Home
JournalsCollections
For Authors For Reviewers For Editorial Board Members
Article Processing Charges Open Access
Ethics Advertising Policy
Editorial Policy Resource Center
Company Information Contact Us Membership Collaborators Partners
OPEN ACCESS

Decoding High-grade Endometrial Cancer: A Molecular-histologic Integration using the Cancer Genome Atlas Framework

  • Himani Kumar* ,
  • Akansha Deshwal,
  • Sneha Datwani and
  • Zaibo Li* 
Journal of Clinical and Translational Pathology   2025;5(3):104-113

doi: 10.14218/JCTP.2025.00021

Received:

Revised:

Accepted:

Published online:

 Author information

Citation: Kumar H, Deshwal A, Datwani S, Li Z. Decoding High-grade Endometrial Cancer: A Molecular-histologic Integration using the Cancer Genome Atlas Framework. J Clin Transl Pathol. 2025;5(3):104-113. doi: 10.14218/JCTP.2025.00021.

Abstract

Background and objectives

High-grade endometrial carcinoma (HGEC) is an aggressive tumor with increasing incidence and mortality. Traditional classifications, such as Bokhman’s dualistic model and the World Health Organization histopathological system, have limitations due to tumor heterogeneity and interobserver variability. This review provides a comprehensive understanding of how integrating histopathological and molecular data, particularly The Cancer Genome Atlas (TCGA) classification, advances risk stratification and personalized treatment in HGEC. It highlights current challenges and identifies future directions to improve diagnostic accuracy and patient outcomes through precision medicine.

Methods

A literature review was conducted focusing on the epidemiology, histopathology, and molecular profiling of HGEC, with an emphasis on TCGA and next-generation sequencing studies.

Results

TCGA molecular classification stratifies HGEC into four subgroups with distinct prognoses which includes POLE-ultramutated (POLE), microsatellite instability hypermutated, copy number high and copy number low. The next-generation sequencing enhances diagnostic precision and guides personalized treatment. However, diagnostic challenges persist in clinical practice.

Conclusions

Integrating histopathology with TCGA-based molecular profiling refines HGEC classification, enabling improved risk stratification and targeted therapies. Continued efforts to improve diagnostic accuracy are essential to advance patient care.

Keywords

Endometrial carcinoma, Endometrial serous carcinoma, Clear cell carcinoma, Endometrioid carcinoma, Mesonephric-like adenocarcinoma, The Cancer Genome Atlas, TCGA, Polymerase E ultramutated, Microsatellite instability, MSI, Copy-number high, Copy-number low

Introduction

Endometrial cancer (EC) is a significant global health concern, accounting for approximately 80% of corpus uteri malignancies in Europe and over 90% in the United States.1 As the second most common cancer affecting female reproductive organs, its incidence and mortality rates have been steadily rising.1 In 2020, an estimated 417,000 new cases and 97,000 deaths were attributed to the disease worldwide.2 By 2025, projections indicate approximately 69,120 new cases and 13,860 deaths in the United States alone.3

Historically, Bokhman proposed a pathogenetic classification of EC, dividing tumors into two main subtypes: Type I and Type II. Type I tumors, typically low-grade and estrogen-dependent, are strongly associated with risk factors such as obesity and endometrial hyperplasia, and generally lead to favorable prognoses. In contrast, Type II tumors are estrogen-independent and primarily non-endometrioid, including serous and clear cell carcinomas. These tumors often arise from atrophic endometrium in postmenopausal women and exhibit a more aggressive clinical course with poorer outcomes.4 While this classification provides a foundational framework, its clinical utility is limited due to significant heterogeneity and overlapping pathological and molecular features between subtypes, complicating prognostication and treatment stratification.5

The World Health Organization 5th edition classification categorizes endometrial carcinoma based on histological morphology. It includes EC (subdivided into low-grade [Grades 1 and 2] and high-grade [Grade 3]), serous carcinoma, clear cell carcinoma, mixed carcinoma, undifferentiated carcinoma (UC), carcinosarcoma, and rarer variants such as mesonephric-like and gastrointestinal mucinous-type carcinomas. Prognosis and management are primarily determined by tumor grade, histologic subtype, and molecular characteristics. Low-grade EC, predominantly EC (Grades 1 and 2), generally responds well to surgery with minimal adjuvant therapy. In contrast, high-grade EC, including Grade 3 endometrioid, serous, clear cell, and UCs, exhibits aggressive behavior, necessitating multimodal treatment involving surgery, chemotherapy, radiotherapy, and targeted therapies. The integration of molecular profiling has significantly enhanced risk stratification, enabling a shift toward personalized treatment strategies.6,7

High-grade endometrial carcinoma (HGEC) represents a heterogeneous group of tumors characterized by considerable biological, morphological, genetic, and clinical diversity. This category includes Grade 3 endometrioid, serous, clear cell, and carcinosarcoma subtypes, all associated with poor prognoses. While histopathological evaluation using hematoxylin and eosin staining and immunohistochemistry (IHC) remains the gold standard for diagnosis, interobserver variability continues to challenge diagnostic consistency.8–10

A study analyzing 56 HGEC cases found consensus on the predominant tumor subtype in only 62.5% of cases,8 with major diagnostic discrepancies observed in 35.8%. The most frequent disagreements occurred between serous and clear cell carcinoma and between serous and Grade 3 EC. The application of a five-marker immunopanel (p16, estrogen receptor (ER), progesterone receptor (PR), phosphatase and tensin homolog (PTEN), and p53) has improved diagnostic accuracy in some instances, yet these findings underscore the limitations of conventional histopathological methods.8

The advent of next-generation sequencing (NGS) has provided deeper insights into the molecular landscape of HGEC, refining classification and risk stratification.5,10 In 2013, The Cancer Genome Atlas (TCGA) research network conducted a comprehensive genomic and transcriptomic analysis of endometrioid and serous carcinomas, categorizing them into four molecular subgroups: polymerase E (POLE)-ultramutated, microsatellite instability/hypermutated, copy-number low/microsatellite stable, and copy-number high (CNH) (serous and serous-like) tumors. This classification has yielded critical prognostic insights and paved the way for novel therapeutic approaches.11

This review aims to provide a comprehensive examination of high-grade EC by integrating epidemiological data, histopathological classification, and recent advancements in molecular profiling. It also addresses the challenges posed by interobserver variability in histological diagnosis and evaluates the role of molecular techniques in overcoming these limitations. By exploring the interplay between traditional pathological frameworks and emerging molecular insights, this review highlights the evolving landscape of risk stratification and personalized treatment strategies in HGEC.

International Federation of Gynecology and Obstetrics (FIGO) Grade 3 EC

Endometrioid carcinomas are histologically graded according to the FIGO classification system, which assigns grades from 1 to 3 based on the proportion of solid growth relative to glandular architecture. Specifically, Grade 1 tumors exhibit less than 6% solid growth, Grade 2 tumors display 6% to 50% solid components, and Grade 3 tumors are characterized by more than 50% solid architecture. Grades 1 and 2 are considered low-grade neoplasms and are typically associated with a favorable prognosis. In contrast, Grade 3 tumors are considered high-grade and correlate with intermediate to poor clinical outcomes.6

High-grade endometrioid endometrial carcinoma (HG-EEC) primarily affects women in the peri-menopausal and early postmenopausal stages. The risk is significantly increased by prolonged and unopposed estrogen exposure, which may result from factors such as early menarche, late menopause, nulliparity, obesity, tamoxifen use, and polycystic ovarian syndrome. Additionally, hereditary syndromes such as Lynch syndrome and Cowden syndrome are associated with a small subset of cases.1 HG-EEC shares molecular alterations with endometrial hyperplasia and endometrial intraepithelial neoplasia, supporting the notion of a stepwise progression in its pathogenesis.1,12

