Home
JournalsCollections
For Authors For Reviewers For Editorial Board Members
Article Processing Charges Open Access
Ethics Advertising Policy
Editorial Policy Resource Center
Company Information Contact Us Membership Collaborators Partners
OPEN ACCESS

Pediatric Synovial Sarcoma with SMARCB1 Loss and Aberrant ALK Expression: A Diagnostic Pitfall Necessitating Molecular Confirmation

  • Huiting Wei#,
  • Jiangtao Liang#,
  • Huijuan Shi and
  • Anjia Han* 
Journal of Clinical and Translational Pathology   2025;5(4):162-164

doi: 10.14218/JCTP.2025.00044

Received:

Revised:

Accepted:

Published online:

 Author information

Citation: Wei H, Liang J, Shi H, Han A. Pediatric Synovial Sarcoma with SMARCB1 Loss and Aberrant ALK Expression: A Diagnostic Pitfall Necessitating Molecular Confirmation. J Clin Transl Pathol. 2025;5(4):162-164. doi: 10.14218/JCTP.2025.00044.

Synovial sarcoma (SS) is a malignant soft tissue tumor characterized by biphasic mesenchymal and epithelial differentiation and is histologically classified into biphasic, monophasic spindle cell, and poorly differentiated subtypes. The monophasic spindle cell variant is particularly challenging to diagnose due to its overlap with other spindle cell tumors, including infantile fibrosarcoma (IFS), inflammatory myofibroblastic tumor (IMT), and malignant peripheral nerve sheath tumor (MPNST). Over 90% of SS harbor the characteristic t(X;18) (p11.2; q11.2) translocation, resulting in an SS18::SSX fusion.1 The tumor typically occurs in the deep soft tissues near joints, especially around the knee; however, despite its name and frequent periarticular location, it does not originate from synovial tissue.2 Clinically, it occurs most frequently in adolescents and young adults, whereas pediatric presentations are relatively uncommon. On magnetic resonance imaging (MRI), SS typically appears as a well-defined, multilobulated soft-tissue mass with heterogeneous T2 signal and variable contrast enhancement.3

Loss of SMARCB1 (INI-1), a core component of the SWItch/Sucrose Non-Fermentable complex, is characteristic of several aggressive neoplasms (e.g., malignant rhabdoid tumor, epithelioid sarcoma).4 In contrast, SMARCB1 expression is generally preserved in SS. Anaplastic lymphoma kinase (ALK), a receptor tyrosine kinase implicated in cellular development and differentiation, is aberrantly expressed or rearranged in various tumors, including anaplastic large cell lymphoma and IMT. ALK positivity in SS is rare and may cause diagnostic confusion.

Here, we present a diagnostically challenging pediatric case of monophasic spindle cell SS with rare concurrent SMARCB1 loss and aberrant ALK expression.

A five-year-old boy presented with right plantar foot pain beginning in July 2024. An outside MRI documented a 2.0 × 1.5 × 0.8 cm soft-tissue mass in the right plantar region, but imaging files were unavailable for review. He underwent curative-intent excision at a local hospital, where the lesion was diagnosed as a malignant mesenchymal tumor. The slides were subsequently reviewed at our institution, and the patient was referred for further management.

