v
Search
Advanced

Publications > Journals > Journal of Clinical and Translational Pathology> Article Full Text

  • OPEN ACCESS

Update on Selected Oncocytic Renal Cell Tumors

  • Huizhi Zhang1,
  • Ming Zhao2,
  • Zhe Zhang1 and
  • Dengfeng Cao3,* 
 Author information 

Abstract

Renal cell tumors with eosinophilic/oncocytic cells include oncocytic papillary renal neoplasm with reverse polarity, oncocytoma, chromophobe renal cell carcinoma, hybrid oncocytic/chromophobe renal tumor, succinate dehydrogenase-deficient renal cell carcinoma, translocation-associated renal cell carcinoma, etc. Recently, several novel and evolving oncocytic renal tumors have been identified, such as eosinophilic solid and cystic renal cell carcinoma, eosinophilic vacuolated tumor, and low-grade oncocytic tumor. In addition, fumarate hydratase-deficient renal cell carcinoma occasionally presents with a low-grade oncocytic morphology. Although these entities demonstrate some overlapping morphological features with oncocytoma and chromophobe renal cell carcinoma, they do have some unique morphological, immunohistochemical, and molecular profiles. In this review, we present an update on selected oncocytic renal cell tumors (eosinophilic vacuolated tumor, low-grade oncocytic tumor, eosinophilic solid and cystic renal cell carcinoma, low-grade fumarate hydratase-deficient renal cell carcinoma, and hybrid oncocytic/chromophobe renal tumor) and discuss their morphologies, immunohistochemical profiles, molecular genetic profiles, and biological behaviors.

Keywords

Kidney, Oncocytic renal tumors, Immunohistochemical markers, TSC1/TSC2, MTOR

Introduction

With advances on immunohistochemical and molecular technologies, the number of renal cell carcinoma/tumor subtypes has been consistently increasing. Several subtypes of new and emerging renal tumors have been recently described since the publication of the 2016 World Health Organization (WHO) classification of renal cell tumors, and they have been included in the 2022 WHO Classification of Tumors-Urinary and Male Genital Tumors.1,2 Among the various types of renal cell neoplasms, some of them with predominantly eosinophilic cells pose some diagnostic difficulty.3 Eosinophilic renal neoplasms show a wide spectrum of histological features. The prototypic eosinophilic renal cell neoplasms include oncocytoma and eosinophilic chromophobe renal cell carcinoma. Other tumors with eosinophilic cytoplasm include succinate dehydrogenase-deficient renal cell carcinoma (SDH-RCC),4 hybrid oncocytic/chromophobe renal tumors (HOCTs),5 and oncocytic papillary renal neoplasm with reverse polarity, etc.6

In the past few years, several new entities have been identified in the family of eosinophilic renal cell tumors, including eosinophilic solid and cystic renal cell carcinoma (ESC-RCC),7,8 eosinophilic vacuolated tumor (EVT),9 and low-grade oncocytic tumor (LOT).10 These tumors typically occur in a sporadic setting but rarely arise in association with tuberous sclerosis complex (TSC).3,9,11,12 These tumors are found to harbor mutations in the TSC1, TSC2, and/or mammalian target of rapamycin (MTOR) genes. In addition, rarely fumarate hydratase-deficient renal cell carcinoma (FH-RCC) may also present with a low-grade oncocytic morphology.13–18

In this review, we present a recent update on EVT, LOT, ESC-RCC, and low-grade oncocytic FH-RCC as well as HOCTs. We also discuss their clinical, pathological, and immunohistochemical findings as well as molecular features and patient prognosis. The key features of the entities are summarized in Table 1.

Table 1

Comparison of selected oncocytic renal tumors

TypeClinical featuresMorphologyImmunohistochemistryMolecular featuresPrognosis
EVTF > M (M:F = 1:1.3); broad age range; mostly sporadic, rare in TSC patientsSolid, nested, compact acinar growth; focally tubular or tubulocystic architecture; eosinophilic cytoplasm with variable granularity; large intracytoplasmic vacuoles; prominent nucleoliCD117+, CK7 (or rare scattered cells+), CK20 or focally positive, CD10+, cathepsin K+, vimentin, SDHB+, FH+, PAX8+TSC1, TSC2, or MTOR mutations; deletion of chromosomes 1 and 19, loss of heterozygosity on 16p11.2-11.1 and 7q31.31Indolent
LOTF > M (M:F = 1:1.4); mostly sporadic, rare in TSC patients; mostly solitary and smaller tumorsSolid, compact nested, and focally tubular or tubuloreticular growth; sharply delineated edematous stromal areas; finely granular eosinophilic cytoplasm; round-to-oval nuclei; perinuclear halosCK7+ (strong diffuse), CD117, CK20, CD10, PAX8+, GATA3+, vimentin, FOXI1, cathepsin K, pS6+, MTOR+, SDHB+, FH+TSC1/TSC2/MTOR mutations, rarely PIK3CA and RHEB mutationsIndolent
ESC-RCCMostly females; mostly sporadic, approximately 10% of TSC patientsSolid and cystic growth; abundant eosinophilic cytoplasm; prominent cytoplasmic coarse basophilic granules; cytoplasmic globules reminiscent of leishmaniasis; clusters of foamy histiocytes and lymphocytesCK20+ (diffuse or focal), CK7 (or only focally positive), CD117, CD10+, PAX8+, vimentin+, cathepsin K+, SDHB+, FH+Recurrent mutually exclusive bi-allelic loss or mutations of TSC1 and TSC2Mostly indolent, rare cases with metastasis
Low-grade oncocytic FH-RCCF > M (11:7); mean age: 25.5 years old (range: 11–54 years old); mostly solitary but can be multiple and bilateral; occasionally with coexisting high-grade FH-RCCSolid and nested patterns with focal tubular and microcystic structures; uniform polygonal tumor cells with fine granular chromatin, inconspicuous nucleoli and eosinophilic cytoplasm showing flocculent appearance with variable vacuoles and scattered inclusionsFH completely loss or partial loss, S-(2-succinyl)-cysteine positive, PAX8+, SDHB+,FH mutationMostly indolent but occasionally showing metastasis
HOCTM:F = 2:1; mean age: 48.8 years old (range: 20–83 years old); mostly as a solitary tumor but can be multiple and bilateralCompact nests and tubules in a mosaic pattern, some nests/tubules with an eosinophilic cytoplasm, whereas others with a pale cytoplasm showing some perinuclear halos; relatively uniform round nuclear contour, no prominent nucleoliLimited data, CK7+, CD117 may be positiveFolliculin mutation in BHD syndrome-associated tumorsMostly indolent but few with metastasis

EVT

EVT was initially described as a “high-grade oncocytic tumor” or “sporadic renal cell carcinoma with an eosinophilic and vacuolated cytoplasm”.9,12 Recently, the WHO has adopted the term “eosinophilic vacuolated tumor.”1 To date, nearly 60 cases have been reported.8,19–30 EVTs occur slightly more frequently in women (M:F = 1:1.3), with a broad age range of 15–73 years old (mean age: 49 years old; median age: 50 years old). They typically occur sporadically; however, they also have been reported to be associated with TSC.19–21,23

