Home
JournalsCollections
For Authors For Reviewers For Editorial Board Members
Article Processing Charges Open Access
Ethics Advertising Policy
Editorial Policy Resource Center
Company Information Contact Us Membership Collaborators Partners
OPEN ACCESS

Angiosarcoma as Homologous Mesenchymal Component of Ovarian Malignant Mixed Mullerian Tumor: A Case Study

  • Serena Wong,
  • Natalia Buza and
  • Pei Hui* 
Journal of Clinical and Translational Pathology   2025;5(3):121-126

doi: 10.14218/JCTP.2025.00005

Received:

Revised:

Accepted:

Published online:

 Author information

Citation: Wong S, Buza N, Hui P. Angiosarcoma as Homologous Mesenchymal Component of Ovarian Malignant Mixed Mullerian Tumor: A Case Study. J Clin Transl Pathol. 2025;5(3):121-126. doi: 10.14218/JCTP.2025.00005.

Abstract

Background

Malignant mixed Müllerian tumor (MMMT) or carcinosarcoma of the female genital tract is a rare but highly aggressive malignancy.

Case presentation

We report a unique case of primary ovarian MMMT with poorly differentiated angiosarcoma as its homologous sarcomatous component in a 53-year-old woman with a known germline BRCA1 mutation who presented with a pelvic mass. She underwent staging cytoreduction surgery including total hysterectomy, bilateral salpingo-oophorectomy, omentectomy, and pelvic and para-aortic lymph node dissections. The removed right ovarian tumor formed a 2.5 cm nodular to cystic mass replacing the entire organ. Microscopic examination revealed two distinct tumor components: high-grade serous carcinoma and poorly differentiated angiosarcoma. The proliferating sarcomatous cells were diffusely positive for CD31 and Factor VIII, but were negative for 100, SOX10 and cytokeratin. Both the serous carcinoma and angiosarcoma components demonstrated aberrant strong and diffuse p53 nuclear positivity. KRAS mutation analysis revealed guanine-adenine-thymine point mutation at codon 12 in both tumor components. Metastatic tumor was found involving the contralateral left ovary with the cellular composition of pure angiosarcomatous component.

Conclusions

This is the first report of an ovarian MMMT with angiosarcoma as its homologous sarcoma component. The presence of aberrant p53 expression and identical KRAS mutation in both the serous carcinoma and angiosarcoma components supports the theory of malignant mesenchymal transition/metaplasia in the development of MMMT.

Keywords

Malignant mixed mullerian tumor, Carcinosarcoma, Angiosarcoma, KRAS mutation, Polymerase chain reaction-single strand conformational polymorphism, PCR-SSCP

Introduction

Ovarian malignant mixed mullerian tumor (MMMT) or carcinosarcoma is a highly aggressive malignancy and represents 2% of all ovarian cancers.1 The patients generally present in their six to eight decades, with high-stage disease including abdominal metastasis and ascites.2–5 Defined by the presence of biphasic, distinct malignant epithelial and mesenchymal components, the carcinomatous component of ovarian MMMT is commonly high-grade serous but endometrioid and clear cell carcinoma can also be seen. Histologically, the mesenchymal component is subclassified into homologous or heterologous sarcomas depending on whether their normal mesenchymal cell counterparts are intrinsic or extrinsic to the ovarian parenchyma. Frequent homologous sarcomatous components include endometrioid stromal sarcoma, fibrosarcoma and leiomyosarcoma. Heterologous sarcomatous components are chondrosarcoma, rhabdomyosarcoma, osteosarcoma, or liposarcoma, in order of liposarcoma.6 While some studies suggested that the presence of heterologous sarcoma dictates a worse prognosis when compared to MMMT with homologous sarcomatous components,7,8 many other investigations disputed the theory.4,9–14 Different heterologous sarcomatous components may coexist and are intermingled within the same tumor. Sarcomatous differentiation in ovarian MMMT beyond the above possibilities is exceedingly rare. Herein, we report a unique case of ovarian MMMT with poorly differentiated angiosarcoma as its homologous mesenchymal component

