Home
JournalsCollections
For Authors For Reviewers For Editorial Board Members
Article Processing Charges Open Access
Ethics Advertising Policy
Editorial Policy Resource Center
Company Information Contact Us Membership Collaborators Partners
OPEN ACCESS

Identification of Antralization-specific Factors in Peripheral Blood and Gastric Mucosa of Patients with Upper Gastrointestinal Symptoms: A Prospective Study

  • Zhi-Ning Ye1,2,3,#,
  • Lin-Gui Huang1,2,#,
  • Ran Zhang1,2,
  • Wen-Rui Xie1,2,
  • Li-Hao Wu1,2,
  • Lan Li1,2,
  • Harry Hua-Xiang Xia1,2,*  and
  • Xing-Xiang He1,2,* 
Cancer Screening and Prevention   2025;4(3):137-147

doi: 10.14218/CSP.2025.00016

Received:

Revised:

Accepted:

Published online:

 Author information

Citation: Ye ZN, Huang LG, Zhang R, Xie WR, Wu LH, Li L, et al. Identification of Antralization-specific Factors in Peripheral Blood and Gastric Mucosa of Patients with Upper Gastrointestinal Symptoms: A Prospective Study. Cancer Screen Prev. 2025;4(3):137-147. doi: 10.14218/CSP.2025.00016.

Abstract

Background and objectives

Antralization is considered a critical, reversible stage preceding gastric cancer. However, available biomarkers for identifying antralization are lacking. This study aimed to explore antralization-specific biomarkers in peripheral blood and gastric mucosa.

Methods

In this prospective cohort study, adult patients presenting with upper gastrointestinal symptoms were enrolled and categorized into antralization and non-antralization groups based on pathological examination of gastric mucosa. Helicobacter pylori (H. pylori) infection was detected using the 13C-urea breath test, rapid urease test, and/or H. pylori serological test. Blood samples and gastric biopsies were collected for biomarker analysis.

Results

Of the 92 patients studied, 42 (45.7%) were diagnosed with H. pylori infection and 61 (66.3%) with antralization. The rate of H. pylori infection and the incidence of acid reflux were higher in the antralization group than in the non-antralization group (both P < 0.05). Patients with antralization had higher plasma lymphocyte counts and lower serum levels of lipopolysaccharide (both P < 0.05). The positive rates and intensity of trefoil factor-2 and mucin (MUC) 6 expression were higher, whereas the positive rate and intensity of MUC5AC expression were lower in the incisura and body mucosa with antralization compared with those without antralization (all P < 0.05). Additionally, the intensity of MUC5B expression was higher in the gastric body mucosa with antralization than in those without antralization (P < 0.05).

Conclusions

Increased lymphocyte counts and decreased lipopolysaccharide levels in the blood, along with increased expression of trefoil factor-2, MUC6, and MUC5B and decreased MUC5AC expression in the proximal gastric mucosa, appear to be antralization-specific.

Keywords

Antralization, Helicobacter pylori, Antralization-specific factors, Lymphocyte, Lipopolysaccharide, Trefoil factor-2, Mucin 6, Mucin 5AC, Mucin5B

Introduction

Gastric cancer ranks fifth in incidence and fourth in mortality among cancers globally, according to the latest estimates from the International Agency for Research on Cancer.1 According to Correa’s model, the development of gastric cancer, specifically intestinal-type gastric cancer, is a multistep process progressing from normal gastric mucosa to acute and chronic superficial gastritis, atrophic gastritis, intestinal metaplasia, dysplasia, and subsequently early gastric cancer.2 It is now widely accepted that Helicobacter pylori (H. pylori) infection plays an initiating and critical role in Correa’s cascade of gastric carcinogenesis.

Antralization, also known as spasmolytic polypeptide-expressing metaplasia, refers to gastric mucosal transformation from transitional or body type to antral type and is strongly associated with precancerous lesions, including gastric atrophy, intestinal metaplasia, and gastric cancer.3–9 Previous studies have shown that antralization is associated with H. pylori infection and can be reversed in a proportion of patients after H. pylori eradication,7 which is considered an important interventional measure for blocking Correa’s cascade in H. pylori-related intestinal-type gastric cancer.8–10 Therefore, as a reversible step occurring immediately prior to the “point of no return” in precancerous lesion development, antralization can serve as an important pathological hallmark for screening high-risk individuals for early intervention. Currently, histological examination of gastric tissue biopsies with hematoxylin and eosin staining is the gold standard for diagnosing antralization. However, traditional endoscopy is invasive and not an appropriate screening tool for the general population. Thus, simple, rapid, and inexpensive noninvasive surrogate methodologies that can accurately diagnose antralization of the proximal stomach are required. The first step is to identify biomarkers specific to antralization of the proximal gastric mucosa, followed by validating their diagnostic accuracy in noninvasive methods, such as hematological testing.

Currently, several biomarkers have been explored for their potential to diagnose antralization. It has been shown that spasmolytic polypeptide or trefoil factor (TFF) 2 and mucin (MUC) 6 in the gastric mucosa are specifically expressed in antralized mucosa,11 while others—such as MUC5AC, pepsinogen (PG) I, PGII, gastrin-17, pancreatic duodenal homeobox 1, caudal-related homeobox transcription factor 2, NK6 homeobox 1, paired box 6, B-cell lymphoma 2, BCL2-associated X protein, Ki-67, and inflammatory markers including interleukin-1β, tumor necrosis factor-α, and interleukin-4—may also assist in diagnosing antralization.3,11–14

It has been demonstrated that H. pylori infection stimulates a glandular response in the gastric mucosa, mainly characterized by parietal cell loss and subsequent glandular regeneration.15 Following H. pylori infection, various biological factors contribute to H. pylori-induced antralization leading to gastric cancer. For example, TFF2 and MUC6 are two main components mediating gastric mucosal barrier function, both playing important roles in protecting gastric mucosa from damage caused by bacteria, immunogenic substances, or other toxic contents.16,17 TFF2 and MUC6 are highly expressed in neck mucous cells and deep glands of the gastric incisura and body mucosa with antralization.11 In contrast, H. pylori adhesion-related MUC5AC, which is normally expressed in the gastric fovea of healthy individuals, exhibits lower expression in mucosa with antralization.18,19 MUC5B is mainly expressed in embryonic and fetal gastric tissues and is rarely expressed in the gastric tissues of healthy adults. However, it is significantly expressed in the gastric mucosa of patients with gastric cancer and in the saliva of patients with H. pylori infection.20,21 Considering the specific associations of MUC5B with gastric cancer and H. pylori infection, it is necessary to explore the expression profile of MUC5B in mucosa containing precancerous lesions, particularly in relation to antralization and H. pylori infection.

