v
Search
Advanced

Publications > Journals > Journal of Clinical and Translational Pathology> Article Full Text

  • OPEN ACCESS

Two Different Somatic-type Malignancies Arising from a Mediastinal Germ Cell Tumor: A Case Report

  • Lan Zheng1,
  • Shimin Hu2,
  • Bogdan Czerniak1 and
  • Charles C. Guo1,* 
 Author information 

Abstract

Background

Mediastinal germ cell tumors (GCTs) are rare malignant neoplasms that occasionally develop somatic-type malignancies (SMs), such as sarcomas, carcinomas, and hematologic malignancies.

Case presentation

We report a unique case of a 16-year-old male patient with a mediastinal GCT that simultaneously developed two different SMs: well-differentiated angiosarcoma and acute megakaryoblastic leukemia (AML). The patient initially presented with left shoulder pain and intermittent shortness of breath. The imaging study demonstrated a 12.5 × 9.0 × 8.5 cm heterogeneous mass in the left anterior mediastinum. The mediastinal mass was resected and showed a cystic mature teratoma with somatic transformation into well-differentiated angiosarcoma and AML. A subsequent bone marrow biopsy confirmed the diagnosis of AML, and next-generation sequencing demonstrated the presence of PTEN and TP53 gene mutations in the AML. Despite aggressive chemotherapy and allogeneic stem cell transplantation, the patient died 10 months after diagnosis.

Conclusions

Our report demonstrates the unique capability of mediastinal GCTs to simultaneously develop two different SMs. The presence of two different SMs in mediastinal GCTs is associated with extremely aggressive behavior and a poor prognosis.

Keywords

Germ cell tumor, Mature teratoma, Mediastinum, Somatic-type malignancy, Angiosarcoma, Acute megakaryoblastic leukemia

Introduction

Most germ cell tumors (GCTs) arise from the gonads, i.e., the testicles and ovaries, but a small subset occurs at other locations.1,2 Extragonadal GCTs typically develop in midline structures, such as the mediastinum, retroperitoneum, pineal region, and suprasellar areas. The mediastinum is the most common location of extragonadal GCTs and accounts for 15% of all tumors located in that area.3–5 Mediastinal GCTs share similar histological and immunohistochemical features with their gonadal counterparts, including the presence of isochromosome 12p.6,7 Furthermore, like gonadal GCTs, a subset of mediastinal GCTs develops secondary somatic-type malignancies (SMs), such as sarcomas, carcinomas, and hematologic malignancies.8,9 The development of SMs in GCTs is usually associated with a poor response to chemotherapy and a dismal prognosis.8–10 Herein, we report a unique case of mediastinal GCT that developed two different types of SM: well-differentiated angiosarcoma and acute megakaryoblastic leukemia.