Case presentation

Clinical presentation

The patient is a 53-year-old female with a history of malignant melanoma of her right lower leg that was removed in 2008 and showed a Breslow thickness of 4.6 mm with two benign sentinel lymph nodes. The patient then presented to a gastroenterologist in June 2013 following gallbladder surgery. At the time, she complained of changes in bowel function with occasional constipation. These symptoms were initially thought to be due to a gluten allergy; however, testing for celiac disease was negative. A colonoscopy was performed, and two tubular adenomas were removed. Her symptoms waxed and waned, with occasional bouts of severe constipation, and she ultimately underwent a computed tomography scan of the abdomen in June 2014. The scan revealed a 3.6 × 2.5 cm mass in the head of the pancreas, suspicious for primary pancreatic cancer, with an adjacent enlarged lymph node. The patient underwent an endoscopic biopsy of the pancreatic mass, which was diagnosed as pancreatic adenocarcinoma.

A positron emission tomography/computed tomography scan was completed in June 2014, which showed a hypermetabolic pancreatic mass with numerous lesions on the liver and spleen. At the time, focal hypermetabolism of the bilateral adnexa was noted. The patient was started on FOLFIRINOX but had a reaction to irinotecan. She was then switched to FOLFOX and follow up scans in December 2014 showed a decrease in the size of the pancreatic mass, as well as resolution of her liver, splenic, and omental lesions. During this time, the patient was tested for BRCA1 (her mother carries a BRCA1 mutation) and was found to be positive for germline mutation. She was switched to a phase 3 clinical trial with olaparib (vs. placebo) for BRCA1 patients. Follow up scans in May 2015 showed stable disease in the pancreas. She was continued on the olaparib trial but repeat scans in July 2015 showed an increase in size of the pancreatic mass with new/regrowth of hepatic metastasis.

The patient was restarted on FOLFOX in August 2015. However, she had a reaction to oxaliplatin and was switched to abraxane and gemzar in September 2015. Follow up scan in December 2015 showed improvement of the liver metastasis, and her treatment was continued. However, her scan in March 2016 showed increase in size of her pancreatic mass, as well as an enlarged right ovary with a lobular contour measuring 3.2 × 3 cm (previously 1.9 × 1.9 cm). An ultrasound of the right ovary demonstrated both solid and cystic areas. The differential diagnosis included metastatic disease vs. primary ovarian tumor. The patient consulted a gynecological oncologist, and the decision was made to surgically remove the right ovary.

Gross and microscopic findings

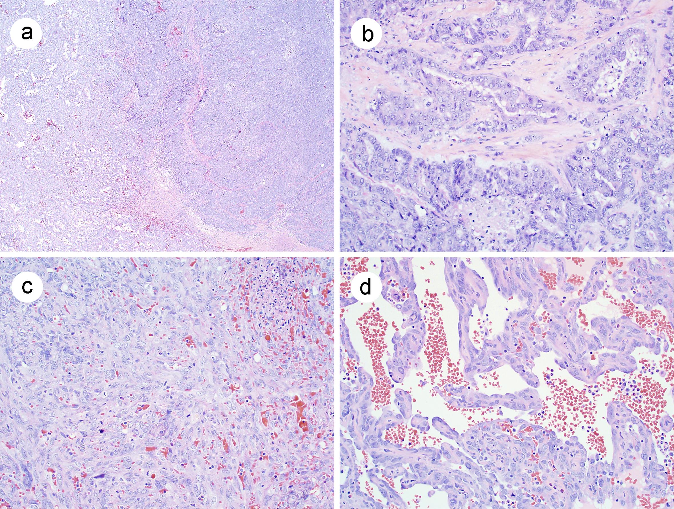
The surgically removed 5.5 × 4.5 × 3.1 cm right ovary revealed a 2.5 cm parenchymal hemorrhagic cystic lesion upon sectioning with an attached grossly unremarkable fallopian tube. Microscopically, areas of high-grade serous carcinoma and poorly differentiated angiosarcoma occupied distinct tumor areas (Fig. 1a). The serous carcinoma consisted of solid tumor nests admixed with lace-like to irregular glandular growth patterns (Fig. 1b). The cells showed characteristic uniformly high-grade cytology for serous carcinoma, including high nuclear grade with scattered giant tumor cells, prominent macronucleoli, and brisk mitotic activity with frequent abnormal mitotic figures. The sarcomatous component consisted of a spindle cell proliferation in relatively solid nodules of flat to cuboidal cells with markedly atypical nuclei and inconspicuous cytoplasm, lining anastomosing sinusoids with entrapped red blood cells (Fig. 1c and d). Extensive tumor necrosis and hemorrhage were present in both tumor components. Immunohistochemically, the serous carcinoma component was strongly and diffusely positive for CK7 and focally positive for PAX8, but CK20 and P16 were negative and WT1 showed cytoplasmic staining only. The angiosarcoma component was diffusely positive for CD31 and Factor VIII antigen (Fig. 2), but was negative for S100, SOX10, CK7, and CK AE1/AE3. Aberrant diffuse nuclear staining of p53 was present in both the high-grade serous carcinoma and angiosarcoma components.