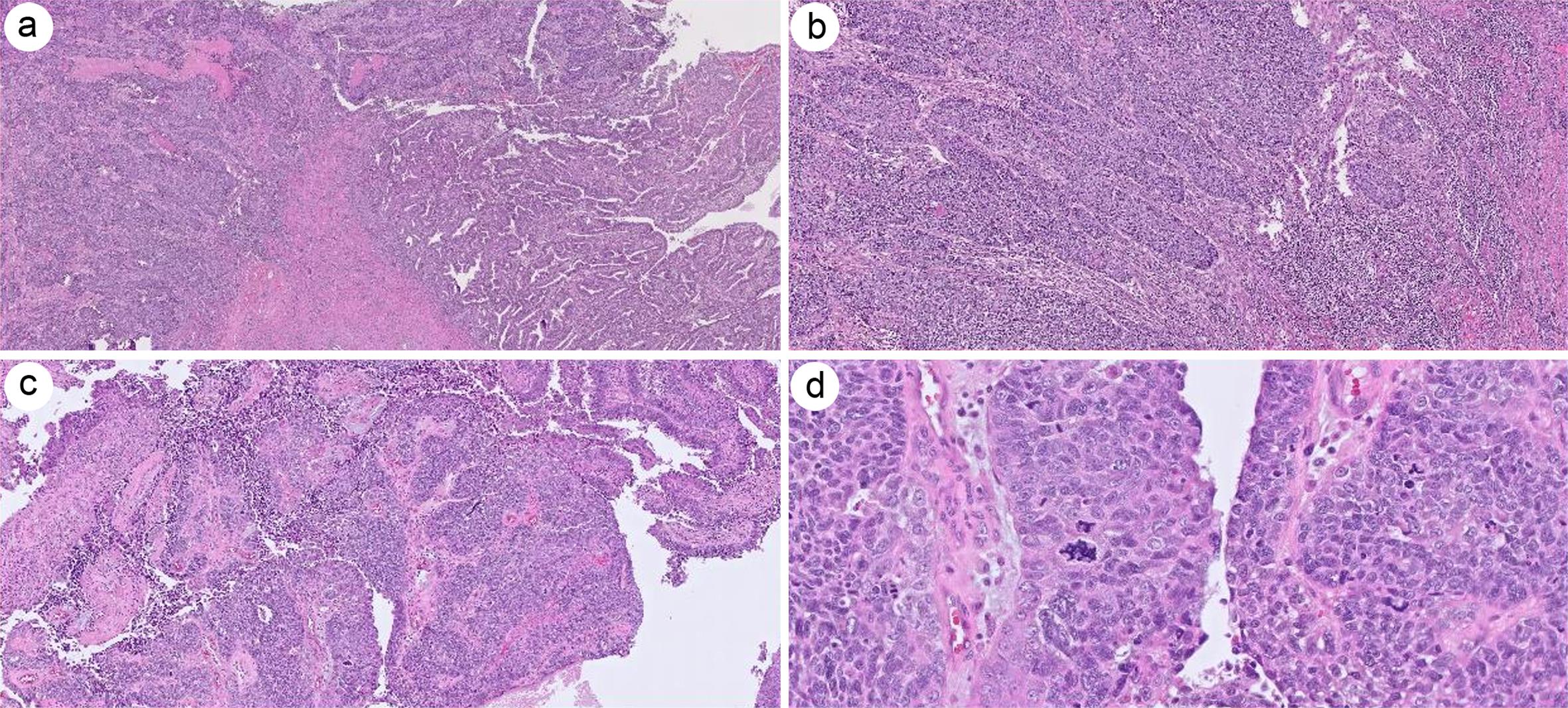
Grossly, these tumors present as exophytic or infiltrative masses with varying degrees of hemorrhage and necrosis. Histologically, Grade 3 EC is characterized by more than 50% solid architecture or 6–50% solid growth accompanied by diffuse, marked nuclear atypia. These tumors frequently arise in the setting of endometrial hyperplasia and predominantly exhibit a solid growth pattern, although focal gland formation is typically observed. The glandular structures consist of oval or round glands lined by columnar or cuboidal cells with low-grade, pseudostratified nuclei, establishing their endometrioid lineage. A clear transition between the solid and glandular components is often seen. The solid areas consist of large nests and, occasionally, trabeculae, with tumor cells in these regions closely resembling those lining the glandular spaces (Fig. 1). Nuclear atypia is typically moderate (Grade 2), and mucinous or squamous metaplasia may be present.1,13,14

(POLE)-mutated FIGO 3 endometrioid carcinoma.
Fig. 1  (POLE)-mutated FIGO 3 endometrioid carcinoma.

(a) The tumor shows focal glandular architecture along with solid areas (100×, H&E). (b, c) The solid component exhibits prominent lymphocytic infiltrate with tumor heterogeneity (100×, H&E). (d) The tumor cells display a moderate degree of nuclear atypia and tumor giant cells (200×, H&E). FIGO, International Federation of Gynecology and Obstetrics; H&E, hematoxylin and eosin; POLE, polymerase epsilon gene.

Molecularly, HG-EEC is frequently associated with the loss of immunoreactivity for ARID1A, PTEN, or one of the mismatch repair (MMR) proteins. Abnormal p53 expression has been identified in 2–5% of low-grade endometrioid endometrial carcinoma (EECs) and approximately 20% of high-grade EECs. In contrast, mutations in PPP2R1A are rare in both low- and high-grade ECs. Key prognostic factors include tumor stage, lymphovascular invasion, and molecular characteristics, all of which influence treatment strategies.9,10,15

Serous carcinoma

Serous carcinoma accounts for approximately 10% of all ECs and is more frequently observed in African American women, particularly those with a history of tamoxifen use, breast cancer, or prior pelvic radiation.16 A subset of cases has been associated with both germline and somatic BRCA mutations.16 Notably, all cases of serous carcinoma fall within the CNH molecular subgroup according to TCGA classification.16–18

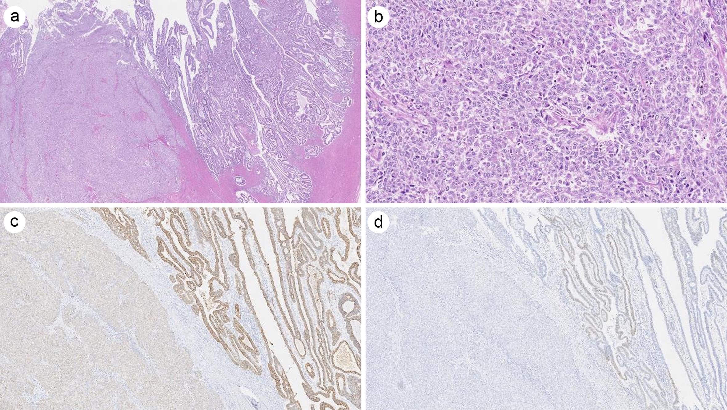
Grossly, serous carcinoma demonstrates significant variability, ranging from extensive myometrial and cervical invasion with peritoneal dissemination to cases where the tumor is identified microscopically within an atrophic uterus or as a polypoid lesion.12,16 Histologically, serous carcinoma typically arises in the background of an atrophic endometrium or an endometrial polyp, although it has also been reported in hyperplastic endometrium and in obese women.16,19 Most cases exhibit a complex papillary and glandular growth pattern, characterized by elongated, irregular glands with slit-like luminal spaces. In some instances, the tumor may present with round, regular glands interspersed with solid areas. The neoplastic cells exhibit high-grade cytology, including pronounced nuclear atypia, marked pleomorphism, multinucleation, nuclear stratification, and frequent abnormal mitotic figures (Fig. 2). Additionally, psammomatous calcifications are frequently observed, particularly in cases with a history of chemotherapy or radiation therapy.12–14,16,18

