Home
JournalsCollections
For Authors For Reviewers For Editorial Board Members
Article Processing Charges Open Access
Ethics Advertising Policy
Editorial Policy Resource Center
Company Information Contact Us Membership Collaborators Partners
OPEN ACCESS

High-grade Serous Carcinomas Identified in Cervical Biopsies: A Clinicopathologic Study Supporting the Exclusion of Cervical Serous Carcinoma from World Health Organization Classification

  • Vijaya Kadam Maruthi1,2 and
  • Tong Sun1,* 
Journal of Clinical and Translational Pathology   2025;5(3):95-103

doi: 10.14218/JCTP.2025.00023

Received:

Revised:

Accepted:

Published online:

 Author information

Citation: Maruthi VK, Sun T. High-grade Serous Carcinomas Identified in Cervical Biopsies: A Clinicopathologic Study Supporting the Exclusion of Cervical Serous Carcinoma from World Health Organization Classification. J Clin Transl Pathol. 2025;5(3):95-103. doi: 10.14218/JCTP.2025.00023.

Abstract

Background and objectives

High-grade serous carcinoma is a rare diagnosis in cervical biopsies. Cervical serous carcinoma is no longer recognized as a primary cervical tumor in the 2020 World Health Organization classification. This study aimed to characterize the clinicopathologic, immunohistochemical, and molecular features of high-grade serous carcinoma identified in cervical or endocervical biopsies, to assess tumor origin and ensure accurate classification.

Methods

Fifty-nine cases originally diagnosed as “serous carcinoma” or “high-grade serous carcinoma” in cervical or endocervical biopsies from 2013 to 2023 were retrospectively reviewed. Clinical data, radiologic findings, and follow-up information were analyzed. Histologic features and immunohistochemical profiles were re-evaluated. Targeted next-generation sequencing was performed on a subset of cases.

Results

The majority of tumors (96%) were determined to originate from the endometrium (n = 47) or the tubo-ovarian region (n = 4), with only one case confirmed as a primary cervical carcinoma. Morphologic patterns varied and could mimic human papillomavirus-associated adenocarcinoma. All tumors showed aberrant p53 expression and diffuse p16 positivity. WT-1 was expressed in all tubo-ovarian tumors but in only 12% of endometrial cases. Estrogen receptor and progesterone receptor were frequently positive in endometrial tumors; human epidermal growth factor receptor 2 was positive in 31% of cases. Molecular analysis confirmed tumor protein p53 mutations and other alterations typical of uterine serous carcinoma.

Conclusions

High-grade serous carcinoma identified in cervical biopsies is overwhelmingly secondary to upper genital tract tumors, most commonly of endometrial origin. A small subset of endocervical adenocarcinomas may mimic serous carcinoma. These findings support the exclusion of primary cervical serous carcinoma from the current World Health Organization classification and emphasize the importance of accurate diagnosis for appropriate management.

Keywords

High-grade serous carcinoma, Cervical biopsy, Endometrial carcinoma, p53, WT-1, Human papillomavirus, HPV, HPV-independent adenocarcinoma, WHO classification

Introduction

Serous carcinoma is a highly aggressive malignancy that can arise from various Müllerian-derived organs, including the endometrium, ovaries, fallopian tubes, and peritoneum.1,2 It accounts for approximately 50% of all malignant ovarian tumors and about 10% of endometrial cancers.1–5

Although serous carcinoma may occasionally be identified in cervical biopsies, primary serous carcinoma of the uterine cervix is exceedingly rare.6–8 The 2020 World Health Organization (WHO) classification no longer recognizes it as a distinct subtype of cervical adenocarcinoma.9 It is now accepted that most serous tumors involving the cervix represent metastases or direct extensions from primary serous carcinomas originating in other parts of the female genital tract, such as the endometrium, fallopian tubes, ovaries, or peritoneum. However, a few case series have reported primary cervical serous adenocarcinoma, asserting that the diagnosis was made only after meticulous exclusion of spread from other gynecologic sites.10–15

The entity formerly referred to as serous carcinoma of the uterine cervix was first described in 1992 and is reported to have a bimodal age distribution, with peak incidence occurring before age 40 and after age 54 (range: 27–79 years; mean: 52 years).10,15 Some studies have proposed that cervical serous carcinoma may represent a morphological variant of human papillomavirus (HPV)-associated endocervical adenocarcinoma.6 However, among the limited number of reported cases, HPV DNA has only rarely been detected.16

It has been speculated that cervical serous carcinoma, like its endometrial counterpart, may be driven by mutations in the tumor protein p53 (hereinafter referred to as TP53) gene.10,12 Histologically, it is indistinguishable from serous carcinoma of the endometrium.10–15 These tumors typically exhibit complex papillary structures and tufts lined by pleomorphic, hobnail cells with high-grade nuclei. Alternatively, they may demonstrate stromal invasion by glands with slit-like lumina, lined by highly atypical epithelial cells, some displaying smudgy nuclei. High mitotic activity is frequently observed.4,6

Prognostically, premenopausal patients and those with HPV-associated endocervical adenocarcinoma generally have better outcomes than those with HPV-independent tumors exhibiting aberrant p53 expression.12 In larger case series, this histologic variant has been associated with poor outcomes when diagnosed at advanced stages. However, patients with stage I disease appear to have a prognosis similar to that of more common forms of cervical adenocarcinoma.10–12

To further explore the origin and better characterize serous carcinoma involving the cervix, we conducted a retrospective review of all cases diagnosed as serous carcinoma in cervical biopsies from our pathology archives over a 10-year period.

Materials and methods

Case selection and histology review

With Institutional Review Board approval, a total of 59 cases diagnosed as “serous carcinoma” on cervical biopsies between 2013 and 2023 were identified by searching the pathology databases at our institution. Available prior or concurrent Pap smears and subsequent surgical resection specimens were reviewed in conjunction. Histologic evaluation was independently performed by two pathologists. Clinical history, demographic information, treatment, and follow-up data were obtained from medical records.

