v
Search
Advanced

Publications > Journals > Journal of Clinical and Translational Hepatology> Article Full Text

  • OPEN ACCESS

Clinical Characteristics and Outcomes of Portal Vein Thrombosis in Patients with Porto-sinusoidal Vascular Disease: A Cohort Study

  • Yanglan He1,
  • Hui Liu2,
  • Yanna Liu1,
  • Ying Han1,
  • Chunlei Fan1,
  • Yanjing Wu1,
  • Lingna Lyv1,
  • Xueying Liang1,* and
  • Huiguo Ding1,* 
 Author information 

Abstract

Background and Aims

Portal vein thrombosis (PVT) frequently occurs in patients with porto-sinusoidal vascular disease (PSVD), but its clinical characteristics and outcomes remain poorly understood. This study aimed to investigate the clinical features and outcomes of PVT in PSVD.

Methods

A total of 169 patients with PSVD confirmed by hepatic histology were included. PVT was diagnosed using contrast-enhanced magnetic resonance imaging or computed tomography. Demographic, clinical, and laboratory data, portal hypertension-related complications, comorbidities, and mortality were collected and compared between patients with and without PVT. The primary outcomes were baseline clinical characteristics and liver-transplantation-free mortality; the secondary outcome was the dynamic changes of PVT during follow-up.

Results

At baseline, 45 (26.6%) PSVD patients had PVT. Compared to those without PVT, patients with PVT had significantly higher rates of esophageal variceal bleeding (62.2% vs. 29.0%), ascites (73.3% vs. 35.5%), antithrombin III deficiency (78.1% vs. 38.4%) (all p < 0.001), and a history of hematological disorders (11.1% vs. 0.8%, p = 0.005). After a median follow-up of 40.1 (23.4–62.3) months, liver-transplantation-free mortality rates were 7.9% (3/38) and 1.8% (2/112) in patients with and without PVT, respectively (log-rank p = 0.110). Among 41 patients followed for a median of 17.1 (7.4–39.3) months, PVT resolved in 9.1% (1/11) of those with baseline PVT and developed in 13.3% (4/30) of those without PVT at baseline. The one- and two-year cumulative incidence rates of PVT were 3.3% and 6.7%, respectively.

Conclusions

PSVD patients with PVT experience more portal hypertension-related complications, complex coagulation profiles, hematological disorders, and a higher risk of death compared to those without PVT.

Graphical Abstract

Keywords

Portal vein thrombosis, Porto-sinusoidal vascular disease, Portal hypertension, Ascites, Variceal bleeding, Idiopathic non-cirrhotic portal hypertension, Superior mesenteric vein, Splenic vein, Mortality

Introduction

Porto-sinusoidal vascular disease (PSVD) refers to a group of hepatic vascular disorders that occur with or without portal hypertension in the absence of cirrhosis.1 The etiology and pathogenesis of PSVD remain unclear.2 PSVD may be associated with systemic conditions, including immunological disorders, hematologic diseases, infections, drug exposure, and hereditary or genetic disorders.2–4 In some PSVD patients, the underlying cause remains unidentified.5 Clinically, PSVD with portal hypertension is termed idiopathic non-cirrhotic portal hypertension, characterized by presinusoidal portal hypertension and a prothrombotic tendency, which may contribute to the development of portal vein thrombosis (PVT).1

PVT is defined as the obstruction or cavernous transformation of the main portal vein or its branches due to thrombus formation, which may extend to the superior mesenteric vein (SMV) and splenic vein (SV).6 PVT can occur in both cirrhotic and non-cirrhotic portal hypertension.7,8 A multicenter European cohort study reported that 29.5% (173/587) of PSVD patients had PVT,9 while a Chinese study found a PVT prevalence of 25.0%.10

PVT is associated with several portal hypertension-related complications, including esophageal-gastric varices, esophageal variceal bleeding (EVB), hepatic encephalopathy, splenomegaly, ascites, and hepatorenal syndrome, which contribute to substantial morbidity and mortality in cirrhotic patients.7,11,12 However, the clinical characteristics and outcomes of PVT in PSVD patients remain poorly understood. Therefore, the present study aimed to investigate the clinical characteristics and outcomes of PVT in patients with PSVD.

Methods

Patients

This was a retrospective-prospective cohort study. The PSVD cohort was established at Beijing Youan Hospital between January 2010 and November 2023.

Patients were enrolled if they met the following inclusion criteria: 1) a definitive diagnosis of PSVD confirmed by hepatic histology and 2) routine evaluation with contrast-enhanced computed tomography (CT) or magnetic resonance imaging (MRI). PSVD was diagnosed based on the criteria outlined in Baveno VII: 1) a good-quality liver biopsy without cirrhosis; 2) at least one specific histological lesion associated with PSVD (such as obliterative portal venopathy, nodular regenerative hyperplasia, or incomplete septal fibrosis) or one specific sign of portal hypertension (such as esophageal-gastric or ectopic varices, portal hypertensive gastropathy bleeding, or porto-systemic collaterals); and 3) at least one nonspecific histological feature (e.g., portal tract abnormalities, irregular distribution of portal tracts and central veins, non-zonal sinusoidal dilation, or mild perisinusoidal fibrosis) and one nonspecific sign of portal hypertension (such as ascites, platelet count < 150 × 109/L, or spleen size > 13 cm).2 Liver biopsies were performed via transjugular or percutaneous routes or as wedge biopsies during splenectomy or liver surgery. Exclusion criteria were as follows: 1) age under 18 years; 2) repeated admission; 3) previous surgeries or procedures associated with increased thrombotic risk, including splenectomy, transjugular intrahepatic portosystemic shunt, partial splenic embolization, or liver transplantation; and 4) previous use of anticoagulation therapy. The flowchart for patient enrollment is shown in Figure 1.

Flowchart of enrolled patients with porto-sinusoidal vascular disease (PSVD) in the study.
Fig. 1  Flowchart of enrolled patients with porto-sinusoidal vascular disease (PSVD) in the study.

*, median (interquartile) duration of follow-up. PVT, portal vein thrombosis; CT, computed tomography; MRI, magnetic resonance imaging.