Case presentation

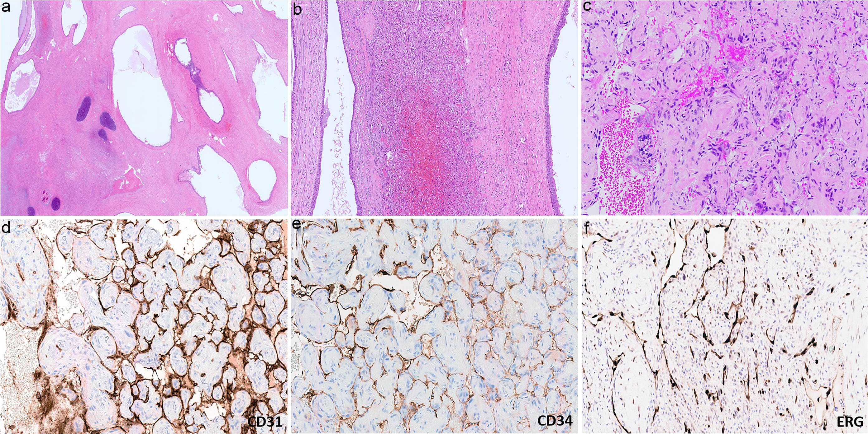
A 16-year-old Caucasian male patient presented with left shoulder pain and intermittent shortness of breath. Chest X-ray and computed tomography scan demonstrated a 12.5 × 9.0 × 8.5 cm heterogeneous mass in the left anterior mediastinum. His serum alpha-fetoprotein (73.9 ng/mL; normal <4) and lactate dehydrogenase (2,408 U/L; normal 135–225) levels were elevated, and his Beta-human chorionic gonadotropin level was normal (<2 IU/L). He also had anemia, with a hemoglobin of 12.1 g/dL (normal 14–18) and hematocrit of 35.5% (normal 40–54), and thrombocytopenia with a platelet count of 97,000/µL (normal 150,000–450,000). He underwent a core needle biopsy of the mediastinal mass, which showed immature cartilage elements with focal necrosis, consistent with teratoma. In the stroma, there were areas of atypical spindle cell proliferation associated with vascular channel formation and hemorrhagic changes, raising the possibility of somatic transformation to angiosarcoma. Seven days after the biopsy, he developed postoperative hemorrhage associated with hemorrhagic shock, requiring resuscitation with blood transfusion. He subsequently underwent thoracotomy with evacuation of the hematoma. The resection of the mediastinal mass showed a multicystic lesion lined by bland glandular epithelium, admixed with immature cartilage, consistent with cystic mature teratoma (Fig. 1a). There were focal areas of atypical spindle cell proliferation forming irregular vascular spaces with intraluminal budding and papillary-like projections. In some areas, the vascular spaces were poorly formed with subtle cleft-like spaces (Fig. 1b and c). Immunohistochemical stains showed that the atypical cells were positive for endothelial markers CD31, CD34, and ERG (Fig. 1d–f), while negative for cytokeratin, SALL4, and OCT3/4. The overall features were consistent with well-differentiated angiosarcoma. In addition, there were small nests of atypical cells mixed with blood cells and fibrin in vascular spaces. The atypical cells were highly polymorphic, hyperchromatic, with irregular nuclei and a high nuclear/cytoplasmic ratio (Fig. 2a and b). Immunohistochemical stains showed that the atypical cells were negative for embryonal carcinoma markers, such as OCT3/4 (Fig. 2c), CD30, SALL4, and cytokeratin, and did not express vascular markers such as CD31, CD34, and ERG. However, these atypical cells were positive for CD43, CD61, and factor VIII (Fig. 2d–f), supporting the diagnosis of acute myeloid leukemia (AML) with megakaryoblastic differentiation. A bone marrow biopsy showed hypercellular marrow with a cellularity of 80%–90% and extensive infiltration by sheets of large/anaplastic cells (Fig. 3a and b). The anaplastic cells were positive for CD34, CD43, CD45, CD31, CD61, CD117, and CD56 (Fig. 3c and d), confirming the diagnosis of AML with megakaryoblastic differentiation. Next-generation sequencing (NGS) testing performed on the bone marrow biopsy using the MD Anderson Mutation Analysis Precision Panel—a custom high-throughput NGS assay that uses targeted hybridization-based capture technology for detection of sequence variants/mutations in 610 genes, copy number variants in 583 genes, and select gene rearrangements in 34 genes—revealed the presence of PTEN and TP53 gene mutations in AML cells.

Hematoxylin and eosin-stained section of mediastinal mass shows mature cystic teratoma (a). Spindle and epithelioid cells proliferate and form irregular vascular channels with intraluminal budding and papillary-like projections (b, c). The atypical cells are positive for CD31 (d), CD34 (e), and ERG (f), supporting the diagnosis of angiosarcoma.
Fig. 1  Hematoxylin and eosin-stained section of mediastinal mass shows mature cystic teratoma (a). Spindle and epithelioid cells proliferate and form irregular vascular channels with intraluminal budding and papillary-like projections (b, c). The atypical cells are positive for CD31 (d), CD34 (e), and ERG (f), supporting the diagnosis of angiosarcoma.

Original magnification: a 40×, b 100×, c–f 200×.