Immunohistochemistry

Immunohistochemical analysis was performed on selected formalin-fixed, paraffin-embedded (FFPE) tissue blocks containing representative tumors. The antibody panel included p53 (clone DO7, Bio-Rad), p16 (clone E6H4, Biocare Medical), estrogen receptor (ER; clone SP1, Roche), progesterone receptor (PR; clone 16, Biocare Medical), WT1 (clone 6F-H2, Abnova), and human epidermal growth factor receptor 2 (HER2)/neu (clone EP3, Abcam/Epitomics). Staining was visualized using the Ultraview Universal DAB Detection Kit, followed by counterstaining with hematoxylin and bluing reagent (Ventana). Appropriate positive and negative controls were used for all immunohistochemistry procedures.

p53 staining was categorized as “aberrant” (diffuse strong nuclear staining in >80% of tumor cells, complete absence of staining, or cytoplasmic staining) or “wild-type” (heterogeneous nuclear staining in <80% of tumor cells). p16 staining was recorded as positive with “block-type” staining (diffuse nuclear and cytoplasmic staining in all tumor cells) or as negative/non-block-type. ER and PR were considered positive if ≥1% of tumor cell nuclei showed staining. WT1 positivity was defined as diffuse nuclear staining; cytoplasmic or absent staining was interpreted as negative. HER2/neu was evaluated using the 2018 clinical trial criteria for endometrial serous carcinoma and scored as 3+ (positive), 2+ (equivocal), or 1+/0 (negative), according to American Society of Clinical Oncology (ASCO)/College of American Pathologist (CAP) guidelines. Equivocal cases (2+) were referred for HER2 fluorescence in situ hybridization (FISH) testing.

HER2/neu (ERBB2) FISH

HER2 gene amplification was assessed using the Abbott Molecular PathVysion HER2 DNA Probe Kit on FFPE tissue sections. Direct image analysis was employed, with control slides run concurrently to ensure assay validity. HER2 FISH results were interpreted using endometrial carcinoma criteria: positive if the HER2/CEP17 ratio was ≥2.0 or if the average HER2 copy number was ≥6.0 signals per cell.17,18

High-risk HPV testing

Detection of high-risk HPV DNA (types 16, 18, 31, 33, 35, 39, 45, 51, 52, 56, 58, 59, 66, and 68) was performed using the Roche cobas 6800 HPV Test System on cervical specimens. Results below the manufacturer-defined threshold were considered negative.

Targeted next-generation sequencing (NGS)

Selected cases underwent comprehensive genomic profiling using the FoundationOne CDx assay (Cambridge, MA) on FFPE tumor tissue. DNA extraction was performed according to standard protocols, followed by testing as per the manufacturer’s instructions. The assay detects substitutions, insertions/deletions (indels), copy number alterations, and selected gene rearrangements across 324 cancer-related genes. In addition, it assesses genomic signatures, including microsatellite instability and tumor mutational burden. All immunostains and molecular tests were performed as part of the clinical work-up.

Statistical analysis

Fisher’s exact test was conducted using GraphPad Prism (version 9; La Jolla, CA) to compare proportions of positive immunohistochemical markers between carcinomas of presumed tubo-ovarian and endometrial origin.

Results

Demographic and clinical features

A total of 59 cases with an initial diagnosis of “serous carcinoma” or “high-grade serous carcinoma” based on cervical or endocervical biopsies were included in the study. Detailed demographic and clinical characteristics are summarized in Table 1. Patients ranged in age from 27 to 97 years, with a median age of 69 years.

Table 1

Clinical and pathologic features of cases with serous carcinoma present at the cervix (n = 59)

FeatureCount (n)Percentage (%)
Media (range) age at diagnosis (year)69 (27–97)
Clinical presentation
  Cervical mass/polyp2136%
  Abnormal vaginal bleeding4881%
  Abnormal Pap smear1119%
  Others915%
Biopsy sites
  Endocervical or cervical biopsy only2237%
  Cervical and endometrial biopsy3763%
Recent Pap smear results
  NILM47%
  ASCUS/ASC-H1119%
  AGC1220%
  Adenocarcinoma1220%
  Squamous cell carcinoma12%
  NA1932%
HPV status in Pap smear
  Negative1322%
  NA4678%
Final diagnosis in surgical resection
  Endometrial serous carcinoma4067%
  Endometrial carcinosarcoma47%
  Endometrial mixed serous and endometrioid carcinoma35%
  Tubo-ovarian high-grade serous carcinoma47%
  Cervical primary carcinoma12%
  NA712%
Tumor origin and other sites of involvement
  Vaginal involvement59%
  Lower uterine segment involvement2339 %
  Endometrial involvement4271 %
  Myometrial involvement2441%
  Tubo-ovarian involvement2339%
  Peritoneal involvement1931%
  Lymph node metastasis1220%
Adjuvant treatment
  Chemotherapy3458%
  Brachytherapy/pelvic radiation610%
Follow-up
  Death of disease2949%
  Death of other diseases35%
  Alive with disease915%
  Alive, free of disease1830%

The most common presenting symptom was abnormal uterine bleeding, reported in 48 (81%) patients. Twenty-one (36%) patients presented with a cervical mass or grossly visible lesion, with tumor sizes ranging from microscopic foci to 6 cm (mean: 4 cm). Eleven (19%) patients underwent colposcopy and endocervical curettage or biopsy due to a prior abnormal Pap smear. Including concurrent Pap smears performed at the time of biopsy, 36 of 40 patients (90%) had an abnormal Pap smear either prior to or at the time of cervical biopsy. Among these, 12 cases were attributed to squamous cell abnormalities (atypical squamous cells of undetermined significance or atypical squamous cells—cannot exclude high-grade squamous intraepithelial lesion, n = 11; squamous cell carcinoma, n = 1), while 24 showed glandular abnormalities (atypical glandular cells, n = 12; adenocarcinoma, n = 12). All 13 Pap smears with available high-risk HPV testing were negative.

Based on subsequent hysterectomy, salpingo-oophorectomy, and imaging, most cases of serous carcinoma identified at the cervix were determined to originate from the endometrium (n = 47), including endometrial serous carcinoma (n = 40), endometrial carcinosarcoma (n = 4), and mixed endometrial serous and endometrioid carcinoma (n = 3). Four cases were of tubo-ovarian origin. Only one case lacked evidence of tumor at any other anatomical site and was diagnosed as a primary cervical serous carcinoma.

In addition to the cervix, tumor involvement was frequently observed in other anatomical regions, including the endometrium, myometrium, or tubo-ovarian tissue, as well as the vagina (n = 5), lower uterine segment (n = 23), and peritoneum (n = 19). Lymph node metastasis was present in 12 cases.

During a median follow-up of 56 months, 34 patients received chemotherapy, and six underwent brachytherapy or pelvic radiation. More than half of the patients died during the follow-up period, 29 due to disease progression and three from other causes. Of the surviving patients, nine were living with disease, while 18 had no evidence of disease. Among 17 cases with serous carcinoma confined to endometrial polyps or with minimal uterine involvement, 11 patients remained disease-free at follow-up, suggesting that early-stage disease was associated with a favorable prognosis.

Histological features of high-grade serous carcinoma at the cervix

All tumor slides were re-reviewed for histologic classification and pathologic features. For cases with available Pap smears (n = 40), endometrial biopsies (n = 37), and hysterectomy and salpingo-oophorectomy specimens (n = 49), a comprehensive assessment was performed in conjunction with immunohistochemical and radiologic data.

