Home
JournalsCollections
For Authors For Reviewers For Editorial Board Members
Article Processing Charges Open Access
Ethics Advertising Policy
Editorial Policy Resource Center
Company Information Contact Us Membership Collaborators Partners
OPEN ACCESS

Zolmitriptan-associated Ischemic Colitis: A Case Report

  • Leticia A. Olguín-Ramírez1,* ,
  • Jaime Cantú-Pompa1,
  • Emma Puron-González2,
  • Roberto Monreal-Robles1,
  • Lucas A. Garza-Garza1,
  • Raúl E. Ruiz-Lozano1 and
  • Luis E. Fernández-Garza3,4,5,* 
Journal of Translational Gastroenterology   2025;3(1):47-49

doi: 10.14218/JTG.2024.00041

Received:

Revised:

Accepted:

Published online:

 Author information

Citation: Olguín-Ramírez LA, Cantú-Pompa J, Puron-González E, Monreal-Robles R, Garza-Garza LA, Ruiz-Lozano RE, et al. Zolmitriptan-associated Ischemic Colitis: A Case Report. J Transl Gastroenterol. 2025;3(1):47-49. doi: 10.14218/JTG.2024.00041.

Abstract

Ischemic colitis has been previously associated with the use of certain medications; however, no cases have been reported in connection with zolmitriptan. This study aimed to describe a case of ischemic colitis associated with zolmitriptan use. A 56-year-old female patient taking zolmitriptan presented to the hospital with complaints of abdominal pain, bloody diarrhea, and emesis. Colonoscopy and abdominal imaging with computed tomography revealed findings consistent with ischemic colitis. After recognizing the association between ischemic colitis and zolmitriptan use, the medication was discontinued, and the patient recovered with supportive therapy. This is the first reported case of ischemic colitis associated with zolmitriptan.

Keywords

Ischemic colitis, Triptans, Zolmitriptan

Introduction

Triptans are a family of drugs that exert their effects by activating 5-hydroxytryptamine receptors of types 1B, 1D, and 1F.1 Their main medical indication, migraine, affects at least 12% of the American population.1,2 Zolmitriptan, a member of this family, is usually well tolerated by most patients.3 Most clinical adverse effects of zolmitriptan are benign and transient, including paresthesia, nausea, dizziness, and somnolence.3 Still, the occurrence of severe adverse effects, such as cardiovascular events, is possible with the use of zolmitriptan.3

Another severe adverse effect that has been previously reported with the use of triptans is ischemic colitis (IC).4 IC results from an interruption in blood flow to any segment of the colon and is the most common form of intestinal ischemia.4 IC has been documented in patients taking sumatriptan, rizatriptan, naratriptan, and other non-triptan medications.4 To the authors’ best knowledge, no case of IC has been previously reported in a patient taking zolmitriptan. Therefore, the present study aimed to report the occurrence of IC associated with zolmitriptan use. Three consecutive monthly appointments were held after discharge, during which the patient denied any new abdominal symptoms and continued to have adequate control of headaches, experiencing only one episode per month.

Case presentation

A 56-year-old female presented to the emergency department complaining of abdominal pain, bloody diarrhea, and emesis with an 8-hour duration. Her relevant medical history included arterial hypertension treated with losartan, hypothyroidism treated with levothyroxine, and chronic migraine without aura treated with zolmitriptan 2.5 mg (2.5 mg at the onset of a migraine, with an additional dose after 12 h if the episode was not aborted).

The patient was hemodynamically stable. A complete blood count, biochemical profile, and inflammatory markers were normal. Stool analysis revealed more than 100 red blood cells per field. She was admitted to the hospital for further diagnostic workup.

A rectosigmoidoscopy showed ulceration and loss of the normal colonic vascular pattern 30 to 50 cm distal to the anal margin (Fig. 1). Histopathology of the affected area is shown in Figure 2. To rule out conditions beyond the colon, a computed tomography (CT) enterography was performed, which revealed only an inflammatory process in the descending colon (Fig. 3). A colonoscopy confirmed ulceration and inflammation of the colonic mucosa at this site. On the fifth day of hospitalization, the patient experienced another episode of intense abdominal pain and bloody diarrhea one hour after zolmitriptan 2.5 mg was administered for a new migraine episode. After this episode, zolmitriptan was discontinued, and dexamethasone (4 mg intravenous single dose) was initiated. Topiramate was also prescribed, resulting in the complete resolution of the migraine attacks. A neurologic workup for the chronic migraine without aura revealed no organic cause.

