Home
JournalsCollections
For Authors For Reviewers For Editorial Board Members
Article Processing Charges Open Access
Ethics Advertising Policy
Editorial Policy Resource Center
Company Information Contact Us Membership Collaborators Partners
OPEN ACCESS

Combination of Baicalin and Gardenoside Mitigates Brain Damage by Lowering AQP-4 Expression Levels in Rat Model of Cerebral Ischemia/Reperfusion

  • Lu Zhao1,
  • Hanghang Zhang1,
  • Qianqian Sun1,
  • Andong Zhao1,
  • Chuan Wang1,2,
  • Jiping Liu1,2 and
  • Bin Wang1,2,* 
Future Integrative Medicine   2023;2(1):1-9

doi: 10.14218/FIM.2022.00036

Received:

Revised:

Accepted:

Published online:

 Author information

Citation: Zhao L, Zhang H, Sun Q, Zhao A, Wang C, Liu J, et al. Combination of Baicalin and Gardenoside Mitigates Brain Damage by Lowering AQP-4 Expression Levels in Rat Model of Cerebral Ischemia/Reperfusion. Future Integr Med. 2023;2(1):1-9. doi: 10.14218/FIM.2022.00036.

Abstract

Background and objectives

This study focused on the effects of the combination of baicalin (BC) and gardenoside (GD) (7:3) on blood-brain barrier (BBB) permeability, brain tissue water content, and aquaporin-4 (AQP-4) expression in rats with cerebral ischemia-reperfusion (I/R) injury. The previous research conducted by the investigators demonstrated that the combination of BC and GD (7:3) has anti-ischemic properties. Further research was conducted to determine the mechanism underlying the reduction in cerebral edema.

Methods

A total of 150 male Sprague-Dawley rats were randomly assigned to the following groups to receive treatment: sham, I/R, allyl chloride (AC), 30 mg/kg BC/GD, and 60 mg/kg BC/GD groups. Then, neurobehavioral scores were assigned to determine the effectiveness of the treatment. Evans blue (EB) was used to trace the BBB. The dry/wet method was used to evaluate the brain water content. Transmission electron microscopy was performed to examine the ultrastructure of the brain tissue. Immunohistochemistry and western blot were performed to detect the presence of AQP-4 in the hippocampus. Reverse transcription polymerase chain reaction (RT-PCR) was used to determine the amount of AQP-4 mRNA.

Results

The BBB permeability, brain water content, and AQP-4 expression were significantly greater in the CA1 area of the hippocampus in the I/R group, when compared to the sham group. Furthermore, the endoplasmic reticulum was dilated, and most of the nerve cells underwent degeneration or necrosis. After the BC/GD treatment, the markers improved in a dose-dependent manner.

Conclusions

BC/GD can inhibit the BBB permeability and cerebral edema by reducing the expression of AQP-4 in the CA1 area of the hippocampus in rats after I/R injury, improving the structure of nerve cells and exerting brain-protective effects.

Keywords

Baicalin, Gardenoside, Cerebral ischemia/reperfusion, AQP-4

Introduction

The second greatest cause of death worldwide is stroke, which is a very complicated condition. Pathologically, cerebral ischemia due to vascular occlusions has become the main cause of death after stroke. Early blood flow restoration through thrombolytic therapy is the common treatment for reducing morbidity and mortality.1–3 However, the reperfusion itself triggers additional injury to the ischemic penumbra, which is the region that borders the infarct core, leading to cerebral ischemia/reperfusion (I/R) injury. Brain cells require a constant supply of energy substrates to maintain the ionic equilibrium across neural membranes. Ischemia depletes the brain cells of energy substrates. Cell-membrane ionic pump failure would lead to brain edema (cytotoxic edema).4 The blood-brain barrier (BBB) would be harmed by the post-I/R secondary cerebral edema, resulting in brain edema (vasogenic edema),4 elevated intracranial pressure, and eventually, nerve cell necrosis. This type of damage is irreversible, and greatly affects health recovery after cerebral ischemia thrombolysis. Therefore, the best strategy to treat I/R injury may be to effectively reduce the cerebral edema.

Aquaporin-4 (AQP-4), which is a membrane protein involved in the transmembrane transfer of water, is expressed in astrocytes throughout the central nervous system in the brain, spinal cord and optic nerve, and is particularly concentrated in foot processes adjacent to microvessels in the BBB.5 After brain injury, the altered microenvironment would cause the upregulation of AQP-4 and alterations in cell membrane structure, BBB permeability, and water movement. The onset and progression of cerebral edema are directly correlated with the AQP-4 expression, which is consistent with the research results reported by Wang.6

Numerous previous studies have revealed the therapeutic efficacy of various traditional Chinese medicines against cerebral edema.7–10 The dried roots of Scutellaria baicalensis Georgis contain a substance called, baicalin (BC), which has anti-apoptotic, anti-inflammatory and antioxidant effects.11–13 Previous investigations have demonstrated that BC can protect against cerebral ischemia injury.14,15 Furthermore, the extract of Gardenia jasminoides Ellis, which is known as gardenoside (GD), has anti-inflammatory, analgesic and antioxidant properties.16 In rats with cerebral I/R injury, the previous research conducted by the investigators indicated that BC/GD can reduce neurological damage, and that the BC/GD treatment (at a ratio of 7:3) exhibited the greatest efficacy by decreasing the expression of cysteinyl leukotriene, which is involved in the pathophysiological process of inflammation in various cerebrovascular diseases. In addition, it was found that the release of cysteinyl leukotriene increased after various brain injuries.17,18 However, the mechanism underlying the reduction in I/R complications, including brain edema, has not been completely defined.

