v
Search
Advanced

Publications > Journals > Cancer Screening and Prevention> Article Full Text

  • OPEN ACCESS

Evidence-based Guideline on the Standardized Diagnostic Imaging Report for Pancreatic Solid Tumors in China

  • Yun Bian1,
  • Jing Li1,
  • Zhaoshen Li2,* ,
  • Jianping Lu1,* ,
  • Chengwei Shao1,* ,
  • Shiyuan Liu3,* ,
  • Min Chen4,*  and
  • Xun Li5,* ,
  • on behalf of the Professional Committee of Pancreatic Diseases, Chinese Medical Doctor Association; the Radiology Branch of the Chinese Medical Association; the National Clinical Research Center for Digestive Diseases (Shanghai); and the Shanghai Medical Association Radiology Quality Control Center
 Author information 

Abstract

Pancreatic solid tumors encompass diverse pathological subtypes. Objective, accurate, and comprehensive imaging examinations and diagnostic reports are essential for preoperative staging, treatment planning, and prognostic evaluation. Currently, China lacks corresponding guidelines or consensus documents, leading to prominent issues including subjective diagnostic reports, incomplete descriptions, and inconsistent terminology. The present guideline was developed to standardize diagnostic imaging reporting of pancreatic solid tumors in China. Relevant domestic and international evidence on imaging examination techniques, key reporting elements, and diagnostic criteria was systematically reviewed and synthesized. This guideline was developed by a multidisciplinary expert panel through systematic evidence retrieval and appraisal, GRADE-based recommendation grading, modified Delphi consensus, and external review. A total of 20 evidence-based recommendations, 13 strong and 7 weak, were formulated, in aspects of imaging examination and diagnostic reporting standards, including the measurement of the tumor size of pancreatic solid tumors, assessment of the obstruction of the main pancreatic duct and common bile duct, definition, assessment, and clinical significance of pancreatic parenchymal atrophy, the assessment of obstructive acute pancreatitis, pseudocysts/retention cysts, and peripancreatic vessels, criteria for resectability, regional lymph node assessment, criteria for suspicious lymph nodes and descriptions of their specific location, and detection of hepatic and peritoneal metastases. Implementation of this guideline in clinical practice will help standardize the accuracy and consistency of diagnostic imaging reports for pancreatic solid tumors in China, thereby advancing standardized imaging diagnosis and informing clinical treatment decisions.

Keywords

Pancreatic solid tumors, Diagnostic imaging, Tomography, X-Ray computed, Magnetic resonance imaging, Endosonography, Practice guidelines as topic, Delphi technique, Evidence-based practice

Introduction

With advances in imaging technology, the detection rate of pancreatic solid tumors has increased annually. Pancreatic solid tumors represent a heterogeneous group of diseases, primarily including pancreatic ductal adenocarcinomas (PDAC), pancreatic neuroendocrine tumors (pNETs), pancreatic lymphoma, pancreatic metastases, pancreatic acinar cell carcinoma, among others. PDAC and pNETs are the most common pancreatic solid tumors, accounting for the majority of all pancreatic neoplasms.1

For both PDAC and pNETs, objective, accurate, and comprehensive imaging examinations and diagnostic reports are of paramount importance for preoperative staging, further clinical treatment decisions, and prognostic evaluation.2

Standardized imaging techniques and reporting are essential for accurate diagnosis and staging of pancreatic solid tumors. However, current free-text reports rely heavily on individual experience, resulting in significant subjectivity, incomplete descriptions, inconsistent terminology, and poor inter-institutional reproducibility. These limitations lead to discrepancies in disease severity assessment and therapeutic efficacy evaluation.3

Structured reporting templates for pancreatic cancer have been developed internationally, most notably the Society of Abdominal Radiology (SAR) and American Pancreatic Association consensus template for PDAC published in 2014,4 as well as guidelines from the European Neuroendocrine Tumor Society for neuroendocrine tumors.5–7 The current guideline builds upon these international frameworks while adapting them to the Chinese healthcare context. Key elements such as vascular involvement assessment, resectability criteria, and lymph node evaluation align with the SAR/American Pancreatic Association template,4 particularly regarding the classification of tumor-vessel contact angles and the National Comprehensive Cancer Network (NCCN) resectability criteria.8 However, this guideline expands upon international templates by incorporating additional assessment parameters specific to the Chinese clinical environment, including detailed criteria for pancreatic parenchymal atrophy (PPA)—partial pancreatic parenchymal atrophy (PPPA) and upstream pancreatic parenchymal atrophy (UPPA)—as well as recommendations for evaluating obstructive acute pancreatitis, which are particularly relevant for early detection in Chinese screening populations.

To address these challenges and standardize imaging diagnosis of pancreatic solid tumors in China, the National Clinical Research Center for Digestive Diseases (Shanghai), the Professional Committee of Pancreatic Diseases of the Chinese Medical Doctor Association, and the editorial board of the Chinese Journal of Pancreatic Diseases jointly initiated this guideline. Experts in radiology, internal medicine, surgery, oncology, pathology, evidence-based medicine, and related methodological fields were organized. Based on published literature and extensive expert consultation, employing a modified Delphi method through multiple rounds of voting and collective discussion, 20 recommendations were formulated focusing on imaging examination methods, report evaluation indicators, and standards.

The guideline drafting and revision were conducted by the Radiology Department of the First Affiliated Hospital of Naval Medical University. This guideline adopts the GRADE (Grading of Recommendations Assessment, Development and Evaluation) methodology to classify evidence quality into four levels: high (A), moderate (B), low (C), and very low (D), and recommendation strength into two levels: strong and weak.

Materials and methods

This guideline was developed in accordance with the World Health Organization (WHO) Handbook for Guideline Development,9 referencing the Institute of Medicine definition of clinical practice guidelines,10 the Chinese Medical Association’s “Guiding Principles for Developing/Revising Clinical Practice Guidelines (2022 Edition)”,11 and the WHO International Classification of Diseases (11th edition).12

A systematic evaluation and study of issues related to pancreatic solid tumor imaging were conducted, referencing guideline appraisal tools such as AGREE IIand reporting standards including RIGHT,13,14 to formulate relevant recommendations. The technical roadmap is illustrated in Figure 1.

Technical roadmap for guideline development.
Fig. 1  Technical roadmap for guideline development.

GRADE, Grading of Recommendations Assessment, Development and Evaluation.

Guideline initiating and supporting organizations

The National Clinical Research Center for Digestive Diseases (Shanghai), the Professional Committee of Pancreatic Diseases of the Chinese Medical Doctor Association, and the editorial board of the Chinese Journal of Pancreatic Diseases are the initiators of this guideline. The Radiology Department of the First Affiliated Hospital of Naval Medical University is the primary implementing institution. Methodological support was provided by the GRADE China Center. The guideline has been registered on the International Practice Guidelines Registry Platform (http://www.guidelinesregistry.cn/ ), registration number REPAPE-2023CN473.

Guideline users and target population

The guideline is intended for Chinese-speaking radiologists, multidisciplinary pancreatic disease specialists, and related healthcare professionals. The target population comprises patients with pancreatic solid tumors.

Organizational structure of guideline development

The guideline development involved five main groups: chief experts, chief methodologists, guideline expert committee, external review panel, and guideline working group. Members included experts from radiology, internal medicine, surgery, oncology, pathology, evidence-based medicine, and related methodological fields.

It should be acknowledged that the majority of chief experts, guideline committee members, and working group members are from the First Affiliated Hospital of Naval Medical University, Shanghai, which served as the primary implementing institution. However, to mitigate potential institutional bias, we employed a rigorous modified Delphi process involving multiple rounds of anonymous voting, and convened an external review panel comprising 31 experts from 25 different institutions across China to provide independent evaluation and feedback on the recommendations.

Conflict of interest and disclosure

The guideline development process strictly adhered to WHO conflict of interest policies and ethical standards. All participants and invited experts and consultants completed conflict of interest declarations. Evaluations confirmed no direct conflicts of interest related to this guideline.

Selection and determination of key imaging issues for pancreatic solid tumor reporting

The working group systematically searched literature on imaging assessment of pancreatic solid tumors, including published guidelines, systematic reviews, and original studies, preliminarily identifying 20 imaging assessment questions. Two rounds of modified Delphi consultations with guideline experts were conducted for in-depth discussion. The imaging questions addressed in this guideline are summarized in Table 1.

Table 1

Imaging assessment questions for pancreatic solid tumors

1.What is the preferred imaging modality for patients suspected of pancreatic solid lesions?
2.Should tumor size be measured by CT or MRI?
3.How should pancreatic solid tumor size be measured?
4.Is assessment of the morphology of the main pancreatic duct obstruction point necessary?
5.How should the main pancreatic duct diameter be measured?
6.How is main pancreatic duct dilatation defined?
7.Is assessment of the morphology of the common bile duct obstruction point necessary?
8.How should the common bile duct diameter be measured?
9.How is common bile duct dilatation defined?
10.How is pancreatic parenchymal atrophy defined and what is its clinical significance?
11.How should pancreatic parenchymal atrophy be accurately assessed?
12.Is evaluation of obstructive acute pancreatitis necessary?
13.Is assessment of pseudocysts/retention cysts necessary?
14.What is the preferred imaging modality for peripancreatic vascular assessment?
15.What are the key points in peripancreatic vascular evaluation?
16.What are the imaging criteria for resectability assessment?
17.What is the optimal imaging modality for regional lymph node evaluation?
18.What are the imaging criteria for suspicious lymph nodes?
19.Should suspicious lymph nodes be described with specific anatomical locations?
20.What is the preferred imaging modality for detecting hepatic and peritoneal metastases?

Evidence retrieval

Systematic searches were conducted in four English databases: PubMed, Cochrane Library, Embase, and Web of Science; and five Chinese databases: Wanfang Data, China National Knowledge Infrastructure, Chinese Biomedical Literature Database, VIP, and Yimai Tong. International clinical guideline websites searched included the National Guideline Clearinghouse, Scottish Intercollegiate Guidelines Network, WHO, and Guidelines International Network. The search cutoff date was December 31, 2023, with language limited to English and Chinese. Reference lists of included studies were also traced.

Evidence screening and extraction

For the 20 imaging assessment questions, 8 relevant guidelines, 12 meta-analyses, and a total of 111 other clinical trials, cohort studies, case-control studies, cross-sectional studies, case series, and case reports were included to provide evidence supporting recommendations. After establishing inclusion/exclusion criteria, the working group underwent comprehensive training. Evidence was collated based on expert selection and provided to the guideline expert committee. Literature search and data extraction were independently performed by two reviewers; discrepancies were resolved by discussion or third-party consultation.

Evidence quality assessment and grading

Methodological quality of systematic reviews/meta-analyses was assessed using AMSTAR (A Measurement Tool to Assess Systematic Reviews15; included guidelines were appraised with AGREE II regardless of publication date.16 High-quality, relevant evidence was updated or newly synthesized by the working group. Risk of bias in randomized controlled trials was assessed using the Cochrane Risk of Bias Tool.17

The GRADE approach was applied to grade the body of evidence and recommendations.18,19 Evidence quality was classified into four levels: high (A), moderate (B), low (C), and very low (D). Recommendations were categorized as strong (1) or weak (2).

Formation of guideline recommendations

The working group synthesized domestic and international evidence, identified key issues and terminology in imaging reports, and classified evidence levels and recommendation grades to draft the first questionnaire. Using a modified Delphi method, expert panel members rated each recommendation on a 5-point Likert scale (strongly agree, mostly agree, partially agree, mostly disagree, strongly disagree). Recommendations with ≥75% of experts responding “strongly agree” and/or “mostly agree” were accepted as appropriate clinical practice guideline statements. Ultimately, 20 recommendations with supporting rationales were formulated.

External review

Following consensus on recommendations, the draft guideline was submitted to an external review panel comprising radiology experts, clinical specialists, and guideline methodologists for evaluation.

Funding sources and role

Funding was primarily provided by the National Natural Science Foundation of China, Shanghai Science and Technology Commission Innovation Action Plan, and Shanghai Shenkang Clinical Research Project. These funds covered research expenses, materials, and project organization related to guideline development.

Guideline dissemination

After official release, dissemination will be conducted via: (1) multimedia promotion and application; (2) presentations at relevant academic conferences; (3) publication in related journals; (4) training sessions for radiologists and clinicians involved in pancreatic disease diagnosis and treatment.

Results

This guideline focuses on pancreatic solid tumors, primarily pancreatic cancer and pNETs, with ICD-11 codes C25.901 and D37.703, respectively. It addresses two major aspects: selection of imaging examination techniques and evaluation of imaging reports. Following evidence-based methodology, 20 recommendations were developed.

Imaging examination

What is the preferred imaging modality for patients suspected of pancreatic solid lesions?

Recommendation 1: Contrast-enhanced pancreatic computed tomography (CT) is the preferred modality for diagnosing pancreatic solid tumors. When CT cannot definitively characterize the primary pancreatic lesion or hepatic metastases, further evaluation with non-contrast and contrast-enhanced magnetic resonance imaging (MRI) is recommended to assist diagnosis.