Grossly, EVT is typically solid and circumscribed with a gray, tan-to-brown cut surface. The mean tumor size is 3.5 cm (median: 3.1 cm; range: 1.3–11.5 cm).8,19–30 Microscopically, EVT typically shows a solid, nested, compact acinar, as well as focal tubular or tubulocystic architecture (Fig. 1a). The tumor cells have abundant eosinophilic cytoplasm with variable granularity and usually large intracytoplasmic vacuoles (Fig. 1b). They have round-to-oval nuclei with prominent nucleoli (corresponding to WHO/International Society of Urologic Pathologists (ISUP) grade 3). Thick-walled vessels and entrapped small non-neoplastic tubules are often present within the tumor, especially at the periphery. SDH-RCC may potentially mimic EVT,however, SDH-RCC has cytoplasmic inclusions with pale eosinophilic or flocculent material and smaller intracytoplasmic vacuoles.4,15

Eosinophilic vacuolated tumor (EVT).
Fig. 1  Eosinophilic vacuolated tumor (EVT).

(a) An EVT has a solid and compact acinar architecture and is composed of oncocytic cells. A large vessel with a thickened wall is seen. (b) The tumor cells have large intracytoplasmic vacuoles and large nuclei with prominent nucleoli (corresponding to WHO/ISUP grade 3). (c–d) Immunohistochemical analyses of EVTs reveal diffusely positive CD10 (c) and cathepsin K staining (d). (e–f) Targeted sequencing analyses of EVTs demonstrate TSC mutations (TSC2 c.3421G>A p.Ala1141Thr for this case) (e) and/or an MTOR mutation (f).

Immunohistochemically, EVTs are positive for CD117 (49/54, 91%), CD10 (45/46, 98%) (Fig. 1c), and cathepsin K (51/54 or 94%) (Fig. 1d), and they are nearly always negative for RCC, vimentin, melanoma antigen, transcription factor E3, and transcription factor EB.9,12,19–30 Cytokeratin (CK) 7 and CK20 positivity are typically restricted to scattered tumor cells (CK7 in 22/54 or 40% of tumors, CK20 in 11/36 or 30% of tumors) (Table 2). The neoplastic cells are positive for paired box gene 8 (PAX8) and show retained expression of succinate dehydrogenase B (SDHB) and fumarate hydratase (FH).

Table 2

Comparison of selected immunohistochemical markers among low-grade oncocytic tumors, eosinophilic vacuolated tumors, and eosinophilic solid and cystic renal cell carcinoma

Tumor typeCK7CK20CD117CD10RCCVimentinCathepsin-KMelanoma antigen
LOT129/129 (100%)69/69 (100%)1/110 (1%, focal)6/14 (14%, focal)0/83/51 (6%)0/460/46
EVT22/54 (41%)11/36 (31%)49/54 (91%)45/46 (98%)0/101/43 (2.3%)51/54 (94%)0/19
ESC-RCC9/49 (18.4%)56/58 (96.5%)0/2812/16 (75%)12/12 (100%)18/18 (100%)26/29 (89.7%)10/25 (40%)

At the molecular level, EVTs demonstrate TSC1 and TSC2 mutations (Fig. 1e) and/or activation of the MTOR (Fig. 1f) pathway by targeted sequencing analysis.9,12,20,24,25 The copy number alterations in EVTs include the loss of chromosome 1 and chromosome 19 as well as the loss of heterozygosity on 16p11.2-11.1 and 7q31.31.9,11,20 The pathologic stage of all reported cases was pT1,9,12,19–30 except one case with pT2.11 So far, all reported cases have exhibited an indolent behavior.9,12,19–30

LOT

LOT was initially reported by Trpkov et al.9 Subsequently, Siadat and Trpkov further elaborated this entity.1,31

To date, more than 160 cases of LOTs have been reported.10,32–42 The vast majority of reported LOT cases are sporadic, with rare cases in patients with TSC.21,23,40,41 According to some large studies, LOTs occur more frequently in women (M:F = 1:1.4), and the mean tumor size is about 3 cm (range: 0.2–14.2 cm).10,32–41 Grossly, LOTs are commonly well circumscribed, with a solid and tan-to-brown appearance on the cut surface, without visible necrosis or cysts.

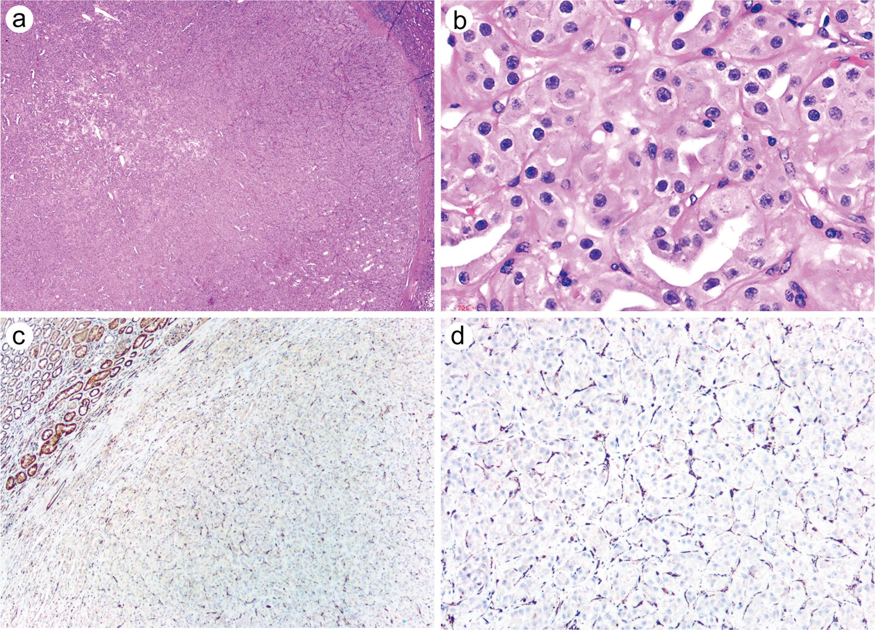
Microscopically, LOTs usually show solid, compact nested, and focally tubular or tubuloreticular growth patterns (Fig. 2a). The neoplastic cells have finely granular eosinophilic cytoplasm and round-to-oval nuclei, and they often show delicate perinuclear halos or clearings but without prominent nuclear irregularities (or “raisinoid” features) (Fig. 2b).10,32–42 Binucleated cells may be seen. LOTs frequently show characteristically sharply delineated edematous stroma (Fig. 2c), which contain loosely arranged small clusters, cords, reticular growth tumor cells, or individual elongated/myoid-like cells (Fig. 2d). The nucleoli are either small or slightly prominent (corresponding to WHO/ISUP nucleolar grade 1–2).

Low-grade oncocytic tumor (LOT).
Fig. 2  Low-grade oncocytic tumor (LOT).