Hematoxylin and eosin-stained section of mediastinal mass shows small nests of highly atypical tumor cells with large, polymorphic, hyperchromatic nuclei, mixed with blood cells and fibrin (a, b). The atypical cells are negative for OCT3/4 (c) and positive for CD43 (d), CD61 (e), and Factor VIII (f), consistent with acute megakaryoblastic leukemia.
Fig. 2  Hematoxylin and eosin-stained section of mediastinal mass shows small nests of highly atypical tumor cells with large, polymorphic, hyperchromatic nuclei, mixed with blood cells and fibrin (a, b). The atypical cells are negative for OCT3/4 (c) and positive for CD43 (d), CD61 (e), and Factor VIII (f), consistent with acute megakaryoblastic leukemia.

Original magnification: a 100×, b–c 200×, d–f 100×.

Hematoxylin and eosin-stained section of bone marrow shows extensive infiltration of large and anaplastic cells (a, b). The atypical cells are positive for CD43 (c) and CD31 (d), consistent with acute megakaryoblastic leukemia.
Fig. 3  Hematoxylin and eosin-stained section of bone marrow shows extensive infiltration of large and anaplastic cells (a, b). The atypical cells are positive for CD43 (c) and CD31 (d), consistent with acute megakaryoblastic leukemia.

Original magnification: a 40×, b–d 200×.

The patient was initially treated with vincristine and doxorubicin, but the mediastinal mass continued to increase in size. The mediastinal tumor was resected and showed cystic teratoma without SM. He received additional chemotherapy with cladribine, daunorubicin, cytarabine, and venetoclax, and then underwent haploidentical hematopoietic stem cell transplantation. Unfortunately, his leukemia relapsed three months after transplantation, and his condition was complicated by multiple bacterial and fungal infections. He developed acute hypoxic respiratory failure despite mechanical ventilation and died 10 months after the initial diagnosis of mediastinal GCT with SM.

Discussion

Mediastinal GCT is a rare disease, constituting only 1–3% of all GCTs.3–5 Patients with mediastinal GCTs are young, with a median age of 31 years, and show a male predominance with a male-to-female ratio of 9:1.3 Mediastinal GCTs may be associated with Klinefelter syndrome in some patients.3 By histological classification, teratoma represents the most common type of mediastinal GCT, followed by seminoma and other GCT components.11 Mediastinal GCTs carry a worse prognosis than GCTs at other sites, and seminoma appears to have a better clinical outcome than other types of mediastinal GCTs.9,12 The etiology of extragonadal GCTs is largely unclear. It has been hypothesized that extragonadal GCTs may arise from abnormal migration of germ cells from the yolk sac to the genital ridge along the midline during embryogenesis.12 Retention and reprogramming of these germ cells in ectopic sites lead to the development of extragonadal GCTs.12 An alternative theory is that extragonadal GCTs result from the reverse migration of transformed germ cells in the gonads.1,2

A small subset of mediastinal GCTs may develop distinct SMs characterized by malignant components resembling non-germ cell cancers in other organs.8,10 Most SMs are associated with teratoma, and a small subset coexist with yolk sac tumor.9 The histologic subtypes of SM are diverse and include carcinomas, sarcomas, and hematologic malignancies.8 Rhabdomyosarcoma is the most common sarcomatous SM, while adenocarcinoma is the most common carcinomatous SM.10 The pathogenesis of SM is not well established. It has been postulated that SM may result from transformation of a teratomatous component, as most SMs are associated with teratoma.10 Some studies propose a “dedifferentiation” theory, suggesting SM may arise from transformation of the blastematous stroma in GCT.13 Another hypothesis is the “stem-like cell theory”, proposing that both GCT and SM originate from common pluripotent progenitor cells, supported by the detection of isochromosome 12p in both GCT and SM.6,7 Furthermore, most SMs share identical patterns of loss of heterozygosity with their matched GCTs, also supporting their common origin along the GCT lineage.10