More importantly, a previous study evaluated the diagnostic value of potential serum biomarkers for antralization but observed no association when serum levels of factors such as PGI, PGII, TFF2, and TFF3 were examined.22 However, no further studies have been conducted to identify antralization-specific hematological parameters (e.g., inflammatory factors and gastrointestinal barrier function indicators).

Therefore, the aim of this prospective study was to determine the clinical characteristics of antralization and to further identify antralization-specific biomarkers in blood and gastric tissues of patients with upper gastrointestinal symptoms.

Materials and methods

Patients

This was a prospective study of adult patients scheduled to undergo upper endoscopy at the First Affiliated Hospital of Guangdong Pharmaceutical University between March 1, 2019, and October 1, 2020. Eligible patients were included if they met the following criteria: 1) aged between 18 and 75 years; 2) scheduled to undergo upper endoscopy due to upper gastrointestinal symptoms, such as upper abdominal pain, bloating, early satiety, belching, nausea, vomiting, or other upper abdominal discomfort; and 3) voluntarily agreed to participate in this clinical study by providing written informed consent. Patients were excluded if they met any of the following criteria: 1) the scheduled upper endoscopy was canceled, or gastric biopsies were not taken or histologically examined according to the study protocol; or 2) had a history of, or current findings on upper endoscopy indicating, peptic ulcer disease, upper gastrointestinal bleeding, suspected upper gastrointestinal malignancy, or previous gastric surgery.

The enrolled patients were classified into an antralization group and a non-antralization group according to the pathological examination of gastric incisura and body mucosa. Differences in various clinical parameters between the two groups were then compared (Fig. 1).

Enrollment flowchart of participants included in the study.
Fig. 1  Enrollment flowchart of participants included in the study.

13C-UBT, 13C-urea breath test; H. pylori, Helicobacter pylori.

Sample collection

Patients’ blood samples were collected prior to the upper endoscopy and subjected to routine blood testing. Hematological parameters, including white blood cells, lymphocytes, monocytes, and reticulocytes, were assayed. In addition, the blood samples were used for gastric function tests (including gastrin-17, PGI, PGII, and PGI/PGII ratio), intestinal barrier function tests (including diamine oxidase, D-lactate, and lipopolysaccharide (LPS)), and a serological test for H. pylori infection. During the upper endoscopy, one biopsy specimen was obtained from each of the gastric antrum, incisura, and lesser curvature of the body (4 cm from the incisura) for histological examination and immunohistochemical analysis. In addition, one more biopsy specimen was taken from the gastric antrum for a routine rapid urease test.

Evaluation of gastrointestinal symptoms

Gastrointestinal symptoms were evaluated as previously described.23 In addition to the symptoms included in the Chinese version of the Gastrointestinal Symptom Scale,23 symptoms such as dysphagia, hematochezia, weight loss, and anemia were also evaluated in this study to assist in patient screening. Each symptom was graded on a severity scale and scored on a 1–4 Likert scale, with higher scores representing more severe symptoms.

Detection of hematological parameters and diagnosis of H. pylori infection

Hematological parameters were tested using an automated blood cell analyzer, the HIT-92A fluorescent immunoanalyzer (Biohan Biotechnology Co., Ltd., Hefei, China), and the JY-DLT intestinal barrier function biochemical index analysis system (Beijing Zhongsheng Jinyu Diagnostic Technology Co., Ltd., Beijing, China), according to the respective manufacturers’ instructions.

H. pylori infection was detected using a 13C-urea breath test (13C-UBT), rapid urease test, pathological examination, and serological testing. Specifically, patients undergoing the 13C-UBT orally ingested a 13C-urea diagnostic reagent (Beijing Boran Pharmaceutical Co., Ltd., Beijing, China), followed by breath sampling and analysis using a 13C breath test analyzer (Guangzhou Richen-Frinse Optical & Electronic Co., Ltd., Guangzhou, China). H. pylori infection was determined based on the difference in δ-values measured before and after reagent administration. The rapid urease test was performed using a commercially available detection kit (Fujian Sanqiang Biochemical Co., Ltd., Fujian, China) based on a colorimetric assay. Gastric biopsy specimens were incubated with the reagent solution, and the presence of H. pylori was determined by colorimetric changes around the biopsy tissues. Pathological diagnosis was established by histological examination of gastric biopsy specimens with hematoxylin–eosin staining, and H. pylori was identified microscopically by its characteristic dark-blue, curved, or S-shaped bacteria. Serological detection of H. pylori antibodies was performed using an enzyme-linked immunosorbent assay kit (Beijing Wantai Biological Pharmacy Enterprise Co., Ltd., Beijing, China), and infection status was diagnosed according to the manufacturer’s standard criteria. Patients who tested positive with 13C-UBT, rapid urease test, and/or pathological examination, or who had never received H. pylori eradication therapy but tested positive with the serological test, were defined as having an active H. pylori infection. In addition, patients previously diagnosed with H. pylori infection but testing negative with 13C-UBT, rapid urease test, and pathological examination within the last week were defined as having a past H. pylori infection.

