Home
JournalsCollections
For Authors For Reviewers For Editorial Board Members
Article Processing Charges Open Access
Ethics Advertising Policy
Editorial Policy Resource Center
Company Information Contact Us Membership Collaborators Partners
OPEN ACCESS

Giant Invasive Spinal Schwannoma with Vertebral Body Collapse in the Cervical Spine: A Case Report and Literature Review

  • Zeyan Liang1,2,#,
  • Zulin Liao3,# and
  • Chunmei Chen1,* 
Neurosurgical Subspecialties   2025;1(3):144-150

doi: 10.14218/NSSS.2025.00016

Received:

Revised:

Accepted:

Published online:

 Author information

Citation: Liang Z, Liao Z, Chen C. Giant Invasive Spinal Schwannoma with Vertebral Body Collapse in the Cervical Spine: A Case Report and Literature Review. Neurosurgical Subspecialties. 2025;1(3):144-150. doi: 10.14218/NSSS.2025.00016.

Abstract

Giant invasive spinal schwannoma (GISS) is a rare benign tumor that extends over two or more vertebral levels with myofascial invasion. No previous case of GISS with vertebral body collapse has been reported. A 44-year-old man presented with a one-year history of progressive limb weakness and difficulty with defecation. He was initially misdiagnosed with a metastatic spinal tumor. Imaging revealed a large extradural mass with C4 vertebral body collapse. Histological examination of tumor tissue from both operations confirmed the diagnosis of schwannoma. The postoperative course was uneventful, and the patient’s limb weakness gradually improved. One year after surgery, the patient was able to walk and write independently. Muscle strength recovered to 4/5 in the upper extremities and 5/5 in the lower extremities, with a modified Japanese Orthopaedic Association score of 15/15. The patient’s neurological function improved significantly, and one-year follow-up showed no recurrence and stable spinal fixation. Currently, the patient’s bowel function has improved; however, the patient still requires defecation in bed. When magnetic resonance imaging reveals giant spinal tumors with imaging features suggestive of malignancy, GISS should be considered. Preoperative biopsy is essential for accurate diagnosis.

Keywords

Giant invasive spinal schwannoma, Vertebral body collapse, Case report, Metastatic spinal cord compression, Preoperative biopsy

Introduction

Spinal schwannoma is a benign, typically encapsulated nerve sheath tumor composed entirely of well-differentiated Schwann cells, accounting for about 20–30% of primary intraspinal tumors,1,2 with a global incidence estimated at 0.3–0.5 per 100,000 persons per year.3 In the vast majority of cases, schwannomas are solitary and sporadic, following a benign clinical course. Sridhar et al.4 defined giant invasive spinal schwannomas (GISS) as tumors that extend over more than two vertebral levels, encroaching on the vertebral body and extending posteriorly and laterally into the myofascial plane. These tumors are relatively rare and pose significant challenges for diagnosis and treatment. Several case reports have described the clinical characteristics and surgical strategies for GISS in different spinal regions, including the cervical, thoracic, lumbar, sacral, and retroperitoneal areas.5–17 However, none of these cases involved vertebral body collapse (VBC), making the present case the first documented instance of GISS with this feature. While vertebral body erosion may be present in some reports, to the best of our knowledge, there has never been a previous report of GISS with VBC. VBC is often associated with malignant tumors, such as metastatic tumors or myeloma, due to rapid bone dissolution or vascular damage,18–20 but in contrast, benign schwannomas seldom cause this kind of destruction. This report describes the first case of GISS with VBC and reviews the literature (Table 1).2,4–17

Table 1

The clinical features of patients with classic type giant invasive spinal schwannoma to date