Baseline data

Baseline data included demographics, medical history, clinical manifestations and comorbidities, laboratory and endoscopic findings, liver stiffness measurement (LSM) assessed by ultrasound elastography, and CT or MRI performed at the time of pathological confirmation of PSVD. Clinical manifestations included portal hypertension-related complications, such as esophageal-gastric varices, EVB, splenomegaly, ascites, etc. Comorbidities were categorized as follows: 1) systemic diseases associated with PSVD, including immunological disorders, hematologic disorders, infections, drug exposure, and hereditary or genetic conditions; 2) chronic liver-related factors, including alcohol abuse and hepatitis B virus (HBV) infection; and 3) other comorbidities, such as hypertension and diabetes. HBV infection was defined as HBsAg positivity. Protein C, protein S, and antithrombin III (AT-III) levels were measured using coagulation-based functional assays to diagnose corresponding deficiencies. Thromboelastography (TEG) was performed using a TEG-5000 device (Haemoscope Corporation, USA) according to the manufacturer’s instructions. LSM was measured using FibroScan® (France Ikoson Medical Technology Co., Ltd). High-risk varices (HRV) were defined endoscopically as: 1) medium or large varices (≥5 mm), or 2) small varices with red signs. Specific and nonspecific histological lesions of PSVD (as defined by consensus),1 stenosis, and the stage of fibrosis and hepatic inflammatory activity (assessed using the METAVIR scoring system) were independently re-assessed by an experienced pathologist (H.L., with more than 20 years of experience).13

Diagnosis of PVT and evaluation of its characteristics

PVT was diagnosed and assessed using contrast-enhanced CT or MRI images. PVT was defined as thrombosis within the left or right branch of the portal vein (intrahepatic PVT), the main portal vein (extrahepatic PVT), the SMV, or the SV.14 The severity of PVT was classified according to the Yerdel grading system.15

Follow-up of patients

All patients were followed up by telephone or through outpatient/inpatient records until 1) death, liver transplantation, or loss to follow-up; 2) undergoing any surgical or radiological interventional procedures; or 3) December 30, 2024. Patients who underwent CT or MRI at least six months after baseline without thrombosis-related surgical interventions during follow-up were assessed for PVT evolution.16 Additionally, data on concurrent medications, including anticoagulants and non-selective beta-blockers (NSBBs), were collected at baseline and during follow-up.

Primary and secondary outcomes

The study outcomes were defined to assess baseline clinical characteristics, prognostic impact, and incidence of PVT in PSVD patients. Primary outcomes included baseline clinical characteristics (such as demographics, portal hypertension-related complications, complex coagulation profiles, and hematological disorders) and liver-transplantation-free mortality. The secondary outcome was the evaluation of PVT status during follow-up, including persistence or resolution (i.e., disappearance of previous thrombus) in patients with baseline PVT, and PVT-free status or development of PVT in those without PVT at baseline throughout the follow-up period.16

Statistical analysis

For statistical analysis, normally distributed continuous variables were summarized using mean ± standard deviation, while non-normally distributed continuous variables were expressed as median (IQR). Categorical variables were reported as frequencies and percentages. Normality of continuous variables was assessed using normality tests and Q-Q plots, and appropriate statistical methods were applied based on data distribution. For comparisons of continuous variables, Welch’s t-test or ANOVA was used for normally distributed data, and the Wilcoxon rank-sum test or Kruskal-Wallis test was used for non-normally distributed data. For categorical data, Fisher’s exact test was applied when expected frequencies were less than 5; otherwise, the Chi-square test was used. Kaplan–Meier survival curves were generated to evaluate liver-transplantation-free survival relative to the presence of PVT, as well as across different PVT locations (intrahepatic, extrahepatic, SV, and SMV) and Yerdel grades. Cox proportional hazards regression was used to examine potential multivariable confounders. Hazard ratios (HRs) and 95% confidence intervals (CIs) were calculated for all covariates. The illustration of Yerdel’s classification was created using BioRender software (BioRender, Toronto, ON, Canada). All statistical analyses were performed using R software (version 4.2.2) and Stata software (www.stata.com ). A p-value < 0.05 was considered statistically significant.

Results

Study population

A total of 205 PSVD patients who underwent contrast-enhanced CT or MRI were initially included in this study. Thirty-six patients were excluded due to age under 18 years (n = 5), repeated admissions (n = 3), previous surgical procedures (n = 25), and anticoagulant therapy (n = 3). Thus, 169 patients, 83 males and 86 females, with a median age of 51 (37–60) years, were finally included (Fig. 1). Two PSVD patients did not exhibit specific or nonspecific signs of portal hypertension at diagnosis. Eighteen patients had immune-related diseases, four received targeted tyrosine kinase inhibitors or immunotherapy for gastrointestinal cancers, seven had hematological disorders, and 39 had no identifiable underlying disease or etiology associated with PSVD. Five patients had a history of alcohol abuse, and one patient was positive for active HBsAg.

Among the 169 patients, 156 (92.3%) underwent contrast-enhanced CT, and 13 (7.7%) underwent MRI. PVT was diagnosed in 45 (26.6%) patients at baseline. Of these, 10 (22.2%), 17 (37.8%), two (4.4%), and six (13.3%) had Yerdel grades 1, 2, 3, and 4, respectively (Fig. 2). The remaining 10 patients could not be classified using the Yerdel system because thrombosis was limited to branches of the portal vein, SV, or SMV.

Yerdel classification of portal vein thrombosis.
Fig. 2  Yerdel classification of portal vein thrombosis.

A: grade 1, < 50% occlusion of the main portal vein (PV) with no or minimal obstruction of the superior mesenteric vein (SMV, top left of left panel); B: grade 2, > 50% obstruction of main PV, including total obstruction (top right of left panel); C: grade 3, complete obstruction of main PV and proximal SMV (bottom left of left panel); D: grade 4, complete obstruction of the PV and SMV (bottom right of left panel). Red arrow: thrombosis in the PV; yellow arrow: thrombosis in the SMV. SV, splenic vein.