Evidence quality: A; Recommendation strength: Strong

Pancreatic contrast-enhanced CT scanning offers excellent spatial and temporal resolution, a wide scanning range, and clear visualization of biliary and vascular anatomy, as well as the relationship between pancreatic masses and surrounding vessels. It enables assessment of local tumor invasion and congenital anatomical variations of vessels and bile ducts,20 and has become the primary imaging modality for preoperative evaluation of pancreatic solid tumors.21

Preoperative diagnosis of local tumor invasion aids clinical treatment planning; accurate preoperative assessment of congenital vascular and biliary anatomical variations helps reduce postoperative complications caused by intraoperative injury.22 However, CT imaging has drawbacks including radiation exposure and difficulty in clearly delineating lesions when their enhancement is similar to surrounding tissues.23

MRI, although inferior to CT in spatial resolution, provides superior soft tissue contrast. Multiparametric and multisequence imaging offers valuable diagnostic information for pancreatic solid lesions, primarily detecting isoattenuating pancreatic lesions on CT or better characterizing indeterminate hepatic lesions found on CT.23

Several studies suggest that MRI has comparable sensitivity and specificity to CT in diagnosing pancreatic solid lesions and assessing vascular invasion24–28; a meta-analysis including seven studies reported pooled sensitivities for CT and MRI in diagnosing pancreatic solid lesions of 89% (95% confidence interval (CI), CT: 0.82–0.94; MRI: 0.81–0.91), with CT specificity at 90% (95% CI, 0.80–0.95) and MRI specificity at 89% (95% CI, 0.74–0.95)25; for vascular involvement assessment, CT sensitivity was 68% (95% CI, 0.55–0.79) and MRI sensitivity 62% (95% CI, 0.48–0.74), with CT specificity of 97% (95% CI, 0.94–0.98) and MRI specificity of 96% (95% CI, 0.93–0.98).25

Positron emission tomography-computed tomography (PET-CT) and endoscopic ultrasound-guided fine needle aspiration (EUS-FNA) provide additional metabolic and histological information beyond CT and MRI. A meta-analysis of four studies including 206 patients found that in clinically suspected pancreatic cancer cases undetected by CT, EUS-FNA sensitivity was 85% (95% CI, 0.69–0.94), specificity 58% (95% CI, 0.40–0.74), and accuracy 75% (95% CI, 0.67–0.82).29

Another meta-analysis reported that PET/CT has higher specificity than CT for M staging (100% [95% CI, 0.95–1.00] vs. 91% [95% CI, 0.81–0.97]), but current evidence does not support replacing CT or MRI with EUS-FNA or PET-CT.25

Moreover, EUS-FNA is invasive and operator-dependent. Therefore, CT’s advantages—widespread availability, convenience, time efficiency, and high spatial resolution—make it the preferred initial diagnostic modality for pancreatic solid tumors,5,8,30,31 with recommendations for centers equipped to perform combined CT and MRI assessments to further improve diagnostic accuracy.30,32

Diagnostic reporting standards

The diagnostic report for pancreatic solid tumors should include five key components6,7,33: tumor assessment, evaluation of surrounding vessels, regional lymph node assessment, invasion of adjacent organs and distant metastases, and other abnormal imaging findings within the scan range.

Should tumor size of pancreatic solid tumors be measured on CT or MRI?

Recommendation 2: Measurement of the maximum tumor diameter on either CT or MRI images is recommended.

Evidence quality: C; Recommendation strength: Weak

Tumor size determines the T stage, which is a strong prognostic factor for survival in various malignancies including pancreatic cancer.34,35 However, T staging is pathological, and preoperative prediction relies on imaging. Due to irregular tumor morphology, measuring the maximum diameter on CT or MRI often does not accurately reflect the true tumor size, potentially leading to over- or underestimation,36–41 which may affect treatment decisions.

Michallek et al.39 reported that CT tends to underestimate tumor size, while MRI correlates better with actual size; however, other studies found that although size measurements on CT or MRI may differ from gross pathology and potentially alter T staging, overall tumor staging is rarely affected.41

For pNETs, studies indicate high concordance between CT/MRI measurements and pathological specimens, with no significant difference between CT and MRI results.28,42

van Beek et al.43 concluded that preoperative CT and MRI neither overestimate nor underestimate pNET size, but MRI has advantages in consistency and reliability.

Currently, no consensus exists on the optimal modality or method for measuring pancreatic solid tumor size. This guideline recommends that either CT or MRI may be used clinically. For multifocal lesions, each lesion’s size should be measured; if the lesion is not clearly visualized (e.g., isoattenuating on CT or isointense on MRI), measurement is not feasible.

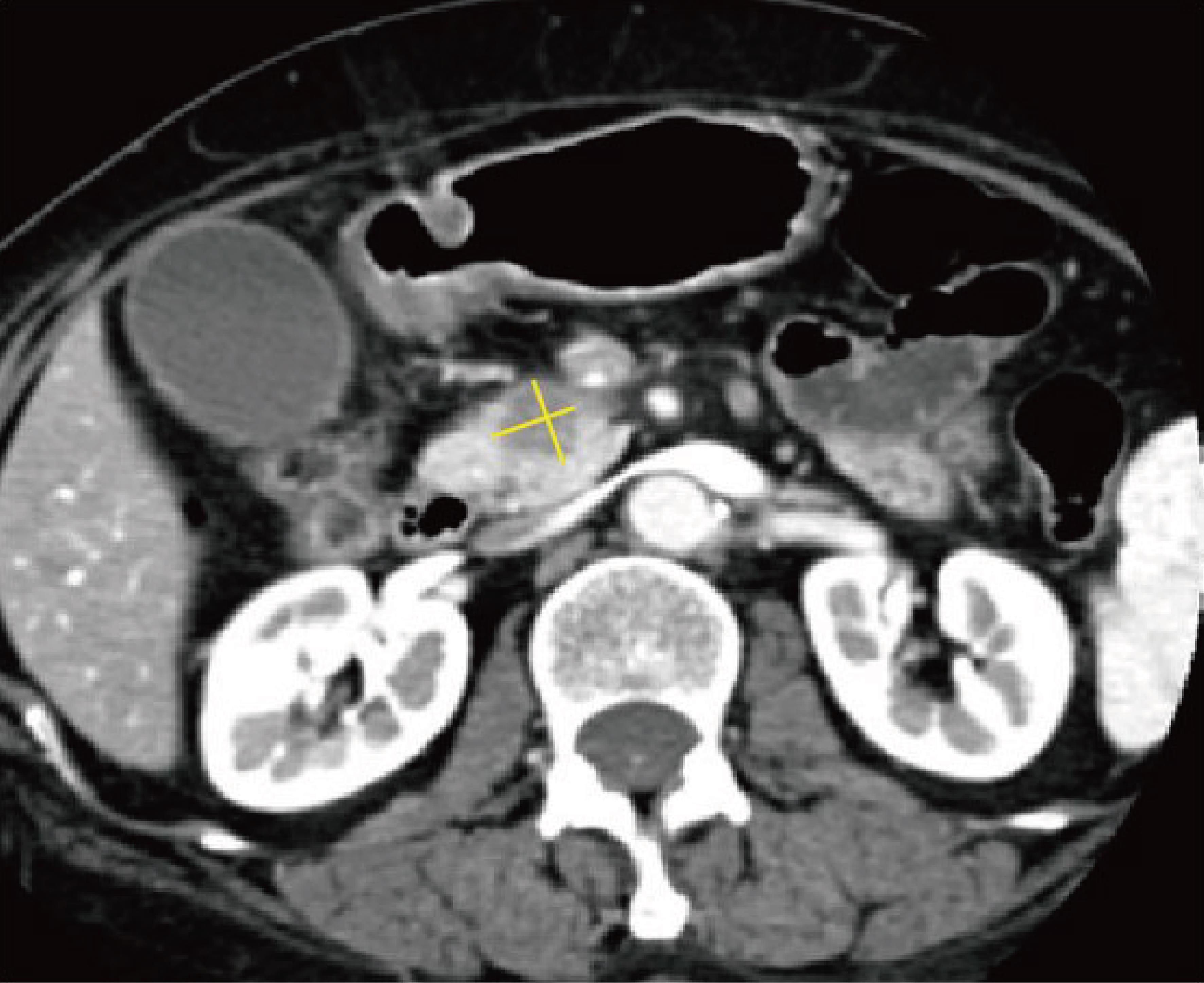
How should tumor size of pancreatic solid tumors be measured?

Recommendation 3: For PDAC, measure the maximum diameter on the largest cross-sectional image during the pancreatic parenchymal enhancement phase. For functional pNETs, measure the maximum diameter on the largest cross-sectional image during the arterial enhancement phase.

Evidence quality: B; Recommendation strength: Strong

According to the Response Evaluation Criteria in Solid Tumors and the structured reporting template for pancreatic cancer proposed by Al-Hawary et al.,33 tumor size should be measured as the maximum diameter on the largest cross-sectional tumor image.8

Cocquempot et al.40 found that tumor size measurement during the pancreatic parenchymal phase (∼40 seconds post-contrast injection) on CT is most accurate for PDAC, thus recommending measurement during this phase (Fig. 2).

Measurement of pancreatic solid tumor size.
Fig. 2  Measurement of pancreatic solid tumor size.

Illustration demonstrating the measurement of the maximum tumor diameter on the largest cross-sectional image during the pancreatic parenchymal phase for pancreatic ductal adenocarcinoma and arterial phase for functional pancreatic neuroendocrine tumors..

pNETs are heterogeneous tumors; functional pNETs show early, marked, homogeneous arterial enhancement. Studies report higher sensitivity for detecting small functional pNETs in the arterial phase (83–88%) compared to the parenchymal phase (11–76%)44; therefore, measurement during the arterial phase is recommended.

Additionally, the European Neuroendocrine Tumor Society consensus guideline recommends that the late arterial phase suffices to evaluate arterial anatomy and its relationship with pNETs.5

In most cases, the late arterial phase allows pNET diagnosis, whereas the pancreatic parenchymal phase is optimal for PDAC diagnosis but less favorable for pNET characterization.

Is morphological assessment of the main pancreatic duct (MPD) obstruction site necessary?

Recommendation 4: Morphological assessment of the MPD obstruction site is necessary.

Evidence quality: A; Recommendation strength: Strong

Early pancreatic cancer has a better prognosis but remains challenging to diagnose.45

A Japanese multicenter study identified isolated MPD stricture as an imaging feature suggestive of early pancreatic cancer, providing diagnostic clues.46

With disease progression, MPD may show abrupt cutoff and upstream ductal dilation,45,47–50 especially in isoattenuating/signal pancreatic cancers.51

Meta-analyses indicate that multiple MPD strictures, duct-penetrating signs, and absence of upstream MPD dilation are important imaging features differentiating autoimmune pancreatitis from pancreatic cancer, with MPD cutoff being the most specific sign for pancreatic cancer.52,53

Hypovascular pNETs typically do not cause MPD cutoff or upstream dilation, aiding differentiation from pancreatic cancer.54,55 However, large pNETs or pancreatic neuroendocrine carcinomas (pNECs) may compress or invade the MPD, causing abrupt cutoff and upstream dilation.56,57

Therefore, evaluating MPD obstruction morphology is critical for early lesion detection and differential diagnosis among pancreatic tumors.58–60

This guideline recommends that imaging reports clearly state whether MPD obstruction is present; if so, specify the location and characterize the obstruction as stricture or cutoff.

How should MPD diameter be measured?

Recommendation 5: Measure the MPD diameter on magnetic resonance cholangiopancreatography (MRCP), T2-weighted imaging (T2WI), or contrast-enhanced CT during the pancreatic parenchymal or portal venous phase, selecting the plane perpendicular to the MPD long axis.

Evidence quality: C; Recommendation strength: Weak

MRI/MRCP detection of pancreatic ductal changes is equivalent or slightly superior to CT,61 though some studies suggest CT curved planar reconstructions can match MRCP quality.62

No consensus exists on MPD measurement methodology. Based on current literature, this guideline recommends measuring the maximum MPD diameter on 2D MRCP, T2WI, or contrast-enhanced CT during the pancreatic parenchymal or portal venous phase, selecting the optimal plane perpendicular to the MPD long axis.63–65

How is MPD dilation defined?

Recommendation 6: MPD dilation is defined as a maximum diameter >3 mm.

Evidence quality: C; Recommendation strength: Weak

Pancreatic solid tumors can compress or invade the pancreatic duct, causing varying degrees of upstream ductal dilation.

The upper limit of normal pancreatic duct diameter remains debated. A 1976 ERCP study of 35 patients without pancreatic disease suggested an upper normal MPD diameter of 3 mm.66

Other studies define dilation as MPD diameters ≥3 mm in the pancreatic head, ≥2 mm in the body, and ≥1 mm in the tail.67,68

The 2018 International Consensus Guidelines on Chronic Pancreatitis cross-sectional imaging diagnosis and severity scoring (including MRI and CT) also recommend >3 mm as the threshold for dilation.69

A recent population-based cross-sectional study published in Gut found that applying traditional reference values led to up to 11% of healthy volunteers being diagnosed with MPD dilation, prompting unnecessary further testing. It proposed new age-adjusted upper limits for asymptomatic individuals with normal liver function and lipase levels65: 3 mm for those <65 years old and 4 mm for those ≥65 years old.

However, whether to update routine MPD reference values remains controversial without consensus.

Therefore, this guideline recommends retaining the definition of MPD dilation as maximum diameter >3 mm in imaging reports.33,70

Is morphological assessment of the common bile duct (CBD) obstruction site necessary?

