v
Search
Advanced

Publications > Journals > Journal of Clinical and Translational Pathology> Article Full Text

  • OPEN ACCESS

Pancreatic Acinar Cell Carcinoma Presenting as a Large Splenic Mass in a Patient with BRCA2 Germline Mutation: A Case Report

  • Kara Chan Phelps,
  • Zhikai Chi and
  • Lan Peng* 
 Author information 

Abstract

Acinar cell carcinoma (ACC) of the pancreas is a rare malignant neoplasm with a poor prognosis. When in the pancreas, the diagnosis is relatively straightforward, based on characteristic cytomorphologic features and positive staining for acinar enzyme products such as trypsin and BCL10. However, ACC may occur in extra-pancreatic locations, where features overlapping with other entities can make the diagnosis challenging if not considered . Here, we report a case of pancreatic ACC that presented as a large splenic mass with a radiologically and grossly unremarkable pancreas. The patient was subsequently found to have a BRCA2 germline mutation. This case is presented to highlight an unusual presentation of ACC; review the cytopathologic, histologic, and immunohistochemical characteristics of ACC; and add to the literature associating ACC with BRCA2 mutations, which may have therapeutic and familial testing implications.

Keywords

Acinar cell carcinoma, Pancreas, Splenic mass, BRCA2 mutation, Case report

Introduction

Pancreatic acinar cell carcinoma (ACC) is a rare malignant neoplasm, comprising 1–2% of pancreatic neoplasms in adults. Patients typically present with nonspecific symptoms but in rare cases, they may develop lipase hypersecretion syndrome with subcutaneous fat necrosis and polyarthralgia. Various architectural patterns have been described, including acinar (in which the tumor cells recapitulate normal pancreatic acini), glandular, trabecular, and solid. Although rare, large pleomorphic cells and spindle cells can, sometimes, be seen. The tumor cells contain intracytoplasmic, PAS-D-positive zymogen granules.1,2 The diagnosis is supported by demonstrating the presence of acinar enzyme products, with antibodies against trypsin and the COOH-terminal portion of BCL10 (which cross-reacts with the COOH-terminal portion of carboxy ester lipase) reportedly having the greatest sensitivities (95% and 86%, respectively).2 Here, we present a case of ACC that had an unusual presentation as a large splenic mass with no apparent abnormalities in the pancreas on imaging or macroscopic examination. The patient was subsequently found to have a germline mutation in BRCA2, which is increasingly being recognized as an important alteration in a subset of pancreatic ACCs.3 The manuscript was prepared according to the CARE guideline and the checklist was completed.

