v
Search
Advanced

Publications > Journals > Journal of Clinical and Translational Pathology> Article Full Text

  • OPEN ACCESS

Bethesda System for Reporting Thyroid Cytopathology–An Updated Review

  • Min Han and
  • Fang Fan* 
 Author information 

Abstract

The Bethesda System for Reporting Thyroid Cytopathology is the first reporting system established in non-gynecologic cytopathology after the Bethesda System for Reporting Cervical Cytopathology. It adopts the same concept of providing a uniform reporting system for all pathologists and clinicians to follow in thyroid cytology. The reporting system is composed of six diagnostic categories. There are defined diagnostic criteria, estimated risk of malignancy, and management recommendations for each category. The reporting system has undergone two revisions upon the emergence of a new entity, updated terminology in histology, and development and refinement of molecular testing. The third edition is soon to be published in 2023. This review will provide an updated summary of the reporting system. Potential diagnostic pitfalls and molecular testing are also discussed.

Keywords

Thyroid, Cytopathology, Bethesda Reporting System, Fine-needle aspiration

Introduction

Thyroid nodules are very common and may occur in up to 50% of adults.1 With the advancement of imaging technologies, more thyroid nodules are detected in asymptomatic patients, either during routine check-ups or staging for tumors other than the thyroid. Most thyroid nodules are benign. Thyroid fine-needle aspiration (FNA) has been established as a first-line triaging tool after the ultrasound examination. The thyroid Bethesda Reporting System, first published in 2010, established a standardized, category-based reporting system.2 Since its first publication, the reporting system has been widely adopted by cytopathologists in the United States and worldwide. The reporting system has six categories with clearly stated diagnostic criteria, sample explanatory notes, and, more importantly, clinically implied risk of malignancy (ROM) for each category and management guidance.

In 2017, the histologic diagnostic category of noninvasive follicular thyroid neoplasm with papillary-like nuclear features (NIFTP) was introduced, which impacted the ROM of the Bethesda Thyroid Reporting System, especially the indeterminant categories, including atypia of undetermined significance (AUS), (suspicious for) follicular neoplasm (S/FN), and suspicious for malignancy (SM) categories because follicular patterned lesions with nuclear features of papillary thyroid carcinoma (PTC) are no longer always malignant. The second edition of the Bethesda Thyroid Reporting System was then published in 2017 to adjust the ROM of each diagnostic category and add explanatory notes to state that certain SFN and SM may represent the newly established NIFTP in histologic diagnosis.3 The second edition also added molecular testing to manage lesions in indeterminant categories.4

Since the publication of the second edition, new data from prospective studies on ROM have been published in the literature.5 Molecular tests are refined and updated.6 The new American Thyroid Association (ATA) guideline will be published in 2023. The new WHO Classification of Thyroid Neoplasms has proposed new terminology.7 Accordingly, the third edition of the Bethesda Thyroid Reporting System will be published in June 2023.8 The third edition focuses on simplifying diagnostic categories with single names for each category, adopting the new histologic terminologies according to the 2022 WHO Classification on Thyroid Neoplasms (Table 1), and updating the risk of malignancy for each category (Table 2). Application of The Bethesda System for Reporting Thyroid Cytopathology (TBSRTC) in pediatric thyroid nodules is added in the third edition, as well as two new chapters, including “Clinical Perspectives and Imaging studies” and “Use of Molecular and other Ancillary Tests.” This review will provide an updated summary of the reporting system. Potential diagnostic pitfalls and molecular testing are also discussed.

Table 1

The Bethesda System for Reporting Thyroid Cytopathology*

INondiagnosticCyst fluid only; Virtually acellular specimen; Other (obscuring blood, clotting artifact, drying artifact, etc.)
IIBenignConsistent with follicular nodular disease (includes adenomatoid nodule, colloid nodule, etc.); Consistent with chronic lymphocytic (Hashimoto) thyroiditis in the proper clinical context; Consistent with granulomatous (subacute) thyroiditis; Other
IIIAtypia of Undetermined Significance (AUS)AUS-nuclear atypia; AUS-Other
IVFollicular neoplasmSpecify if oncocytic (Hurthle cell) type
VSuspicious for MalignancySuspicious for papillary thyroid carcinoma; Suspicious for medullary thyroid carcinoma; Suspicious for metastatic carcinoma; Suspicious for lymphoma
VIMalignantPapillary thyroid carcinoma; High-grade follicular derived carcinoma; Medullary thyroid carcinoma; Undifferentiated (anaplastic) carcinoma; Squamous cell carcinoma; Carcinoma with mixed features; Metastatic malignancy; Non-Hodgkin lymphoma; Other
Table 2

The Bethesda System for Reporting Thyroid Cytopathology: implied risk of malignancy (ROM) and recommended clinical management*

Diagnostic categoryROM average% (range)Usual management
Nondiagnostic13 (5–20)Repeat with ultrasound guidance
Benign4 (2–7)Clinical and sonographic follow-up
Atypia of Undetermined Significance22 (12–30)Repeat fine-needle aspiration (FNA), molecular testing, diagnostic lobectomy, or surveillance
Follicular neoplasm30 (23–34)Molecular testing, diagnostic lobectomy
Suspicious for Malignancy74 (67–83)Molecular testing, lobectomy, or near-total thyroidectomy
Malignant97 (97–100)Lobectomy or near-total thyroidectomy

The reporting system (Table 1)

Non-diagnostic

Diagnostic criteria

  • Fail to meet adequacy criteria (6 groups with at least 10 well-preserved, well-stained cells in each group, preferably on a single slide);

  • Poorly prepared, poorly stained, or significantly obscured follicular cells;

  • Cyst fluid, with or without histiocytes, and fewer than six groups of ten benign follicular cells.

Exceptions:

  • Any atypia;

  • Solid nodule with inflammation (thyroiditis);

  • Abundant colloid (colloid nodules).