A clinical photograph of the colonic mucosa during endoscopy of the descending colon, revealing necrotic areas (black arrow) and abnormal vascular patterns (black asterisk).
Fig. 1  A clinical photograph of the colonic mucosa during endoscopy of the descending colon, revealing necrotic areas (black arrow) and abnormal vascular patterns (black asterisk).
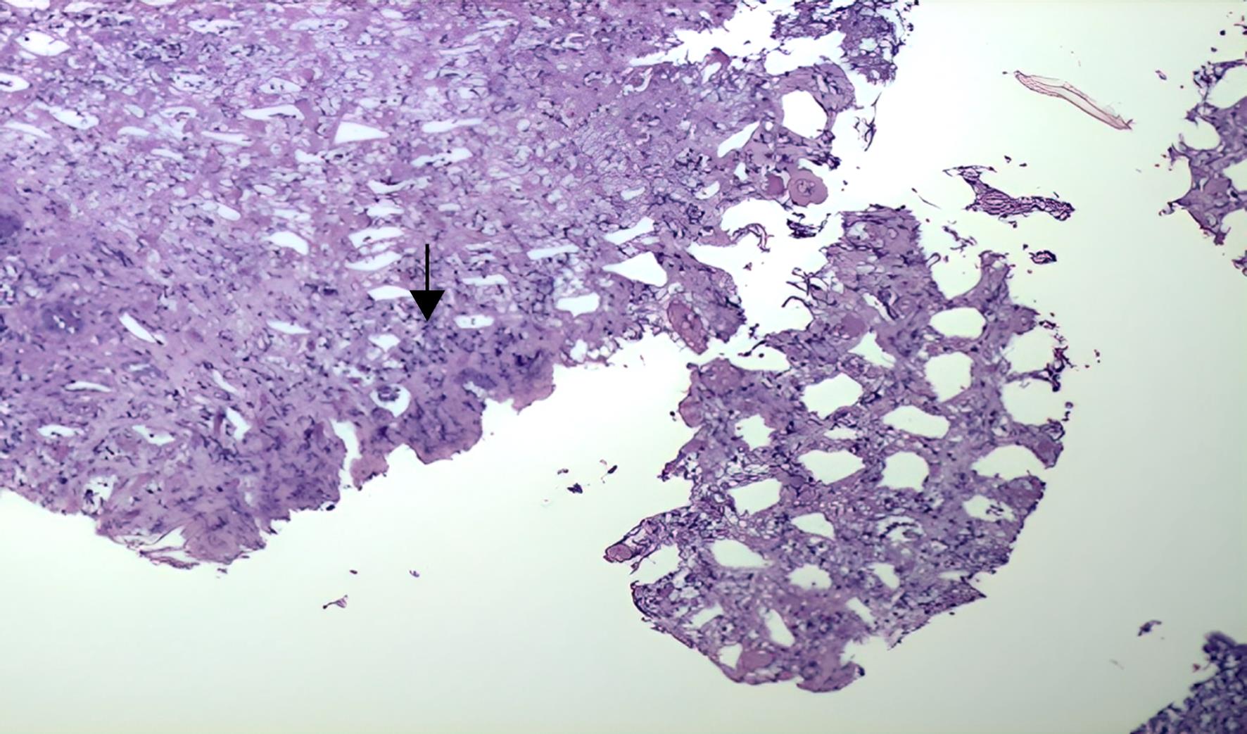
Light microscopy (4×) of the affected colonic mucosa stained with hematoxylin and eosin, showing mucosal atrophy and mononuclear infiltrates (black arrow).
Fig. 2  Light microscopy (4×) of the affected colonic mucosa stained with hematoxylin and eosin, showing mucosal atrophy and mononuclear infiltrates (black arrow).
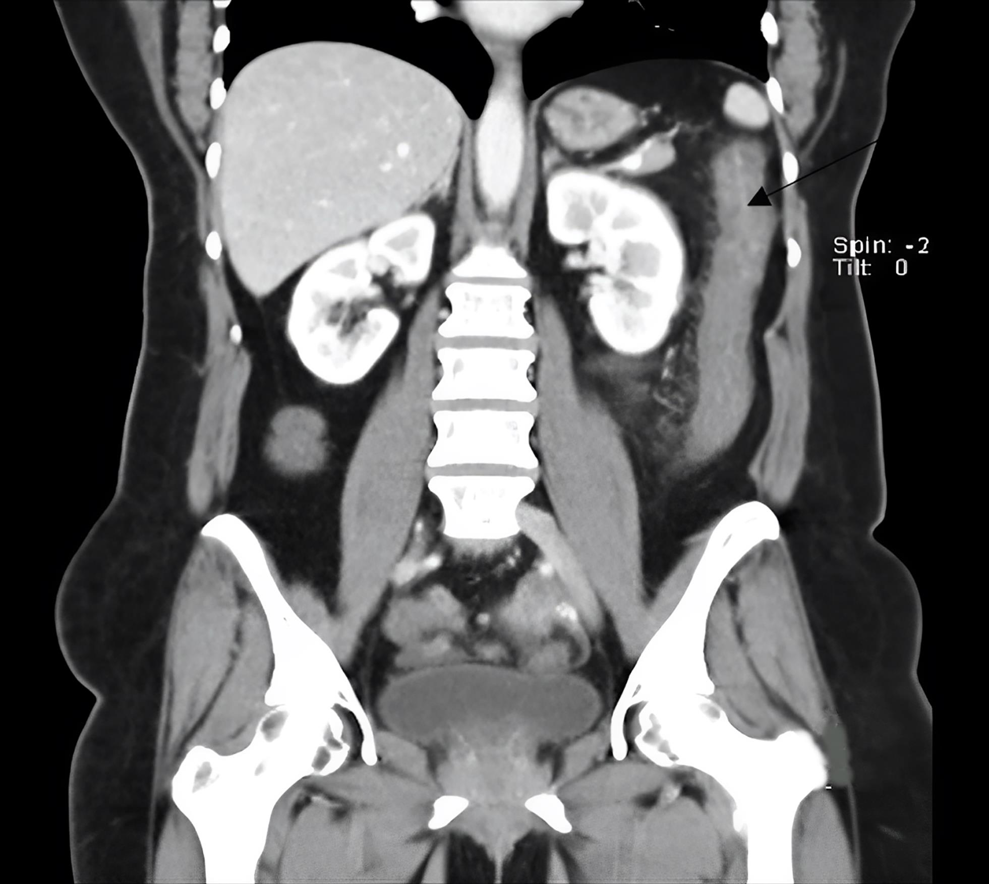
Computed tomography enterography on coronal section, revealing inflammation in the descending colon (white arrow).
Fig. 3  Computed tomography enterography on coronal section, revealing inflammation in the descending colon (white arrow).