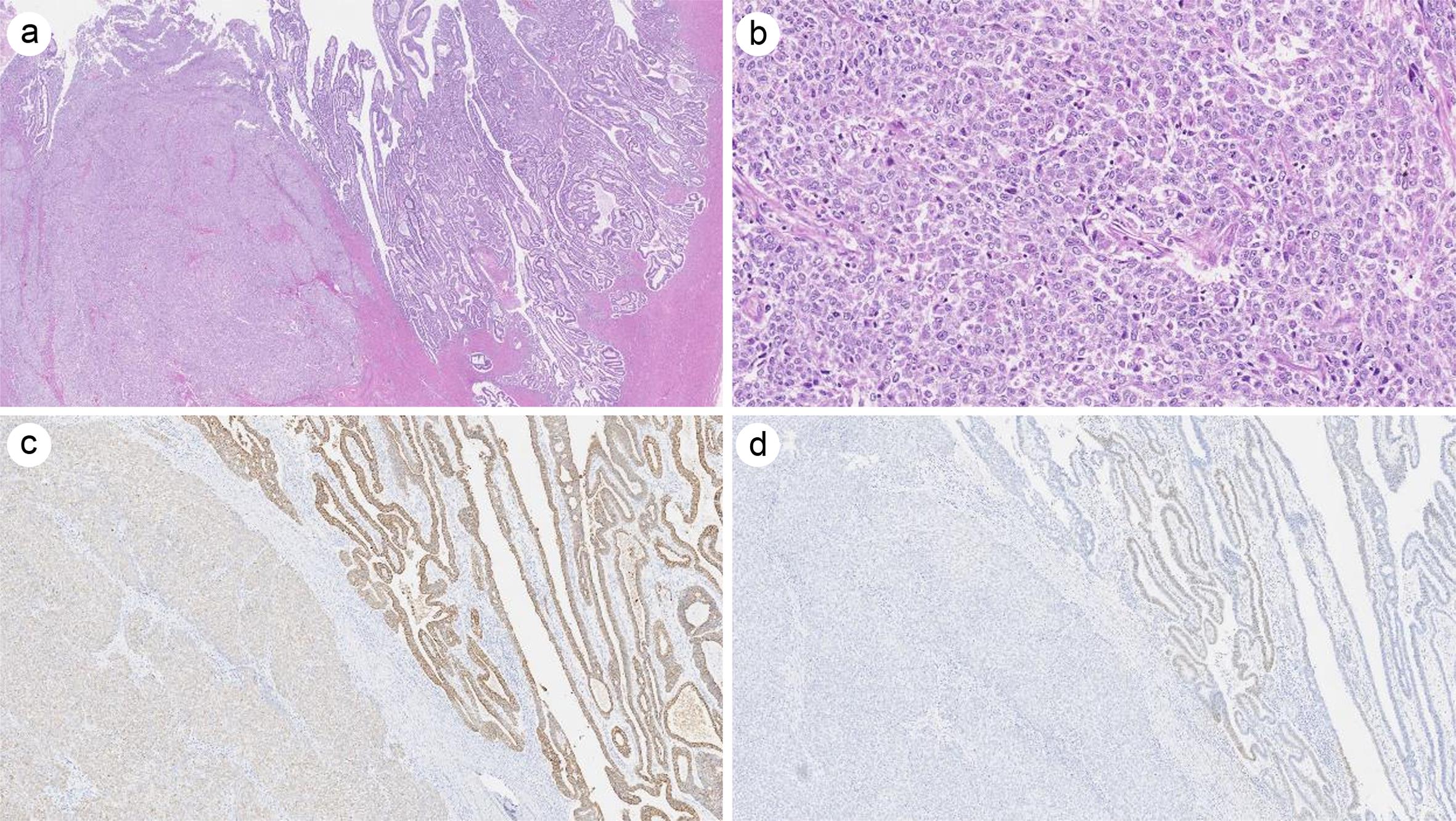
Endometrial serous carcinoma.
Fig. 2  Endometrial serous carcinoma.

(a, b) The tumor exhibits typical complex papillary and micropapillary architecture and high-grade nuclear atypia (100× & 200×, H&E). The tumor cells are diffusely positive for p16 (c) and show aberrant p53 staining (d) (100×, immunohistochemistry). H&E, hematoxylin and eosin.

Serous endometrial intraepithelial carcinoma (SEIC) is defined histopathologically by the replacement of the endometrial surface epithelium by markedly atypical epithelial cells that are morphologically indistinguishable from those in invasive serous carcinoma. SEIC is characterized by pronounced nuclear atypia, increased mitotic activity, and a high proliferative index, yet lacks overt stromal or myometrial invasion.12,16,20–22

Although SEIC displays morphological and biological features consistent with a precursor lesion, its classification remains contentious. Some gynecologic pathology experts caution against labeling SEIC as a true precursor due to its frequently aggressive clinical course and potential for extrauterine dissemination, even in the absence of demonstrable myometrial invasion.20,21

Given its clinical behavior, SEIC and even surface-confined serous carcinomas are recommended to be staged as FIGO stage T1a (confined to the endometrium or inner half of the myometrium), acknowledging their metastatic potential despite limited local invasion. This underscores the importance of recognizing SEIC not merely as an indolent precursor but as a lesion warranting close clinical scrutiny and comprehensive staging.12,16,20–22

While classical cases of serous carcinoma can often be diagnosed based on morphology alone, IHC plays a crucial role in distinguishing serous carcinoma from FIGO Grade 3 EEC. A panel including ER, PR, p53, p16, and PTEN is valuable for differentiation. Most serous carcinomas are negative for ER and PR, positive for p16 and PTEN, and exhibit aberrant p53 staining (Fig. 2). In contrast, EECs typically demonstrate ER and PR positivity, PTEN negativity, focal p16 positivity, and wild-type p53 staining. Additionally, serous carcinomas often express IMP3 and HMGA2 diffusely, and HER2 overexpression is observed in a subset of cases.8,12,13,16

Molecularly, the majority of serous carcinomas harbor TP53 mutations. In a study involving 228 endometrial carcinoma cases (186 EECs and 42 serous endometrial carcinomas (SECs)), TP53 mutations were detected in 88% of SECs and 15% of EECs. Furthermore, TP53 mutations were identified in 91% of CNH tumors and 35% of POLE-negative genomic subtypes. Notably, TP53 hotspot mutations occurred significantly more often in SECs (46%) than in EECs (15%). A subset of TP53-mutant tumors harbors frameshift or nonsense mutations, which can result in aberrant p53 IHC patterns, complicating interpretation. Additional mutations commonly associated with serous carcinoma include FBXW7, PPP2R1A, PIK3CA, and ERBB2 (HER2) amplification.16,23

The prognosis of serous carcinoma is generally worse than that of EC, although clinical outcomes vary depending on disease stage and the presence of metastases.12,13,16

UC and dedifferentiated carcinoma (DDC)

UC and DDC constitute a rare yet highly aggressive subgroup of HGECs, often underrecognized due to their significant morphologic and immunophenotypic overlap with other neoplasms. UC is defined by a solid proliferation of monomorphic, dyscohesive tumor cells that lack overt epithelial differentiation, aside from focal expression of epithelial markers such as cytokeratins and epithelial membrane antigen . In contrast, DDC consists of a UC component coexisting with a low-grade (FIGO Grade 1 or 2) or, less frequently, a high-grade EC (Fig. 3a, b).10,12,24

Dedifferentiated endometrial carcinoma.
Fig. 3  Dedifferentiated endometrial carcinoma.

(a) The tumor arises in a background of low-grade endometrioid carcinoma and shows solid architecture (100×, H&E;). (b) The tumor is composed of sheets of dyscohesive, monotonous cells (400x, H&E;). (c, d) The tumor cells show focal and patchy staining for AE1/AE3 and negative staining for ER (100×, IHC). AE1/3, anti-epithelial 1/3 cytokeratin antibody; ER, estrogen receptor; H&E;, hematoxylin and eosin; IHC, immunohistochemistry.

Histologically, UC is characterized by sheets of noncohesive round cells, sometimes exhibiting rhabdoid or plasmacytoid morphology, accompanied by tumor-infiltrating lymphocytes and areas of geographic necrosis.12 Unlike HG-EEC, UC lacks glandular architecture and shows diffuse loss of E-cadherin, along with negativity for ER, PR, and PAX8. Differentiating UC from HG-EEC is clinically significant, as UC is associated with a more aggressive disease course. DDC is distinguished by an abrupt interface between the differentiated and undifferentiated components, which can pose diagnostic challenges, particularly in biopsy specimens.13

At the molecular level, UC and DDC frequently harbor mutations in the SWI/SNF chromatin remodeling complex, including SMARCA4, SMARCB1, and ARID1A/B, as well as microsatellite instability due to MLH1 promoter hypermethylation in a substantial subset of cases. While most tumors exhibit a wild-type TP53 expression pattern, a subset demonstrates aberrant TP53 immunostaining, particularly in SMARCA4/INI1-intact tumors. These genetic alterations contribute to their aggressive behavior and represent potential therapeutic targets.12,13,24

Given their poor prognosis and aggressive nature, accurate diagnosis of UC and DDC is imperative. Distinguishing them from other high-grade uterine neoplasms requires an integrated approach using histopathological assessment, IHC, and molecular profiling. According to the TCGA classification, most of these cancers fall under the microsatellite instability hypermutated (MSI) group (44%), with the remainder classified as no specific molecular profile (NSMP) (25%), CNH (19%), and POLE-mutated (12%).25

Uterine carcinosarcoma (UCS)

UCS, formerly termed malignant mixed Müllerian tumor, is an HGEC variant that accounts for approximately 5% of ECs, with an annual incidence of 0.5–3.3 cases per 100,000 women worldwide.26,27 It predominantly affects postmenopausal women, peaking in the seventh to eighth decades of life, with increased prevalence among Black women. Clinical presentation typically includes vaginal bleeding, a pelvic mass, or uterine enlargement.28,29

Grossly, UCS often presents as a polypoid tumor filling the endometrial cavity, with potential myometrial invasion or confinement to polyps. Due to its tendency to protrude through the cervical os, UCS may be mistaken for a cervical neoplasm. Tumors exhibit a soft to firm, tan appearance with frequent areas of necrosis, hemorrhage, and cystic degeneration.28