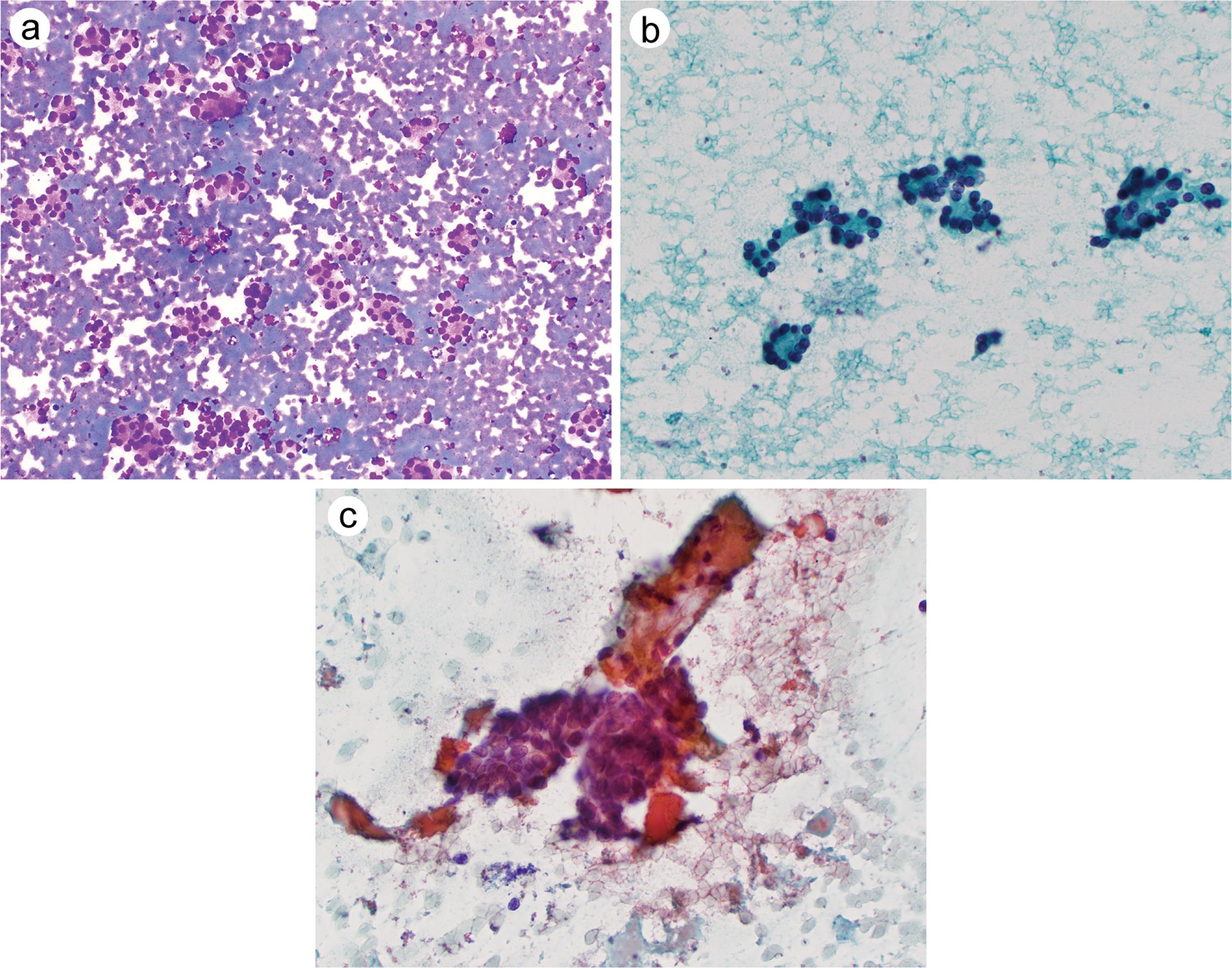
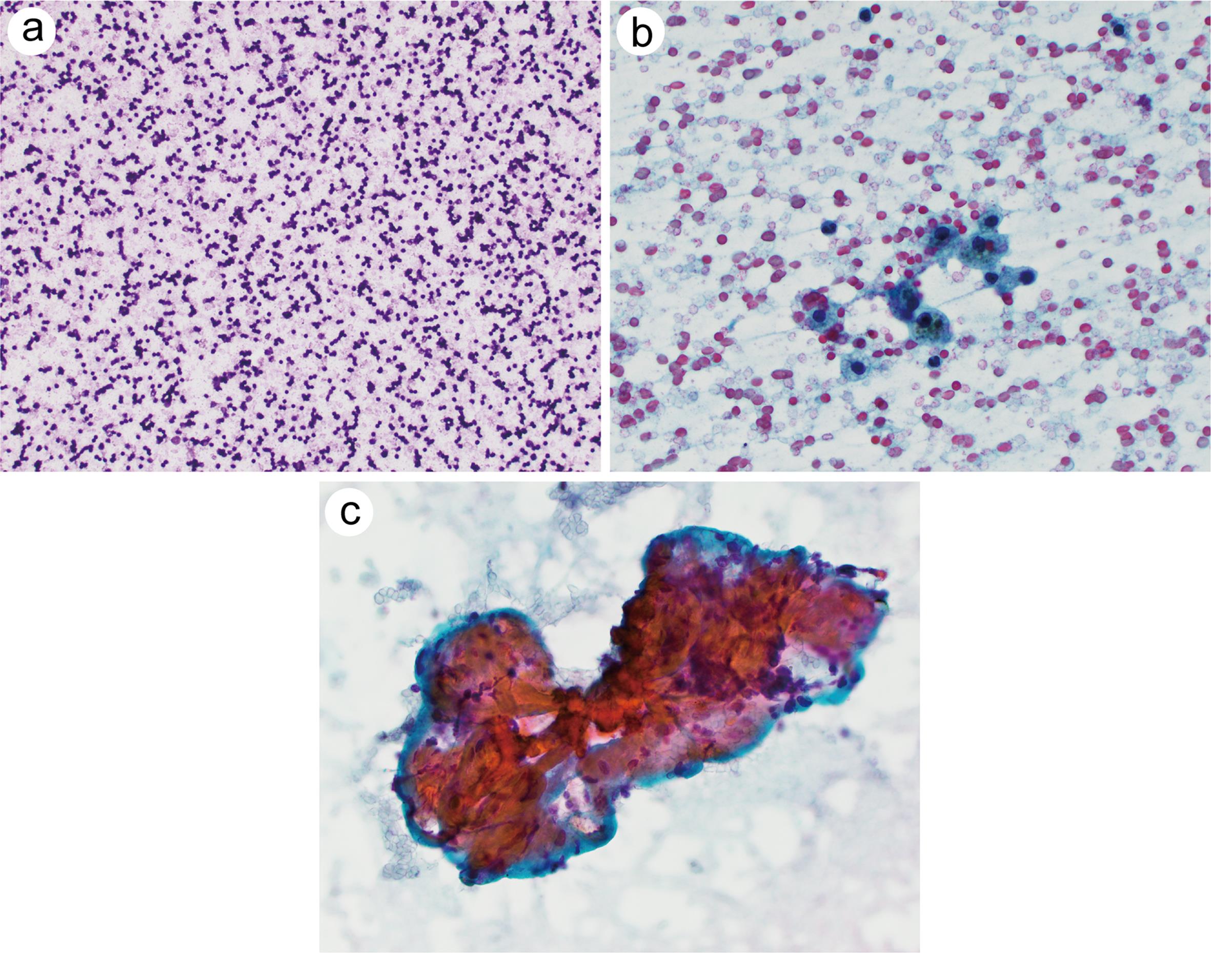
In the third edition of TBSRTC, “Unsatisfactory” is removed from the name of the category. A cyst fluid-only specimen is non-diagnostic but may be clinically adequate in a proper clinical context (ultrasound showing a simple unilocular cyst). Examples of non-diagnostic thyroid FNA are illustrated in Figure 1.

Non-diagnostic.
Fig. 1  Non-diagnostic.

(a) The smear is composed of blood only (smear, Diff-Quik stain). (b) The smear shows foamy macrophages and degenerated cyst fluid, with no follicular cells (smear, Diff-Quik stain). (c) Scant follicular groups are trapped in blood clots, which are insufficient for evaluation (smear, Pap stain).

Differential diagnosis and potential pitfalls

It is vital to recognize thick and watery colloids and not mistake cyst fluid and blood serum as thin colloid and skeletal muscle as thick colloid (Fig. 2).

Colloid.
Fig. 2  Colloid.

(a) Colloid is green or orange-pink on Pap stains. The thin watery colloid is shiny and “bubbly.” It forms a thin membrane with frequent folds giving an appearance of “beach waves” or “crazy pavement” (smear, Pap stain). (b) Colloid is blue-violet on Diff-Quik stains. Thick colloid has a hyaline appearance (smear, Diff-Quik stain) and (c) often with cracking (“stained glass cracking” appearance) (smear, Diff-Quik stain).

Ancillary testing

The role of molecular testing in this category is unknown, and molecular testing is usually not performed. If performed, the result should be interpreted cautiously due to potential false negative results.

Risk of malignancy (ROM) and clinical management recommendation

There is no updated data on ROM upon publishing the third edition of TBSRTC. The risk of malignancy in the non-diagnostic category is estimated at 13% (5–20%). The usual management is to repeat FNA with ultrasound guidance. However, there is no definitive recommended time interval for repeating an FNA in patients with a non-diagnostic interpretation of thyroid FNAs.

Benign

Diagnostic criteria

Follicular nodular disease (FND)

The term FND was introduced in the 2022 WHO Classification of Thyroid Neoplasms. It encompasses a spectrum of benign thyroid follicular lesions, including colloid nodules, hyperplastic nodules, and adenomatous ones. Diagnostic criteria in thyroid FNAs include:

  • A variable amount of colloid and cellularity (meeting the criteria for adequacy if not abundant colloid):

    • Colloid is green or orange-pink on Pap stains and blue-violet on Diff-Quik stains. The thin watery colloid is shiny and forms a thin membrane with frequent folds giving an appearance of “waves” or “crazy pavement.” Thick colloid has a hyaline appearance and often with cracking (“stained glass cracking” appearance).

  • Follicular cells arrange in flat sheets, spherules, or small tissue fragments (Fig. 3);

  • Follicular cells are small (similar size as adjacent red blood cells) and evenly spaced with no nuclear enlargement, crowding, or overlapping;

  • The cells have round to oval nuclei, evenly granular chromatin, and scant or moderate amount of cytoplasm.

Benign (consistent with follicular nodular disease).
Fig. 3  Benign (consistent with follicular nodular disease).

(a) Follicular groups arrange in flat sheets. Follicular cells are small (similar size as adjacent red blood cells) and evenly spaced with no nuclear enlargement, crowding, or overlapping. The cells have round to oval nuclei, evenly granular chromatin, and a scant or moderate amount of cytoplasm (smear, Pap stain). (b) Adjacent colloid is present (smear, Diff-Quik stain).

Lymphocytic thyroiditis (LT)

LT includes several forms of thyroiditis, predominantly chronic lymphocytic thyroiditis (Hashimoto thyroiditis). Accurate subtyping of LT requires clinical and serologic correlations. Diagnostic criteria include:

  • Polymorphous population of lymphocytes admixed with follicular cells/oncocytic cells (Fig. 4);

  • Prominent fibrosis and decreased cellularity may be present;

  • A minimum number of follicular cells for adequacy is not required in the setting of LT.

Benign (consistent with lymphocytic thyroiditis).
Fig. 4  Benign (consistent with lymphocytic thyroiditis).

Abundant polymorphous lymphocytes and plasma cells are seen on this smear which are admixed with oncocytes (smear, Pap stain).

The benign category should account for 60–70% of all thyroid FNA diagnoses. The success of the TBSRTC relies on the success of this category to prevent unnecessary surgeries.

Differential diagnosis and potential pitfalls

Follicular cells may appear as individual stripped (“naked”) nuclei and should not be mistaken as lymphocytes. The mere presence of microfollicles does not preclude a diagnosis of FND.9,10 When microfollicles are less than 10% of the follicular cell population, and microfollicles are made of cells similar to those in adjacent flat sheets and do not show nuclear enlargement and overlapping, they still represent features of a benign follicular nodule (Fig. 2c).

Follicular cells trapped in blood clots may show artifactual crowdedness or microfollicles. If other areas of the slides show benign findings, the case should be considered benign.