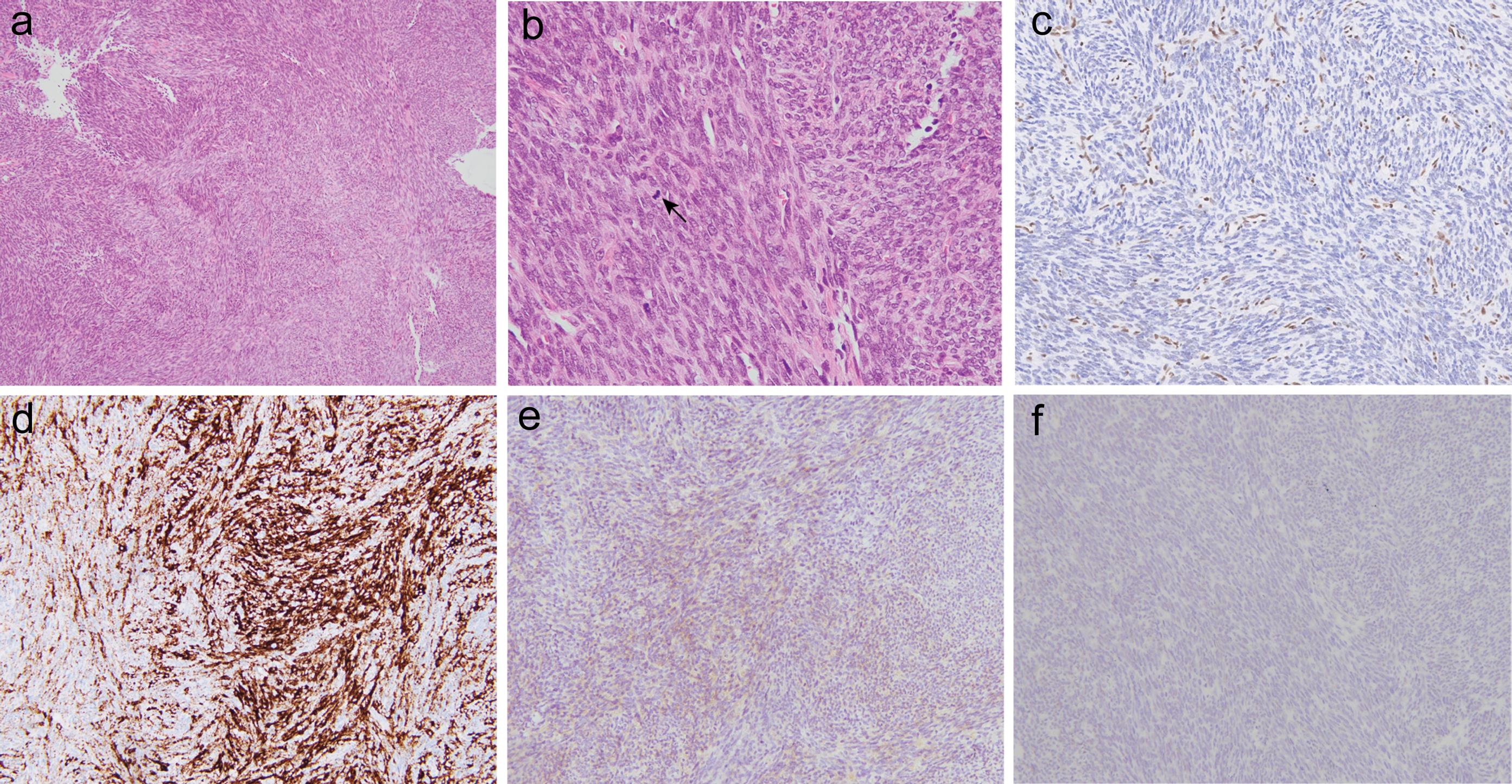
Histopathological examination revealed spindle-shaped cells with moderate atypia, arranged in fascicles or a herringbone pattern (Fig. 1a). The tumor cells exhibited scant cytoplasm and indistinct borders, with hyperchromatic oval nuclei and no marked pleomorphism. Mitotic figures were observed (Fig. 1b). Immunohistochemical staining showed that the tumor cells were diffusely positive for vimentin, focally positive for epithelial membrane antigen, focally and weakly positive for CD99 (Fig. 1e), and negative for cytokeratin, S100, SOX10, desmin, myogenin, MyoD1, H-caldesmon, CD34, WT-1, TLE-1 (Fig. 1f), STAT-6, and NTRK. The Ki-67 index was approximately 20%. SMARCB1 expression appeared completely lost in tumor cells (Fig. 1c). Strikingly, ALK immunostaining showed strong diffuse cytoplasmic positivity (Fig. 1d). However, ALK gene rearrangement was not detected by fluorescence in situ hybridization (FISH) (Fig. 2a). Moreover, FISH analysis for the ETV6-NTRK3 fusion gene t(12;15) showed negative results (Fig. 2b). For further diagnosis, targeted RNA sequencing using a next-generation sequencing (NGS) panel for soft tissue and bone tumors was performed, which included 110 tumor-associated fusion genes and identified the SS18::SSX2 fusion. This was confirmed by SS18 break-apart FISH, which demonstrated gene rearrangement (Fig. 2c). Based on the morphological features, immunoprofile, and molecular findings, a final diagnosis of SS with SMARCB1 loss and aberrant ALK expression was made.

Histopathological and immunohistochemical features of the tumor.
Fig. 1  Histopathological and immunohistochemical features of the tumor.

(a) H&E staining showing tumor cells arranged in fascicles or a herringbone pattern (4×). (b) H&E staining at higher magnification reveals oval nuclei with inconspicuous nucleoli and a mitotic figure (arrow) (20×). (c–f) Consecutive immunohistochemical staining shows (c) complete loss of SMARCB1 (ZSGB-BIO, ZA-0696) in tumor nuclei (stromal cells as an internal control), (d) diffuse cytoplasmic positivity for anaplastic lymphoma kinase (ALK) (Ventana, clone D5F3; Roche, 790-4794), (e) focal weak membranous expression of CD99 (ZSGB-BIO, ZM-0296), and (f) negativity for TLE1 (LBP, LBP1-TLE1) (all 20×). CD, cluster of differentiation 99; H&E, hematoxylin and eosin.

