Home
JournalsCollections
For Authors For Reviewers For Editorial Board Members
Article Processing Charges Open Access
Ethics Advertising Policy
Editorial Policy Resource Center
Company Information Contact Us Membership Collaborators Partners
OPEN ACCESS

Prognostic Power of the Micropapillary Pattern in Pancreatic Ductal Adenocarcinoma: A Game Changer

  • Ceren Utku1,
  • Deniz Nart1,
  • Gurdeniz Serin1,
  • Duygu Doga Ekizalioglu2,
  • Tufan Gumus3,
  • Alper Uguz3 and
  • Funda Yilmaz1,* 
Journal of Clinical and Translational Pathology   2024;4(4):145-152

doi: 10.14218/JCTP.2024.00045

Received:

Revised:

Accepted:

Published online:

 Author information

Citation: Utku C, Nart D, Serin G, Ekizalioglu DD, Gumus T, Uguz A, et al. Prognostic Power of the Micropapillary Pattern in Pancreatic Ductal Adenocarcinoma: A Game Changer. J Clin Transl Pathol. 2024;4(4):145-152. doi: 10.14218/JCTP.2024.00045.

Abstract

Background and objectives

Pancreatic ductal adenocarcinoma (PDAC) is an aggressive malignancy characterized by distinct histological subtypes and a poor prognosis. Among these, the micropapillary pattern, typically observed focally, has been associated with worse outcomes in various cancers. This study aimed to evaluate the prognostic significance of the micropapillary pattern in PDAC, focusing on its percentage within the tumor and its impact on overall survival.

Methods

A retrospective analysis was conducted on 71 patients with surgically resected PDAC. Micropapillary patterns were categorized based on their percentage within the tumor (≥20%) and compared to non-micropapillary cases. Demographic, clinical, and histological data, including tumor nodule metastasis stage, tumor grade, peripancreatic fat tissue invasion, and resection margin status, were analyzed. Survival data were assessed using Kaplan-Meier and Cox proportional hazards models. A p-value < 0.05 was considered statistically significant.

Results

The cohort included 28 female and 43 male patients, with a mean age of 63.25 years. Of the 71 cases, 23.9% (n = 17) exhibited a micropapillary pattern. The median overall survival for the micropapillary group was eight months, compared to 18 months for the non-micropapillary group (p = 0.017). Multivariate analysis revealed that the micropapillary group had an increased risk of mortality (hazard ratio = 1.892, p = 0.042), independent of tumor nodule metastasis stage.

Conclusions

Our findings indicate that the micropapillary pattern, even when present in as little as 20% of the tumor, serves as an independent prognostic factor for decreased survival in PDAC. Incorporating the percentage of the micropapillary pattern into pathology reports could provide valuable insights into the tumor’s biological behavior, potentially enhancing patient management strategies.

Keywords

Micropapillary, Pancreatobiliary, Prognosis, Non-micropapillary, Survival, Ductal adenocarcinoma

Introduction

Pancreatic ductal adenocarcinoma (PDAC) is an aggressive malignant neoplasm characterized by histological subtypes with distinct molecular and prognostic features, as well as intratumoral heterogeneity and diverse morphological patterns. According to the World Health Organization (WHO) classification, these histological subtypes include adenosquamous carcinoma, squamous cell carcinoma, colloid carcinoma, hepatoid carcinoma, medullary carcinoma, invasive micropapillary carcinoma, signet-ring cell (poorly cohesive cell) carcinoma, undifferentiated carcinoma, and undifferentiated carcinoma with osteoclast-like giant cells.1 In conventional PDAC, particularly in moderately differentiated tumors, cribriform, micropapillary, papillary, and gyriform morphological patterns may be observed, often presenting in combination within resection specimens.1–3

The micropapillary pattern, characterized by papillary projections without fibrovascular cores and tumor cells appearing to rest in stromal spaces, has also been observed in tumors of the breast, ovary, bladder, and lung, where it is strongly associated with aggressive behavior and lymph node metastases.4–6 In PDACs, this pattern is typically seen focally but may rarely constitute the predominant histological component. When the micropapillary pattern accounts for ≥50% of the tumor, it fulfills the criteria for a diagnosis of invasive micropapillary carcinoma (IMC).1,7,8 In addition to studies reporting the poor prognostic significance of the micropapillary pattern in various organs, there are also studies linking the presence of a focal micropapillary pattern in the pancreas to lower survival rates.9,10

PDACs are characterized by their poor prognosis and fatal outcomes, with reported median survival ranging from 10 to 20 months following surgical treatment.11–14 In resectable cases, tumor stage has been identified as the most significant prognostic determinant. Although various histological features with prognostic significance have been described, such as tumor grade, resection margin status, and peripancreatic fat invasion, none has demonstrated prognostic importance comparable to staging.1,12,15–18 At the same time, recent studies indicate that high-grade patterns, such as micropapillary or other non-glandular patterns in PDACs, significantly impact prognosis.9,10,19,20

The structural organization of the tumor and the proportion of morphological components, including high-grade patterns like micropapillary structures, are also relevant in this context. Thus, in this study, we aimed to investigate the relationship between the micropapillary pattern ratio and prognosis in PDACs. Additionally, we sought to evaluate the relationship between these parameters and other histological and clinicopathological factors with known prognostic importance, particularly in relation to overall survival.