Therefore, the present study aimed to determine whether BC/GD can lower the expression level of AQP-4 after I/R, minimize cerebral edema and maintain the BBB, and identify the possible mechanism that controls the anti-I/R effects of BC/GD (Fig. 1).

Design and work-up of the experiment.
Fig. 1  Design and work-up of the experiment.

AC, allyl chloride; AQP-4, aquaporin-4; BBB, blood-brain barrier; BC, baicalin; GD, gardenoside; GLU, glucose; I/R, cerebral ischemia reperfusion; LA, lactic acid; MCAO, the middle cerebral artery occlusion; PA, pyruvic acid; RT-PCR, reverse transcription polymerase chain reaction.

Materials and methods

Animals and groups

The Experimental Animal Center of Xi’an Jiaotong University Health Science Center (Xi’an, China) furnished 150 male Sprague Dawley rats (weight: 220–260 g). These rats were randomly allocated into five groups: sham, I/R, allyl chloride (AC; 187.8 mg/kg, AQP-4 inhibitor), 60 mg/kg BC/GD, and 30 mg/kg BC/GD groups. The National Institute for the Control of Pharmaceutical and Biological Products provided the BC and GD (Lot nos.: 110715-201821 and 110749-201919; Jilin, China,). The AC was supplied by Shanghai Adamas Reagent Co. Ltd. (Lot no.: TBH05342; Shanghai, China). The MCAO/R method19 was used to establish the animal models for the I/R group, AC group, and both BC/GD groups. The appropriate drug dose was administered during stomach lavage prior to molding, and the model group received normal saline for seven days. Rats in the sham group underwent the same treatment as the I/R group, with the exception of the line plug insertion (Lot no.: 907-00019-01; Shenzhen Rayward, China), and received equal amounts of normal saline prior to stomach lavage for seven days. The animal handling procedures and experimental protocols were consistent with the guidelines for the management of laboratory animals, and approved by the Animal Ethics Committee of Shaanxi University of Chinese Medicine, Ethics approval no.: SUCMDL20220401004. All surgery was performed under sodium pentobarbital anesthesia, and all efforts were made to minimize suffering.

Establishment of the cerebral I/R model in rats

The modified Longa line embolism method was used to create a model of focal infarction of the middle cerebral artery occlusion (MCAO) after the intraperitoneal injection of 3% pentobarbital sodium (1 ml/kg) to induce anesthesia. The procedure involved fixing rats to the surgical table, cleaning the neck skin, performing an incision in the middle of the neck, bluntly separating the subcutaneous tissue, exposing the right common carotid artery, external carotid artery and internal carotid artery, and inserting a thread. After two hours of ischemia, the suppository was removed, the tie around the common carotid artery was loosened, and reperfusion was allowed to occur. Then, the rats were housed in a feeding box with clean bedding, and allowed access to food and water ad libitum. During the procedure, care was taken to keep the rats warm at a temperature of 37 °C.

Neurobehavioral scoring of rats

The Longa scoring criteria were used to assess the neurobehavioral performance of rats at 24 hours after I/R: 0 point, no neurological deficit; 1 point, mild focal neurological deficit; 2 points, moderate focal neurological deficit, 3 points, severe focal deficit, and 4 points, total neurological deficit (inability to spontaneously walk and a depressed level of consciousness). In order to exclude interferences from operative failures, these rats were subjected to I/R, and no detectable neurological deficits were eliminated from the subsequent researches and analyses.

BBB permeability detection

Evans blue (EB; Sigma, USA) was used to detect the BBB permeability. The caudal vein was injected with 20 g/L of EB saline solution (20 mg/kg) until the eyes and soles of the paws turned blue. After one hour, the rats were euthanatized, and the brain was extracted. Then, the extracted brain was weighed and placed in a test tube, and 5 ml of formamide was added. Afterwards, the sample was incubated in water bath at 37 °C for 72 hours. Next, spectrophotometry was performed to identify the absorbance. Then, the EB content was calculated from the sample. The outcomes were presented as the amount of EB in the moist brain tissue (g/g).

Determination of the water content

After the rats were deeply anesthetized, decapitation was performed, eight brain tissues were extracted from each group, and the brain tissue water content was determined using the dry and wet weight method. Next, the obtained brain tissue was weighed to measure the moist weight. Then, the brain tissue was dried for 24 hours before weighing again to determine the dry weight. The following formula was used to determine the brain tissue water content: brain water content = wet weight − dry weight.

Detection of glucose (GLU), pyruvic acid (PA) and lactic acid (LA)

After anesthesia, blood samples were collected, and fluid from the centrifuged supernatant was obtained. Then, commercial kits (Lot nos.: F006-1-1, 20181023B and 20180913C; Nanjing Jiancheng Bioengineering Institute, Nanjing, China) were used to detect the GLU, PA and LA. The assays were conducted according to manufacturer’s protocols.