When oncocytic cells are a predominant feature, it should not be automatically considered oncocytic neoplasm. When oncocytic cells are associated with background colloid, lymphocytes, or oncocytic cells appear uniform, the lesion should be diagnosed as benign.11

Ancillary testing

A diagnosis of a benign thyroid nodule does not need additional molecular testing.

Risk of malignancy (ROM) and clinical management recommendation

ROM of the benign category is approximately 4% (2–7%). Conservative follow-up, including periodic clinical and radiologic examinations, is recommended.

Atypia of undetermined significance

The third edition of TBSRTC simplified the terminology and removed “follicular lesion of undetermined significance (FLUS)” from the diagnostic term. It also re-organized AUS scenarios and formalized subclassification of AUS as AUS-nuclear atypia and AUS-other.

Diagnostic criteria4

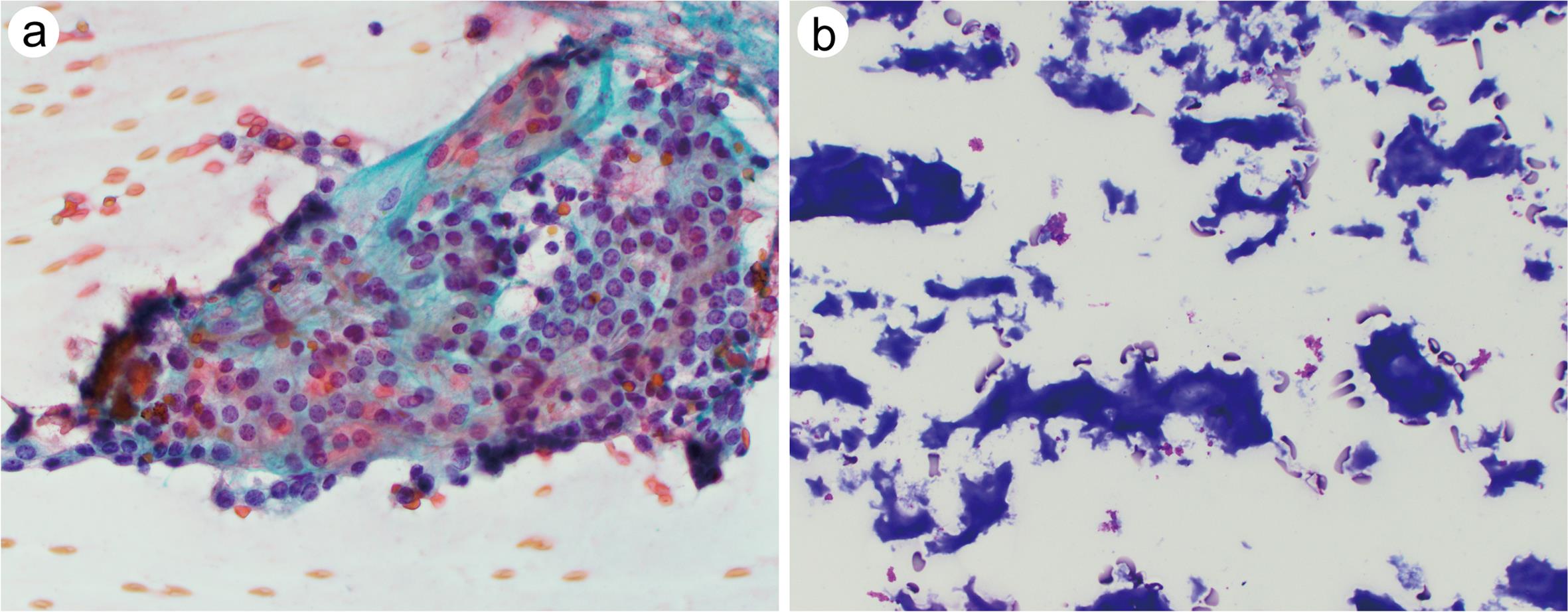
AUS - nuclear atypia (Fig. 5)
  • Focal nuclear atypia: Rare cells show nuclear enlargement, nuclear pallor, and irregular nuclear membrane. Intranuclear pseudoinclusions are absent.

  • Extensive but mild nuclear atypia: Many cells show mildly enlarged nuclei, slightly pallor chromatin, and only limited irregular nuclear membrane. Intranuclear pseudoinclusions are absent;

  • Atypical cyst-lining cells: In a typical setting of cyst-lining cells, some cells show more elongated nuclei, nuclear grooves, chromatin pallor, or rare intranuclear pseudoinclusions;12

  • “Histiocytoid” cells: These cells raise suspicion for cystic papillary thyroid carcinoma. The atypical histiocytoid cells are larger than the background histiocytes. Cytoplasm is denser without hemosiderin or microvacuoles. Large cytoplasmic vacuoles may be present;13,14

  • Nuclear and architectural atypia: Scantly cellular specimens show microfollicular patterns, with follicular cells showing nuclear enlargement, nuclear pallor, and irregular nuclear membrane. This pattern raises suspicion about NIFTP.

Atypia of undetermined significance (AUS)-nuclear atypia.
Fig. 5  Atypia of undetermined significance (AUS)-nuclear atypia.

(a) Focal nuclear atypia. Rare cells show nuclear enlargement, nuclear pallor, and irregular nuclear membrane. Intranuclear pseudoinclusions are absent (smear, Pap stain). (b) “Histiocytoid” cells. The atypical histiocytoid cells are larger than normal histiocytes. Nuclei are enlarged with the irregular nuclear membrane. Cytoplasm contains microvacuoles with defined borders. These cells raise suspicion for cystic papillary thyroid carcinoma (smear, Diff-Quik stain).

AUS – other
  • Architectural atypia: A paucicellular specimen contains follicular cells in three-dimensional groups or microfollicles. Colloid is scant;

  • Oncocytic atypia: A sparsely cellular specimen contains exclusively oncocytes and minimal colloid, or a cellular specimen exclusively contains oncocytes in the clinical setting of lymphocytic thyroiditis;

  • Atypia, not otherwise specified: There are nuclear changes not suggestive of papillary thyroid carcinoma, including nuclear enlargement and prominent nucleoli, or there are psammomatous calcifications with no cellular features of PTC;

  • Atypical lymphoid cells rule out lymphoma

Differential diagnosis and potential pitfalls

AUS should be reserved for cases where the findings raise concerns for papillary thyroid carcinoma, follicular neoplasm, or other malignancy. However, the quantity and/or quality of atypia is insufficient for a more definitive interpretation. For this entity to remain a valid and valuable category, AUS should not be over-used.15 Cases with scant follicular groups trapped in fibrin clots with crowded architecture or focal nuclear pallor should be called non-diagnostic instead of AUS. A cellular aspirate with predominant benign findings and only focal microfollicles should be called benign, not AUS. AUS serves as a good quality measure. The second edition of TBSRTC proposes that AUS should remain < 10% of all thyroid diagnoses. Alternatively, an AUS/malignant ratio not exceeding 3 is suggested as a good quality measure for a cytopathology lab.16

Ancillary testing

Molecular testing is a recommended clinical management step for AUS but not reflex testing for AUS. Molecular testing may further classify thyroid lesions into AUS diagnosis as low-risk or high-risk lesions. While low-risk lesions may return to surveillance, high-risk lesions require a surgical referral (lobectomy or total thyroidectomy).

Molecular alterations considered high-risk for thyroid cancers usually include BRAFV600E mutations, RET/PTC fusions, ALK fusions, NTRK fusions, and p53 mutations. Those associated with low to intermediate risks include BRAFK601E mutation, RAS mutations, PAX8-PPARG fusion, and THADA fusions.17–19 Several molecular test platforms are available such as Afirma and ThyroSeq.20 A recent study showed no statistically significant difference in diagnostic performance among different tests; however, molecular test did successfully prevent unnecessary diagnostic surgeries in a significant percentage of patients who had an indeterminant thyroid FNA diagnosis.21

Risk of malignancy (ROM) and clinical management recommendation

The average ROM of the AUS category is 22% (13–30%).8 Patients with a diagnosis of AUS on their thyroid lesions should be managed conservatively. Clinical management recommendation includes repeat FNA, molecular testing, diagnostic lobectomy, or surveillance.

Follicular neoplasm

The third edition of TBSRTC simplified the terminology of this category and removed “Suspicious for follicular neoplasm (FN)” from the diagnostic term. Follicular neoplasm represents an infrequent diagnosis (approximately 7%) in thyroid FNAs.

Diagnostic criteria4

  • Architectural patterns: microfollicular, crowded three-dimensional, and trabecular patterns;

  • Cytologic findings (typical FN scenario):

    • round nuclei, clumpy or mildly hyperchromatic chromatin;

    • inconspicuous nucleoli;

    • lack of nuclear clearing, nuclear grooves, intranuclear pseudoinclusions;

  • Cytologic findings (atypical features, potential NIFTP/follicular variant of papillary thyroid carcinoma (FVPTC) scenario):

    • Mild nuclear enlargement;

    • Nuclear pallor/clearing;

    • Irregular nuclear membrane (nuclear grooves);

    • Absent or rare intranuclear pseudoinclusions.