Materials and methods

Patient selection

Cases of pancreatic adenocarcinomas reported as conventional PDAC and IMC were retrieved from the hospital data processing system of Ege University. Special attention was given to selecting patients who had undergone surgical resection by the same surgical team. Cases of PDAC containing other subtypes were excluded, as were cases in which patients had received neoadjuvant therapy, due to potential morphological changes caused by treatment. Ultimately, 71 patients were deemed suitable for inclusion in the study.

Demographic, radiological, and clinical data were obtained from surgical resection files and electronic medical records.

Histopathologic analyses

Gross examination and sampling were conducted at the Department of Medical Pathology, Ege University, using a standardized sampling protocol for all cases.

Tumors were sampled with one representative block per centimeter of the tumor’s greatest diameter. Tissue sections were fixed in 10% buffered formalin, embedded in paraffin, sectioned at 4 µm, and stained with hematoxylin and eosin. For each case, all hematoxylin and eosin-stained slides were reviewed and re-evaluated for morphological pattern analysis. Two pathologists (DN and CU) conducted the evaluations. The micropapillary pattern was defined according to previously established criteria for lung and breast carcinomas.4,5,21–23 The percentage of the micropapillary pattern was recorded for each case by evaluating all tumor slides, and the average percentage was noted. Cases were divided into micropapillary and non-micropapillary groups based on the percentage of the micropapillary pattern. Cases meeting the criteria for invasive micropapillary carcinoma (≥50% micropapillary pattern) were included in the micropapillary group. The classifications used for pattern evaluation and subcategorization are detailed in Table 1.

Table 1

Criteria used for morphological pattern subclassification and subcategorization of patterns

Pattern/GroupDefinition
Micropapillary patternIdentified by papillary projections without fibrovascular cores, where tumor cells appear to rest in stromal spaces.
Micropapillary groupCases bearing ≥20% micropapillary pattern
Non-micropapillary groupCases with <20% micropapillary pattern

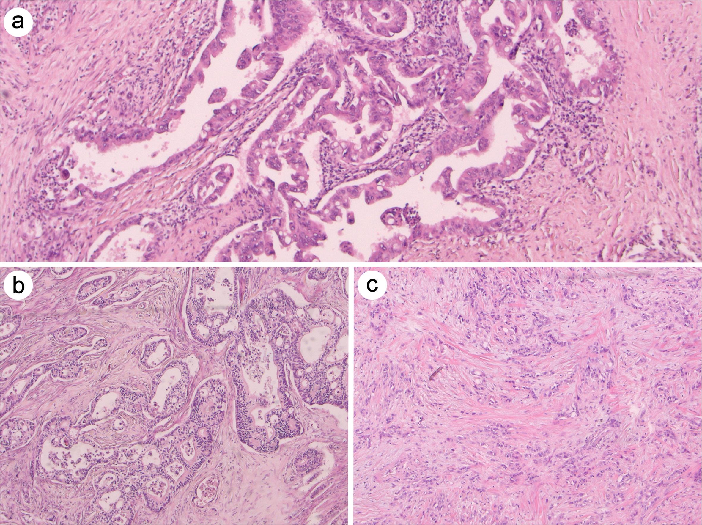
The non-micropapillary group, serving as the control group, consisted of classical PDAC cases exhibiting tubular, cribriform, and solid patterns in some areas (Fig. 1). Histological subtypes defined by the WHO classification—such as adenosquamous carcinoma, squamous cell carcinoma, colloid carcinoma, hepatoid carcinoma, medullary carcinoma, signet-ring cell (poorly cohesive cell) carcinoma, undifferentiated carcinoma, and undifferentiated carcinoma with osteoclast-like giant cells—were excluded from this study.

Representative images of pancreatic ductal adenocarcinoma (PDAC) showing tubular (a; hematoxylin and eosin (H&E), ×20), cribriform (b; H&E, ×10), and solid (c; H&E, ×10) growth patterns observed in selected areas.
Fig. 1  Representative images of pancreatic ductal adenocarcinoma (PDAC) showing tubular (a; hematoxylin and eosin (H&E), ×20), cribriform (b; H&E, ×10), and solid (c; H&E, ×10) growth patterns observed in selected areas.

Histological parameters known to have prognostic significance, including tumor grade (differentiation), retroperitoneal resection margin status, and peripancreatic fat tissue invasion, were also reassessed. Tumor grading was performed according to the traditional WHO grading system, based on the degree of glandular differentiation, mucin production, mitotic activity, and nuclear features, with a combined assessment of these components.

