Home
JournalsCollections
For Authors For Reviewers For Editorial Board Members
Article Processing Charges Open Access
Ethics Advertising Policy
Editorial Policy Resource Center
Company Information Contact Us Membership Collaborators Partners
OPEN ACCESS

COVID-19-associated Autoimmune Hepatitis: A Case Report and Literature Review

  • Yanping Wang* ,
  • Xiuxu Chen,
  • Alessa P. Aragao and
  • Xianzhong Ding
Journal of Clinical and Translational Pathology   2025;5(3):127-132

doi: 10.14218/JCTP.2025.00010

Received:

Revised:

Accepted:

Published online:

 Author information

Citation: Wang Y, Chen X, Aragao AP, Ding X. COVID-19-associated Autoimmune Hepatitis: A Case Report and Literature Review. J Clin Transl Pathol. 2025;5(3):127-132. doi: 10.14218/JCTP.2025.00010.

Abstract

Background

Various vaccines have been reported as triggers of Autoimmune hepatitis (AIH). Recently, with the ongoing COVID-19 pandemic and widespread vaccination worldwide, COVID-19 vaccination-associated AIH (CA-AIH) occurring without COVID-19 infection have been reported. However, only a handful of CA-AIH cases have been reported in patients with COVID-19 infection. Therefore, we report such a case and summarize the CA-AIH with or without COVID-19 infection.

Case presentation

In this report, we describe a 66-year-old female who developed biopsy-proven acute-onset autoimmune hepatitis after receiving four doses of the COVID-19 vaccine and experiencing one COVID-19 infection in 2022. The patient was immediately treated with prednisone. Her liver enzymes gradually decreased to the normal range after treatment. In addition, we reviewed 20 cases of CA-AIH reported from multiple countries. The summarized data of these cases showed that CA-AIH and classic AIH share some clinical, serological, and histopathological features, such as female predominance and a middle-aged distribution. All patients had some positive circulating autoantibodies, including anti-nuclear antibody and/or positive anti-smooth muscle antibody. Histologically, CA-AIH showed a more acute onset compared to classic AIH, which typically presents with more chronic hepatitis. However, only 5 (23.8%) of the 21 cases had COVID-19 infection.

Conclusions

This case report provides additional evidence supporting an association of COVID-19 vaccination and/or infection with AIH, suggesting a more causal than coincident relationship. The majority of the patients of COVID-19 vaccination associated AIH show acute disease onset and may not have COVID-19 infection.

Keywords

Autoimmune hepatitis, COVID-19, Vaccination, Liver enzymes, Acute onset, Antinuclear antibody

Introduction

Autoimmune hepatitis (AIH) is a complex disease with unclear etiology. Multiple factors are believed to be involved in the etiology, including immunologic, genetic, infectious, and environmental factors. AIH is considered an autoimmune-mediated chronic progressive liver disease affecting all ages, genders, and ethnic populations.1 Commonly, middle-aged females have the highest risk for developing AIH, with a male-to-female ratio of 1:4 to 1:6. The current concept of the immunopathogenesis of AIH is that autoreactive T cells break through self-tolerance to hepatic autoantigens, triggering an immune response that results in liver damage such as necroinflammation and fibrogenesis.2 Therefore, detectable autoantibodies such as anti-nuclear antibody (ANA), anti-smooth muscle antibody (ASMA), or anti-liver kidney microsome antibody, and elevation of serum immunoglobulin G, are all characteristic serological features of AIH. Histologically, the key features of AIH are portal inflammation with mainly lymphoplasmacytic or lymphocytic infiltration and interface hepatitis.3

The clinical presentation of AIH is heterogeneous, ranging from mild subclinical symptoms to severe acute-onset fulminant type. The vague symptoms, plus the lack of signature diagnostic markers, make early definitive diagnosis of AIH challenging. The current diagnostic criteria are based on combined laboratory, histologic, and clinical findings, which often lead to a delayed diagnosis of AIH. Acute-onset AIH does occur, but it is often overlooked. Therefore, timely diagnosis of AIH is crucial and life-saving, because early treatment with immunosuppressive therapy can prevent the progression to liver failure and cirrhosis.4

Recently, emerging acute-onset AIH-like cases have been reported worldwide following a COVID-19 vaccination and/or a COVID-19 infection.5,6 With the broad application of the COVID-19 vaccine and the high incidence of COVID-19 infections, the relationship between AIH and COVID-19 vaccination with/without infection has emerged as a new topic of interest. In this study, we present a case of a 66-year-old female patient with acute-onset AIH after receiving four COVID-19 vaccines and a COVID-19 infection in 2022. Meanwhile, we also reviewed 20 cases collected from 14 countries and summarized the clinicopathological features. The purpose of this case report and literature review is to explore the relationship between COVID-19 with/without vaccination and autoimmune hepatitis.

Case presentation

The patient is a 66-year-old female with a past medical history of diverticulitis and gastroesophageal reflux disease. She had markedly elevated alkaline phosphatase (ALP), alanine transaminase (ALT), and aspartate transaminase (AST), along with increased bilirubin and international normalized ratio, after an asymptomatic COVID-19 infection in October 2022 (Table 1). In addition, she had received four injections of the COVID-19 vaccine (Moderna 100 mcg/0.5 mL) on January 8, 2021; February 25, 2021; November 1, 2021; and April 1, 2022, respectively. The computed tomography image of her abdomen and pelvis was unremarkable, other than cysts on her liver. Meanwhile, a liver biopsy was performed and showed florid acute hepatitis with preserved architecture. Portal tracts revealed mixed inflammatory infiltration composed of lymphocytes, plasma cells, some histiocytes, neutrophils, and a few eosinophils. The interlobular bile duct showed no evidence of cholangiocytic injury. The lobular tissue revealed an inflammatory infiltrate of lymphocytes and histiocytes with a few neutrophils. Trichrome stain showed no significant portal fibrosis. Immunohistochemical stains for Herpes simplex viruses 1 & 2, cytomegalovirus, Epstein-Barr virus, COVID-19, adenovirus, and hepatitis B surface and core antigens were all negative. Copper stain was also negative. The findings were nonspecific, with possible etiologies including infection, drug, medication, toxin-induced injury, and immune-mediated injury. The patient did not receive any treatment because her total bilirubin gradually declined and eventually normalized.