Mediastinal GCTs demonstrate a high tendency to develop hematologic SM.8,9 Hematologic SM occurs in 2–6% of mediastinal GCTs but is rarely seen in GCTs at other sites.14 The most common hematologic SMs are acute leukemia with megakaryocytic and monocytic/histiocytic differentiation, although several other types have also been reported.15–19 Hematologic SMs derived from mediastinal GCTs share similar morphologic and immunohistochemical features with de novo hematologic malignancies. Several studies have reported that hematologic SMs and mediastinal GCTs may arise from common progenitor cells, as there are similar molecular alterations in both tumors, including the presence of isochromosome 12p, which is usually absent in hematologic malignancies not associated with mediastinal GCTs.15,16,19 Taylor et al.19 investigated the clonal relationship between matched mediastinal GCTs and hematologic SMs using whole-exome sequencing and found allelically imbalanced p53 and/or RAS pathway mutations in both tumors, supporting a common origin. Furthermore, hematologic SMs carried multiple distinct gene mutations not detected in mediastinal GCTs, suggesting that additional genetic alterations might contribute to the development of hematologic SMs in mediastinal GCTs.19 Interestingly, our current case also demonstrates p53 and PTEN gene mutations in the bone marrow specimen with AML. p53 and PTEN are two of the most frequently mutated tumor suppressor genes in human cancers. Simultaneous inactivation of both PTEN and p53, often termed a “double-hit,” promotes cancer progression and transformation.20 As NGS was not performed on the mediastinal tumor with teratoma and angiosarcoma components, the role of p53 and PTEN genes in somatic transformation of GCT remains to be studied.

The development of two different histologic types of SMs in mediastinal GCTs is an extremely rare phenomenon. Saito et al.21 reported a case of coexistence of angiosarcoma and myeloid sarcoma in mediastinal teratoma. Dominguez Malagon et al.22 reported a case of mediastinal teratoma with well-differentiated angiosarcoma and atypical hematopoietic cells within the vascular spaces, and the patient subsequently developed AML involving the spleen. Motzer et al.23 described four patients with mediastinal GCTs containing sarcomatous SMs who also had hematologic malignancies, including non-Hodgkin’s lymphoma and non-lymphocytic leukemia. The development of different SMs in mediastinal GCTs is associated with an extremely aggressive clinical course, with a median survival time of six months,8,17,18,24,25 as SMs are refractory to chemotherapy and allogeneic bone marrow transplantation.26,27

There are several limitations in our report. First, our report is based on a single case, and it is difficult to establish the causal relationship between mediastinal GCT and SM components because of the limited sample size. Second, our study is retrospective in nature and relies on the existing medical records, which is subject to recall and selection biases. Furthermore, NGS test was performed only on the bone marrow specimen with AML but not on the mediastinal tumor with GCT and angiosarcoma components. Therefore, we do not have molecular evidence that the SM components indeed result from transformation of GCT in this patient. However, both SM components, AML and angiosarcoma, are admixed with the GCT component in the mediastinal tumor, indicating a close relationship in oncogenesis. Nonetheless, our findings need to be verified by further independent studies.

Conclusions

In the current report, we present a rare case of a 16-year-old male patient with mediastinal GCT that developed two different SMs: well-differentiated angiosarcoma and AML. The simultaneous development of angiosarcoma and AML in the same tumor suggests that they likely originate from the same pluripotent progenitor cells. The tumor showed a poor response to chemotherapy and allogeneic bone marrow transplantation, and the patient died approximately 10 months after diagnosis. Our study indicates that the presence of two different SMs in mediastinal GCT is associated with a dismal clinical outcome. Advanced molecular techniques can detect genetic alterations that underlie somatic transformation in mediastinal GCT and facilitate the exploration of targeted therapy.

Declarations

Acknowledgement

None.

Ethical statement

This study was performed in accordance with the Declaration of Helsinki (as revised in 2024). This case report does not include any identifiable patient information. According to institutional policy, this case report is exempt from Institutional Review Board approval and informed consent.

Funding

The study was supported by the NIH/NCI under award number P30CA016672.

Conflict of interest

Charles C. Guo has been an associate editor of the Journal of Clinical and Translational Pathology since January 2021. The authors have disclosed that they have no significant relationships with, or financial interest in, any commercial companies pertaining to this article.

Authors’ contributions

Data collection, drafting of the manuscript (LZ, SH, CCG), editing of the manuscript (SH, BC, CCG), and finalizing the manuscript (CCG). All authors have approved the final version and publication of the manuscript.