Histological features of MMMT.
Fig. 1  Histological features of MMMT.

Low power view (a, 4×) of the distinct carcinomatous tumor nodules (upper right) in juxtaposition with spindle angiosarcomatous lesions (lower left). The carcinoma consists of high-grade serous carcinoma cells forming slit to irregular glandular nests (b, 20×). The sarcomatous component consists of spindle cell proliferation in solid nodules (c, 20×) to anastomosing sinusoids with entrapped red blood cells and lined by flat to cuboidal cells with marked atypical nuclei (d, 20×). MMMT, malignant mixed Müllerian tumor.

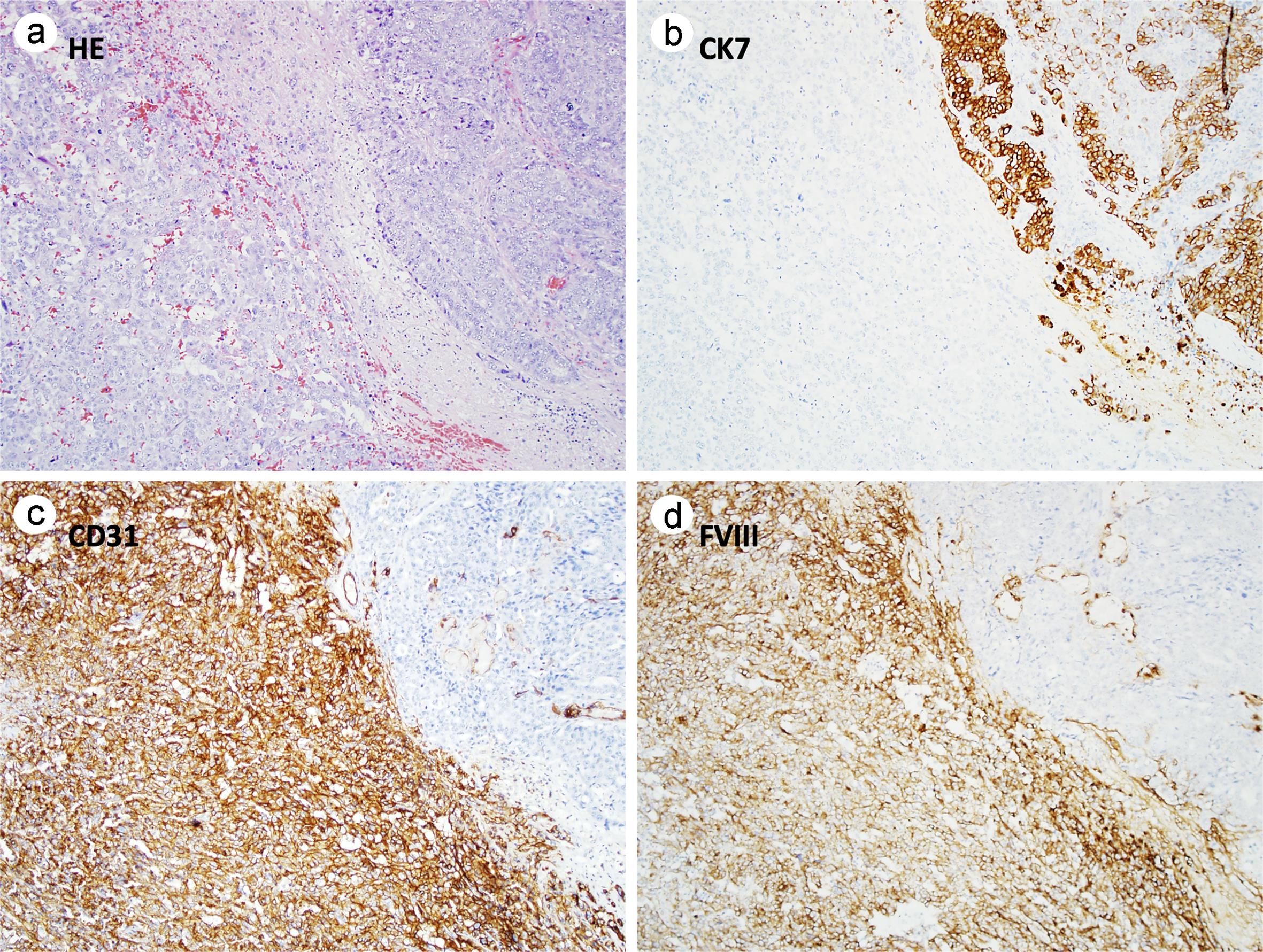
Immunohistochemical profiles of MMMT.
Fig. 2  Immunohistochemical profiles of MMMT.