Table 1

Laboratory parameters of the patient before and after treatment (one month vs six months)

ParametersPre-treatment
Post-treatment
Reference range
1st2nd1 month6 months
ALT (U/L)1,6001,11653257 - 35 U/L
AST (U/L)1,500972282310 - 40 U/L
ALP (U/L)220230827530 - 110 U/L
Bilirubin (total, mg/dL)7.6N/A1.30.60.2 - 1.4 MG/DL
ANA+ (1:320)N/AN/A<1: 40 Negative

However, on March 8, 2023, routine follow-up blood tests showed elevated liver function tests (LFTs) (Table 1). A second liver biopsy was performed and showed severe portal and lobular inflammation with dense and diffuse mixed inflammation, focal bridging necrosis, and interface hepatitis. The inflammatory cells included reactive lymphocytes, plasma cells, neutrophils, and rare eosinophils. Mild portal tract injury with occasional intraepithelial lymphocytes was seen. Zone 3 perivenular inflammation and hepatocyte dropout with endothelial cell damage were also present, along with scattered acidophilic bodies. A trichrome stain showed no significant increase in fibrosis. The predominant T-cell infiltration in both the sinusoidal and portal tracts was highlighted by a CD3 marker. Only small clusters of B cells were found in the portal tracts by the CD20 marker (Figs. 1 and 2). Immunostains for adenovirus, cytomegalovirus, Herpes simplex virus, and Epstein-Barr virus (EBER ISH) were negative. The findings were consistent with an acute hepatitis pattern, with autoimmune hepatitis at the top of the differential diagnosis, despite the serologic workup initially showing negative ANA and ASMA. A later workup revealed positive ANA (1:320) with a homogeneous nuclear pattern, confirming the diagnosis of autoimmune hepatitis. The patient is doing well with normalized LFTs after being immediately prescribed immunosuppression with prednisone (Table 1).