Recommendation 7: Morphological assessment of the CBD obstruction site is necessary.

Evidence quality: A; Recommendation strength: Strong

The CBD obstruction site usually corresponds to the lesion location; studying its morphology aids lesion characterization.

Inflammatory CBD strictures typically show concentric narrowing with smooth walls and a “rat-tail” appearance without abrupt ductal cutoff, whereas malignant strictures often exhibit abrupt cutoff or eccentric “moth-eaten” narrowing.71

In periampullary malignancies, up to 50–80% of high-risk patients presenting with clinical or biochemical jaundice and/or imaging-detected masses exhibit biliary and pancreatic duct dilation (double duct sign).67,72,73

For pNETs, large tumors or pNECs may compress or invade the CBD, causing biliary dilation.74

In non-jaundiced patients, meta-analyses suggest that incidental CBD dilation is mostly due to benign causes (e.g., chronic pancreatitis, biliary stones), with periampullary tumors accounting for only ∼5%.75

Thus, in jaundiced patients, CBD obstruction with dilation warrants high suspicion for periampullary malignancy.

This guideline recommends that imaging reports specify whether CBD obstruction is present; if so, detail the obstruction location (proximal to pancreatic head, pancreatic head segment, periampullary region) and characterize the obstruction as stricture (concentric or eccentric) or cutoff.

How should CBD diameter be measured?

Recommendation 8: Measure the CBD diameter on MRCP, T2WI, or contrast-enhanced CT images, selecting the largest cross-sectional area perpendicular to the CBD long axis.

Evidence quality: C; Recommendation strength: Weak

A randomized controlled trial demonstrated high correlation between MRI sequences and ultrasound measurements of extrahepatic bile duct diameter, confirming MRI as a reliable method.76

CT offers high resolution and multiplanar reconstruction; studies suggest using coronal and oblique sagittal CT reconstructions to select the maximal cross-section perpendicular to the CBD long axis for measurement.77,78

No universally accepted CBD measurement method exists. Based on current evidence, this guideline recommends measuring CBD diameter on MRCP, T2WI, or contrast-enhanced CT images, selecting the maximal cross-section perpendicular to the CBD long axis.65

How is CBD dilation defined?

Recommendation 9: CBD dilation is defined as maximum diameter >8 mm with gallbladder present, and >10 mm post-cholecystectomy.

Evidence quality: B; Recommendation strength: Strong

Normal CBD diameter is controversial, with studies reporting a range of 4–8 mm.79

CBD diameter correlates with age, increasing in healthy individuals as age advances,80–82 necessitating age-adjusted reference values.

Post-cholecystectomy compensatory CBD dilation is recognized; some studies define dilation as >10 mm in this population,83,84 though upper limits require further validation.65

A recent Gut publication showed that applying traditional reference values led to 18.2% of healthy volunteers being classified as having CBD dilation, causing unnecessary investigations. It proposed new age-adjusted upper limits for asymptomatic individuals with normal liver function and lipase: 8 mm for those <65 years old and 11 mm for those ≥65 years old.65

However, updating routine CBD reference values remains debated without consensus.

Currently, most CT and MRI studies continue to define CBD dilation as >8 mm with gallbladder present and >10 mm post-cholecystectomy.79,83,84

How is PPA Defined and what is its clinical significance?

Recommendation 10: PPA refers to reduced pancreatic volume and is classified as PPPA and UPPA. PPA is an important indirect imaging sign for diagnosing early and advanced pancreatic cancer.

Evidence quality: B; Recommendation strength: Strong

Early pancreatic cancer has significantly better prognosis than advanced disease,85 but early-stage tumors (including carcinoma in situ) or isoattenuating pancreatic cancers are often difficult to detect on conventional imaging, requiring indirect imaging signs for diagnosis.

PPA is the most important indirect imaging sign for diagnosing such challenging pancreatic cancers.50,51

PPA denotes pancreatic volume loss, with specific classification and quantification methods proposed.86–88

Yamao et al.86 classified PPA into PPPA and UPPA: PPPA corresponds to atrophic changes in the pancreatic parenchyma at the MPD stricture site; UPPA refers to atrophy of the upstream pancreatic parenchyma caused by MPD stricture (Fig. 3).73

Schematic illustration of pancreatic parenchymal atrophy (PPA).
Fig. 3  Schematic illustration of pancreatic parenchymal atrophy (PPA).73

PPA is classified into partial pancreatic parenchymal atrophy (PPPA) and upstream pancreatic parenchymal atrophy (UPPA). (a) PPPA is defined as localized atrophic change of the pancreatic parenchyma at the level corresponding to the main pancreatic duct (MPD) stricture (red arrow). (b) UPPA is defined as atrophic change of the upstream pancreatic parenchyma secondary to MPD stricture (red arrow).

For pancreatic cancers without clear MPD stricture on CT, Koiwai et al.89 defined pancreatic body width ≤10 mm as another form of PPA.

Recent studies suggest PPPA may result from branch duct obstruction or closure caused by pancreatic intraepithelial neoplasia or small pancreatic cancers, leading to local fibrosis or fatty replacement due to impaired pancreatic juice drainage, making PPPA a key early imaging marker.86–91

Advanced pancreatic cancer often causes MPD stricture or obstruction with upstream fibrosis leading to UPPA.50

PPPA and UPPA correlate with pancreatic cancer development and progression.

This guideline recommends that imaging reports describe the presence or absence of PPPA and UPPA.

How should PPA be accurately assessed?

Recommendation 11: PPA should be primarily assessed on CT/MRI contrast-enhanced parenchymal phase images. PPPA measurement criteria include: (1) partial pancreatic parenchymal indentation with parenchymal edge to MPD wall distance ≤4 mm; (2) PPPA length of 10–25 mm; (3) upstream pancreatic parenchymal width >6 mm. UPPA criteria include parenchymal edge to MPD distances at the stricture and upstream sites both ≤4 mm. For pancreatic cancers without clear MPD stricture, pancreatic body width ≤10 mm defines PPA.

Evidence quality: C; Recommendation strength: Weak

Contrast-enhanced CT or MRI parenchymal phase images provide optimal tumor-to-pancreas contrast and clear venous visualization, making them ideal for thickness measurements.92

Current PPA measurement methods are mostly linear, but no consensus exists on absolute thresholds to quantify pancreatic atrophy, especially since parenchymal thickness decreases with age and age-adjusted standards are lacking.

Sandini et al.93 calculated the MPD-to-pancreatic thickness ratio at the widest MPD diameter, finding that a ratio ≥3.5 indicates UPPA and predicts postoperative prognosis.

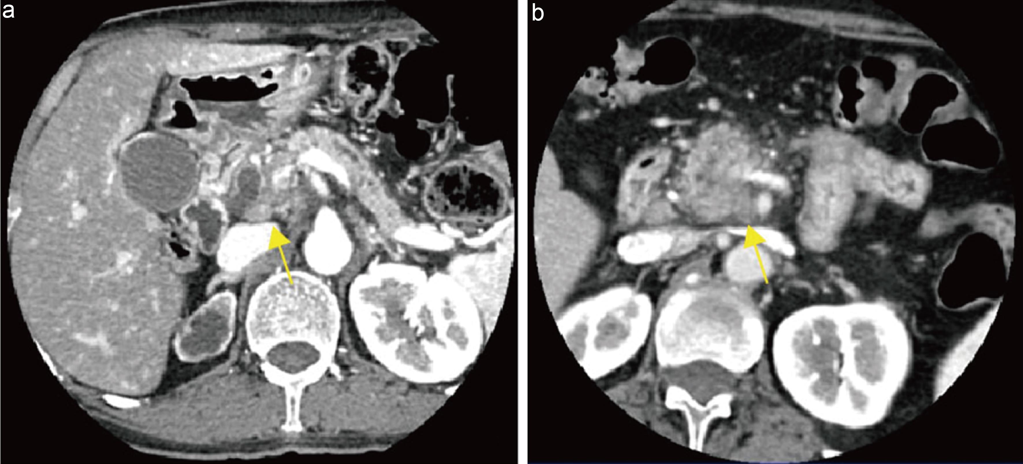
Nakahodo et al.87,88 defined PPPA as the product of maximal and minimal diameters of the pancreatic indentation exceeding 50 mm2 or a distance >5 mm under the line connecting the edges of the indentation.

Yamao et al.86 proposed PPPA criteria on CT images: (1) parenchymal edge to MPD distance ≤4 mm at the stricture site, with upstream parenchymal edge to MPD distance >6 mm; (2) PPPA length 10–25 mm; (3) upstream parenchymal width >6 mm (Fig. 4a). UPPA is defined as parenchymal edge to MPD distances ≤4 mm at both stricture and upstream sites (Fig. 4b).73

Criteria for evaluating pancreatic parenchymal atrophy (PPA).
Fig. 4  Criteria for evaluating pancreatic parenchymal atrophy (PPA).73

(a) Pancreatic PPA: Defined on Computed Tomography when all the following criteria are met: Distance from the parenchymal edge to the main pancreatic duct (MPD) at the stricture site ≤ 4 mm (W1); Distance from the upstream parenchymal edge to the MPD > 6 mm (W2); Length of the atrophic segment at the stricture site between 10–25 mm (L1). (b) Upstream PPA: Defined when both the distance from the parenchymal edge to the MPD at the stricture site (W1) and at the upstream parenchyma (W3) are ≤ 4 mm.

For pancreatic cancers without clear MPD stricture on CT, Koiwai et al.89 defined pancreatic body width ≤10 mm as PPA.

This guideline recommends adopting these criteria for PPA measurement.

Is assessment of obstructive acute pancreatitis necessary?

Recommendation 12: Assessment for the presence of obstructive acute pancreatitis is necessary.

Evidence quality: B; Recommendation strength: Strong

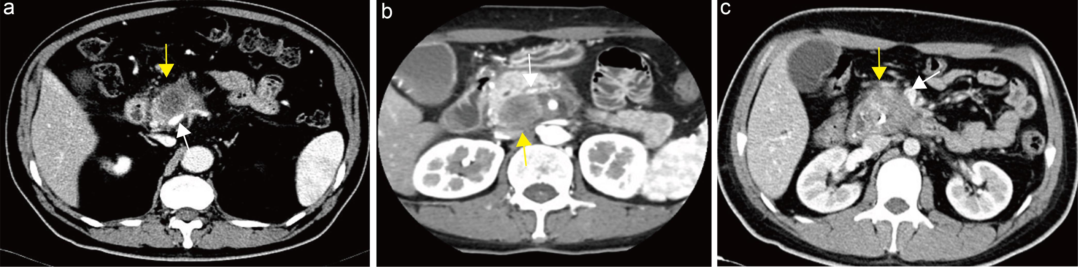
Explanation: Alcohol and gallstones are the most important etiologies of acute pancreatitis. Pancreatic cancer is a relatively uncommon cause, with an incidence of 0.9% to 3.6%.94 Mujica et al.95 hypothesized possible mechanisms by which pancreatic cancer induces acute pancreatitis, including mechanical obstruction of the pancreatic duct, ischemia caused by malignant tumor cells obstructing blood vessels, and direct activation of pancreatic enzymes by tumor tissue. The presence of obstructive pancreatitis is assessed based on suspicious masses, main pancreatic duct interruption with upstream ductal dilation, pancreatic enlargement upstream, blurring of peripancreatic fat planes, and stranding edema.96,97 Studies have found that 59% of pancreatic cancer cases were initially misdiagnosed as acute pancreatitis due to inflammatory changes masking underlying masses or secondary signs.98 Tummala et al.99 studied 218 patients with acute pancreatitis undergoing EUS-FNA and identified 38 cases of pancreatic cancer diagnosed promptly after the first episode of acute pancreatitis, with a resection rate of 39%, thereby improving patient survival. Therefore, in patients with acute pancreatitis after excluding common causes such as alcohol and gallstones, careful evaluation of pancreatic imaging is warranted to identify potential underlying malignancy,50,99,100 and this should be explicitly stated in imaging reports (Fig. 5).

Pancreatic cancer with surrounding obstructive inflammation.
Fig. 5  Pancreatic cancer with surrounding obstructive inflammation.

Axial arterial late-phase computed tomography (CT) image shows a hypodense mass in the pancreatic body and tail (white arrow), with patchy peripancreatic inflammatory infiltration (yellow arrow).

Is evaluation of pseudocysts/retention cysts necessary?

Recommendation 13: Evaluation for the presence of pseudocysts or retention cysts is necessary.