Histological examination and immunohistochemical analysis

Gastric specimens were sectioned (4–6 µm thick) and subjected to hematoxylin–eosin staining. Antralization was defined as the transformation of gastric mucosa from transitional or body-type (characterized by fundic glands, mainly composed of chief cells and parietal cells) to antral-type (characterized by pyloric glands, predominantly composed of vacuolated mucous cells), particularly in the gastric incisura and body mucosa (Fig. S1a–d).4 In addition, precancerous lesions, including atrophic gastritis, intestinal metaplasia, and dysplasia, were assessed according to the Updated Sydney System.24

Sections of gastric specimens taken from the antrum, incisura, and body were also subjected to immunohistochemical analysis. Briefly, the sections underwent deparaffinization, hydration, endogenous peroxidase depletion, and antigen retrieval. They were then incubated at 37°C with a primary antibody against TFF2 (Proteintech Group, USA), MUC6 (Abcam, UK), MUC5AC (Abcam, UK), or MUC5B (Abcam, UK), followed by incubation with the corresponding secondary antibody, as specified in the manufacturers’ instructions. After development and counterstaining, the sections were evaluated using a semi-quantitative scoring method as previously described.11,20

Staining intensity was scored as follows: unstained = 0, light brown = 1, brown = 2, and dark brown = 3. Cells exhibiting staining intensity greater than 1 were defined as positively stained, while cells with a staining intensity of 0 or 1 were considered negatively stained.7 Expression was defined as present for TFF2 and MUC6 when positively stained cells in the deep glands accounted for more than 5% of the gland area, and for MUC5AC and MUC5B when stained cells represented more than 5% of the visual field.11,20

Statistical analysis

For normally distributed measurement data, Student’s t-test was applied to compare two groups. Analysis of variance was used for comparisons among multiple groups, with the least significant difference test applied for pairwise comparisons when a significant difference was observed. For measurement data not normally distributed, the rank-sum test was used. The Chi-square test or Fisher’s exact test, as appropriate, was used for categorical data. Multivariate logistic regression analysis (stepwise regression) was performed for all variables with a P-value ≤ 0.10 in the univariate analysis to identify independent factors associated with antralization. Odds ratios (ORs) and confidence intervals (CIs) were calculated. The area under the curve (AUC) was calculated to evaluate the diagnostic ability of each hematological parameter for antralization, and corresponding cut-off values were calculated for parameters with diagnostic significance. All data were analyzed using SPSS software (version 19.0; IBM, Armonk, NY, USA).

Results

Demographic and clinical characteristics of patients

A total of 92 patients (38 males and 54 females), with a mean age of 53.25 ± 11.27 years (range: 23–72 years), were eligible for the study and all underwent upper endoscopy (Fig. 1). Epigastric pain and stomach bloating were the most frequent gastrointestinal symptoms, each occurring in 39.1% of patients, followed by increased defecation (35.9%), decreased defecation (35.9%), loose stools (30.4%), hard stools (30.4%), eructation (26.1%), borborygmus (22.8%), increased flatus (21.7%), incomplete defecation (21.7%), epigastric tightening (20.7%), acid reflux (18.5%), hematochezia (12.0%), anorexia (10.9%), nausea (9.8%), heartburn (8.7%), vomiting (4.4%), and dysphagia (3.2%). Weight loss and anemia were present in 12.0% and 2.2% of patients, respectively. A total of 42 (45.7%) patients were diagnosed with H. pylori infection, including 25 (27.2%) with active infection and 17 (18.5%) with a history of previous infection.

Antralization in patients with upper gastrointestinal symptoms and its associated factors

According to pathological examination, antralization was present in 61 (66.3%) patients: 15 at both the gastric incisura and body, 37 at the gastric incisura alone, and nine at the body alone. Precancerous lesions, including atrophic gastritis, intestinal metaplasia, and dysplasia, were detected in 22 (23.9%) patients. Specifically, the prevalence rates of atrophic gastritis, intestinal metaplasia, and dysplasia at the gastric antrum, incisura, and body were 37.5% (n = 3), 47.1% (n = 8), and 60.0% (n = 3) at the antrum; 50.0% (n = 4), 47.1% (n = 8), and 40.0% (n = 2) at the incisura; and 25.0% (n = 2), 23.5% (n = 4), and 0% (n = 0) at the body, respectively (Table 1). No overall or site-specific association was found between antralization and precancerous lesions at either the gastric incisura or body (Table 1). There were no significant differences in gender, age, height, weight, or body mass index between patients with and without antralization (Table 2). However, patients with precancerous lesions at any gastric site were significantly older than those without precancerous lesions (59.81 ± 6.33 years vs. 51.19 ± 11.71 years, P = 0.001) (Table 2).

Table 1

Histological correlation between antralization and precancerous lesions at the gastric incisura and body

Antralization at the incisura (n = 92)
Antralization at the body (n = 92)
Antralization at the incisura and/or body (n = 92)
With (n = 52)Without (n = 40)With (n = 24)Without (n = 68)With (n = 61)Without (n = 31)
Atrophic gastritis
  With (n = 8)4 (7.7)4 (10.0)4 (16.7)4 (5.9)6 (9.8)2 (6.5)
  Without (n = 84)48 (92.3)36 (90.0)20 (83.3)64 (94.1)56 (90.2)29 (93.5)
Intestinal metaplasia
  With (n = 17)7 (13.5)10 (25.0)5 (20.8)12 (17.6)10 (16.4)7 (22.6)
  Without (n = 75)45 (86.5)30 (75.0)19 (79.2)56 (82.4)51 (83.6)24 (77.4)
Dysplasia
  With (n = 5)3 (5.8)2 (5.0)3 (12.5)2 (2.9)4 (6.6)1 (3.2)
  Without (n = 87)49 (94.2)38 (95.0)21 (87.5)66 (97.1)57 (93.4)30 (96.8)
Precancerous lesion*
  With (n = 8)4 (7.7)4 (10.0)4 (16.7)4 (5.9)6 (9.8)2 (6.5)
  Without (n = 84)48 (92.3)36 (90.0)20 (83.3)64 (94.1)55 (90.2)29 (93.5)
Table 2

Associations of demographic and clinical characteristics with antralization and precancerous lesions

VariableAntralization
Precancerous lesions
With (n = 61)Without (n = 31)With (n = 22)Without (n = 70)
Gender
  Male21 (34.4)17 (54.8)11 (50.0)27 (38.6)
  Female40 (65.6)14 (45.2)11 (50.0)43 (61.4)
Age (years)53.3 ± 11.953.1 ± 10.159.8 ± 6.3*51.2 ± 11.7
Age groups (years)
  18–4514 (23.0)5 (16.1)0 (0.0)*19 (27.1)
  >4647 (77.0)26 (83.9)22 (100.0)51 (72.9)
  Height162.1 ± 7.7165.4 ± 9.6164.6 ± 8.8162.8 ± 8.4
  Weight63.1 ± 10.363.4 ± 13.765.0 ± 11.062.6 ± 11.7
  BMI24.0 ± 3.223.0 ± 3.823.9 ± 2.823.6 ± 3.6
Helicobacter pylori status
  Active infection19 (31.1)6 (19.4)7 (31.8)18 (25.7)
  Previous infection14 (23.0)3 (9.7)5 (22.7)12 (17.1)
  Infection combined33 (54.1)*9 (29.0)12 (54.5)30 (42.9)
  Without infection28 (45.9)22 (71.0)10 (45.5)40 (57.1)