Statistical analyses

For all cases, demographic data (e.g., age and gender), tumor nodule metastasis (TNM) stages, and histological parameters were included in the statistical analyses. Differences between variables were analyzed using an independent t-test for continuous variables and a chi-square test for categorical variables.

The time between the date of surgery and either death or the last follow-up was defined as overall survival (OS). Survival analysis was performed using the Kaplan-Meier method, and differences between groups were assessed using the log-rank test. Additionally, univariate and multivariate Cox proportional hazards regression analyses were conducted for OS. All statistical analyses were conducted using SPSS version 25.0 for Social Sciences. A p-value < 0.05 was considered statistically significant. Continuous variables with a normal distribution (e.g., age) are expressed as means with standard deviations, while categorical variables are presented as percentages.

Results

Overall patient characteristics

The clinicopathological characteristics of the overall study population are summarized in Table 2. The mean age of the patients was 63.25 years. The female-to-male ratio was 1:1.54, with 28 females and 43 males.

Table 2

Comparison of clinicopathologic characteristics between micropapillary group and non-micropapillary group

n (%)
p
Total (n = 71)Micropapillary group (n = 17)Non-micropapillary group (n = 54)
Age (mean ± SD)63.3 ± 1.266.4 ± 2.462.3 ± 1.30.124
Sex0.572
  Female28 (39.4)8 (47.1)20 (37.0)
  Male43 (60.6)9 (52.9)34 (63)
TNM stage0.529*
  I15 (21.1)2 (11.8)13 (24.1)
  II28 (39.4)8 (47.1)20 (37.0)
  III28 (39.4)7 (41.2)21 (38.9)
  IV0 (0.0)0.(0.0)0 (0.0)
WHO tumor grade0.324*
  I6 (8.5)0 (0.0)6 (11.1)
  II52 (73.2)13 (76.5)39 (72.2)
  III13 (18.3)4 (23.5)9 (16.7)
Retroperitoneal RMI38 (53.5)12 (70.6)26 (48.1)0.163
Peripancreatic fat invasion65 (91.5)16 (94.1)49 (90.7)0.662*
Survival
  EM survival (Mo)15818
  SE (95% CI)1.993 (11.094- 18.906)2.903 (2.309- 13.691)2.233 (13.623- 22.377)
  Estimated one-year OS (%)61.238.568.20.017**

Regarding TNM staging, 21.1% of the cases (n = 15) were Stage I, 39.4% (n = 28) were Stage II, and 39.4% (n = 28) were Stage III, with no cases in Stage IV. According to the traditional WHO grading system, 8.5% of the cases (n = 6) were Grade I, 73.2% (n = 52) were Grade II, and 18.3% (n = 13) were Grade III. Retroperitoneal resection margin positivity was observed in 53.5% of the cases (n = 38), while peripancreatic fat tissue invasion was present in 91.5% of the cases (n = 65).

Micropapillary group vs. non-micropapillary group

The micropapillary group consisted of 17 cases (23.9%), while the non-micropapillary group included 54 cases (76.1%). Representative images are provided in Figures 1 and 2, and clinicopathological characteristics are summarized in Table 2. No statistically significant differences were observed in terms of age or gender distribution between the micropapillary and non-micropapillary groups. However, the mean age of the micropapillary group was slightly higher (66.4 ± 2.4 vs. 62.3 ± 1.3, p = 0.124). The distribution of patients according to the TNM stage classification for both groups is shown in Table 2, with no statistically significant differences between the groups (p = 0.529). Regarding tumor grading based on WHO criteria, in the micropapillary group, 76.5% of cases (n = 13) were Grade II, and 23.5% (n = 4) were Grade III, with no cases classified as Grade I. No statistically significant differences were observed between the micropapillary pattern and tumor grade distribution (p = 0.324).