(a) LOTs usually show a solid, compact nested growth pattern. (b) The tumor cells have round nuclei and delicate perinuclear clearing. (c) LOTs have sharply delineated edematous stromal areas, which are a frequent and characteristic feature. (d) The tumor cells in edematous areas are loosely arranged, showing a loose reticular pattern, and an individual cell arrangement (myoid cell-like). (e–h) Immunohistochemistry of a LOT shows diffuse CK7 expression (e), negative staining for CD117 (f), GATA3 expression (g), and mTORC1 expression (h). (i–j) Targeted sequencing analyses of a LOT demonstrate consistent genetic variations of TSC1/TSC2 (c.856A>G p.Met286Val) (i) and MTOR (j).

Immunohistochemically, LOTs typically show diffusely positive CK7 staining (129/129 or 100%, Fig. 2e) and negative or rarely focal CD117 staining (1/110 or 1% with focal staining, Fig. 2f) (Table 2).10,32–40,43 Focal CD10 staining is seen in 6/41 (15%) reported cases.10,32–40 In addition, a recent study has demonstrated consistent expression of GATA-binding protein 3 (GATA3) in LOTs (Fig. 2g).38 Moreover, GATA3 positivity has been reported in several other types of renal cell tumors, including chromophobe renal cell carcinoma (chRCC) (in about half of the cases),44 clear cell papillary renal cell tumor,45 and papillary renal neoplasm with reverse polarity.7,46,47 GATA3 positivity in LOTs suggests that they probably originate from the distal nephron. LOTs are negative for Forkhead Box I1 protein expression, which can help to distinguish LOTs from oncocytoma and eosinophilic variants of chRCC.39 Forkhead Box I1 protein is expressed on intercalated cells in the distal tubules and is typically expressed in oncocytoma and chRCC.48 As far as other immunohistochemical markers are concerned, LOTs are positive for cytokeratin AE1/AE3 and PAX8, and negative for carbonic anhydrase IX, CD10, human melanoma black 45, melanoma antigen, vimentin, cathepsin-K, alpha-methylacyl co-enzyme A racemase, transcription factor E3, and transcription factor EB. FH and succinate dehydrogenase complex iron sulfur subunit B are retained in all LOT cases.10,32–37 Markers associated with MTOR pathway activation (p-S6, p-4EBP1, and mTORC1) are often expressed in LOTs, suggesting MTOR pathway activation.37,39,42

Emerging molecular data strongly suggest frequent involvement of the tuberous sclerosis genes (TSC1, TSC2) (Fig. 2i) and MTOR (Fig. 2h, j) pathway gene mutations in LOTs.25,37–40,41,49 For example, Williamson et al. have recently identified genomic alterations involving the MTOR pathway in all evaluated LOT cases (17 cases), including TSC1 (n = 7, 41%), TSC2 (n = 2, 12%), MTOR (n = 5, 29%), or PIK3CA (n = 4, 24%).38PIK3CA is another member of the MTOR pathway that may also be altered in LOTs.37,38,49 In addition, Kapur et al. found the presence of mTORC1 pathway gene mutations across all their samples, including somatic mutations in MTOR (4/6) and RHEB (1/6), and a pathogenic germline mutation in TSC1 (1/6).41 Rare LOT cases in patients with TSC also have shown pathogenic alterations in the TSC1, TSC2, and MTOR genes.37,42 Altogether, these findings indicate that consistent genetic variations in the MTOR pathway may be involved in the pathogenesis of LOTs.

LOTs show some overlapping morphological features with oncocytoma and eosinophilic chRCC. Both LOT and oncocytoma show uniformly round-to-oval nuclei; however, the former focally display delicate perinuclear halos or clearings that are not seen in oncocytomas.10,32–40 LOTs characteristically show a predominantly solid growth with strands of tumor cells (not nests) in the edematous stroma and typically do not have a central scar.38 Oncocytoma may show degenerative atypia, which has not been reported in LOTs. The nuclear irregularities and binucleated cells in LOTs are typically scattered, in contrast to more prominent nuclear membrane irregularities and more frequent binucleated cells in eosinophilic chRCCs. In difficult cases, immunohistochemical staining for CK7 and CD117 can help with the differential diagnosis. Oncocytoma typically exhibits diffuse CD117 reactivity, and CK7 is negative or only positive in scattered tumor cells, while chRCC typically shows diffuse staining for both CK7 and CD117. LOTs always show diffuse CK7 staining and only 1/110 reported LOTs showed focal CD117 staining.10,32–40

In terms of clinical behavior, all reported LOTs showed an indolent behavior without metastasis after resection or even biopsy.10,32–40

ESC-RCC

ESC-RCC was first reported by Trpkov et al. in 2016.7 All of the reported cases in the first two series were adult females.7,8 Subsequently, ESC-RCC also has been reported in younger individuals and males.25,31,50,51 ESC-RCC is considered to be the sporadic counterpart to the third subtype (RCC with an eosinophilic cytoplasm as well as a solid and cystic growth pattern) of TSC-associated RCC.52–53 The great majority of ESC-RCCs are sporadic, with approximately 10% occurring in patients with TSC.7,8,53–60

Grossly, ESC-RCC is well-circumscribed without a fibrous capsule, showing solid and cystic growth. TSC-associated and sporadic ESC-RCCs have an identical morphology. Microscopically, ESC-RCC is usually arranged in a combination of solid and cystic areas, and the cysts are variable from microcystic to macrocystic (Fig. 3a). The solid areas exhibit diffuse, compact acinar, or nested growth patterns. The tumor cells show abundant eosinophilic cytoplasm with prominent intracytoplasmic coarse basophilic granules (“stippling,” Fig. 3b).7,8 A helpful morphological feature is the presence of densely eosinophilic-to-purple cytoplasmic globules reminiscent of leishmaniasis.7 The round-to-oval nuclei typically show no prominent nucleoli. The septa of the cysts are variably thickened and lined by hobnail cells. Morphological variations seen in some cases include focal clear cell change, chromophobe-like morphology, focal papillary architecture, insular or tubular growth, clusters of multinucleated cells and cytoplasmic vacuolization.7 Psammoma bodies or microcalcifications are found in about half of ESC-RCC cases.7,8,53–60 Clusters of foamy histiocytes and lymphocytes are frequently present. Recently, a case of ESC-RCC with melanin pigment has been reported.22

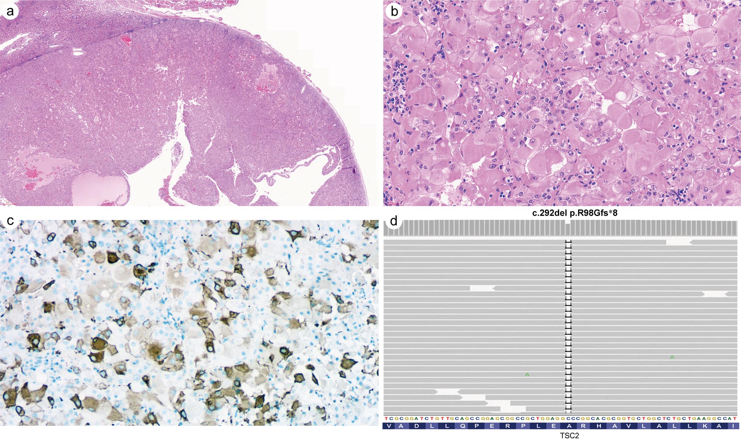
Eosinophilic solid and cystic renal cell carcinoma (ESC-RCC).
Fig. 3  Eosinophilic solid and cystic renal cell carcinoma (ESC-RCC).