    • Follicular pattern, lack of true papillae

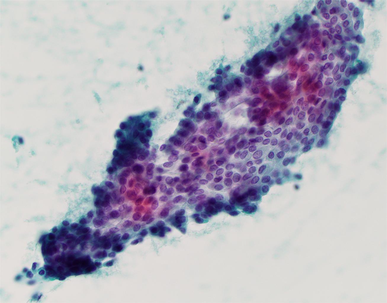
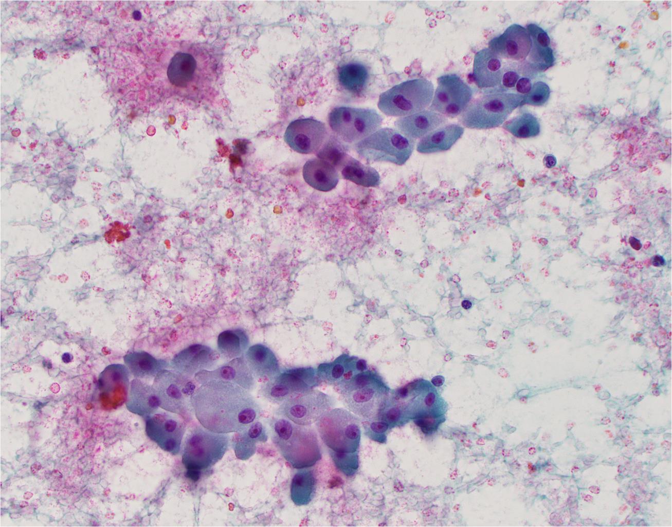
Follicular patterned lesions with typical cytologic features represent a traditionally typical follicular neoplasm scenario (Fig. 6a). The corresponding histologic findings include follicular adenoma, adenomatous nodule, or rarely follicular carcinoma. Distinction among these three entities cannot be made in cytology. Follicular patterned lesions with atypical cytologic features such as nuclear pallor, irregular nuclear membrane, and mild nuclear enlargement represent a potential NIFTP/FVPTC scenario (Fig. 6b).22 The third edition of TBSRTC increases the awareness of NIFTP in cytologic diagnosis. When NIFTP is suspected, the lesion should be put in the follicular neoplasm category, not the suspicious for malignancy/malignant category, to avoid overtreatment with aggressive surgery.

Follicular neoplasm.
Fig. 6  Follicular neoplasm.

(a) The smear is cellular and composed of follicular cells in microfollicles and three-dimensional groups. There is nuclear enlargement with nuclear crowding and overlapping (smear, Diff-Quik stain). (b) Nuclear chromatin is uniformly granular. Features of papillary thyroid carcinoma are not present (smear, Pap stain). (c) In contrast to the chromatin pattern in B, this follicular-patterned lesion shows nuclear pallor and clearing and occasional nuclear grooves (smear, Pap stain).

Differential diagnosis and potential pitfalls

The hallmark of FN is the architectural pattern of microfollicles. It has been proposed that microfollicle designation be limited to crowded flat groups of less than 15 follicular cells arranged in a circle that is at least two-thirds complete.23 Sometimes, crowded follicular cells form ribbons (trabecular pattern). Not all follicular structured groups represent microfollicles. The key defining features of microfollicles are nuclear crowding and overlapping. The mere presence of microfollicles does not warrant a diagnosis of FN if it represents a small percentage of the follicular groups seen or is identified in a scantly cellular specimen.

When colloid is scant or absent, the possibility of parathyroid adenoma or metastatic neuroendocrine tumor should be raised. A review of the clinical history and imaging findings may be helpful. Immunohistochemical staining is useful if there is enough cellular material on the cellblock.

Ancillary testing

Follicular patterned neoplasm, including follicular adenoma, follicular carcinoma, NIFTP, and FVPTC, share some common molecular alterations, including point mutations in the RAS gene family and PPARG rearrangements.24 Molecular testing is one of the recommended management steps. It can help further stratify or omit surgery (see discussion under AUS).

Risk of malignancy (ROM) and clinical management recommendation

ROM of the follicular neoplasm category is approximately 30% (23–34%). Clinical management recommendation includes molecular testing and diagnostic lobectomy.7

Oncocytic follicular neoplasm (OFN)

In the 3rd edition of TBSRTC, the term Hurthle cell is replaced by Oncocyte, corresponding to the changes in the 2022 WHO Thyroid Neoplasm book. The diagnostic criteria remain the same:

  • Smears are cellular and composed of almost exclusively oncocytes (Fig. 7):

    • Enlarged central or eccentrically located nuclei with prominent nucleoli;

    • Abundant finely granular cytoplasm;

    • Binucleation common;

    • Presence of atypia/dysplasia:

      • Small cells with a high nuclear/cytoplasmic ratio (small cell dysplasia);

      • Large cells with at least two times variability in nuclear size (large cell dysplasia);

  • Oncocytes are dispersed as single cells or sometimes form crowded groups;

  • No or scant colloid;

  • Lack of background lymphocytes or plasma cells.

Oncocytic follicular neoplasm.
Fig. 7  Oncocytic follicular neoplasm.

The smear is cellular and composed of almost exclusively oncocytes. There is cytologic atypia, including variability in nuclear size and enlarged nuclei with prominent nucleoli (smear, Pap stain).

A scantly cellular specimen composed of exclusive oncocytes should be diagnosed as AUS. A cellular specimen composed of exclusive oncocytes without dysplasia may be called benign if an abundant colloid exists.25 If there is no accompanying colloid, while some may still diagnose such cases as benign, others may call it oncocytic follicular neoplasm. In contrast, cellular specimens composed of exclusive oncocytes with dysplasia, even in the presence of abundant colloid (usually watery colloid), should be categorized as OFN.26 A follicular neoplasm case with focal oncocytes should be classified as follicular neoplasm if the oncytes population is less than 75%. In the clinical context of lymphocytic thyroiditis or follicular nodular disease, the presence of pure oncocytes without lymphocytes (former) or normal follicular cells (later) may be diagnosed as AUS instead of OFN to avoid unnecessary surgery. An explanatory note commenting that the lesion may represent oncocytic hyperplasia in the setting of LT or FND is helpful.

Suspicious for Malignancy

The suspicious category is used when cytomorphologic features raise a strong suspicion of malignancy but are quantitatively or qualitatively insufficient for a definitive conclusive diagnosis.

Diagnostic criteria4

Suspicious for papillary thyroid carcinoma (Fig. 8)
  • Patchy nuclear changes pattern:

    • Unremarkable follicular cells are admixed with cells showing nuclear enlargement, nuclear pallor, nuclear grooves, and fine chromatin;

    • Intranuclear pseudoinclusions are scant or absent;

    • Papillary architecture and psammoma bodies are absent;

  • Incomplete nuclear changes pattern:

    • Generalized nuclear enlargement, nuclear pallor, and nuclear grooves;

    • Irregular nuclear membrane and intranuclear pseudoinclusions are scant or absent;

    • Papillary architecture and psammoma bodies are absent;

  • Sparsely cellular specimen pattern:

  • Cystic degeneration pattern;

    • Background of cystic debris and macrophages;

    • Nuclear enlargement and nuclear pallor;

    • Atypical histiocytoid cells with cytoplasmic vacuoles.

    • Papillary architecture and psammoma bodies are absent.

Suspicious for papillary thyroid carcinoma.
Fig. 8  Suspicious for papillary thyroid carcinoma.

Patchy nuclear changes pattern. Follicular cells in the center of this group show nuclear enlargement and elongation, nuclear pallor, irregular nuclear membrane, and nuclear grooves. Adjacent follicular groups show the normal nuclear size and chromatin pattern (smear, Pap stain).

Suspicious for medullary thyroid carcinoma
  • Discohesive monomorphic cells with high nuclear/cytoplasmic ratio; smudged chromatin due to poor preservation;

  • Small fragments of amorphous material, indeterminant between colloid and amyloid;

  • Insufficient material for ancillary immunohistochemical staining to confirm the diagnosis.

Suspicious for lymphoma
  • Abundant monomorphic small- to medium-sized lymphocytes; however, with no immunophenotyping support from flow cytometry;

  • Scant atypical large lymphocytes, insufficient material for ancillary immunocytochemistry or flow cytometry study.

Suspicious for metastatic carcinoma and others
  • Scant atypical cells are present, and there is insufficient material for additional immunohistochemical staining to confirm/exclude a definitive diagnosis.

Differential diagnosis and potential pitfalls

The suspicious category falls between AUS and Malignant categories; therefore, differential diagnosis usually includes AUS and Malignant. The distinction may be subjective and varies among pathologists on the threshold of quantity and quality. When uncertain if the atypical cytologic findings could represent benign findings, the diagnosis should remain AUS. When one is almost certain of the malignant nature of the lesion but lacks that one last thing quantitatively or qualitatively, the diagnosis should be suspicious for malignancy.

Differential diagnosis of suspicious for lymphoma includes lymphocytic thyroiditis and sampling of an adjacent benign lymph node.

