Home
JournalsCollections
For Authors For Reviewers For Editorial Board Members
Article Processing Charges Open Access
Ethics Advertising Policy
Editorial Policy Resource Center
Company Information Contact Us Membership Collaborators Partners
OPEN ACCESS

Liver Lesion in a Patient with Pancreatic Intraductal Tubulopapillary Neoplasm-associated Carcinoma and Esophageal Adenocarcinoma: Molecular Profiling to Identify the Primary

  • Niki Shrestha1,2,
  • Akram Shalaby1,2,
  • Hannah H. Chen3,
  • Navid Sadri1,2 and
  • Min Cui1,2,*
Journal of Clinical and Translational Pathology   2025

doi: 10.14218/JCTP.2025.00026

Received:

Revised:

Accepted:

Published online:

 Author information

Citation: Shrestha N, Shalaby A, Chen HH, Sadri N, Cui M. Liver Lesion in a Patient with Pancreatic Intraductal Tubulopapillary Neoplasm-associated Carcinoma and Esophageal Adenocarcinoma: Molecular Profiling to Identify the Primary. J Clin Transl Pathol. Published online: Oct 14, 2025. doi: 10.14218/JCTP.2025.00026.

Intraductal tubulopapillary neoplasm (ITPN) is a rare type of pancreatic tumor, accounting for <1% of all pancreatic exocrine neoplasms and 3% of pancreatic intraductal neoplasms. ITPN is an intraductal neoplasm with a tubular or tubulopapillary growth pattern and little or no mucin. Described in the literature under other names such as intraductal carcinoma, ITPN was proposed as a distinct diagnostic entity by Yamaguchi et al.1 in 2009. ITPN was officially included in the 2010 World Health Organization classification of digestive system tumors as a unique intraductal neoplasm, separate from other intraductal tumors, particularly intraductal papillary mucinous neoplasms.2 The genomic landscape of pancreatic ITPN is relatively heterogeneous, and the common pancreatic ductal adenocarcinoma (PDAC) drivers, including KRAS, TP53, SMAD4, and CDKN2A, are less frequently identified in ITPN.3

Tumors with an invasive component, referred to as “ITPN with associated invasive carcinoma,” can be identified in 70% of cases. However, the prognosis of invasive carcinoma arising from ITPN is significantly better than conventional PDAC, with a five-year survival rate of 71% for cases with an invasive component and 100% for patients without invasive disease.4 Distal metastasis from carcinoma associated with ITPN is rare, with the liver being the only documented site reported in the literature. The largest series published so far by Basturk et al.4 described three cases with liver metastases out of 22 cases of invasive carcinoma associated with ITPN, with a mean follow-up of 60 months (range, 11–173 months). A study by Mafficini et al.3 reported only one out of 12 cases of invasive carcinoma associated with ITPN that presented with a single liver metastasis, with an average follow-up of 27.9 months. Yamaguchi reported one patient who died of multiple liver metastases seven months after surgical resection, out of 10 cases of ITPN, three of which showed invasion.1 In this paper, we present an unusual case of a 60-year-old male with ITPN-associated pancreatic carcinoma and synchronous esophageal adenocarcinoma, who later developed liver metastasis. Due to the significant overlap in morphology and immunoprofile between pancreatic carcinoma and esophageal adenocarcinoma, next-generation sequencing (NGS) was used to compare the molecular profiles of the tumors. The liver lesion showed identical molecular alterations to the patient’s pancreatic tumor. To the best of our knowledge, this is the first reported case of a patient with synchronous ITPN-associated pancreatic carcinoma and esophageal adenocarcinoma presenting with liver metastasis, where molecular findings were particularly helpful in confirming the pancreatic tumor as the primary origin.