Authors, Year, CountryAge (years)/GenderSymptomsLocationNo. of operationInstrumentationVertebral body collapse
Sridhar, 2001, India455/MPainLumbar3YesNone
25/MPainLumbosacral5NoNone
55/MParesthesiaThoracic2NoNone
60/MPainLumbar2YesNone
25/FParesthesia, weaknessCervical4YesNone
15/FPain, weaknessLumbar2NoNone
30/FPain,Thoracic1NoNone
19/MWeaknessLumbar1NoNone
40/FPain,Lumbosacral2NoNone
13/MPain,Lumbar1NoNone
Ozdemir, 2010, Turkey648/FWeaknessThoracic1NoNone
29/FPainLumbar1YesNone
29/MSwelling of neckCervical2NoNone
63/MWeaknessCervical1NoNone
16/MPainSacral2NoNone
53/MWeakness, painCervical1NoNone
Yu, 2012, South Korea574/MPainSacral1NoNone
47/MPain, paresthesia, WeaknessLumbosacral1NoNone
39/FPainThoracolumbar2YesNone
29/FPain, weaknessThoracolumbar1NoNone
27/MPainLumbosacral1NoNone
44/FPain, paresthesiaLumbosacral2NoNone
60/FPainThoracic2NoNone
44/MPainSacral2NoNone
48/MWeaknessCervical1NoNone
49/MPainSacral1NoNone
38/FPainLumbosacral1NoNone
30/MPain, weakness, paresthesiaSacral2YesNone
23/MParesthesia, weaknessCervical2NoNone
22/MParesthesia, painSacral1NoNone
Vadivelu, 2013, USA715/FCauda equina syndrome, weaknessLumbar2NoNone
13/MNALumbar1NoNone
12/FPain, weakness,Sacral1NoNone
14/MweaknessThoracic1YesNone
Jankowski, 2010, Poznañ946/FPainLumbar2YesNone
Hung, 2007, Taiwan1453/MweaknessLumbar1NoNone
Hou, 2020, China867/MPainLumbar1YesNone
Valle-Giler, 2007, LA1562/FPainThoracolumbar1NoNone
Algahtany, 2021, Kingdom of Saudi Arabia1656/FParesthesia, Painretroperitoneal3NoNone
Togral, 2014, Turkey1742/MPainLumbosacral1NoNone
Vanegas Cerna, 2023, Managua1258/MPainLumbar1NoNone
Zhou, 2013, China1362/MweaknessLumbosacral1NoNone
Ragurajaprakash, 2019, India1156/FParesthesia, painSacral2NoNone
Paulo, 2018, US1019/FPainThoracolumbar, Sacral4YesNone
Li, 2023, China215/FweaknessCervical, Thoracic1NoNone

Case presentation

A 44-year-old man without hypertension, diabetes mellitus, or congenital disease was referred from an outside hospital due to a one-year history of limb weakness and defecation difficulties. He initially complained of progressive right limb weakness of unknown origin and became progressively quadriplegic with difficulty defecating after a fall. He was diagnosed with a metastatic spinal tumor following magnetic resonance imaging (MRI) performed at a Grade IIIA hospital. He was informed that his expected survival time was about six to twelve months, and the specialist recommended further visits to the radiotherapy department. However, the patient abandoned further treatment. After being bedridden at home for one year, his symptoms persisted without deterioration. The patient had not received any treatment before referral.

Upon neurological examination, muscle strength was reduced in all limbs: right upper limb middle finger muscle strength was 2/5; hip flexion and knee flexion muscle strength in both lower limbs was 3/5; and the remaining limb muscle strength was 0/5. His biceps, triceps, and knee-jerk reflexes were exaggerated bilaterally. The patient exhibited severe hypoesthesia to light touch and thermal nociception on his chest, abdomen, and both lower extremities. Myelopathy was assessed using the modified Japanese Orthopedic Association scale21; the patient scored 4 out of 17 points preoperatively.

MRI (Fig. 1) of the cervical spine revealed an extradural tumor localized at the C3 to C5 levels, compressing the spinal cord to the left side and invading the C4 vertebral body and its attachments. The tumor penetrated the anterior edge of the C4 vertebral body. Additionally, T2-weighted images revealed the lesion to be hyperintense compared with the spinal cord. After intravenous gadolinium administration, the tumor demonstrated significant enhancement. Computed tomography (CT, Fig. 1) further delineated the VBC of C4 and soft tissue density in the cancellous substance of C4. A comparison of CT (Fig. 1h) and MRI (Fig. 1d and e) images performed at the external hospital in 2017 showed no significant progression in the size of the lesion.