Clinical characteristics

Table 1 compares demographic and baseline clinical data between PSVD patients with and without PVT. Patients with PVT were significantly older than those without PVT (55 [48–63] vs. 49 [34–59] years, p < 0.05). No significant difference in gender distribution was observed between groups (p = 0.754). Compared to patients without PVT, those with PVT had significantly higher proportions of portal hypertension-related complications, including EVB (29.0% vs. 62.2%, p < 0.001), ascites (35.5% vs. 73.3%, p < 0.001), and HRV (71.1% vs. 97.1%, p = 0.003). Additionally, patients with PVT had significantly lower levels of white blood cells, red blood cells, hemoglobin, platelets, albumin, and cholinesterase, but higher prothrombin time, international normalized ratio, and greater prevalence of AT-III deficiency. No significant differences were noted in protein C or S deficiency or TEG parameters, including R, K, MA, angle, CI, G, and LY30.

Table 1

Comparison of baseline demographic, clinical, and laboratory characteristics between PSVD patients with and without PVT

VariablesPSVD with PVT (n = 45)PSVD without PVT (n = 124)p-value
Age (years)55 (48–61)49 (34–59)0.016
male23 (51.1)60 (48.4)0.754
EVB28 (62.2)36 (29.0)<0.001
Ascites33 (73.3)44 (35.5)<0.001
HRV34 (97.1)64 (71.1)0.003
LSM (kPa)9.70 (7.90–17.50)9.10 (6.60–11.90)0.067
WBC (109/L)2.41 (1.70–3.07)3.15 (2.12–4.73)0.024
RBC (1012/L)3.49 ± 1.133.89 ± 0.860.035
HGB (g/L)96 ± 31109 ± 290.014
PLT (109/L)60 (37–106)82 (54–130)0.023
ALT (U/L)16 (12–24)22 (15–33)0.004
AST (U/L)21 (17–27)27 (19–35)0.007
TBil (µmol/L)23 (14–32)17 (13–25)0.077
ALB (g/L)35 (33–40)39 (36–42)0.005
GGT (U/L)21 (13–29)38 (23–59)<0.001
CHE (U/L)4,607 ± 1,7775,700 ± 1,8080.003
Cr (µmol/L)61 (50–77)58 (50–67)0.148
PT (s)13.30 (12.30–14.60)12.00 (11.05–13.15)<0.001
PTA (%)74 ± 1583 ± 12<0.001
INR1.21 (1.11–1.32)1.11 (1.05–1.19)<0.001
APTT (s)1.93 (1.56–2.30)2.34 (1.98–2.73)<0.001
Fib (g/L)1.95 (1.56–2.32)2.34 (1.97–2.74)<0.001
D-dimer (Elevated)22 (68.8)33 (37.9)0.003
FDP (Elevated)12 (37.5)13 (15.1)0.008
MELD9.77 (8.58–11.48)8.14 (7.20–9.85)<0.001
Child-Pugh scores7 (6–8)5 (5–7)<0.001
Thromboelastography
  R (m)5.70 (4.80–7.05)5.50 (5.18–6.60)0.95
  K (m)3.20 (2.15–3.95)2.65 (2.20–3.15)0.872
  Angle (degree)53 (46–60)53 (46–58)0.695
  MA (mm)47 ± 1350 ± 70.303
  G (dyn/cm2)4.30 (3.43–6.48)4.85 (4.08–6.05)0.255
  CI−2.66 ± 2.91−2.57 ± 2.040.902
  LY30 (%)0.10 (0.10–0.10)0.10 (0.10–0.10)0.058
Test for thrombophilia
  AT-III deficiency25 (78.1)33 (38.4)<0.001
  Protein C deficiency6 (66.7)14 (60.9)>0.999
  Protein S deficiency2 (25.0)9 (42.9)0.671

Regarding medical history, PSVD patients with PVT had a higher prevalence of hematologic diseases (p = 0.005) and hypertension (p = 0.037) compared to those without PVT. There were no significant differences in alcohol abuse or HBV infection between groups (Table 2), nor in liver fibrosis stage, inflammatory cell infiltration, or steatosis (Table 3). Compared to patients without PVT, those with PVT had higher rates of nodular regenerative hyperplasia (p = 0.043) and thickening of the portal vessel wall (p < 0.001, Table 3 and Fig. 3).

Table 2

Comparison of comorbidities between PSVD patients with and without PVT

ComorbiditiesPSVD with PVT (n = 45)PSVD without PVT (n = 124)p-value
Immunological disorders6 (13.3)20 (16.2)0.656
  HIV infectionNA1 (0.8)
  Connective tissue diseaseNA1 (0.8)
  Psoriasis1 (2.2)6 (4.9)
  Rheumatoid arthritis-1 (0.8)
  Systemic lupus erythematosus1 (2.2)2 (1.6)
  Primary Sjögren’s syndromeNA1 (0.8)
  NeurodermatitisNA1 (0.8)
  Connective tissue disease1 (2.2)NA-
  Primary sclerosing cholangitis1 (2.2)NA
  Hydatidiform moleNA1 (0.8)
  POEMS1 (2.2)NA
  Hypothyroidism or hyperthyroidism1 (2.2)6 (4.9)
Chemotherapy for cancer treatment0 (0.0)4 (3.2)0.574
Hematological diseases5 (11.1)1 (0.8)0.005
  JAK2V617F positive1 (2.2)-
  Castleman1 (2.2)1 (0.8)
  Myeloproliferative neoplasm3 (6.5)-
Hypertension5 (13.0)5 (4.0)0.037
Diabetes4 (8.7)8 (6.5)0.286
Known chronic liver diseases
  Alcohol abuse1 (2.2)4 (3.2)>0.999
  HBsAg (+)1 (2.2)00.271
Table 3