The prevalence of antralization was 78.6% (33/42) in patients with active or previous H. pylori infection and 56.0% (28/50) in those without infection. Thus, the prevalence of active or previous H. pylori infection was significantly higher in patients with antralization than in those without (54.1% vs. 29.0%; OR = 2.88, 95% CI: 1.14–7.26, P = 0.028) (Table 2). In addition, acid reflux, defined as the presence of mild, moderate, or severe symptoms, was more common in patients with antralization than in those without (26.2% vs. 3.2%; OR = 10.67, 95% CI: 1.34–84.74, P = 0.007). No other symptoms were associated with antralization (Table S1).

Of the 92 patients, routine blood testing, gastric function tests, and intestinal barrier function tests prior to upper endoscopy were performed in 91 (61 with antralization and 30 without), 82 (53 with antralization and 29 without), and 82 (52 with antralization and 30 without) patients, respectively. The lymphocyte count was significantly higher in patients with antralization than in those without (2.02 ± 0.53 × 109/L vs. 1.69 ± 0.51 × 109/L, P = 0.006). The lymphocyte ratio also appeared higher in patients with antralization than in those without (0.34 ± 0.07% vs. 0.31 ± 0.07%, P = 0.066) (Fig. 2a and b). Further analysis showed that the AUC of lymphocyte count was 0.657 (95% CI: 0.500–0.738, P = 0.066). The sensitivity and specificity of lymphocyte count for predicting antralization were 93.4% and 36.7%, respectively, at a cut-off value of 1.33 × 109/L. The AUC of lymphocyte ratio was 0.619 (95% CI: 0.535–0.779, P = 0.015), with sensitivity and specificity of 32.8% and 90.0%, respectively, at a cut-off value of 0.38%. The serum LPS level was significantly lower in patients with antralization than in those without (9.42 ± 2.37 U/L vs. 10.35 ± 1.71 U/L, P = 0.007) (Fig. 2c). The AUC of LPS was 0.680 (95% CI: 0.558–0.802, P = 0.007), with sensitivity and specificity for predicting antralization of 55.8% and 76.7%, respectively, at a cut-off value of 9.60 U/L. No significant differences were observed between the two groups in white blood cell count, platelet larger cell ratio, platelet larger cell count, monocyte ratio, monocyte count, low fluorescence reticulocyte percentage, high fluorescence reticulocyte percentage, red blood cell distribution width, red blood cell count, hematocrit, lymphocyte ratio, lymphocyte count, mean corpuscular hemoglobin, mean corpuscular hemoglobin concentration, mean corpuscular volume, mean platelet volume, basophil ratio, basophil count, eosinophil ratio, eosinophil count, reticulocyte percentage, reticulocyte absolute value, hemoglobin concentration, platelet distribution width, platelet count, thrombocrit, neutrophil ratio, neutrophil count, middle fluorescence reticulocyte percentage, gastrin-17, PGI, PGII, PGI/PGII ratio, diamine oxidase, D-lactate, and LPS (all P > 0.05) (Table S2).

Blood levels of lymphocytes and lipopolysaccharide in patients with antralization and those without.
Fig. 2  Blood levels of lymphocytes and lipopolysaccharide in patients with antralization and those without.

Multivariate logistic regression analysis, including H. pylori infection (active and previous), acid reflux, lymphocyte count, lymphocyte proportion, and serum LPS, revealed that H. pylori infection (OR = 3.61, 95% CI: 1.31–9.97, P = 0.013) and increased lymphocyte count (OR = 3.28, 95% CI: 1.14–9.42, P = 0.027) were independent factors associated with antralization.

Associations of gastric expression of TFF2, MUC6, MUC5AC, and MUC5B with antralization

TFF2 expression was observed in the foveola, neck mucous cells, and deep glands of normal gastric antral mucosa, and in the foveola and neck mucous cells of normal gastric incisura and body mucosa (Fig. 3a–c). TFF2 was highly expressed in the deep glands of the gastric incisura and body mucosa with antralization (Fig. 3d). However, in mucosa with precancerous lesions such as atrophic gastritis, intestinal metaplasia, and dysplasia, TFF2 expression was restricted to the non-precancerous areas and absent in the lesion areas (Fig. 3e and f). The positive rate of TFF2 expression was significantly higher in antralized mucosa than in non-antralized mucosa at both the gastric incisura (82.7% vs. 20.0%, P < 0.001) and gastric body (60.0% vs. 10.4%, P < 0.001) (Fig. 4). Likewise, the intensity of TFF2 expression was significantly higher in mucosa with antralization than in that without at both the gastric incisura (P < 0.001) and body (P < 0.001) (Fig. S2).

Immunohistochemical staining of trefoil factor 2 (TFF2) in normal gastric mucosa and gastric mucosa with antralization or precancerous lesions.
Fig. 3  Immunohistochemical staining of trefoil factor 2 (TFF2) in normal gastric mucosa and gastric mucosa with antralization or precancerous lesions.

a–c: TFF2 was expressed in the gastric fovea, neck mucous cells, and deep glands of normal gastric antrum mucosa (a), and in the gastric fovea and neck mucous cells of normal gastric incisura (b) and body mucosa (c). d: TFF2 was highly expressed in the gastric fovea, neck mucous cells, and some deep glands of the incisura mucosa with antralization. e & f: TFF2 expression was low in the incisura mucosa with intestinal metaplasia or dysplasia.

Gastric expression of trefoil factor 2 (TFF2) and mucins (MUC5AC, MUC6, and MUC5B) in patients with antralization and those without.
Fig. 4  Gastric expression of trefoil factor 2 (TFF2) and mucins (MUC5AC, MUC6, and MUC5B) in patients with antralization and those without.

a: Expression intensity of TFF2, MUC5AC, MUC6, and MUC5B in gastric incisura mucosal tissue. b: Expression intensity of TFF2, MUC5AC, MUC6, and MUC5B in gastric body mucosal tissue.