Preoperative cervical MRI and CT.
Fig. 1  Preoperative cervical MRI and CT.

Preoperative sagittal (a) and coronal (b) enhanced T1-weighted MRI showed a giant invasive spinal tumor at the C3-5 level. Axial enhanced T1-weighted MRI (c) revealed the tumor with spinal cord compression extended bilaterally across the C3-4 extraforaminal region, surrounded the spinal cord in a “U”-like shape, and invaded the C4 vertebral body (c, arrow 1) and pedicles (c, arrow 2). Compared to the sagittal and axial T2-weighted MRI (d, e) performed in the outside hospital a year ago, the tumor was not enlarged. Preoperative sagittal CT (f) showed C4 vertebral body collapse and soft tissue density in the cancellous substance of C4. Axial CT (g) revealed the tumor eroded bilateral pedicles (g, arrow 3 and 4). Compared to the sagittal CT (h) performed in the outside hospital, it was determined that the C4 vertebral body collapse occurred a year ago. CT, computed tomography; MRI, magnetic resonance image.

A two-stage operation involving posterior and anterolateral approaches was planned due to the large extradural component and the eroded nature of the entire C4 with VBC. After obtaining written informed consent, the patient first underwent microsurgically assisted extradural exploration and intraoperative tumor biopsy via a posterior midline approach (November 7, 2018). A longitudinal skin incision from C3 to C5 was made, and subperiosteal dissection was used to expose the laminae and lateral masses. The laminae and spinous processes of C3–C5 were removed to decompress the spinal cord and expose the tumor, which was extradural and invaded the C4 vertebral body. Intraoperative frozen section suggested a benign neurogenic tumor. Therefore, partial tumor resection was performed, leaving the portion embedded within the C4 vertebral body. Posterior fixation was achieved using lateral mass screws at C3 and C5 to ensure spinal stability.