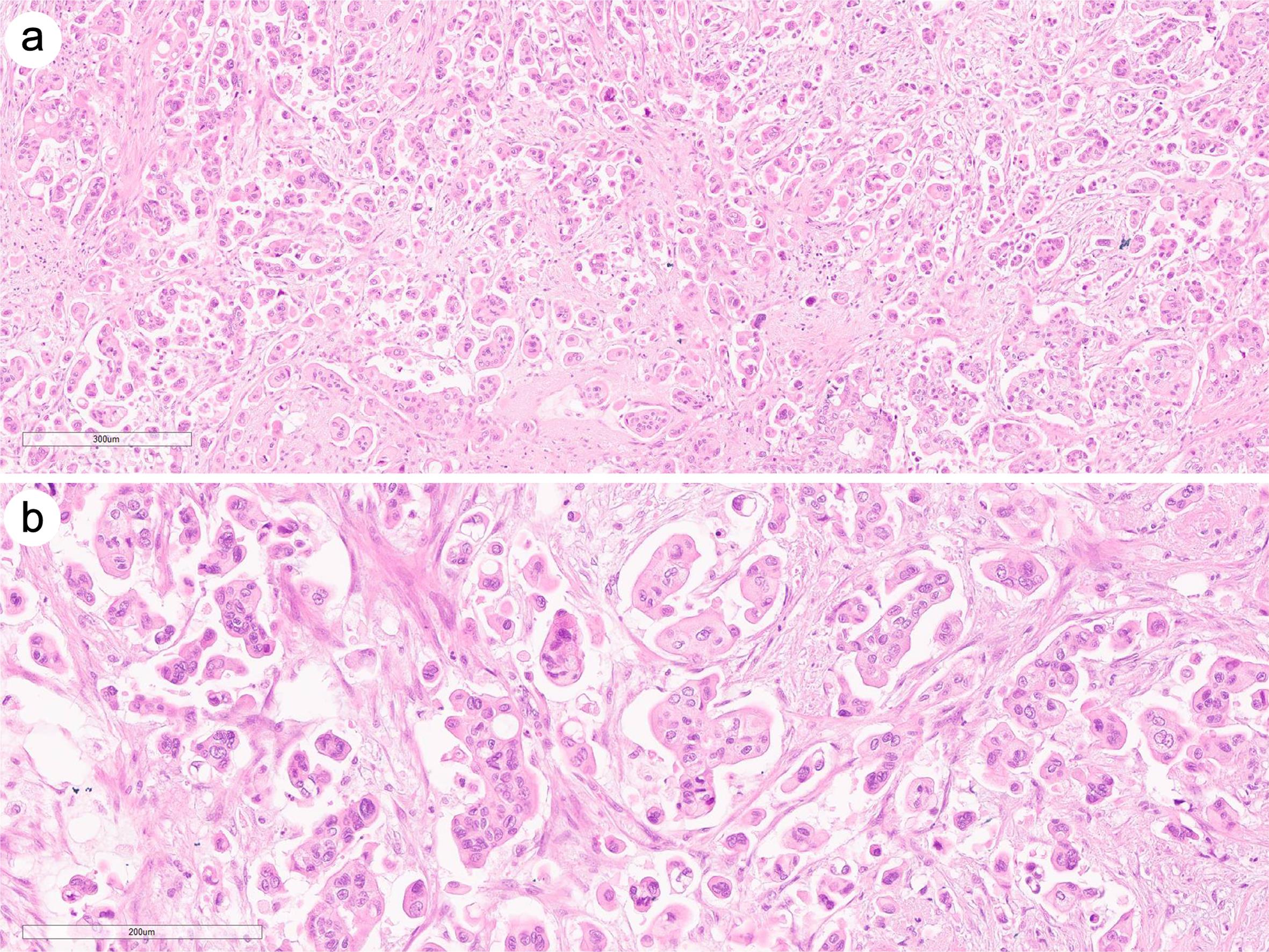
Representative image of a case with a micropapillary pattern >20%.
Fig. 2  Representative image of a case with a micropapillary pattern >20%.

Retroperitoneal resection margin positivity was more frequent in the micropapillary group compared to the non-micropapillary group (70.6% vs. 48.1%), but this difference did not reach statistical significance (p = 0.163). Similarly, peripancreatic fat tissue invasion did not show a statistically significant difference between the groups (p = 0.662). When the two groups were compared in terms of lymph node metastasis, 13 out of 17 cases (76.5%) in the micropapillary group and 38 out of 54 cases (70.4%) in the non-micropapillary group exhibited lymph node metastasis. Consequently, no significant differences were observed between the groups regarding the presence of lymph node metastasis (p = 0.62).

Survival analysis

Survival data were available for all 71 patients. The estimated median survival time for the overall cohort was 15 months (±1.993; 95% confidence interval (CI), 11.094–18.906). The Kaplan-Meier analysis results for overall survival are summarized in Table 2, and the univariate and multivariate Cox regression analyses’ findings are outlined in Table 3.

Table 3

Cox regression analysis for overall survival

VariablesUnivariate
Multivariate
HR95% CI p-valueHR95% CIp-value
Age1.0110.982–1.0410.468
Gender
  Female1
  Male0.8910.497- 1.6000.700
TNM stage
  I1
  II1.8550.815–4.2210.141
  III2.3071.022–5.2080.0441.4170.974–2.0620.069
WHO tumor grade
  I1
  II1.9010.457–7.9120.377
  III2.9800.642–13.8410.163
Retroperitoneal RMS
Negative1
Positive1.5130.857–2.6690.153
Peripancreatic fat invasion
  Absent1
  Present2.6630.820–8.6550.103
Non-micropapillary group1
Micropapillary group1.8861.012–3.5160.0461.8921.025–3.4930.042

Survival analysis of micropapillary group vs. non-micropapillary group

Kaplan-Meier analysis revealed a significant difference in overall survival between the micropapillary and non-micropapillary groups (Table 2, Fig. 3). Patients in the non-micropapillary group had a median survival time of 18 months (±2.233; 95% CI, 13.623–22.377), while those in the micropapillary group had a median survival time of eight months (±2.903; 95% CI, 2.309–13.691), which was statistically significant (p = 0.017). Regarding the one-year survival rate, patients in the non-micropapillary group had a rate of 68.2%, whereas those in the micropapillary group had a significantly lower rate of 38.5% (p = 0.017) (Fig. 3).