Comparison of histological features between PSVD patients with and without PVT

VariablesPSVD with PVT (n = 21)PSVD without PVT (n = 55)p-value
Specific histological changes
  Obliterative portal venopathy18 (85.7)43 (78.2)0.538
  Incomplete septal fibrosis4 (19.0)10 (18.2)>0.999
  Nodular regenerative hyperplasia15 (71.4)25 (45.5)0.043
Non-specific histological changes
  Portal vein dilatation11 (52.4)37 (67.3)0.229
  Periportal abnormal vessels5 (23.8)18 (32.7)0.449
  Thickening of the portal vessel wall18 (85.7)23 (41.8)<0.001
  Herniated portal venules6 (28.6)5 (9.1)0.062
  Sinusoidal dilatation10 (47.6)31 (56.4)0.494
  Peri-venular fibrosis16 (76.2)40 (72.7)0.759
Fibrosis stage (F2–3)11 (52.4)30 (54.5)0.866
Inflammatory stage (G2–3)5 (23.8)9 (16.7)0.517
Hepatic steatosis2 (9.5)2 (3.6)0.304
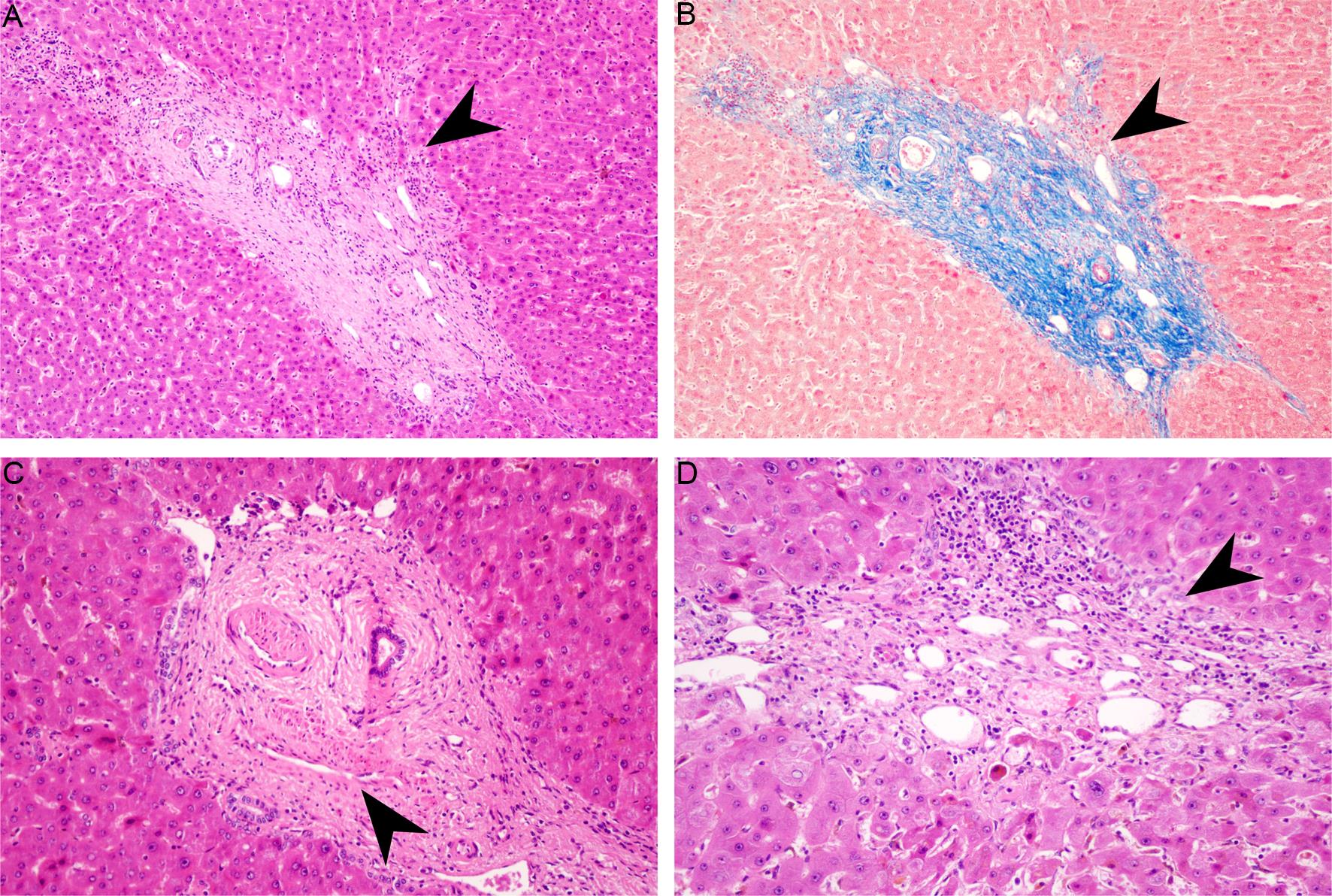
Representative histological features of a 56-year-old female PSVD patient with PVT.
Fig. 3  Representative histological features of a 56-year-old female PSVD patient with PVT.

A: Hematoxylin and eosin (HE)–stained image showing obliterative portal venopathy (OPV) (×100, black arrowhead); B: Masson’s staining of OPV (×100, black arrowhead); C: HE-stained section highlighting OPV under higher magnification (×200, black arrowhead); D: HE-stained image demonstrating thickening of the portal vein wall (black arrowhead). PSVD, porto-sinusoidal vascular disease; PVT, portal vein thrombosis.

PVT at baseline and outcomes

Of the 169 patients, 156 (92.3%) were followed up by telephone or medical records for a median of 39.8 (23.1–62.4) months. Thirteen (7.7%) patients were lost to follow-up. Follow-up duration did not significantly differ between patients with and without PVT (38.2 [22.0–59.7] vs. 44.3 [24.9–69.0] months). After excluding six patients who underwent liver transplantation, 150 patients remained for survival analysis, including five deaths and 145 survivors, over a median follow-up of 40.1 (23.4–62.3) months. Liver-transplantation-free mortality rates were 7.9% (3/38) for patients with PVT and 1.8% (2/112) for those without PVT. Although mortality was higher in patients with PVT, Kaplan–Meier analysis showed no statistically significant difference in liver transplantation-free survival between the groups (log-rank p = 0.110; Fig. 4A). However, subgroup analysis by Yerdel grade revealed significantly higher mortality in patients with grade 1 PVT (22.2%, 2/9) compared to those without PVT (1.8%, 2/112; log-rank p = 0.006; Fig. 4B). No significant mortality differences were observed among patients with intrahepatic PVT (1/30 [3.3%], p = 0.69), extrahepatic PVT (2/29 [6.9%], p = 0.69), SV thrombosis (1/11 [9.1%], p = 0.18), or SMV thrombosis (1/11 [9.1%], p = 0.69) (Supplementary Fig. 1).