Four days after discontinuation of zolmitriptan, the patient’s abdominal pain, nausea, and bloody stools completely resolved. The patient was discharged with prophylactic topiramate for her chronic migraine and instructions to avoid 5-hydroxytryptamine 5-HT 1B/1D receptor agonists.

Discussion

Medication-related IC has been reported with several classes of medications, including triptans, alosetron, digitalis, tumor necrosis factor inhibitors, and type-1 interferons.4 Nonetheless, most of these reports are case reports or case series.4 Among the triptans, sumatriptan, rizatriptan, and naratriptan have been associated with IC.4,5 Zolmitriptan, to the authors’ best knowledge, has not been previously linked to IC.

Triptans can potentially cause vasospastic reactions, including coronary artery vasospasm, peripheral vascular ischemia, and colonic ischemia. For this reason, triptans should be avoided in patients with known coronary artery disease (CAD) or those with multiple risk factors for CAD, such as arterial hypertension, hypercholesterolemia, smoking, obesity, diabetes, postmenopausal females, and males over 40 years old.4 Previous case reports of triptan-associated IC have involved female patients, aged 35–63 years, matching the profile of our patient.4 Regarding comorbidities, it should be noted that the patient already had a diagnosis of arterial hypertension and had undergone physiological menopause, both of which are known risk factors for CAD.4 The dosage of each triptan used and the affected colonic area have varied considerably between cases.4 However, all previously reported cases have been resolved with supportive care, including bowel rest, fluid resuscitation, pain control, and, in some cases, antibiotic therapy, as with our patient.4,6 Another important point to highlight is the timely implementation of treatment and close monitoring during management to rule out potentially fatal complications of IC, such as intestinal perforation, abscess formation, or colon stenosis.7 Recurrences have been documented in some patients,4 and therefore, restarting zolmitriptan or using another triptan after this adverse effect is not recommended. The endoscopic and computed tomography findings in the colon of our patient match those of previously reported cases.4