Case presentation

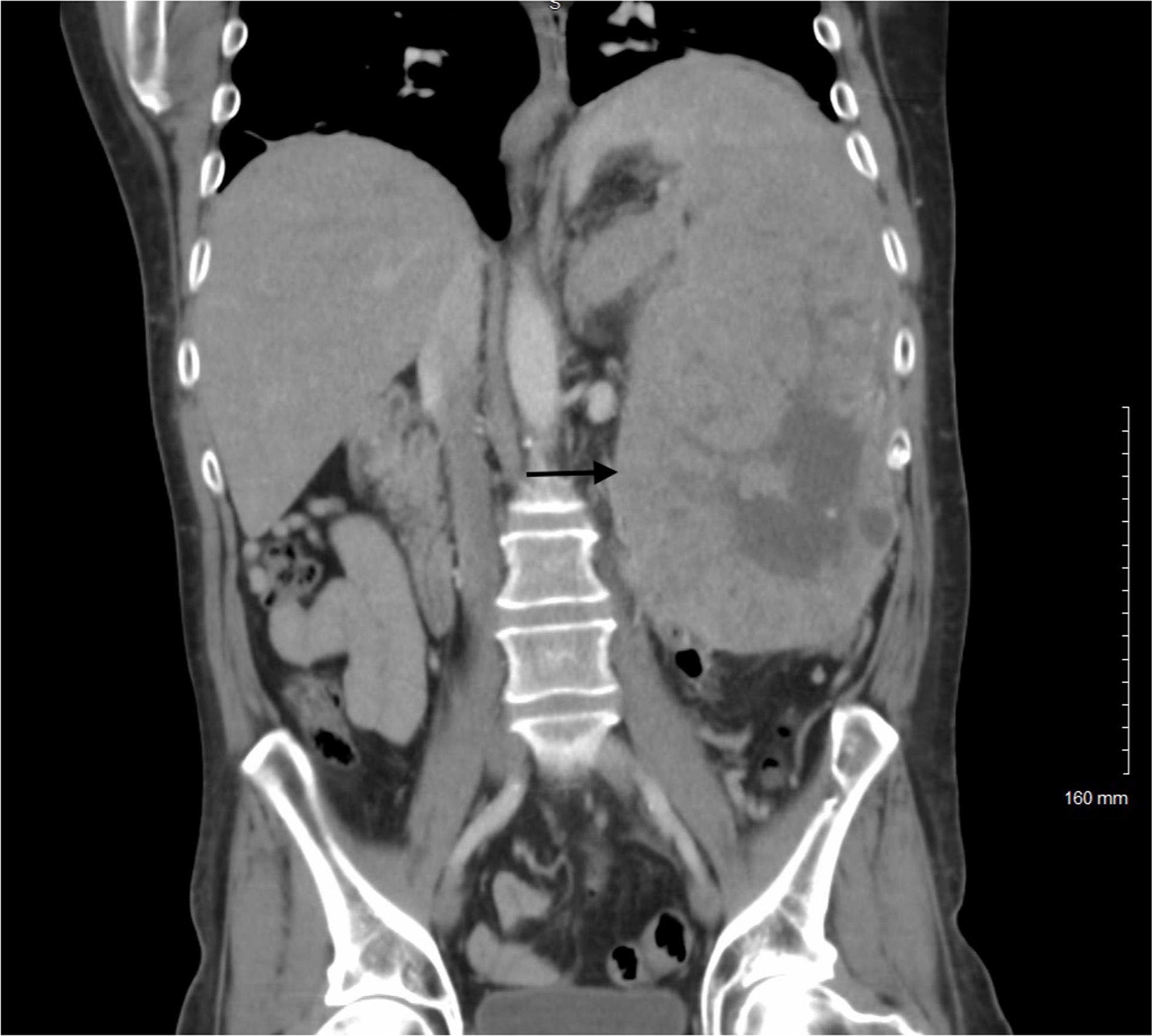
A 48-year-old man presented with a 7-month history of progressive abdominal pain, distention, and weight loss. His family history included colon cancer in his father, Müllerian cancers in his mother and maternal grandmother, and breast cancer in a maternal aunt diagnosed at age 32. Computed tomography imaging revealed a 22-centimeter, heterogeneous splenic mass with central necrosis (Fig. 1), thought to most likely represent a primary splenic angiosarcoma. No radiologic abnormality was identified in the pancreas. His serum level of alpha-fetoprotein was 109 ng/mL (reference range ≤8 ng/mL).

Computed tomography imaging shows a 22-centimeter, heterogeneous splenic mass with central necrosis.
Fig. 1  Computed tomography imaging shows a 22-centimeter, heterogeneous splenic mass with central necrosis.

An ultrasound-guided core biopsy of the splenic mass was performed. Diff-Quik-stained touch preparations showed moderate cellularity, with small-to-medium-sized loose clusters of cells in a background of naked nuclei (Fig. 2a). The tumor cells had abundant granular cytoplasm and eccentrically placed large, polygonal nuclei with clumped chromatin (Fig. 2b). Stains for trypsin and BCL10 performed on the core biopsy were strong and diffusely positive within the tumor cells, confirming the diagnosis of ACC.

Touch preparations.
Fig. 2  Touch preparations.