Histopathology

Brain tissues were collected from four rats in each group. Then, the samples were fixed in formalin (10%), embedded in paraffin, and sectioned at a thickness of 5 µm. Afterwards, the sections were mounted on a glass slide, and hematoxylin and eosin were used for the staining.

Transmission electron microscopy

The technique outlined below was performed to identify the brain tissue’s ultrastructure using a transmission electron microscope (Hitachi, Tokyo, Japan). One rat from each group was sedated at 24 hours after I/R using 1% pentobarbital sodium, followed by intravenous injection of pre-cooled normal saline to flush the excess blood. Then, the brain was quickly decapitated and fixed in 4% paraformaldehyde at 4 °C. Afterwards, the ischemic brain tissues were cut into sections (1 × 3 mm), and preserved at 4 °C in 2.5% glutaraldehyde. Uranyl acetate and citric acid lead were used to stain the ultrathin sections, and transmission electron microscopy was performed to observe the specimens.

Immunohistochemical staining

The localization and expression of AQP-4 in the CA1 area of hippocampus microvessels were investigated using immunohistochemical labeling. The brains were quickly removed, segmented below the optic chiasma, fixed in 4% paraformaldehyde overnight, and routinely dehydrated and transparentized. Then, the sections were embedded in paraffin, cut into 5-µm sections, dewaxed, baked, and maintained in a 4 °C refrigerator. The immunohistochemistry procedures were performed strictly according to manufacturer instructions (Beijing Zhongshan Biotechnology Co., Ltd., Beijing, China). The AQP-4 protein was expressed in positive cells, and was visible as brown granules in the cytoplasm by light microscopy at 200× magnification. The image analysis system was used to calculate the average optical density.

Western blot analysis of AQP-4 protein expression levels

Western blot was performed to determine the AQP-4 protein levels. At 24 hours after reperfusion, the rats were decapitated, and the brains were extracted and chilled. Then, a portion of the hippocampus was analyzed for the protein content. Afterwards, the protein lysates were prepared and centrifuged, and the total protein was quantified in the supernatant. Subsequently, the assay was carried out according to manufacturer’s guidelines. After the samples were electrophoresed, these were transferred onto membranes that were sequentially treated with the primary antibody (Lot no: ab259318; Abcam, USA) and secondary antibody (Lot no.: BA1560; Chemicon, USA), and a coloring agent was applied. Image J was used to quantitatively assess the optical density data, and the target and reference protein bands were used to indicate the relative content. GAPDH was used as the internal control.

Total RNA extraction and RT-PCR

Total RNA was extracted from rat hippocampal tissues using Trizol reagent (Invitrogen, Carlsbad, CA, USA), according to manufacturer’s instructions. The extracted RNA was treated using the RNase-free DNase kit (Qiagen GmbH, Germany). Then, the cDNA (1 µg) was obtained by reverse transcription using the PrimeScript RT-PCR kit (Takara Bio Inc., Otsu, Japan). The sequences for the primer pairs were, as follows: AQP-4 (141 bp): forward, 5′-TGG TCC TCA TCT CCC TCT GCT TTG G-3′; reverse, 5′-AGA AGA CGG ACT TGG CGA TGC TGA T-3′. Β-actin served as the internal control (forward: 5′-GAA GAT CAA GAT CAT TGC TCC-3′, reverse: 5′-TAC TCC TGC TTG CTG ATC CA-3′). The efficiency of the reaction was measured using the 2−ΔΔCT method.

Statistical analysis

The SPSS 22.0 statistical software (IBM, Armonk, NY, USA) was used to process and analyze all data. The data was presented as mean ± standard deviation (SD). All results were reported as mean ± SD. One-way analysis of variance was performed to compare the differences between groups. Statistical significance was set at p < 0.05.

Results

Neurobehavioral scores of rats

Rats in the sham group presented without overt abnormalities, and had a neurological deficit score of 0, while neurobehavioral scores in the I/R group, AC group, 60 mg/kg BC/GD group, and 30 mg/kg BC/GD group presented with varying degrees of impairment based on the Longa grading standards. As shown in Table 1, the neurological deficit score significantly increased for rats in the I/R group (p < 0.01), when compared to the sham group. Furthermore, rats in all treatment groups (AC group, 60 mg/kg BC/GD group, and 30 mg/kg BC/GD group) presented with significant improvement in brain damage induced by I/R (p < 0.05), when compared to rats in the I/R group. At the same time, the AC, as an inhibitor of AQP-4, decreased the behavioral scores of rats, indicating that AQP-4 plays a role in brain damage at 24 hours after I/R. Compared to the I/R group, the decrease in BC/GD score suggests that the inhibition of the AQP-4 expression may play a role in brain protection.