Evidence quality: B; Recommendation strength: Strong

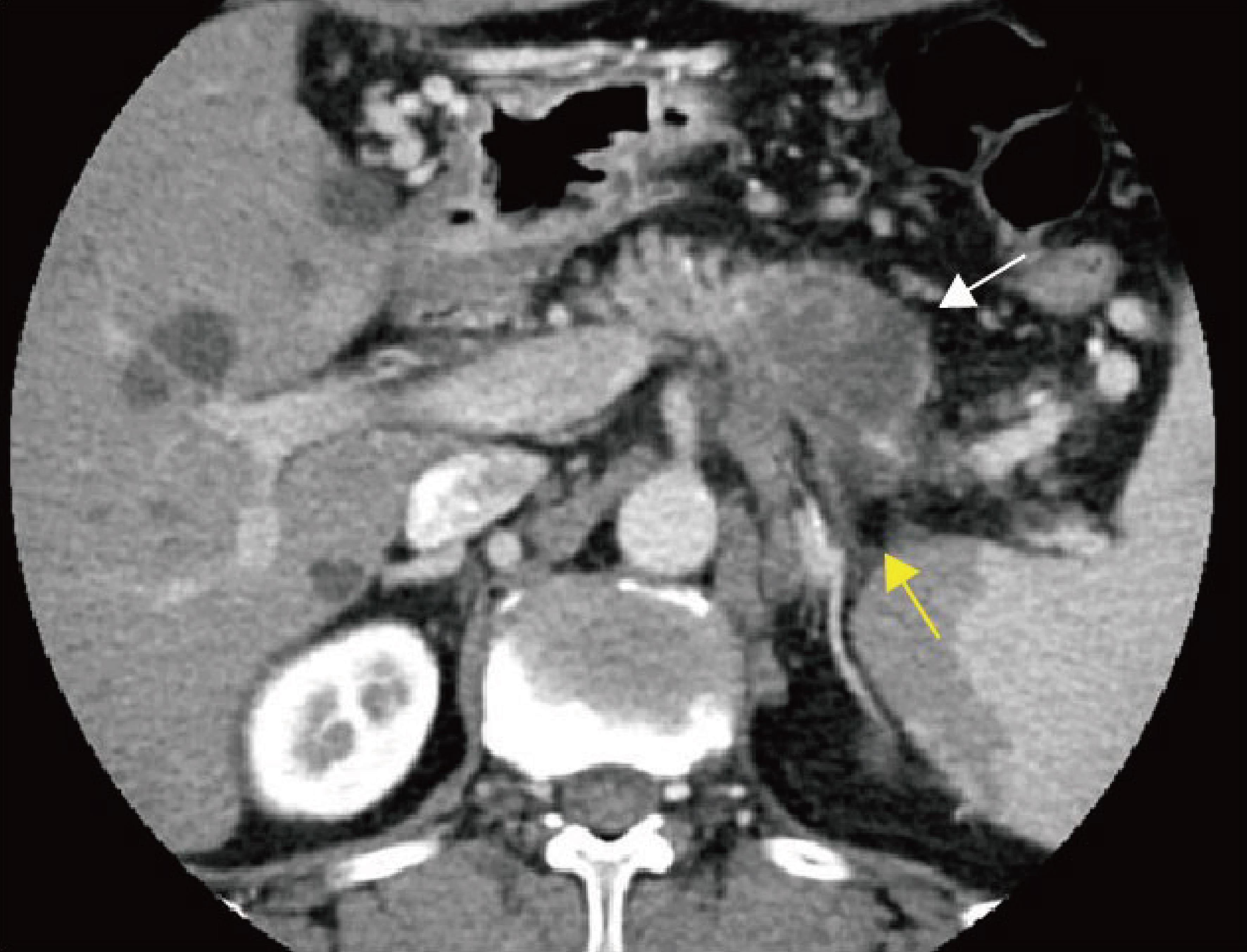
Explanation: Pancreatic cancer originates from ductal epithelial cells and can obstruct the pancreatic duct, causing upstream retention of pancreatic juice and cystic dilation, forming retention cysts lined by ductal epithelium on pathology.101 When intraductal pressure increases or the pancreatic duct ruptures, pseudocysts may form; these can also develop secondary to obstructive acute pancreatitis. Pseudocysts consist of fluid collections surrounded by non-epithelial tissue within or adjacent to the pancreas.102 Differentiation between retention cysts and pseudocysts requires pathological examination; radiologically, they are often difficult to distinguish, both typically presenting as unilocular cysts with variably thick walls, commonly located in the pancreatic body or tail without obvious mural nodules.101 Studies have identified pancreatic cysts ≥5 mm as independent predictors for pancreatic cancer development.103 In patients with elevated CA19-9 and retention cysts, vigilance for small or isoattenuating pancreatic cancers nearby is warranted.50,104 This guideline recommends that when retention or pseudocysts are detected, they should be clearly reported with measurements of size and description of location (Fig. 6).

Pseudocyst formation secondary to pancreatic cancer.
Fig. 6  Pseudocyst formation secondary to pancreatic cancer.

Axial arterial-phase computed tomography (CT) image demonstrates a hypodense mass in the pancreatic body (white arrow) and an adjacent lower-attenuation lesion (yellow arrow) representing a pseudocyst. The measurement method is illustrated by the yellow line.

Preferred imaging modality for peripancreatic vascular assessment

Recommendation 14: Contrast-enhanced pancreatic CT is the preferred modality for evaluating peripancreatic vessels.

Evidence quality: A; Recommendation strength: Strong

Explanation: In the absence of distant metastases, resectability assessment of pancreatic cancer primarily depends on evaluation of tumor–vascular relationships. According to multiple studies including the NCCN, contrast-enhanced pancreatic CT is the preferred imaging modality for staging and resectability determination of pancreatic cancer.8,20,33 Although MRI has demonstrated comparable sensitivity and specificity to CT for assessing vascular involvement in pancreatic cancer,24,25,105,106 CT is more widely utilized due to lower cost and greater availability.25 Additionally, studies indicate that multidetector CT (MDCT) with three-dimensional reconstruction significantly improves accuracy in assessing vascular invasion compared to MDCT without 3D reconstruction (100%; 95% CI, 91–100% vs. 79%; 95% CI, 64–89%).25 Evaluation requires separate assessment of arterial and venous peripancreatic vessels and their branches.33,107

Key points in peripancreatic vascular assessment

Recommendation 15: Imaging reports should evaluate the degree of tumor contact with peripancreatic arteries and veins (including major branches), presence of vascular deformation, vascular variants, and venous tumor thrombus.

Evidence quality: A; Recommendation strength: Strong

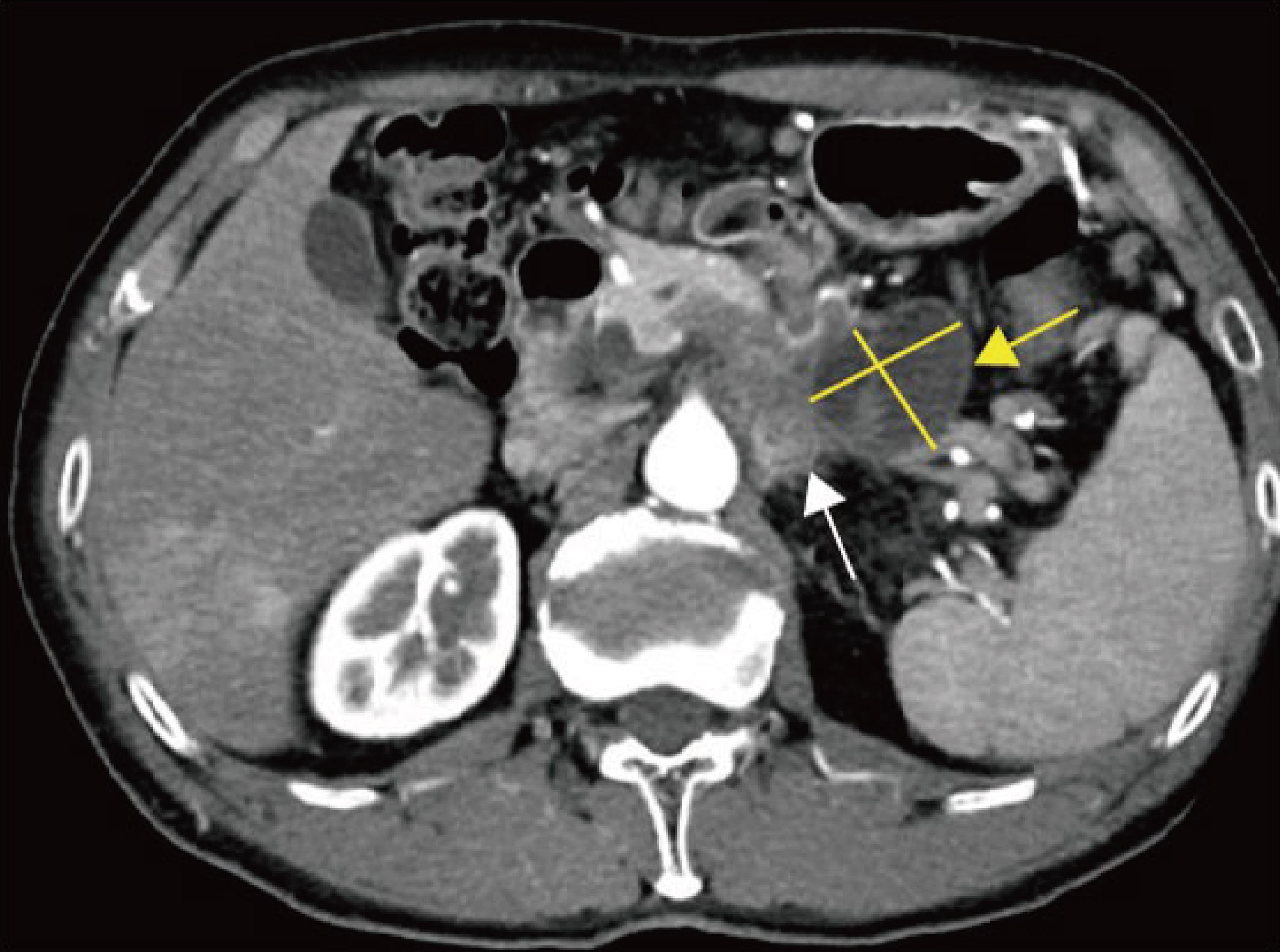
Explanation: In 2014, Al-Hawary et al.33 proposed a CT-based vascular involvement classification system based on the 2013 NCCN guidelines, standardizing imaging reporting for pancreatic cancer vascular assessment; this system was adopted by the 2023 NCCN guidelines.8 Peripancreatic arteries include the celiac axis, superior mesenteric artery, common hepatic artery, and abdominal aorta. Imaging evaluation should clearly describe the tumor–vessel relationship, specifying the contact arc angle (≤180° or >180°) and whether luminal narrowing or deformation is present. When hazy or stranding increased density is observed at the tumor–artery interface, the contact relationship and contact arc angle should be explicitly reported.8,33 Arterial variants and their relationship to the tumor should also be documented (Figs. 7 and 8).

Schematic illustration of tumor–artery interface.
Fig. 7  Schematic illustration of tumor–artery interface.

No tumor–artery contact (a); Tumor–artery contact ≤ 180° (b); Tumor–artery contact > 180° (c); Arterial deformity at the site of tumor contact (d, ↑). A, artery; T, tumor.

Evaluation of tumor–artery contact.
Fig. 8  Evaluation of tumor–artery contact.

(a) Tumor in the pancreatic neck (yellow arrow) with >180° contact with the common hepatic artery (white arrow). (b) Uncinate process tumor (yellow arrow) with ≤180° contact with the superior mesenteric artery (white arrow). (c) Uncinate process tumor (yellow arrow) with >180° contact with the celiac axis (white arrow).

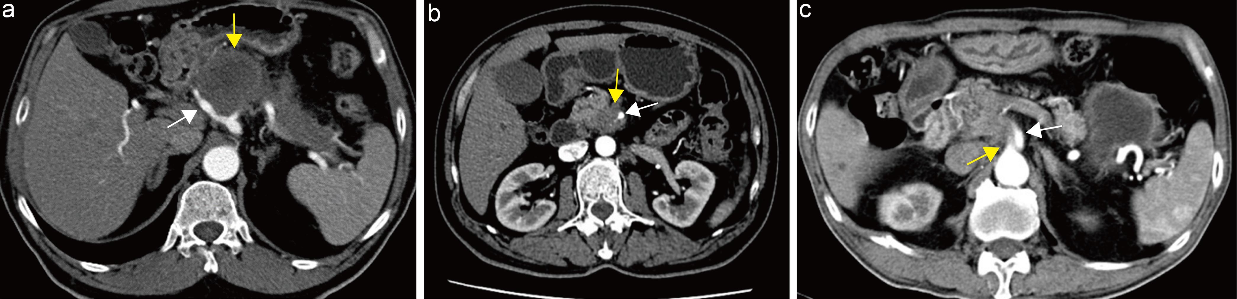
Peripancreatic veins include the portal vein, superior mesenteric vein (SMV), and inferior vena cava. Venous imaging assessment parallels that of arteries, with additional description of the relationship between the first-order SMV branches and the tumor (contact arc angle ≤180° or >180°), presence of tumor thrombus or bland thrombus, local luminal narrowing, irregular or teardrop-shaped deformation, and signs of portal hypertension with collateral circulation (Figs. 9 and 10).30

Schematic illustration of tumor–vein interface.
Fig. 9  Schematic illustration of tumor–vein interface.

No tumor–vein contact (a); Tumor–vein contact ≤ 180° (b); Tumor–vein contact > 180° (c); Venous contour deformity at the site of tumor contact (d); Teardrop-shaped venous deformity at the tumor–vein interface (d, ↑). T, tumor; V, vein.

Evaluation of tumor–vein contact.
Fig. 10  Evaluation of tumor–vein contact.

(a) Pancreatic head tumor (yellow arrow) with >180° contact with the portal vein (white arrow). (b) Uncinate process tumor (yellow arrow) with <180° contact and compression-related deformity of the superior mesenteric vein (white arrow). (c) Pancreatic head tumor (yellow arrow) with <180° contact and teardrop-shaped deformity of the superior mesenteric vein (white arrow).