FISH analysis for gene rearrangements.
Fig. 2  FISH analysis for gene rearrangements.

FISH was performed on FFPE tumor sections using break-apart probes (100×). Nuclei were counterstained with DAPI (blue). (a) ALK break-apart FISH was negative (<15% split signals, n = 100). (b) ETV6-NTRK3 fusion FISH was negative (<15% of cells with fused signals, n = 100). (c) SS18 break-apart FISH was positive (>15% split signals, n = 100). ALK, anaplastic lymphoma kinase; DAPI, 4′,6-diamidino-2-phenylindole; FFPE, formalin-fixed, paraffin-embedded; FISH, fluorescence in situ hybridization.

Postoperatively, the patient received systemic chemotherapy consisting of cyclophosphamide, doxorubicin, and vincristine, followed by ifosfamide and etoposide, and subsequently underwent planned adjuvant radiotherapy. He then entered maintenance therapy with vincristine or vindesine plus anlotinib to reduce recurrence risk. Regular laboratory tests, infection prophylaxis, and imaging surveillance were performed during follow-up.

In addition, targeted DNA-based NGS was performed using a panel that includes 52 genes closely related to the diagnosis, prognosis, and treatment of soft tissue and bone tumors. The panel specifically included SMARCB1 and ALK. The assay detects single-nucleotide variants, insertions and deletions (indels), copy number variations, microsatellite instability, and gene rearrangements, including NTRK1, NTRK2, and NTRK3. No additional pathogenic alterations were identified. The panel also incorporated 28 genes related to chemotherapy response and toxicity to assess potential drug sensitivity, but no clinically significant variants were detected.

The differential diagnosis of pediatric spindle cell tumors is challenging due to overlapping histological features and immunoprofiles. This diagnostic challenge is especially evident in monophasic spindle cell SS due to the absence of biphasic features. In this case, apparent SMARCB1-deficient expression and diffuse ALK overexpression further complicated interpretation. Differential diagnoses included IFS, IMT, spindle cell rhabdomyosarcoma, malignant rhabdoid tumor, epithelioid sarcoma, MPNST, epithelioid MPNST, and leiomyosarcoma.

IFS was initially considered based on the patient’s age and spindle cell morphology. However, the absence of ETV6::NTRK3 fusion and the presence of apparent SMARCB1 loss argued against IFS.5 IMT was also unlikely due to the lack of a prominent inflammatory background and absence of ALK rearrangement, despite diffuse ALK immunoreactivity. Therefore, further molecular evaluation was warranted.6 Negative staining for muscle markers excluded rhabdomyosarcoma, while the loss of SMARCB1 expression raised concern for malignant rhabdoid tumor and epithelioid sarcoma; however, the tumor lacked rhabdoid or epithelioid cytological features typically seen in these entities. MPNST was ruled out because of the negative expression of neural markers (S-100 and SOX10). Epithelioid MPNST may be considered in cases with SMARCB1-deficient expression; however, diffuse S100/SOX10 positivity and absence of SS18::SSX fusion help distinguish it from SS. Leiomyosarcoma was excluded due to the absence of smooth muscle markers such as desmin, actin, and H-caldesmon, which were negative in this case.

In our case, SMARCB1 immunohistochemistry showed apparent loss, yet targeted DNA sequencing did not reveal SMARCB1 deletion or inactivating alterations, indicating marked protein reduction rather than true genomic loss. This “functional depletion” is a characteristic pattern in SS, in which SMARCB1 transcript levels are preserved, while protein expression is reduced, likely resulting from post-transcriptional or post-translational regulation.7 The SS18::SSX fusion oncoprotein may disrupt the SWItch/Sucrose Non-Fermentable complex stability, further reducing SMARCB1 levels. Recognition of this pattern is diagnostically important to avoid misinterpretation as a true SMARCB1-deficient neoplasm.8

Diffuse ALK immunostaining is uncommon in SS, with a reported prevalence of ∼14%,9 and may lead to diagnostic confusion with ALK-rearranged tumors such as IMT. Importantly, ALK protein overexpression does not necessarily indicate an underlying ALK rearrangement; thus, molecular confirmation by FISH or NGS is essential. Emerging evidence shows that ALK overexpression can occur without rearrangement through mechanisms such as ALK copy-number gain, activating point mutations, or alternative transcriptional initiation,10 representing secondary, nonspecific upregulation rather than true ALK-driven oncogenesis. In our case, no ALK rearrangement or copy-number gain was detected, supporting a non-genomic and biologically limited basis for the diffuse ALK positivity.