With corresponding HE stained section (a, HE 20×), the serous carcinoma cells (upper right) are positive for CK7 stains (b, 20×) and the angiosarcomatous cells (lower left) are positive for CD31 and Factor VIII (c and d, 20×). HE, hematoxylin and eosin; MMMT, malignant mixed Müllerian tumor.

Metastatic tumor was found only in the contralateral ovary with nodules of pure angiosarcomatous proliferation (Fig. 1d).

KRAS mutation analysis

KRAS mutation analysis was performed by polymerase chain reaction-single strand conformational polymorphism (PCR-SSCP) as previously described.15 Formalin-fixed, paraffin-embedded blocks containing distinct areas of serous carcinoma and angiosarcoma were selected. One hematoxylin and eosin (H&E)-stained section and 10 unstained sections were created on glass slides. Upon reviewing the HE stained section, the corresponding tissues from the unstained slides were scraped with a sterile scalpel into separate microcentrifuge tubes. DNA was extracted by hydrothermal pressure method of simultaneous deparaffinization and lysis of formalin-fixed paraffin embedded tissue followed by conventional column purification to obtain high quality DNA.16 Exon 2 of the KRAS gene was amplified by PCR using flanking primers: forward 5′-GACTGAATATAAACTTGTGG-3′ and reverse 5′-CTGTATCAAAGAATGGTCCT-3′ in a 50 µl PCR reaction solution containing 1x PCR buffer, 0.1 mM dNTP, 1.5 mM MgCl2 and 2.5 units of AmpliTaq Gold DNA polymerase. PCR started with initial denaturation at 95°C for 8 minutes, followed by 35 cycles of denaturation at 94°C for 1 minute, annealing at 55°C for 1 minute and synthesis at 72°C for 2 minutes, and finished by a final extension at 72°C for 10 minutes (ABI Veriti Thermal Cycler, Applied Biosystems, Foster City, CA). The PCR product was analyzed by SSCP using 4 µL of the PCR product on non-denaturing gel. Electrophoresis was carried out on ice for 2 hours and 45 minutes at 325 volts. The SSCP gel was then stained with SYBR Gold (Molecular Probes) 1:10,000 in TE added for 20 minutes and imaged by Biorad GelDoc UV System (BioRad, Hercules, CA). The presence of KRAS mutation was determined by comparing the SSCP banding patterns with known KRAS mutations as positive controls. An abnormal SSCP banding pattern compatible with that of guanine-adenine-thymine (GAT) codon 12 mutation was detected in both serous carcinomatous and angiosarcomatous components (Fig. 3a). Due to the SSCP banding pattern of codon 12 GAT mutation overlapping with that of codon 13 GAC mutation, the abnormal bands were cut out of the SSCP gel followed by Sanger sequencing in both forward and reverse directions using the PCR primers, which revealed a heterozygous GAT mutation at codon 12 of KRAS (Fig. 3b).