Imaging criteria for resectability assessment

Recommendation 16: Imaging-based resectability criteria are stratified by tumor location and the degree of tumor contact with arteries and veins into resectable, borderline resectable, and locally advanced categories.

Evidence quality: A; Recommendation strength: Strong

Explanation: Imaging assessment of resectability primarily relies on tumor location and the extent of tumor contact with surrounding vessels. This guideline adopts the 2022 NCCN criteria for resectability,8 categorizing non-metastatic pancreatic cancer into three groups: resectable, borderline resectable, and locally advanced (Table 2).

Table 2

2023 NCCN clinical practice guidelines for pancreatic cancer (Version 2) resectability criteria

Resectability statusArteriesVeins
ResectableSolid tumor with clear fat planes around the celiac axis, superior mesenteric artery, and common hepatic arterySolid tumor with clear fat planes around the superior mesenteric vein and portal vein; solid tumor contact with SMV or PV ≤180° with smooth contours
Borderline Resectable[Pancreatic head or groove region:] ① Solid tumor contact with common hepatic artery but not involving celiac axis or hepatic artery branches; ② Solid tumor contact with superior mesenteric artery ≤180°; ③ Presence of arterial variants (e.g., accessory right hepatic artery, replaced right hepatic artery, replaced common hepatic artery, or accessory/replaced arterial origins) with tumor contact and extent should be specified; [Pancreatic body or tail:] Solid tumor contact with celiac axis ≤180°① Solid tumor contact with SMV or PV >180°, or tumor contact ≤180° with irregular venous contour or venous thrombus, with suitable proximal and distal veins for safe and complete resection and reconstruction; ② Solid tumor contact with inferior vena cava
Locally Advanced[Pancreatic head or groove region:] Solid tumor contact with SMA or celiac axis >180°; [Pancreatic body or tail:] ① Tumor invasion of SMA or celiac axis >180°; ② Tumor involvement of both celiac axis and abdominal aortaDue to tumor invasion or thrombosis (tumor or bland thrombus) of SMV or PV, reconstruction is not feasible

Optimal imaging modality for regional lymph node assessment

Recommendation 17: Preoperative imaging prediction of lymph node metastasis remains challenging and requires further validation through large-scale, multicenter studies to determine the optimal imaging modality.

Evidence quality: C; Recommendation strength: Weak

Explanation: A meta-analysis including 157 cases of pancreatic and ampullary malignancies concluded that CT has low diagnostic accuracy for extraregional lymph node metastasis, with pooled sensitivity and positive predictive value of only 25% and 28%, respectively; thus, CT alone is not recommended when extraregional lymph node metastasis is suspected.108 Another meta-analysis found that although CT has a high positive predictive value (81%) for assessing pancreatic cancer resectability, it exhibits a high false-positive rate for regional lymph node metastasis.109 Despite MRI’s superior soft tissue resolution and studies suggesting that diffusion-weighted imaging (DWI) and intravoxel incoherent motion sequences can effectively identify metastatic lymph nodes in pancreatic cancer,110–112 Adham et al.113 recently reported limited diagnostic value and poor interobserver agreement (kappa = 0.257) for MRI-based lymph node assessment in pancreatic cancer. A meta-analysis found no significant difference between PET/CT and conventional CT in diagnosing regional lymph node metastasis in pancreatic cancer.114 In a prospective study comparing PET/CT, CT, and MRI, Kauhanen et al.115 found PET/CT sensitivity for metastatic regional lymph nodes was low and comparable to CT and MRI (all approximately 30%). Collectively, these findings indicate that no single conventional imaging modality—whether CT, MRI, or PET—provides adequate accuracy for predicting lymph node metastasis in pancreatic cancer. Consequently, preoperative imaging assessment of lymph node status remains a significant clinical challenge that requires further investigation through large-scale, multicenter studies to identify optimal imaging strategies.

Imaging criteria for suspicious lymph nodes

Recommendation 18: Lymph nodes exhibiting a short-axis diameter >10 mm, heterogeneous density/signal, heterogeneous enhancement, internal necrosis, confluence, indistinct margins, or diffusion restriction on MRI, especially when multiple imaging features coexist, strongly suggest lymph node metastasis.

Evidence quality: C; Recommendation strength: Weak

Explanation: Assessing lymph node involvement is crucial for cancer staging, treatment planning, and prognosis. However, morphological criteria for lymph node evaluation based on CT and MRI remain inconsistent. Although lymph node size is widely used as an indicator, its reliability for assessing lymph node metastasis is limited, and measurement standards are not uniform. Combining morphological features of lymph nodes can be somewhat helpful, but currently this approach is restricted to specific diseases and anatomical sites. Studies on regional lymph node morphology have shown that a short-axis diameter >10 mm is not a reliable parameter for evaluating lymph node metastasis in pancreatic cancer patients,116,117 whereas in pNETs, short-axis size is a reliable predictor of lymph node metastasis.118

The Node-RADS (Lymph Node Reporting and Data System), proposed in 2021, addresses these limitations by incorporating lymph node size (short-axis >10 mm) and morphology (texture, margin, shape) into a scoring system.119 A PubMed search for “Node-RADS” reveals its current application primarily in assessing lymph node metastasis in colorectal, gastric, bladder, lung, and prostate cancers; no studies have yet validated its use in pancreatic cancer lymph node assessment, necessitating further high-quality research to establish its utility in this context.

Currently, most studies consider the following imaging features suspicious for lymph node metastasis: short-axis diameter >10 mm, round shape, heterogeneous density/signal, heterogeneous enhancement, presence of necrosis, node confluence, indistinct margins, and restricted diffusion on MRI. The coexistence of multiple such imaging signs strongly suggests lymph node metastasis (Fig. 11).111,120,121

Imaging evaluation of lymph nodes in pancreatic cancer.
Fig. 11  Imaging evaluation of lymph nodes in pancreatic cancer.

(a) Axial arterial late-phase CT image showing a round, well-defined, homogeneously enhancing lymph node (short-axis ∼0.8 cm) inferior to the pancreatic head (yellow arrow); pathology was negative. (b) Axial arterial late-phase CT image showing a round lymph node with slightly low attenuation (short-axis ∼1.2 cm) inferior to the pancreatic head (yellow arrow); pathology was positive.

Should the Specific location of suspicious lymph nodes be described?

Recommendation 19: The specific location of suspicious lymph nodes should be described.

Evidence quality: A; Recommendation strength: Strong

Explanation: The Japan Pancreas Society established a lymph node station and grouping system based on the anatomical lymphatic drainage around the pancreas under physiological conditions, and the likelihood of positive lymph nodes in pancreatic cancer. Peripancreatic lymph nodes are divided into 3 stations and 18 groups,122 each group accompanying specific peripancreatic vessels with distinct distribution patterns. Pancreatic head cancers commonly metastasize to groups 6, 8, 13, 14, and 17, whereas pancreatic body and tail cancers frequently involve groups 8, 9, 10, 11, and 18.122,123

Group 13 is the sentinel lymph node for pancreatic head cancer, while groups 9 and 11 serve as sentinel nodes for body and tail cancers.123,124

Liu et al.125 analyzed lymph node metastasis patterns in 132 pancreatic head cancer specimens following pancreaticoduodenectomy, finding that lymphatic spread is not skip metastasis but follows a sequential pathway from group 13 to 14 and then 16.

Moreover, metastatic lymph nodes at different locations correlate with prognosis. For example, metastasis to the hepatoduodenal ligament group (group 12) is an independent adverse prognostic factor126; involvement of the superior mesenteric artery group (group 14) is significantly associated with shorter disease-free survival126,127; para-aortic group (group 16) metastasis is an independent poor prognostic factor128; and splenic artery group (group 11) metastasis is an independent adverse prognostic factor for overall survival in pancreatic body and tail cancer patients.129

Therefore, this guideline recommends that diagnostic imaging reports specify the location of suspicious lymph nodes. When analyzing images, careful observation along lymph node distribution pathways relative to the pancreatic tumor location can aid in diagnosing suspected metastatic lymph nodes.

Preferred imaging modality for detecting hepatic and peritoneal metastases

Recommendation 20: MRI with DWI is the preferred modality for diagnosing hepatic and peritoneal metastases.

Evidence quality: A; Recommendation strength: Strong

Explanation: Approximately 13–23% of pancreatic cancer patients are found intraoperatively to have hepatic or peritoneal metastases, rendering the tumor unresectable.130 Although multiphasic helical CT with volumetric scanning has improved detection rates of metastatic lesions, contrast-enhanced CT sensitivity for hepatic metastases remains suboptimal (38–76%).131 MRI with DWI demonstrates high sensitivity (86–97%) for detecting focal hepatic lesions, including subcentimeter metastases (sensitivity 60–91%).132–134 Meta-analyses indicate that MRI outperforms CT in overall diagnostic accuracy for hepatic metastases in pancreatic cancer, with pooled sensitivity higher for MRI than CT (85% vs. 75%), while pooled specificity is comparable (98% vs. 94%).135 Another meta-analysis similarly found comparable specificity between CT and MRI (94% vs. 96%) but superior sensitivity for MRI (83% vs. 45%) in diagnosing hepatic metastases.136 Peritoneal metastases from pancreatic cancer typically manifest as miliary nodules on the omentum and mesentery, irregular peritoneal thickening, and small-volume ascites, all suggestive of peritoneal carcinomatosis or implantation (Fig. 12).137 CT sensitivity for peritoneal metastases depends on lesion size; Archer et al.138 reported sensitivity of only 25% for lesions <0.5 cm, increasing to 90% for lesions >5 cm. MRI, including DWI sequences, is a sensitive imaging modality for detecting peritoneal metastases.139 Studies suggest that combining high b-value (b = 800 s/mm2) DWI with conventional MRI improves preoperative detection sensitivity (from 0.58 to 0.85) and accuracy (from 0.67 to 0.85) for peritoneal tumors compared to conventional MRI alone.140

Evaluation of hepatic and distant metastases in pancreatic cancer.
Fig. 12  Evaluation of hepatic and distant metastases in pancreatic cancer.

a, b Same patient. (a) Axial portal venous–phase T1-weighted MRI showing a hypointense mass in the pancreatic body and tail (white arrow). (b) Axial portal venous–phase T1-weighted MRI showing multiple ring-enhancing lesions in the liver (yellow arrows), consistent with hepatic metastases. c, d Same patient. (c) Axial portal venous–phase CT showing a hypodense mass in the pancreatic body and tail (white arrow). (d) Axial portal venous–phase CT showing nodular changes of the omentum (yellow arrow), consistent with omental metastases. CT, computed tomography; MRI, magnetic resonance imaging.

Diagnostic report conclusions

The diagnostic report for pancreatic solid tumors should include the following elements: qualitative diagnosis, tumor-vessel relationship (resectability assessment), lymph nodes, adjacent organ involvement, distant metastases, and other abnormal findings (Table 3).

Table 3

Structured Imaging Report Template for Pancreatic Solid Tumors

1. Primary tumor assessment
  Location (head/uncinate/body/tail)
  Size (maximum diameter in mm)
  Enhancement pattern
  Relationship to pancreatic duct
  Presence of calcification
2. Main pancreatic duct (MPD)
  Diameter (mm)
  Presence of dilation (>3 mm)
  Morphology of obstruction point (stenosis vs. abrupt cutoff)
  Location of obstruction
3. Common bile duct (CBD)
  Diameter (mm)
  Presence of dilation (>8 mm with gallbladder, >10 mm post-cholecystectomy)
  Morphology of obstruction point
  Location of obstruction (suprapancreatic/intrapancreatic/ampullary)
4. Pancreatic parenchyma
  Presence of parenchymal atrophy (PPPA/UPPA)
  Presence of obstructive acute pancreatitis
  Presence of pseudocysts or retention cysts (size and location)
5. Peripancreatic vascular assessment
  Arteries:
  Celiac axis: contact arc angle, deformation
  Superior mesenteric artery: contact arc angle, deformation
  Common hepatic artery: contact arc angle, deformation
  Arterial variants and tumor relationship
  Veins:
  Portal vein: contact arc angle, contour, thrombus
  Superior mesenteric vein: contact arc angle, contour, thrombus
  Inferior vena cava: involvement
Signs of portal hypertension
6. Resectability assessment
  Resectable / Borderline resectable / Locally advanced
  Rationale based on vascular involvement
7. Regional lymph nodes
  Presence of suspicious lymph nodes
  Size (short-axis diameter in mm)
  Morphological features
  Specific anatomical location (JPS group number)
8. Distant metastases
  Hepatic metastases: number, size, location
  Peritoneal metastases: nodules, thickening, ascites
  Other distant metastases
9. Other findings
  Adjacent organ involvement
  Other incidental findings within scan range
10. Conclusion
  Primary diagnosis
  TNM staging (if applicable)
  Resectability status
  Recommendations for further evaluation or follow-up

Discussion

This guideline establishes standardized imaging indicators and reporting frameworks for pancreatic solid tumors, which can be directly integrated into screening workflows for high-risk populations. By standardizing the assessment of key imaging features such as MPD obstruction, PPA, and suspicious lymph node localization, this guideline enhances the consistency and accuracy of early lesion detection, thereby improving the early detection rate of pancreatic solid tumors. Furthermore, to optimize screening precision, we propose that future studies validate these standardized imaging criteria in prospective screening cohorts to establish their predictive value for early-stage pancreatic malignancies.