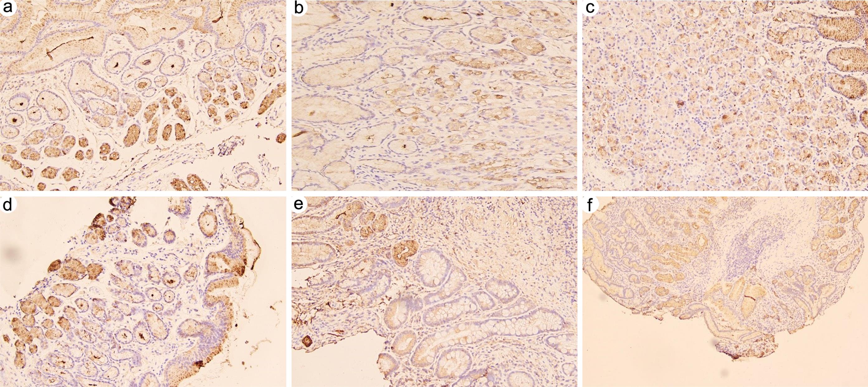
Similar to TFF2, MUC6 expression was detected in the neck mucous cells and deep glands of normal gastric antral mucosa, and in the neck mucous cells of normal gastric incisura and body mucosa, but not in the foveola of the gastric antrum, incisura, or body (Fig. 5a–c). In contrast, MUC6 was extensively expressed in the deep glands of the gastric incisura and body mucosa with antralization (Fig. 5d). In mucosa with precancerous lesions, MUC6 was expressed in non-precancerous areas but was weakly expressed or absent in the lesion areas (Fig. 5e and f). The positive rate of MUC6 expression was significantly higher in patients with antralization than in those without at both the gastric incisura (88.5% vs. 25.0%, P < 0.001) and body (76.0% vs. 14.9%, P < 0.001) (Fig. 4). The intensity of MUC6 expression was also significantly higher in the incisura and body mucosa with antralization compared to that without (both P < 0.001) (Fig. S2).

Immunohistochemical staining of mucin 6 (MUC6) in normal gastric mucosa and gastric mucosa with antralization or precancerous lesions.
Fig. 5  Immunohistochemical staining of mucin 6 (MUC6) in normal gastric mucosa and gastric mucosa with antralization or precancerous lesions.

a–c: Significant MUC6 expression was observed in the gastric neck mucous cells and deep glands of the gastric antrum mucosa (a), and in the gastric neck mucous cells of the normal gastric incisura (b) and body mucosa (c). d: MUC6 was significantly expressed in neck mucous cells and some deep glands of the mucosa with antralization at the gastric incisura. e & f: MUC6 expression was low in the gastric incisura mucosa with intestinal metaplasia or dysplasia.

MUC5AC was strongly expressed in the gastric foveola and some neck cells of normal gastric antrum, incisura, and body mucosa (Fig. 6a–c). However, its expression was reduced in mucosa with antralization or precancerous lesions compared to normal mucosa at the gastric incisura and body (Fig. 6d–f). The positive rate of MUC5AC expression was significantly lower in patients with antralization than in those without at both the gastric incisura (82.7% vs. 97.5%, P = 0.039) and body (76.0% vs. 94.0%, P = 0.022) (Fig. 4). Moreover, the intensity of MUC5AC expression was significantly lower in the gastric body mucosa with antralization compared to that without (P = 0.016), but no significant difference was observed at the gastric incisura (Fig. S2).

Immunohistochemical staining of mucin 5AC (MUC5AC) in normal gastric mucosa and gastric mucosa with antralization or precancerous lesions.
Fig. 6  Immunohistochemical staining of mucin 5AC (MUC5AC) in normal gastric mucosa and gastric mucosa with antralization or precancerous lesions.

a–c: Significant expression of MUC5AC was observed in the gastric fovea of normal gastric antrum (a), incisura (b), and body (c) mucosa. d–f: Low expression of MUC5AC was observed in gastric mucosa with antralization (d, gastric incisura mucosa), intestinal metaplasia (e, gastric body mucosa), and dysplasia (f, gastric body mucosa).

MUC5B was barely expressed in the gastric antrum and incisura mucosa, regardless of whether the mucosa was normal, antralized, or had precancerous lesions (Fig. 7a–f). There was no significant difference in the positive rate of MUC5B expression between mucosa with and without antralization at the gastric incisura or body (Fig. 4). However, the intensity of MUC5B expression was significantly higher in gastric body mucosa with antralization than in that without (P = 0.037), but no significant difference was observed at the gastric incisura (Fig. S2).

Immunohistochemical staining of mucin 5B (MUC5B) in normal gastric mucosa and gastric mucosa with antralization or precancerous lesions.
Fig. 7  Immunohistochemical staining of mucin 5B (MUC5B) in normal gastric mucosa and gastric mucosa with antralization or precancerous lesions.

a–c: MUC5B was expressed at a low level in normal gastric antrum (a), incisura (b), and body (c) mucosa. d: MUC5B was highly expressed in gastric mucosa with antralization (gastric body mucosa). e & f: MUC5B was expressed at a low level in gastric mucosa with intestinal metaplasia (e, gastric body mucosa) and dysplasia (f, gastric incisura mucosa).

Discussion

In the present study, antralization was observed in the proximal stomach, particularly at the gastric incisura, in 66.3% of patients. H. pylori infection was positively associated with antralization; however, there was no topographic association between antralization and precancerous lesions. Acid reflux symptoms, increased plasma lymphocyte counts, and decreased serum LPS levels were identified as antralization-specific clinical and laboratory indicators. In addition, the mucosal expression of TFF2, MUC6, MUC5AC, and MUC5B in the gastric incisura or body was associated with antralization.