Kaplan-Meier analysis of overall survival comparing the micropapillary and non-micropapillary groups.
Fig. 3  Kaplan-Meier analysis of overall survival comparing the micropapillary and non-micropapillary groups.

Cox proportional hazards regression analysis identified significant prognostic factors for overall survival (Table 3). Among the analyzed variables, the micropapillary group exhibited a significantly increased risk of mortality, with a hazard ratio (HR) of 1.886 (95% CI, 1.012–3.516; p = 0.046).

Regarding tumor stage, patients with stage III tumors had a significantly higher risk of mortality compared to stage I (HR = 2.307; 95% CI, 1.022–5.208; p = 0.044). Other factors, including age, gender, tumor grade, retroperitoneal resection margin status, and the presence of peripancreatic fat invasion, were not significantly associated with overall survival (p > 0.05 for all).

The findings from the univariate and multivariate Cox regression analyses, including TNM stage and the micropapillary group, are summarized in Table 3. Multivariate Cox proportional hazards regression analysis demonstrated that the micropapillary group independently influenced overall survival, with a significantly increased risk of mortality (HR = 1.892; 95% CI, 1.025–3.493; p = 0.042) (Table 3). TNM stage demonstrated a non-significant trend toward an increased risk of mortality, with HRs of 1.346 (95% CI, 0.913–1.984; p = 0.134) for stage II and 1.417 (95% CI, 0.974–2.062; p = 0.069) for stage III.

These findings highlight the independent prognostic value of the micropapillary pattern in predicting survival outcomes.

Survival analysis of micropapillary subgroups

Within the micropapillary group, 17 cases were further categorized into two subgroups: those with a micropapillary pattern comprising ≥50% of the tumor (IMC) and those with a micropapillary pattern between 20% and 50%. Of these, six cases comprised the ≥50% group, while 11 cases constituted the 20%–50% group. Kaplan-Meier analysis showed the estimated median survival for the groups with <20%, 20–50%, and ≥50% micropapillary patterns to be 18 months (±2.233; 95% CI, 13.623–22.377), 14 months (±4.265; 95% CI, 5.641–22.359), and five months (±1.993; 95% CI, 1.094–8.906), respectively. This difference was statistically significant (p = 0.041). The Kaplan-Meier overall survival analysis for these three groups is illustrated in Figure 4. In the analysis comparing the 20–50% and ≥50% groups, the difference in survival was not statistically significant (p = 0.610).

Fig. 4  

Kaplan-Meier analysis of overall survival among three groups based on the micropapillary pattern: <20%, 20–50%, and ≥50%.

Discussion

In this study, we aimed to evaluate the prognostic significance of the micropapillary pattern, even when observed focally, in PDAC within a well-defined cohort of patients characterized by the absence of prior treatment, surgical resection, and standardized macroscopic evaluation. The micropapillary group comprised 23.9% of the patients. There were no significant differences between the micropapillary and non-micropapillary groups regarding age, gender, TNM stage, WHO grade, retroperitoneal resection margin status, or peripancreatic fat tissue invasion. However, the micropapillary group exhibited significantly shorter median survival, an increased risk of mortality, and a lower one-year OS rate.

The micropapillary pattern was first identified in breast tumors and subsequently in other sites, including the ovary, breast, bladder, and lung, with studies confirming its association with aggressive behavior and lymph node metastases.4–6,23 Studies of lung adenocarcinomas, like PDAC, emphasize their highly heterogeneous nature with diverse morphological patterns. Among these, the micropapillary pattern is considered high-grade and holds prognostic significance, with subgroups of micropapillary pattern also being described.21,22,24 The micropapillary pattern has also been described in PDAC, typically observed focally. However, when it represents the dominant pattern (≥50%), it warrants a diagnosis of invasive micropapillary carcinoma.1,7,8 Cases of pure micropapillary patterns in pancreatic tumors have also been reported.8,25

In a study by Khayyata et al.,10 pancreatic ductal adenocarcinomas with at least 20% micropapillary patterns (comprising 4% of cases) demonstrated a median survival of eight months (mean 17 months; confidence interval of six to ten months), slightly worse than that of conventional PDACs (median 13 months, mean 20 months), though the difference was not statistically significant. In another study, Ryota et al.26 reported a 5.8% frequency of patients with invasive micropapillary components, where the micropapillary pattern constituted less than 20% of the tumor in all cases. They noted that a micropapillary pattern of less than 20% did not significantly impact prognosis.26

In our study, PDAC cases with at least 20% micropapillary patterns comprised 23% of the cohort. The median survival for these cases was eight months, aligning with the findings of Khayyata et al.,10 and this difference was statistically significant. Furthermore, multivariate Cox proportional hazards regression analysis demonstrated that the micropapillary pattern with ≥20% involvement significantly impacted overall survival, independent of TNM stage. These findings highlight that the micropapillary pattern, even when present focally (≥20%), is an independent prognostic risk factor, distinct from TNM stage, which remains the strongest prognostic indicator for resectable cases.