Prior to this guideline, no standardized framework existed for diagnostic imaging reports of pancreatic solid tumors in China. By integrating domestic and international evidence, this working group developed 13 strong and 7 weak recommendations to establish a structured diagnostic imaging report. This framework standardizes report content, enhances report completeness, improves radiologist-clinician communication, and facilitates cross-institutional report comparability, thereby offering substantial potential for clinical translation and implementation.

This guideline has several limitations. The available evidence for some key questions is still limited and heterogenous, with variations in study design, patient populations, imaging protocols, and reference standards, which may affect the strength of several recommendations. In areas where high-level evidence is lacking, some recommendations were based on multidisciplinary expert consensus, and potential consensus bias cannot be fully excluded. In addition, because this guideline was developed in the context of current clinical practice in China, its applicability may vary across institutions with different expertise and imaging resources. Further prospective studies, multicenter validation, and future updates are warranted.

Future guideline updates will require additional high-quality studies to strengthen the underlying evidence base. Furthermore, with the rapid advancement of artificial intelligence technologies, their integration into pancreatic tumor imaging analysis represents a promising frontier. AI-based approaches can enhance quantitative analysis precision and improve workflow efficiency through automated detection systems, demonstrating considerable potential for advancing the diagnosis and management of pancreatic diseases.

Declarations

Chief Methodologist

Yaolong Chen (Lanzhou University).

Guideline Expert Committee (in alphabetical order by surname)

Yun Bian (The First Affiliated Hospital of Naval Medical University); Xu Fang (The First Affiliated Hospital of Naval Medical University); Shiwei Guo (The First Affiliated Hospital of Naval Medical University); Qiang Hao (The First Affiliated Hospital of Naval Medical University); Hui Jiang (The First Affiliated Hospital of Naval Medical University); Gang Jin (The First Affiliated Hospital of Naval Medical University); Zhendong Jin (The First Affiliated Hospital of Naval Medical University); Jing Li (The First Affiliated Hospital of Naval Medical University); Jianping Lu (The First Affiliated Hospital of Naval Medical University); Yanfang Liu (The First Affiliated Hospital of Naval Medical University); Chao Ma (The First Affiliated Hospital of Naval Medical University); Chengwei Shao (The First Affiliated Hospital of Naval Medical University); Kaixuan Wang (The First Affiliated Hospital of Naval Medical University); Li Wang (The First Affiliated Hospital of Naval Medical University); Tiegong Wang (The First Affiliated Hospital of Naval Medical University); Xianbao Zhan (The First Affiliated Hospital of Naval Medical University); Jianming Zheng (The First Affiliated Hospital of Naval Medical University); Kailian Zheng (The First Affiliated Hospital of Naval Medical University).

External Review Panel (in alphabetical order by surname)

Kemin Chen (Ruijin Hospital, Shanghai Jiao Tong University School of Medicine); Shiting Feng (The First Affiliated Hospital, Sun Yat-sen University); Dajing Guo (The Second Affiliated Hospital of Chongqing Medical University); Huijie Jiang (The Second Affiliated Hospital of Harbin Medical University); Shenghong Ju (Zhongda Hospital, Southeast University); Junqiang Lei (The First Hospital of Lanzhou University); Zhen Li (Tongji Hospital, Tongji Medical College, Huazhong University of Science and Technology); Ailian Liu (The First Affiliated Hospital of Dalian Medical University); Gaifang Liu (Hebei General Hospital); Han Lü (Beijing Friendship Hospital, Capital Medical University); Liu Ouyang (Shanghai Fourth People’s Hospital, Tongji University); Yi Qian (The Second Affiliated Hospital of Naval Medical University); Jinrong Qu (Affiliated Cancer Hospital of Zhengzhou University, Henan Cancer Hospital); Dong Shang (The First Affiliated Hospital of Dalian Medical University); Chenghao Shao (The Second Affiliated Hospital of Naval Medical University); Yu Shi (Shengjing Hospital of China Medical University); Bei Sun (The First Affiliated Hospital of Harbin Medical University); Jian Wang (The First Affiliated Hospital of Army Medical University); Song Wang (Longhua Hospital, Shanghai University of Traditional Chinese Medicine); Yi Xiao (The Second Affiliated Hospital of Naval Medical University); Wei Xing (The First People’s Hospital of Changzhou); Huadan Xue (Peking Union Medical College Hospital); Fuhua Yan (Ruijin Hospital, Shanghai Jiao Tong University School of Medicine); Zhenghan Yang (Beijing Friendship Hospital, Capital Medical University); Risheng Yu (The Second Affiliated Hospital, Zhejiang University School of Medicine); Hongmei Zhang (Cancer Hospital, Chinese Academy of Medical Sciences); Shuqian Zhang (Hebei General Hospital); Mengsu Zeng (Zhongshan Hospital, Fudan University); Ning Zhong (Qilu Hospital of Shandong University).

Guideline Working Group (in alphabetical order by surname)

Xiaolu Bian (The First Affiliated Hospital of Naval Medical University); Yun Bian (The First Affiliated Hospital of Naval Medical University); Shiyue Chen (The First Affiliated Hospital of Naval Medical University); Xu Fang (The First Affiliated Hospital of Naval Medical University); Hui Jiang (The First Affiliated Hospital of Naval Medical University); Jing Li (The First Affiliated Hospital of Naval Medical University); Xuezhou Li (The First Affiliated Hospital of Naval Medical University); Qi Li (Hospital of PLA Unit 96601); Fang Liu (The First Affiliated Hospital of Naval Medical University); Shiyu Ma (The First Affiliated Hospital of Naval Medical University); Tiegong Wang (The First Affiliated Hospital of Naval Medical University); Wei Yin (The First Affiliated Hospital of Naval Medical University); Yelin Yang (The First Affiliated Hospital of Naval Medical University); Jieyu Yu (The First Affiliated Hospital of Naval Medical University); Jian Zhou (The First Affiliated Hospital of Naval Medical University); Yunshuo Zhang (The First Affiliated Hospital of Naval Medical University).

Funding

This work was supported in part by the National Science Foundation for Scientists of China (grant nos. 82171930, 82271972, 82371955, and 62402501), the Clinical Research Plan of SHDC (grant no. SHDC2022CRD028), the Shanghai Municipal Health Commission Seed Program for Research and Translation of Medical New Technologies Project (grant nos. 2024ZZ1015, 2025ZZ1015), the Plan for Promoting Scientific Research Paradigm Reform and Enhancing Disciplinary Advancement through Artificial Intelligence (grant no. 2024RGZD001), and the Special Project for Clinical Research in the Health Industry of the Shanghai Municipal Health Commission (grant no.202540148).

Conflict of interest

Zhaoshen Li serves as the Honorary Editor-in-Chief of Cancer Screening and Prevention (CSP). Xun Li, Zhuan Liao, and Bei Sun are members of the editorial board of CSP. All other authors declare no competing interests.

Authors’ contributions

Drafting of the manuscript (YB, JL), conception and design of the guideline, coordination and supervision of the guideline development process, and critical revision of the manuscript for important intellectual content (ZL, JL, CS, SL, MC, XL). All authors approved the final version of the manuscript and agree to be accountable for all aspects of the work.