Ancillary testing

Molecular testing has been shown to increase ROM from about 74% to 95% with positive results.27 It identifies a subset of high-risk cancers, helps optimize the extent of surgery, and facilitates individualized patient care.28

Ancillary testing is essential in working up non-PTC type malignancies in the thyroid. ROSE (rapid onsite specimen evaluation) can raise the possibility of non-PTC type malignancies and anticipate the need for ancillary testing. If ROSE is not routinely performed for thyroid FNAs, it is crucial to collect extra passes for cellblocks if the clinical suspicion for non-PTC type malignancy is high, for example, in patients with elevated serum calcitonin or in patients to rule out metastasis. If there is a concern for lymphoma in patients with chronic lymphocytic thyroiditis, samples should be collected for flow cytometry.

Risk of malignancy (ROM) and clinical management recommendation

ROM of this category is 74% (67–83%). Clinical management recommendation includes molecular testing, lobectomy, or near-total thyroidectomy.

Malignant

Diagnostic criteria

Papillary thyroid carcinoma and subtypes
  • Moderately to markedly cellular;

  • Cohesive groups arranged in flat sheets/monolayers, finger-like papillary fragments;

  • microfollicles and swirls (Fig. 9);

  • Various degrees of nuclear crowding and overlapping

  • Typical PTC nuclear features:

    • Convoluted nuclear contour (Fig. 10);

    • Intranuclear cytoplasmic pseudoinclusions (INCIs);

    • Nuclear grooves;

    • Pale chromatin;

    • Nuclear enlargement;

    • Small nucleoli, single or multiple, often eccentric;

  • Cytoplasmic changes: granular, eosinophilic, squamoid, oncocytic, histiocytoid;

  • Colloid (dense bubblegum-like or watery) is usually scant or absent;

  • Psammoma body may be present in a subset (4–20%) of cases, but it is not pathognomonic for PTC (positive predictive value ∼50%);

  • Multinucleated giant cells and histiocytes may be present;

  • Single-cell predominant pattern is uncommon and raises the possibility of medullary, poorly differentiated, and undifferentiated carcinomas;

  • Mitosis, necrosis, and markedly pleomorphic/bizarre cells suggest high-grade subtypes of differentiated carcinoma and raise the possibility of less common tumors, such as poorly differentiated and undifferentiated (anaplastic) carcinomas and metastasis.

Architectural pattern of papillary thyroid carcinoma (PTC).
Fig. 9  Architectural pattern of papillary thyroid carcinoma (PTC).

(a) Finger-like branching papillary fragments (smear, Pap stain); (b) Monolayer flat sheets/macrofollicles with crowded and overlapping nuclei (smear, Pap stain); (c) Microfollicles adjacent to papillary fragments (smear, Diff-Quik stain); (d) Swirls (smear, Pap stain).

Nuclear features of papillary thyroid carcinoma (PTC).
Fig. 10  Nuclear features of papillary thyroid carcinoma (PTC).

(a) Nuclear enlargement, convoluted nuclear contour, and nuclear groves (smear, Pap stain); (b) Intranuclear cytoplasmic pseudoinclusions (INCIs) (smear, Pap stain); (c) Pale/powdery chromatin with margination. They are hallmarks of PTC. Single or multiple small nucleoli are often seen eccentrically located beneath the nuclear membrane. Multinucleated giant cells are common.

Some PTC subtypes may show attenuated or exaggerated nuclear features. For example, follicular subtype PTC usually demonstrates pale chromatin and variably enlarged nuclei. However, ICNIs and grooves can be rare or absent. These features overlap with NIFTP. As a result, a small subset (estimated 3–4%) of thyroid FNAs diagnosed as PTC will turn out to be NIFTP in histology.29,30 Conversely, tall cell subtype PTC generally demonstrates exaggerated PTC nuclear features with prominent groves and INCIs. Besides, PTC cytoplasm can show distinct patterns depending on the subtypes.

Medullary carcinoma
  • Cellular sample with single cells and syncytial groups (Fig. 11);

  • Heterogenous tumor cells: mixed polygonal, round, plasmacytoid, and spindle cells;

  • Salt and pepper chromatin with inconspicuous nucleoli;

  • Mild to moderate nuclear pleomorphism;

  • Binucleation is common;

  • Diffuse pleomorphism, mitosis, and necrosis are unusual;

  • INCIs may be present, indistinguishable from PTC INCIs;

  • Amyloid is present in about one-third to one-half of medullary carcinoma aspirates; it can mimic colloid;

  • Intracytoplasmic vacuoles and melanin-like pigments have been rarely reported;31

  • Small cell subtype MTC can mimic small cell carcinomas of other origins but is rare;32

  • The presence of colloid does not rule out MTC.

Medullary thyroid carcinoma (MTC).
Fig. 11  Medullary thyroid carcinoma (MTC).

(a) The aspirate consists of syncytial groups and single cells. Polymorphous cell morphology, including polygonal, plasmacytoid, and spindle cells, are present (smear, Diff-Quik stain). (b) The nuclei of MTC are round and oval to the spindle with salt-and-pepper chromatin. Cell processes may be prominent in some cases (smear, Pap stain). (c) Amyloid is present in a case of MTC (smear, Pap stain). (d) Hematoxylin and eosin (H&E) of cell block shows polygonal and plasmacytoid cells and amyloid (cell block, H&E stain). (e) Immunohistochemistry (IHC) with calcitonin antibody is positive in MTC cells (Cell block, IHC stain).

Medullary thyroid carcinoma (MTC) is a rare thyroid malignancy and is challenging to diagnose by cytomorphology alone. Preprocedural planning and ancillary techniques, including ROSE, needle rinse for calcitonin level by chemistry, and immunohistochemistry, can significantly increase the diagnostic rate for MTC.33

High-grade follicular-derived carcinoma

The New WHO classification proposed the category of high-grade follicular-derived carcinoma to include poorly differentiated thyroid carcinoma (PDTC) and differentiated high-grade thyroid carcinoma (follicular carcinoma or papillary carcinoma). It is a high-grade follicular-derived neoplasm with biological features between differentiated thyroid carcinoma and undifferentiated (anaplastic) carcinoma. Poorly differentiated carcinoma (insular carcinoma) lacks conventional nuclear features of PTC and is characterized by uniform small, convoluted nuclei with a high nuclear to cytoplasmic ratio. Mitosis and necrosis are often present (Fig. 12). Due to the non-specific nuclear features, poorly differentiated thyroid carcinoma may fall into the malignant category by cytology but requires ancillary immunohistochemistry for a definitive diagnosis.

Poorly differentiated carcinoma characterized by uniform tumor cells with small, convoluted nuclei and a high nuclear-to-cytoplasmic ratio.
Fig. 12  Poorly differentiated carcinoma characterized by uniform tumor cells with small, convoluted nuclei and a high nuclear-to-cytoplasmic ratio.

Mitosis and necrosis are present (smear, Pap stain).

Anaplastic (undifferentiated) carcinoma and squamous cell carcinoma of the thyroid

Anaplastic (undifferentiated) thyroid carcinoma (ATC) is rare (1%) yet, critical to diagnose. ATC is a highly aggressive thyroid cancer associated with rapid progression and poor outcomes, the median survival of 5–12 months with conventional therapy.34 Thyroid FNA is usually the first and sometimes the only tumor sample due to a large percentage of non-resectable tumors at diagnosis. The cytologic features of ATC include:

  • Variably cellular aspirates with predominantly isolated tumor cells (Fig. 13);

  • Predominant cytologic patterns include spindle, pleomorphic, squamous, epithelioid, rhabdoid, and osteoclast-like cells;35

  • Mitosis and necrosis are common;

  • Binucleated, multinucleated cells and cells with bizarre nuclei are frequently seen;

  • Neutrophil-rich inflammation is common and sometimes overwhelming;

  • Conventional PTC, follicular carcinoma, or squamous differentiation may be focally present;

  • Pure squamous cell carcinoma of thyroid origin is now considered a subtype of ATC.35 Squamous cell carcinoma (SCC) of thyroid origin is reportedly positive for PAX8.36

Cytology features of undifferentiated (anaplastic) thyroid carcinoma.
Fig. 13  Cytology features of undifferentiated (anaplastic) thyroid carcinoma.

(a) Highly cellular smear consisting of single epithelioid cells with admixed acute inflammation and necrotic debris. Nuclei are markedly enlarged and pleomorphic with focal plasmacytoid appearance (smear, Diff-Quik stain). (b) Multinucleated giant cells are present. Mitosis and necrosis are readily identifiable (smear, Pap stain).

