Harring TR, Holley L, Goss JA, O’Mahony CA. Biliary adenofibroma with carcinoma in situ: a rare case report. Case Reports Hepatol 2012;2012:793963 View Article PubMed/NCBI
  13. Sturm AK, Welsch T, Meissner C, Aust DE, Baretton G. A case of biliary adenofibroma of the liver with malignant transformation: a morphomolecular case report and review of the literature. Surg Case Rep 2019;5(1):104 View Article PubMed/NCBI
  14. Kaminsky P, Preiss J, Sasatomi E, Gerber DA. Biliary adenofibroma: A rare hepatic lesion with malignant features. Hepatology 2017;65(1):380-383 View Article PubMed/NCBI
  15. Alshbib A, Grzyb K, Syversveen T, Reims HM, Lassen K, Yaqub S. Biliary Adenofibroma: A Rare Liver Tumor with Transition to Invasive Carcinoma. Case Rep Surg 2022;2022:5280884 View Article PubMed/NCBI
  16. Thai E, Dalla Valle R, Evaristi F, Silini EM. A case of biliary adenofibroma with malignant transformation. Pathol Res Pract 2016;212(5):468-470 View Article PubMed/NCBI
  17. Tsutsui A, Bando Y, Sato Y, Miyake H, Sawada-Kitamura S, Shibata H, et al. Biliary adenofibroma with ominous features of imminent malignant changes. Clin J Gastroenterol 2014;7(5):441-448 View Article PubMed/NCBI
  18. Chua D, Chiow AKH, Ang TL, Wang LM. Malignant Transformation Arising Within Unusual and Rare Hepatic Lesions: Fibropolycystic Disease Form of Ductal Plate Malformation and Biliary Adenofibroma. Int J Surg Pathol 2018;26(6):542-550 View Article PubMed/NCBI
  19. Lev-Toaff AS, Bach AM, Wechsler RJ, Hilpert PL, Gatalica Z, Rubin R. The radiologic and pathologic spectrum of biliary hamartomas. AJR Am J Roentgenol 1995;165(2):309-313 View Article PubMed/NCBI
  20. Desmet VJ. Ludwig symposium on biliary disorders—part I. Pathogenesis of ductal plate abnormalities. Mayo Clin Proc 1998;73(1):80-89 View Article PubMed/NCBI
  21. Roskams T, Desmet V. Embryology of extra- and intrahepatic bile ducts, the ductal plate. Anat Rec (Hoboken) 2008;291(6):628-635 View Article PubMed/NCBI
  22. Bhalla A, Mann SA, Chen S, Cummings OW, Lin J. Histopathological evidence of neoplastic progression of von Meyenburg complex to intrahepatic cholangiocarcinoma. Hum Pathol 2017;67:217-224 View Article PubMed/NCBI
  23. Thompson SM, Zendejas-Mummert B, Hartgers ML, Venkatesh SK, Smyrk TC, Mahipal A, et al. Malignant transformation of biliary adenofibroma: a rare biliary cystic tumor. J Gastrointest Oncol 2016;7(6):E107-E112 View Article PubMed/NCBI
  24. Kim HK, Jin SY. Cholangiocarcinoma arising in von Meyenburg complexes. Korean J Hepatol 2011;17(2):161-164 View Article PubMed/NCBI
  25. Allaire GS, Rabin L, Ishak KG, Sesterhenn IA. Bile duct adenoma. A study of 152 cases. Am J Surg Pathol 1988;12(9):708-715 View Article PubMed/NCBI
  26. Pujals A, Amaddeo G, Castain C, Bioulac-Sage P, Compagnon P, Zucman-Rossi J, et al. BRAF V600E mutations in bile duct adenomas. Hepatology 2015;61(1):403-405 View Article PubMed/NCBI
  27. Sasaki M, Sato Y, Nakanuma Y. Bile duct adenoma may be a precursor lesion of small duct type intrahepatic cholangiocarcinoma. Histopathology 2021;78(2):310-320 View Article PubMed/NCBI