Histopathologically, UCS is characterized by a biphasic morphology comprising malignant epithelial and mesenchymal components. The epithelial component typically includes serous carcinoma, high-grade EC, or, less commonly, clear cell carcinoma.14,24 Even a scant amount of epithelial differentiation in a sarcomatous tumor is sufficient for a UCS diagnosis.30 The extent of sarcomatous differentiation varies, ranging from 2% to 25%.15 The mesenchymal component is classified as homologous if composed of tissue native to the uterus (e.g., endometrial stromal sarcoma, leiomyosarcoma) or heterologous if composed of non-native elements (e.g., rhabdomyosarcoma, chondrosarcoma, osteosarcoma).24 High-volume sarcomatous differentiation is associated with more aggressive behavior and hematogenous or lymphatic spread, whereas epithelial-predominant UCS tends to spread via the peritoneal route.12,13,31

Three pathogenetic theories, collision, combination, and conversion, have been proposed to explain the biphasic nature of UCS, with increasing evidence supporting a monoclonal epithelial origin via epithelial-mesenchymal transition.32–35

Molecular studies support UCS as a high-risk endometrial carcinoma with metaplastic transformation, evidenced by frequent TP53, PTEN, PIK3CA, PPP2R1A, FBXW7, KRAS, and POLE mutations. TP53 and PPP2R1A mutations in UCS mirror those found in serous carcinoma, reinforcing its classification as a variant of endometrial carcinoma.36–38

IHC plays a limited role in diagnosis but may help distinguish carcinomatous from sarcomatous components. UCS typically expresses both epithelial and mesenchymal markers, including p53, vimentin, CD10, SMA, and desmin. Myogenin is useful for confirming rhabdomyoblastic differentiation.13,26 High p16 expression, similar to that seen in serous carcinoma, may suggest a role in UCS pathogenesis.39

Clinically, UCS is highly aggressive, with extrauterine disease present in 60% of cases at diagnosis and recurrence rates exceeding 50%, despite surgery and adjuvant therapy.26 The majority of UCS cases fall within the CNH group (74%) in TCGA classification. Given its poor prognosis, distinguishing UCS from other uterine malignancies is essential for optimal management.25

Endometrial clear cell carcinoma (ECCC)

ECCC primarily affects elderly women, with an average onset in the late seventh decade.14 It frequently arises in endometrial polyps, similar to serous carcinoma, but shares clinical and genomic features with both high-grade endometrioid and serous carcinomas.7,8,18,19,40

ECCC exhibits diverse architectural patterns, including tubulocystic, papillary, and solid growth. Glands and tubules are generally uniform with rounded lumina, while papillae display variable morphology. Stromal hyalinization is a hallmark feature.14 Tumor cells, typically cuboidal, polygonal, flat, or hobnail, often show clear cytoplasm. An oxyphilic variant with eosinophilic cytoplasm also exists.14 Solid areas often present a cobblestone arrangement of polygonal cells with distinct cytoplasmic borders. Mitotic activity is variable but generally not brisk. Although a definitive precursor lesion is not established, clear cell endometrial glandular dysplasia has been proposed.11

p16 overexpression is observed in approximately 90% of serous carcinomas and 30% of FIGO Grade 3 endometrioid and clear cell carcinomas.41,42 However, its diagnostic utility is limited due to variable expression patterns. ECCC frequently lacks ARID1A, ER, and PR expression. Low PR expression combined with diffuse HNF-1b positivity supports an ECCC diagnosis, although HNF-1b expression is also found in ECs and endometriosis. While serous carcinomas typically exhibit aberrant p53 staining and low HNF-1b expression, a subset of ECCCs exhibits p53 overexpression, which correlates with advanced stage and peritoneal metastasis.43–45 PTEN, ARID1A, and MMR analysis further aid differentiation, as serous carcinomas rarely exhibit abnormalities in these markers, whereas ECCCs frequently do.

According to the TCGA classification, 44% of ECCC cases fall under the CNH group, and 42% under NSMP, with MSI and POLE-mutated subtypes accounting for 10% and 4%, respectively.25

Mesonephric-like adenocarcinoma (MLA)

MLA was introduced as a novel tumor entity of the endometrium and ovary in the 2020 World Health Organization classification of female genital tumors.46 MLA constitutes approximately 1% of all endometrial carcinomas.47 Unlike mesonephric carcinoma, which arises from mesonephric (Wolffian) duct remnants and is most commonly described in the uterine cervix, MLA occurs in the uterine corpus, ovary, and para-adnexal soft tissues. It exhibits histomorphologic, immunophenotypic, and molecular similarities to mesonephric carcinoma but lacks an apparent Wolffian origin.48

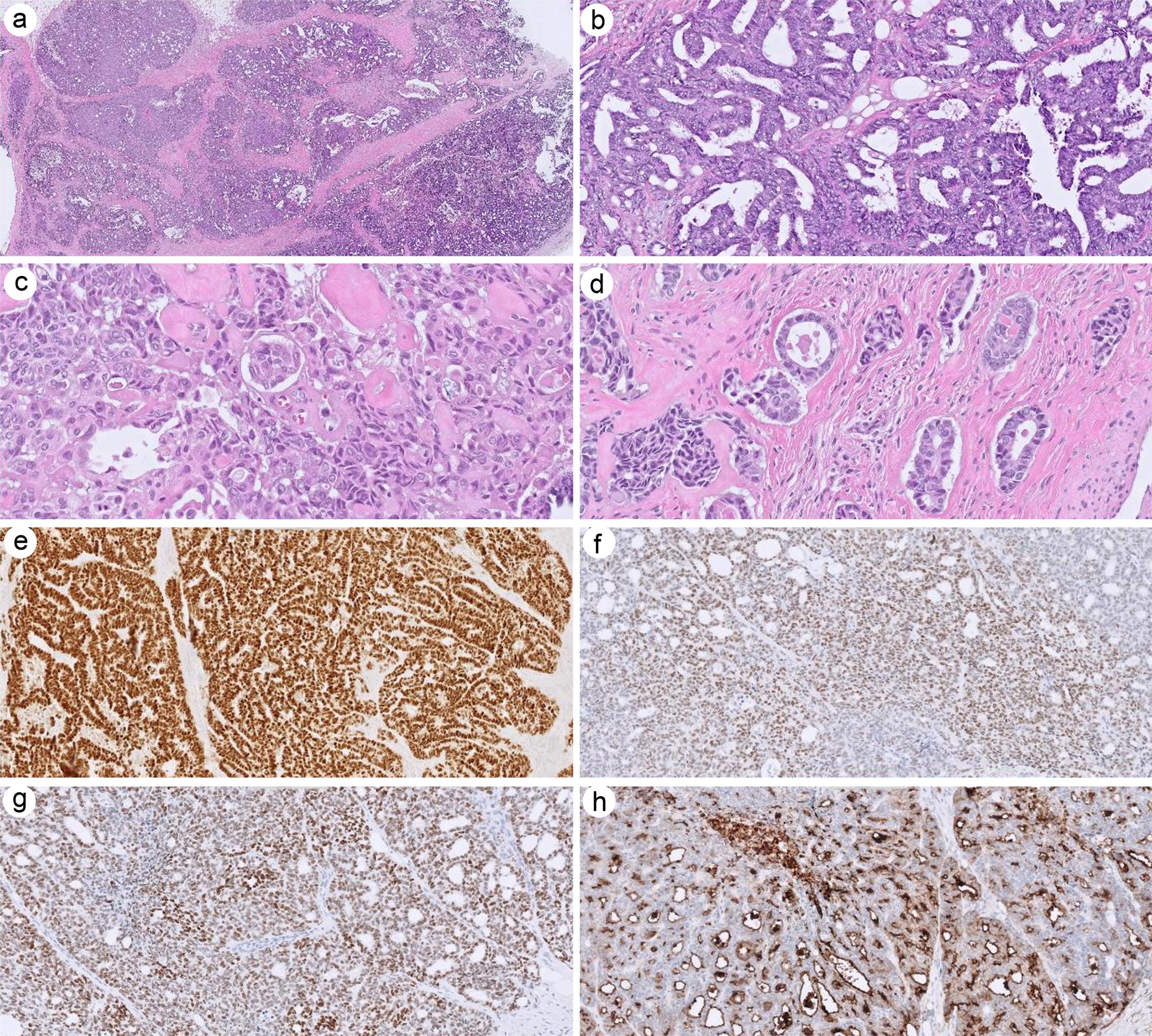
MLA predominantly arises in early postmenopausal females. Grossly, it resembles other ECs. Histologically, MLA exhibits a diverse range of architectural patterns, including tubular, ductal, solid, papillary, retiform, glomeruloid, and spindle cell formations. A hallmark feature is the presence of luminal eosinophilic colloid-like secretions, particularly within tubular structures (Fig. 4a–d). The tumor cells often display nuclear grooves, pseudoinclusions, and overlapping features reminiscent of papillary thyroid carcinoma. Some cases demonstrate sarcomatoid differentiation, including chondroid components, as well as coexistence with Müllerian neoplasms such as low-grade serous carcinoma or endometrioid adenocarcinoma.46–50

Mesonephric-like adenocarcinoma.
Fig. 4  Mesonephric-like adenocarcinoma.