<italic>KRAS</italic> mutation status of serous carcinomatous and angiosarcomatous components of MMMT.
Fig. 3  KRAS mutation status of serous carcinomatous and angiosarcomatous components of MMMT.

(a) PCR-SSCP analysis demonstrates identical abnormal banding pattern in both serous carcinomatous (T1) and angiosarcomatous components (T2) that is similar to that of the GAT codon 12 mutation positive control (GAT). (b) Sanger sequencing analysis of the abnormal SSCP products confirms the presence of heterozygous GAT mutation at KRAS codon 12 (red star). GAT, guanine-adenine-thymine; MMMT, malignant mixed Müllerian tumor; PCR-SSCP, polymerase chain reaction-single strand conformational polymorphism.

Discussion

We report the first case of a primary ovarian MMMT with angiosarcoma as its homologous sarcomatous component. The angiosarcomatous component consisted of distinct nodules of solid to sinusoidal proliferation of poorly differentiated spindle cells. The lack of cytokeratin immunostaining (CK7 and CK AE1/AE3) and diffuse CD31 and Factor VIII expression confirmed the endothelial cell differentiation. Defined at the histological level by the presence of disparate epithelial and mesenchymal malignant tissue types, MMMT is subclassified according to its sarcomatous histology into homologous and heterologous. Frequent homologous sarcomatous components include endometrioid stromal sarcoma, fibrosarcoma and leiomyosarcoma. Heterologous sarcomatous components are chondrosarcoma, rhabdomyosarcoma, osteosarcoma or liposarcoma, in their order of frequency. Angiosarcomatous differentiation in uterine or ovarian MMMT has not been reported. One case study of a fallopian tube primary MMMT in a 57-year-old patient showed a FIGO stage I tumor that harbored foci of well-differentiated angiosarcomatous component among multiple heterologous sarcomatous nodules including chondrosarcoma, osteosarcoma, and myxoid liposarcoma. Conventional endometrioid carcinoma was the epithelial component in this reported case.17 To our knowledge, angiosarcoma has not been reported as a sarcomatous component in either uterine or ovarian primary MMMT.

Despite multiple histological, immunohistochemical and molecular genetic investigations of MMMT arising in the female genital tract, the pathogenesis of the tumor continuous under continued debate in the literature. A plethora of variation of both carcinomatous and sarcomatous histological types in various combinations likely render significant difficulties in the exploration of the pathogenesis of MMMTs. Several lines of investigations have found that most uterine and ovarian MMMTs are clonally evolved, suggesting metaplastic conversion of carcinoma into sarcomatous differentiation via epithelial-mesenchymal transition mechanisms.18–20 Identical p53 mutations detected in the primary ovarian carcinoma and the subsequent MMMT supports this hypothesis.21,22 The presence of diffuse strong p53 immunostaining in both the serous carcinoma and angiosarcomatous components and identical KRAS mutations detectable in both components in our case further support the clonal evolution theory of MMMT as a metaplastic carcinoma.