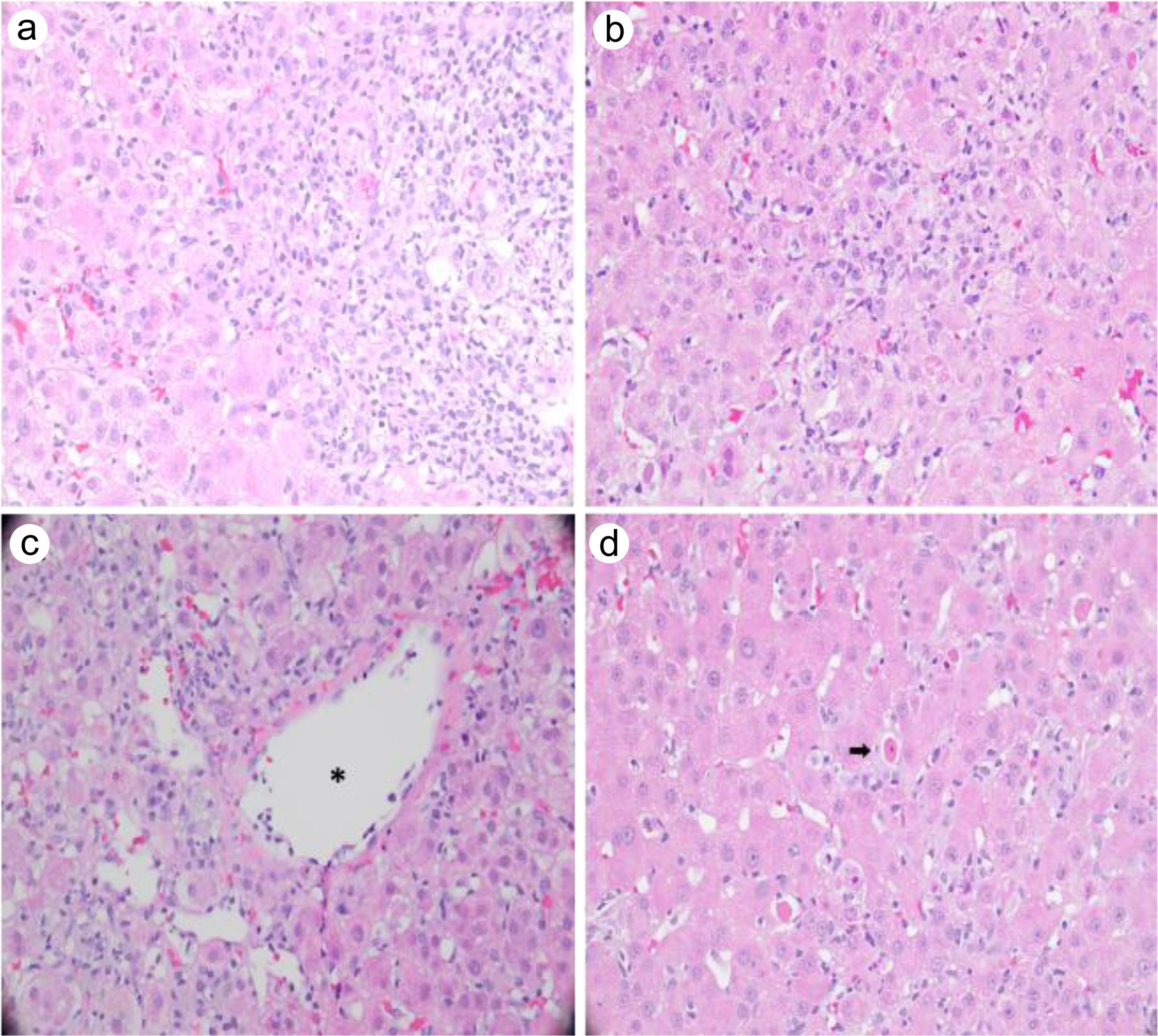
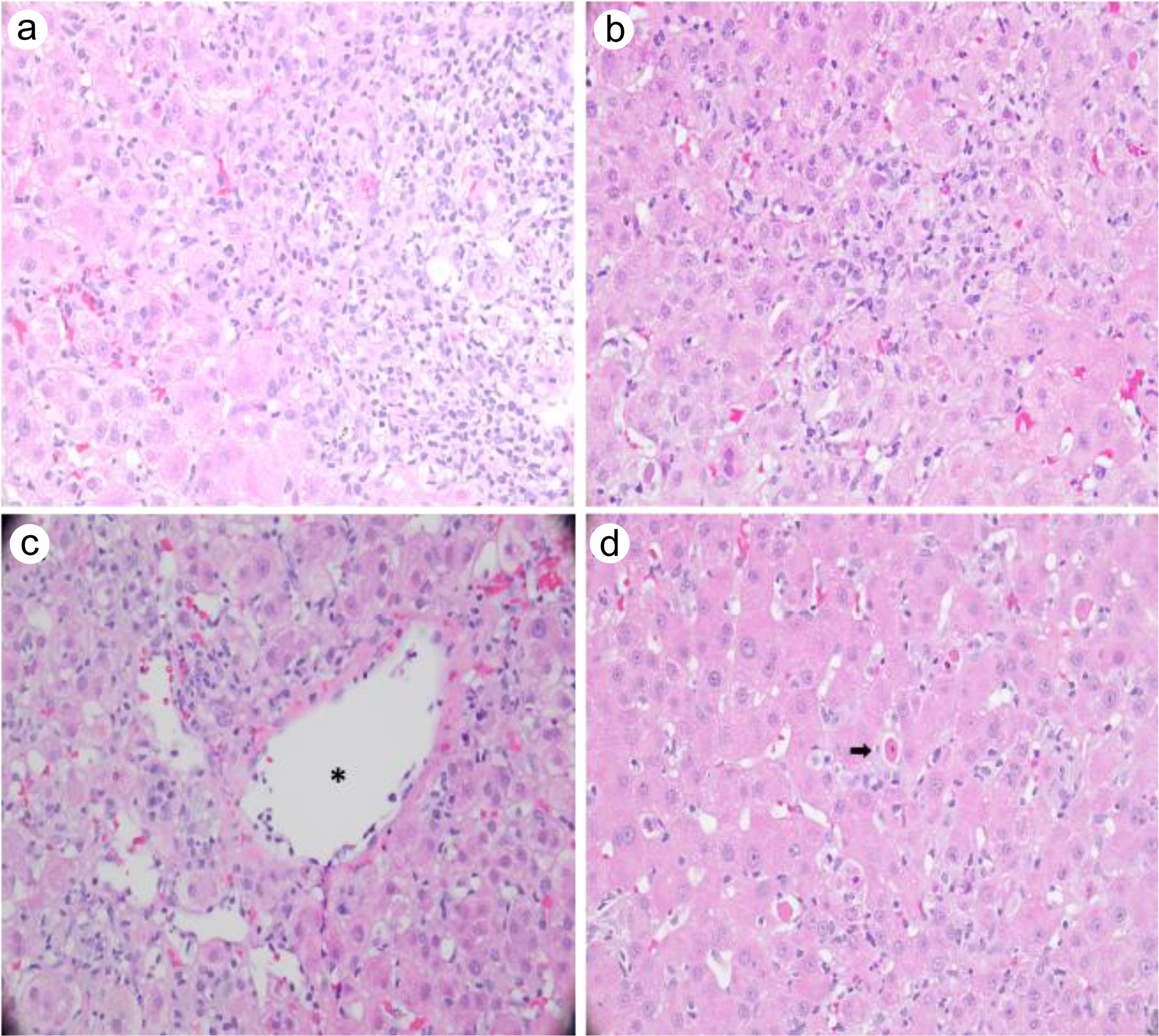
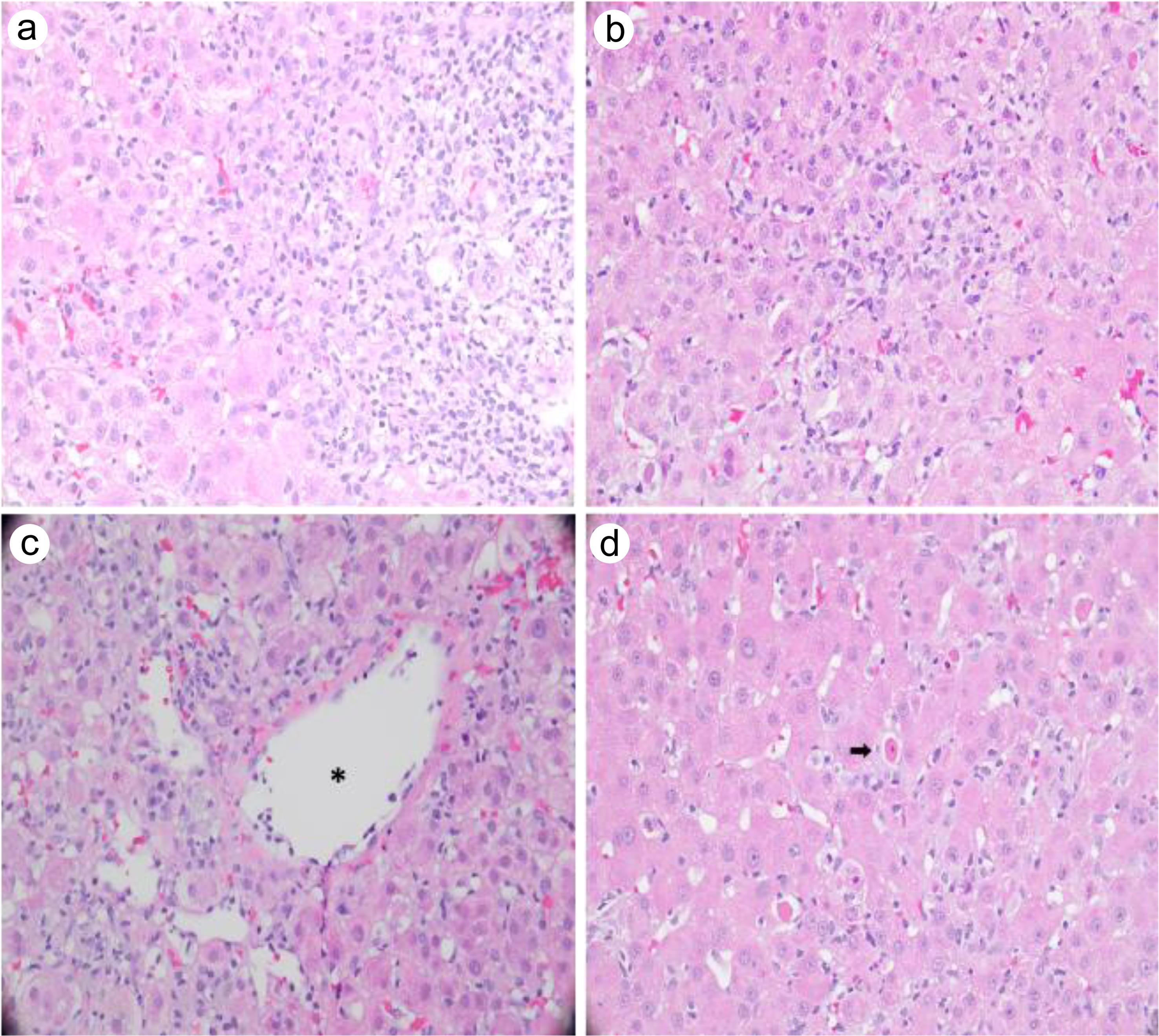
Histological morphological features of liver biopsy.
Fig. 1  Histological morphological features of liver biopsy.