References

  1. Campbell F, Verbeke CS. Pathology of the Pancreas. 2nd ed. Cham: Springer; 2021 View Article
  2. Mizrahi JD, Surana R, Valle JW, Shroff RT. Pancreatic cancer. Lancet 2020;395(10242):2008-2020 View Article PubMed/NCBI
  3. Nobel JM, Kok EM, Robben SGF. Redefining the structure of structured reporting in radiology. Insights Imaging 2020;11(1):10 View Article PubMed/NCBI
  4. Al-Hawary MM, Francis IR, Chari ST, Fishman EK, Hough DM, Lu DS, et al. Pancreatic ductal adenocarcinoma radiology reporting template: consensus statement of the society of abdominal radiology and the american pancreatic association. Gastroenterology 2014;146(1):291-304.e1 View Article PubMed/NCBI
  5. Sundin A, Arnold R, Baudin E, Cwikla JB, Eriksson B, Fanti S, et al. ENETS Consensus Guidelines for the Standards of Care in Neuroendocrine Tumors: Radiological, Nuclear Medicine & Hybrid Imaging. Neuroendocrinology 2017;105(3):212-244 View Article PubMed/NCBI
  6. Barrs C, Itani M, Zulfiqar M, Mhlanga J, Francis IR, Morani A, et al. Gastroenteropancreatic neuroendocrine neoplasm imaging: standard reporting templates. Abdom Radiol (NY) 2022;47(12):3986-3992 View Article PubMed/NCBI
  7. Dromain C, Vullierme MP, Hicks RJ, Prasad V, O’Toole D, de Herder WW, et al. ENETS standardized (synoptic) reporting for radiological imaging in neuroendocrine tumours. J Neuroendocrinol 2022;34(3):e13044 View Article PubMed/NCBI
  8. NCCN Clinical Practice Guidelines in Oncology: Pancreatic Adenocarcinoma (Version1.2026). 2026. Available from: https://www.nccn.org/guidelines/guidelines-detail?category=1&id=1455
  9. World Health Organization. WHO Handbook for Guideline Development. 2nd ed. ; 2014
  10. Institute of Medicine (US) Committee on Standards for Developing Trustworthy Clinical Practice Guidelines. In: Graham R, Mancher M, Miller Wolman D, Greenfield S, Steinberg E (eds). Clinical Practice Guidelines We Can Trust. Washington (DC): National Academies Press (US); 2011 View Article PubMed/NCBI
  11. Chen YL, Yang KH, Wang XQ, Kang DY, Zhan SY, Wang JY, et al. Guiding Principles for the Development/Revision of Clinical Diagnosis and Treatment Guidelines in China (2022 Edition) (in Chinese). Natl Med J China 2022;102(10):697-703 View Article
  12. World Health Organization. International Classification of Diseases 11th Revision. 2018. Available from: https://icd.who.int/browse11
  13. Brouwers MC, Kho ME, Browman GP, Burgers JS, Cluzeau F, Feder G, et al. AGREE II: advancing guideline development, reporting and evaluation in health care. CMAJ 2010;182(18):E839-E842 View Article PubMed/NCBI
  14. Chen Y, Yang K, Marušic A, Qaseem A, Meerpohl JJ, Flottorp S, et al. A Reporting Tool for Practice Guidelines in Health Care: The RIGHT Statement. Ann Intern Med 2017;166(2):128-132 View Article PubMed/NCBI
  15. Shea BJ, Grimshaw JM, Wells GA, Boers M, Andersson N, Hamel C, et al. Development of AMSTAR: a measurement tool to assess the methodological quality of systematic reviews. BMC Med Res Methodol 2007;7:10 View Article PubMed/NCBI
  16. Wei D, Wang CY, Xiao XJ, Chen YL, Yao L, Liang FX, et al. Interpretation of the AGREE II tool with examples for guideline research and evaluation (in Chinese). Chinese Journal of Evidence-Based Pediatrics 2013;8(4):316-319 View Article
  17. Higgins JPT, Green S. Cochrane Handbook for Systematic Reviews of Interventions version 5.0.2. The Cochrane Collabortion 2009
  18. Jaeschke R, Guyatt GH, Dellinger P, Schünemann H, Levy MM, Kunz R, et al. Use of GRADE grid to reach decisions on clinical practice guidelines when consensus is elusive. BMJ 2008;337:a744 View Article PubMed/NCBI
  19. Guyatt GH, Oxman AD, Vist GE, Kunz R, Falck-Ytter Y, Alonso-Coello P, et al. GRADE: an emerging consensus on rating quality of evidence and strength of recommendations. BMJ 2008;336(7650):924-926 View Article PubMed/NCBI
  20. Zamboni GA, Kruskal JB, Vollmer CM, Baptista J, Callery MP, Raptopoulos VD. Pancreatic adenocarcinoma: value of multidetector CT angiography in preoperative evaluation. Radiology 2007;245(3):770-778 View Article PubMed/NCBI
  21. Kent TS, Raptopoulos V, Callery MP, Gautam S, Vollmer CM. Escalating computed tomography angiogram (CTA) grade predicts unresectability and margin status for pancreaticobiliary neoplasms. HPB (Oxford) 2010;12(2):115-122 View Article PubMed/NCBI
  22. Lupascu C, Andronic D, Ursulescu C, Vasiluta C, Vlad N. Technical tailoring of pancreaticoduodenectomy in patients with hepatic artery anatomic variants. Hepatobiliary Pancreat Dis Int 2011;10(6):638-643 View Article PubMed/NCBI
  23. Schima W, Függer R, Schober E, Oettl C, Wamser P, Grabenwöger F, et al. Diagnosis and staging of pancreatic cancer: comparison of mangafodipir trisodium-enhanced MR imaging and contrast-enhanced helical hydro-CT. AJR Am J Roentgenol 2002;179(3):717-724 View Article PubMed/NCBI
  24. Jajodia A, Wang A, Alabousi M, Wilks C, Kulkarni A, van der Pol CB. MRI vs. CT for pancreatic adenocarcinoma vascular invasion: comparative diagnostic test accuracy systematic review and meta-analysis. Eur Radiol 2023;33(10):6883-6891 View Article PubMed/NCBI
  25. Treadwell JR, Zafar HM, Mitchell MD, Tipton K, Teitelbaum U, Jue J. Imaging Tests for the Diagnosis and Staging of Pancreatic Adenocarcinoma: A Meta-Analysis. Pancreas 2016;45(6):789-795 View Article PubMed/NCBI
  26. Chen FM, Ni JM, Zhang ZY, Zhang L, Li B, Jiang CJ. Presurgical Evaluation of Pancreatic Cancer: A Comprehensive Imaging Comparison of CT Versus MRI. AJR Am J Roentgenol 2016;206(3):526-535 View Article PubMed/NCBI
  27. Park HS, Lee JM, Choi HK, Hong SH, Han JK, Choi BI. Preoperative evaluation of pancreatic cancer: comparison of gadolinium-enhanced dynamic MRI with MR cholangiopancreatography versus MDCT. J Magn Reson Imaging 2009;30(3):586-595 View Article PubMed/NCBI
  28. Paiella S, Impellizzeri H, Zanolin E, Marchegiani G, Miotto M, Malpaga A, et al. Comparison of imaging-based and pathological dimensions in pancreatic neuroendocrine tumors. World J Gastroenterol 2017;23(17):3092-3098 View Article PubMed/NCBI
  29. Krishna SG, Rao BB, Ugbarugba E, Shah ZK, Blaszczak A, Hinton A, et al. Diagnostic performance of endoscopic ultrasound for detection of pancreatic malignancy following an indeterminate multidetector CT scan: a systemic review and meta-analysis. Surg Endosc 2017;31(11):4558-4567 View Article PubMed/NCBI
  30. Pavel M, Öberg K, Falconi M, Krenning EP, Sundin A, Perren A, et al. Gastroenteropancreatic neuroendocrine neoplasms: ESMO Clinical Practice Guidelines for diagnosis, treatment and follow-up. Ann Oncol 2020;31(7):844-860 View Article PubMed/NCBI
  31. Kos-Kudła B, Rosiek V, Borowska M, Bednarczuk T, Bolanowski M, Chmielik E, et al. Pancreatic neuroendocrine neoplasms - update of the diagnostic and therapeutic guidelines (recommended by the Polish Network of Neuroendocrine Tumours) [Nowotwory neuroendokrynne trzustki - uaktualnione zasady diagnostyki i leczenia (rekomendowane przez Polską Sieć Guzów Neuroendokrynych)]. Endokrynol Pol 2022;73(3):491-548 View Article PubMed/NCBI
  32. Kim HJ, Park MS, Lee JY, Han K, Chung YE, Choi JY, et al. Incremental Role of Pancreatic Magnetic Resonance Imaging after Staging Computed Tomography to Evaluate Patients with Pancreatic Ductal Adenocarcinoma. Cancer Res Treat 2019;51(1):24-33 View Article PubMed/NCBI
  33. Al-Hawary MM, Francis IR, Chari ST, Fishman EK, Hough DM, Lu DS, et al. Pancreatic ductal adenocarcinoma radiology reporting template: consensus statement of the Society of Abdominal Radiology and the American Pancreatic Association. Radiology 2014;270(1):248-260 View Article PubMed/NCBI
  34. Saka B, Balci S, Basturk O, Bagci P, Postlewait LM, Maithel S, et al. Pancreatic Ductal Adenocarcinoma is Spread to the Peripancreatic Soft Tissue in the Majority of Resected Cases, Rendering the AJCC T-Stage Protocol (7th Edition) Inapplicable and Insignificant: A Size-Based Staging System (pT1: ≤2, pT2: >2-≤4, pT3: >4 cm) is More Valid and Clinically Relevant. Ann Surg Oncol 2016;23(6):2010-2018 View Article PubMed/NCBI
  35. Kamarajah SK, Burns WR, Frankel TL, Cho CS, Nathan H. Validation of the American Joint Commission on Cancer (AJCC) 8th Edition Staging System for Patients with Pancreatic Adenocarcinoma: A Surveillance, Epidemiology and End Results (SEER) Analysis. Ann Surg Oncol 2017;24(7):2023-2030 View Article PubMed/NCBI
  36. Ma C, Yang P, Li J, Bian Y, Wang L, Lu J. Pancreatic adenocarcinoma: variability in measurements of tumor size among computed tomography, magnetic resonance imaging, and pathologic specimens. Abdom Radiol (NY) 2020;45(3):782-788 View Article PubMed/NCBI
  37. Arvold ND, Niemierko A, Mamon HJ, Fernandez-del Castillo C, Hong TS. Pancreatic cancer tumor size on CT scan versus pathologic specimen: implications for radiation treatment planning. Int J Radiat Oncol Biol Phys 2011;80(5):1383-1390 View Article PubMed/NCBI
  38. Legrand L, Duchatelle V, Molinié V, Boulay-Coletta I, Sibileau E, Zins M. Pancreatic adenocarcinoma: MRI conspicuity and pathologic correlations. Abdom Imaging 2015;40(1):85-94 View Article PubMed/NCBI
  39. Michallek F, Haouari MA, Dana O, Perrot A, Silvera S, Dallongeville A, et al. Fractal analysis improves tumour size measurement on computed tomography in pancreatic ductal adenocarcinoma: comparison with gross pathology and multi-parametric MRI. Eur Radiol 2022;32(8):5053-5063 View Article PubMed/NCBI
  40. Cocquempot R, Bonnin A, Barat M, Naveendran G, Dohan A, Fuks D, et al. Interobserver Variability and Accuracy of Preoperative CT and MRI in Pancreatic Ductal Adenocarcinoma Size Estimation: A Retrospective Cohort Study. Can Assoc Radiol J 2023;74(3):570-581 View Article PubMed/NCBI
  41. Kassardjian A, Stanzione N, Wang HL. Comparative Accuracy of Tumor Size Assessment and Stage Analysis by Imaging Modalities Versus Gross Examination for Pancreatic Ductal Adenocarcinoma. Pancreas 2019;48(2):223-227 View Article PubMed/NCBI
  42. Bian Y, Li J, Jiang H, Fang X, Cao K, Ma C, et al. Tumor Size on Microscopy, CT, and MRI Assessments Versus Pathologic Gross Specimen Analysis of Pancreatic Neuroendocrine Tumors. AJR Am J Roentgenol 2021;217(1):107-116 View Article PubMed/NCBI
  43. van Beek DJ, Verkooijen HM, Nell S, Bonsing BA, van Eijck CH, van Goor H, et al. Reliability and Agreement of Radiological and Pathological Tumor Size in Patients with Multiple Endocrine Neoplasia Type 1-Related Pancreatic Neuroendocrine Tumors: Results from a Population-Based Cohort. Neuroendocrinology 2021;111(8):705-717 View Article PubMed/NCBI
  44. Tamm EP, Bhosale P, Lee JH, Rohren EM. State-of-the-art Imaging of Pancreatic Neuroendocrine Tumors. Surg Oncol Clin N Am 2016;25(2):375-400 View Article PubMed/NCBI
  45. Yamao K, Tsurusaki M, Takashima K, Tanaka H, Yoshida A, Okamoto A, et al. Analysis of Progression Time in Pancreatic Cancer including Carcinoma In Situ Based on Magnetic Resonance Cholangiopancreatography Findings. Diagnostics (Basel) 2021;11(10):1858 View Article PubMed/NCBI
  46. Kanno A, Masamune A, Hanada K, Maguchi H, Shimizu Y, Ueki T, et al. Multicenter study of early pancreatic cancer in Japan. Pancreatology 2018;18(1):61-67 View Article PubMed/NCBI
  47. Gangi S, Fletcher JG, Nathan MA, Christensen JA, Harmsen WS, Crownhart BS, et al. Time interval between abnormalities seen on CT and the clinical diagnosis of pancreatic cancer: retrospective review of CT scans obtained before diagnosis. AJR Am J Roentgenol 2004;182(4):897-903 View Article PubMed/NCBI
  48. Gonoi W, Hayashi TY, Okuma H, Akahane M, Nakai Y, Mizuno S, et al. Development of pancreatic cancer is predictable well in advance using contrast-enhanced CT: a case-cohort study. Eur Radiol 2017;27(12):4941-4950 View Article PubMed/NCBI
  49. Johnston A, Serhal A, Lopes Vendrami C, McCarthy RJ, Komanduri S, Horowitz JM, et al. The abrupt pancreatic duct cutoff sign on MDCT and MRI. Abdom Radiol (NY) 2020;45(8):2476-2484 View Article PubMed/NCBI
  50. Hoogenboom SA, Engels MML, Chuprin AV, van Hooft JE, LeGout JD, Wallace MB, et al. Prevalence, features, and explanations of missed and misinterpreted pancreatic cancer on imaging: a matched case-control study. Abdom Radiol (NY) 2022;47(12):4160-4172 View Article PubMed/NCBI
  51. Prokesch RW, Chow LC, Beaulieu CF, Bammer R, Jeffrey RB. Isoattenuating pancreatic adenocarcinoma at multi-detector row CT: secondary signs. Radiology 2002;224(3):764-768 View Article PubMed/NCBI
  52. Yoon SB, Jeon TY, Moon SH, Lee SM, Kim MH. Systematic review and meta-analysis of MRI features for differentiating autoimmune pancreatitis from pancreatic adenocarcinoma. Eur Radiol 2022;32(10):6691-6701 View Article PubMed/NCBI
  53. Ha J, Choi SH, Kim KW, Kim JH, Kim HJ. MRI features for differentiation of autoimmune pancreatitis from pancreatic ductal adenocarcinoma: A systematic review and meta-analysis. Dig Liver Dis 2022;54(7):849-856 View Article PubMed/NCBI
  54. Xu J, Yang J, Feng Y, Zhang J, Zhang Y, Chang S, et al. MRI Feature-Based Nomogram Model for Discrimination Between Non-Hypervascular Pancreatic Neuroendocrine Tumors and Pancreatic Ductal Adenocarcinomas. Front Oncol 2022;12:856306 View Article PubMed/NCBI
  55. Karmazanovsky G, Belousova E, Schima W, Glotov A, Kalinin D, Kriger A. Nonhypervascular pancreatic neuroendocrine tumors: Spectrum of MDCT imaging findings and differentiation from pancreatic ductal adenocarcinoma. Eur J Radiol 2019;110:66-73 View Article PubMed/NCBI