(a) There is moderate cellularity, with small-to-medium-sized loose clusters of cells in a background of naked nuclei (Diff-Quick, ×200). (b) The tumor cells have abundant granular cytoplasm and eccentrically placed large, polygonal nuclei with clumped chromatin (Diff-Quick, ×400).

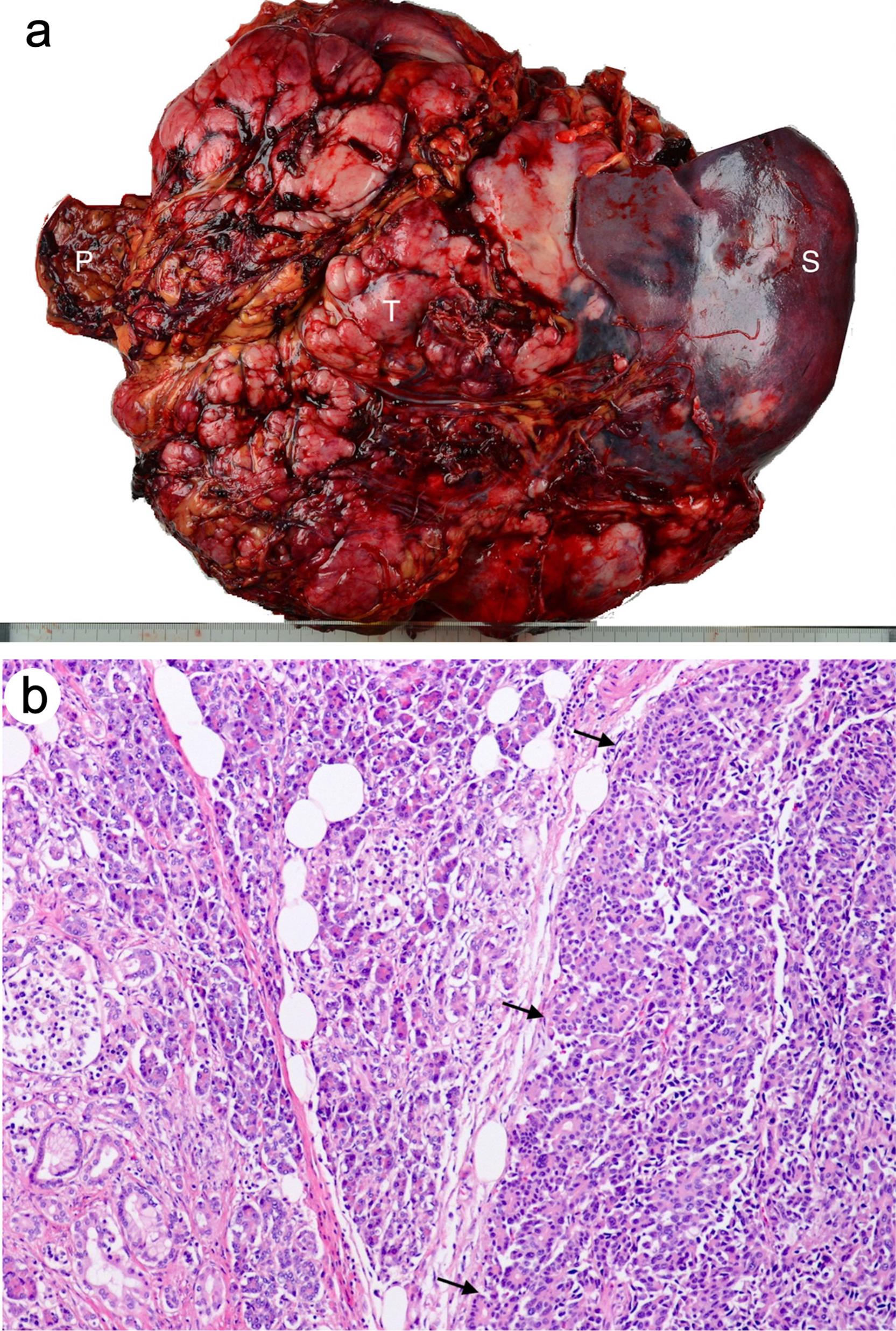
The patient underwent en bloc resection of the splenic mass with the distal pancreas, transverse colon, diaphragm, and omentum (Fig. 3a). Intraoperatively, the pancreas was reportedly normal. On gross examination, the tumor involved approximately 50% of the spleen and was adherent to the serosal surface of the transverse colon. Sectioning revealed a soft, tan, homogeneous cut surface with a central necrotic, hemorrhagic cavity. Grossly, the tumor did not involve the pancreas, and sectioning revealed no pancreatic masses. Tumor thrombus was found filling the splenic vein, and microscopic examination confirmed the presence of ACC in the spleen but also demonstrated foci of ACC in the pancreas (Fig. 3b), with invasion into peripancreatic and splenic hilar soft tissues and mesocolon. Metastatic tumor was present in 9 of 17 lymph nodes and as multiple omental and mesenteric nodules. The splenic vein resection margin was positive.