Table 1

Neurobehavioral scores of rats (x ± SD, n = 24)

GroupDose (mg/kg)Neurobehavioral score
Sham0.00 ± 0.00
I/R2.20 ± 0.84##
AC187.81.20 ± 0.45*
60 mg/kg BC/GD601.33 ± 0.55*
30 mg/kg BC/GD301.50 ± 0.55*

BBB permeability

The effects of BC/GD on BBB permeability were assessed by EB staining. The exudation of EB significantly decreased in the AC group (p < 0.05), when compared to the I/R group, and the EB content significantly decreased, when compared to the I/R group and 60 mg/kg BC/GD group (p < 0.05). Furthermore, the EB content significantly increased in the I/R group, when compared to the sham group (p < 0.05, Fig. 2a). These findings indicate that the BBB was destroyed after I/R, causing vasogenic brain edema. Furthermore, these results show that although there may be various ways to induce brain edema after I/R, the treatment groups all had substantial protection for the BBB, suggesting that BC/GD plays a role in brain protection by protecting the BBB.

Effect of the BC/GD treatment on the brain water content and BBB permeability.
Fig. 2  Effect of the BC/GD treatment on the brain water content and BBB permeability.

(a) The BBB permeability for each group (n = 8). (b) The brain water content for each group (n = 8). #p < 0.05, ##p < 0.01, compared to the sham group; *p < 0.05, **p < 0.01, compared to the I/R group. AC, allyl chloride; BBB, blood-brain barrier; BC, baicalin; GD, gardenoside; I/R, cerebral ischemia reperfusion.

Brain water content

The results revealed that rats had significantly higher levels of brain tissue moisture in the I/R group, when compared to the sham group (p < 0.01), while rats had significantly lower levels of brain tissue moisture in the AC group and 60 mg/kg BC/GD group (p < 0.01). The difference in brain tissue moisture between the 30 mg/kg BC/GD group and I/R group was significant (p < 0.05). Therefore, I/R may increase the amount of water in the brain of rats, resulting in cerebral edema, while the 60 mg/kg BC/GD treatment can significantly lessen the I/R-induced cerebral edema (Fig. 2b).

Detection of GLU, PA and LA

Energy metabolism failure is one of the main factors that cause mitochondrial dysfunction and oxidative stress damage in the pathogenesis of cerebral ischemia, which produces a considerable number of reactive oxygen species and opens the BBB.20Figure 3 presents the GLU, PA and LA concentrations for each group. After I/R for 24 hours, the GLU, PA and LA levels in rat serum were significantly higher, when compared to the sham group (p < 0.05, p < 0.01 and p < 0.01, respectively). This suggests that after I/R, the microenvironment in the brain becomes damaged, mitochondrial function becomes disordered, and the hypoxia induces changes in the glucose metabolism pathway. Furthermore, there was a risk of hyperglycemia, which could further accelerate the opening of the BBB, and this is consistent with the above results. When oxygen is insufficient, the original glycolysis pathway of the mitochondria, namely, the absorption of pyruvate to promote glucose oxidation, is broken. In order to meet the energy supply, compensatory lactic acid is generated, leading to its accumulation. However, compared to the I/R group, the GLU and LA indicators significantly decreased in the AC group and 60 mg/kg BC/GD group (p < 0.05), and this was similar with the PA levels (p < 0.01). In contrast, the LA levels did not significantly differ in the 30 mg/kg BC/GD group, when compared to the I/R group. These results suggest that brain protection by BC/GD can be achieved by protecting mitochondrial function.

Effect of the BC/GD treatment on brain energy metabolism in rats in each group (<italic>n</italic> = 22): GLU (a), PA (b) and LC (c) levels in plasma.
Fig. 3  Effect of the BC/GD treatment on brain energy metabolism in rats in each group (n = 22): GLU (a), PA (b) and LC (c) levels in plasma.

#p < 0.05, ##p < 0.01, compared to the sham group; *p < 0.05, **p < 0.01, compared to the I/R group. AC, allyl chloride; AQP-4, aquaporin-4; BC, baicalin; GD, gardenoside; GLU, glucose; I/R, cerebral ischemia reperfusion; LA, lactic acid; PA, pyruvic acid.

Histological changes

The neurocyte bodies in the hippocampus of rats in the sham group were larger, and the hematoxylin and eosin staining revealed an unclear basophilic blue staining, while the cytoplasm was stained acidophilic red. Furthermore, the nerve cells were well-aligned, and presented with a normal structure and uniform color. In the I/R group, the nerve cells were disorganized, the nuclei were heavily stained and condensed, and the bulk of the nerve cells underwent necrosis and degeneration to become vacuoles. In addition, the nerve cell destruction was less severe, and the structure of the remaining neurons improved in the AC group and BC/GD treatment groups (Fig. 4).

H&E staining of hippocampus tissues in each group.
Fig. 4  H&E staining of hippocampus tissues in each group.

The microscopic structures of the cerebral cortex were observed (bar: 20 µm, n = 6). AC, allyl chloride; BC, baicalin; GD, gardenoside; I/R, cerebral ischemia reperfusion.

Effects of BC/GD on the ultrastructure

Transmission electron microscopy was used to examine the microscopic organization of neurons in brain tissues (Fig. 5). The neuronal mitochondria and endoplasmic reticulum were both normal in the sham group. In the I/R group, karyolitic cavitation, cytoplasmic cavitation, and dilated endoplasmic reticulum were observed. In general, the neurons appeared normal. In the AC group, there was minimal, if any, neuronal damage, and the neurons appeared nearly normal. In the 60 mg/kg BC/GD group, the cell nuclear and endoplasmic reticulum were slightly dilated, but the mitochondria were normal. In the 30 mg/kg BC/GD group, endoplasmic reticulum dilation, nuclear irregularity and Golgi expansion were observed (Fig. 5).