Carcinoma with mixed features mainly refers to mixed medullary and follicular cell-derived carcinomas that may occur occasionally. It is vital to specify components of different features and the approximate percentage of each component7

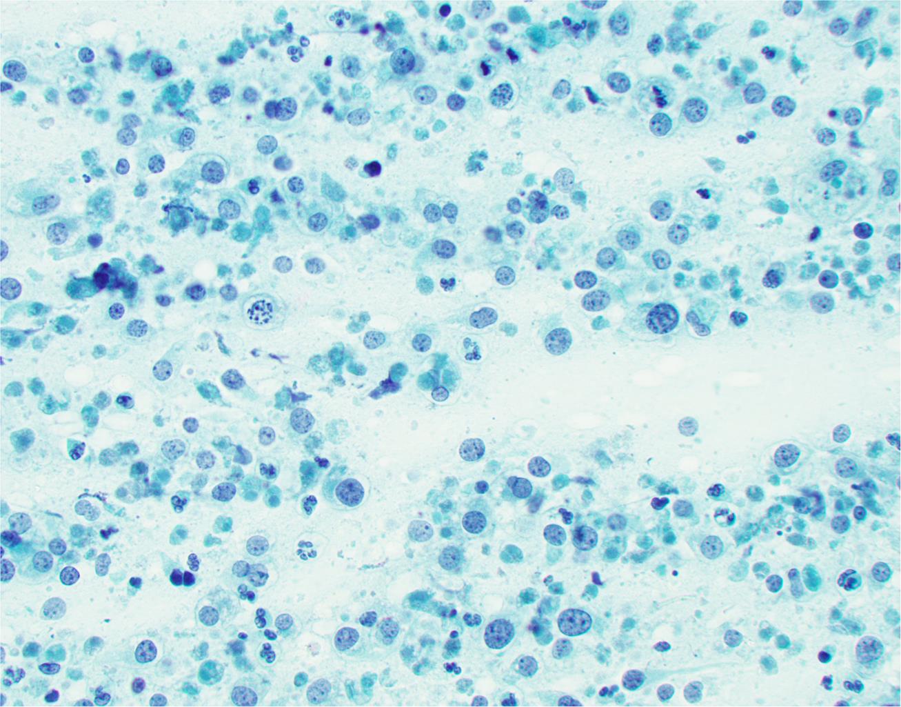
Lymphomas, metastatic tumors, and rare tumors of the thyroid

Thyroid lymphomas constitute about 5% of all thyroid malignancies.37 They are predominantly non-Hodgkin B-cell lymphomas (Fig. 14). The most common types are mucosa-associated lymphoid tissue (MALT) marginal zone lymphomas and diffuse large B cell lymphomas.37,38 Chronic lymphocytic (Hashimoto) thyroiditis is a risk factor for primary thyroid lymphomas reported in an average of 80% of primary thyroid lymphomas. FNA aspirates from lymphomas are often markedly cellular, consisting of numerous lymphocytes. Three patterns of thyroid lymphoma have been reported:39 1) a mixture of small and large lymphocytes, 2) a monotonous population of large lymphocytes, and 3) a monomorphous population of small lymphocytes. The first and third patterns can be seen in Hashimoto thyroiditis without oncocytic, follicular, and plasma cells. Like elsewhere in the body, immunophenotyping studies by immunohistochemistry and flow cytometry are essential for the diagnosis of lymphomas of the thyroid.

Cytologic features of other rare tumors of the thyroid.
Fig. 14  Cytologic features of other rare tumors of the thyroid.

(a) Lymphoma showing mixed small and intermediate size lymphocytes (smear, Pap stain). (b) Metastatic renal cell carcinoma with vacuolated cytoplasm, round nuclei, and large prominent nucleoli (smear, Diff-Quik stain).

Metastatic tumors of the thyroid are rare. The most common sites of the primary tumor are the kidney (Fig. 14), lung, gastrointestinal tract, breast, and skin (melanoma).40 In addition, involvement by adjacent head and neck, mediastinal and esophageal tumors can occur. Rapid onsite evaluation to assess tumor morphology and triage samples for ancillary studies help improve the diagnostic yield (Table 3).

Table 3

Immunohistochemistry panel for metastatic carcinoma to the thyroid

TTF1PAX8ThyroglobulinGATA3ERCDX2
PTC+++−/weak+
RCC+
Breast carcinoma++/−
Non-small cell lung carcinoma+−/+−/+
Endometrial Adenocarcinoma++
Colon Cancer+

Other even rare malignant neoplasms of the thyroid, such as salivary gland type carcinomas and thymic tumors within the thyroid, may be suggested in cytology. However, the final diagnosis is often made on histology.

Differential diagnosis and potential pitfalls

PTC vs. NIFTP

The presence of papillary architecture, psamomatous calcifications, and INCIs together are specific for PTC, whereas the predominant microfollicular pattern and absence of the above PTC features favor NIFTP or follicular subtype PTC.41 Yet, no features can reliably distinguish NIFTP from follicular subtype PTCs.

PTC vs. medullary carcinoma

Due to the rarity of MTC and morphologic overlap with PTC, medullary carcinoma can be mistaken for PTC. Intranuclear INCIs, present in about 20–50% of medullary carcinomas, are indistinguishable from those seen in PTC. Additionally, amyloid in medullary carcinoma can mimic the thick colloid seen in PTC. Nevertheless, uncommon features in PTC that raise the possibility of medullary carcinoma include predominantly single-cell pattern, mixed epithelial and spindle cell morphology, salt and pepper-like chromatin, binucleation, and plasmacytoid morphology. Nuclear groves and psammoma bodies are features favoring PTC and are uncommon in MTC. MTC express C-cell markers (calcitonin and CEA) and neuroendocrine markers (synaptophysin, chromogranin, and INSM1), which help separate MTC from its mimics (Table 4). In addition, thyroglobulin is negative in MTC.

Table 4

Immunohistochemistry panel for the diagnosis of medullary carcinoma and PTC

TTF1PAX8ThyroglobulinCalcitoninCEAsynaptophysinChromogranin
PTC+++−/rare +
Medullary carcinoma++/−++++
Unusual patterns

Unusual patterns such as non-cohesive single cells, spindle cells, plasmacytoid morphology, and binucleation raise the possibility of medullary carcinoma, anaplastic carcinomas, melanoma, and lymphoproliferative processes (Fig. 14). Immunohistochemistry and clinical history are the keys to distinguish them (Table 5). Anaplastic carcinoma is often diagnosed by high-grade cytologic features and excluding the above mimickers. Sarcoma may enter the differential diagnosis when the predominant cytologic pattern is spindle cells. Primary sarcoma of the thyroid is extremely rare and is limited to case reports.42 Anaplastic carcinoma must be ruled out by cytokeratin and PAX8 immunohistochemistry before diagnosing primary thyroid sarcoma.

Table 5

Immunohistochemistry panel to distinguish medullary carcinoma, anaplastic carcinoma, melanoma, and plasma cell neoplasm

CytokeratinCalcitoninCEAPax8TTF1Melan AHMB45CD138
Medullary carcinoma+++/-+/-+---
Anaplastic carcinoma+ (focal weak)--/rare ++/--/rare +---
Melanoma-----++-
Plasma cell neoplasm------+

Ancillary testing

Immunohistochemistry (IHC)

IHC has a limited role in diagnosing PTCs but can be critical in working up uncommon tumors such as medullary carcinoma, anaplastic carcinomas, metastatic tumors, and lymphomas. Anaplastic carcinoma tends to lose follicular markers thyroglobulin and TTF1, but PAX8 is at least focally positive in 76–79% of anaplastic carcinoma.36,43 While chromogranin seems more specific for medullary carcinoma, synaptophysin expression has been reported in various follicular neoplasms, including PTCs,44,45 therefore, synaptophysin alone cannot be used to distinguish PTC and MTC. Calcitonin and CEA are specific markers for MTC. Rare pitfalls include moderately differentiated neuroendocrine tumor (atypical carcinoid) of the larynx, which has been reported to be frequently positive for calcitonin. However, TTF1 is usually negative in laryngeal atypical carcinoid.46 Cytokeratin supports anaplastic carcinomas, ruling out sarcomas, melanoma, and lymphoproliferative processes. Reduced cytokeratin expression is most common in spindle cell anaplastic carcinoma, but at least focal weak keratin positivity has been seen in most anaplastic carcinomas.36,47

Molecular testing

Molecular testing has a limited role in diagnosing malignancy, but it has enhanced our understanding of the pathogenesis of thyroid cancers and promoted the discovery of novel therapeutics for advanced thyroid carcinomas. BRAFV600E mutation is the most frequently identified genetic alteration in PTCs. About 20–50% of anaplastic carcinomas harbor BRAFV600E mutation, often coexisting with a well-differentiated PTC component.48,49 In 2021, American Thyroid Association (ATA) updated its guidelines for anaplastic thyroid carcinoma. The new guideline highlighted emerging novel therapies for anaplastic carcinoma and underscored the importance of molecular testing to identify the actionable mutation. Specifically, BRAF testing by IHC and confirmed by molecular testing is strongly recommended for anaplastic carcinoma to facilitate anti-BRAF therapy.50 Cellblock can be used for BRAF and expanded molecular testing, but additional needle biopsies may be necessary due to scant cellularity in FNA material. Screening for germline RET proto-oncogene mutation is mandatory after diagnosing MTC, as 25% of cases of MTC are associated with germline RET mutation (MEN2 syndrome). In addition, about half of sporadic MTC harbor somatic RET mutations,51 a therapeutic target with RET inhibitors.52

Risk of malignancy (ROM) and clinical management recommendation

The risk of malignancy (ROM) for the malignant category remains unchanged, 97% on average. Reclassifying a subset of encapsulated follicular subtype PTC as NIFTP (a low-risk tumor) affects the risk of malignancy (ROM) for almost all Bethesda categories, but the effect on the malignant category is small. Nevertheless, about 3% of the malignant thyroid FNAs will prove to be NIFTP on histology. This effect generally does not apply to the non-PTC type of malignancies.