(a) Portal inflammation with prominent lymphoplasmacytic infiltration and interface hepatitis (×200). (b) Lobular inflammation with lymphoplasmacytic infiltration (×200). (c) Centrilobular (*) inflammation and necrosis (×200). (d) Acidophilic bodies (arrow) in the lobules (×200).

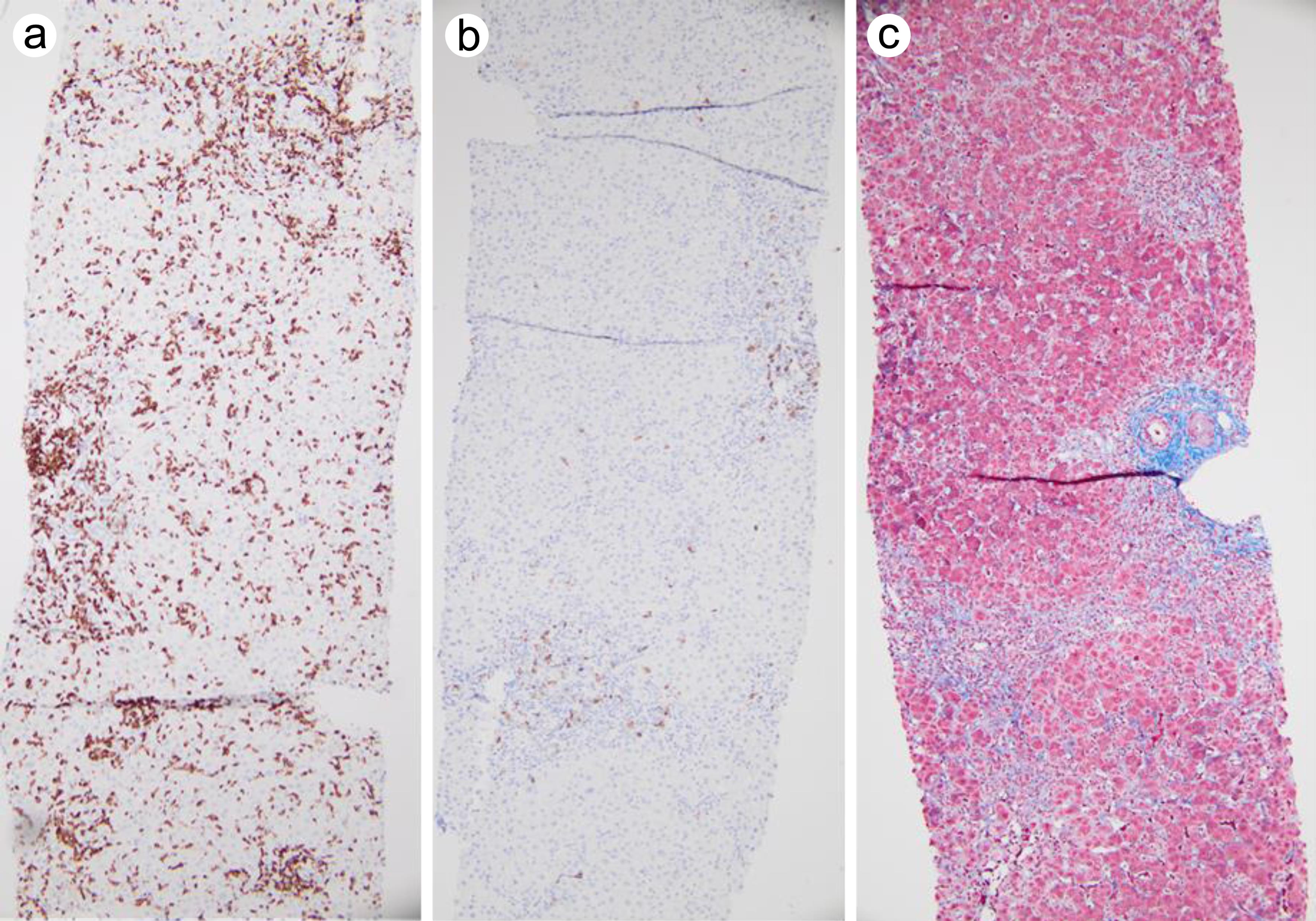
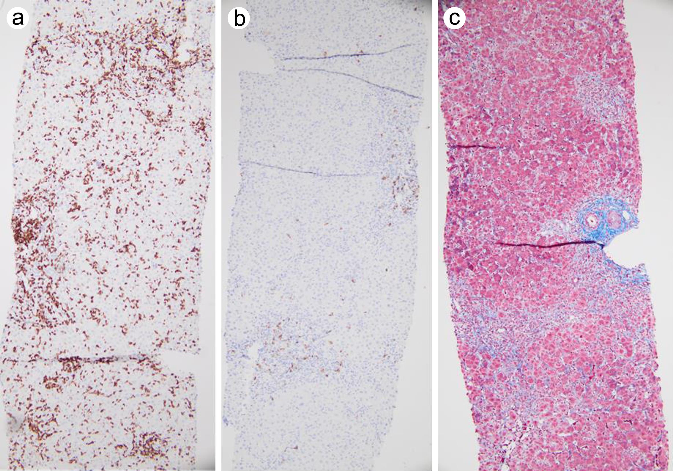
Immunostains and trichrome stain of liver biopsy.
Fig. 2  Immunostains and trichrome stain of liver biopsy.