Various histological features with prognostic significance have been described, including tumor grade, mitotic count, and major vessel and perineural invasion, but none have shown prognostic importance comparable to staging.1,15–17 Tumor grading, based on glandular differentiation (e.g., glandular structures vs. solid growth), mucin presence, nuclear pleomorphism, and mitotic activity, is considered an independent prognostic variable.1,9,27

Resection margin status has also been identified as a prognostic factor and was described in one study as an independent factor in the absence of tumor grade and nodal status.28 Another study identified peripancreatic fat invasion as an independent predictor of poor prognosis following pancreaticoduodenectomy for PDAC.18

In our analyses, tumor stage was associated with statistically significant prognostic outcomes, while tumor grade, retroperitoneal resection margin positivity, and peripancreatic adipose tissue invasion were not. Cox regression analysis revealed HRs of 1.901 (95% CI, 0.457–7.912) for Grade 2 and 2.980 (95% CI, 0.642–13.841) for Grade 3 using the conventional WHO grading system. Although these findings indicated a stepwise increase in prognostic risk, the differences were not statistically significant. These results indicate that the presence of the micropapillary pattern in at least 20% of the tumors may serve as a prognostic factor, potentially offering additional insights compared to the traditional WHO grading system, which may vary among pathologists. To minimize potential bias in determining prognostic factors, we included only patients who underwent surgery performed by the same surgical team. However, the small size of our study cohort is a limiting factor. The frequency of the micropapillary growth pattern in pancreatic cancer reported in our study was unexpectedly higher than in previous reports. This discrepancy may stem from the small cohort size or variations in defining the micropapillary pattern and other histopathological subgroups among different studies. In our study, we defined the micropapillary pattern as described in lung and breast carcinomas.

Studies comparing the traditional three-tiered WHO grading system with alternative systems have been reported. Adsay et al.9 proposed a grading system based on glandular differentiation, akin to the Gleason grading system. In their classification, well-differentiated glands were categorized as pattern 1, fused and irregular structures with multi-luminal features (including the cribriform pattern) as pattern 2, and solid, single cells or nests of non-glandular structures as pattern 3. Tumors were then categorized into three grades based on predominant and secondary patterns. Median survival was 17 months for Grade 1, 14 months for Grade 2, and seven months for Grade 3. In contrast, the WHO grading system applied to the same cases did not demonstrate a similarly clear prognostic correlation. In their system, the micropapillary pattern was included in the non-gland-forming group, aligning its prognostic data with the findings of Khayyata et al. and our study.9,10 Kalimuthu et al.19 highlighted that glandular versus non-glandular differentiation provided stronger prognostic insights than the WHO grading system, particularly for moderately differentiated tumors. They noted that a glandular versus non-glandular distinction based on ≥40% gland formation demonstrated a clear survival difference, better reflecting tumor biology and correlating with transcriptional subtypes.19

Therefore, we believe that morphological pattern analyses in pancreatic ductal adenocarcinomas may reflect the biological behavior of the disease. We recommend that the presence of the micropapillary pattern, even when focal, should be noted in pathological reports, as it may hold significant value in patient follow-up and treatment planning.

Conclusions

Our findings demonstrate that the micropapillary pattern, even when present in as little as 20% of the tumor, is an independent prognostic risk factor for reduced survival, irrespective of TNM staging. Specifically, incorporating the percentage of the micropapillary pattern could provide more accurate insights into the tumor’s biological behavior and improve patient management strategies. Reporting the percentage of the micropapillary pattern in pathology reports could be beneficial for monitoring the patient’s clinical course. Further studies are warranted to validate these findings and to explore the integration of pattern-based grading systems into clinical practice to better predict outcomes and guide treatment decisions in PDAC patients.

Declarations

Acknowledgement

The authors would like to thank the pathology archivists at Department of Pathology, Ege University Faculty of Medicine, —Murat Aydın, Onur Aygün, and Pervin Bakoglu—for their assistance.

Ethical statement

This study was conducted in accordance with the Declaration of Helsinki, and the study protocol was approved by the Ege University Medical Faculty Ethics Review Committee (protocol no. 2024-4146). Individual consent for this retrospective analysis was waived.

Data sharing statement

All data used to support the findings of this study are included in the article.

Funding

This study was completed without financial support, as it involved a retrospective analysis of slides prepared during routine diagnostic processes. No additional sectioning or staining was performed.