(a) ESC-RCC has solid and cystic growth, and it is composed of eosinophilic cells. (b) The tumor cells have cytoplasmic stippling, which is characteristic of ESC-RCC. (c) ESC-RCC is positive for CK20 expression. (d) This ESC-RCC harbors a TSC2 (c.292del p.R98Gfs*8) mutation.

Immunohistochemically, ESC-RCCs show some unique features (Table 2).7,22,25–29,50,54,55 CK20 is diffusely or focally positive in the majority of cases (56/58 or 96.5%). CK7 is usually negative but can be focally positive in some tumors (9/49 or 18%). CD117 is consistently negative (28/28 or 100%). Cathepsin K is diffusely or focally positive in the majority (26/29 or 90%) of ESC-RCCs. Most ESC-RCCs are positive for CD10 (12/16 or 75%) and alpha-methylacyl-co-enzyme A racemase (15/20 or 75%). They are consistently positive for renal cell carcinoma antigen (12/12 or 100%) and vimentin (18/18 or 100%), and negative for carbonic anhydrase IX, transcription factor E3, transcription factor EB, and human melanoma black 45.7,22,25–29,50,54,55 Melanoma antigen may be positive in some cases (10/25 or 40%). Meanwhile, FH and SDHB are retained.

Molecular analysis of ESC-RCC has revealed consistent mutations in TSC1 and TSC2 (Fig. 3d).8,25,26,50 Mutually exclusive, somatic bi-allelic loss of TSC1/TSC2 appears to be a key alteration in ESC-RCCs. A few cases have been sequenced for TSC genes in both neoplastic and normal tissues.54,56 The results show that TSC1 or TSC2 alterations have not been identified in the adjacent non-neoplastic renal parenchyma in the sporadic cases, while they have been identified in both normal tissue and tumors of all analyzed TSC-associated ESC-RCCs. Munari et al. have found the same pathogenetic TSC1 mutation throughout all the tissue samples in the same case, demonstrating the clonal nature of TSC alterations in ESC-RCC.54

To date, approximately 90 cases have been reported.7,8,22,25–31,50,54–59 Both TSC-associated and sporadic ESC-RCCs have a comparable clinical behavior. The majority of tumors show an indolent behavior. However, rare cases with metastasis have been reported.29,50,51,55,57,59

Low-grade oncocytic FH-RCC

FH-RCC typically shows a high-grade morphology characterized by tubulopapillary, papillary, glandular, cystic, cribriform, and infiltrative patterns in variable proportions. However, in some cases, FH-RCC may show a low-grade oncocytic morphology. So far, 18 such cases (7 males, 11 females) have been reported.13–18,55,60,61 The mean age of the patients was 25.5 years old (range: 11–54 years old).

The tumor size of low-grade oncocytic FH-RCCs varies from 2 mm to 16.9 cm.13–18,55,60,61 Grossly, they are typically well circumscribed. Microscopically, they are characterized by predominant solid and nested patterns with focal tubular and microcystic structures. The polygonal tumor cells are uniform, with fine granular chromatin, inconspicuous nucleoli, and an eosinophilic cytoplasm showing a flocculent appearance with variable vacuoles and scattered inclusions (Fig. 4).13 The tumor cells may show a hobnail appearance in the tubular growth pattern.13,61 No tumor cell necrosis or lymphovascular invasion has been identified. These tumors are typically unifocal, but they can be multifocal or even bilateral.13,14,55 These tumors morphologically mimic SDH-RCC. Among the 18 reported cases, two had additional high-grade FH-RCC (one simultaneously found, one occurred 4 years later in the same kidney).13

Low-grade oncocytic fumarate hydratase-deficient renal cell carcinoma.
Fig. 4  Low-grade oncocytic fumarate hydratase-deficient renal cell carcinoma.

(a) At a low-power magnification, the tumor is well circumscribed. (b) At a high-power magnification, the tumor cells show low-grade nuclear features (some tumor cells with small nucleoli) and an abundant oncocytic cytoplasm. (c–d) Immunohistochemical staining shows the loss of fumarate hydratase protein in the tumor cells.

Immunohistochemically, all reported low-grade oncocytic FH-RCCs were positive for PAX8 and S-(2-succinyl)-cysteine, with intact SDHB and negative FH staining. Eight of 15 reported cases that were sequenced all harbored the FH mutation including exon deletion.13,14,16,17,60,61 Ten (of 18) patients had follow-up, including 8 with pure low-grade FH-RCC and 2 also with simultaneous or metachronous high-grade FH-RCC. Among the former eight patients, one patient had lymph node metastasis at the time of presentation and died of disease after 10 months,15 and the other seven patients were all alive with no evidence of disease (follow-up range: 6–109 months after surgery).13,14,16–18,55

HOCT

HOCT is a relatively poorly understood entity. They show mixed features of oncocytoma and chRCC or “ambiguous architectural and cytologic features” that cannot be put into either oncocytoma or chRCC.5,62–67 These tumors can occur in the setting of Birt-Hogg-Dube (BHD) syndrome or sporadically. According to two large studies on HOCTs in BHD syndrome, males were more often affected than females (male/female: 46/17), with a mean age of 48.5 years old (range: 31–83 years old).5,66 In the first study on the pathology in BHD syndrome, there were 130 tumors in 30 patients (25 males, 5 females) from 19 different families with BHD syndrome. Among these 130 tumors, HOCTs accounted for 50% (65/130), followed by chRCC (34%, 44/130) and clear cell renal cell carcinoma (9%, 12/130).5 The mean tumor size for HOCTs was 2.2 cm, which is smaller than that for chRCC (3.0 cm) and clear cell renal cell carcinoma (4.7 cm). Although HOCTs in BHD syndrome contain areas/zones suggestive of oncocytoma and those of chRCC, the oncocytoma-like area does not show the characteristic loose connective tissue background, central scar, or nephroid growth pattern seen in oncocytoma.5

Besides in BHD syndrome, HOCTs also occur sporadically.61–64,66,67 It is difficult to assess whether some reported sporadic HOCTs in earlier studies prior to the discovery of LOTs in 2017 may represent LOTs. According to one recent study67 including 27 patients with HOCTs (25 sporadic and 2 associated with BHD syndrome), the mean age of 25 patients with sporadic HOCTs was 63 years old (range: 28–82 years old), and most of the patients were male (19 males, 6 females). The mean tumor size of 25 sporadic HOCTs was 4.3 cm (range: 1.1–10 cm). The tumors presented with T1 in 17 (T1a in 11, T1b in 6) patients, T3a in 7 patients, and M1 in 1 patient (liver metastasis at presentation). Sporadic HOCTs presented as bilateral and multifocal tumors in 12% (3/25) and 24% (6/25) of patients, respectively.66 Microscopically, two major histological patterns were identified. The first pattern was characterized by an oncocytoma-like architecture but with chRCC-like nuclear features such as nuclear irregularity, atypia, and perinuclear halos; whereas the second pattern showed both a renal oncocytoma-appearing area and a chRCC-appearing area with an abrupt transition between them.