The patient, a 60-year-old male, presented with acute pancreatitis. On further work-up, the lower third of the esophagus showed mucosal changes consistent with Barrett’s esophagus measuring 3 cm in length. Localized nodularity and altered texture were identified at the gastroesophageal junction, and biopsy revealed esophageal adenocarcinoma (Fig. 1a) in a background of Barrett’s esophagus. Computed tomography showed pancreatic ductal dilatation, raising concern for an intraluminal mass. Positron emission tomography/computed tomography revealed a hypermetabolic lesion in the pancreatic head with the maximum standardized uptake value of 7.9. Magnetic resonance imaging identified a 3 cm lesion in the pancreatic head. Endoscopic ultrasound-guided fine-needle aspiration was performed on an irregular 3.4 × 2.3 cm mass in the pancreatic head, and smear cytology showed numerous clusters of atypical epithelial cells with enlarged nuclei, an increased nuclear-to-cytoplasmic ratio, nuclear hyperchromasia and overlap, anisonucleosis, and disorganization (Fig. 1b). The cell block was paucicellular and non-contributory. The cytology specimen was diagnosed as positive for malignant cells, consistent with adenocarcinoma. Biopsy of the esophageal adenocarcinoma and pancreatic cytology specimens with malignant cells were collected during the same procedure. The patient underwent three cycles of chemotherapy with folinic acid, fluorouracil, and oxaliplatin, along with concurrent radiation therapy for the esophageal adenocarcinoma (cT1sm N1M0). A follow-up biopsy showed Barrett’s esophagus with only reactive changes. For the pancreatic tumor, he underwent neoadjuvant chemotherapy with fluorouracil, leucovorin, irinotecan, and oxaliplatin (FOLFIRINOX), and the Whipple procedure was performed six months after diagnosis. Grossly, the Whipple specimen showed a firm, solid, tan-pink, focally hemorrhagic, poorly defined mass measuring 3.8 × 3.1 × 2.5 cm located in the head of the pancreas, which obliterated the pancreatic duct. Microscopic evaluation revealed involvement of the main pancreatic duct by an intraductal neoplasm with tubular and papillary architecture. The neoplastic cells were markedly atypical, characterized by loss of nuclear polarity, nuclear hyperchromasia, and anisonucleosis, consistent with ITPN with extensive high-grade dysplasia (Fig. 1c). Multiple sections showed moderately differentiated adenocarcinoma with pushing invasion extending beyond the main pancreatic duct and branch ducts into the surrounding pancreatic parenchyma, with the largest focus measuring 1.1 cm (Fig. 1d). The final pathological staging was ypT1cN0 (0/26 lymph nodes), with no lymphovascular invasion identified. There was no or minimal identifiable response to neoadjuvant therapy. Margins were negative for both ITPN and invasive carcinoma. The tumor was microsatellite stable by immunostain. A targeted 161-gene NGS panel (University of Pittsburgh Medical Center Oncomine) performed on the resection specimen with manual microdissection identified a BRAF p.V600E mutation (Table 1, reference genome GRCh37). Detailed genes covered by the assay can be viewed at https://mgp.upmc.com/Home/Print/Oncomine . By NGS, the microsatellite status was MS-stable, and the tumor mutation burden was 4.4 mutations/Mb (35.8th percentile of all tumor samples). Five and a half months after surgery, the patient presented with a 1.2 cm liver lesion. Biopsy showed moderately differentiated adenocarcinoma involving the liver parenchyma (Fig. 1e). The tumor cells were positive for cytokeratin 7, showed weak and patchy staining for caudal type homeobox 2 (Fig. 1f), and were negative for cytokeratin 20. This immunoprofile can be seen in adenocarcinomas of both esophageal and pancreatic origin. Due to the overlapping morphology and immunophenotype of adenocarcinoma of esophageal and pancreatic origin, NGS was performed on biopsies of both the esophageal adenocarcinoma and the liver lesion using the focused solid tumor assay, as previously described (reference genome GRCh37).5 This assay detects single nucleotide variants, small insertions/deletions, and high-level amplifications; the genomic regions analyzed are listed in Supplemental Table 1. Manual microdissection was performed prior to DNA extraction for the liver lesion. As shown in Table 1, the liver lesion harbored BRAF p.V600E, whereas the esophageal carcinoma showed TP53 alterations and EGFR amplification. The identical molecular profile of the liver lesion and the pancreatic tumor supports the pancreatic tumor as the primary site of liver metastasis. The patient was started on a chemotherapy regimen of gemcitabine and Abraxane based on these findings. He is alive and has remained on chemotherapy for two years and 10 months after the diagnosis of the pancreatic tumor, and one year and 11 months after the diagnosis of liver metastasis.