Pathologic findings are detailed in Table 2. Papillary architecture was identified in 82% (31/38) of cases, while micropapillary features were observed in 37% (14/38). Fibrovascular cores were present in 76% (29/38), and psammoma bodies were rare (8%, 3/38). Glandular architecture was the most frequent growth pattern (82%, 31/38), followed by slit-like spaces (71%, 27/38) and discohesive cells (74%, 28/38). A solid growth pattern was seen in 45% (17/38) of cases.

Table 2

Morphologic features of serous carcinoma at the cervix

Features(n = 38)
Architecture*
  Papillary31 (82%)
  Micropapillary14 (37%)
  Fibrovascular core29 (76%)
  Psammoma bodies3 (8%)
Growth pattern*
  Slit-like space27 (71%)
  Glandular-like space31 (82%)
  Solid growth17 (45%)
  Discohesive28 (74%)
Cytology
  Cytoplasm amount
    Abundant10 (26%)
    Moderate7 (18%)
    Scant21 (55%)
  Cytoplasm texture
    Eosinophilic25 (66%)
    Both eosinophilic and clear13 (20%)
  Prominent nucleoli36 (95%)

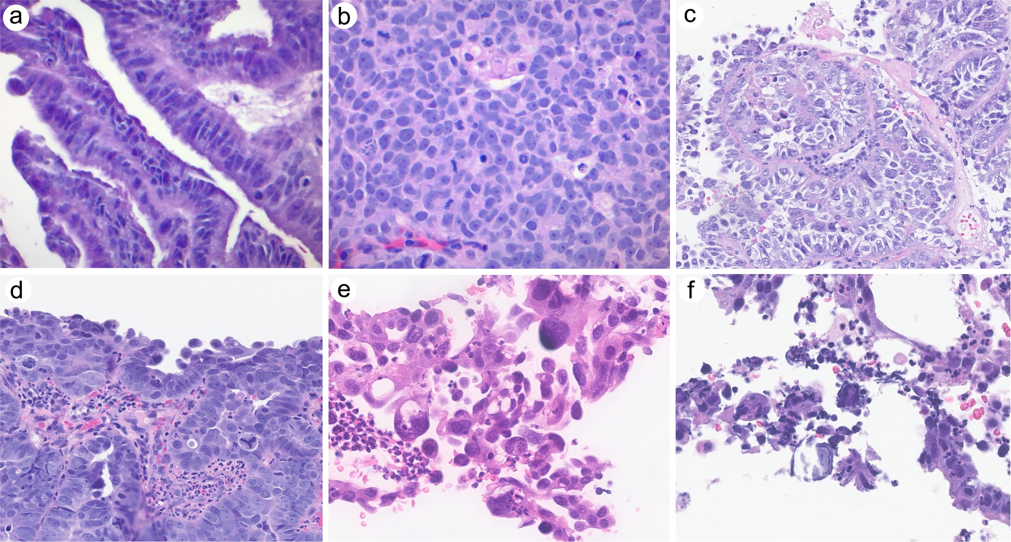
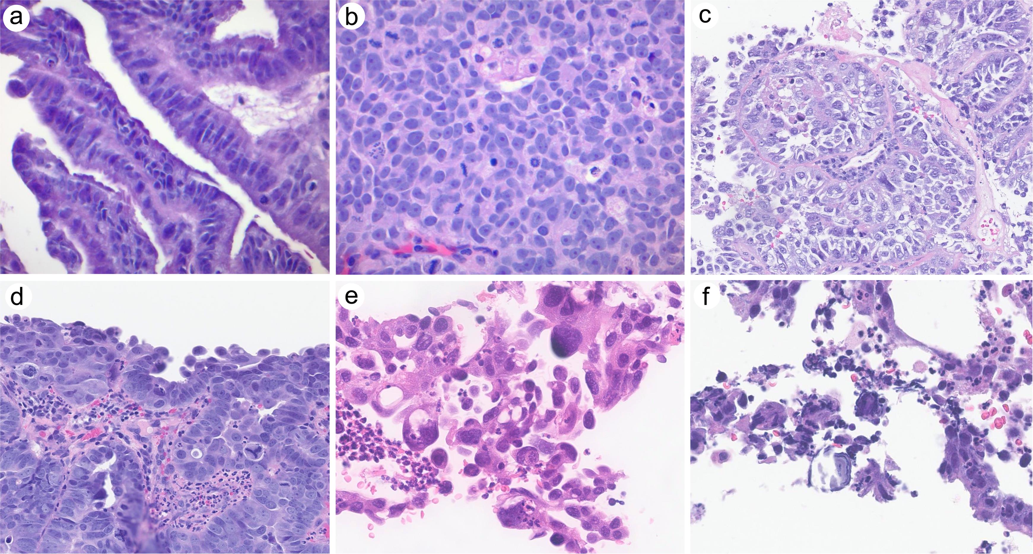
Cytologically, prominent nucleoli (95%, 36/38) and atypical mitoses (87%, 33/38) were the most common features. Cytoplasmic volume was semi-quantified as low (scant), moderate (apparent but not abundant), or high (abundant). Cytoplasmic volume was scant in 55% (21/38), moderate in 18% (7/38), and abundant in 26% (10/38). Cytoplasmic staining was eosinophilic in 66% (25/38) and a combination of eosinophilic and clear in 20% (13/38). Representative features are illustrated in Figure 1.

Variable morphologic features of high-grade serous carcinoma involving the cervix.
Fig. 1  Variable morphologic features of high-grade serous carcinoma involving the cervix.

(a) Papillary growth pattern with columnar, pseudostratified tumor cells. This morphology can mimic HPV-associated usual-type endocervical adenocarcinoma. (b) Solid growth composed of round to ovoid tumor cells, with frequent mitotic figures including atypical mitoses. (c) Papillary architecture with hobnailing high-grade tumor cells and clear cytoplasm, which requires distinction from clear cell carcinoma. (d) Infiltrating glandular tumor cells with hyperchromatic, “smudgy” nuclei. Conspicuous mitoses, including atypical forms, and apoptosis are present. (e) Discohesive tumor cells with marked nuclear pleomorphism. (f) Loosely cohesive tumor cells associated with psammoma bodies. Magnification: a-f: 400×.