Ultrastructure of hippocampus tissues in each group (10,000×, <italic>n</italic> = 8).
Fig. 5  Ultrastructure of hippocampus tissues in each group (10,000×, n = 8).

I/R, cerebral ischemia reperfusion; AC, allyl chloride; AQP-4, aquaporin-4; BC, baicalin; GD, gardenoside.

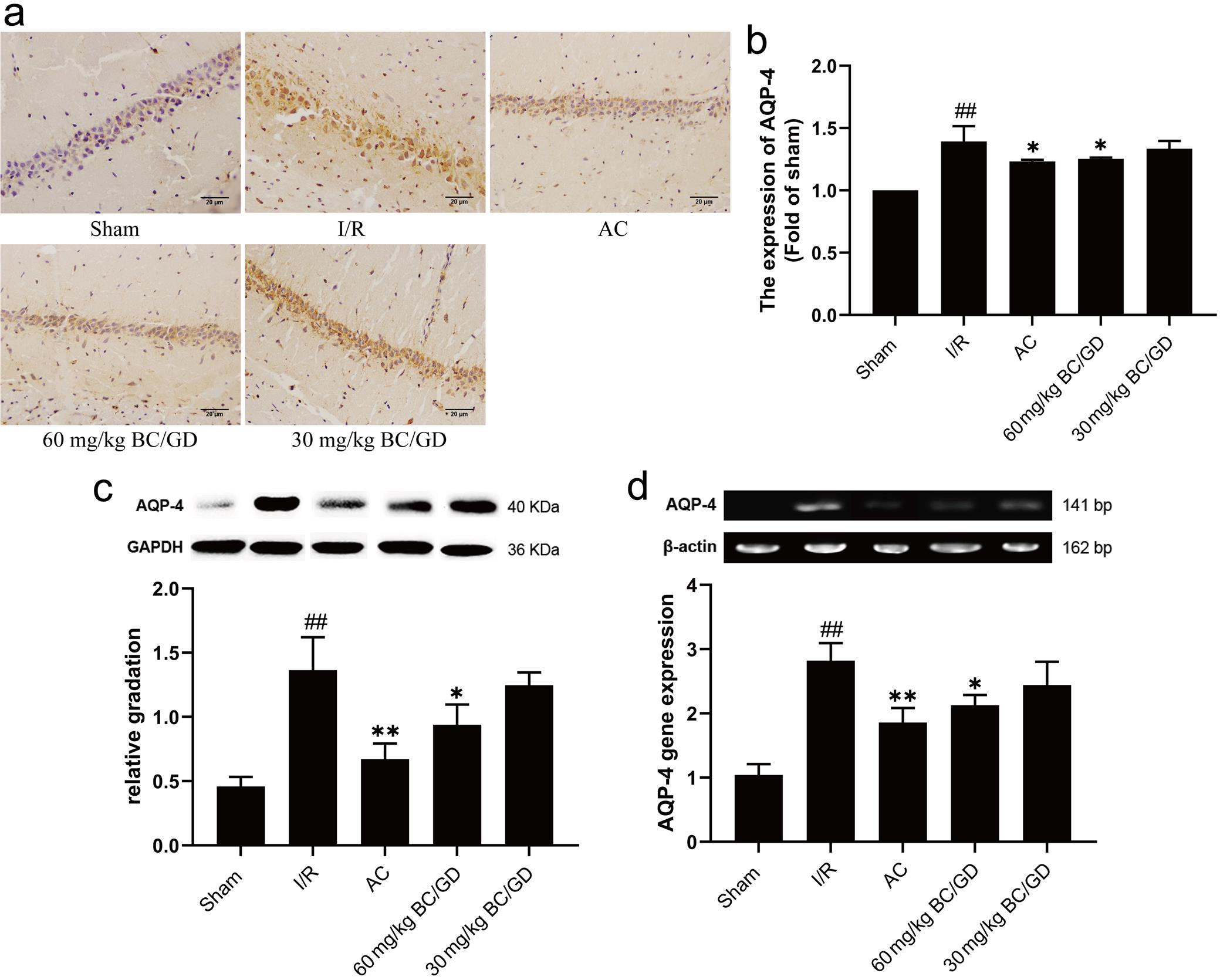
Effects of BC/GD on the expression of AQP-4 in I/R rats

The immunohistochemistry, western blot and RT-PCR results revealed that the AQP-4 expression in rat brain tissues obtained from the hippocampal region was significantly higher in the I/R group, when compared to the sham group (p < 0.01), In contrast, the AQP-4 expression was significantly lower in the AC group and 60 mg/kg BC/GD group, when compared to the I/R group (p < 0.05), but this was not significantly different when compared to the 30 mg/kg BC/GD group (Fig. 6).

The expression of AQP-4 in hippocampus tissues in each group.
Fig. 6  The expression of AQP-4 in hippocampus tissues in each group.