Kaplan-Meier curves for overall survival in PSVD patients with PVT and Yerdel grade 1 PVT.
Fig. 4  Kaplan-Meier curves for overall survival in PSVD patients with PVT and Yerdel grade 1 PVT.

A: Kaplan-Meier survival curves comparing overall survival between PSVD patients with and without PVT. Although patients with PVT tend to have lower survival rates, the difference is not statistically significant (p = 0.100). B: Kaplan-Meier survival curves comparing PSVD patients with Yerdel grade 1 PVT and those without PVT. Patients with Yerdel grade 1 PVT show significantly worse survival outcomes (p = 0.006). Shaded areas represent 95% confidence intervals (CI). The number at risk at each time point is shown below each panel. PSVD, porto-sinusoidal vascular disease; PVT, portal vein thrombosis.

Cox proportional hazards regression indicated that PSVD patients with PVT had a fourfold increased risk of liver transplantation-free mortality (HR = 3.98; 95% CI: 0.66–23.96; p = 0.131; Table 4). In multivariable models adjusting for age and one additional covariate, HRs for PVT ranged from 1.93 to 5.10, none reaching statistical significance (all p > 0.1) (Supplementary Table 1). Conversely, patients with grade 1 PVT had a tenfold increased risk of liver transplantation-free mortality (HR = 9.5; 95% CI: 1.33–67.94; p = 0.025; Table 4). After adjusting for age, this risk remained elevated (HR = 7.32; 95% CI: 0.99–54.30; p = 0.051). In multivariable Cox models controlling for age and one additional covariate, the HR for grade 1 PVT predicting liver transplantation-free mortality ranged from 2.61 to 15.71, with significant associations observed in models including ascites (HR = 8.00; 95% CI: 1.08–58.97; p = 0.041) and comorbidities (HR = 15.71; 95% CI: 1.28–192.55; p = 0.031) (Supplementary Table 2).

Table 4

Cox regression analyses of the risk of mortality in PSVD patients

VariablesUnivariate HR 
(95% CI)p-valueModel 1 HR 
(95% CI)p-valueModel 2 HR 
(95% CI)p-value
Age (years)1.11 (1.01–1.22)0.0371.11 (1.00–1.23)0.0511.13 (0.98–1.30)0.096
Gender (Female vs. Male)5.54 ×108 (0.00–Inf)0.999
Comorbidities (Yes vs. No)2.80 (0.46–17.14)0.266
EVB (Yes vs. No)3.29 (0.54–19.84)0.195
Ascites (Yes vs. No)0.78 (0.13–4.65)0.781
PVT (Yes vs. No)3.98 (0.66–23.96)0.1312.71 (0.45–16.32)0.276
PVT Grade 1 (Yes vs. non-PVT)9.50 (1.33–67.94)0.0257.32 (0.99–54.30)0.051
WBC (109/L)0.56 (0.24–1.31)0.180
RBC (1012/L)0.18 (0.06–0.55)0.002
HGB (g/L)0.95 (0.91–0.99)0.011
PLT (109/L)0.99 (0.97–1.01)0.375
ALT (U/L)0.93 (0.84, 1.04)0.204
AST (U/L)0.99 (0.93–1.04)0.636
TBil (µmol/L)1.05 (1.01–1.09)0.023
ALB (g/L)0.89 (0.79–1.00)0.052
GGT (U/L)0.97 (0.92–1.03)0.371
CHE (U/L)1.00 (1.00–1.00)0.028
Cr (µmol/L)1.00 (0.94–1.06)0.970
PT (s)1.49 (1.03–2.15)0.032
PTA (%)0.93 (0.87–0.99)0.019
INR209.09 (3.85–11,362.92)0.009
Child-Pugh class (B+C vs. A)1.37 (0.23–8.22)0.734

Evolution of PVT during the follow-up

Overall, 41 PSVD patients (11 with PVT and 30 without PVT at baseline) underwent a second contrast-enhanced CT or MRI at least six months after baseline. Among the 11 patients with PVT, three received anticoagulation therapy: one with low-molecular-weight heparin and two with direct oral anticoagulants. The thrombus resolved in the patient treated with low-molecular-weight heparin and remained stable in the other 10 patients over a median follow-up of 17.1 (8.1–22.0) months (Fig. 1). Among the 30 patients without PVT, four (13.3%) developed PVT during a median follow-up of 16.8 (7.6–42.2) months; three of these had been treated with NSBBs. The remaining 26 patients did not develop PVT, of whom three had received NSBBs (propranolol or carvedilol). The cumulative incidence of PVT was 3.3% at one year and 6.7% at two years.

Discussion

This study provides comprehensive insights into the burden, risk factors, and clinical outcomes of PVT in patients with PSVD. Three primary findings were identified: 1) at baseline, 26.6% of PSVD patients had PVT, and this group exhibited more severe clinical features, including a higher prevalence of portal hypertension-related complications, abnormal coagulation profiles, and a greater proportion of underlying hematologic or prothrombotic disorders; 2) regarding prognosis, PSVD patients with baseline PVT had higher liver-transplantation-free mortality (7.9% vs. 1.8%), although this difference did not reach statistical significance; 3) among 30 patients without PVT at baseline, four (12.9%) developed new-onset PVT during follow-up. In contrast, most patients with baseline PVT had persistent thrombosis, with recanalization being uncommon.