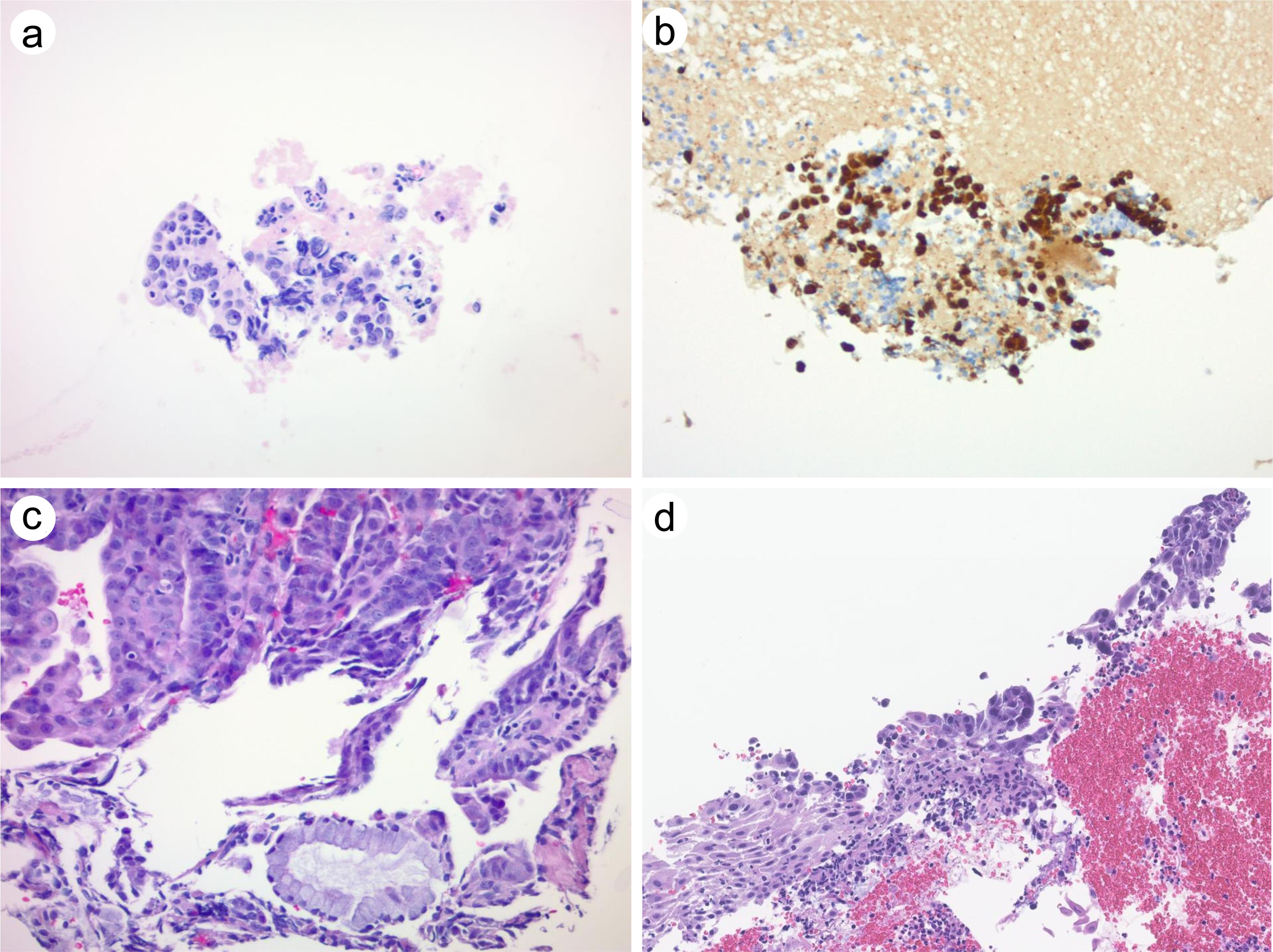
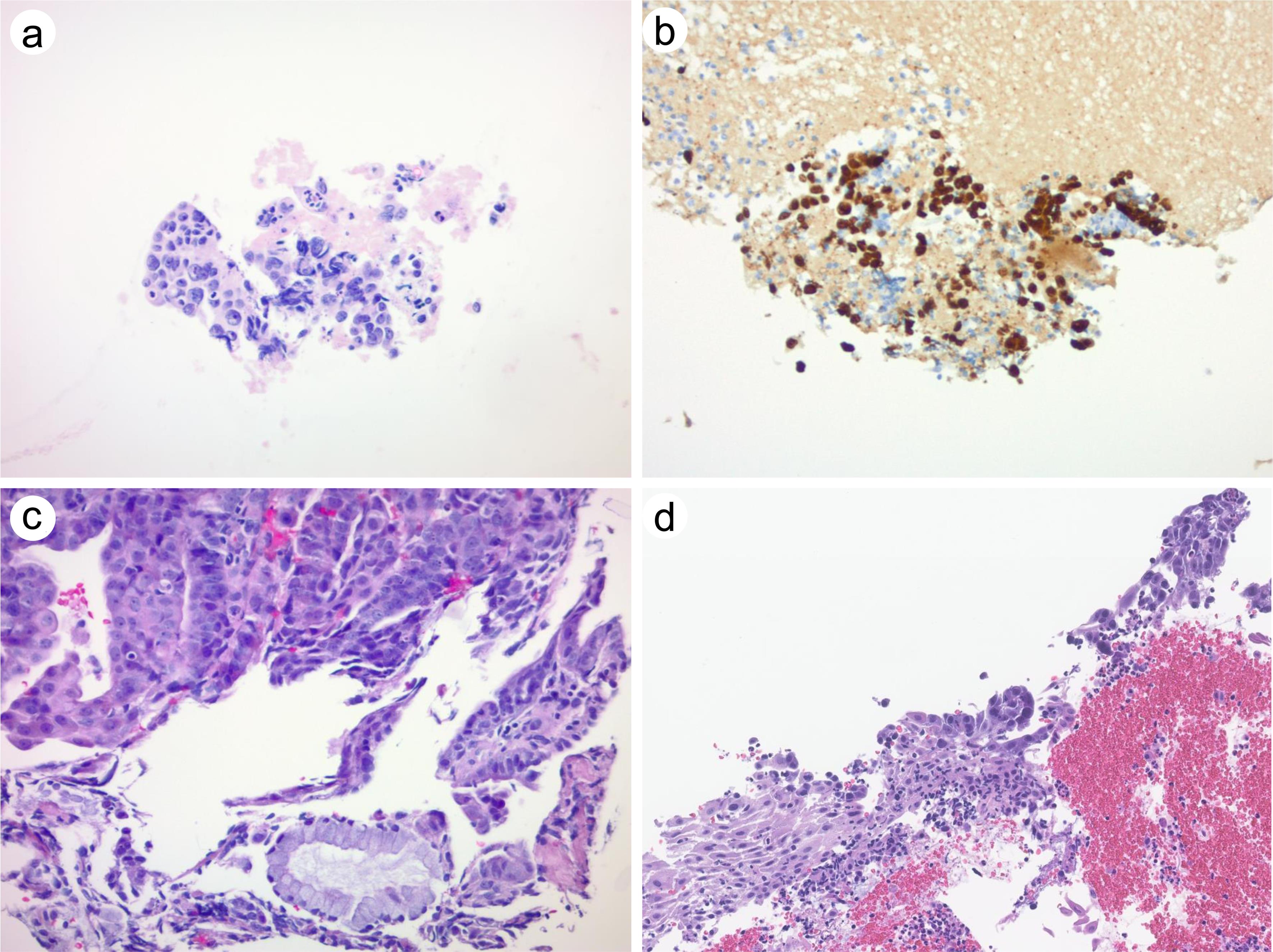
In endocervical curettage specimens, tumor cells were often scant and deceptively subtle, potentially mimicking benign endocervical glandular epithelium at low magnification (Fig. 2). However, at higher magnification, these cells exhibited high-grade cytologic features with aberrant p53 expression. Tumor cells were observed colonizing or clinging to benign endocervical or squamous epithelium.