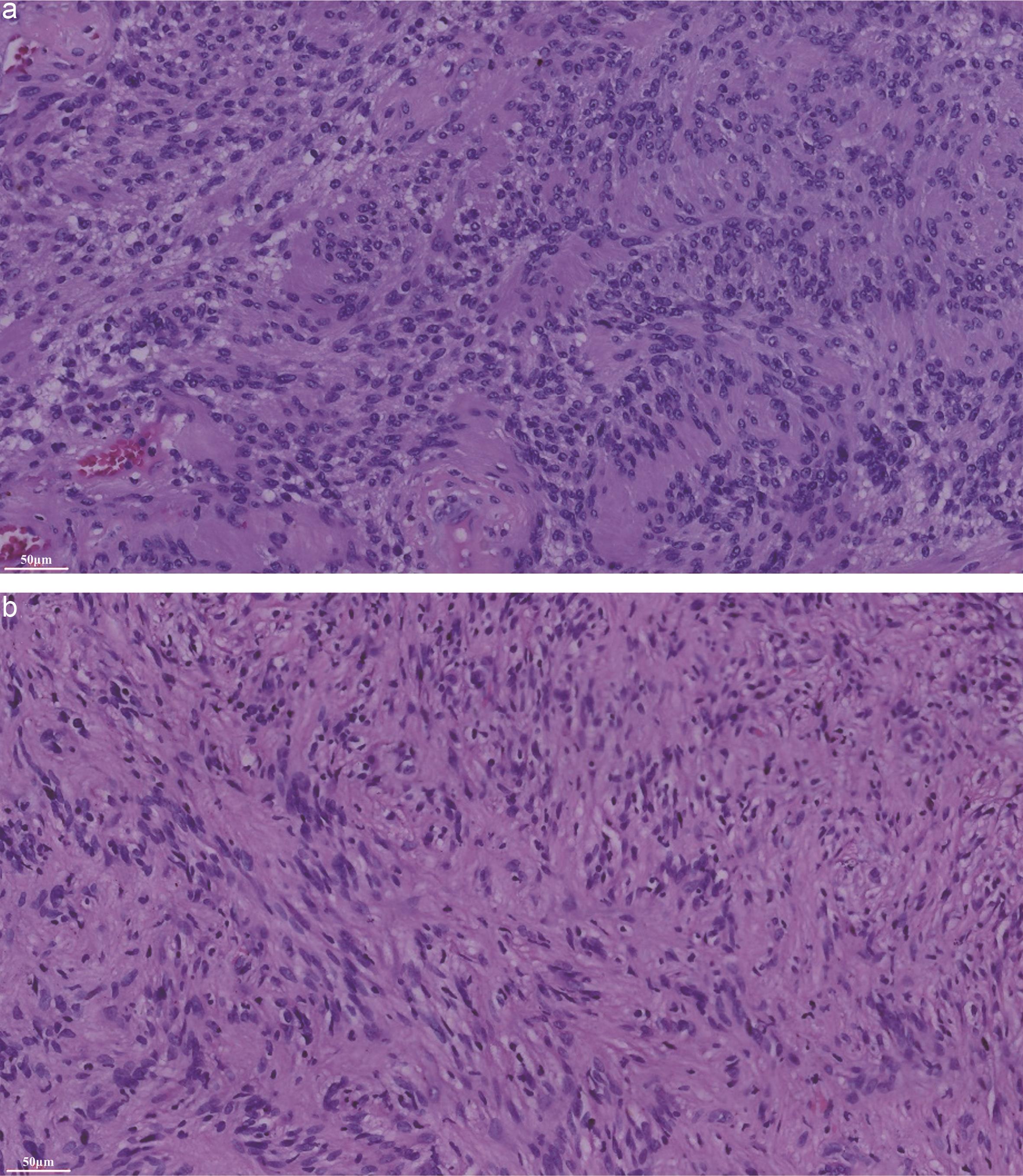
During the second-stage surgery (November 23, 2018), an anterolateral cervical approach was used for C4 vertebrectomy. A transverse neck incision was made, and careful dissection was carried out to expose the C4 vertebral body. Complete corpectomy of C4 was performed. A titanium mesh cage filled with autologous bone graft was inserted between the C3 and C5 vertebral bodies, and an anterior cervical plate was placed for stabilization. Both intraoperative and final histopathological evaluations of the tumor tissue confirmed the diagnosis of schwannoma (Fig. 2). Further immunohistochemical analysis revealed the tumor was positive for S-100, vimentin, and B-cell lymphoma 2, but negative for cluster of differentiation 34, smooth muscle actin and desmin. The Ki-67 labeling index was low, indicating limited proliferative activity.

The tumor tissue was removed (a) during the first operation and (b) during the second operation.
Fig. 2  The tumor tissue was removed (a) during the first operation and (b) during the second operation.

Histopathological images demonstrate the proliferation of spindle-shaped cells (a and b), which are compatible with a schwannoma.

The postoperative course was uneventful, and the patient’s limb weakness gradually improved. One year after surgery, the patient could walk and write independently, with strength regained to 4/5 in the upper extremities and 5/5 in the lower extremities. The modified Japanese Orthopedic Association score improved to 15 out of 17 points. A review of cervical MRI (Fig. 3a and b) one year postoperatively showed no tumor recurrence. CT (Fig. 3c) demonstrated good fusion of the vertebral bodies, and X-ray films (Fig. 3d) showed stable fixation materials without loosening or displacement. Currently, the patient’s bowel function has improved; however, he still requires assistance with defecation in bed.

Follow-up MRI, CT, and X-ray 12 months after surgery.
Fig. 3  Follow-up MRI, CT, and X-ray 12 months after surgery.

The sagittal T2WI (a) and enhanced T1WI (b) MRI revealed that the tumor was removed totally, and there was no recurrent tumor. CT (c) demonstrated good fusion of the vertebral bodies, and X-ray films (d) showed stable fixation of materials without loosening or displacement. CT, computed tomography; MRI, magnetic resonance image; T1WI, T1-weighted image; T2WI, T2-weighted image.

Discussion

In our case, the patient presented with progressive extremity weakness and difficulty defecating, initially misdiagnosed as a metastatic spinal tumor. Imaging revealed a large epidural mass involving the C3–C5 vertebral bodies and complete erosion and collapse of the C4 vertebral body, a condition uncommon in benign tumors such as schwannomas. Subsequent biopsy and postoperative pathological examination confirmed the final diagnosis of GISS.