(a) The protein expression of AQP-4 was confirmed by immunohistochemical staining (400× magnification, n = 6). (b) The histogram depicts the AQP-4-positive cells detected by immunohistochemical staining. (c) The histogram depicts the AQP-4 protein expression in the hippocampus of rats in each group (n = 3). (d) The histogram depicts the AQP-4 mRNA expression in the hippocampus of rats in each group (n = 3). ##p < 0.01, compared to the sham group; *p < 0.05, **p < 0.01, compared to the I/R group. I/R, cerebral ischemia reperfusion; AC, allyl chloride; AQP-4, aquaporin-4; BC, baicalin; GD, gardenoside.

Discussion

Accumulating research has revealed that BC exhibits neuroprotective benefits against cerebral ischemia injury in rats. In the study conducted by Cao et al.,21 BC reduced the damage caused by global cerebral I/R in gerbils through anti-oxidative and anti-apoptotic pathways. In the study conducted by Wang et al.,11 BC improved the ischemia-related memory impairment by preventing CaMKII phosphorylation in the hippocampus. In addition, neuroprotective effects of BC may be correlated to NF-κB suppression,14 protease-activated receptor-1 expression15 and apoptosis,16 which all present after I/R injury. GD is the dried ripe fruit of Gardenia jasminoides Ellis of the Rubiaceae family. A typical iridoid compound of the genus Gardenia is geniposide. This has been demonstrated to have the ability to improve rat performance by stimulating the GLP-1R/Akt signaling pathway, decreasing the production of IL6, TNFα and IL1β, and decreasing neuronal death after I/R.22 You et al.23 reported that geniposide can inhibit caspase1 cell pyrolysis, and downregulate the expression of NLRP3, caspase1, IL1 and IL18. Furthermore, a previous study reported that geniposide is converted to genipin by intestinal microbial enzymes, suggesting that the primary form of geniposide in circulating blood may be genipin.24 The activation of the apoptotic signaling pathway can lower the inflammatory response. A study reported that genipin can protect neurons by boosting the expression of transforming growth factor β and reducing the expression of TNFα, which in turn, prevents the microglia from becoming hyperpolarized.25 Although numerous studies have revealed that BC and GD have neuroprotective effects against cerebral I/R injury, the mechanism of ischemic cerebrovascular illness remains not fully understood. The previous study conducted by the investigators revealed that BC/GD therapy has a neuroprotective effect against cerebral ischemia.14 However, it remains unclear whether AQP-4 contributes to the neuroprotective benefits of BC/GD.

The present study investigated the neuroprotective effects of BC/GD in I/R rats, and the main conclusions are presented below. First, the BC/GD treatment may enhance neurobehavioral capabilities. In addition, the BC/GD treatment may lessen the BBB damage and reduce BBB permeability. Third, the BC/GD treatment may improve energy metabolism. Fourth, the BC/GD treatment may lessen the brain edema. Fifth, the BC/GD treatment may drastically weaken the histology of nerve cells. Finally, the BC/GD treatment can suppress the AQP-4 expression in I/R rats.

A water channel, which is known as AQP-4, is prevalent throughout the central nervous system, which mediates the water molecule flow in brain tissues, and is involved in the control of water channel activity. AQP-4 is expressed in astrocyte end-feet.5,26 The balance of brain water is critical for maintaining physiological conditions. However, in pathological circumstances, AQP-4 overexpression may induce cerebral edema by increasing BBB permeability.27 Numerous studies have revealed that after I/R, rats presented with significantly higher AQP-4 expression levels in the brain.28–30 Therefore, the possible mechanism for providing neuroprotection against cerebral ischemia is the reduction in AQP-4 expression. The western blot results in the present study revealed that rats in the I/R group had significantly higher AQP-4 expression levels. However, there was a decrease in AQP-4 expression in groups that received medication treatment. In addition, the RT-PCR results revealed that the AQP-4 mRNA levels were lower in the medication treatment groups, when compared to the I/R group. Although further studies are still required to fully understand the mechanisms underlying the neuroprotective benefits of BC/GD, the recent results reported by the investigators appear to be a significant step to that direction.

Finally, the findings of the present study revealed that the administration of BC/GD may ameliorate the inflammatory damage to nerve cells and alteration in cell structure produced by I/R, preserve the BBB and brain water content, and suppress the AQP-4 expression.

Conclusions

The findings revealed that BC/GD can improve neurobehavioral function and the structure of remaining neurons in brain tissue, while reducing edema and BBB damage induced by cerebral I/R injury. The suppression of AQP-4 may be connected to the neuroprotective effects of BC/GD.

Abbreviations

AC: 

allyl chloride

AQP-4: 

aquaporin-4

BBB: 

blood-brain barrier

BC: 

baicalin

EB: 

Evans blue

GD: 

gardenoside

GLU: 

glucose

I/R: 

cerebral ischemia-reperfusion

LA: 

lactic acid

MCAO: 

middle cerebral artery occlusion

PA: 

pyruvic acid

RT-PCR: 

reverse transcription polymerase chain reaction

SD: 

standard deviation

Declarations

Acknowledgement

We would like to thank International Science Editing for the language polishing of the manuscript.