The cellular composition of metastatic lesions of MMMT, including both uterine and ovarian primaries, mostly contain only the carcinomatous component and less commonly admixed carcinomatous and sarcomatous components. Only rarely does the sarcomatous component constitute the sole metastatic lesion.23 The presence of only the angiosarcomatous component without its epithelial counterpart in the contralateral ovary in our case raises the possibility of a collision tumor. However, the intimate admixture of the two tumor components in the primary ovarian tumor, and once again, the presence of abnormal p53 immunohistochemistry and identical KRAS mutations in both the serous carcinoma and angiosarcomatous components, strongly argue for the diagnosis of MMMT, rather than a collision tumor.

Various studies in the literature explored the correlation of clinical prognosis with the nature of sarcomatous components in MMMT. The presence of heterologous sarcomatous components correlated with a significantly worse prognosis,7,8,24,25 and the presence of rhabdomyosarcoma appears to be associated with the worst prognosis.26 However, many other studies failed to support this notion.4,9–14 The presence of sarcomatous component outside the ovary was recently found as a significant adverse prognostic factor.3 The prognostic indication of angiosarcoma component in a MMMT is entirely unknown. Our patient received cytoreduction staging surgery with the tumor involving both ovaries, including the right ovarian surface. Post operatively, the patient received three cycles of carboplatinum and Taxol. Follow up scans showed an increase in size of her liver lesion in September 2016, and the patient died of wide-spread metastatic disease 6 weeks later. Autopsy was not performed.

It should be noted that our patient was a germline BRCA1 mutation carrier and developed three malignancies over time, including skin melanoma, pancreatic adenocarcinoma and finally ovarian MMMT. MMMTs occur in BRCA1 mutation carriers with TP53 loss of function mutation, which is a genetic alteration known to occur in BRCA-linked ovarian tumorigenesis.22 However, such association has been limited to single case reports, including the current case study. In addition to breast and ovarian cancers, patients with germline BRCA1 mutations also have increased risks for pancreatic carcinoma.27 However, patients with BRCA2, not BRCA1 mutation, have been found to have increased risk for skin melanoma.28

Conclusions

This is the first report of a postmenopausal patient with germline BRCA1 mutation who developed a primary ovarian MMMT with poorly differentiated angiosarcoma as its homologous sarcomatous component. The presence of abnormal p53 immunohistochemical profile and identical KRAS mutations in both the high-grade serous carcinoma and angiosarcoma components support malignant epithelial-mesenchymal transition as a possible mechanism in the pathogenesis of MMMT.

Declarations

Acknowledgement

None.

Ethical statement

This study was performed in accordance with the Declaration of Helsinki (as revised in 2024). This case study does not include an identifiable patient information. According to institutional policy, this report has been exempted from the Institutional Review Board approval and informed consent.

Funding

No funding was received for the work.

Conflict of interest

Dr. Pei Hui has been an editorial board member of Journal of Clinical and Translational Pathology since May 2021. The other authors have no conflicts of interest to declare.

Authors’ contributions

Data collection, drafting of the manuscript (SW), discussion, editing of the manuscript (NB), molecular data presentation, and finalizing the manuscript (PH). All authors have approved the final version and publication of the manuscript.