Metastatic spinal cord compression is the most serious complication of spinal metastases and may radiologically mimic GISS due to similar features, such as vertebral body erosion and epidural extension into surrounding planes.22 In this case, CT revealed C4 VBC caused by GISS, resembling spinal metastasis. Therefore, this tumor could not be distinguished by clinical presentation, CT, or MRI alone. For giant spinal tumors discovered initially, biopsy is more useful and is recommended to identify the source of the unknown tumor. CT-guided needle biopsy is a safe and reliable method in such cases.23

Regarding spinal schwannoma, total resection is recommended because inadequate removal may lead to regrowth, and repeated surgery introduces risks of complications.5 GISS may span extensive areas, often coexisting with nerve compression and bone destruction, complicating surgical management. Yu et al.5 and Ozdemir et al.6 summarized surgical methods used for GISS treatment in their institutions, reporting that most GISS were completely resected via a posterior approach, with spinal internal fixation not routinely performed. When the tumor invades more than 25% of the vertebral body, additional internal fixation surgery is usually required.4 In this case, the GISS invaded the entire C4 vertebral body and caused C4 VBC, resulting in spinal instability. Therefore, a two-stage operation with posterior and anterolateral approaches was planned, including tumor removal except for the portion within C4, followed by C4 vertebrectomy and intervertebral bone graft fusion with instrumentation for stability.

In this study, common symptoms of GISS included pain, motor weakness, and urinary symptoms.4–6 The patient was referred from an outside hospital with a one-year history of limb weakness and defecation difficulties after a fall. Muscle strength and excretory function improved significantly one year after surgery. Thus, the patient’s quadriplegia was mainly attributed to acute spinal cord compression with incomplete ischemia of the cervical spinal cord caused by GISS.

Although GISS is a benign tumor, in this case, its imaging features, such as VBC, marked bone destruction, and epidural occupancy, closely resembled those of malignant spinal metastases, making differentiation based on imaging alone difficult. However, GISS usually lacks systemic symptoms and grows more slowly, distinguishing it from malignant lesions.4 VBC in this case is extremely rare in nerve sheath tumors and may relate to bone resorption, mechanical instability, or impaired local blood supply due to long-term tumor compression. Destruction of vertebral structure may increase intraoperative risk, affect postoperative stability, and impact long-term recovery to some extent. Therefore, when encountering large spinal tumors with similar presentations, high priority should be given to preoperative puncture biopsy and multidisciplinary evaluation to avoid misdiagnosis.24

To better understand the characteristics and management of GISS, we reviewed 45 previously reported cases summarized in Table 1. These cases span over two decades and involve patients from various countries, with tumor locations ranging from cervical to sacral regions. Most patients presented with chronic pain, paresthesia, or motor weakness. The thoracic and lumbar spine were the most frequently involved regions, while cervical GISS was relatively uncommon.

Surgical strategies varied among reports, with most tumors removed via a posterior approach. Internal fixation was not routinely performed, and VBC was not reported in any of these cases. Although vertebral body erosion was noted in some cases, it did not progress to structural collapse. This underscores the rarity and clinical significance of our case. To the best of our knowledge, our case is the first documented GISS with confirmed C4 VBC, which complicated surgical planning and highlights the need for individualized treatment strategies.

This literature review also emphasizes the importance of preoperative biopsy in differentiating benign GISS from malignant spinal lesions, especially when imaging reveals aggressive features such as vertebral destruction. Additionally, our findings support the necessity of multidisciplinary assessment and tailored surgical staging for complex and atypical cases.

However, as a single case report, its generalizability is limited. Further multicenter case series or registry-based studies are needed to better characterize the atypical presentation of GISS and refine treatment strategies. Limitations of this case study include its nature as a single report, the lack of pre-biopsy histopathologic examination, and limited long-term follow-up beyond one year.