HOCTs in BHD syndrome are characterized by mutations in the folliculin gene, whereas sporadic HOCTs do not harbor a mutation in this gene. Sporadic HOCTs also do not harbor mutations in the driver genes as seen in classic renal cell carcinomas and oncocytoma.66 Only 5 of 16 sequenced HOCTs contained one somatic mutation each (AXIN1 in 1, ATM in 2, COL2A1 in 1, and SMARCA4 in 1).66 The mutational spectrum of sporadic HOCTs is different from that of chRCC (mutations in TP53, PTEN, and MLL3) and oncocytoma (ERCC2 mutation). On the other hand, HOCT shows a similar profile in the DNA copy number variation change to oncocytoma rather than chRCC. In terms of the RNA expression profile, HOCTs remain intermediate between oncocytoma and chRCC.66

To date, immunohistochemical data with CK7 and CD117 staining in HOCTs are limited. It is difficult to evaluate the immunohistochemical results in the literature as some studies were performed prior to the discovery of LOTs and other eosinophilic RCCs; therefore, it is difficult to know whether some HOCTs in prior studies were LOTs or other eosinophilic RCCs, etc.61–64,66,67 We stained one HOCT in a patient with BHD syndrome, and the tumor cells were focally positive for CK7 and CD117, with a mosaic pattern (Fig. 5).

A hybrid oncocytic/chromophobe renal tumor (HOCT) from a patient with Birt-Hogg-Dube syndrome.
Fig. 5  A hybrid oncocytic/chromophobe renal tumor (HOCT) from a patient with Birt-Hogg-Dube syndrome.

(a) A HOCT is typically well circumscribed. (b) The tumor cells form compact nests and acinar/tubular structures in a mosaic pattern. The tumor cells in some nests/tubules have an eosinophilic cytoplasm, whereas others are less eosinophilic and have a paler cytoplasm with some perinuclear halos. The nuclei are relatively uniform, with no prominent nuclei and a smooth nuclear contour. (c) The tumor cells are focally positive for CK7. (d) CD117 staining shows a mosaic pattern: the tumor cells with an eosinophilic cytoplasm are positively stained, whereas those with a pale cytoplasm are negatively stained.

Prognostically, most HOCTs are indolent, but metastasis has been reported in a few cases, both in BHD syndrome and in a sporadic setting.5,65,66 The distant metastasis rate was 5% in patients with BHD syndrome, and 2% of the patients had sporadic HOCTs.66 Surprisingly, few patients with distant metastasis were alive with stable disease at 5–8 years after treatment.65 In the most recent study on 25 patients with sporadic HOCTs, one patient presented with liver metastasis at presentation and another patient developed WHO/ISUP grade 4 unclassified renal cell carcinoma with a history of a HOCT.66 Prior to this study, there was another patient with a sporadic HOCT who had distant metastasis.67

Given the lack of precise diagnostic criteria and the fact that some earlier studies may have included other eosinophilic tumors, especially LOTs in HOCTs, it is difficult to compare studies in the literature. Recently, the Genitourinary Pathology Society has proposed HOCTs in the setting of BHD syndrome as “hybrid oncocytic chromophobe tumors,” whereas solitary or multiple tumors in a sporadic setting are called “oncocytic renal neoplasms of low malignant potential.”2

Conclusions

In summary, multiple subtypes of renal cell carcinoma/tumors can show an eosinophilic/oncocytic appearance. These tumors show some overlapping histological features, but they also show some unique features. Among eosinophilic renal neoplasms, LOTs, EVTs, and ESC-RCC contained mutations in TSC1/TSC2 and MTOR pathway activation; therefore, they may represent a distinct molecular subtype and benefit from MTOR inhibitor treatment in patients with distant metastasis. However, these three entities show distinct morphological features and immunohistochemical profiles; thus, they should be kept as separate pathological entities. The correct diagnosis of oncocytic renal neoplasms often requires careful morphological analysis, immunohistochemical markers, and sometimes molecular tests.

Abbreviations

BHD: 

Birt-Hogg-Dube

chRCC: 

chromophobe renal cell carcinoma

CK: 

cytokeratin

ESC-RCC: 

eosinophilic solid and cystic renal cell carcinoma

EVT: 

eosinophilic vacuolated tumor

FH-RCC: 

fumarate-deficient renal cell carcinoma

GATA3: 

GATA-binding protein 3

HOCT: 

hybrid oncocytic/chromophobe renal tumor

ISUP: 

International Society of Urologic Pathologists

LOT: 

low-grade oncocytic tumor

MTOR: 

mammalian target of rapamycin

PAX8: 

paired box gene 8

SDH-RCC: 

succinate dehydrogenase-deficient renal cell carcinoma

TSC: 

tuberous sclerosis complex

WHO: 

World Health Organization

Declarations

Acknowledgement

None.

Funding

This project was funded by the Ningbo Medical Science and Technology Project (2020Y30 to Zhang H) and the Project of NINGBO Leading Medical & Health Discipline (2022-F30 to Zhang H and Zhang Z).

Conflict of interest

Dr. Cao D has been an editorial board member of the Journal of Clinical and Translational Pathology since May 2022. The other three authors have no conflict of interests to disclose.

Authors’ contributions

Zhang H drafted the manuscript. Zhao M and Zhang Z revised the manuscript. Cao D revised and finalized the manuscript. All authors have made a significant contribution to this study and have approved the final manuscript.