The management for most primary thyroid carcinomas is surgery by either total thyroidectomy or lobectomy, while lymphomas and metastatic tumors are treated with chemotherapy and/or radiation.

Total thyroidectomy is recommended for patients with PTCs with high-risk factors such as large size (>4 cm), extrathyroidal extension, neck lymph node involvement, bilateral nodularity, distant metastasis, and history of neck radiation. Neck lymph dissection may be necessary for high-risk patients too. Small (<4 cm) localized PTCs may be treated with partial lobectomy or total thyroidectomy. Active surveillance is an alternative for patients with microcarcinomas (< 1 cm) without lymph node metastasis or other adverse factors.

Medullary carcinoma would trigger a series of preoperative studies, including imaging to assess the extent of the disease, serum calcitonin and CEA measurement, and genetic testing for germline RET mutations. The surgery for MTC includes total thyroidectomy with neck lymph node dissection. Appropriate medical and surgical management for patients with hereditary MTC and pheochromocytoma should precede thyroidectomy. Advanced, progressive MTC may be treated with tyrosine kinase inhibitors targeting RET.

Anaplastic thyroid carcinoma is highly aggressive and lethal in most cases. Conventional treatment has been palliative care or an intensive multimodal approach. In recent years, molecular-driven novel therapeutics have been the most promising field in treating anaplastic carcinoma. The combination of dabrafenib (BRAF inhibitor) and trametinib (MEK inhibitor) was reported to lead to significant tumor regression (response rate 69%) for patients with anaplastic carcinomas that carry the BRAFV600E mutation.34,53 FDA has approved the combination for this condition.

Conclusions

The third edition of the Bethesda System for Reporting Thyroid Cytopathology further simplifies the system by having one name per category. It provides clarity for communication among pathologists, radiologists, endocrinologists, and surgeons. The modified terminology, such as follicular nodular disease and follicular oncocytic neoplasm, aligns with the terminology of the most recent WHO classification of Thyroid Tumors. The refined ROM more accurately reflects the clinical implications of each category and links to the clinical management recommendations. Future studies will further define the utilization of molecular testing in thyroid FNAs.

Abbreviations

FNA: 

fine-needle aspiration

AUS: 

atypia of undetermined significance

LT: 

lymphocytic thyroiditis

PTC: 

papillary thyroid carcinoma

ROM: 

risk of malignancy.

Declarations

Acknowledgement

None.

Funding

None.

Conflict of interest

Fan F has been an editorial board member of Journal of Clinical and Translational Pathology since May 2021. The authors have no other conflict of interests to declare.

Authors’ contributions

Dr. Min Han contributed to the manuscript through writing and critical revision. Dr. Fang Fan contributed to the manuscript in writing, critical revision, and final submission. Both authors have contributed significantly to this study and approved the final manuscript.