Subtle histologic features of high-grade serous carcinoma involving the cervix.
Fig. 2  Subtle histologic features of high-grade serous carcinoma involving the cervix.

(a) Scant tumor cells with high-grade morphology, which can be easily overlooked (magnification of 100×). (b) p53 immunostaining shows diffuse overexpression (aberrant pattern) in the same tumor cell group shown in panel a (magnification of 100×). (c) Tumor cells admixed with benign endocervical glandular epithelium (magnification of 200×). (d) Tumor cells colonizing benign squamous epithelium (magnification of 100×).

Association between tumor origin and immunohistochemistry markers

Immunohistochemical findings and their correlation with tumor origin are summarized in Table 3. All tested cases demonstrated aberrant p53 expression and diffuse p16 positivity, regardless of tumor origin.

Table 3

Immunohistochemical findings and association with tumor origin sites

Endometrium (n = 47)Tubo-ovary (n = 4)Cervix (n = 1)Unknown (n = 7)
p53
  Aberrant47417
  Wild type0000
p16
  Positive22215
  Negative0000
ER
  Positive1703
  Negative412
PR
  Positive1501
  Negative510
WT-1
  Positive5401
  Negative36011
HER2
  Positive901
  Negative2013

ER and PR expression were frequently positive in tumors of endometrial origin (ER: 81%, 17/21; PR: 75%, 15/20) but were negative in the one tested tubo-ovarian tumor. WT1 was negative in the majority of endometrial-origin tumors (88%, 36/41), while all four tubo-ovarian tumors showed WT1 positivity. The one primary cervical carcinoma tested negative for WT1.

HER2 immunohistochemistry was performed in 29 endometrial-origin cases, of which 70% (20/29) tested negative. The primary cervical case was also negative for HER2.

None of the 13 Pap smears with available high-risk HPV testing were positive.

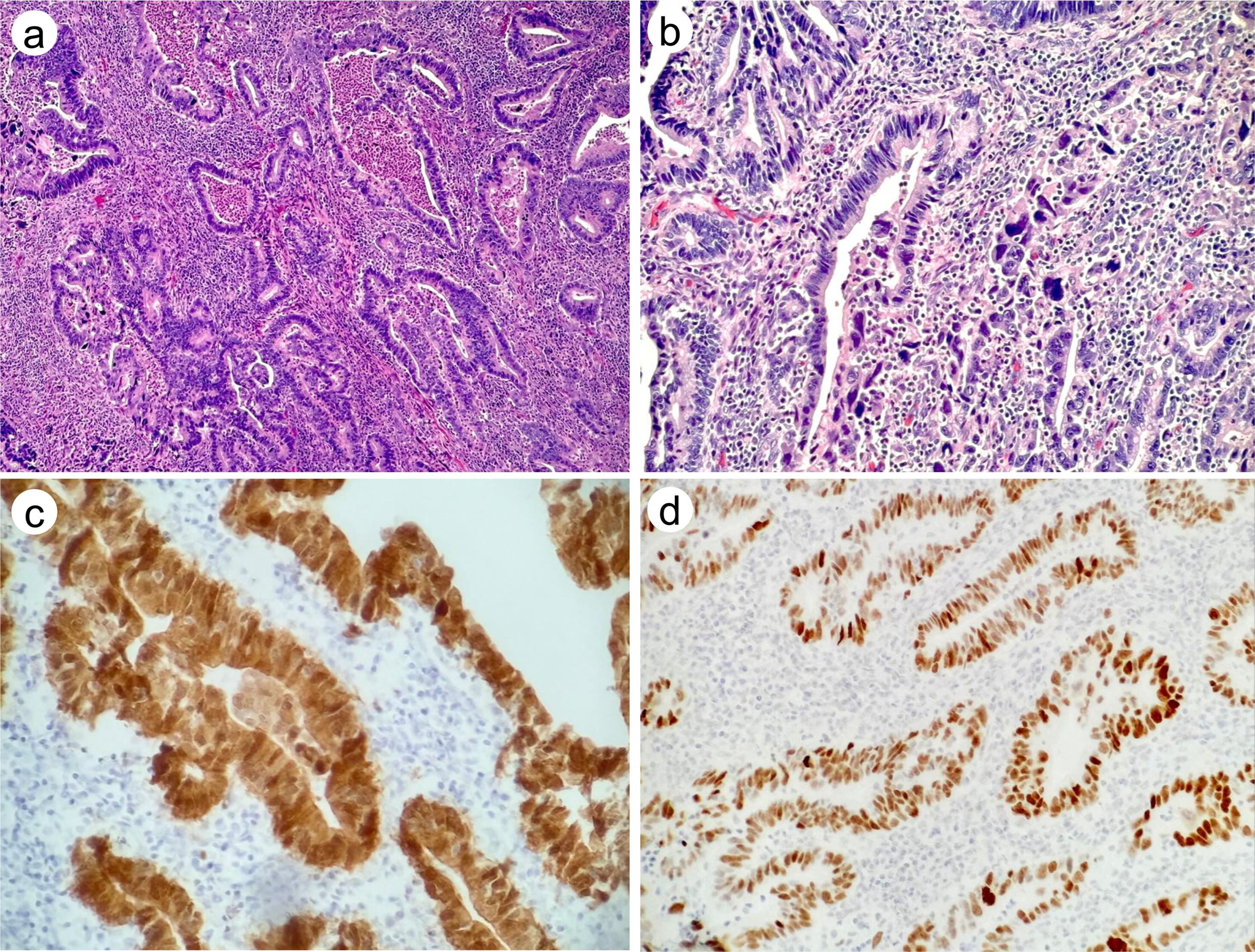
Serous carcinoma confined to the cervix

One case featured serous carcinoma-like cells confined to the cervix. Histologically, the radical hysterectomy specimen predominantly showed usual-type endocervical adenocarcinoma with a minor serous carcinoma-like component (Fig. 3). Immunohistochemistry revealed diffuse p16 expression and aberrant p53 overexpression in both components.