(a) CD3 (×100); (b) CD20 (×100); (c) Trichrome stain highlights portal fibrosis and collagen deposition in the bridging necrotic area. No significantly increased fibrosis.

Discussion

The first case report regarding COVID-19 vaccination-associated AIH (CA-AIH) was published by Dr. Bril in 2021.5 With the COVID-19 pandemic peak in 2021–2022 and the massive application of the COVID-19 vaccination, robust similar cases had been reported.6,7 Thus, the association between AIH and COVID-19 vaccination/infection has elicited much attention. Dr. Bril raised a question about the causality or casualty between the links. In order to clarify this relationship, we collected and analyzed 20 cases reported during 2021–2022 from 14 countries (references see Table 2).5–24 The detailed clinical and pathological features of 20 cases are listed in Table 2.5–24 In this series, most patients received COVID-19 vaccines, including both activated mRNA vaccines and inactivated types, except for one unvaccinated patient with a COVID-19 infection (Case 20). Four patients had both a COVID-19 vaccination and infection, including our case. Among the total 22 patients from 20 case reports, the female patients were predominant, with a mean age of 55.3 ± 19.3 years (ranging from 20 to 85 years old). The latency time after vaccination (1st, 2nd, or 3rd dose) ranged from two to 56 days, with the most common latency time of seven days and a mean time of 16 days. Patients exhibited a range of symptoms, from no significant symptoms to common gastrointestinal symptoms such as jaundice, abdominal pain, dark urine, pruritus, or fatigue, etc. For other diseases present in these patients, five patients (23%) had thyroid disease (Hashimoto thyroiditis or hypothyroidism), five patients (23%) had hypertension, two patients (9%) had diabetes, two (9%) had suffered previous liver diseases (hepatitis C or primary biliary cholangitis), one had Sjögren disease. Positive ANA was detected in 68% of patients, mostly with homogeneous or speckled patterns, which are similar to the classic AIH (c-AIH) ANA patterns, and ASMA was found in 32% of patients. Both ALT and AST were significantly elevated (ALT: 1248 ± 627 U/L; AST: 1133 ± 486 U/L), and ALP and gamma-glutamyltransferase were mildly elevated (ALP: 185 ± 101 U/L; gamma-glutamyltransferase: 298 ± 135 U/L). Other positive antibodies were occasionally detected, such as anti-dsDNA, anti-actin antibody, anti-neutrophil cytoplasmic antibody, anti-soluble liver antigen, anti-liver cytosol antibody, HLA-DR4, and DR3, etc. A liver biopsy was performed on all patients due to the presence of markedly increased liver enzymes. Different from the c-AIH, which presents mostly with chronic hepatitis and advanced fibrosis, the majority of CA-AIH cases presented with an acute-onset hepatitis pattern with minimal to mild fibrosis. The histologic findings were compatible with AIH with severe acute hepatitis presentation in 19 patients. The liver biopsy showed marked portal and lobular inflammation with prominent lymphoplasmacytic infiltration. One study showed that the infiltrative lymphocytes were predominantly CD8-positive T cells.13 Prominent interface hepatitis and/or rosette formation were seen in 90% of the cases. Necrosis was identified from scattered acidophilic bodies, spotty necrosis, to diffuse necroinflammatory foci and even bridging necrosis. Centrilobular necrosis was seen in seven cases. Among the 22 patients, 18 cases (82%) had minimal to mild fibrosis, consistent with an acute-onset pattern. Only four cases (18%) showed chronic features, ranging from focal bridging fibrosis to advanced fibrosis (cirrhosis). After diagnosis, most patients were immediately treated with steroids and responded well; however, two patients developed fulminant liver failure and eventually died.