Conflict of interest

One of the authors, Funda Yılmaz, has been an editorial board member of Journal of Clinical and Translational Pathology since June 2023. The authors have no other conflicts of interest to declare.

Authors’ contributions

Study design, histopathological review (DN, CU, FY), statistical analyses (GS, CU), statistical data interpretation (GS, CU, FY), original draft preparation (CU), review, editing (FY, CU), and data curation (TG, AU, DDE). All authors have critically reviewed and approved the final version of the manuscript.

References

  1. Klimstra DS, Rhuban RH, Adsay N, Esposito I, Klöppel G, Zamboni G, et al. WHO Classification of Tumours: Digestive System Tumours. 5th Edition. Lyon, France: IARC Publications; 2019 View Article PubMed/NCBI
  2. Kelly PJ, Shinagare S, Sainani N, Hong X, Ferrone C, Yilmaz O, et al. Cystic papillary pattern in pancreatic ductal adenocarcinoma: a heretofore undescribed morphologic pattern that mimics intraductal papillary mucinous carcinoma. Am J Surg Pathol 2012;36(5):696-701 View Article PubMed/NCBI
  3. Schlitter AM, Segler A, Steiger K, Michalski CW, Jäger C, Konukiewitz B, et al. Molecular, morphological and survival analysis of 177 resected pancreatic ductal adenocarcinomas (PDACs): Identification of prognostic subtypes. Sci Rep 2017;7:41064 View Article PubMed/NCBI
  4. Amin MB, Tamboli P, Merchant SH, Ordóñez NG, Ro J, Ayala AG, et al. Micropapillary component in lung adenocarcinoma: a distinctive histologic feature with possible prognostic significance. Am J Surg Pathol 2002;26(3):358-364 View Article PubMed/NCBI
  5. Roh MS, Lee JI, Choi PJ, Hong YS. Relationship between micropapillary component and micrometastasis in the regional lymph nodes of patients with stage I lung adenocarcinoma. Histopathology 2004;45(6):580-586 View Article PubMed/NCBI
  6. Maranchie JK, Bouyounes BT, Zhang PL, O’Donnell MA, Summerhayes IC, DeWolf WC. Clinical and pathological characteristics of micropapillary transitional cell carcinoma: a highly aggressive variant. J Urol 2000;163(3):748-751 View Article PubMed/NCBI
  7. Guzińska-Ustymowicz K, Niewiarowska K, Pryczynicz A. Invasive micropapillary carcinoma: a distinct type of adenocarcinomas in the gastrointestinal tract. World J Gastroenterol 2014;20(16):4597-4606 View Article PubMed/NCBI
  8. Kitagawa H, Nakamura M, Tani T, Tajima H, Nakagawara H, Ohnishi I, et al. A pure invasive micropapillary carcinoma of the pancreatic head: long disease-free survival after pancreatoduodenectomy and adjuvant chemotherapy with gemcitabine. Pancreas 2007;35(2):190-192 View Article PubMed/NCBI
  9. Adsay NV, Basturk O, Bonnett M, Kilinc N, Andea AA, Feng J, et al. A proposal for a new and more practical grading scheme for pancreatic ductal adenocarcinoma. Am J Surg Pathol 2005;29(6):724-733 View Article PubMed/NCBI
  10. Khayyata S, Basturk O, Adsay NV. Invasive micropapillary carcinomas of the ampullo-pancreatobiliary region and their association with tumor-infiltrating neutrophils. Mod Pathol 2005;18(11):1504-1511 View Article PubMed/NCBI
  11. Kuhlmann KF, de Castro SM, Wesseling JG, ten Kate FJ, Offerhaus GJ, Busch OR, et al. Surgical treatment of pancreatic adenocarcinoma; actual survival and prognostic factors in 343 patients. Eur J Cancer 2004;40(4):549-558 View Article PubMed/NCBI
  12. Neoptolemos JP, Stocken DD, Dunn JA, Almond J, Beger HG, Pederzoli P, et al. Influence of resection margins on survival for patients with pancreatic cancer treated by adjuvant chemoradiation and/or chemotherapy in the ESPAC-1 randomized controlled trial. Ann Surg 2001;234(6):758-768 View Article PubMed/NCBI
  13. Conlon KC, Klimstra DS, Brennan MF. Long-term survival after curative resection for pancreatic ductal adenocarcinoma. Clinicopathologic analysis of 5-year survivors. Ann Surg 1996;223(3):273-279 View Article PubMed/NCBI
  14. Matsuno S, Egawa S, Fukuyama S, Motoi F, Sunamura M, Isaji S, et al. Pancreatic Cancer Registry in Japan: 20 years of experience. Pancreas 2004;28(3):219-230 View Article PubMed/NCBI