Histologic and immunohistochemical findings of a cervical adenocarcinoma with serous-like features.
Fig. 3  Histologic and immunohistochemical findings of a cervical adenocarcinoma with serous-like features.

(a) The predominant histology of the tumor is usual-type endocervical adenocarcinoma (magnification of 100×). (b) A minor serous carcinoma-like component is seen within the usual-type endocervical adenocarcinoma (magnification of 100×). (c) Immunostaining shows diffuse p16 positivity in both components (magnification of 200×). (d) p53 immunostaining demonstrates an aberrant overexpression pattern in both the usual-type and serous-like elements (magnification of 200×).

Targeted NGS

Targeted NGS was performed on five cases, all of which were confirmed to be of endometrial origin. Detailed molecular findings are provided in Table S1. The most common alteration was a missense mutation in TP53, detected in all cases. Other frequent mutations included PIK3CA or PIK3R1 (4/5 cases), BCL2 amplification (2/5), and single instances of PPP2R1A, FBXW7, EGFR, KRAS, RAD21, and CCNE1 alterations. All sequenced tumors were microsatellite stable and exhibited low tumor mutational burden (4–7 mutations/Mb), consistent with typical molecular features of endometrial serous carcinoma.

Discussion

Serous carcinoma of the cervix was excluded from the 2020 WHO classification due to a lack of convincing evidence supporting its existence as a true primary cervical tumor.9 Historically, this diagnosis was based on morphological resemblance to serous carcinoma in other parts of the female genital tract.8,10–14 However, it has since become evident that most of these cases represent either endometrial or tubo-ovarian serous carcinomas that secondarily involve the cervix, or, alternatively, HPV-associated endocervical adenocarcinomas that exhibit serous-like architecture or cytomorphologic features.9,15 In the current study, the vast majority of cases (50 of 52, 96%) initially diagnosed as serous carcinoma in cervical biopsies were later confirmed to be of upper genital tract origin, predominantly from the endometrium. Only one case exhibited features suggestive of a primary cervical tumor, and even these were ultimately reclassified as usual-type endocervical adenocarcinoma with focal serous-like morphology. These findings support and further strengthen the rationale for removing serous carcinoma from the list of recognized primary cervical carcinomas in the WHO classification.

Diagnosing serous carcinoma in cervical specimens can present significant challenges due to its wide morphological spectrum, which includes papillary, glandular, and solid architectural patterns, as well as variation in nuclear pleomorphism and cytoplasmic features.4,7,10–12,19,20 In our cohort, immunohistochemical work-up was often initiated based on high-grade cytologic features, and many tumors were designated as “serous carcinoma” or “high-grade serous carcinoma” owing to their aberrant p53 expression.21–24 In cervical adenocarcinomas, particularly those associated with high-risk HPV infection, p53 immunostaining typically shows a wild-type (scattered or weak heterogeneous) pattern. Abnormal p53 expression, including diffuse overexpression or complete absence (null pattern), is rare but may be seen in a subset of non-HPV-associated adenocarcinomas, such as gastric-type or mesonephric tumors. Therefore, interpretation of aberrant p53 staining in cervical lesions should be contextualized with HPV status and morphologic subtype to avoid misclassification, as diffuse p53 positivity alone does not necessarily exclude HPV-associated endocervical adenocarcinoma.21–23

Initial pathology reports frequently included comments suggesting that potential primary tumor sites include the endometrium, tubo-ovarian complex, and, rarely, the cervix. Some earlier cases (n = 4, diagnosed between 2013 and 2019) were initially reported as “cervical serous carcinoma,” but subsequent radical hysterectomy revealed that these were actually endometrial serous carcinomas arising in endometrial polyps (n = 3) or tubo-ovarian serous carcinomas associated with serous tubal intraepithelial carcinoma (n = 1). Upon further histologic and clinical correlation, these findings were interpreted as secondary involvement from an upper tract serous carcinoma, most consistent with either surface colonization or artifactually displaced fragments rather than invasive cervical disease. Several such cases demonstrated features such as surface epithelial involvement of the endocervix without stromal invasion, supporting the interpretation of glandular colonization rather than a primary cervical origin. Radiologic imaging is often helpful in identifying the primary tumor site when serous carcinoma is diagnosed in a cervical biopsy; however, early-stage endometrial serous carcinoma often arises within polyps in an atrophic endometrium background,5 and serous tubal intraepithelial carcinoma lesions can be missed on imaging. Importantly, 11 patients in our study underwent cervical biopsy due to abnormal findings in Pap smears. In total, 90% of patients with recent Pap smear results had abnormalities, underscoring the importance of routine cervical cytologic screening in detecting these aggressive yet elusive malignancies.

Immunohistochemical biomarkers can aid in determining tumor origin. While WT-1 has traditionally been considered a marker more specific for tubo-ovarian serous carcinoma, recent studies show that up to 36–64% of uterine serous carcinomas may express WT-1.2,25–27 Thus, although a positive WT-1 stain is not exclusive to tubo-ovarian tumors, a negative result can be highly informative. In our series, WT-1 negativity was observed in nearly all endometrial origin tumors, yielding a negative predictive value approaching 100% for excluding tubo-ovarian origin. ER expression in uterine serous carcinoma is variably reported, with positivity rates ranging from 10% to 50%.2 In our study, ER was positive in 75% of cases, a discrepancy that may reflect differences in the immunohistochemical thresholds used to define positivity.28 We adopted a ≥1% nuclear staining cut-off, which may have contributed to the higher positivity rate observed. HER2/neu status also holds therapeutic relevance in endometrial serous carcinoma, with overexpression and/or amplification seen in 25–35% of cases in prior studies. In our cohort, 31% of endometrial serous carcinomas involving the cervix were HER2-positive, consistent with these published findings.17,18 These immunohistochemical markers, when interpreted in the appropriate clinical and histological context, are valuable tools for distinguishing primary sites in serous carcinoma.

A single case in our series was initially interpreted as primary cervical serous carcinoma. Following hysterectomy and bilateral salpingo-oophorectomy, no tumor was identified in the endometrium, fallopian tubes, or ovaries. Histologically, the tumor consisted predominantly of usual-type endocervical adenocarcinoma with a minor component of serous carcinoma-like morphology. The immunohistochemical profile demonstrated diffuse p16 expression and aberrant p53 overexpression in both components. While p16 positivity suggests the possibility of HPV association,19,20 the aberrant p53 pattern raises the possibility of an HPV-independent pathway. This case illustrates the complexity of assigning tumor origin based solely on morphology and highlights the need for integrating histologic, immunophenotypic, and molecular features in diagnosis.