Conclusions

We diagnosed and treated a rare case of cervical GISS with malignant imaging findings, which resulted in an initially unidentified diagnosis due to atypical symptoms and radiographic findings. This suggests that GISS may resemble malignant spinal tumors on imaging, especially when accompanied by VBC. Therefore, for giant spinal tumors with MRI characteristics consistent with GISS but accompanied by malignant imaging features, GISS should not be excluded, and preoperative biopsy is recommended to avoid misdiagnosis and overtreatment. Additionally, multidisciplinary preoperative evaluation involving radiologists, spine surgeons, and other specialists is important for accurate diagnosis and treatment planning. Surgical staging should be individualized based on tumor location, spinal stability, and neurological status. Furthermore, long-term postoperative surveillance using MRI and CT is recommended to monitor potential tumor recurrence and hardware integrity, especially in complex multistage cases such as this one.

Declarations

Acknowledgement

None.

Ethical statement

All patient data were de-identified prior to analysis. The ethical approval was waived for this kind of study. Written informed consent was obtained from the patient for publication of the details of this case.

Funding

None.

Conflict of interest

The authors declare that the research was conducted in the absence of any commercial or financial relationships that could be construed as a potential conflict of interest.

Authors’ contributions

Concept (CMC, ZYL), data analysis, drafting and editing of the manuscript, and preparations for figures and tables (ZYL, ZLL). All authors contributed to the article and approved the submitted version.