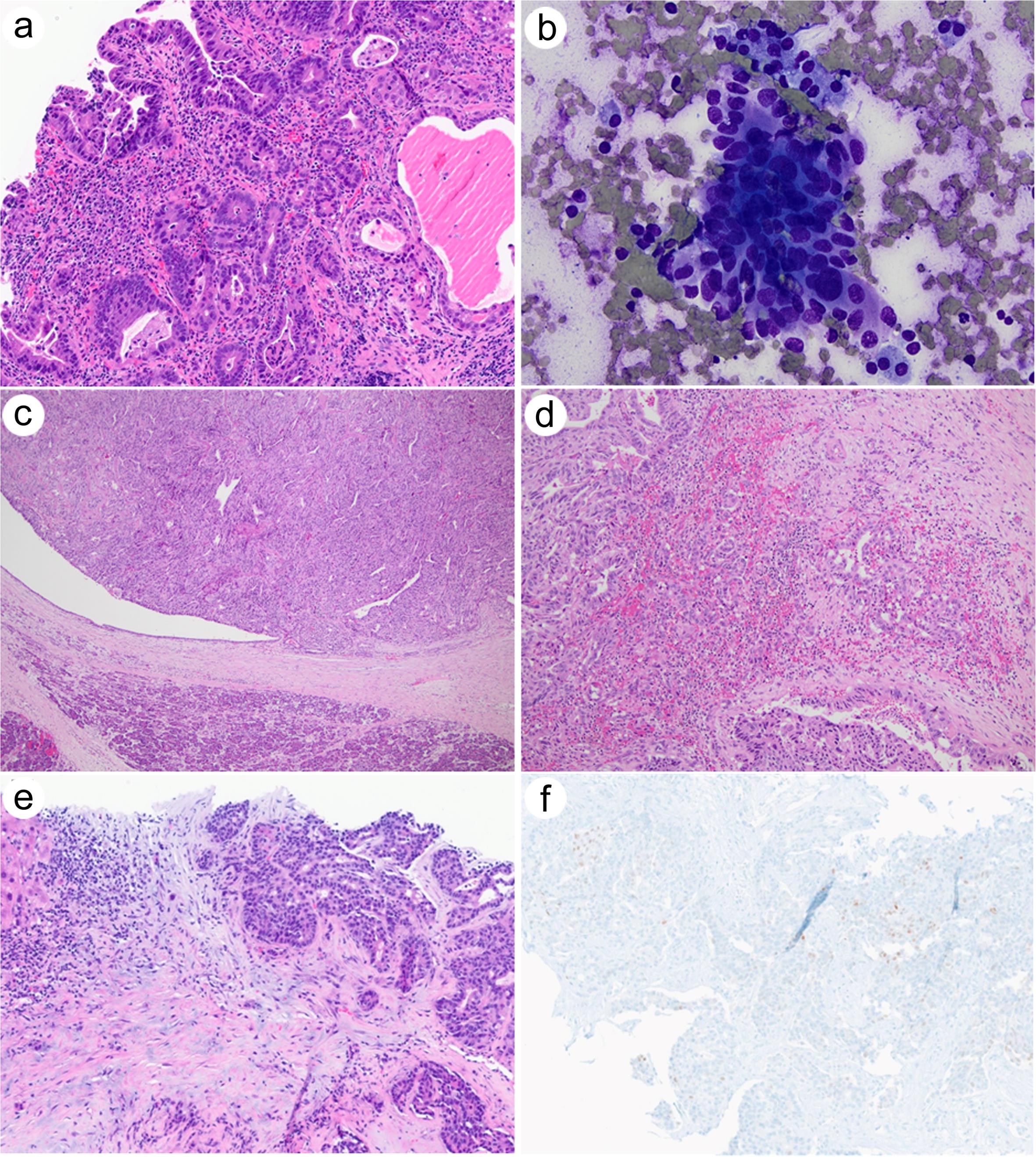
Histologic findings of the esophageal adenocarcinoma, pancreatic lesion in cytology, resection specimens and liver lesion.
Fig. 1  Histologic findings of the esophageal adenocarcinoma, pancreatic lesion in cytology, resection specimens and liver lesion.