Resection specimen.
Fig. 3  Resection specimen.

(a) Gross examination demonstrated a large tumor (T) involving the spleen (S); grossly, the tumor did not appear to involve the pancreas (P). (b) Acinar cell carcinoma (demarcated by arrows) recapitulates normal pancreatic acini (left side of image) (H&E, ×100).

H&E-stained sections demonstrated tumor cells growing in an acinar pattern, with a single layer of basally located nuclei surrounding small-to-minute lumina (Fig. 4a). Scattered tumor cells contained intracytoplasmic fine, pink granules, highlighted by PAS-D stain (Fig. 4b–c). Mitotic figures were readily identified (up to 5 per high-power field). By immunohistochemistry (Fig. 4d–i), the tumor cells were positive for broad-spectrum cytokeratins, showed partial positivity for CK7 and synaptophysin, and were negative for CK20 and chromogranin. Trypsin, BCL10, Glypican-3 and CD99 were positive, while HepPar-1, SALL4, and WT-1 were negative. Ki-67 highlighted 40% of tumor nuclei. Immunohistochemical stains for mismatch repair proteins (MLH1, PMS2, MSH2, MSH6) were intact.

Histology and staining of the specimen.
Fig. 4  Histology and staining of the specimen.

(a) The acinar pattern is characterized by a single layer of basally located nuclei surrounding small-to-minute lumina (H&E, ×200). (b) Tumor cells contain intracytoplasmic fine, pink granules (arrows) (H&E, ×400). (c) The granules are highlighted on PAS-D stain (×400). Immunohistochemistry shows patchy positivity for CK7. (d) focal positivity for synaptophysin. (e) and strong diffuse staining for CD99. (f) glypican-3. (g) trypsin. (h) and BCL10. (i) (×200).

Given his personal and family history of cancer, genetic testing was performed at Invitae (San Francisco, California) using the Multi-Cancer Panel with additional analysis of preliminary-evidence genes for pancreatic cancer (CDK4, FANCC, PALLD) and chronic pancreatitis genes (CASR, CFTR, CPA1, CTRC, PRSS1, SPINK1). Analysis revealed a heterozygous, pathogenic germline mutation in BRCA2, the gene associated with autosomal dominant hereditary breast and ovarian cancer (HBOC) syndrome. The mutation, a deletion of nucleotides 5576 to 5579 (c.5576_5579del), is a frameshift mutation (p.Ile1859Lysfs*3) expected to create a premature stop codon and thus truncated or absent protein product. FoundationOne CDx analysis of the tumor performed at Foundation Medicine (Cambridge, Massachusetts) additionally demonstrated a tumor mutational burden of ≥10 mutations/megabase, loss of CDKN2A/B, amplifications of AKT3 and RAD21, and alterations in MSH3 and SGK1.

The patient returned to his home country to undergo chemotherapy. He was alive 28 months after initial presentation.

The study was performed following the ethical standards of the institutions to which we are affiliated.