References

  1. Conti P, Pansini G, Mouchaty H, Capuano C, Conti R. Spinal neurinomas: retrospective analysis and long-term outcome of 179 consecutively operated cases and review of the literature. Surg Neurol 2004;61(1):34-43 View Article PubMed/NCBI
  2. Li Y, Li Y, Liu J, Pang C, Li C. Concurrent spinal meningioma and giant invasive schwannoma without neurofibromatosis in children: A case report and literature review. Childs Nerv Syst 2024;40(5):1623-1630 View Article PubMed/NCBI
  3. Tish S, Habboub G, Lang M, Ostrom QT, Kruchko C, Barnholtz-Sloan JS, et al. The epidemiology of spinal schwannoma in the United States between 2006 and 2014. J Neurosurg Spine 2020;32(5):661-666 View Article PubMed/NCBI
  4. Sridhar K, Ramamurthi R, Vasudevan MC, Ramamurthi B. Giant invasive spinal schwannomas: definition and surgical management. J Neurosurg 2001;94(2 Suppl):210-215 View Article PubMed/NCBI
  5. Yu NH, Lee SE, Jahng TA, Chung CK. Giant invasive spinal schwannoma: its clinical features and surgical management. Neurosurgery 2012;71(1):58-66 View Article PubMed/NCBI
  6. Ozdemir N, Bezircioğlu H, Akar O. Giant erosive spinal schwannomas: surgical management. Br J Neurosurg 2010;24(5):526-531 View Article PubMed/NCBI
  7. Vadivelu S, Prasad P, Adesina AM, Kim E, Luerssen TG, Jea A. Giant invasive spinal schwannoma in children: a case report and review of the literature. J Med Case Rep 2013;7:289 View Article PubMed/NCBI
  8. Hou X, Yang DD, Li D, Zeng L, Li C. 3D Slicer and Sina appilication for surgical planning of giant invasive spinal schwannoma with scoliosis: A case report and literature review. Neurochirurgie 2020;66(5):396-399 View Article PubMed/NCBI
  9. Jankowski R, Szmeja J, Nowak S, Sokół B, Blok T. Giant schwannoma of the lumbar spine. A case report. Neurol Neurochir Pol 2010;44(1):91-95 View Article PubMed/NCBI
  10. Paulo D, Semonche A, Tyagi R. Surgical Management of Lumbosacral Giant Invasive Spinal Schwannoma: A Case Report and Literature Review. World Neurosurg 2018;114:13-21 View Article PubMed/NCBI
  11. Ragurajaprakash K, Hanakita J, Takahashi T, Ueno M, Minami M, Tomita Y, et al. Giant Invasive Sacral Schwannoma with Aortic Bifurcation Compression and Hydronephrosis. World Neurosurg 2020;135:267-272 View Article PubMed/NCBI
  12. Vanegas Cerna G, Barrientos Castillo RE, Nurmukhametov R, Baldoncini M, López Lara CE, Rosario A, et al. Giant Invasive Intradural Extramedullary Lumbar Schwannoma: A Case Report and Literature Review. Cureus 2023;15(6):e40708 View Article PubMed/NCBI
  13. Zhou M, Chen K, Wu C, Yang H. Giant sacral schwannoma with pelvic and lumbar spine extension. Spine J 2013;13(9):1154-1155 View Article PubMed/NCBI
  14. Hung CH, Tsai TH, Lieu AS, Lin CL, Lee KS, Hwang SL, et al. Giant invasive schwannoma of cauda equina with minimal neurologic deficit: a case report and literature review. Kaohsiung J Med Sci 2008;24(4):212-217 View Article PubMed/NCBI
  15. Valle-Giler EP, Garces J, Smith RD, Sulaiman WA. One-stage resection of giant invasive thoracic schwannoma: case report and review of literature. Ochsner J 2014;14(1):135-140 View Article PubMed/NCBI
  16. Algahtany MA, Almalki AM, Albeshre ID, Badri RN. Unique challenges in the management of a Giant retroperitoneal Schwannoma associated with vertebral body destruction and spinal canal invasion. Neurosciences (Riyadh) 2021;26(3):289-294 View Article PubMed/NCBI
  17. Togral G, Arikan M, Hasturk AE, Gungor S. Incidentally diagnosed giant invasive sacral schwannoma. Its clinical features and surgical management without stability. Neurosciences (Riyadh) 2014;19(3):224-228 View Article PubMed/NCBI
  18. Mansour M, Haider Z, Al Khiami L, Sioufi MST, Takieddin A, Al Shamat AA, et al. A rare multiple myeloma complication as a spinal cord metastasis: A case report. Clin Case Rep 2023;11(3):e7069 View Article PubMed/NCBI
  19. Georgy BA. Metastatic spinal lesions: state-of-the-art treatment options and future trends. AJNR Am J Neuroradiol 2008;29(9):1605-1611 View Article PubMed/NCBI
  20. Almetrek MA, Mahjari AA, Aldharman SS, Amer KA, Balobaid MF, Madkhali A, et al. Surgical Intervention for Spinal Lesions Due to Multiple Myeloma: A Case Report. Cureus 2023;15(1):e33505 View Article PubMed/NCBI
  21. Nikaido T, Kikuchi S, Yabuki S, Otani K, Konno S. Surgical treatment assessment using the Japanese orthopedic association cervical myelopathy evaluation questionnaire in patients with cervical myelopathy: a new outcome measure for cervical myelopathy. Spine (Phila Pa 1976) 2009;34(23):2568-2572 View Article PubMed/NCBI
  22. Loblaw DA, Perry J, Chambers A, Laperriere NJ. Systematic review of the diagnosis and management of malignant extradural spinal cord compression: the Cancer Care Ontario Practice Guidelines Initiative’s Neuro-Oncology Disease Site Group. J Clin Oncol 2005;23(9):2028-2037 View Article PubMed/NCBI
  23. Sciubba DM, Petteys RJ, Dekutoski MB, Fisher CG, Fehlings MG, Ondra SL, et al. Diagnosis and management of metastatic spine disease. A review. J Neurosurg Spine 2010;13(1):94-108 View Article PubMed/NCBI
  24. Ariyaratne S, Jenko N, Iyengar KP, James S, Mehta J, Botchu R. Primary Benign Neoplasms of the Spine. Diagnostics (Basel) 2023;13(12):2006 View Article PubMed/NCBI

About this Article

Cite this article
Liang Z, Liao Z, Chen C. Giant Invasive Spinal Schwannoma with Vertebral Body Collapse in the Cervical Spine: A Case Report and Literature Review. Neurosurgical Subspecialties. 2025;1(3):144-150. doi: 10.14218/NSSS.2025.00016.
Copy Export to RIS Export to EndNote
Article History
Received Revised Accepted Published
April 6, 2025 June 9, 2025 June 26, 2025 July 29, 2025
DOI http://dx.doi.org/10.14218/NSSS.2025.00016