Table 2

Summary of clinicopathological parameters from 20 case reports

AuthorYear, CountryAge (y)GenderVaccine (interval)InfectionLFTAutoantibodiesLiver biopsy: Inflam/Necrosis/Fibrosis
Bril et al.52021, USA35FPfizer (13 d)NoALT: 2,001; AST: 754; ALP:170ANA: 1:1,280 (homogenous); dsDNA: 1:80; ASMA: –Yes/Yes/No
Vuille-Lessard et al.62021, Switzerland76FmRNA-1273 SARS-CoV-2 (2–3 d)YesALT: 579; AST: 811; ALP:124ANA: 1:1,280 (homogeneous); ASMA: 1:1,280; ANCA: >1:1,280Yes/Yes/No
Ghielmetti et al.72021, Switzerland63MmRNA-1273 SARS-CoV-2 (7d)NoALT: 1,038; AST: 1,127; ALP: 192; GGT: 536ANA: 1: 640 (speckled); AMA+Yes/Yes/No
Londoño et al.82021, Spain41FmRNA-1273 SARS-CoV-2 (7d)NoALT: 1,312; AST: 993; ALP: 190; GGT: 209ANA: 1:80; ASMA: 1:40; ASLA: +; ALC: +Yes/Yes/No
Clayton-Chubb et al.92021, Australia36MOxford-AstraZeneca (26 d)NoALT: 1,774; AST: 633; ALP: 118; GGT: 136ANA: 1:160 (Speckle)Yes/Yes/No
Garrido et al.102021, Portugal65FModerna-COVID-19 vaccine (14 d)NoALT: 1,092; AST: 1,056; ALP: 24; GGT: 329ANA: 1:100 (speckled pattern)Yes/Yes/No
Avci et al.112021, Turkey61FBNT162b2 mRNA (30 d)YesALT: 455; AST: 913; ALP: 436; GGT: 292ANA: 1:100 (weakly granular); ASMA: 1:100Yes/Yes/No
Mathew et al.122022, India20sFAstraZeneca (8 d)YesALT: 1,790; AST: 1,855ANA: 1:100Yes/No/Yes
Boettler et al.132022, Germany52MBNT162b2 (10 d 1st; 51 d 2nd)NoALT: 2,130; AST: –; ALP: 142; GGT: 217ANA: 1:200Yes/Yes/No
Rela et al.142021, India38FCovishield (20 d)NoALT: 1,025; AST: 1,101ANA: 1: 80; IgG: 16.5 mg/LYes/Yes/No
62MCovishield (16 d)NoALT: 1,094; AST: 1,361NegativeYes/Yes/No
Hasegawa et al.152022, Japan82FPfzer-BioNTech (7d)No/HCV+ALT: 1,097; AST: 1,682; ALP: 77; GGT: 104IgG: 1,809Yes/Yes/No
Mekritthikrai et al.162022, Thailand52FInactivated (7d)NoALT: 180; AST: 566; ALP: 228ANA: 1:160 (fine speckled); ASMA: 1:400Yes/Yes/Yes
Ueno et al.172022, Japan54FPfzer- (X2); Moderna (7d after the third dose)NoALT: 2,472; AST: 2,001; ALP: 352; GGT: 416ASMA: 1:40; HLA-DR4+Yes/Yes/No
Camacho-Domínguez et al.182022, Colombia79MChAdOx1 nCoV-19 (15 d)NoAST: 2,003; ALT: 1,994ASMA: 71.0 U; ANA: 1:80Yes/Yes/No
Pinazo-Bandera et al.192022, Spain77FBioNTech BNT162b2 and Spikevax ARNm-1,273 (2 d after the 2nd dose)NoALT: 552; AST: 474; ALP: 159IgG: nl; ANA: 1: 60; AMA: 1:40; HLA-DR4 +compatible with autoimmune hepatitis
23MChAdOx1nCoV-19 Vaxzevria/CovishieldNoALT 587; AST 702; ALP 202IgG: 1,647; ANA: –; AMA: –; HLA-DR3: +compatible with AIH
Fimiano et al.202021, Italy63FBNT162b2 mRNA (Pfizer/BioNTech) (37 d)NoALT: 1,778; AST: 1,625; ALP: 273; GGT: 419anti-Sars-CoV 2 spike protein: 35,000 BAU/mL (>1,000 times UNL). Other antibodies are negativeYes/Yes/No
Romero-Salazar et al.212022, Spain76MPfizer (∼30 d)NoElevationANA: + (1:160)Yes/Yes/Yes
Durazo et al.222022, USA49FUnvaccinatedYesALT: 851; AST: 614; ALP: 70IgG: 2,093. Others negativeYes/Yes/No
Kang et al.232022, Korea27FPfizer/BioNTech COVID-19 (14 d)NoTB: 8.6; AST: 1,004; ALT:1,478; ALP: 182ANA: 1:80; Mixed pattern; IgG: 1,641Yes/Yes/Yes
Yoshida et al. 242022, Japan85FPfizer/BioNTech, 56 d after 2nd doseNoAST: 1,383; ALT: 925; ALP: 207; GGT: 326IgG: 2,126; ANA: 1:1,280, speckled pattern. ASMA: 1:20 (marginally +)Yes/Yes/No

Based on the analyzed data collected from 20 cases, CA-AIH shares common features with c-AIH as follows: female predominance with mostly middle-aged distribution, positive ANA and/or positive ASMA. The serological tests showed a predominantly hepatocellular injury pattern. Histological features demonstrated an acute hepatitis pattern with prominent portal and lobular inflammation, interface hepatitis, and necrosis to varying extents—ranging from acidophilic bodies to spotty necrosis and even bridging necrosis. Centrilobular necrosis was also present. In contrast to c-AIH, which presents with chronic hepatitis, most CA-AIH cases in this series were discovered at an early stage. In the current case, the patient had an asymptomatic COVID-19 infection in 2022 and received four COVID-19 vaccinations in 2021–2022. Her elevated LFTs were detected after the COVID-19 infection in 2022. After that, her LFTs trended down to normal limits without any treatment. The liver biopsies showed an acute hepatitis pattern featuring prominent lymphoplasmacytic infiltration and interface activity. The histological features suggested autoimmune hepatitis and were confirmed with a later positive ANA test. Her liver enzymes returned to a normal range with prompt steroid treatment. Throughout the entire period, she had minimal symptoms. As shown in the 20 cases, the symptoms varied from none to fever, nausea, abdominal pain, and jaundice. Since ANA and ASMA markers are usually negative in the early stage, this may cause a delayed definitive diagnosis and necessary effective treatment in CA-AIH.

Both the 20 cases and our case described an acute-onset presentation of autoimmune hepatitis. Autoimmune hepatitis is a complex autoimmune disease with an uncertain mechanism. It is thought to be a T-cell–mediated autoimmune disease secondary to a failure of immune tolerance triggered by environmental factors and genetic predisposition. The various environmental factors include infection, medications, toxins, etc. In particular, vaccines are also considered potential triggers of AIH. Vaccine-induced autoimmune liver disease has been reported in the past, including hepatitis B, influenza, and HPV vaccines. The key mechanism of vaccine-induced AIH is believed to be molecular mimicry, which is caused by immune cross-reactivity due to structural similarity between vaccine and host antigens. The second mechanism considered in vaccine-induced AIH is called bystander activation, which is intense stimulation of the innate immune system caused by adjuvants. The third mechanism is due to epitope spreading, which is an immune response to endogenous epitopes by release of self-antigens during the inflammatory process.25,26 The immune response is mediated through activated cytotoxic CD8-positive T cells, including spike-specific CD8-positive T cells.11 In addition, studies showed that COVID-19 infection may also have a triggering effect on various autoimmune diseases through molecular mimicry and hyperstimulation of the immune system.27 However, only 5 (23.8%) of the 21 collected cases had COVID-19 infection. Therefore, the role of COVID-19 infection is the development of CA-AIH is unclear and warrants further studies.