Taken together, the exceptionally rare combination of SMARCB1 loss and aberrant ALK expression, both of which are uncommon in SS, led to significant diagnostic confusion by mimicking IFS and IMT. To our knowledge, this finding is extremely rare. This case highlights the crucial role of integrating immunohistochemistry and molecular testing in the differential diagnosis of pediatric spindle cell tumors and underscores the need for further studies to better understand the biological significance and clinical relevance of these uncommon immunophenotypic features in SS. Nevertheless, this report has several limitations. First, the preoperative MRI from the outside institution was unavailable, limiting a complete radiologic assessment. Second, as a single case, the clinical significance of concurrent SMARCB1 loss and diffuse ALK expression remains uncertain.

Declarations

Acknowledgement

None.

Ethics statement

This study was performed in accordance with the Declaration of Helsinki (as revised in 2024). This case report contains no identifiable patient information. Ethical approval for this study was granted by the Institutional Ethics Committee of the First Affiliated Hospital of Sun Yat-sen University, with a waiver of informed consent (Approval No. [2025]409).

Data sharing statement

All data supporting the findings of this study are included within the article, and no additional datasets were generated or analyzed.

Funding

This research received no specific funding.

Conflict of interest

Dr. Anjia Han is an editorial board member of Journal of Clinical and Translational Pathology. The authors declare no other conflicts of interest.

Authors’ contributions

Drafting of the manuscript (HW, JL), study design, supervision, and diagnosis (AH, HS). All authors approved the final version of the manuscript.

References

  1. Gazendam AM, Popovic S, Munir S, Parasu N, Wilson D, Ghert M. Synovial Sarcoma: A Clinical Review. Curr Oncol 2021;28(3):1909-1920 View Article PubMed/NCBI
  2. Stacchiotti S, Van Tine BA. Synovial Sarcoma: Current Concepts and Future Perspectives. J Clin Oncol 2018;36(2):180-187 View Article PubMed/NCBI
  3. Sedaghat M, Sedaghat S. Primary synovial sarcoma on MRI - a case series and review of the literature. Pol J Radiol 2023;88:e325-e330 View Article PubMed/NCBI
  4. Del Savio E, Maestro R. Beyond SMARCB1 Loss: Recent Insights into the Pathobiology of Epithelioid Sarcoma. Cells 2022;11(17):2626 View Article PubMed/NCBI
  5. Knezevich SR, McFadden DE, Tao W, Lim JF, Sorensen PH. A novel ETV6-NTRK3 gene fusion in congenital fibrosarcoma. Nat Genet 1998;18(2):184-187 View Article PubMed/NCBI
  6. Lovly CM, Gupta A, Lipson D, Otto G, Brennan T, Chung CT, et al. Inflammatory myofibroblastic tumors harbor multiple potentially actionable kinase fusions. Cancer Discov 2014;4(8):889-895 View Article PubMed/NCBI
  7. Dermawan JK, Singer S, Tap WD, Nacev BA, Chi P, Wexler LH, et al. The genetic landscape of SMARCB1 alterations in SMARCB1-deficient spectrum of mesenchymal neoplasms. Mod Pathol 2022;35(12):1900-1909 View Article PubMed/NCBI
  8. Kohashi K, Oda Y, Yamamoto H, Tamiya S, Matono H, Iwamoto Y, et al. Reduced expression of SMARCB1/INI1 protein in synovial sarcoma. Mod Pathol 2010;23(7):981-990 View Article PubMed/NCBI
  9. Fleuren EDG, Vlenterie M, van der Graaf WTA, Hillebrandt-Roeffen MHS, Blackburn J, Ma X, et al. Phosphoproteomic Profiling Reveals ALK and MET as Novel Actionable Targets across Synovial Sarcoma Subtypes. Cancer Res 2017;77(16):4279-4292 View Article PubMed/NCBI
  10. Holla VR, Elamin YY, Bailey AM, Johnson AM, Litzenburger BC, Khotskaya YB, et al. ALK: a tyrosine kinase target for cancer therapy. Cold Spring Harb Mol Case Stud 2017;3(1):a001115 View Article PubMed/NCBI

About this Article

Cite this article
Wei H, Liang J, Shi H, Han A. Pediatric Synovial Sarcoma with SMARCB1 Loss and Aberrant ALK Expression: A Diagnostic Pitfall Necessitating Molecular Confirmation. J Clin Transl Pathol. 2025;5(4):162-164. doi: 10.14218/JCTP.2025.00044.
Copy Export to RIS Export to EndNote
Article History
Received Revised Accepted Published
October 13, 2025 December 9, 2025 December 15, 2025 December 26, 2025
DOI http://dx.doi.org/10.14218/JCTP.2025.00044