References

  1. Ronchi A, Cozzolino I, Montella M, Panarese I, Zito Marino F, Rossetti S, et al. Extragonadal germ cell tumors: Not just a matter of location. A review about clinical, molecular and pathological features. Cancer Med 2019;8(16):6832-6840 View Article PubMed/NCBI
  2. Winter C, Zengerling F, Busch J, Heinzelbecker J, Pfister D, Ruf C, et al. How to classify, diagnose, treat and follow-up extragonadal germ cell tumors? A systematic review of available evidence. World J Urol 2022;40(12):2863-2878 View Article PubMed/NCBI
  3. Moran CA, Suster S. Primary germ cell tumors of the mediastinum: analysis of 322 cases with special emphasis on teratomatous lesions and a proposal for histopathologic classification and clinical staging. Cancer 1997;80(4):681-690 View Article
  4. Roden AC, Fang W, Shen Y, Carter BW, White DB, Jenkins SM, et al. Distribution of Mediastinal Lesions Across Multi-Institutional, International, Radiology Databases. J Thorac Oncol 2020;15(4):568-579 View Article PubMed/NCBI
  5. Fichtner A, Marx A, Ströbel P, Bremmer F. Primary germ cell tumours of the mediastinum: A review with emphasis on diagnostic challenges. Histopathology 2024;84(1):216-237 View Article PubMed/NCBI
  6. El-Zaatari ZM, Ro JY. Mediastinal Germ Cell Tumors: A Review and Update on Pathologic, Clinical, and Molecular Features. Adv Anat Pathol 2021;28(5):335-350 View Article PubMed/NCBI
  7. Fichtner A, Richter A, Filmar S, Gaisa NT, Schweyer S, Reis H, et al. The detection of isochromosome i(12p) in malignant germ cell tumours and tumours with somatic malignant transformation by the use of quantitative real-time polymerase chain reaction. Histopathology 2021;78(4):593-606 View Article PubMed/NCBI
  8. Beg A, Kumar R, Sahay A, Janu A, Joshi A, Noronha V, et al. Primary mediastinal germ cell tumours with high prevalence of somatic malignancy: An experience from a single tertiary care oncology centre. Ann Diagn Pathol 2021;53:151763 View Article PubMed/NCBI
  9. Malagón HD, Valdez AM, Moran CA, Suster S. Germ cell tumors with sarcomatous components: a clinicopathologic and immunohistochemical study of 46 cases. Am J Surg Pathol 2007;31(9):1356-1362 View Article PubMed/NCBI
  10. Guo CC, Czerniak B. Somatic-type malignancies in testicular germ cell tumors. Hum Pathol 2022;127:123-135 View Article PubMed/NCBI
  11. Sohn A, Moran CA. Primary mediastinal germ cell tumors. Semin Diagn Pathol 2023;40(1):37-46 View Article PubMed/NCBI
  12. Wang L, Zhao J, An T, Wang Y, Zhuo M, Wu M, et al. Clinical Characteristics and Outcomes of Patients With Primary Mediastinal Germ Cell Tumors: A Single-Center Experience. Front Oncol 2020;10:1137 View Article PubMed/NCBI
  13. Umbreit EC, Siddiqui BA, Hwang MJ, Joon AY, Maity T, Westerman ME, et al. Origin of Subsequent Malignant Neoplasms in Patients with History of Testicular Germ Cell Tumor. Cancers (Basel) 2020;12(12):3755 View Article PubMed/NCBI
  14. Margolin K, Traweek T. The unique association of malignant histiocytosis and a primary gonadal germ cell tumor. Med Pediatr Oncol 1992;20(2):162-164 View Article PubMed/NCBI
  15. Mukherjee S, Ibrahimi S, John S, Adnan MM, Scordino T, Khalil MO, et al. Non-seminomatous mediastinal germ cell tumor and acute megakaryoblastic leukemia. Ann Hematol 2017;96(9):1435-1439 View Article PubMed/NCBI