In another study of 87 patients collected from 18 countries, SARS-CoV-2 vaccination-induced liver injury showed female dominance, middle age, a hepatocellular injury pattern, and 67% of patients with positive ANA and 18% with positive ASMA. The overall clinical and serological features were similar to our analysis of 20 cases.28 In addition, AIH should be considered even without significant positive ANA, because the antibody was positive in only 68% of patients in our study, had delayed expression in our case, and was even negative in another report.29 As the first autoantibodies to be associated with c-AIH, studies found that the common immunofluorescence patterns of ANA in AIH are speckled or homogeneous.30,31 These patterns were also demonstrated in the majority of the reported cases and in our case. Although not specific, these ANA patterns provide more evidence of COVID-19–induced AIH.

Since the first case report of AIH following COVID-19 vaccination, the link between AIH and COVID-19 has been questioned. Although 20 cases comprise a small-scale study, it sheds light on a potentially novel clinical entity. As we know, the diagnosis of AIH is complex and challenging. Due to variable symptoms and possibly delayed ANA levels, the accurate diagnosis of CA-AIH is even more difficult. With the ongoing increase in COVID-19 cases internationally and the widespread use of the vaccine, it is necessary for clinicians to consider CA-AIH in the differential diagnosis of patients with nonspecific acute hepatitis, especially in the middle-aged female population. Even without a definitive diagnosis, long-term monitoring of this population is needed in order to avoid a worse disease prognosis. In addition, early diagnosis of CA-AIH will most benefit patients due to their positive response to steroid therapy. The benefits of vaccination are significant in fighting the pandemic. Although adverse effects of vaccination are rare, addressing them with caution will be best for future patient care.

Conclusions

In the current report, we presented a case of a 66-year-old female patient with acute-onset AIH, confirmed by histological and serological features following COVID-19 vaccination and infection. Taken together with the analysis of 20 similar cases from other reports, we provide stronger evidence to support the relationship between autoimmune hepatitis and COVID-19 infection and/or vaccination. More importantly, our patient responded well to steroid treatment administered immediately after diagnosis, which helped avoid a worse prognosis, including the need for liver transplantation. Early diagnosis of AIH is critical for patients with COVID-19-related conditions.

Declarations

Acknowledgement

None.

Ethical statement

This study was performed in accordance with the Declaration of Helsinki (as revised in 2024). This case report does not include any identifiable patient information. According to institutional policy, this case report is exempt from Institutional Review Board approval and informed consent.

Funding

There is no financial support to declare.

Conflict of interest

The authors declare no conflict of interest.

Authors’ contributions

Supervising the literature search and writing the majority of the paper (YW), providing the reported cases, guiding and editing throughout the writing process (YW), evaluating the histopathological images, and preparing the figures (YW, XC, AA, XD). All authors have read and approved the final manuscript.