Given the increasing use of triptans in patients with migraine, and their sometimes indiscriminate use despite contraindications (up to 15% of cases), longitudinal and controlled studies are needed to provide conclusive evidence for a causal relationship between triptan use and IC.8 Additionally, no consensus exists regarding treatment or future avoidance of triptan-related medications for these patients. A multicenter, collaborative study could be a viable option to gather sufficient data and address these questions.

Conclusions

This is the first report of IC associated with zolmitriptan use. It is imperative to review the risk factors for CAD and contraindications before prescribing a triptan, as well as to educate patients about potential adverse effects. Future longitudinal, controlled studies are required to establish a causal relationship and determine the best treatment for triptan-associated IC.

Declarations

Acknowledgement

None.

Ethical statement

The study was performed in accordance with the ethical standards of the institutions to which the authors are affiliated and the Declaration of Helsinki (as revised in 2013). Written informed consents were obtained from the patients for the publication of this case report and accompanying images.

Funding

None.

Conflict of interest

The authors have no conflict of interests related to this publication.

Authors’ contributions

Designing the research study (LAOR, JCP, EPG), collecting the data (LAOR, RMR, LAGG, RERL), writing the manuscript (LAOR, JCP, EPG, RMR, LAGG, RERL), critically reviewing, revising the manuscript (LAOR, LEFG), and study supervision (LAOR, LEFG). All authors have approved the final version and publication of the manuscript.

References

  1. Charles A. Migraine. N Engl J Med 2017;377(6):553-561 View Article PubMed/NCBI
  2. Lipton RB, Stewart WF, Diamond S, Diamond ML, Reed M. Prevalence and burden of migraine in the United States: data from the American Migraine Study II. Headache 2001;41(7):646-57 View Article PubMed/NCBI
  3. Peterlin BL, Rapoport AM. Clinical pharmacology of the serotonin receptor agonist, zolmitriptan. Expert Opin Drug Metabolism Toxicol 2007;3(6):899-911 View Article PubMed/NCBI
  4. Nguyen TQ, Lewis JH. Sumatriptan-associated ischemic colitis: case report and review of the literature and FAERS. Drug Saf 2014;37(2):109-121 View Article PubMed/NCBI
  5. Liu WH, Hu HM, Li C, Shi Q, Liu CH, Liu AX, et al. Real-world study of adverse events associated with triptan use in migraine treatment based on the U.S. Food and Drug Administration (FDA) adverse event reporting system (FAERS) database. J Headache Pain 2024;25(1):206 View Article PubMed/NCBI
  6. Tin S, Lim W, Umyarova R, Arulthasan M, Daoud M. Unusual Case of Ischemic Colitis Caused by Low-Dose Sumatriptan Therapy in a Generally Healthy Patient After Strenuous Physical Activity. Cureus 2021;13(8):e17125 View Article PubMed/NCBI
  7. Hung A, Calderbank T, Samaan MA, Plumb AA, Webster G. Ischaemic colitis: practical challenges and evidence-based recommendations for management. Frontline Gastroenterol 2021;12(1):44-52 View Article PubMed/NCBI
  8. Gendolla A, Rauer N, Kraemer S, Schwerdtner I, Straube A. Epidemiology, Demographics, Triptan Contraindications, and Prescription Patterns of Patients with Migraine: A German Claims Database Study. Neurol Ther 2022;11(1):167-183 View Article PubMed/NCBI

About this Article

Cite this article
Olguín-Ramírez LA, Cantú-Pompa J, Puron-González E, Monreal-Robles R, Garza-Garza LA, Ruiz-Lozano RE, et al. Zolmitriptan-associated Ischemic Colitis: A Case Report. J Transl Gastroenterol. 2025;3(1):47-49. doi: 10.14218/JTG.2024.00041.
Copy Export to RIS Export to EndNote
Article History
Received Revised Accepted Published
November 22, 2024 December 24, 2024 January 17, 2025 February 12, 2025
DOI http://dx.doi.org/10.14218/JTG.2024.00041