References

  1. Raspollini MR, Moch H, Tan PH. Urinary and male genital tumours, 5th ed. Lyon, France: International Agency for Research on Cancer; 2022
  2. Trpkov K, Williamson SR, Gill AJ, Adeniran AJ, Agaimy A, Alaghehbandan R, et al. Novel, emerging and provisional renal entities: The Genitourinary Pathology Society (GUPS) update on renal neoplasia. Mod Pathol 2021;34(6):1167-1184 View Article PubMed/NCBI
  3. Perrino CM, Grignon DJ, Williamson SR, Idrees MT, Eble JN, Cheng L. Morphological spectrum of renal cell carcinoma, unclassified: an analysis of 136 cases. Histopathology 2018;72(2):305-319 View Article PubMed/NCBI
  4. Gill AJ, Hes O, Papathomas T, Šedivcová M, Tan PH, Agaimy A, et al. Succinate dehydrogenase (SDH)-deficient renal carcinoma: a morphologically distinct entity: a clinicopathologic series of 36 tumors from 27 patients. Am J Surg Pathol 2014;38(12):1588-1602 View Article PubMed/NCBI
  5. Pavlovich CP, Walther MM, Eyler RA, Hewitt SM, Zbar B, Linehan WM, et al. Renal tumors in the Birt-Hogg-Dubé syndrome. Am J Surg Pathol 2002;26(12):1542-1552 View Article PubMed/NCBI
  6. Al-Obaidy KI, Eble JN, Cheng L, Williamson SR, Sakr WA, Gupta N, et al. Papillary Renal Neoplasm With Reverse Polarity: A Morphologic, Immunohistochemical, and Molecular Study. Am J Surg Pathol 2019;43(8):1099-1111 View Article PubMed/NCBI
  7. Trpkov K, Hes O, Bonert M, Lopez JI, Bonsib SM, Nesi G, et al. Eosinophilic, Solid, and Cystic Renal Cell Carcinoma: Clinicopathologic Study of 16 Unique, Sporadic Neoplasms Occurring in Women. Am J Surg Pathol 2016;40(1):60-71 View Article PubMed/NCBI
  8. Trpkov K, Abou-Ouf H, Hes O, Lopez JI, Nesi G, Comperat E, et al. Eosinophilic Solid and Cystic Renal Cell Carcinoma (ESC RCC): Further Morphologic and Molecular Characterization of ESC RCC as a Distinct Entity. Am J Surg Pathol 2017;41(10):1299-1308 View Article PubMed/NCBI
  9. He H, Trpkov K, Martinek P, Isikci OT, Maggi-Galuzzi C, Alaghehbandan R, et al. “High-grade oncocytic renal tumor”: morphologic, immunohistochemical, and molecular genetic study of 14 cases. Virchows Arch 2018;473(6):725-738 View Article PubMed/NCBI
  10. Trpkov K, Williamson SR, Gao Y, Martinek P, Cheng L, Sangoi AR, et al. Low-grade oncocytic tumour of kidney (CD117-negative, cytokeratin 7-positive): a distinct entity?. Histopathology 2019;75(2):174-184 View Article PubMed/NCBI
  11. Argani P, Mehra R. Renal cell carcinoma associated with tuberous sclerosis complex (TSC)/mammalian target of rapamycin (MTOR) genetic alterations. Mod Pathol 2022;35(3):296-297 View Article PubMed/NCBI
  12. Chen YB, Mirsadraei L, Jayakumaran G, Al-Ahmadie HA, Fine SW, Gopalan A, et al. Somatic Mutations of TSC2 or MTOR Characterize a Morphologically Distinct Subset of Sporadic Renal Cell Carcinoma With Eosinophilic and Vacuolated Cytoplasm. Am J Surg Pathol 2019;43(1):121-131 View Article PubMed/NCBI
  13. Smith SC, Sirohi D, Ohe C, McHugh JB, Hornick JL, Kalariya J, et al. A distinctive, low-grade oncocytic fumarate hydratase-deficient renal cell carcinoma, morphologically reminiscent of succinate dehydrogenase-deficient renal cell carcinoma. Histopathology 2017;71(1):42-52 View Article PubMed/NCBI
  14. Pan X, Zhang M, Yao J, Zeng H, Nie L, Gong J, et al. Fumaratehydratase-deficient renal cell carcinoma: a clinicopathological and molecular study of 13 cases. J Clin Pathol 2019;72(11):748-754 View Article PubMed/NCBI
  15. Gupta S, Swanson AA, Chen YB, Lopez T, Milosevic D, Kipp BR, et al. Incidence of succinate dehydrogenase and fumarate hydratase-deficient renal cell carcinoma based on immunohistochemical screening with SDHA/SDHB and FH/2SC. Hum Pathol 2019;91:114-122 View Article PubMed/NCBI
  16. Lau HD, Chan E, Fan AC, Kunder CA, Williamson SR, Zhou M, et al. A Clinicopathologic and Molecular Analysis of Fumarate Hydratase-deficient Renal Cell Carcinoma in 32 Patients. Am J Surg Pathol 2020;44(1):98-110 View Article PubMed/NCBI
  17. Hamza A, Sirohi D, Smith SC, Amin MB. Low-grade Oncocytic Fumarate Hydratase-deficient Renal Cell Carcinoma: An Update on Biologic Potential, Morphologic Spectrum, and Differential Diagnosis With Other Low-grade Oncocytic Tumors. Adv Anat Pathol 2021;28(6):396-407 View Article PubMed/NCBI
  18. Gupta S, Menon S, Raghunathan A, Herrera-Hernandez L, Jimenez RE, Cheville JC. Do We Have Sufficient Evidence to Define Prognosis for “Low-grade” Fumarate Hydratase-deficient Renal Cell Carcinoma?. Adv Anat Pathol 2022;29(3):178-181 View Article PubMed/NCBI
  19. Farcaş M, Gatalica Z, Trpkov K, Swensen J, Zhou M, Alaghehbandan R, et al. Eosinophilic vacuolated tumor (EVT) of kidney demonstrates sporadic TSC/MTOR mutations: next-generation sequencing multi-institutional study of 19 cases. Mod Pathol 2022;35(3):344-351 View Article PubMed/NCBI
  20. Trpkov K, Bonert M, Gao Y, Kapoor A, He H, Yilmaz A, et al. High-grade oncocytic tumour (HOT) of kidney in a patient with tuberous sclerosis complex. Histopathology 2019;75(3):440-442 View Article PubMed/NCBI
  21. Kapur P, Gao M, Zhong H, Rakheja D, Cai Q, Pedrosa I, et al. Eosinophilic Vacuolated Tumor of the Kidney: A Review of Evolving Concepts in This Novel Subtype With Additional Insights From a Case With MTOR Mutation and Concomitant Chromosome 1 Loss. Adv Anat Pathol 2021;28(4):251-257 View Article PubMed/NCBI
  22. Aldera AP, Hes O. Eosinophilic Solid and Cystic Renal Cell Carcinoma With Melanin Pigment-Expanding the Morphological Spectrum. Int J Surg Pathol 2022;30(3):295-299 View Article PubMed/NCBI
  23. Zhang HZ, Xia QY, Yin XG, Wang SY. [Eosinophilic vacuolated tumor of the kidney: clinicopathological and molecular characteristics]. Zhonghua Bing Li Xue Za Zhi 2022;51(5):437-443 View Article PubMed/NCBI