Previous studies have demonstrated that H. pylori infection is associated with antralization.7,25 In the present study, only 27.2% of patients with GI symptoms were diagnosed with active H. pylori infection, which is significantly lower than the estimated infection rate in China (∼50%) reported by Ren et al.26 Unlike previous studies,7,25 no positive association was observed between active H. pylori infection and antralization. However, when we investigated the history of H. pylori infection, 17 (18.5%) patients were found to have had previous H. pylori infection, which was eradicated or no longer detectable. We then found that combined H. pylori infection (including both active and past infection) status was positively associated with antralization. Further analysis showed that H. pylori infection was an independent risk factor for antralization. These findings suggest that both active and past H. pylori infections should be taken into account when assessing the association between H. pylori infection and antralization.

Patients with antralization appeared more likely to experience acid reflux, which may be associated with abnormal acid secretion. Previous studies have shown that H. pylori eradication therapy leads to a transient increase in acid secretion and may even induce acid reflux-related disease.27,28 As mentioned above, a considerable proportion of patients with antralization in this study had a history of H. pylori eradication, which may be an important factor contributing to acid reflux in these patients. However, this hypothesis requires confirmation in further studies.

To explore antralization-specific, especially non-invasive, biomarkers that could be applied in rapid tests for diagnosis, we investigated the associations between hematological parameters and antralization. We identified that lymphocyte count, lymphocyte ratio, and LPS could serve as possible hematological markers for antralization, with lymphocyte count identified as an independent predictor. Previous studies have shown that antralization is closely associated with inflammation caused by macrophages and inflammatory mediators such as tumor necrosis factor-α, which may further promote progression from antralization to gastric cancer.29–31 Furthermore, Helmin-Basa et al.29 found that chronic gastritis development was associated with abnormal peripheral blood lymphocyte proliferation, with T and B lymphocytes being positively associated with H. pylori-infected gastritis and non-H. pylori-infected gastritis, respectively. Therefore, increased plasma lymphocyte count and ratio may be associated with the development of chronic gastritis and subsequent antralization. However, the sensitivity and specificity of plasma lymphocyte count or lymphocyte ratio as biomarkers for predicting antralization were insufficient according to AUC assessment, suggesting that lymphocyte count and ratio are not effective markers of antralization. In addition, serum LPS levels were lower in patients with antralization than in those without. Serum LPS is mainly derived from gut microbiota and can easily access the circulatory system through a leaky gastrointestinal barrier.30 Gastric acid in the gastric body is known to inhibit microbial overgrowth and the production of LPS.31 Based on the results of the present study, we propose that increased acid secretion in patients with antralization creates an unfavorable environment for gastric microbiota colonization, thereby reducing LPS production. Further AUC analysis confirmed that LPS was a protective factor against antralization and exhibited good predictive capability, suggesting that LPS may serve as a potential non-invasive biomarker for the clinical diagnosis or risk monitoring of antralization.

In the present study, we also examined the expression of TFF2, MUC6, and MUC5AC in mucosa with antralization and further confirmed their specificity as gastric biomarkers for antralization. Moreover, for the first time, we evaluated the expression of MUC5B in gastric mucosa with antralization and observed a positive association between the intensity of MUC5B expression and antralization in the gastric body mucosa, but not in the incisura mucosa. MUC5B is normally expressed exclusively in the gastric tissue of healthy embryos during gestational weeks 8 to 27, and is scarcely detectable in the normal adult stomach.20,32 However, a study by Van et al.33 reported a significant increase in proliferative cells within the antral glands of patients with H. pylori infection, accompanied by elevated MUC5B expression. Given the established association between antralization and H. pylori infection, the strong MUC5B expression observed in antralized gastric body mucosa may reflect abnormal proliferation of antral-type glandular cells induced by H. pylori infection. In contrast, proliferative antral-type cells are relatively scarce in the gastric incisura and body mucosa, which may account for the lower proportion of MUC5B-positive cells in these regions. Therefore, increased MUC5B expression in non-antral gastric mucosa, particularly in the gastric body, may serve as a potential histological marker of antralization, warranting further investigation. It should be acknowledged that, due to limited clinical samples, we were unable to effectively quantify or evaluate serum levels of TFF2, MUC6, MUC5AC, and MUC5B. Nevertheless, our study provides initial evidence supporting the potential association between biomarkers such as MUC5B and antralization, laying the foundation for future quantitative analyses or non-invasive serum screening studies.

There are several limitations in the present study. Firstly, the relatively small sample size and the lack of comparisons with healthy individuals may limit the accurate identification of specific biomarkers for antralization. Well-designed clinical studies with larger sample sizes are therefore essential. Moreover, integrated multi-omics approaches, such as transcriptomics, proteomics, and metabolomics, should be employed to further identify specific biomarkers associated with antralization. Secondly, our screening of serum biomarkers for antralization was limited. Despite these constraints, our study identified certain blood-based biomarkers with promising diagnostic value for predicting antralization, including lymphocyte counts and ratios, as well as LPS. Importantly, since these biomarkers are routinely measured and non-invasive, the development of screening models incorporating them may facilitate routine detection of antralization.

Conclusions

Increased lymphocyte counts, decreased serum LPS levels, increased expression of TFF2, MUC6, and MUC5B, and decreased expression of MUC5AC in proximal gastric mucosa appear to be antralization-specific. In addition, acid reflux is closely associated with antralization. Further studies evaluating additional hematological and molecular markers and their diagnostic performance for antralization are warranted.

Supporting information

Supplementary material for this article is available at https://doi.org/10.14218/CSP.2025.00016 .

Fig. S1

Representative pictures for histological characteristics of normal gastric antral, incisura, and body mucosa, as well as gastric mucosa with antralization at gastric incisura and body. a: Normal gastric antrum mucosa is enriched with spiral and branching pyloric glands, which are mainly composed of mucous cells, endocrine cells (G cells and D cells), and a few parietal cells; b: Normal gastric incisura mucosa is enriched with straight fundic glands, which are mainly composed of chief cells, parietal cells, endocrine cells, and a few mucous cells; c: Histological manifestations of normal gastric body mucosa are similar to those of normal gastric incisura mucosa; d: Mucosa with antralization is defined as the transformation of mucosal type at gastric incisura, body, and fundus from gastric-type to antral-type (indicated with black marks). Hematoxylin & eosin staining, Magnification  100.