Our findings align with recent studies that have demonstrated similar trends. One investigation of 10 cervical carcinomas with serous-like morphology concluded that these tumors were better classified as endocervical adenocarcinomas with serous features, rather than true serous carcinomas.12 Similarly, another recent study involving six cases concluded that serous carcinomas identified in cervical biopsies all originated from the upper genital tract.29 Taken together, these studies, along with our data, provide strong evidence supporting the exclusion of primary cervical serous carcinoma as a distinct diagnostic entity.

Interestingly, we identified a subset of endometrial serous carcinomas arising in polyps or with minimal uterine serous carcinoma, without evidence of myometrial or cervical invasion. Among 17 such cases, 11 patients remained disease-free at follow-up, suggesting that early-stage disease confined to endometrial polyps may be associated with a favorable prognosis. A prior study of 13 cases originally diagnosed as cervical serous carcinoma noted better outcomes in premenopausal patients and poorer outcomes in postmenopausal individuals. In our cohort, however, prognosis was more clearly associated with disease stage rather than patient age at diagnosis, further emphasizing the importance of early detection and staging.5,30

There are limitations to our study. As a retrospective analysis, it is subject to inherent biases, including evolving terminology and treatment approaches over time. Additionally, the number of cases with confirmed tubo-ovarian or primary cervical origin was small, limiting our ability to fully assess the utility of immunohistochemical or molecular biomarkers in definitively determining tumor origin across all cases. Furthermore, in 12% of cases, the diagnosis was based on biopsy findings, and biopsy and subsequently resection were not performed. Nevertheless, the consistent clinicopathologic and molecular findings across our cohort provide meaningful insight into the true nature of serous carcinoma involving the cervix.

Conclusions

Our study demonstrates that serous carcinoma identified in cervical biopsy specimens almost always originates from the upper genital tract, particularly the endometrium or fallopian tubes/ovaries. A minority of cases may represent endocervical adenocarcinomas with serous-like features, which should not be classified as primary cervical serous carcinoma. To our knowledge, this is one of the largest series studies of serous carcinoma at the cervix and offers a comprehensive analysis integrating morphologic and molecular pathology. Accurate diagnosis is essential to guide appropriate clinical management. Our findings further support the exclusion of primary cervical serous carcinoma from the WHO classification and underscore the importance of integrating histopathologic, immunohistochemical, and clinical data to accurately determine tumor origin.

Supporting information

Supplementary material for this article is available at https://doi.org/10.14218/JCTP.2025.00023 .

Table S1

Targeted next-generation sequencing results for five endometrial-origin tumors.

(DOCX)

Declarations

Acknowledgement

We acknowledge the contributions of our colleagues.

Ethical statement

This study was conducted in accordance with the ethical standards of the Helsinki Declaration (as revised in 2024). All specimens from the patients in this study were obtained with appropriate consents and approval from the institutional review board of Yale University (Institutional Review Board No. 2000026494). The requirement for individual consent for this retrospective analysis was waived.

Data sharing statement

The data that support the findings of this study are available from the corresponding author upon reasonable request. Due to the sensitive nature of the clinical data and the potential for patient re-identification, de-identified data will be shared in compliance with institutional and ethical guidelines, and only for research purposes. Requests for data access will require a signed data use agreement.

Funding

No external funding was received for this work.

Conflict of interest

The authors declare no conflict of interest.

Authors’ contributions

Study concept and design (VKM, TS), acquisition of data (VKM, TS), analysis and interpretation of data (VKM, TS), and drafting of the manuscript (TS). Both authors have made significant contributions to this study and have approved the final manuscript.