  24. Gupta S, Jimenez RE, Herrera-Hernandez L, Lohse CM, Thompson RH, Boorjian SA, et al. Renal Neoplasia in Tuberous Sclerosis: A Study of 41 Patients. Mayo Clin Proc 2021;96(6):1470-1489 View Article PubMed/NCBI
  25. Lerma LA, Schade GR, Tretiakova MS. Co-existence of ESC-RCC, EVT, and LOT as synchronous and metachronous tumors in six patients with multifocal neoplasia but without clinical features of tuberous sclerosis complex. Hum Pathol 2021;116:1-11 View Article PubMed/NCBI
  26. Xia QY, Wang XT, Zhao M, He HY, Fang R, Ye SB, et al. TSC/MTOR -associated Eosinophilic Renal Tumors Exhibit a Heterogeneous Clinicopathologic Spectrum : A Targeted Next-generation Sequencing and Gene Expression Profiling Study. Am J Surg Pathol 2022;46(11):1562-1576 View Article PubMed/NCBI
  27. Li XL, Cai SS, Zhang WJ, Shen JH. [Eosinophilic solid and cystic renal cell carcinoma: a clinicopathological analysis of four cases]. Zhonghua Zhong Liu Za Zhi 2021;43(9):955-958 View Article PubMed/NCBI
  28. Lobo J, Rechsteiner M, Helmchen BM, Rupp NJ, Weber A, Moch H. Eosinophilic solid and cystic renal cell carcinoma and renal cell carcinomas with TFEB alterations: a comparative study. Histopathology 2022;81(1):32-43 View Article PubMed/NCBI
  29. Parilla M, Kadri S, Patil SA, Ritterhouse L, Segal J, Henriksen KJ, et al. Are Sporadic Eosinophilic Solid and Cystic Renal Cell Carcinomas Characterized by Somatic Tuberous Sclerosis Gene Mutations?. Am J Surg Pathol 2018;42(7):911-917 View Article PubMed/NCBI
  30. Kartal İ, Ivelik HI, Çoşer Ş, Tunç H, Açıkalın MF. Eosinophilic Vacuolated Tumor of Kidney: Clinical Perspective of a New Pathologic Emerging Entity. Cureus 2022;14(5):e24716 View Article PubMed/NCBI
  31. Siadat F, Trpkov K. ESC, ALK, HOT and LOT: Three Letter Acronyms of Emerging Renal Entities Knocking on the Door of the WHO Classification. Cancers (Basel) 2020;12(1):168 View Article PubMed/NCBI
  32. Akgul M, Al-Obaidy KI, Cheng L, Idrees MT. Low-grade oncocytic tumour expands the spectrum of renal oncocytic tumours and deserves separate classification: a review of 23 cases from a single tertiary institute. J Clin Pathol 2022;75(11):772-775 View Article PubMed/NCBI
  33. Bai YF, Chang CD, Wang B, Zhao M, Teng XD. [CK7+/CD117- low grade oncocytic tumor of the kidney: a clinicopathological analysis]. Zhonghua Bing Li Xue Za Zhi 2022;51(10):976-980 View Article PubMed/NCBI
  34. Guo Q, Liu N, Wang F, Guo Y, Yang B, Cao Z, et al. Characterization of a distinct low-grade oncocytic renal tumor (CD117-negative and cytokeratin 7-positive) based on a tertiary oncology center experience: the new evidence from China. Virchows Arch 2021;478(3):449-458 View Article PubMed/NCBI
  35. Gupta S, Rowsey RA, Cheville JC, Jimenez RE. Morphologic overlap between low-grade oncocytic tumor and eosinophilic variant of chromophobe renal cell carcinoma. Hum Pathol 2022;119:114-116 View Article PubMed/NCBI
  36. Xie B, Cheng LC, Yin GL, Liu BA, Hu ZL, Tong K. [Clinicopathological features of low-grade oncocytic renal tumor (CD117-negative, cytokeratin 7-positive): report of seven cases]. Zhonghua Bing Li Xue Za Zhi 2022;51(8):719-725 View Article PubMed/NCBI
  37. Zhang HZ, Xia QY, Wang SY, Shi MJ, Wang SY. Low-grade oncocytic tumor of kidney harboring TSC/MTOR mutation: clinicopathologic, immunohistochemical and molecular characteristics support a distinct entity. Virchows Arch 2022;480(5):999-1008 View Article PubMed/NCBI
  38. Williamson SR, Hes O, Trpkov K, Aggarwal A, Satapathy A, Mishra S, et al. Low-grade oncocytic tumour of the kidney is characterised by genetic alterations of TSC1, TSC2, MTOR or PIK3CA and consistent GATA3 positivity. Histopathology 2023;82(2):296-304 View Article PubMed/NCBI
  39. Morini A, Drossart T, Timsit MO, Sibony M, Vasiliu V, Gimenez-Roqueplo AP, et al. Low-grade oncocytic renal tumor (LOT): mutations in mTOR pathway genes and low expression of FOXI1. Mod Pathol 2022;35(3):352-360 View Article PubMed/NCBI
  40. Kravtsov O, Gupta S, Cheville JC, Sukov WR, Rowsey R, Herrera-Hernandez LP, et al. Low-Grade Oncocytic Tumor of Kidney (CK7-Positive, CD117-Negative): Incidence in a single institutional experience with clinicopathological and molecular characteristics. Hum Pathol 2021;114:9-18 View Article PubMed/NCBI
  41. Kapur P, Gao M, Zhong H, Chintalapati S, Mitui M, Barnes SD, et al. Germline and sporadic mTOR pathway mutations in low-grade oncocytic tumor of the kidney. Mod Pathol 2022;35(3):333-343 View Article PubMed/NCBI
  42. Hes O, Petersson F, Kuroda N, Hora M, Michal M. Renal hybrid oncocytic/chromophobe tumors - a review. Histol Histopathol 2013;28(10):1257-1264 View Article PubMed/NCBI
  43. Tjota MY, Wanjari P, Segal J, Antic T. TSC/MTOR-mutated eosinophilic renal tumors are a distinct entity that is CK7+/CK20-/vimentin-: a validation study. Hum Pathol 2021;115:84-95 View Article PubMed/NCBI
  44. Miettinen M, McCue PA, Sarlomo-Rikala M, Rys J, Czapiewski P, Wazny K, et al. GATA3: a multispecific but potentially useful marker in surgical pathology: a systematic analysis of 2500 epithelial and nonepithelial tumors. Am J Surg Pathol 2014;38(1):13-22 View Article PubMed/NCBI
  45. Mantilla JG, Antic T, Tretiakova M. GATA3 as a valuable marker to distinguish clear cell papillary renal cell carcinomas from morphologic mimics. Hum Pathol 2017;66:152-158 View Article PubMed/NCBI
  46. Kiyozawa D, Kohashi K, Takamatsu D, Yamamoto T, Eto M, Iwasaki T, et al. Morphological, immunohistochemical, and genomic analyses of papillary renal neoplasm with reverse polarity. Hum Pathol 2021;112:48-58 View Article PubMed/NCBI
  47. Shen M, Yin X, Bai Y, Zhang H, Ru G, He X, et al. Papillary renal neoplasm with reverse polarity: A clinicopathological and molecular genetic characterization of 16 cases with expanding the morphologic spectrum and further support for a novel entity. Front Oncol 2022;12:930296 View Article PubMed/NCBI