  28. Stanley J, Vujic I, Schabel SI, Gobien RP, Reines HD. Evaluation of biliary cystadenoma and cystadenocarcinoma. Gastrointest Radiol 1983;8(3):245-248 View Article PubMed/NCBI
  29. Palacios E, Shannon M, Solomon C, Guzman M. Biliary cystadenoma: ultrasound, CT, and MRI. Gastrointest Radiol 1990;15(4):313-316 View Article PubMed/NCBI
  30. Manouras A, Markogiannakis H, Lagoudianakis E, Katergiannakis V. Biliary cystadenoma with mesenchymal stroma: report of a case and review of the literature. World J Gastroenterol 2006;12(37):6062-6069 View Article PubMed/NCBI
  31. Kai K, Yakabe T, Kohya N, Miyoshi A, Iwane S, Mizuta T, et al. A case of unclassified multicystic biliary tumor with biliary adenofibroma features. Pathol Int 2012;62(7):506-510 View Article PubMed/NCBI
  32. Nakanuma Y, Sato Y, Ikeda H, Harada K, Kobayashi M, Sano K, et al. Intrahepatic cholangiocarcinoma with predominant “ductal plate malformation” pattern: a new subtype. Am J Surg Pathol 2012;36(11):1629-1635 View Article PubMed/NCBI
  33. Choe JY, Kim H. Intrahepatic cholangiocarcinoma with predominant ductal plate malformation pattern. Clin Mol Hepatol 2014;20(2):214-217 View Article PubMed/NCBI
  34. Parkhi M, Joshi R, Kumar M, Sharma A, Mitra S, Kaman L. Biliary adenofibroma: a precursor lesion of intrahepatic cholangiocarcinoma. Autops Case Rep 2023;13:e2023453 View Article PubMed/NCBI
  35. Godambe A, Brunt EM, Fulling KH, Reza Kermanshahi T. Biliary Adenofibroma with Invasive Carcinoma: Case Report and Review of the Literature. Case Rep Pathol 2016;2016:8068513 View Article PubMed/NCBI
  36. Masetto F, Mafficini A, Saka B, Armutlu A, Chatterjee D, Jang KT, et al. Tubulocystic Carcinoma of Bile Ducts: A Distinct Type of Cholangiocarcinoma Associated With Adenofibroma-type Lesions. Am J Surg Pathol 2024;48(9):1082-1092 View Article PubMed/NCBI
  37. Andraus W, Tustumi F, de Meira Junior JD, Pinheiro RSN, Waisberg DR, Lopes LD, et al. Molecular Profile of Intrahepatic Cholangiocarcinoma. Int J Mol Sci 2023;25(1):461 View Article PubMed/NCBI
  38. Weinberg BA, Xiu J, Lindberg MR, Shields AF, Hwang JJ, Poorman K, et al. Molecular profiling of biliary cancers reveals distinct molecular alterations and potential therapeutic targets. J Gastrointest Oncol 2019;10(4):652-662 View Article PubMed/NCBI
  39. Chung T, Rhee H, Shim HS, Yoo JE, Choi GH, Kim H, et al. Genetic, Clinicopathological, and Radiological Features of Intrahepatic Cholangiocarcinoma with Ductal Plate Malformation Pattern. Gut Liver 2022;16(4):613-624 View Article PubMed/NCBI
  40. Sasaki M, Sato Y, Nakanuma Y. Cholangiolocellular Carcinoma With “Ductal Plate Malformation” Pattern May Be Characterized by ARID1A Genetic Alterations. Am J Surg Pathol 2019;43(3):352-360 View Article PubMed/NCBI

About this Article

Cite this article
Liao X, Zhang X. Hepatic Biliary Adenofibroma: Histological Characteristics, Diagnostic Challenges, and Its Role as a Precursor to Intrahepatic Cholangiocarcinoma. J Clin Transl Pathol. 2024;4(4):163-167. doi: 10.14218/JCTP.2024.00044.
Copy Export to RIS Export to EndNote
Article History
Received Revised Accepted Published
November 24, 2024 December 15, 2024 December 16, 2024 December 24, 2024
DOI http://dx.doi.org/10.14218/JCTP.2024.00044