(a, b) The tumor displays a mixture of architectural patterns: solid, tubular, ductal, retiform, and glandular. (100×, 400×, H&E). (c, d) Tumor shows glomeruloid structures and the “hallmark” tubular architecture with intraluminal eosinophilic secretions (400×, H&E). Tumor cells are diffusely positive for PAX8 (e), focally positive for GATA3 (f), TTF-1 (g), and CD10 (h) (100×, immunohistochemistry). CD10, cluster of differentiation 10; GATA3, GATA binding protein 3; H&E, hematoxylin and eosin; PAX8, paired box gene 8; TTF-1, thyroid transcription factor-1.

Immunohistochemically, MLA frequently expresses TTF1, GATA3, PAX8, CK7, and CD10, while lacking expression of ER, PR, SOX17, and WT1 (Fig. 4e–h). Unlike cervical mesonephric carcinoma, MLA harbors Müllerian-associated mutations, including PIK3CA, PTEN, and CTNNB1, alongside recurrent KRAS mutations and 1q chromosomal gains. These findings support its classification as a Müllerian tumor with mesonephric differentiation.46–51

Clinically, MLA is an aggressive malignancy with a strong propensity for distant metastasis, particularly to the lungs. Its recognition is crucial for differentiation from mesonephric carcinoma, dedifferentiated endometrial carcinoma, and other high-grade Müllerian tumors. According to TCGA classification, most MLAs fall under the copy number low (CNL)/NSMP category.46 MLA exhibits highly aggressive behavior. In a study analyzing 23 uterine MLAs, their clinical course was compared with low-grade EC and serous carcinoma. It was observed that 48% of MLAs presented with FIGO stage III or IV disease. Seventeen patients experienced recurrence or never achieved remission, with the lungs being the most common site of recurrence (n = 9). Seven patients succumbed to the disease. Median progression-free survival and overall survival for MLA were 18.2 months and 70.6 months, respectively, compared to 183 months for low-grade EC and 67 and 139.1 months for serous carcinoma.48

Some studies suggest a potential role for KRAS mutations in predicting response to targeted therapies with promising outcomes. However, given the rarity and aggressive nature of MLA, further research is needed to elucidate optimal therapeutic strategies and prognostic markers in high-grade EC.52

MLA represents a distinct subtype of HGEC with unique histologic and molecular features. Its overlapping characteristics with both mesonephric and Müllerian carcinomas underscore the complexity of its pathogenesis and highlight the need for continued research to refine diagnostic criteria and improve patient outcomes.

TCGA classification of endometrial cancer

In 2013, TCGA conducted a comprehensive multi-omics analysis of 373 EC cases, leading to the classification of EC into four distinct molecular subgroups. Prior to this classification, risk stratification was primarily based on histomorphologic features, including tumor grade, depth of myometrial invasion, and involvement of adjacent structures.11,53 The four TCGA-defined subgroups are as follows:

  • POLE-ultramutated;

  • MSI;

  • CNH;

  • CNL.

This molecular classification, based on objective genomic and transcriptomic findings, offers higher reproducibility among pathologists and demonstrates consistency between preoperative biopsy and final resection specimens. Notably, the clinical behavior of these molecular subtypes is independent of histologic subtype and tumor grade. Consequently, integrating molecular classification with traditional histopathological assessment provides a more refined prognostic framework and facilitates personalized therapeutic decision-making.12,54,55

Despite its advantages, widespread implementation of TCGA classification is limited by cost and the availability of advanced sequencing technologies such as NGS, which may not be accessible in all laboratories. To overcome this limitation, several studies have proposed the use of surrogate IHC and targeted molecular markers to classify EC cases into corresponding molecular subgroups:

  • POLE-mutated: Identification of hotspot mutations in the POLE gene via targeted sequencing.

  • Mismatch repair-deficient (MMRd): Detection of MMR protein loss using IHC.

  • p53-abnormal: Assessment of p53 expression via IHC, indicative of TP53 mutations.

  • NSMP: Tumors lacking POLE mutations, MMR deficiency, and TP53 abnormalities.

The adoption of these surrogate markers enables a cost-effective and widely applicable molecular classification system, improving the feasibility of molecular stratification in routine clinical practice.25,53,55,56

POLE-ultramutated group

The POLE-ultramutated subtype is characterized by somatic mutations in the exonuclease domain of the POLE gene, which encodes a key subunit of DNA polymerase epsilon, an enzyme involved in DNA replication and repair. This subgroup accounts for approximately 7.3% of all ECs.11,53 It is termed “ultramutated” due to its exceptionally high mutational burden (232 × 10−6 mutations per megabase), despite exhibiting minimal somatic copy number alterations. The majority of POLE mutations occur at five well-defined hotspot residues: P286R, V411L, S297F, A456P, and S459F.11,25,53

Currently, no reliable IHC surrogates exist for detecting POLE mutations; thus, DNA sequencing remains the only method of identification. This molecular subgroup is more frequently observed in younger patients (mean age: 58.6 years) with a lower body mass index (BMI).1,12,38,53 Tumors within this category commonly harbor mutations in PTEN, DMD, CSMD1, FAT4, PIK3CA, and KRAS.11 While POLE mutations are more prevalent in HG-EEC (12.1%) compared to low-grade EEC (6.1%), they have also been identified in UC/DDC (12.4%), clear cell carcinoma (3.8%), and carcinosarcoma (5.3%).57–60

Histologically, POLE-mutated tumors frequently exhibit high-grade morphology, tumor heterogeneity, lymphovascular invasion, and a pronounced immune infiltrate composed of intratumoral and peritumoral lymphocytes (Fig. 1). This prominent lymphocytic infiltration likely results from the high mutational burden, generating neoantigens that elicit a strong anti-tumor immune response. This immune activation may contribute to the favorable prognosis associated with this subgroup.61 Despite their high-grade morphology, POLE-mutated tumors demonstrate excellent clinical outcomes, with overall survival and relapse-free survival rates of approximately 85–95%.53,62,63

Given their favorable prognosis, some researchers propose that adjuvant therapy may not be necessary for patients with POLE-mutated tumors. However, the robust immune response observed in these tumors also suggests a potential role for immunotherapeutic strategies in this subgroup.25,53

MSI

The MSI/MMRd subgroup arises due to mutations or epigenetic silencing of MMR proteins, primarily MLH1, MSH2, MSH6, and PMS2. This deficiency is most commonly attributed to MLH1 promoter hypermethylation and is associated with an intermediate prognosis.11 MMRd tumors exhibit a high mutation rate (18 × 10−6 mutations per megabase) and low levels of somatic copy number alterations. IHC for MMR proteins (MLH1, MSH2, MSH6, and PMS2) serves as a surrogate marker for identifying tumors within this subgroup, as these proteins form heterodimers—MLH1-PMS2 and MSH2-MSH6. Loss of MLH1 or MSH2 consequently results in the loss of PMS2 or MSH6, respectively, although isolated loss of MSH6 or PMS2 can also occur.5,53

Genetically, MMRd tumors frequently harbor mutations in PTEN, KRAS, PIK3CA, RPL22, and ARID1A.11 This subgroup accounts for approximately 28% of endometrial carcinoma cases and is predominantly observed in middle-aged women with a high BMI.11,12,53 MMRd tumors often arise in the lower uterine segment and are characterized by high-grade histology, intratumoral heterogeneity, and a prominent immune infiltrate, typically consisting of intratumoral or peritumoral lymphocytes.5,12 The prevalence of MMRd alterations is higher in high-grade EC compared to low-grade EC (39.7% vs. 24.7%) and is also observed in 44% of UC/DDC and 9.8% of clear cell carcinomas.57–59

The 44% prevalence of MMRd in UDC/DDC exceeds the rate reported in the TCGA dataset (28%) but remains below the 60% reported by other investigators.58

A significant proportion of UDC/DDC cases fall within the MSI and POLE-ultramutated molecular subgroups. This distribution is markedly distinct from that of other HGEC subtypes, such as serous carcinoma and carcinosarcoma, in which MSI and POLE mutations are rare, with reported frequencies of 0% and 5%, respectively, in the TCGA cohort.11,58