(TIF)

Fig. S2

Gastric expression intensity of trefoil factor 2 (TFF2) and mucins (MUC5AC, MUC6, and MUC5B) in patients with antralization and those without. a: The expression intensity of TFF2, MUC5AC, MUC6, and MUC5B in gastric incisura mucosal tissue; b: The expression intensity of TFF2, MUC5AC, MUC6, and MUC5B in gastric body mucosal tissue.

(TIF)

Table S1

Distribution of gastrointestinal symptoms in patients with antralization.

(DOCX)

Table S2

Associations of hematologic parameters with antralization.

(DOCX)

Declarations

Acknowledgement

We thank Medjaden Inc. for scientific editing of this manuscript.

Ethical statement

The protocol of this study was approved by the Ethics Review Committee of the First Affiliated Hospital of Guangdong Pharmaceutical University and was conducted after registration in the Chinese Clinical Trial Registry (Registration number: ChiCTR1900021943). All experiments were performed in accordance with the 2024 Helsinki Declaration. All patients voluntarily participated in the study and provided written informed consent prior to the investigation.

Data sharing statement

The datasets relevant to this study are available upon request from the corresponding author.

Funding

This study was supported by the Guangzhou Science and Technology Key Point Project (No. 201803010037, No. 202103000036).

Conflict of interest

Dr. Harry Hua-Xiang Xia has been an Executive Associate Editor of Cancer Screening and Prevention since July 2025. Dr. Li-Hao Wu has been an Editorial Board Member of Cancer Screening and Prevention since March 2023. The other authors have no conflicts of interest to declare.

Authors’ contributions

Patient recruitment, experiments, data acquisition and analysis (ZNY, LGH), writing - original draft and revision for important intellectual content (ZNY), writing - original draft (LGH), sample collection and data acquisition (RZ, WRX, LHW, LL), study design and supervision, approval of the final version (HHXX, XXH), and data interpretation (ZNY, HHXX, XXH). All authors read and approved the manuscript.