The observed prevalence of PVT in this PSVD cohort was 26.6%, comparable to the 25% reported by Ma et al. in another Chinese cohort,10 but notably higher than the 6.0% reported in a European cohort.9 This discrepancy may reflect differences in diagnostic timing and awareness of PSVD. Our cohort included patients diagnosed between 2010 and 2023, a period during which PSVD was not widely recognized in clinical practice, especially in the earlier years. Moreover, the diagnosis of PSVD relies on liver pathology, often leading to delays in clinical diagnosis. In our cohort, the average time from onset of clinical symptoms (e.g., abnormal liver function, splenomegaly, thrombocytopenia, or variceal bleeding) to confirmed diagnosis was 30 months, similar to the 20-month delay reported in Ma’s study.10 Additionally, the one-year and two-year cumulative incidence rates of PVT in our cohort were 3.3% and 6.7%, respectively, aligning with previous findings of 5% and 7%.9

This study found that PSVD patients with PVT exhibited more severe portal hypertension, as evidenced by significantly higher proportions of EVB, ascites, and HRV, as well as significantly lower levels of white blood cells, red blood cells, and platelets. They also presented with more impaired hepatic synthetic function, indicated by significantly lower levels of cholinesterase and albumin. This may reflect the impact of reduced portal venous inflow on hepatic metabolic capacity and regeneration.17 Although alanine aminotransferase and aspartate aminotransferase levels were lower in PSVD patients with PVT, median values in both groups remained within normal reference ranges. Furthermore, liver pathology showed no evidence of inflammatory cell infiltration regardless of PVT presence. These findings suggest limited clinical and pathological relevance of hepatocellular injury in PSVD patients with PVT. The lack of significant differences in LSM and fibrosis stage indicates that PVT does not affect fibrosis progression but worsens portal hypertension.18

Our analysis of comorbidities and hemostatic parameters revealed that PSVD was frequently associated with thrombophilia. Consistent with a previous Chinese study,10 we found that PSVD patients commonly presented with prothrombotic conditions (e.g., myeloproliferative neoplasms), immunological disorders (e.g., systemic lupus erythematosus), and histories of drug exposure (e.g., glucocorticoids, oxaliplatin, chemotherapy agents). The prevalence of AT-III and protein C or S deficiencies in PSVD patients, especially those with PVT, has been reported to be significantly higher than in the general Chinese Han population.19 In our study, AT-III deficiency, but not protein C or S deficiency, was more prevalent in patients with PVT, supporting the notion that AT-III deficiency may be a critical prothrombotic factor in PVT development among PSVD patients. These findings align with the concept that underlying hematological conditions may contribute to PVT in PSVD patients.20,21 Although some studies have reported an association between HIV infection and PVT,22,23 our cohort included only one HIV-positive patient, suggesting HIV infection is not a major comorbidity in PSVD patients in China.10

Hereditary and acquired thrombophilias associated with these comorbidities may contribute to local microenvironment alterations, such as portal hemodynamic abnormalities that lead to the preferential consumption of specific coagulation factors or the induction of a prothrombotic endothelial phenotype.24 In our cohort, compared to PSVD patients without PVT, those with PVT exhibited a more complex hemostatic profile characterized by elevated serum D-dimer and fibrin degradation product levels, as well as prolonged prothrombin time and international normalized ratio, while TEG parameters showed no significant differences.

The histopathological characteristics of PSVD with PVT remain poorly understood.21 Previous studies have suggested that the hypercoagulable state in PSVD may lead to occlusion of small branches of the portal vein,21,25 which is considered the primary histological lesion of PSVD.25 Similar to a previous study,26 our findings show that patients with PVT had a higher prevalence of portal vein wall thickening and nodular regenerative hyperplasia compared to those without PVT.

In the present study, overall mortality was five out of 150 patients (3.3%), notably lower than rates reported in previous studies: 10% in a Japanese study,22 19% in a multicenter European study,9 37% in a two-center study,27 and 42% in an American study.28 One possible explanation is the relatively shorter median follow-up duration in our cohort (40 months) compared to six, 6.7, and eight years, respectively, in the European, Japanese, and American studies. Nevertheless, we observed a trend toward increased mortality in PSVD patients with PVT, although this association did not reach statistical significance (p = 0.110). Given this borderline p-value, these results should be interpreted with caution. Multivariable Cox regression models showed that the HR remained elevated. These findings suggest a potential association between PVT and mortality in PSVD patients, warranting confirmation in larger cohorts with longer follow-up. Ma et al. found that patients with comorbidities had higher mortality,10 consistent with the clinical features of PSVD patients with PVT in our study. In contrast to the high incidence of hepatocellular carcinoma in cirrhotic patients with PVT,28 no patient developed hepatocellular carcinoma during follow-up in our PSVD cohort, irrespective of PVT status.

Furthermore, the potential impact of medical therapy on PVT progression warrants further investigation. In our cohort, most patients with baseline PVT showed persistent thrombosis on follow-up imaging, with improvement seen only following anticoagulation therapy. This reflects current clinical practice, where anticoagulation or thrombolytic therapy is used cautiously in PSVD due to limited strong evidence or established guideline recommendations.29 Among patients without PVT at baseline, three of the four who subsequently developed PVT had received NSBBs. Although limited by sample size, this observation aligns with findings from a meta-analysis in cirrhotic populations suggesting that NSBBs may increase the risk of PVT.30

This study has several limitations. First, it included a reasonable but relatively small number of patients from a single medical center, and some subgroup analyses, such as those involving Yerdel classification or hematologic disorders, may have been underpowered. Second, data on surgical or interventional treatments, such as transjugular intrahepatic portosystemic shunt, were not the focus of this analysis, and changes in PVT status following such procedures were not systematically evaluated. Additionally, surgical history was not included as a covariate in the Cox regression model due to the limited number of outcome events and the need to avoid model overfitting. We acknowledge that the impact of surgery on mortality and PVT progression merits further investigation in larger prospective cohort studies. Finally, spleen stiffness measurement, a promising tool in PSVD evaluation,31 was not routinely performed in our clinical practice, resulting in missing data on spleen stiffness measurement.

Conclusions

PSVD patients exhibit a high prevalence of PVT, which is associated with increased mortality. Notably, PSVD patients with PVT experience more portal hypertension-related complications, complex coagulation abnormalities, hematological disorders, and a higher risk of death compared to those without PVT. These findings highlight the need for a comprehensive understanding of the etiology, pathogenesis, and clinical management of PSVD. Further large-scale, prospective, multicenter cohort studies are warranted to assess the value of routine screening for PVT and early anticoagulation therapy in PSVD patients, as well as to determine their impact on long-term prognosis.