As previously discussed, tumors with a high mutational burden, such as those in the MSI and POLE categories, are more likely to respond favorably to immune checkpoint inhibitors. MMRd tumors also demonstrate a heightened sensitivity to radiotherapy.25,53,61 Therefore, UDC/DDC cases with these molecular profiles may represent strong candidates for immunotherapy, potentially leading to improved clinical outcomes.58

Furthermore, there is considerable histomorphologic overlap between MMR-deficient and POLE-ultramutated tumors. This similarity is likely attributable to their shared hypermutated phenotype, which influences both molecular behavior and morphological presentation.5,12,53 Despite these molecular similarities, MMRd tumors are more influenced by clinicopathological variables such as the depth of myometrial invasion, lymphovascular space invasion (LVSI), and FIGO grade.11,25,53 Prognostic studies indicate that both deep myometrial invasion and LVSI serve as independent prognostic factors, whereas a high FIGO grade does not.25,53,64 Interestingly, MMRd endometrial carcinomas with MLH1 promoter methylation exhibit a worse prognosis compared to those associated with pathogenic MMR gene mutations.25,53

CNH/serous group

This molecular subgroup is characterized by TP53 mutations, high somatic copy number alterations, and a low overall mutation rate (2.3 × 10−6 mutations per megabase).11,12,25 The CNH group accounts for approximately 15–20% of all ECs and predominantly includes serous carcinomas and HG-EECs.11 Recurrent mutations in this subgroup include TP53, FBXW7, PIK3CA, and PPP2R1A, while PTEN and KRAS alterations are less frequent. Notably, HER2/neu amplification is observed in approximately 30% of serous carcinoma cases.38,65

This group represents the prototypical Type II EC, typically affecting older patients with a normal BMI and characterized by high-grade histological features and an aggressive clinical course.11 Tumors showing aberrant p53 expression in the absence of POLE-ultramutation and MMRd have the poorest prognosis.12,53 While most CNH tumors are serous carcinomas, there is significant morphological overlap between HG-EEC and serous carcinoma, making their distinction challenging—even within TCGA classification.5,12,25,53

Immunohistochemical analysis of p53 serves as a surrogate marker for this group, leading to its designation as the “p53-abnormal” subtype.5,12,25,53 In addition to serous carcinomas, this category also includes a significant proportion of carcinosarcomas (73.9%) and clear cell carcinomas (42.5%).59,60 Due to the poor prognosis associated with CNH tumors, adjuvant therapy is essential. Given the high degree of DNA damage and elevated PARP-1 expression within this subgroup, PARP inhibitors represent a potential therapeutic strategy. Furthermore, HER2-targeted therapies may provide additional treatment options for tumors exhibiting HER2/neu amplification.53

CNL/endometrioid group

The CNL, or NSMP, subgroup of endometrial carcinomas includes tumors lacking POLE-ultramutation, MMR deficiency, and TP53 mutations. As defined by TCGA classification, this molecular subgroup represents the largest category, accounting for approximately 40% of ECs, and is associated with an intermediate prognosis.5,12,66

NSMP tumors frequently harbor mutations in PTEN, PIK3CA, CTNNB1, ARID1A, and KRAS.5,12,66 These tumors exhibit low somatic copy number alterations and low mutation rates (approximately 2.3 × 10−6 mutations per megabase). Clinically, they are more common in younger women with a high BMI and a history of estrogen use.5,12,25 While CNL tumors are generally classified as intermediate risk, their heterogeneity and clinicopathological features suggest a risk spectrum ranging from low to high.12,53,66 Given this variability, further subclassification of this group has been proposed based on histological, immunohistochemical, and molecular markers.66

Recent studies have investigated the use of L1 cell adhesion molecule expression and CTNNB1 alterations, alongside clinical stage, histological grade, and LVSI, for risk stratification and treatment decisions.66 In a study involving 240 endometrioid ECs and 44 non-endometrioid ECs, investigators proposed additional molecular subclassifications incorporating mutations in PTEN, PIK3CA, PIK3R1, AKT1, and KRAS.67 Based on these molecular alterations, NSMP tumors were divided into three clusters:

  • Cluster 1 and Cluster 2 included PTEN- and PI3K-altered NSMP cases.

  • Cluster 3 comprised tumors with wild-type PTEN but alterations in AKT1, KRAS, or PIK3CA.

Notably, NSMP ECs classified under Cluster 3 were more likely to be FIGO grade 3, stage III or IV, and exhibited the worst overall survival, whereas Cluster 1 tumors had the most favorable outcomes. These findings underscore the molecular heterogeneity within NSMP ECs and support the need for further subclassification to refine prognostic and therapeutic approaches.67

This review on HGEC aimed to consolidate current knowledge of its molecular classification, pathological features, and clinical implications to enhance diagnostic accuracy, risk stratification, and treatment strategies. By integrating traditional histopathological assessment with emerging molecular insights, we can improve prognostic precision, identify patients who may benefit from targeted therapies, and refine risk-adapted treatment approaches.

Additionally, addressing key challenges, such as stratifying NSMP and MMR-deficient tumors, evaluating the clinical utility of surrogate molecular classifiers, and integrating molecular findings into routine practice, will help establish more standardized and personalized patient management. Ultimately, this review serves as a foundation for future research, guiding clinical decision-making and fostering advancements in precision oncology for HGEC.

Although this review brings together the latest advancements on HGEC, several important limitations should be noted. Access to molecular testing remains uneven across healthcare settings, particularly in low-resource regions, limiting the practical application of molecular classification in routine care. Furthermore, a lack of prospective clinical trials supporting targeted treatment strategies, particularly for patients within the NSMP subgroup, highlights a gap between emerging molecular data and clinical implementation. These challenges emphasize the importance of expanding access to genomic testing and conducting high-quality research to support precision medicine approaches in managing this aggressive disease.

Conclusions

HGEC remains a challenging malignancy due to its rising incidence, histopathological variability, and molecular complexity. Advances in molecular profiling, particularly the TCGA classification and NGS, have improved diagnostic precision and enabled personalized treatment strategies. Continued efforts to integrate traditional pathology with genomic insights are essential for refining risk stratification and enhancing patient outcomes.

Declarations

Acknowledgement

None.

Funding

The authors received no specific funding for this work.

Conflict of interest

One of the authors, Dr. Zaibo Li, has been an Associate Editor of Journal of Clinical and Translational Pathology since May 2021. The authors declare no other conflicts of interest.

Authors’ contributions

Drafting of the manuscript (HK, AD, SD), figure preparation, editing of the manuscript, and submission preparation (HK, ZL). All authors have approved the final version and publication of the manuscript.