References

  1. Bicher A, Levenback C, Silva EG, Burke TW, Morris M, Gershenson DM. Ovarian malignant mixed müllerian tumors treated with platinum-based chemotherapy. Obstet Gynecol 1995;85(5 Pt 1):735-739 View Article PubMed/NCBI
  2. Brown E, Stewart M, Rye T, Al-Nafussi A, Williams AR, Bradburn M, et al. Carcinosarcoma of the ovary: 19 years of prospective data from a single center. Cancer 2004;100(10):2148-2153 View Article PubMed/NCBI
  3. Kunkel J, Peng Y, Tao Y, Krigman H, Cao D. Presence of a sarcomatous component outside the ovary is an adverse prognostic factor for primary ovarian malignant mixed mesodermal/mullerian tumors: a clinicopathologic study of 47 cases. Am J Surg Pathol 2012;36(6):831-837 View Article PubMed/NCBI
  4. Harris MA, Delap LM, Sengupta PS, Wilkinson PM, Welch RS, Swindell R, et al. Carcinosarcoma of the ovary. Br J Cancer 2003;88(5):654-657 View Article PubMed/NCBI
  5. Muntz HG, Jones MA, Goff BA, Fuller AF, Nikrui N, Rice LW, et al. Malignant mixed müllerian tumors of the ovary: experience with surgical cytoreduction and combination chemotherapy. Cancer 1995;76(7):1209-1213 View Article PubMed/NCBI
  6. Imachi M, Tsukamoto N, Shigematsu T, Watanabe T, Uehira K, Amada S, et al. Malignant mixed Müllerian tumor of the fallopian tube: report of two cases and review of literature. Gynecol Oncol 1992;47(1):114-124 View Article PubMed/NCBI
  7. Barakat RR, Rubin SC, Wong G, Saigo PE, Markman M, Hoskins WJ. Mixed mesodermal tumor of the ovary: analysis of prognostic factors in 31 cases. Obstet Gynecol 1992;80(4):660-664 View Article PubMed/NCBI
  8. Hellström AC, Tegerstedt G, Silfverswärd C, Pettersson F. Malignant mixed müllerian tumors of the ovary: histopathologic and clinical review of 36 cases. Int J Gynecol Cancer 1999;9(4):312-316 View Article PubMed/NCBI
  9. Ariyoshi K, Kawauchi S, Kaku T, Nakano H, Tsuneyoshi M. Prognostic factors in ovarian carcinosarcoma: a clinicopathological and immunohistochemical analysis of 23 cases. Histopathology 2000;37(5):427-436 View Article PubMed/NCBI
  10. Athavale R, Thomakos N, Godfrey K, Kew F, Cross P, de Barros Lopes A, et al. The effect of epithelial and stromal tumor components on FIGO stages III and IV ovarian carcinosarcomas treated with primary surgery and chemotherapy. Int J Gynecol Cancer 2007;17(5):1025-1030 View Article PubMed/NCBI
  11. Huang KG, Chang TC, Lai CH, Hsueh S, Tseng CJ, Soong YK. Malignant mixed müllerian tumor of the uterine corpus—analysis of 12 cases. Changgeng Yi Xue Za Zhi 1995;18(1):27-35 View Article PubMed/NCBI
  12. del Carmen MG, Birrer M, Schorge JO. Carcinosarcoma of the ovary: a review of the literature. Gynecol Oncol 2012;125(1):271-277 View Article PubMed/NCBI
  13. Loizzi V, Cormio G, Camporeale A, Falagario M, De Mitri P, Scardigno D, et al. Carcinosarcoma of the ovary: analysis of 13 cases and review of the literature. Oncology 2011;80(1-2):102-106 View Article PubMed/NCBI
  14. Mok JE, Kim YM, Jung MH, Kim KR, Kim DY, Kim JH, et al. Malignant mixed müllerian tumors of the ovary: experience with cytoreductive surgery and platinum-based combination chemotherapy. Int J Gynecol Cancer 2006;16(1):101-105 View Article PubMed/NCBI
  15. Dillon DA, Johnson CC, Topazian MD, Tallini G, Rimm DL, Costa JC. The utility of Ki-ras mutation analysis in the cytologic diagnosis of pancreatobiliary neoplasma. Cancer J 2000;6(5):294-301 View Article PubMed/NCBI