References

  1. Jiang H, Tian Y, Yan W, Kong Y, Wang H, Wang A, Dou J, Liang P, Mu Y. The Prevalence of Thyroid Nodules and an Analysis of Related Lifestyle Factors in Beijing Communities. Int J Environ Res Public Health 2016;13(4):442 View Article PubMed/NCBI
  2. Cibas ES, Ali SZ, NCI Thyroid FNA State of the Science Conference. The Bethesda System For Reporting Thyroid Cytopathology. Am J Clin Pathol 2009;132(5):658-665 View Article PubMed/NCBI
  3. Cibas ES, Ali SZ. The 2017 Bethesda System for Reporting Thyroid Cytopathology. J Am Soc Cytopathol 2017;6(6):217-222 View Article PubMed/NCBI
  4. Ali SZ, Cibas ES. The Bethesda System for Reporting Thyroid Cytopathology. Definitions, Criteria, and Explanatory Notes, 2nd ed. Switzerland: Springer Cham; 2018 View Article
  5. Vuong HG, Ngo HTT, Bychkov A, Jung CK, Vu TH, Lu KB, et al. Differences in surgical resection rate and risk of malignancy in thyroid cytopathology practice between Western and Asian countries: A systematic review and meta-analysis. Cancer Cytopathol 2020;128(4):238-249 View Article PubMed/NCBI
  6. Nishino M, Krane JF. Role of Ancillary Techniques in Thyroid Cytology Specimens. Acta Cytol 2020;64(1-2):40-51 View Article PubMed/NCBI
  7. Baloch ZW, Asa SL, Barletta JA, Ghossein RA, Juhlin CC, Jung CK, et al. Overview of the 2022 WHO Classification of Thyroid Neoplasms. Endocr Pathol 2022;33(1):27-63 View Article PubMed/NCBI
  8. Ali SZ, VanderLaan PA. The Bethesda System for Reporting Thyroid Cytopathology, 3rd ed. Switzerland: Springer Cham; 2023
  9. Kelman AS, Rathan A, Leibowitz J, Burstein DE, Haber RS. Thyroid cytology and the risk of malignancy in thyroid nodules: importance of nuclear atypia in indeterminate specimens. Thyroid 2001;11(3):271-277 View Article PubMed/NCBI
  10. Yang GC, Goldberg JD, Ye PX. Risk of malignancy in follicular neoplasms without nuclear atypia: statistical analysis of 397 thyroidectomies. Endocr Pract 2003;9(6):510-516 View Article PubMed/NCBI
  11. Yuan L, Nasr C, Bena JF, Elsheikh TM. Hürthle cell-predominant thyroid fine needle aspiration cytology: A four risk-factor model highly accurate in excluding malignancy and predicting neoplasm. Diagn Cytopathol 2022;50(9):424-435 View Article PubMed/NCBI
  12. Faquin WC, Cibas ES, Renshaw AA. “Atypical” cells in fine-needle aspiration biopsy specimens of benign thyroid cysts. Cancer 2005;105(2):71-79 View Article PubMed/NCBI
  13. Canepa M, Elsheikh TM, Sabo DA, Kolosiwsky AM, Reynolds JP. Atypical Histiocytoid Cells in Metastatic Papillary Thyroid Carcinoma: An Underrecognized Cytologic Pattern. Am J Clin Pathol 2017;148(1):58-63 View Article PubMed/NCBI
  14. Renshaw AA. “Histiocytoid” cells in fine-needle aspirations of papillary carcinoma of the thyroid: frequency and significance of an under-recognized cytologic pattern. Cancer 2002;96(4):240-243 View Article PubMed/NCBI
  15. Kim TH, Krane JF. The evolution of “atypia” in thyroid fine-needle aspiration specimens. Diagn Cytopathol 2022;50(4):146-153 View Article PubMed/NCBI
  16. Krane JF, Vanderlaan PA, Faquin WC, Renshaw AA. The atypia of undetermined significance/follicular lesion of undetermined significance:malignant ratio: a proposed performance measure for reporting in The Bethesda System for thyroid cytopathology. Cancer Cytopathol 2012;120(2):111-116 View Article PubMed/NCBI
  17. Bellevicine C, Migliatico I, Sgariglia R, Nacchio M, Vigliar E, Pisapia P, et al. Evaluation of BRAF, RAS, RET/PTC, and PAX8/PPARg alterations in different Bethesda diagnostic categories: A multicentric prospective study on the validity of the 7-gene panel test in 1172 thyroid FNAs deriving from different hospitals in South Italy. Cancer Cytopathol 2020;128(2):107-118 View Article PubMed/NCBI
  18. Bellevicine C, Sgariglia R, Migliatico I, Vigliar E, D’Anna M, Nacchio MA, et al. Different qualifiers of AUS/FLUS thyroid FNA have distinct BRAF, RAS, RET/PTC, and PAX8/PPARg alterations. Cancer Cytopathol 2018;126(5):317-325 View Article PubMed/NCBI
  19. Nikiforov YE. Role of Molecular Markers in Thyroid Nodule Management: Then and Now. Endocr Pract 2017;23(8):979-988 View Article PubMed/NCBI
  20. Silaghi CA, Lozovanu V, Georgescu CE, Georgescu RD, Susman S, Năsui BA, et al. Thyroseq v3, Afirma GSC, and microRNA Panels Versus Previous Molecular Tests in the Preoperative Diagnosis of Indeterminate Thyroid Nodules: A Systematic Review and Meta-Analysis. Front Endocrinol (Lausanne) 2021;12:649522 View Article PubMed/NCBI
  21. Livhits MJ, Zhu CY, Kuo EJ, Nguyen DT, Kim J, Tseng CH, et al. Effectiveness of Molecular Testing Techniques for Diagnosis of Indeterminate Thyroid Nodules: A Randomized Clinical Trial. JAMA Oncol 2021;7(1):70-77 View Article PubMed/NCBI
  22. Mito JK, Alexander EK, Angell TE, Barletta JA, Nehs MA, Cibas ES, et al. A modified reporting approach for thyroid FNA in the NIFTP era: A 1-year institutional experience. Cancer Cytopathol 2017;125(11):854-864 View Article PubMed/NCBI
  23. Renshaw AA, Wang E, Wilbur D, Hughes JH, Haja J, Henry MR, et al. Interobserver agreement on microfollicles in thyroid fine-needle aspirates. Arch Pathol Lab Med 2006;130(2):148-152 View Article PubMed/NCBI
  24. Ohori NP, Nishino M. Follicular Neoplasm of Thyroid Revisited: Current Differential Diagnosis and the Impact of Molecular Testing. Adv Anat Pathol 2023;30(1):11-23 View Article PubMed/NCBI
  25. Renshaw AA. Hürthle cell carcinoma is a better gold standard than Hürthle cell neoplasm for fine-needle aspiration of the thyroid: defining more consistent and specific cytologic criteria. Cancer 2002;96(5):261-266 View Article PubMed/NCBI
  26. Renshaw AA, Gould EW. Impact of specific patterns on the sensitivity for follicular and Hurthle cell carcinoma in thyroid fine-needle aspiration. Cancer Cytopathol 2016;124(10):729-736 View Article PubMed/NCBI
  27. Skaugen JM, Taneja C, Liu JB, Wald AI, Nikitski AV, Chiosea SI, et al. Performance of a Multigene Genomic Classifier in Thyroid Nodules with Suspicious for Malignancy Cytology. Thyroid 2022;32(12):1500-1508 View Article PubMed/NCBI
  28. Hier J, Avior G, Pusztaszeri M, Krasner JR, Alyouha N, Forest VI, et al. Molecular testing for cytologically suspicious and malignant (Bethesda V and VI) thyroid nodules to optimize the extent of surgical intervention: a retrospective chart review. J Otolaryngol Head Neck Surg 2021;50(1):29 View Article PubMed/NCBI
  29. Howitt BE, Chang S, Eszlinger M, Paschke R, Drage MG, Krane JF, et al. Fine-needle aspiration diagnoses of noninvasive follicular variant of papillary thyroid carcinoma. Am J Clin Pathol 2015;144(6):850-857 View Article PubMed/NCBI
  30. Strickland KC, Howitt BE, Marqusee E, Alexander EK, Cibas ES, Krane JF, et al. The Impact of Noninvasive Follicular Variant of Papillary Thyroid Carcinoma on Rates of Malignancy for Fine-Needle Aspiration Diagnostic Categories. Thyroid 2015;25(9):987-992 View Article PubMed/NCBI
  31. Kaushal S, Iyer VK, Mathur SR, Ray R. Fine needle aspiration cytology of medullary carcinoma of the thyroid with a focus on rare variants: a review of 78 cases. Cytopathology 2011;22(2):95-105 View Article PubMed/NCBI
  32. Yerly S, Triponez F, Meyer P, Kumar N, Bongiovanni M. Medullary thyroid carcinoma, small cell variant, as a diagnostic challenge on fine needle aspiration: a case report. Acta Cytol 2010;54(5 Suppl):911-917 PubMed/NCBI
  33. Liu CY, Bychkov A, Agarwal S, Zhu Y, Hang JF, Lai CR, et al. Cytologic diagnosis of medullary thyroid carcinoma in the Asia-Pacific region. Diagn Cytopathol 2021;49(1):60-69 View Article PubMed/NCBI
  34. Subbiah V, Kreitman RJ, Wainberg ZA, Cho JY, Schellens JHM, Soria JC, et al. Dabrafenib and Trametinib Treatment in Patients With Locally Advanced or Metastatic BRAF V600-Mutant Anaplastic Thyroid Cancer. J Clin Oncol 2018;36(1):7-13 View Article PubMed/NCBI
  35. Xu B, Fuchs T, Dogan S, Landa I, Katabi N, Fagin JA, et al. Dissecting Anaplastic Thyroid Carcinoma: A Comprehensive Clinical, Histologic, Immunophenotypic, and Molecular Study of 360 Cases. Thyroid 2020;30(10):1505-1517 View Article PubMed/NCBI
  36. Talbott I, Wakely PE. Undifferentiated (anaplastic) thyroid carcinoma: Practical immunohistochemistry and cytologic look-alikes. Semin Diagn Pathol 2015;32(4):305-310 View Article PubMed/NCBI
  37. Derringer GA, Thompson LD, Frommelt RA, Bijwaard KE, Heffess CS, Abbondanzo SL. Malignant lymphoma of the thyroid gland: a clinicopathologic study of 108 cases. Am J Surg Pathol 2000;24(5):623-639 View Article PubMed/NCBI
  38. Pavlidis ET, Pavlidis TE. A Review of Primary Thyroid Lymphoma: Molecular Factors, Diagnosis and Management. J Invest Surg 2019;32(2):137-142 View Article PubMed/NCBI
  39. Kossev P, Livolsi V. Lymphoid lesions of the thyroid: review in light of the revised European-American lymphoma classification and upcoming World Health Organization classification. Thyroid 1999;9(12):1273-1280 View Article PubMed/NCBI
  40. Ghossein CA, Khimraj A, Dogan S, Xu B. Metastasis to the thyroid gland: a single-institution 16-year experience. Histopathology 2021;78(4):508-519 View Article PubMed/NCBI
  41. Strickland KC, Vivero M, Jo VY, Lowe AC, Hollowell M, Qian X, et al. Preoperative Cytologic Diagnosis of Noninvasive Follicular Thyroid Neoplasm with Papillary-Like Nuclear Features: A Prospective Analysis. Thyroid 2016;26(10):1466-1471 View Article PubMed/NCBI
  42. Chen Q, Huang Q, Yan JX, Li C, Lang JY. Primary undifferentiated pleomorphic sarcoma of the thyroid: A case report and review of the literature. Medicine (Baltimore) 2018;97(7):e9927 View Article PubMed/NCBI
  43. Bishop JA, Sharma R, Westra WH. PAX8 immunostaining of anaplastic thyroid carcinoma: a reliable means of discerning thyroid origin for undifferentiated tumors of the head and neck. Hum Pathol 2011;42(12):1873-1877 View Article PubMed/NCBI
  44. Kargi A, Yörükoglu, Aktaş S, Cakalagaoglu, Ermete M. Neuroendocrine differentiation in non-neuroendocrine thyroid carcinoma. Thyroid 1996;6(3):207-210 View Article PubMed/NCBI
  45. Satoh F, Umemura S, Yasuda M, Osamura RY. Neuroendocrine marker expression in thyroid epithelial tumors. Endocr Pathol 2001;12(3):291-299 View Article PubMed/NCBI
  46. Feola T, Puliani G, Sesti F, Modica R, Biffoni M, Di Gioia C, et al. Laryngeal Neuroendocrine Tumor With Elevated Serum Calcitonin: A Diagnostic and Therapeutic Challenge. Case Report and Review of Literature. Front Endocrinol (Lausanne) 2020;11:397 View Article PubMed/NCBI
  47. Miettinen M, Franssila KO. Variable expression of keratins and nearly uniform lack of thyroid transcription factor 1 in thyroid anaplastic carcinoma. Hum Pathol 2000;31(9):1139-1145 View Article PubMed/NCBI
  48. Guerra A, Di Crescenzo V, Garzi A, Cinelli M, Carlomagno C, Tonacchera M, et al. Genetic mutations in the treatment of anaplastic thyroid cancer: a systematic review. BMC Surg 2013;13 Suppl 2:S44 View Article PubMed/NCBI
  49. Takano T, Ito Y, Hirokawa M, Yoshida H, Miyauchi A. BRAF V600E mutation in anaplastic thyroid carcinomas and their accompanying differentiated carcinomas. Br J Cancer 2007;96(10):1549-1553 View Article PubMed/NCBI
  50. Bible KC, Kebebew E, Brierley J, Brito JP, Cabanillas ME, Clark TJ, et al. 2021 American Thyroid Association Guidelines for Management of Patients with Anaplastic Thyroid Cancer. Thyroid 2021;31(3):337-386 View Article PubMed/NCBI
  51. Ciampi R, Romei C, Ramone T, Prete A, Tacito A, Cappagli V, et al. Genetic Landscape of Somatic Mutations in a Large Cohort of Sporadic Medullary Thyroid Carcinomas Studied by Next-Generation Targeted Sequencing. iScience 2019;20:324-336 View Article PubMed/NCBI
  52. Wirth LJ, Sherman E, Robinson B, Solomon B, Kang H, Lorch J, et al. Efficacy of Selpercatinib in RET-Altered Thyroid Cancers. N Engl J Med 2020;383(9):825-835 View Article PubMed/NCBI
  53. Rosove MH, Peddi PF, Glaspy JA. BRAF V600E inhibition in anaplastic thyroid cancer. N Engl J Med 2013;368(7):684-685 View Article PubMed/NCBI

About this Article

Cite this article
Han M, Fan F. Bethesda System for Reporting Thyroid Cytopathology–An Updated Review. J Clin Transl Pathol. 2023;3(2):84-98. doi: 10.14218/JCTP.2023.00005.
Copy        Export to RIS        Export to EndNote
Article History
Received Revised Accepted Published
February 4, 2023 March 19, 2023 March 25, 2023 April 22, 2023
DOI http://dx.doi.org/10.14218/JCTP.2023.00005
  • Journal of Clinical and Translational Pathology
  • pISSN 2993-5202
  • eISSN 2771-165X
Back to Top

Bethesda System for Reporting Thyroid Cytopathology–An Updated Review

Min Han, Fang Fan
  • Reset Zoom
  • Download TIFF