Ethical statement

The animal handling procedures and experimental protocols were consistent with the Guide for the Care and Use of Laboratory Animals, and approved by the Animal Ethics Committee of Shaanxi University of Chinese Medicine. Ethics approval no.: SUCMDL20220401004.

Data sharing statement

The data used to support the findings of the study are included in the article.

Funding

This research was supported by grants from the National Natural Science Foundation of China (Grant no. 81473385), and the Subject Innovation Team of Shaanxi University of Chinese Medicine (Grant no. 2019-YL13).

Conflict of interest

The authors have no conflicts of interest related to this publication.

Authors’ contributions

LZ: conceptualization, supervision, data curation, writing of the original draft, writing of the review, and editing. HHZ: investigation and writing of the original draft. QQS: investigation and data curation. ADZ: investigation and data curation. CW: conceptualization. JPL: conceptualization. BW: conceptualization, supervision, validation, writing of the review, and editing. All authors read and approved the final manuscript.

References

  1. Moriyama Y, Takagi N, Itokawa C, Tanonaka K. Injection of neural progenitor cells attenuates decrease in level of connexin 43 in brain capillaries after cerebral ischemia. Neurosci Lett 2013;543:152-156 View Article PubMed/NCBI
  2. Li YH, Qiao LJ, Lin XY. Mechanism of low molecular weight GTP binding protein RAC1 in injury of neural function of rats with cerebral ischemia reperfusion. Asian Pac J Trop Med 2016;9(5):474-477 View Article PubMed/NCBI
  3. Wang Y, He Z, Deng S. Ursolic acid reduces the metalloprotease/anti-metalloprotease imbalance in cerebral ischemia and reperfusion injury. Drug Des Devel Ther 2016;10:1663-1674 View Article PubMed/NCBI
  4. Rosenberg GA. Ischemic brain edema. Prog Cardiovasc Dis 1999;42(3):209-216 View Article PubMed/NCBI
  5. Verkman AS, Smith AJ, Phuan PW, Tradtrantip L, Anderson MO. The aquaporin-4 water channel as a potential drug target in neurological disorders. Expert Opin Ther Targets 2017;21(12):1161-1170 View Article PubMed/NCBI
  6. Wang C, Yan M, Jiang H, Wang Q, He S, Chen J, et al. Mechanism of aquaporin 4 (AQP 4) up-regulation in rat cerebral edema under hypobaric hypoxia and the preventative effect of puerarin. Life Sci 2018;193:270-281 View Article PubMed/NCBI
  7. Sun K, Fan J, Han J. Ameliorating effects of traditional Chinese medicine preparation, Chinese materia medica and active compounds on ischemia/reperfusion-induced cerebral microcirculatory disturbances and neuron damage. Acta Pharm Sin B 2015;5(1):8-24 View Article PubMed/NCBI
  8. Wang Y, Xiao G, He S, Liu X, Zhu L, Yang X, et al. Protection against acute cerebral ischemia/reperfusion injury by QiShenYiQi via neuroinflammatory network mobilization. Biomed Pharmacother 2020;125:109945 View Article PubMed/NCBI
  9. Cao G, Jiang N, Hu Y, Zhang Y, Wang G, Yin M, et al. Ruscogenin Attenuates Cerebral Ischemia-Induced Blood-Brain Barrier Dysfunction by Suppressing TXNIP/NLRP3 Inflammasome Activation and the MAPK Pathway. Int J Mol Sci 2016;17(9):1418 View Article PubMed/NCBI
  10. Tang C, Xue H, Bai C, Fu R, Wu A. The effects of Tanshinone IIA on blood-brain barrier and brain edema after transient middle cerebral artery occlusion in rats. Phytomedicine 2010;17(14):1145-1149 View Article PubMed/NCBI
  11. Wang P, Cao Y, Yu J, Liu R, Bai B, Qi H, et al. Baicalin alleviates ischemia-induced memory impairment by inhibiting the phosphorylation of CaMKII in hippocampus. Brain Res 2016;1642:95-103 View Article PubMed/NCBI
  12. Yang G, Li JQ, Bo JP, Wang B, Tian XR, Liu TZ, et al. Baicalin inhibits PDGF-induced proliferation and migration of airway smooth muscle cells. Int J Clin Exp Med 2015;8(11):20532-20539 View Article PubMed/NCBI
  13. Zhang Z, Gao X, Guo M, Jiang H, Cao Y, Zhang N. The Protective Effect of Baicalin Against Lead-Induced Renal Oxidative Damage in Mice. Biol Trace Elem Res 2017;175(1):129-135 View Article PubMed/NCBI
  14. Xue X, Qu XJ, Yang Y, Sheng XH, Cheng F, Jiang EN, et al. Baicalin attenuates focal cerebral ischemic reperfusion injury through inhibition of nuclear factor κB p65 activation. Biochem Biophys Res Commun 2010;403(3-4):398-404 View Article PubMed/NCBI