  16. Zhong H, Liu Y, Talmor M, Wu B, Hui P. Deparaffinization and lysis by hydrothermal pressure (pressure cooking) coupled with chaotropic salt column purification: a rapid and efficient method of DNA extraction from formalin-fixed paraffin-embedded tissue. Diagn Mol Pathol 2013;22(1):52-58 View Article PubMed/NCBI
  17. Lim BJ, Kim JW, Yang WI, Cho NH. Malignant mixed müllerian tumor of fallopian tube with multiple distinct heterologous components. Int J Gynecol Cancer 2004;14(4):690-693 View Article PubMed/NCBI
  18. Abeln EC, Smit VT, Wessels JW, de Leeuw WJ, Cornelisse CJ, Fleuren GJ. Molecular genetic evidence for the conversion hypothesis of the origin of malignant mixed müllerian tumours. J Pathol 1997;183(4):424-431 View Article PubMed/NCBI
  19. Jin Z, Ogata S, Tamura G, Katayama Y, Fukase M, Yajima M, et al. Carcinosarcomas (malignant mullerian mixed tumors) of the uterus and ovary: a genetic study with special reference to histogenesis. Int J Gynecol Pathol 2003;22(4):368-373 View Article PubMed/NCBI
  20. Fujii H, Yoshida M, Gong ZX, Matsumoto T, Hamano Y, Fukunaga M, et al. Frequent genetic heterogeneity in the clonal evolution of gynecological carcinosarcoma and its influence on phenotypic diversity. Cancer Res 2000;60(1):114-120 View Article PubMed/NCBI
  21. Gallardo A, Matias-Guiu X, Lagarda H, Catasus L, Bussaglia E, Gras E, et al. Malignant mullerian mixed tumor arising from ovarian serous carcinoma: a clinicopathologic and molecular study of two cases. Int J Gynecol Pathol 2002;21(3):268-272 View Article PubMed/NCBI
  22. Carnevali IW, Cimetti L, Sahnane N, Libera L, Cavallero A, Formenti G, et al. Two Cases of Carcinosarcomas of the Ovary Involved in Hereditary Cancer Syndromes. Int J Gynecol Pathol 2017;36(1):64-70 View Article PubMed/NCBI
  23. Sreenan JJ, Hart WR. Carcinosarcomas of the female genital tract. A pathologic study of 29 metastatic tumors: further evidence for the dominant role of the epithelial component and the conversion theory of histogenesis. Am J Surg Pathol 1995;19(6):666-674 View Article PubMed/NCBI
  24. Dictor M. Malignant mixed mesodermal tumor of the ovary: a report of 22 cases. Obstet Gynecol 1985;65(5):720-724 View Article PubMed/NCBI
  25. Rosati A, Vargiu V, Certelli C, Arcieri M, Vizza E, Legge F, et al. Is the sarcomatous component (homologous vs heterologous) the prognostic "driving force" in early-stage uterine carcinosarcomas? A retrospective multicenter study. J Cancer Res Clin Oncol 2023;149(9):6479-6488 View Article PubMed/NCBI
  26. D'Angelo E, Prat J. Pathology of mixed Müllerian tumours. Best Pract Res Clin Obstet Gynaecol 2011;25(6):705-718 View Article PubMed/NCBI
  27. Ferrone CR, Levine DA, Tang LH, Allen PJ, Jarnagin W, Brennan MF, et al. BRCA germline mutations in Jewish patients with pancreatic adenocarcinoma. J Clin Oncol 2009;27(3):433-438 View Article PubMed/NCBI
  28. Gumaste PV, Penn LA, Cymerman RM, Kirchhoff T, Polsky D, McLellan B. Skin cancer risk in BRCA1/2 mutation carriers. Br J Dermatol 2015;172(6):1498-1506 View Article PubMed/NCBI

About this Article

Cite this article
Wong S, Buza N, Hui P. Angiosarcoma as Homologous Mesenchymal Component of Ovarian Malignant Mixed Mullerian Tumor: A Case Study. J Clin Transl Pathol. 2025;5(3):121-126. doi: 10.14218/JCTP.2025.00005.
Copy Export to RIS Export to EndNote
Article History
Received Revised Accepted Published
January 22, 2025 March 20, 2025 April 22, 2025 May 26, 2025
DOI http://dx.doi.org/10.14218/JCTP.2025.00005