Supporting information

Supplementary Fig. 1

Kaplan–Meier curves of liver-transplantation-free survival in PSVD patients with and without PVT subtypes.

Kaplan–Meier survival curves comparing liver-transplantation-free survival between patients without PVT (red) and those with different locations or grades of PVT (blue). PSVD, porto-sinusoidal vascular disease; PVT, portal vein thrombosis.

(DOCX)

Supplementary Table 1

Stepwise multivariable Cox regression models for mortality in PSVD patients (baseline adjusted for age and PVT).

(DOCX)

Supplementary Table 2

Stepwise multivariable Cox regression models for mortality in patients with grade 1 PVT (baseline adjusted for age and grade 1 PVT).

(DOCX)

Declarations

Acknowledgement

We would like to thank our study team for setting up and updating the prospective database, including Hangfei Xu, Zijin Liu, and Mingjie Tan. The abstract was published at the Asian Pacific Association for the Study of the Liver 2025 Conference as a poster presentation (PP1194). Please see the following link: https://www.apasl2025beijing.com/result.html.

Ethical statement

The study was conducted in accordance with the Declaration of Helsinki (as revised in 2024), and was approved by the institutional ethical committee (approval number: LL-2024-083-K). All participants provided informed consent for the use of their clinical data in research.

Data sharing statement

Data in this article can be requested by contacting HD (E-mail: dinghuiguo@ccmu.edu.cn). Data anonymized to protect patient characteristics will be provided for studies whose aims and objectives align with the study protocols. Only proposals in which data will be used for statistical and scientific studies will be considered. Data will be shared through Excel electronic forms after the signing of a data access agreement.

Funding

This study was supported by the Capital Characteristic Research Project of Beijing Municipal Science & Technology Commission (Z221100007422002) and the Capital Medical Development and Research Fund (2022-1-2181).

Conflict of interest

None to declare.

Authors’ contributions

Conceptualization (HD), formal analysis (YHe, HL), investigation (YHe, YL), resources (YHe, HL), writing–original draft (YHe, HD), writing–review and editing (YHan, CF, XL, HD), visualization (YHe, XL), supervision (YW, YHan, CF, LL, XL), project administration (HD). All authors have made intellectual contributions to the manuscript and approved the submission.