References

  1. Muratori L, Lohse AW, Lenzi M. Diagnosis and management of autoimmune hepatitis. BMJ 2023;380:e070201 View Article PubMed/NCBI
  2. Terziroli Beretta-Piccoli B, Mieli-Vergani G, Vergani D. Autoimmmune hepatitis. Cell Mol Immunol 2022;19(2):158-176 View Article PubMed/NCBI
  3. Tanaka A. Autoimmune Hepatitis: 2019 Update. Gut Liver 2020;14(4):430-438 View Article PubMed/NCBI
  4. Yadav V, Irfan R, Safdar S, Sunkara V, Ekhator C, Pendyala PR, et al. Advances in Understanding and Managing Autoimmune Hepatitis: A Narrative Review. Cureus 2023;15(8):e43973 View Article PubMed/NCBI
  5. Bril F, Al Diffalha S, Dean M, Fettig DM. Autoimmune hepatitis developing after coronavirus disease 2019 (COVID-19) vaccine: Causality or casualty?. J Hepatol 2021;75(1):222-224 View Article PubMed/NCBI
  6. Vuille-Lessard É, Montani M, Bosch J, Semmo N. Autoimmune hepatitis triggered by SARS-CoV-2 vaccination. J Autoimmun 2021;123:102710 View Article PubMed/NCBI
  7. Ghielmetti M, Schaufelberger HD, Mieli-Vergani G, Cerny A, Dayer E, Vergani D, et al. Acute autoimmune-like hepatitis with atypical anti-mitochondrial antibody after mRNA COVID-19 vaccination: A novel clinical entity?. J Autoimmun 2021;123:102706 View Article PubMed/NCBI
  8. Londoño MC, Gratacós-Ginès J, Sáez-Peñataro J. Another case of autoimmune hepatitis after SARS-CoV-2 vaccination - still casualty?. J Hepatol 2021;75(5):1248-1249 View Article PubMed/NCBI
  9. Clayton-Chubb D, Schneider D, Freeman E, Kemp W, Roberts SK. Autoimmune hepatitis developing after the ChAdOx1 nCoV-19 (Oxford-AstraZeneca) vaccine. J Hepatol 2021;75(5):1249-1250 View Article PubMed/NCBI
  10. Garrido I, Lopes S, Simões MS, Liberal R, Lopes J, Carneiro F, et al. Autoimmune hepatitis after COVID-19 vaccine - more than a coincidence. J Autoimmun 2021;125:102741 View Article PubMed/NCBI
  11. Avci E, Abasiyanik F. Autoimmune hepatitis after SARS-CoV-2 vaccine: New-onset or flare-up?. J Autoimmun 2021;125:102745 View Article PubMed/NCBI
  12. Mathew M, John SB, Sebastian J, Ravi MD. COVID-19 vaccine triggered autoimmune hepatitis: case report. Eur J Hosp Pharm 2023;30(5):e27 View Article PubMed/NCBI
  13. Boettler T, Csernalabics B, Salié H, Luxenburger H, Wischer L, Salimi Alizei E, et al. SARS-CoV-2 vaccination can elicit a CD8 T-cell dominant hepatitis. J Hepatol 2022;77(3):653-659 View Article PubMed/NCBI
  14. Rela M, Jothimani D, Vij M, Rajakumar A, Rammohan A. Auto-immune hepatitis following COVID vaccination. J Autoimmun 2021;123:102688 View Article PubMed/NCBI
  15. Hasegawa N, Matsuoka R, Ishikawa N, Endo M, Terasaki M, Seo E, et al. Autoimmune hepatitis with history of HCV treatment triggered by COVID-19 vaccination: case report and literature review. Clin J Gastroenterol 2022;15(4):791-795 View Article PubMed/NCBI
  16. Mekritthikrai K, Jaru-Ampornpan P, Komolmit P, Thanapirom K. Autoimmune Hepatitis Triggered by COVID-19 Vaccine: The First Case From Inactivated Vaccine. ACG Case Rep J 2022;9(7):e00811 View Article PubMed/NCBI
  17. Ueno M, Takabatake H, Itakura J, Fujita R, Kayahara T, Morimoto Y, et al. Corticosteroid-refractory autoimmune hepatitis after COVID-19 vaccination: a case report and literature review. Clin J Gastroenterol 2023;16(4):554-558 View Article PubMed/NCBI
  18. Camacho-Domínguez L, Rodríguez Y, Polo F, Restrepo Gutierrez JC, Zapata E, Rojas M, et al. COVID-19 vaccine and autoimmunity. A new case of autoimmune hepatitis and review of the literature. J Transl Autoimmun 2022;5:100140 View Article PubMed/NCBI
  19. Pinazo-Bandera JM, Hernández-Albújar A, García-Salguero AI, Arranz-Salas I, Andrade RJ, Robles-Díaz M. Acute hepatitis with autoimmune features after COVID-19 vaccine: coincidence or vaccine-induced phenomenon?. Gastroenterol Rep (Oxf) 2022;10:goac014 View Article PubMed/NCBI
  20. Fimiano F, D’Amato D, Gambella A, Marzano A, Saracco GM, Morgando A. Autoimmune hepatitis or drug-induced autoimmune hepatitis following Covid-19 vaccination?. Liver Int 2022;42(5):1204-1205 View Article PubMed/NCBI
  21. López Romero-Salazar F, Veras Lista M, Gómez-Domínguez E, Ibarrola-Andrés C, Muñoz Gómez R, Fernández Vázquez I. SARS-CoV-2 vaccine, a new autoimmune hepatitis trigger?. Rev Esp Enferm Dig 2022;114(9):567-568 View Article PubMed/NCBI
  22. Durazo FA, Kristbaum K, Miller J, Saeian K, Selim M, Hong JC. De Novo Autoimmune Hepatitis after COVID-19 Infection in an Unvaccinated Patient. Case Reports Hepatol 2022;2022:8409269 View Article PubMed/NCBI
  23. Kang SH, Kim MY, Cho MY, Baik SK. Autoimmune Hepatitis Following Vaccination for SARS-CoV-2 in Korea: Coincidence or Autoimmunity?. J Korean Med Sci 2022;37(15):e116 View Article PubMed/NCBI
  24. Yoshida Y, Iwata N, Ishii Y, Hinoda Y, Endo T. Autoimmune Hepatitis Following mRNA COVID-19 Vaccination in a Very Old Patient With Preexisting Sjögren’s Syndrome: A Case Report. Cureus 2022;14(10):e30896 View Article PubMed/NCBI
  25. Segal Y, Shoenfeld Y. Vaccine-induced autoimmunity: the role of molecular mimicry and immune crossreaction. Cell Mol Immunol 2018;15(6):586-594 View Article PubMed/NCBI
  26. van Gemeren MA, van Wijngaarden P, Doukas M, de Man RA. Vaccine-related autoimmune hepatitis: the same disease as idiopathic autoimmune hepatitis? Two clinical reports and review. Scand J Gastroenterol 2017;52(1):18-22 View Article PubMed/NCBI
  27. Sgamato C, Rocco A, Compare D, Minieri S, Marchitto SA, Maurea S, et al. Autoimmune liver diseases and SARS-CoV-2. World J Gastroenterol 2023;29(12):1838-1851 View Article PubMed/NCBI
  28. Efe C, Kulkarni AV, Terziroli Beretta-Piccoli B, Magro B, Stättermayer A, Cengiz M, et al. Liver injury after SARS-CoV-2 vaccination: Features of immune-mediated hepatitis, role of corticosteroid therapy and outcome. Hepatology 2022;76(6):1576-1586 View Article PubMed/NCBI
  29. Lee HE, Zhang J, Wilhelm AB, Stevenson HL, Merwat S. Seronegative Autoimmune Hepatitis: A Rare Manifestation of COVID-19. Cureus 2023;15(9):e45688 View Article PubMed/NCBI
  30. Sebode M, Weiler-Normann C, Liwinski T, Schramm C. Autoantibodies in Autoimmune Liver Disease-Clinical and Diagnostic Relevance. Front Immunol 2018;9:609 View Article PubMed/NCBI
  31. Granito A, Muratori P, Ferri S, Pappas G, Quarneti C, Lenzi M, et al. Diagnosis and therapy of autoimmune hepatitis. Mini Rev Med Chem 2009;9(7):847-860 View Article PubMed/NCBI

About this Article

Cite this article
Wang Y, Chen X, Aragao AP, Ding X. COVID-19-associated Autoimmune Hepatitis: A Case Report and Literature Review. J Clin Transl Pathol. 2025;5(3):127-132. doi: 10.14218/JCTP.2025.00010.
Copy Export to RIS Export to EndNote
Article History
Received Revised Accepted Published
February 5, 2025 April 25, 2025 May 15, 2025 June 11, 2025
DOI http://dx.doi.org/10.14218/JCTP.2025.00010