References

  1. Bray F, Laversanne M, Sung H, Ferlay J, Siegel RL, Soerjomataram I, et al. Global cancer statistics 2022: GLOBOCAN estimates of incidence and mortality worldwide for 36 cancers in 185 countries. CA Cancer J Clin 2024;74(3):229-263 View Article PubMed/NCBI
  2. Correa P, Haenszel W, Cuello C, Zavala D, Fontham E, Zarama G, et al. Gastric precancerous process in a high risk population: cross-sectional studies. Cancer Res 1990;50(15):4731-4736 View Article PubMed/NCBI
  3. Xia HH, Kalantar JS, Talley NJ, Wyatt JM, Adams S, Chueng K, et al. Antral-type mucosa in the gastric incisura, body, and fundus (antralization): a link between Helicobacter pylori infection and intestinal metaplasia?. Am J Gastroenterol 2000;95(1):114-121 View Article PubMed/NCBI
  4. Ye ZN, Zhang R, He XX, HX Xia. Role of Helicobacter pylori-induced antralization in gastric carcinogenesis and its implications in clinical practice. Explor Res Hypothesis Med 2019;4(3):43-51 View Article PubMed/NCBI
  5. Li ML, Hong XX, Zhang WJ, Liang YZ, Cai TT, Xu YF, et al. Helicobacter pylori plays a key role in gastric adenocarcinoma induced by spasmolytic polypeptide-expressing metaplasia. World J Clin Cases 2023;11(16):3714-3724 View Article PubMed/NCBI
  6. Liu X, Ma Z, Deng Z, Yi Z, Tuo B, Li T, et al. Role of spasmolytic polypeptide-expressing metaplasia in gastric mucosal diseases. Am J Cancer Res 2023;13(5):1667-1681 View Article PubMed/NCBI
  7. van Diest PJ, van Dam P, Henzen-Logmans SC, Berns E, van der Burg ME, Green J, et al. A scoring system for immunohistochemical staining: consensus report of the task force for basic research of the EORTC-GCCG. European Organization for Research and Treatment of Cancer-Gynaecological Cancer Cooperative Group. J Clin Pathol 1997;50(10):801-804 View Article PubMed/NCBI
  8. Yan L, Chen Y, Chen F, Tao T, Hu Z, Wang J, et al. Effect of Helicobacter pylori Eradication on Gastric Cancer Prevention: Updated Report From a Randomized Controlled Trial With 26.5 Years of Follow-up. Gastroenterology 2022;163(1):154-162.e3 View Article PubMed/NCBI
  9. Lee YC, Chiang TH, Chou CK, Tu YK, Liao WC, Wu MS, et al. Association Between Helicobacter pylori Eradication and Gastric Cancer Incidence: A Systematic Review and Meta-analysis. Gastroenterology 2016;150(5):1113-1124.e5 View Article PubMed/NCBI
  10. Chen Y, Lu B. Eradicating Helicobacter pylori Reduces Gastric Cancer Risk: New Evidence. Cancer Screen Prev 2025;4(1):61-63 View Article PubMed/NCBI
  11. Xia HH, Yang Y, Lam SK, Wong WM, Leung SY, Yuen ST, et al. Aberrant epithelial expression of trefoil family factor 2 and mucin 6 in Helicobacter pylori infected gastric antrum, incisura, and body and its association with antralisation. J Clin Pathol 2004;57(8):861-866 View Article PubMed/NCBI
  12. Nam KT, O’Neal RL, Coffey RJ, Finke PE, Barker N, Goldenring JR. Spasmolytic polypeptide-expressing metaplasia (SPEM) in the gastric oxyntic mucosa does not arise from Lgr5-expressing cells. Gut 2012;61(12):1678-1685 View Article PubMed/NCBI
  13. Sakai H, Eishi Y, Li XL, Akiyama Y, Miyake S, Takizawa T, et al. PDX1 homeobox protein expression in pseudopyloric glands and gastric carcinomas. Gut 2004;53(3):323-330 View Article PubMed/NCBI
  14. Zhu S, Xia HH, Yang Y, Ma J, Chen M, Hu P, et al. Alterations of gastric homeoprotein expression in Helicobacter pylori infection, incisural antralisation, and intestinal metaplasia. Dig Dis Sci 2009;54(5):996-1002 View Article PubMed/NCBI
  15. Sáenz JB, Mills JC. Acid and the basis for cellular plasticity and reprogramming in gastric repair and cancer. Nat Rev Gastroenterol Hepatol 2018;15(5):257-273 View Article PubMed/NCBI
  16. Hoffmann W. TFF2, a MUC6-binding lectin stabilizing the gastric mucus barrier and more (Review). Int J Oncol 2015;47(3):806-816 View Article PubMed/NCBI
  17. Schmidt PH, Lee JR, Joshi V, Playford RJ, Poulsom R, Wright NA, et al. Identification of a metaplastic cell lineage associated with human gastric adenocarcinoma. Lab Invest 1999;79(6):639-646 View Article PubMed/NCBI
  18. Van den Brink GR, Tytgat KM, Van der Hulst RW, Van der Loos CM, Einerhand AW, Büller HA, et al. H pylori colocalises with MUC5AC in the human stomach. Gut 2000;46(5):601-607 View Article PubMed/NCBI
  19. Can N, Oz Puyan F, Altaner S, Ozyilmaz F, Tokuc B, Pehlivanoglu Z, et al. Mucins, trefoil factors and pancreatic duodenal homeobox 1 expression in spasmolytic polypeptide expressing metaplasia and intestinal metaplasia adjacent to gastric carcinomas. Arch Med Sci 2020;16(6):1402-1410 View Article PubMed/NCBI
  20. Pinto-de-Sousa J, Reis CA, David L, Pimenta A, Cardoso-de-Oliveira M. MUC5B expression in gastric carcinoma: relationship with clinico-pathological parameters and with expression of mucins MUC1, MUC2, MUC5AC and MUC6. Virchows Arch 2004;444(3):224-230 View Article PubMed/NCBI
  21. Silva DG, Stevens RH, Macedo JM, Hirata R, Pinto AC, Alves LM, et al. Higher levels of salivary MUC5B and MUC7 in individuals with gastric diseases who harbor Helicobacter pylori. Arch Oral Biol 2009;54(1):86-90 View Article PubMed/NCBI
  22. Kuo HY, Chang WL, Yeh YC, Tsai YC, Wu CT, Cheng HC, et al. Serum Level of Trefoil Factor 2 can Predict the Extent of Gastric Spasmolytic Polypeptide-Expressing Metaplasia in the H. pylori-Infected Gastric Cancer Relatives. Helicobacter 2017;22(1):e12320 View Article PubMed/NCBI
  23. Zhao W, Li Y, Xie R, Dong Y, Wei Y, Cheng C, et al. Real-World Evidence for COVID-19 Delta Variant’s Effects on the Digestive System and Protection of Inactivated Vaccines from a Medical Center in Yangzhou, China: A Retrospective Observational Study. Int J Clin Pract 2022;2022:7405448 View Article PubMed/NCBI
  24. Dixon MF, Genta RM, Yardley JH, Correa P. Classification and grading of gastritis. The updated Sydney System. International Workshop on the Histopathology of Gastritis, Houston 1994. Am J Surg Pathol 1996;20(10):1161-1181 View Article PubMed/NCBI
  25. Wada Y, Kushima R, Kodama M, Fukuda M, Fukuda K, Okamoto K, et al. Histological changes associated with pyloric and pseudopyloric metaplasia after Helicobacter pylori eradication. Virchows Arch 2020;477(4):489-496 View Article PubMed/NCBI
  26. Ren S, Cai P, Liu Y, Wang T, Zhang Y, Li Q, et al. Prevalence of Helicobacter pylori infection in China: A systematic review and meta-analysis. J Gastroenterol Hepatol 2022;37(3):464-470 View Article PubMed/NCBI
  27. el-Omar EM, Penman ID, Ardill JE, Chittajallu RS, Howie C, McColl KE. Helicobacter pylori infection and abnormalities of acid secretion in patients with duodenal ulcer disease. Gastroenterology 1995;109(3):681-691 View Article PubMed/NCBI
  28. Sugimoto M, Murata M, Mizuno H, Iwata E, Nagata N, Itoi T, et al. Endoscopic Reflux Esophagitis and Reflux-Related Symptoms after Helicobacter pylori Eradication Therapy: Meta-Analysis. J Clin Med 2020;9(9):3007 View Article PubMed/NCBI
  29. Helmin-Basa A, Michalkiewicz J, Gackowska L, Kubiszewska I, Eljaszewicz A, Mierzwa G, et al. Pediatric Helicobacter pylori infection and circulating T-lymphocyte activation and differentiation. Helicobacter 2011;16(1):27-35 View Article PubMed/NCBI
  30. Kindon H, Pothoulakis C, Thim L, Lynch-Devaney K, Podolsky DK. Trefoil peptide protection of intestinal epithelial barrier function: cooperative interaction with mucin glycoprotein. Gastroenterology 1995;109(2):516-523 View Article PubMed/NCBI
  31. Sarker SA, Ahmed T, Brüssow H. Hunger and microbiology: is a low gastric acid-induced bacterial overgrowth in the small intestine a contributor to malnutrition in developing countries?. Microb Biotechnol 2017;10(5):1025-1030 View Article PubMed/NCBI
  32. Buisine MP, Devisme L, Maunoury V, Deschodt E, Gosselin B, Copin MC, et al. Developmental mucin gene expression in the gastroduodenal tract and accessory digestive glands. I. Stomach. A relationship to gastric carcinoma. J Histochem Cytochem 2000;48(12):1657-1666 View Article PubMed/NCBI
  33. Van De Bovenkamp JH, Korteland-Van Male AM, Büller HA, Einerhand AW, Dekker J. Infection with Helicobacter pylori affects all major secretory cell populations in the human antrum. Dig Dis Sci 2005;50(6):1078-1086 View Article PubMed/NCBI

About this Article

Cite this article
Ye ZN, Huang LG, Zhang R, Xie WR, Wu LH, Li L, et al. Identification of Antralization-specific Factors in Peripheral Blood and Gastric Mucosa of Patients with Upper Gastrointestinal Symptoms: A Prospective Study. Cancer Screen Prev. 2025;4(3):137-147. doi: 10.14218/CSP.2025.00016.
Copy Export to RIS Export to EndNote
Article History
Received Revised Accepted Published
June 11, 2025 July 4, 2025 September 2, 2025 September 30, 2025
DOI http://dx.doi.org/10.14218/CSP.2025.00016