(a) Biopsy at the gastroesophageal junction shows moderately differentiated adenocarcinoma (200×). (b) Endoscopic ultrasound-guided fine needle aspiration (EUS-FNA) of the pancreatic mass showed clusters of atypical epithelial cells with enlarged nuclei, increased nuclear-to-cytoplasmic ratio, nuclear hyperchromasia and overlap, anisonucleosis, and disorganization (400×). (c) Whipple specimen showed an intraductal neoplasm with tubular and papillary architecture (100×). (d) The invasive component showed small clusters of cells with identical morphology to intraductal tubulopapillary neoplasm (ITPN, 100×). (e) Biopsy of the liver lesion showed background liver on the left and moderately differentiated adenocarcinoma on the right (100×). (f) The tumor cells are focally and weakly positive for caudal-type homeobox 2 (CDX2, 100×).

Table 1

Molecular alterations of the esophageal adenocarcinoma, pancreatic tumor, and liver lesion

TumorGeneAlterationTumor percentageVAF or CNVNGS panelSample mean depth
Esophageal adenocarcinomaEGFRAmplification25%12xFSTA2954x
TP53*Splice site (c.559+1G>A)24%
TP53*p.R175H5%
Pancreatic adenocarcinoma/ITPNBRAFp.V600ENA43%UPMC OncomineNA
NOTCH2**Q2341H12%
Adenocarcinoma involving the liverBRAFp.V600E30%19%FSTA4039x

ITPN is a very rare tumor. The most common site of ITPN is the head of the pancreas (51.7%), followed by the body and tail.6 Diagnosing ITPN or ITPN-associated carcinoma through imaging or cytology/biopsy before surgery is very challenging. On imaging, according to a retrospective study by Motosugi et al.,7 ITPN shows characteristic findings such as the “2-tone duct sign” and the “cork-of-wine-bottle sign,” which represent intraductal growth. However, other authors argue that these signs are not reliable for differentiating ITPN from PDAC.8 On cytology, ITPN is quite difficult—if not impossible—to distinguish from PDAC on smear, although some authors suggest that structural characteristics of ITPN, such as tubules in contact with fibrovascular structures and cribriform structures, are not usually present in PDAC.9 Diagnosis by biopsy or cytology specimens before surgery has been reported,8,10 and the diagnosis in those cases relied on structural features and immunostains, which may not always be feasible in clinical practice. Inconclusive or incorrect cytology diagnoses are also reported.11–13 The diagnosis of ITPN is almost always made postoperatively. A definitive diagnosis typically relies on histopathological analysis of tissue samples collected through surgical resection, as in this case.

Histologically, ITPNs are characterized by tubulopapillary growth, uniform high-grade atypia, frequent necrotic areas, unequivocal ductal differentiation, and lack of mucin. Invasive carcinoma can show cytologic features identical to those in noninvasive components, and determining the extent of invasion is often very difficult.4

Molecular studies provide further insight into ITPN. Although findings vary between studies, molecular alterations in ITPN show a low frequency of mutations commonly seen in PDAC, such as KRAS, TP53, and SMAD4. A study by Basturk et al.13 reported loss of CDKN2A in 5/20 (25%) of cases, mutations in chromatin remodeling genes in 7/22 (32%) ITPNs, PI3K pathway mutations in 27%, and FGFR2 fusions in 4/18 (18%). Some of these genetic alterations, such as PIK3CA mutations, BAP1 mutations, and FGFR2 fusions, are potentially targetable with therapy. In the study by Mafficini et al.,3 recurrent mutations included KRAS (25%), TP53 (25%), SMAD4 (12.5%), BRAF (12.5%), copy number variations in Cyclin family genes (18.75%), and ERBB2 amplification (6.25%). Structural genomic alterations, such as gene fusions and translocations, were also identified. The only case with liver metastasis in that study harbored KRAS, TP53, PALB2, and RB1 missense mutations. This study also demonstrated that invasive adenocarcinomas share the majority of somatic alterations with the intraductal precursors, confirming the molecular association of ITPN and its associated carcinoma. Three cases harbored additional alterations restricted to the invasive components.3 Gene fusions were also reported in the study by Manukyan et al.14BRAF mutations are rare in PDAC, observed in only ∼3% of patients.15 The absence of BRAF mutations was listed as one of the nine defining features of ITPN in the paper by Yamaguchi et al.1 However, a BRAF p.V600E mutation was identified in our case, and the same mutation has been previously described in ITPN by other authors,16,17 including the study by Mafficini et al.3