References

  1. Bosse T, Davidson B, Singh N, Euscher ED, Raspollini MR, Liu C, et al. Endometrioid carcinoma of the uterine corpus. In: WHO Classification of Tumours Editorial Board. Female genital tumours. Lyon (France): International Agency for Research on Cancer; 2020. Accessed February 6, 2025. (WHO classification of tumours series, 5th ed; vol 4). Available from: https://tumourclassification.iarc.who.int/chapters/34 View Article PubMed/NCBI
  2. Sung H, Ferlay J, Siegel RL, Laversanne M, Soerjomataram I, Jemal A, et al. Global Cancer Statistics 2020: GLOBOCAN Estimates of Incidence and Mortality Worldwide for 36 Cancers in 185 Countries. CA Cancer J Clin 2021;71(3):209-249 View Article PubMed/NCBI
  3. American Cancer Society. Cancer Statistics Center: Uterine Corpus Cancer Statistics. Available from: https://cancerstatisticscenter.cancer.org/types/uterine-corpus. Accessed February 11, 2025 View Article PubMed/NCBI
  4. Bokhman JV. Two pathogenetic types of endometrial carcinoma. Gynecol Oncol 1983;15(1):10-17 View Article PubMed/NCBI
  5. Matias-Guiu X, Oliva E, McCluggage WG, Nucci MR, Longacre TA. Tumours of the uterine corpus: Introduction. In: WHO Classification of Tumours Editorial Board. Female genital tumours. Lyon (France): International Agency for Research on Cancer; 2020. Accessed February 6, 2025. (WHO classification of tumours series, 5th ed; vol 4). Available from: https://tumourclassification.iarc.who.int/chapters/34 View Article PubMed/NCBI
  6. Matoba Y, Devins KM, Milane L, Manning WB, Mazina V, Yeku OO, et al. High-Grade Endometrial Cancer: Molecular Subtypes, Current Challenges, and Treatment Options. Reprod Sci 2024;31(9):2541-2559 View Article PubMed/NCBI
  7. Lu KH, Broaddus RR. Endometrial Cancer. N Engl J Med 2020;383(21):2053-2064 View Article PubMed/NCBI
  8. Gilks CB, Oliva E, Soslow RA. Poor interobserver reproducibility in the diagnosis of high-grade endometrial carcinoma. Am J Surg Pathol 2013;37(6):874-881 View Article PubMed/NCBI
  9. Hoang LN, McConechy MK, Köbel M, Han G, Rouzbahman M, Davidson B, et al. Histotype-genotype correlation in 36 high-grade endometrial carcinomas. Am J Surg Pathol 2013;37(9):1421-1432 View Article PubMed/NCBI
  10. Hussein YR, Soslow RA. Molecular insights into the classification of high-grade endometrial carcinoma. Pathology 2018;50(2):151-161 View Article PubMed/NCBI
  11. Kandoth C, Schultz N, Cherniack AD, Akbani R, Liu Y, Shen H, et al. Integrated genomic characterization of endometrial carcinoma. Nature 2013;497(7447):67-73 View Article PubMed/NCBI
  12. Zhang C, Zheng W. High-grade endometrial carcinomas: Morphologic spectrum and molecular classification. Semin Diagn Pathol 2022;39(3):176-186 View Article PubMed/NCBI
  13. Murali R, Davidson B, Fadare O, Carlson JA, Crum CP, Gilks CB, et al. High-grade Endometrial Carcinomas: Morphologic and Immunohistochemical Features, Diagnostic Challenges and Recommendations. Int J Gynecol Pathol 2019;38:S40-S63 View Article PubMed/NCBI
  14. Soslow RA. High-grade endometrial carcinomas - strategies for typing. Histopathology 2013;62(1):89-110 View Article PubMed/NCBI
  15. Han G, Sidhu D, Duggan MA, Arseneau J, Cesari M, Clement PB, et al. Reproducibility of histological cell type in high-grade endometrial carcinoma. Mod Pathol 2013;26(12):1594-1604 View Article PubMed/NCBI
  16. Ellenson LH, Stewart CJR, Parkash V. Serous carcinoma of the uterine corpus. In: WHO Classification of Tumours Editorial Board. Female genital tumours. Lyon (France): International Agency for Research on Cancer; 2020. Accessed February 6, 2025. (WHO classification of tumours series, 5th ed; vol 4). Available from: https://tumourclassification.iarc.who.int/chapters/34 View Article PubMed/NCBI
  17. Felix AS, Brasky TM, Cohn DE, Mutch DG, Creasman WT, Thaker PH, et al. Endometrial carcinoma recurrence according to race and ethnicity: An NRG Oncology/Gynecologic Oncology Group 210 Study. Int J Cancer 2018;142(6):1102-1115 View Article PubMed/NCBI
  18. Lax SF. Pathology of Endometrial Carcinoma. Adv Exp Med Biol 2017;943:75-96 View Article PubMed/NCBI
  19. Zheng W, Xiang L, Fadare O, Kong B. A proposed model for endometrial serous carcinogenesis. Am J Surg Pathol 2011;35(1):e1-e14 View Article PubMed/NCBI
  20. Soslow RA, Pirog E, Isacson C. Endometrial intraepithelial carcinoma with associated peritoneal carcinomatosis. Am J Surg Pathol 2000;24(5):726-732 View Article PubMed/NCBI
  21. Wheeler DT, Bell KA, Kurman RJ, Sherman ME. Minimal uterine serous carcinoma: diagnosis and clinicopathologic correlation. Am J Surg Pathol 2000;24(6):797-806 View Article PubMed/NCBI
  22. Baergen RN, Warren CD, Isacson C, Ellenson LH. Early uterine serous carcinoma: clonal origin of extrauterine disease. Int J Gynecol Pathol 2001;20(3):214-219 View Article PubMed/NCBI
  23. Schultheis AM, Martelotto LG, De Filippo MR, Piscuglio S, Ng CK, Hussein YR, et al. TP53 Mutational Spectrum in Endometrioid and Serous Endometrial Cancers. Int J Gynecol Pathol 2016;35(4):289-300 View Article PubMed/NCBI
  24. Mirkovic J. Uncommon and Difficult High-Grade Endometrial Carcinomas. Surg Pathol Clin 2022;15(2):301-314 View Article PubMed/NCBI
  25. Santoro A, Angelico G, Travaglino A, Inzani F, Arciuolo D, Valente M, et al. New Pathological and Clinical Insights in Endometrial Cancer in View of the Updated ESGO/ESTRO/ESP Guidelines. Cancers (Basel) 2021;13(11):2623 View Article PubMed/NCBI
  26. Cantrell LA, Blank SV, Duska LR. Uterine carcinosarcoma: A review of the literature. Gynecol Oncol 2015;137(3):581-588 View Article PubMed/NCBI
  27. Brooks SE, Zhan M, Cote T, Baquet CR. Surveillance, epidemiology, and end results analysis of 2677 cases of uterine sarcoma 1989-1999. Gynecol Oncol 2004;93(1):204-208 View Article PubMed/NCBI
  28. Palacios J. Tumours of the uterine corpus: carcinosarcoma of uterine corpus. In: WHO Classification of Tumours Editorial Board. Female genital tumours. Lyon (France): International Agency for Research on Cancer; 2020. Accessed February 6, 2025. (WHO classification of tumours series, 5th ed; vol 4). Available from: https://tumourclassification.iarc.who.int/chapters/3 View Article PubMed/NCBI
  29. Kanthan R, Senger JL. Uterine carcinosarcomas (malignant mixed müllerian tumours): a review with special emphasis on the controversies in management. Obstet Gynecol Int 2011;2011:470795 View Article PubMed/NCBI
  30. Silverberg SG, Major FJ, Blessing JA, Fetter B, Askin FB, Liao SY, et al. Carcinosarcoma (malignant mixed mesodermal tumor) of the uterus. A Gynecologic Oncology Group pathologic study of 203 cases. Int J Gynecol Pathol 1990;9(1):1-19 View Article PubMed/NCBI
  31. Ambros RA, Sherman ME, Zahn CM, Bitterman P, Kurman RJ. Endometrial intraepithelial carcinoma: a distinctive lesion specifically associated with tumors displaying serous differentiation. Hum Pathol 1995;26(11):1260-1267 View Article PubMed/NCBI
  32. McCluggage WG. Malignant biphasic uterine tumours: carcinosarcomas or metaplastic carcinomas?. J Clin Pathol 2002;55(5):321-325 View Article PubMed/NCBI
  33. Taylor NP, Zighelboim I, Huettner PC, Powell MA, Gibb RK, Rader JS, et al. DNA mismatch repair and TP53 defects are early events in uterine carcinosarcoma tumorigenesis. Mod Pathol 2006;19(10):1333-1338 View Article PubMed/NCBI
  34. McConechy MK, Hoang LN, Chui MH, Senz J, Yang W, Rozenberg N, et al. In-depth molecular profiling of the biphasic components of uterine carcinosarcomas. J Pathol Clin Res 2015;1(3):173-185 View Article PubMed/NCBI
  35. Zhao S, Bellone S, Lopez S, Thakral D, Schwab C, English DP, et al. Mutational landscape of uterine and ovarian carcinosarcomas implicates histone genes in epithelial-mesenchymal transition. Proc Natl Acad Sci U S A 2016;113(43):12238-12243 View Article PubMed/NCBI
  36. Cherniack AD, Shen H, Walter V, Stewart C, Murray BA, Bowlby R, et al. Integrated Molecular Characterization of Uterine Carcinosarcoma. Cancer Cell 2017;31(3):411-423 View Article PubMed/NCBI