References

  1. Murali R, Davidson B, Fadare O, Carlson JA, Crum CP, Gilks CB, et al. High-grade Endometrial Carcinomas: Morphologic and Immunohistochemical Features, Diagnostic Challenges and Recommendations. Int J Gynecol Pathol 2019;38(Suppl 1):S40-S63 View Article PubMed/NCBI
  2. Nofech-Mozes S, Khalifa MA, Ismiil N, Saad RS, Hanna WM, Covens A, et al. Immunophenotyping of serous carcinoma of the female genital tract. Mod Pathol 2008;21(9):1147-1155 View Article PubMed/NCBI
  3. Singh N, McCluggage WG, Gilks CB. High-grade serous carcinoma of tubo-ovarian origin: recent developments. Histopathology 2017;71(3):339-356 View Article PubMed/NCBI
  4. Bogani G, Ray-Coquard I, Concin N, Ngoi NYL, Morice P, Enomoto T, et al. Uterine serous carcinoma. Gynecol Oncol 2021;162(1):226-234 View Article PubMed/NCBI
  5. Hui P. Endometrial Polyp in Postmenopausal Women: An Epicenter for the Development of Endometrial Serous Carcinoma. Arch Pathol Lab Med 2023;147(4):413-417 View Article PubMed/NCBI
  6. Wong RW, Ng JHY, Han KC, Leung YP, Shek CM, Cheung KN, et al. Cervical carcinomas with serous-like papillary and micropapillary components: illustrating the heterogeneity of primary cervical carcinomas. Mod Pathol 2021;34(1):207-221 View Article PubMed/NCBI
  7. Herrera Gómez RG, Hastir D, Liapi A, Dolcan A, Herrera FG, Mathevet P, et al. So-Called Serous Carcinoma of the Uterine Cervix with BRCA2 Mutation: Case Report and Review of the Literature. Case Rep Oncol 2021;14(3):1792-1798 View Article PubMed/NCBI
  8. Kurman RJ, Carcangiu ML, Herrington CS, Young RH. WHO Classification of Tumours of Female Reproductive Organs, WHO Classification of Tumours, 4th ed, Vol. 6. Lyon: International Agency for Research on Cancer; 2014 View Article PubMed/NCBI
  9. WHO Classification of Tumours Editorial Board. Female Genital Tumours. WHO Classification of Tumours, 5th ed, Vol. 4. Lyon: International Agency for Research on Cancer; 2020 View Article PubMed/NCBI
  10. Zhou C, Gilks CB, Hayes M, Clement PB. Papillary serous carcinoma of the uterine cervix: a clinicopathologic study of 17 cases. Am J Surg Pathol 1998;22(1):113-120 View Article PubMed/NCBI
  11. Togami S, Kasamatsu T, Sasajima Y, Onda T, Ishikawa M, Ikeda S, et al. Serous adenocarcinoma of the uterine cervix: a clinicopathological study of 12 cases and a review of the literature. Gynecol Obstet Invest 2012;73(1):26-31 View Article PubMed/NCBI
  12. Jonska-Gmyrek J, Zolciak-Siwinska A, Gmyrek L, Michalski W, Poniatowska G, Fuksiewicz M, et al. Serous Carcinoma of the Uterine Cervix, an Extremely Rare Aggressive Entity: A Literature Review. Gynecol Obstet Invest 2018;83(3):220-226 View Article PubMed/NCBI
  13. Yüksel H, Sezer SD, Küçük M, Riza Obadaşi A, Döger FK. Papillary serous adenocarcinoma of the uterine cervix: a case report. Eur J Gynaecol Oncol 2011;32(2):240-242 View Article PubMed/NCBI
  14. Khan M, Gilman AD, Nizami S, Barbaryan A, Ali AM, Mirrakhimov AE. Papillary serous carcinoma of the uterine cervix with lung metastasis. Case Rep Oncol Med 2014;2014:683103 View Article PubMed/NCBI
  15. Nofech-Mozes S, Rasty G, Ismiil N, Covens A, Khalifa MA. Immunohistochemical characterization of endocervical papillary serous carcinoma. Int J Gynecol Cancer 2006;16(Suppl 1):286-292 View Article PubMed/NCBI
  16. Park JS, Kim YT, Lee A, Lee Y, Kim KT, Cho CH, et al. Prevalence and type distribution of human papillomavirus in cervical adenocarcinoma in Korean women. Gynecol Oncol 2013;130(1):115-120 View Article PubMed/NCBI
  17. Fader AN, Roque DM, Siegel E, Buza N, Hui P, Abdelghany O, et al. Randomized Phase II Trial of Carboplatin-Paclitaxel Versus Carboplatin-Paclitaxel-Trastuzumab in Uterine Serous Carcinomas That Overexpress Human Epidermal Growth Factor Receptor 2/neu. J Clin Oncol 2018;36(20):2044-2051 View Article PubMed/NCBI
  18. Buza N, English DP, Santin AD, Hui P. Toward standard HER2 testing of endometrial serous carcinoma: 4-year experience at a large academic center and recommendations for clinical practice. Mod Pathol 2013;26(12):1605-1612 View Article PubMed/NCBI
  19. Ronnett BM. Endocervical adenocarcinoma: selected diagnostic challenges. Mod Pathol 2016;29(Suppl 1):S12-S28 View Article PubMed/NCBI
  20. Stewart CJR, Crum CP, McCluggage WG, Park KJ, Rutgers JK, Oliva E, et al. Guidelines to Aid in the Distinction of Endometrial and Endocervical Carcinomas, and the Distinction of Independent Primary Carcinomas of the Endometrium and Adnexa From Metastatic Spread Between These and Other Sites. Int J Gynecol Pathol 2019;38(Suppl 1):S75-S92 View Article PubMed/NCBI
  21. Yemelyanova A, Vang R, Kshirsagar M, Lu D, Marks MA, Shih IeM, et al. Immunohistochemical staining patterns of p53 can serve as a surrogate marker for TP53 mutations in ovarian carcinoma: an immunohistochemical and nucleotide sequencing analysis. Mod Pathol 2011;24(9):1248-1253 View Article PubMed/NCBI
  22. Köbel M, Ronnett BM, Singh N, Soslow RA, Gilks CB, McCluggage WG. Interpretation of P53 Immunohistochemistry in Endometrial Carcinomas: Toward Increased Reproducibility. Int J Gynecol Pathol 2019;38(Suppl 1):S123-S131 View Article PubMed/NCBI
  23. Singh N, Piskorz AM, Bosse T, Jimenez-Linan M, Rous B, Brenton JD, et al. p53 immunohistochemistry is an accurate surrogate for TP53 mutational analysis in endometrial carcinoma biopsies. J Pathol 2020;250(3):336-345 View Article PubMed/NCBI
  24. Hatano Y, Fukuda S, Makino H, Tomita H, Morishige KI, Hara A. High-grade serous carcinoma with discordant p53 signature: report of a case with new insight regarding high-grade serous carcinogenesis. Diagn Pathol 2018;13(1):24 View Article PubMed/NCBI
  25. Hedley C, Sriraksa R, Showeil R, Van Noorden S, El-Bahrawy M. The frequency and significance of WT-1 expression in serous endometrial carcinoma. Hum Pathol 2014;45(9):1879-1884 View Article PubMed/NCBI
  26. Angelico G, Santoro A, Straccia P, Inzani F, Cianfrini F, Spadola S, et al. Diagnostic and Prognostic Role of WT1 Immunohistochemical Expression in Uterine Carcinoma: A Systematic Review and Meta-Analysis across All Endometrial Carcinoma Histotypes. Diagnostics (Basel) 2020;10(9):637 View Article PubMed/NCBI
  27. Casey L, Köbel M, Ganesan R, Tam S, Prasad R, Böhm S, et al. A comparison of p53 and WT1 immunohistochemical expression patterns in tubo-ovarian high-grade serous carcinoma before and after neoadjuvant chemotherapy. Histopathology 2017;71(5):736-742 View Article PubMed/NCBI
  28. Allison KH, Hammond MEH, Dowsett M, McKernin SE, Carey LA, Fitzgibbons PL, et al. Estrogen and Progesterone Receptor Testing in Breast Cancer: ASCO/CAP Guideline Update. J Clin Oncol 2020;38(12):1346-1366 View Article PubMed/NCBI
  29. Sarma R, Premalatha T, Kulkarni K, Achary G, Bidkar V, Ravikumar G. Serous carcinoma of uterine cervix, a clinicopathological dilemma. Indian J of Gynec Oncol 2025;23(1):7 View Article PubMed/NCBI
  30. Assem H, Rottmann D, Finkelstein A, Wang M, Ratner E, Santin AD, et al. Minimal uterine serous carcinoma and endometrial polyp: a close clinicopathological relationship. Hum Pathol 2021;118:1-8 View Article PubMed/NCBI

About this Article

Cite this article
Maruthi VK, Sun T. High-grade Serous Carcinomas Identified in Cervical Biopsies: A Clinicopathologic Study Supporting the Exclusion of Cervical Serous Carcinoma from World Health Organization Classification. J Clin Transl Pathol. 2025;5(3):95-103. doi: 10.14218/JCTP.2025.00023.
Copy Export to RIS Export to EndNote
Article History
Received Revised Accepted Published
April 21, 2025 June 27, 2025 July 16, 2025 August 18, 2025
DOI http://dx.doi.org/10.14218/JCTP.2025.00023