Due to limited understanding and the absence of standardized guidelines for ITPN and associated carcinoma, clinical management remains challenging. Whether neoadjuvant chemotherapy for PDAC is effective against carcinoma associated with ITPN is largely unknown. In our patient, there was no or minimal treatment response to neoadjuvant FOLFIRINOX chemotherapy in the Whipple resection specimen. The identification of the BRAF p.V600E mutation in this patient presents a potential therapeutic opportunity, as corresponding targeted therapies, such as BRAF and MEK inhibitors, exist. The optimal approach for metastatic disease remains unclear, underscoring the need for further research and clinical trials.

In conclusion, ITPN is a very rare pancreatic tumor that presents significant challenges in diagnosis and management. This case highlights the value of molecular profiling in understanding the disease process in a patient with synchronous ITPN-associated pancreatic carcinoma and esophageal adenocarcinoma, and in guiding clinical management. Additionally, this case demonstrates the lack of response to standard chemotherapy regimens for PDAC in ITPN-associated carcinoma in the Whipple specimen. A better understanding of the tumor’s morphology, immunophenotype, and molecular alterations may aid diagnosis, guide treatment, and improve outcomes.

Supporting information

Supplementary material for this article is available at https://doi.org/10.14218/JCTP.2025.00026 .

Supplemental Table 1

Focused solid tumor assay gene list.

(DOCX)

Declarations

Acknowledgement

None.

Ethical statement

This study was reviewed and approved by the Ethics Committee of Case Western Reserve University/University Hospitals Cleveland Medical Center (STUDY20241333) and was conducted in accordance with the Declaration of Helsinki (as revised in 2024). All data were obtained from an existing database, and the requirement for informed consent was waived.

Data sharing statement

The data used in support of the findings of this study are available from the corresponding author at min.cui@uhhospitals.org upon request.

Funding

This study was completed without financial support.

Conflict of interest

The authors declare no conflicts of interest

Authors’ contributions

Study conception (MC), original draft preparation and revision (NS, MC), data curation (NS), and histopathologic review (AS, MC, HC). All authors have reviewed and approved the final version of the manuscript.