  15. Zhou QB, Duan CZ, Jia Q, Liu P, Li LY. Baicalin attenuates focal cerebral ischemic reperfusion injury by inhibition of protease-activated receptor-1 and apoptosis. Chin J Integr Med 2014;20(2):116-122 View Article PubMed/NCBI
  16. Liang H, Zhang L, Wang H, Tang J, Yang J, Wu C, et al. Inhibitory Effect of Gardenoside on Free Fatty Acid-Induced Steatosis in HepG2 Hepatocytes. Int J Mol Sci 2015;16(11):27749-27756 View Article PubMed/NCBI
  17. Liu AP, Li M, Bin W, Cao H, Li Y, Zhou Fy. Effect of baicalin and Jasminoidin compatibility on cerebral ischemia-reperfusion injury (in Chinese). Pharmacol Clin Chin Mater Med 2016;32(01):46-48 View Article PubMed/NCBI
  18. Li M, Bin W, Tang Z, Hou J, Sun J. Effect of baicalin and geniposide on CysLT2R and CysLT2RmRNA expression in hippocampus of cerebral ischemia and reperfusion injury rats at acute and early recovery phase (in Chinese). Pharmacol Clin Chin Mater Med 2012;28(05):18-20 View Article PubMed/NCBI
  19. Longa EZ, Weinstein PR, Carlson S, Cummins R. Reversible middle cerebral artery occlusion without craniectomy in rats. Stroke 1989;20(1):84-91 View Article PubMed/NCBI
  20. Zhao X, Li S, Mo Y, Li R, Huang S, Zhang A, et al. DCA Protects against Oxidation Injury Attributed to Cerebral Ischemia-Reperfusion by Regulating Glycolysis through PDK2-PDH-Nrf2 Axis. Oxid Med Cell Longevity 2021;2021:5173035 View Article PubMed/NCBI
  21. Cao Y, Mao X, Sun C, Zheng P, Gao J, Wang X, et al. Baicalin attenuates global cerebral ischemia/reperfusion injury in gerbils via anti-oxidative and anti-apoptotic pathways. Brain Res Bull 2011;85(6):396-402 View Article PubMed/NCBI
  22. Tan HM, Zhou L, Zou HC. Geniposide-mediated GLP-1R/Akt signaling pathway improves cerebral ischemia-reperfusion injury and neuronal apoptosis in rats (in Chinese). Drug Eval Res 2022;45(09):1822-1829 View Article PubMed/NCBI
  23. You LJ, Yang XF, Geng H, Meng JL, Ma YH, Lei M, et al. Inhibition of inflammation of Geniposide on LPS induced RAW264.7 cells based on Caspase-1 cell pyroptosis signal pathway (in Chinese). Chin J Immunol 2022;38(13):1574-1578 View Article PubMed/NCBI
  24. Koo HJ, Lim KH, Jung HJ, Park EH. Anti-inflammatory evaluation of gardenia extract, geniposide and genipin. J Ethnopharmacol 2006;103(3):496-500 View Article PubMed/NCBI
  25. Wang J, Hou JC, Xiang LH, Zhang J, Ju DH. Compatibility of Geniposide and Ginsenoside Rg1: Their Regulating Roles in Secretion of Anoxia Induction Injured Microglia Inflammatory Cytokines. Chin J Integr Tradit West Med 2014;34(01):91-95 View Article PubMed/NCBI
  26. Yao X, Derugin N, Manley GT, Verkman AS. Reduced brain edema and infarct volume in aquaporin-4 deficient mice after transient focal cerebral ischemia. Neurosci Lett 2015;584:368-372 View Article PubMed/NCBI
  27. Xu SH, Yin MS, Liu B, Chen ML, He GW, Zhou PP, et al. Tetramethylpyrazine-2′-O-sodium ferulate attenuates blood-brain barrier disruption and brain oedema after cerebral ischemia/reperfusion. Hum Exp Toxicol 2017;36(7):670-680 View Article PubMed/NCBI
  28. Lu L, Li HQ, Li JH, Liu AJ, Zheng GQ. Neuroprotection of Sanhua Decoction against Focal Cerebral Ischemia/Reperfusion Injury in Rats through a Mechanism Targeting Aquaporin 4. Evidence-Based Complementary Altern Med 2015;2015:584245 View Article PubMed/NCBI
  29. Mohammadi MT, Dehghani GA. Nitric oxide as a regulatory factor for aquaporin-1 and 4 gene expression following brain ischemia/reperfusion injury in rat. Pathol, Res Pract 2015;211(1):43-49 View Article PubMed/NCBI
  30. Vella J, Zammit C, Di Giovanni G, Muscat R, Valentino M. The central role of aquaporins in the pathophysiology of ischemic stroke. Front Cell Neurosci 2015;9:108 View Article PubMed/NCBI

About this Article

Cite this article
Zhao L, Zhang H, Sun Q, Zhao A, Wang C, Liu J, et al. Combination of Baicalin and Gardenoside Mitigates Brain Damage by Lowering AQP-4 Expression Levels in Rat Model of Cerebral Ischemia/Reperfusion. Future Integr Med. 2023;2(1):1-9. doi: 10.14218/FIM.2022.00036.
Copy Export to RIS Export to EndNote
Article History
Received Revised Accepted Published
August 4, 2022 September 1, 2022 December 9, 2022 January 31, 2023
DOI http://dx.doi.org/10.14218/FIM.2022.00036