  37. Ebner C, Frosch A, Leitner K, Soucek R, Marth C, Zeimet AG. An uncommon case of POLE mutated uterine carcinosarcoma - complemented by a review of literature. Gynecol Oncol Rep 2024;54:101442 View Article PubMed/NCBI
  38. Makker V, MacKay H, Ray-Coquard I, Levine DA, Westin SN, Aoki D, et al. Endometrial cancer. Nat Rev Dis Primers 2021;7(1):88 View Article PubMed/NCBI
  39. Buza N, Tavassoli FA. Comparative analysis of P16 and P53 expression in uterine malignant mixed mullerian tumors. Int J Gynecol Pathol 2009;28(6):514-521 View Article PubMed/NCBI
  40. Soslow RA, Tornos C, Park KJ, Malpica A, Matias-Guiu X, Oliva E, et al. Endometrial Carcinoma Diagnosis: Use of FIGO Grading and Genomic Subcategories in Clinical Practice: Recommendations of the International Society of Gynecological Pathologists. Int J Gynecol Pathol 2019;38(Suppl 1):S64-S74 View Article PubMed/NCBI
  41. Reid-Nicholson M, Iyengar P, Hummer AJ, Linkov I, Asher M, Soslow RA. Immunophenotypic diversity of endometrial adenocarcinomas: implications for differential diagnosis. Mod Pathol 2006;19(8):1091-1100 View Article PubMed/NCBI
  42. Yemelyanova A, Ji H, Shih IeM, Wang TL, Wu LS, Ronnett BM. Utility of p16 expression for distinction of uterine serous carcinomas from endometrial endometrioid and endocervical adenocarcinomas: immunohistochemical analysis of 201 cases. Am J Surg Pathol 2009;33(10):1504-1514 View Article PubMed/NCBI
  43. Lax SF, Pizer ES, Ronnett BM, Kurman RJ. Clear cell carcinoma of the endometrium is characterized by a distinctive profile of p53, Ki-67, estrogen, and progesterone receptor expression. Hum Pathol 1998;29(6):551-558 View Article PubMed/NCBI
  44. Fadare O, Liang SX. Diagnostic utility of hepatocyte nuclear factor 1-beta immunoreactivity in endometrial carcinomas: lack of specificity for endometrial clear cell carcinoma. Appl Immunohistochem Mol Morphol 2012;20(6):580-587 View Article PubMed/NCBI
  45. Yamamoto S, Tsuda H, Aida S, Shimazaki H, Tamai S, Matsubara O. Immunohistochemical detection of hepatocyte nuclear factor 1beta in ovarian and endometrial clear-cell adenocarcinomas and nonneoplastic endometrium. Hum Pathol 2007;38(7):1074-1080 View Article PubMed/NCBI
  46. McCluggage WG. Mesonephric-like Adenocarcinoma of the Female Genital Tract: From Morphologic Observations to a Well-characterized Carcinoma With Aggressive Clinical Behavior. Adv Anat Pathol 2022;29(4):208-216 View Article PubMed/NCBI
  47. Singh N, Hoang LN, Park KJ, Euscher ED, Ip PPC. Other endometrial carcinomas. In: WHO Classification of Tumours Editorial Board. Female genital tumours. Lyon (France): International Agency for Research on Cancer; 2020. Accessed March 24, 2025. (WHO classification of tumours series, 5th ed; vol 4). Available from: https://tumourclassification.iarc.who.int/chapters/34 View Article PubMed/NCBI
  48. Euscher ED, Bassett R, Duose DY, Lan C, Wistuba I, Ramondetta L, et al. Mesonephric-like Carcinoma of the Endometrium: A Subset of Endometrial Carcinoma With an Aggressive Behavior. Am J Surg Pathol 2020;44(4):429-443 View Article PubMed/NCBI
  49. McFarland M, Quick CM, McCluggage WG. Hormone receptor-negative, thyroid transcription factor 1-positive uterine and ovarian adenocarcinomas: report of a series of mesonephric-like adenocarcinomas. Histopathology 2016;68(7):1013-1020 View Article PubMed/NCBI
  50. Kim H, Na K, Bae GE, Kim HS. Mesonephric-like Adenocarcinoma of the Uterine Corpus: Comprehensive Immunohistochemical Analyses Using Markers for Mesonephric, Endometrioid and Serous Tumors. Diagnostics (Basel) 2021;11(11):2042 View Article PubMed/NCBI
  51. Tahir M, Xing D, Ding Q, Wang Y, Singh K, Suarez AA, et al. Identifying mesonephric-like adenocarcinoma of the endometrium by combining SOX17 and PAX8 immunohistochemistry. Histopathology 2025;86(2):268-277 View Article PubMed/NCBI
  52. Shen S, Rubinstein MM, Park KJ, Konner JA, Makker V. Sustained response to lenvatinib and pembrolizumab in two patients with KRAS-mutated endometrial mesonephric-like adenocarcinoma. Gynecol Oncol Rep 2021;37:100844 View Article PubMed/NCBI
  53. Arciuolo D, Travaglino A, Raffone A, Raimondo D, Santoro A, Russo D, et al. TCGA Molecular Prognostic Groups of Endometrial Carcinoma: Current Knowledge and Future Perspectives. Int J Mol Sci 2022;23(19):11684 View Article PubMed/NCBI
  54. Crosbie EJ, Kitson SJ, McAlpine JN, Mukhopadhyay A, Powell ME, Singh N. Endometrial cancer. Lancet 2022;399(10333):1412-1428 View Article PubMed/NCBI
  55. Talhouk A, McConechy MK, Leung S, Li-Chang HH, Kwon JS, Melnyk N, et al. A clinically applicable molecular-based classification for endometrial cancers. Br J Cancer 2015;113(2):299-310 View Article PubMed/NCBI
  56. Talhouk A, McConechy MK, Leung S, Yang W, Lum A, Senz J, et al. Confirmation of ProMisE: A simple, genomics-based clinical classifier for endometrial cancer. Cancer 2017;123(5):802-813 View Article PubMed/NCBI
  57. Travaglino A, Raffone A, Mollo A, Borrelli G, Alfano P, Zannoni GF, et al. TCGA molecular subgroups and FIGO grade in endometrial endometrioid carcinoma. Arch Gynecol Obstet 2020;301(5):1117-1125 View Article PubMed/NCBI
  58. Travaglino A, Raffone A, Mascolo M, Guida M, Insabato L, Zannoni GF, et al. TCGA Molecular Subgroups in Endometrial Undifferentiated/Dedifferentiated Carcinoma. Pathol Oncol Res 2020;26(3):1411-1416 View Article PubMed/NCBI
  59. Travaglino A, Raffone A, Mascolo M, Guida M, Insabato L, Zannoni GF, et al. Clear cell endometrial carcinoma and the TCGA classification. Histopathology 2020;76(2):336-338 View Article PubMed/NCBI
  60. Travaglino A, Raffone A, Gencarelli A, Mollo A, Guida M, Insabato L, et al. TCGA Classification of Endometrial Cancer: the Place of Carcinosarcoma. Pathol Oncol Res 2020;26(4):2067-2073 View Article PubMed/NCBI
  61. van Gool IC, Eggink FA, Freeman-Mills L, Stelloo E, Marchi E, de Bruyn M, et al. POLE Proofreading Mutations Elicit an Antitumor Immune Response in Endometrial Cancer. Clin Cancer Res 2015;21(14):3347-3355 View Article PubMed/NCBI
  62. Casanova J, Duarte GS, da Costa AG, Catarino A, Nave M, Antunes T, et al. Prognosis of polymerase epsilon (POLE) mutation in high-grade endometrioid endometrial cancer: Systematic review and meta-analysis. Gynecol Oncol 2024;182:99-107 View Article PubMed/NCBI
  63. Bosse T, Nout RA, McAlpine JN, McConechy MK, Britton H, Hussein YR, et al. Molecular Classification of Grade 3 Endometrioid Endometrial Cancers Identifies Distinct Prognostic Subgroups. Am J Surg Pathol 2018;42(5):561-568 View Article PubMed/NCBI
  64. Pasanen A, Loukovaara M, Bützow R. Clinicopathological significance of deficient DNA mismatch repair and MLH1 promoter methylation in endometrioid endometrial carcinoma. Mod Pathol 2020;33(7):1443-1452 View Article PubMed/NCBI
  65. Buza N. HER2 Testing in Endometrial Serous Carcinoma: Time for Standardized Pathology Practice to Meet the Clinical Demand. Arch Pathol Lab Med 2021;145(6):687-691 View Article PubMed/NCBI
  66. Urick ME, Bell DW. Clinical actionability of molecular targets in endometrial cancer. Nat Rev Cancer 2019;19(9):510-521 View Article PubMed/NCBI
  67. Momeni-Boroujeni A, Nguyen B, Vanderbilt CM, Ladanyi M, Abu-Rustum NR, Aghajanian C, et al. Genomic landscape of endometrial carcinomas of no specific molecular profile. Mod Pathol 2022;35(9):1269-1278 View Article PubMed/NCBI

About this Article

Cite this article
Kumar H, Deshwal A, Datwani S, Li Z. Decoding High-grade Endometrial Cancer: A Molecular-histologic Integration using the Cancer Genome Atlas Framework. J Clin Transl Pathol. 2025;5(3):104-113. doi: 10.14218/JCTP.2025.00021.
Copy Export to RIS Export to EndNote
Article History
Received Revised Accepted Published
April 2, 2025 June 3, 2025 June 9, 2025 July 21, 2025
DOI http://dx.doi.org/10.14218/JCTP.2025.00021