  15. Sohn TA, Yeo CJ, Cameron JL, Koniaris L, Kaushal S, Abrams RA, et al. Resected adenocarcinoma of the pancreas-616 patients: results, outcomes, and prognostic indicators. J Gastrointest Surg 2000;4(6):567-579 View Article PubMed/NCBI
  16. Herman JM, Swartz MJ, Hsu CC, Winter J, Pawlik TM, Sugar E, et al. Analysis of fluorouracil-based adjuvant chemotherapy and radiation after pancreaticoduodenectomy for ductal adenocarcinoma of the pancreas: results of a large, prospectively collected database at the Johns Hopkins Hospital. J Clin Oncol 2008;26(21):3503-3510 View Article PubMed/NCBI
  17. Lim JE, Chien MW, Earle CC. Prognostic factors following curative resection for pancreatic adenocarcinoma: a population-based, linked database analysis of 396 patients. Ann Surg 2003;237(1):74-85 View Article PubMed/NCBI
  18. Jamieson NB, Foulis AK, Oien KA, Dickson EJ, Imrie CW, Carter R, et al. Peripancreatic fat invasion is an independent predictor of poor outcome following pancreaticoduodenectomy for pancreatic ductal adenocarcinoma. J Gastrointest Surg 2011;15(3):512-524 View Article PubMed/NCBI
  19. Kalimuthu SN, Wilson GW, Grant RC, Seto M, O’Kane G, Vajpeyi R, et al. Morphological classification of pancreatic ductal adenocarcinoma that predicts molecular subtypes and correlates with clinical outcome. Gut 2020;69(2):317-328 View Article PubMed/NCBI
  20. Kouchi Y, Takano S, Harada-Kagitani S, Shinomiya Y, Yogi N, Sakamoto T, et al. Complex glandular pattern is an aggressive morphology that predicts poor prognosis of pancreatic ductal adenocarcinoma. Ann Diagn Pathol 2023;64:152110 View Article PubMed/NCBI
  21. Zhu E, Xie H, Gu C, Su H, Zhao S, Ren Y, et al. Recognition of filigree pattern expands the concept of micropapillary subtype in patients with surgically resected lung adenocarcinoma. Mod Pathol 2021;34(5):883-894 View Article PubMed/NCBI
  22. Emoto K, Tan KS, Rekhtman N, Adusumilli PS, Travis WD. The Newly Described Filigree Pattern Is an Expansion of the Micropapillary Adenocarcinoma Concept Rather Than a Proposed New Subtype. J Thorac Oncol 2020;15(7):e121-e124 View Article PubMed/NCBI
  23. Verras GI, Tchabashvili L, Mulita F, Grypari IM, Sourouni S, Panagodimou E, et al. Micropapillary Breast Carcinoma: From Molecular Pathogenesis to Prognosis. Breast Cancer (Dove Med Press) 2022;14:41-61 View Article PubMed/NCBI
  24. Travis WD, Brambilla E, Burke AP, Marx A, Nicholson AG. Introduction to The 2015 World Health Organization Classification of Tumors of the Lung, Pleura, Thymus, and Heart. J Thorac Oncol 2015;10(9):1240-1242 View Article PubMed/NCBI
  25. Lee SJ, Bae HI, Yoon G, Cho CM, Kwon HJ, Park J, et al. Cytological, histological, and molecular characteristics of pure invasive micropapillary carcinoma of pancreas: A case report. Medicine (Baltimore) 2020;99(24):e20668 View Article PubMed/NCBI
  26. Ryota H, Ishida M, Ebisu Y, Yanagimoto H, Yamamoto T, Kosaka H, et al. Clinicopathological characteristics of pancreatic ductal adenocarcinoma with invasive micropapillary carcinoma component with emphasis on the usefulness of PKCζ immunostaining for detection of reverse polarity. Oncol Lett 2021;22(1):525 View Article PubMed/NCBI
  27. Lüttges J, Schemm S, Vogel I, Hedderich J, Kremer B, Klöppel G. The grade of pancreatic ductal carcinoma is an independent prognostic factor and is superior to the immunohistochemical assessment of proliferation. J Pathol 2000;191(2):154-161 View Article PubMed/NCBI
  28. Neoptolemos JP, Stocken DD, Dunn JA, Almond J, Beger HG, Pederzoli P, et al. Influence of resection margins on survival for patients with pancreatic cancer treated by adjuvant chemoradiation and/or chemotherapy in the ESPAC-1 randomized controlled trial. Ann Surg 2001;234(6):758-768 View Article PubMed/NCBI

About this Article

Cite this article
Utku C, Nart D, Serin G, Ekizalioglu DD, Gumus T, Uguz A, et al. Prognostic Power of the Micropapillary Pattern in Pancreatic Ductal Adenocarcinoma: A Game Changer. J Clin Transl Pathol. 2024;4(4):145-152. doi: 10.14218/JCTP.2024.00045.
Copy Export to RIS Export to EndNote
Article History
Received Revised Accepted Published
November 26, 2024 December 19, 2024 December 20, 2024 December 25, 2024
DOI http://dx.doi.org/10.14218/JCTP.2024.00045