Discussion

Metastases to the spleen from solid tumors are extremely rare and typically occur in the setting of widespread metastatic disease in a patient with known malignancy. The most common primary sources are the breast, lung, colon/rectum, ovary, and melanoma. In the exceptional case without a previously diagnosed malignancy, the diagnosis can be challenging, as imaging characteristics of metastatic lesions may be indistinguishable from those of primary splenic lesions. Thus, the differential diagnosis generally includes malignancies such as lymphoma and angiosarcoma, benign hemangiomas and hamartomas, and non-neoplastic processes including infections and granulomatous disease.4

ACC most commonly arises in the head of the pancreas but may involve any part of the pancreas.2 Extra-pancreatic primary cases have been reported in the liver and stomach and have been suggested to arise from metaplastic or heterotopic pancreatic tissue.5–8 However, in nearly all of those cases, pancreatic origin was excluded based on unremarkable imaging and intraoperative evaluation (which were likewise normal in our case) and not microscopic examination. Given the presence of tumor in the pancreas with extensive lymphovascular invasion, we favor our case to be a pancreatic primary with splenic metastasis through the splenic vein. However, other possibilities include microscopic direct extension from the pancreas to the spleen or originating in heterotopic/ectopic pancreatic tissue. Ando et al. previously described a case of pancreatic acinar cell carcinoma that produced a 3.5-cm solitary splenic metastasis that resulted in splenic rupture.9

In the pancreas, the differential diagnosis of ACC includes pancreatoblastoma and pancreatic neuroendocrine tumor (PanNET). Like ACC, pancreatoblastoma shows acinar differentiation but can be distinguished by the presence of squamoid nests.10 ACC (particularly those showing trabecular growth) can appear nearly identical to PanNet and can likewise demonstrate staining for the neuroendocrine markers synaptophysin and chromogranin. Features that have been suggested to favor ACC over PanNET include high mitotic count (>10 mitoses per 10 high-power fields) and prominent nucleoli, although our case did not demonstrate the latter.2 In our case, we also considered the possibility of a yolk sac tumor, given the elevated serum alpha-fetoprotein level and immunohistochemical positivity for glypican-3; however, SALL4 was negative.

The pathogenesis of ACC is not well understood. ACC and pancreatic ductal adenocarcinoma have different mutational signatures, with ACC having chromosomal instability but few highly recurrent gene mutations.1,3 Abnormalities in the Wnt/β-catenin pathway are seen in 20–25%, and rare cases of ACC have been described in patients with familial adenomatous polyposis.2,3 Microsatellite instability has been identified in up to 14% of ACCs.1 Our patient was found to have a germline mutation in BRCA2, the gene associated with HBOC syndrome. As a result of defective DNA repair, patients are at increased risk of melanoma and carcinomas of the breast, ovary, prostate, pancreas, and, possibly, biliary tract.11 In the literature, Kryklyva et al. recently identified 10 cases of ACC in patients with germline BRCA2 mutations and suggested that ACC may be a phenotypic expression of HBOC syndrome. Thus, it may be prudent to screen patients with ACC for BRCA mutations as these patients may benefit from targeted therapy with platinum-based chemotherapies and/or PARP inhibitors, and because of the implications for family members.

Conclusions

We present a case of acinar cell carcinoma presenting as a large splenic mass with occult pancreatic primary. Our case adds to the literature on associating pancreatic ACC with BRCA2 mutations.

Abbreviations

ACC: 

acinar cell carcinoma

PanNET: 

pancreatic neuroendocrine tumor

HBOC: 

hereditary breast and ovarian cancer

Declarations

Acknowledgement

None.

Ethical statement

The study was performed following the ethical standards of the institutions to which we are affiliated and with the Declaration of Helsinki (as revised in 2013). Written informed consent was obtained from the patient for publication of this case report and the accompanying images.

Funding

None.

Conflict of interest

The authors have no conflicts of interest related to this publication.