  48. Tong K, Hu Z. FOXI1 expression in chromophobe renal cell carcinoma and renal oncocytoma: a study of The Cancer Genome Atlas transcriptome-based outlier mining and immunohistochemistry. Virchows Arch 2021;478(4):647-658 View Article PubMed/NCBI
  49. Mohanty SK, Satapathy A, Aggarwal A, Mishra SK, Sampat NY, Sharma S, et al. Oncocytic renal neoplasms with diffuse keratin 7 immunohistochemistry harbor frequent alterations in the mammalian target of rapamycin pathway. Mod Pathol 2022;35(3):361-375 View Article PubMed/NCBI
  50. Palsgrove DN, Li Y, Pratilas CA, Lin MT, Pallavajjalla A, Gocke C, et al. Eosinophilic Solid and Cystic (ESC) Renal Cell Carcinomas Harbor TSC Mutations: Molecular Analysis Supports an Expanding Clinicopathologic Spectrum. Am J Surg Pathol 2018;42(9):1166-1181 View Article PubMed/NCBI
  51. Sakhadeo U, Yadav SC, Bakshi GK, Prakash G, Katdare A, Menon S, et al. Eosinophilic solid cystic renal cell carcinoma: A series of 3 cases elucidating the spectrum of morphological and clinical features of an emerging new entity. Indian J Urol 2021;37(4):350-354 View Article PubMed/NCBI
  52. Yang P, Cornejo KM, Sadow PM, Cheng L, Wang M, Xiao Y, et al. Renal cell carcinoma in tuberous sclerosis complex. Am J Surg Pathol 2014;38(7):895-909 View Article PubMed/NCBI
  53. Guo J, Tretiakova MS, Troxell ML, Osunkoya AO, Fadare O, Sangoi AR, et al. Tuberous sclerosis-associated renal cell carcinoma: a clinicopathologic study of 57 separate carcinomas in 18 patients. Am J Surg Pathol 2014;38(11):1457-1467 View Article PubMed/NCBI
  54. Munari E, Settanni G, Caliò A, Segala D, Lonardi S, Sandrini S, et al. TSC loss is a clonal event in eosinophilic solid and cystic renal cell carcinoma: a multiregional tumor sampling study. Mod Pathol 2022;35(3):376-385 View Article PubMed/NCBI
  55. Li Y, Reuter VE, Matoso A, Netto GJ, Epstein JI, Argani P. Re-evaluation of 33 ‘unclassified’ eosinophilic renal cell carcinomas in young patients. Histopathology 2018;72(4):588-600 View Article PubMed/NCBI
  56. Mehra R, Vats P, Cao X, Su F, Lee ND, Lonigro R, et al. Somatic Bi-allelic Loss of TSC Genes in Eosinophilic Solid and Cystic Renal Cell Carcinoma. Eur Urol 2018;74(4):483-486 View Article PubMed/NCBI
  57. Tretiakova MS. Eosinophilic solid and cystic renal cell carcinoma mimicking epithelioid angiomyolipoma: series of 4 primary tumors and 2 metastases. Hum Pathol 2018;80:65-75 View Article PubMed/NCBI
  58. Wang H, Li QX, He HY. [Clinicopathologic characteristics of eosinophilic solid and cystic renal cell carcinoma]. Zhonghua Bing Li Xue Za Zhi 2018;47(8):627-628 View Article PubMed/NCBI
  59. McKenney JK, Przybycin CG, Trpkov K, Magi-Galluzzi C. Eosinophilic solid and cystic renal cell carcinomas have metastatic potential. Histopathology 2018;72(6):1066-1067 View Article PubMed/NCBI
  60. da Cunha IW, da Costa WH, Morini MA, Bezerra SM, Carraro DM, Torrezan GT, et al. Expanding morphological and clinical aspects of hereditary leiomyomatosis and renal cell carcinoma (HLRCC): a case report in a patient with unusual morphology and clinical presentation. Virchows Arch 2018;473(6):775-779 View Article PubMed/NCBI
  61. Wyvekens N, Anderson WJ, Kim YX, Carter M, Hirsch MS. Low-Grade Fumarate Hydratase-Deficient Renal Cell Carcinoma in a 30-Year-Old Female. Int J Surg Pathol 2022;30(2):184-189 View Article PubMed/NCBI
  62. Waldert M, Klatte T, Haitel A, Ozsoy M, Schmidbauer J, Marberger M, et al. Hybrid renal cell carcinomas containing histopathologic features of chromophobe renal cell carcinomas and oncocytomas have excellent oncologic outcomes. Eur Urol 2010;57(4):661-665 View Article PubMed/NCBI
  63. Petersson F, Gatalica Z, Grossmann P, Perez Montiel MD, Alvarado Cabrero I, Bulimbasic S, et al. Sporadic hybrid oncocytic/chromophobe tumor of the kidney: a clinicopathologic, histomorphologic, immunohistochemical, ultrastructural, and molecular cytogenetic study of 14 cases. Virchows Arch 2010;456(4):355-365 View Article PubMed/NCBI
  64. Poté N, Vieillefond A, Couturier J, Arrufat S, Metzger I, Delongchamps NB, et al. Hybrid oncocytic/chromophobe renal cell tumours do not display genomic features of chromophobe renal cell carcinomas. Virchows Arch 2013;462(6):633-638 View Article PubMed/NCBI
  65. Benusiglio PR, Giraud S, Deveaux S, Méjean A, Correas JM, Joly D, et al. Renal cell tumour characteristics in patients with the Birt-Hogg-Dubé cancer susceptibility syndrome: a retrospective, multicentre study. Orphanet J Rare Dis 2014;9:163 View Article PubMed/NCBI
  66. Ruiz-Cordero R, Rao P, Li L, Qi Y, Atherton D, Peng B, et al. Hybrid oncocytic/chromophobe renal tumors are molecularly distinct from oncocytoma and chromophobe renal cell carcinoma. Mod Pathol 2019;32(11):1698-1707 View Article PubMed/NCBI
  67. Aslam MI, Spencer L, Garcea G, Pollard C, Metcalfe MS, Harrison RF, et al. A case of liver metastasis from an oncocytoma with a focal area of chromophobe renal cell carcinoma: a wolf in sheep’s clothing. Int J Surg Pathol 2009;17(2):158-162 View Article PubMed/NCBI

About this Article

Cite this article
Zhang H, Zhao M, Zhang Z, Cao D. Update on Selected Oncocytic Renal Cell Tumors. J Clin Transl Pathol. 2023;3(1):10-19. doi: 10.14218/JCTP.2022.00032.
Copy        Export to RIS        Export to EndNote
Article History
Received Revised Accepted Published
December 5, 2022 March 9, 2023 March 13, 2023 March 27, 2023
DOI http://dx.doi.org/10.14218/JCTP.2022.00032
  • Journal of Clinical and Translational Pathology
  • pISSN 2993-5202
  • eISSN 2771-165X
Back to Top

Update on Selected Oncocytic Renal Cell Tumors

Huizhi Zhang, Ming Zhao, Zhe Zhang, Dengfeng Cao
  • Reset Zoom
  • Download TIFF