  16. Oshrine BR, Olsen MN, Heneghan M, Wertheim G, Daber R, Wilmoth DM, et al. Acquired isochromosome 12p, somatic TP53 and PTEN mutations, and a germline ATM variant in an adolescent male with concurrent acute megakaryoblastic leukemia and mediastinal germ cell tumor. Cancer Genet 2014;207(4):153-159 View Article PubMed/NCBI
  17. Sowithayasakul P, Sinlapamongkolkul P, Treetipsatit J, Vathana N, Narkbunnam N, Sanpakit K, et al. Hematologic Malignancies Associated With Mediastinal Germ Cell Tumors: 10 Years’ Experience at Thailand’s National Pediatric Tertiary Referral Center. J Pediatr Hematol Oncol 2018;40(6):450-455 View Article PubMed/NCBI
  18. Aguiar-Bujanda D, Croissier-Sánchez L, Pérez-Cabrera D, Galván-Ruiz S. Second Hematologic Malignancies Associated With Primary Mediastinal Germ Cell Tumors: A Population-based Study. Am J Clin Oncol 2024;47(2):58-63 View Article PubMed/NCBI
  19. Taylor J, Donoghue MT, Ho C, Petrova-Drus K, Al-Ahmadie HA, Funt SA, et al. Germ cell tumors and associated hematologic malignancies evolve from a common shared precursor. J Clin Invest 2020;130(12):6668-6676 View Article PubMed/NCBI
  20. Nakanishi A, Kitagishi Y, Ogura Y, Matsuda S. The tumor suppressor PTEN interacts with p53 in hereditary cancer (Review). Int J Oncol 2014;44(6):1813-1819 View Article PubMed/NCBI
  21. Saito A, Watanabe K, Kusakabe T, Abe M, Suzuki T. Mediastinal mature teratoma with coexistence of angiosarcoma, granulocytic sarcoma and a hematopoietic region in the tumor: a rare case of association between hematological malignancy and mediastinal germ cell tumor. Pathol Int 1998;48(9):749-753 View Article PubMed/NCBI
  22. Domínguez Malagón H, Pérez Montiel D. Mediastinal germ cell tumors. Semin Diagn Pathol 2005;22(3):230-240 View Article PubMed/NCBI
  23. Motzer RJ, Amsterdam A, Prieto V, Sheinfeld J, Murty VV, Mazumdar M, et al. Teratoma with malignant transformation: diverse malignant histologies arising in men with germ cell tumors. J Urol 1998;159(1):133-138 View Article PubMed/NCBI
  24. Gonzalez-Vela JL, Savage PD, Manivel JC, Torkelson JL, Kennedy BJ. Poor prognosis of mediastinal germ cell cancers containing sarcomatous components. Cancer 1990;66(6):1114-1116 View Article PubMed/NCBI
  25. Nichols CR, Hoffman R, Einhorn LH, Williams SD, Wheeler LA, Garnick MB. Hematologic malignancies associated with primary mediastinal germ-cell tumors. Ann Intern Med 1985;102(5):603-609 View Article PubMed/NCBI
  26. Ikdahl T, Josefsen D, Jakobsen E, Delabie J, Fosså SD. Concurrent mediastinal germ-cell tumour and haematological malignancy: case report and short review of literature. Acta Oncol 2008;47(3):466-469 View Article PubMed/NCBI
  27. Zhao GQ, Dowell JE. Hematologic malignancies associated with germ cell tumors. Expert Rev Hematol 2012;5(4):427-437 View Article PubMed/NCBI

About this Article

Cite this article
Zheng L, Hu S, Czerniak B, Guo CC. Two Different Somatic-type Malignancies Arising from a Mediastinal Germ Cell Tumor: A Case Report. J Clin Transl Pathol. Published online: Mar 20, 2026. doi: 10.14218/JCTP.2025.00053.
Copy        Export to RIS        Export to EndNote
Article History
Received Revised Accepted Published
December 16, 2025 February 14, 2026 March 6, 2026 March 20, 2026
DOI http://dx.doi.org/10.14218/JCTP.2025.00053
  • Journal of Clinical and Translational Pathology
  • pISSN 2993-5202
  • eISSN 2771-165X
Back to Top

Two Different Somatic-type Malignancies Arising from a Mediastinal Germ Cell Tumor: A Case Report

Lan Zheng, Shimin Hu, Bogdan Czerniak, Charles C. Guo
  • Reset Zoom
  • Download TIFF