References

  1. La Rosa S, Klimstra DS, Wood LD. WHO Classification of Tumours of the Digestive System. 5th ed. Lyon: International Agency for Research on Cancer; 2019, 333-336
  2. La Rosa S, Adsay V, Albarello L, Asioli S, Casnedi S, Franzi F, et al. Clinicopathologic study of 62 acinar cell carcinomas of the pancreas: insights into the morphology and immunophenotype and search for prognostic markers. Am J Surg Pathol 2012;36(12):1782-1795 View Article PubMed/NCBI
  3. Kryklyva V, Haj Mohammad N, Morsink FHM, Ligtenberg MJL, Offerhaus GJA, Nagtegaal ID, et al. Pancreatic acinar cell carcinoma is associated with BRCA2 germline mutations: a case report and literature review. Cancer Biol Ther 2019;20(7):949-955 View Article PubMed/NCBI
  4. Compérat E, Bardier-Dupas A, Camparo P, Capron F, Charlotte F. Splenic metastases: clinicopathologic presentation, differential diagnosis, and pathogenesis. Arch Pathol Lab Med 2007;131(6):965-969 View Article PubMed/NCBI
  5. Agaimy A, Kaiser A, Becker K, Bräsen JH, Wünsch PH, Adsay NV, et al. Pancreatic-type acinar cell carcinoma of the liver: a clinicopathologic study of four patients. Mod Pathol 2011;24(12):1620-1626 View Article PubMed/NCBI
  6. Kaur S, Morris D, Ho G, Abrahams J, Camacho E. An unusual case of primary acinar cell carcinoma of the liver and its treatment. J Gastrointest Oncol 2019;10(5):1021-1026 View Article PubMed/NCBI
  7. Yonenaga Y, Kurosawa M, Mise M, Yamagishi M, Higashide S. Pancreatic-type Acinar Cell Carcinoma of the Stomach Included in Multiple Primary Carcinomas. Anticancer Res 2016;36(6):2855-2864 PubMed/NCBI
  8. Kim KM, Kim CY, Hong SM, Jang KY. A primary pure pancreatic-type acinar cell carcinoma of the stomach: a case report. Diagn Pathol 2017;12(1):10 View Article PubMed/NCBI
  9. Ando K, Ohkuni Y, Kaneko N, Narita M. Spontaneous rupture of the splenic metastasis in acinar cell carcinoma. Pancreas 2009;38(7):836-838 View Article PubMed/NCBI
  10. Wang T, Askan G, Ozcan K, Rana S, Zehir A, Bhanot UK, et al. Tumoral Intraductal Neoplasms of the Bile Ducts Comprise Morphologically and Genetically Distinct Entities. Arch Pathol Lab Med 2023 View Article PubMed/NCBI
  11. Hoang LN, Gilks BC. Hereditary Breast and Ovarian Cancer Syndrome: Moving Beyond BRCA1 and BRCA2. Adv Anat Pathol 2018;25(2):85-95 View Article PubMed/NCBI

About this Article

Cite this article
Phelps KC, Chi Z, Peng L. Pancreatic Acinar Cell Carcinoma Presenting as a Large Splenic Mass in a Patient with BRCA2 Germline Mutation: A Case Report. J Clin Transl Pathol. 2023;3(3):134-137. doi: 10.14218/JCTP.2023.00012.
Copy        Export to RIS        Export to EndNote
Article History
Received Revised Accepted Published
April 11, 2023 June 21, 2023 July 28, 2023 September 12, 2023
DOI http://dx.doi.org/10.14218/JCTP.2023.00012
  • Journal of Clinical and Translational Pathology
  • pISSN 2993-5202
  • eISSN 2771-165X
Back to Top

Pancreatic Acinar Cell Carcinoma Presenting as a Large Splenic Mass in a Patient with BRCA2 Germline Mutation: A Case Report

Kara Chan Phelps, Zhikai Chi, Lan Peng
  • Reset Zoom
  • Download TIFF