References

  1. Yamaguchi H, Shimizu M, Ban S, Koyama I, Hatori T, Fujita I, et al. Intraductal tubulopapillary neoplasms of the pancreas distinct from pancreatic intraepithelial neoplasia and intraductal papillary mucinous neoplasms. Am J Surg Pathol 2009;33(8):1164-1172 View Article PubMed/NCBI
  2. Bosman FT, Carneiro F, Hruban RH, Theise ND. WHO Classification of Tumours of the Digestive System. Lyon: IARC; 2010 View Article PubMed/NCBI
  3. Mafficini A, Simbolo M, Shibata T, Hong SM, Pea A, Brosens LA, et al. Integrative characterization of intraductal tubulopapillary neoplasm (ITPN) of the pancreas and associated invasive adenocarcinoma. Mod Pathol 2022;35(12):1929-1943 View Article PubMed/NCBI
  4. Basturk O, Adsay V, Askan G, Dhall D, Zamboni G, Shimizu M, et al. Intraductal Tubulopapillary Neoplasm of the Pancreas: A Clinicopathologic and Immunohistochemical Analysis of 33 Cases. Am J Surg Pathol 2017;41(3):313-325 View Article PubMed/NCBI
  5. Miller TE, Yang M, Bajor D, Friedman JD, Chang RYC, Dowlati A, et al. Clinical utility of reflex testing using focused next-generation sequencing for management of patients with advanced lung adenocarcinoma. J Clin Pathol 2018;71(12):1108-1115 View Article PubMed/NCBI
  6. Paolino G, Esposito I, Hong SM, Basturk O, Mattiolo P, Kaneko T, et al. Intraductal tubulopapillary neoplasm (ITPN) of the pancreas: a distinct entity among pancreatic tumors. Histopathology 2022;81(3):297-309 View Article PubMed/NCBI
  7. Motosugi U, Yamaguchi H, Furukawa T, Ichikawa T, Hatori T, Fujita I, et al. Imaging studies of intraductal tubulopapillary neoplasms of the pancreas: 2-tone duct sign and cork-of-wine-bottle sign as indicators of intraductal tumor growth. J Comput Assist Tomogr 2012;36(6):710-717 View Article PubMed/NCBI
  8. Senaha Y, Takahashi S, Hara K, Yoshida K, Nagasaki M. Intraductal Tubulopapillary Neoplasm Diagnosed Before Surgery: A Case Report. Cureus 2023;15(3):e36932 View Article PubMed/NCBI
  9. Furuhata A, Minamiguchi S, Mikami Y, Kodama Y, Sumiyoshi S, Adachi S, et al. Intraductal tubulopapillary neoplasm with expansile invasive carcinoma of the pancreas diagnosed by endoscopic ultrasonography-guided fine needle aspiration: a case report. Diagn Cytopathol 2014;42(4):314-320 View Article PubMed/NCBI
  10. Tajima S. Intraductal tubulopapillary neoplasm of the pancreas suspected by endoscopic ultrasonography-fine-needle aspiration cytology: Report of a case confirmed by surgical specimen histology. Diagn Cytopathol 2015;43(12):1003-1006 View Article PubMed/NCBI
  11. Yu C, Lokan J, Jackett L, Nikfarjam M, Mills C. Intraductal tubulopapillary neoplasm. BMJ Case Rep 2022;15(12):e246398 View Article PubMed/NCBI
  12. Decker J, Cavanaugh A, Brown M, Ligato S, Serrano OK. Intraductal tubulopapillary neoplasms of the pancreas and biliary tract: The black swan of hepatobiliary surgery. Ann Hepatobiliary Pancreat Surg 2021;25(4):556-561 View Article PubMed/NCBI
  13. Basturk O, Berger MF, Yamaguchi H, Adsay V, Askan G, Bhanot UK, et al. Pancreatic intraductal tubulopapillary neoplasm is genetically distinct from intraductal papillary mucinous neoplasm and ductal adenocarcinoma. Mod Pathol 2017;30(12):1760-1772 View Article PubMed/NCBI
  14. Manukyan I, Hsiao SJ, Fazlollahi L, Remotti H, Mansukhani MM. Molecular and morphologic characterization of intraductal tubulopapillary neoplasms of pancreas with novel potentially targetable fusions. Hum Pathol 2024;150:36-41 View Article PubMed/NCBI
  15. Witkiewicz AK, McMillan EA, Balaji U, Baek G, Lin WC, Mansour J, et al. Whole-exome sequencing of pancreatic cancer defines genetic diversity and therapeutic targets. Nat Commun 2015;6:6744 View Article PubMed/NCBI
  16. Yamamoto K, Takada Y, Kobayashi T, Ito R, Ikeda Y, Ota S, et al. Rapid transformation of branched pancreatic duct-derived intraductal tubulopapillary neoplasm into an invasive carcinoma: A case report. World J Clin Oncol 2023;14(12):620-627 View Article PubMed/NCBI
  17. Urata T, Naito Y, Nagamine M, Izumi Y, Tonaki G, Iwasaki H, et al. Intraductal tubulopapillary neoplasm of the pancreas with somatic BRAF mutation. Clin J Gastroenterol 2012;5(6):413-420 View Article PubMed/NCBI

About this Article

Cite this article
Shrestha N, Shalaby A, Chen HH, Sadri N, Cui M. Liver Lesion in a Patient with Pancreatic Intraductal Tubulopapillary Neoplasm-associated Carcinoma and Esophageal Adenocarcinoma: Molecular Profiling to Identify the Primary. J Clin Transl Pathol. Published online: Oct 14, 2025. doi: 10.14218/JCTP.2025.00026.
Copy Export to RIS Export to EndNote
Article History
Received Revised Accepted Published
May 17, 2025 August 14, 2025 September 12, 2025 October 14, 2025
DOI http://dx.doi.org/10.14218/JCTP.2025.00026