References

  1. Shukla A, Rockey DC, Kamath PS, Kleiner DE, Singh A, Vaidya A, et al. Non-cirrhotic portal fibrosis/idiopathic portal hypertension: APASL recommendations for diagnosis and management. Hepatol Int 2024;18(6):1684-1711 View Article PubMed/NCBI
  2. de Franchis R, Bosch J, Garcia-Tsao G, Reiberger T, Ripoll C, Baveno VII Faculty. Baveno VII - Renewing consensus in portal hypertension. J Hepatol 2022;76(4):959-974 View Article PubMed/NCBI
  3. Jin SJ, Choi WM. Porto-Sinusoidal Vascular Disease: A Concise Updated Summary of Epidemiology, Pathophysiology, Imaging, Clinical Features, and Treatments. Korean J Radiol 2023;24(1):31-38 View Article PubMed/NCBI
  4. De Gottardi A, Rautou PE, Schouten J, Rubbia-Brandt L, Leebeek F, Trebicka J, et al. Porto-sinusoidal vascular disease: proposal and description of a novel entity. Lancet Gastroenterol Hepatol 2019;4(5):399-411 View Article PubMed/NCBI
  5. Thrombosis and Hemostasis Group, Chinese Society of Hematology, Chinese Medical Association. [Chinese guidelines for diagnosis, prevention and treatment of thrombophilia (2021)]. Zhonghua Xue Ye Xue Za Zhi 2021;42(11):881-888 View Article PubMed/NCBI
  6. Davis JPE, Lim JK, Francis FF, Ahn J. AGA Clinical Practice Update on Management of Portal Vein Thrombosis in Patients With Cirrhosis: Expert Review. Gastroenterology 2025;168(2):396-404.e1 View Article PubMed/NCBI
  7. Intagliata NM, Caldwell SH, Tripodi A. Diagnosis, Development, and Treatment of Portal Vein Thrombosis in Patients With and Without Cirrhosis. Gastroenterology 2019;156(6):1582-1599.e1 View Article PubMed/NCBI
  8. Elisa Z, Sarah S, Alberto Z, Patrizia B, Marco S. Local and systemic thrombotic complications in cirrhotic patients with hepatocellular carcinoma. Hepato Res 2024;10:50 View Article
  9. Magaz M, Giudicelli-Lett H, Abraldes JG, Nicoară-Farcău O, Turon F, Rajoriya N, et al. Porto-sinusoidal vascular liver disorder with portal hypertension: Natural history and long-term outcome. J Hepatol 2025;82(1):72-83 View Article PubMed/NCBI
  10. Ma L, Zhang G, Wang Y, Li M, He F, Feng L, et al. Porto-sinusoidal vascular disorder with known etiologies had more severe portal hypertension and poorer outcomes. Dig Liver Dis 2025;57(3):730-737 View Article PubMed/NCBI
  11. Zhang Y, Xu BY, Wang XB, Zheng X, Huang Y, Chen J, et al. Prevalence and Clinical Significance of Portal Vein Thrombosis in Patients With Cirrhosis and Acute Decompensation. Clin Gastroenterol Hepatol 2020;18(11):2564-2572.e1 View Article PubMed/NCBI
  12. Simonetto DA, Liu M, Kamath PS. Portal Hypertension and Related Complications: Diagnosis and Management. Mayo Clin Proc 2019;94(4):714-726 View Article PubMed/NCBI
  13. Bedossa P, Poynard T. An algorithm for the grading of activity in chronic hepatitis C. The METAVIR Cooperative Study Group. Hepatology 1996;24(2):289-293 View Article PubMed/NCBI
  14. Hepatobiliary Disease Study Group, Chinese Society of Gastroenterology, Chinese Medical Association. Consensus for management of portal vein thrombosis in liver cirrhosis (2020, Shanghai). J Dig Dis 2021;22(4):176-186 View Article PubMed/NCBI
  15. Yerdel MA, Gunson B, Mirza D, Karayalçin K, Olliff S, Buckels J, et al. Portal vein thrombosis in adults undergoing liver transplantation: risk factors, screening, management, and outcome. Transplantation 2000;69(9):1873-1881 View Article PubMed/NCBI
  16. Hepatobiliary Disease Study Group, Chinese Society of Gastroenterology, Chinese Medical Association. [Consensus for management of portal vein thrombosis in liver cirrhosis (2020, Shanghai)]. Zhonghua Gan Zang Bing Za Zhi 2020;28(12):999-1007 View Article PubMed/NCBI
  17. Elnaggar AS, Griesemer AD, Bentley-Hibbert S, Brown RS, Martinez M, Lobritto SJ, et al. Liver atrophy and regeneration in noncirrhotic portal vein thrombosis: Effect of surgical shunts. Liver Transpl 2018;24(7):881-887 View Article PubMed/NCBI
  18. Barisic-Jaman M, Milosevic M, Pastrovic F, Skrtic A, Grgurevic I. Porto-sinusoidal vascular disease: a new definition of an old clinical entity. Clin Exp Hepatol 2023;9(4):297-306 View Article PubMed/NCBI
  19. Zhu TN, Zhao YQ, Ding QL, Bai X, Wang XY, Wang XF, et al. [The activity levels and prevalence of deficiency of protein C, protein S and antithrombin in Chinese Han population]. Zhonghua Xue Ye Xue Za Zhi 2012;33(2):127-130 PubMed/NCBI
  20. Giuli L, Pallozzi M, Venturini G, Gasbarrini A, Ponziani FR, Santopaolo F. Molecular Mechanisms Underlying Vascular Liver Diseases: Focus on Thrombosis. Int J Mol Sci 2023;24(16):12754 View Article PubMed/NCBI
  21. Gioia S, Nardelli S, Ridola L, d’Amati G, Riggio O. Is porto sinusoidal vascular disease to be actively searched in patients with portal vein thrombosis?. World J Hepatol 2019;11(8):613-618 View Article PubMed/NCBI
  22. Siramolpiwat S, Seijo S, Miquel R, Berzigotti A, Garcia-Criado A, Darnell A, et al. Idiopathic portal hypertension: natural history and long-term outcome. Hepatology 2014;59(6):2276-2285 View Article PubMed/NCBI
  23. Daga P, Shah I. Portal system thrombosis in an HIV-infected child. Indian J Sex Transm Dis AIDS 2021;42(2):175-176 View Article PubMed/NCBI
  24. Yang HX, Li YJ, He YL, Jin KK, Lyu LN, Ding HG. Hydrogen Sulfide Promotes Platelet Autophagy via PDGFR-α/PI3K/Akt Signaling in Cirrhotic Thrombocytopenia. J Clin Transl Hepatol 2024;12(7):625-633 View Article PubMed/NCBI
  25. Verheij J, Schouten JN, Komuta M, Nevens F, Hansen BE, Janssen HL, et al. Histological features in western patients with idiopathic non-cirrhotic portal hypertension. Histopathology 2013;62(7):1083-1091 View Article PubMed/NCBI
  26. Verheij J, Schouten JN, Komuta M, Nevens F, Hansen BE, Janssen HL, et al. Histological features in western patients with idiopathic non-cirrhotic portal hypertension. Histopathology 2013;62(7):1083-1091 View Article PubMed/NCBI
  27. Schouten JN, Nevens F, Hansen B, Laleman W, van den Born M, Komuta M, et al. Idiopathic noncirrhotic portal hypertension is associated with poor survival: results of a long-term cohort study. Aliment Pharmacol Ther 2012;35(12):1424-1433 View Article PubMed/NCBI
  28. Zhang X, Durham KM, Garza AA, Murali AR. Portal vein thrombosis, hepatic decompensation, and survival in patients with porto-sinusoidal vascular disease and portal hypertension. J Gastroenterol 2023;58(3):268-276 View Article PubMed/NCBI
  29. Baiges A, Procopet B, Silva-Junior G, Llop E, Tellez L, Darnell A, et al. Incidence and factors predictive of recurrent thrombosis in people with non-cirrhotic portal vein thrombosis. J Hepatol 2023;78(1):114-122 View Article PubMed/NCBI
  30. Xu X, Guo X, De Stefano V, Silva-Junior G, Goyal H, Bai Z, et al. Nonselective beta-blockers and development of portal vein thrombosis in liver cirrhosis: a systematic review and meta-analysis. Hepatol Int 2019;13(4):468-481 View Article PubMed/NCBI
  31. Ferreira-Silva J, Gaspar R, Liberal R, Cardoso H, Macedo G. Splenic-hepatic elastography index is useful in differentiating between porto-sinusoidal vascular disease and cirrhosis in patients with portal hypertension. Dig Liver Dis 2023;55(1):75-80 View Article PubMed/NCBI

About this Article

Cite this article
He Y, Liu H, Liu Y, Han Y, Fan C, Wu Y, et al. Clinical Characteristics and Outcomes of Portal Vein Thrombosis in Patients with Porto-sinusoidal Vascular Disease: A Cohort Study. J Clin Transl Hepatol. 2025;13(10):825-834. doi: 10.14218/JCTH.2025.00093.
Copy        Export to RIS        Export to EndNote
Article History
Received Revised Accepted Published
February 28, 2025 July 5, 2025 July 29, 2025 August 27, 2025
DOI http://dx.doi.org/10.14218/JCTH.2025.00093
  • Journal of Clinical and Translational Hepatology
  • pISSN 2225-0719
  • eISSN 2310-8819
Back to Top

Clinical Characteristics and Outcomes of Portal Vein Thrombosis in Patients with Porto-sinusoidal Vascular Disease: A Cohort Study

Yanglan He, Hui Liu, Yanna Liu, Ying Han, Chunlei Fan, Yanjing Wu, Lingna Lyv, Xueying Liang, Huiguo Ding
  • Reset Zoom
  • Download TIFF