  56. Park HJ, Kim HJ, Kim KW, Kim SY, Choi SH, You MW, et al. Comparison between neuroendocrine carcinomas and well-differentiated neuroendocrine tumors of the pancreas using dynamic enhanced CT. Eur Radiol 2020;30(9):4772-4782 View Article PubMed/NCBI
  57. Xiao B, Jiang ZQ, Hu JX, Zhang XM, Xu HB. Differentiating pancreatic neuroendocrine tumors from pancreatic ductal adenocarcinomas by the “Duct-Road Sign”: A preliminary magnetic resonance imaging study. Medicine (Baltimore) 2019;98(35):e16960 View Article PubMed/NCBI
  58. Kim SW, Kim SH, Lee DH, Lee SM, Kim YS, Jang JY, et al. Isolated Main Pancreatic Duct Dilatation: CT Differentiation Between Benign and Malignant Causes. AJR Am J Roentgenol 2017;209(5):1046-1055 View Article PubMed/NCBI
  59. Lim CY, Min JH, Hwang JA, Choi SY, Ko SE. Assessment of main pancreatic duct cutoff with dilatation, but without visible pancreatic focal lesion on MDCT: a novel diagnostic approach for malignant stricture using a CT-based nomogram. Eur Radiol 2022;32(12):8285-8295 View Article PubMed/NCBI
  60. Sagami R, Sato T, Mizukami K, Motomura M, Okamoto K, Fukuchi S, et al. Diagnostic Strategy of Early Stage Pancreatic Cancer via Clinical Predictor Assessment: Clinical Indicators, Risk Factors and Imaging Findings. Diagnostics (Basel) 2022;12(2):377 View Article PubMed/NCBI
  61. Fukukura Y, Fujiyoshi F, Hamada H, Takao S, Aikou T, Hamada N, et al. Intraductal papillary mucinous tumors of the pancreas. Comparison of helical CT and MR imaging. Acta Radiol 2003;44(5):464-471 View Article PubMed/NCBI
  62. Sahani DV, Kadavigere R, Blake M, Fernandez-Del Castillo C, Lauwers GY, Hahn PF. Intraductal papillary mucinous neoplasm of pancreas: multi-detector row CT with 2D curved reformations—correlation with MRCP. Radiology 2006;238(2):560-569 View Article PubMed/NCBI
  63. Kim TH, Song TJ, Lee SO, Park CH, Moon JH, Pih GY, et al. Main duct and mixed type intraductal papillary mucinous neoplasms without enhancing mural nodules: Duct diameter of less than 10 mm and segmental dilatation of main pancreatic duct are findings support surveillance rather than immediate surgery. Pancreatology 2019;19(8):1054-1060 View Article PubMed/NCBI
  64. Anderson SW, Soto JA. Pancreatic duct evaluation: accuracy of portal venous phase 64 MDCT. Abdom Imaging 2009;34(1):55-63 View Article PubMed/NCBI
  65. Beyer G, Kasprowicz F, Hannemann A, Aghdassi A, Thamm P, Volzke H, et al. Definition of age-dependent reference values for the diameter of the common bile duct and pancreatic duct on MRCP: a population-based, cross-sectional cohort study. Gut 2023;72(9):1738-1744 View Article PubMed/NCBI
  66. Sivak MV, Sullivan BH. Endoscopic retrograde pancreatography: analysis of the normal pancreatogram. Am J Dig Dis 1976;21(3):263-269 View Article PubMed/NCBI
  67. Krishna N, Tummala P, Reddy AV, Mehra M, Agarwal B. Dilation of both pancreatic duct and the common bile duct on computed tomography and magnetic resonance imaging scans in patients with or without obstructive jaundice. Pancreas 2012;41(5):767-772 View Article PubMed/NCBI
  68. Ladas SD, Tassios PS, Giorgiotis K, Rokkas T, Theodosiou P, Raptis SA. Pancreatic duct width: its significance as a diagnostic criterion for pancreatic disease. Hepatogastroenterology 1993;40(1):52-55 PubMed/NCBI
  69. Frøkjær JB, Akisik F, Farooq A, Akpinar B, Dasyam A, Drewes AM, et al. Guidelines for the Diagnostic Cross Sectional Imaging and Severity Scoring of Chronic Pancreatitis. Pancreatology 2018;18(7):764-773 View Article PubMed/NCBI
  70. Fukukura Y, Fujiyoshi F, Sasaki M, Nakajo M. Pancreatic duct: morphologic evaluation with MR cholangiopancreatography after secretin stimulation. Radiology 2002;222(3):674-680 View Article PubMed/NCBI
  71. Park MS, Kim TK, Kim KW, Park SW, Lee JK, Kim JS, et al. Differentiation of extrahepatic bile duct cholangiocarcinoma from benign stricture: findings at MRCP versus ERCP. Radiology 2004;233(1):234-240 View Article PubMed/NCBI
  72. Ten Berge JC, Suker M, Bruno MJ, Poley JW, Dwarkasing R, Biermann K, et al. Are a Double Duct Sign or Endoscopic Biopsies Reliable Predictors of Malignancy in Periampullary Lesions. Dig Surg 2015;32(4):306-311 View Article PubMed/NCBI
  73. Sinha R, Gardner T, Padala K, Greenaway JR, Joy D. Double-Duct Sign in the Clinical Context. Pancreas 2015;44(6):967-970 View Article PubMed/NCBI
  74. Kim DW, Kim HJ, Kim KW, Byun JH, Song KB, Kim JH, et al. Neuroendocrine neoplasms of the pancreas at dynamic enhanced CT: comparison between grade 3 neuroendocrine carcinoma and grade 1/2 neuroendocrine tumour. Eur Radiol 2015;25(5):1375-1383 View Article PubMed/NCBI
  75. Kanchustambam SRV, Sharma A, Perkins Z, Patel A. Diagnostic performance of EUS in non-jaundiced patients with an incidental finding of double duct sign on cross-sectional imaging: A systematic review and meta-analysis. Pancreatology 2020;20(5):992-996 View Article PubMed/NCBI
  76. Prpić GL, Babić N, Marjan D, Pećina M, Marotti M. MR assessment of bile duct size in healthy individuals: comparison with US measurements. Coll Antropol 2007;31(2):567-571 PubMed/NCBI
  77. Senturk S, Miroglu TC, Bilici A, Gumus H, Tekin RC, Ekici F, et al. Diameters of the common bile duct in adults and postcholecystectomy patients: a study with 64-slice CT. Eur J Radiol 2012;81(1):39-42 View Article PubMed/NCBI
  78. Park JS, Lee DH, Jeong S, Cho SG. Determination of Diameter and Angulation of the Normal Common Bile Duct using Multidetector Computed Tomography. Gut Liver 2009;3(4):306-310 View Article PubMed/NCBI
  79. Smith I, Monkemuller K, Wilcox CM. Incidentally Identified Common Bile Duct Dilatation: A Systematic Review of Evaluation, Causes, and Outcome. J Clin Gastroenterol 2015;49(10):810-815 View Article PubMed/NCBI
  80. Wang Q, Swensson J, Hu M, Cui E, Tirkes T, Jennings SG, et al. Distribution and correlation of pancreatic gland size and duct diameters on MRCP in patients without evidence of pancreatic disease. Abdom Radiol (NY) 2019;44(3):967-975 View Article PubMed/NCBI
  81. Frøkjær JB, Olesen SS, Drewes AM, Collins D, Akisik F, Swensson J. Impact of age on the diagnostic performance of pancreatic ductal diameters in detecting chronic pancreatitis. Abdom Radiol (NY) 2020;45(5):1488-1494 View Article PubMed/NCBI
  82. Govindan S, Tamrat NE, Liu ZJ. Effect of Ageing on the Common Bile Duct Diameter. Dig Surg 2021;38(5-6):368-376 View Article PubMed/NCBI
  83. Soto JA, Barish MA, Ferrucci JT. Magnetic resonance imaging of the bile ducts. Semin Roentgenol 1997;32(3):188-201 View Article PubMed/NCBI
  84. Uko II, Wood C, Nguyen E, Huang A, Catania R, Borhani AA, et al. Utilizing CT to identify clinically significant biliary dilatation in symptomatic post-cholecystectomy patients: when should we be worried?. Abdom Radiol (NY) 2022;47(12):4126-4138 View Article PubMed/NCBI
  85. Egawa S, Toma H, Ohigashi H, Okusaka T, Nakao A, Hatori T, et al. Japan Pancreatic Cancer Registry; 30th year anniversary: Japan Pancreas Society. Pancreas 2012;41(7):985-992 View Article PubMed/NCBI
  86. Yamao K, Takenaka M, Ishikawa R, Okamoto A, Yamazaki T, Nakai A, et al. Partial Pancreatic Parenchymal Atrophy Is a New Specific Finding to Diagnose Small Pancreatic Cancer (≤10 mm) Including Carcinoma in Situ: Comparison with Localized Benign Main Pancreatic Duct Stenosis Patients. Diagnostics (Basel) 2020;10(7):445 View Article PubMed/NCBI
  87. Nakahodo J, Kikuyama M, Fukumura Y, Horiguchi SI, Chiba K, Tabata H, et al. Focal pancreatic parenchyma atrophy is a harbinger of pancreatic cancer and a clue to the intraductal spreading subtype. Pancreatology 2022;22(8):1148-1158 View Article PubMed/NCBI
  88. Nakahodo J, Kikuyama M, Nojiri S, Chiba K, Yoshimoto K, Kamisawa T, et al. Focal parenchymal atrophy of pancreas: An important sign of underlying high-grade pancreatic intraepithelial neoplasia without invasive carcinoma, i.e., carcinoma in situ. Pancreatology 2020;20(8):1689-1697 View Article PubMed/NCBI
  89. Koiwai A, Hirota M, Matsuura T, Itoh T, Kin R, Katayama T, et al. Diffuse pancreatic parenchymal atrophy, an imaging finding predictive of the development of pancreatic ductal adenocarcinoma: A case-control study. JGH Open 2023;7(6):445-452 View Article PubMed/NCBI
  90. Miura S, Takikawa T, Kikuta K, Hamada S, Kume K, Yoshida N, et al. Focal Parenchymal Atrophy of the Pancreas Is Frequently Observed on Pre-Diagnostic Computed Tomography in Patients with Pancreatic Cancer: A Case-Control Study. Diagnostics (Basel) 2021;11(9):1693 View Article PubMed/NCBI
  91. Miura S, Kume K, Kikuta K, Hamada S, Takikawa T, Yoshida N, et al. Focal Parenchymal Atrophy and Fat Replacement Are Clues for Early Diagnosis of Pancreatic Cancer with Abnormalities of the Main Pancreatic Duct. Tohoku J Exp Med 2020;252(1):63-71 View Article PubMed/NCBI
  92. Faghih M, Noë M, Mannan R, Kamel IR, Zaheer A, Kalyani RR, et al. Pancreatic volume does not correlate with histologic fibrosis in adult patients with recurrent acute and chronic pancreatitis. Pancreatology 2020;20(6):1078-1084 View Article PubMed/NCBI
  93. Sandini M, Negreros-Osuna AA, Qadan M, Hank T, Patino M, Ferrone CR, et al. Main Pancreatic Duct to Parenchymal Thickness Ratio at Preoperative Imaging is Associated with Overall Survival in Upfront Resected Pancreatic Cancer. Ann Surg Oncol 2020;27(5):1606-1612 View Article PubMed/NCBI
  94. Ko SE, Choi IY, Cha SH, Yeom SK, Lee SH, Chung HH, et al. Clinical and radiologic characteristics of pancreatic head carcinoma without main pancreatic duct dilatation: using dual-phase contrast-enhanced CT scan. Clin Imaging 2016;40(3):548-552 View Article PubMed/NCBI
  95. Mujica VR, Barkin JS, Go VL. Acute pancreatitis secondary to pancreatic carcinoma. Study Group Participants. Pancreas 2000;21(4):329-332 View Article PubMed/NCBI
  96. Elsherif SB, Virarkar M, Javadi S, Ibarra-Rovira JJ, Tamm EP, Bhosale PR. Pancreatitis and PDAC: association and differentiation. Abdom Radiol (NY) 2020;45(5):1324-1337 View Article PubMed/NCBI
  97. Shimizu Y, Yasui K, Matsueda K, Yanagisawa A, Yamao K. Small carcinoma of the pancreas is curable: new computed tomography finding, pathological study and postoperative results from a single institute. J Gastroenterol Hepatol 2005;20(10):1591-1594 View Article PubMed/NCBI
  98. Kang JD, Clarke SE, Costa AF. Factors associated with missed and misinterpreted cases of pancreatic ductal adenocarcinoma. Eur Radiol 2021;31(4):2422-2432 View Article PubMed/NCBI
  99. Tummala P, Tariq SH, Chibnall JT, Agarwal B. Clinical predictors of pancreatic carcinoma causing acute pancreatitis. Pancreas 2013;42(1):108-113 View Article PubMed/NCBI
  100. Minato Y, Kamisawa T, Tabata T, Hara S, Kuruma S, Chiba K, et al. Pancreatic cancer causing acute pancreatitis: a comparative study with cancer patients without pancreatitis and pancreatitis patients without cancer. J Hepatobiliary Pancreat Sci 2013;20(6):628-633 View Article PubMed/NCBI
  101. Abdelkader A, Hunt B, Hartley CP, Panarelli NC, Giorgadze T. Cystic Lesions of the Pancreas: Differential Diagnosis and Cytologic-Histologic Correlation. Arch Pathol Lab Med 2020;144(1):47-61 View Article PubMed/NCBI
  102. National Clinical Research Center for Digestive Diseases (Shanghai), Ultrasound Endoscopy Group, Chinese Society of Digestive Endoscopology, Pancreatology Committee of Chinese Medical Doctor Association, Jin ZD, Li ZS. Chinese expert consensus on endoscopic diagnosis and treatment of pancreatic pseudocysts (2022) (in Chinese). Chinese Journal of Digestive Endoscopy 2022;39(10):765-777 View Article
  103. Tanaka S, Nakao M, Ioka T, Takakura R, Takano Y, Tsukuma H, et al. Slight dilatation of the main pancreatic duct and presence of pancreatic cysts as predictive signs of pancreatic cancer: a prospective study. Radiology 2010;254(3):965-972 View Article PubMed/NCBI
  104. Ren F, Zuo C, Chen G, Wang J, Lu J, Shao C, et al. Pancreatic retention cyst: multi-modality imaging findings and review of the literature. Abdom Imaging 2013;38(4):818-826 View Article PubMed/NCBI
  105. Bipat S, Phoa SS, van Delden OM, Bossuyt PM, Gouma DJ, Laméris JS, et al. Ultrasonography, computed tomography and magnetic resonance imaging for diagnosis and determining resectability of pancreatic adenocarcinoma: a meta-analysis. J Comput Assist Tomogr 2005;29(4):438-445 View Article PubMed/NCBI
  106. Noda Y, Kawai N, Kaga T, Ishihara T, Hyodo F, Kato H, et al. Vascular involvement and resectability of pancreatic ductal adenocarcinoma on contrast-enhanced MRI: comparison with pancreatic protocol CT. Abdom Radiol (NY) 2022;47(8):2835-2844 View Article PubMed/NCBI
  107. Brook OR, Brook A, Vollmer CM, Kent TS, Sanchez N, Pedrosa I. Structured reporting of multiphasic CT for pancreatic cancer: potential effect on staging and surgical planning. Radiology 2015;274(2):464-472 View Article PubMed/NCBI
  108. Tseng DS, van Santvoort HC, Fegrachi S, Besselink MG, Zuithoff NP, Borel Rinkes IH, et al. Diagnostic accuracy of CT in assessing extra-regional lymphadenopathy in pancreatic and peri-ampullary cancer: a systematic review and meta-analysis. Surg Oncol 2014;23(4):229-235 View Article PubMed/NCBI
  109. Somers I, Bipat S. Contrast-enhanced CT in determining resectability in patients with pancreatic carcinoma: a meta-analysis of the positive predictive values of CT. Eur Radiol 2017;27(8):3408-3435 View Article PubMed/NCBI
  110. Shi YJ, Liu BN, Li XT, Zhu HT, Wei YY, Zhao B, et al. Establishment of a multi-parameters MRI model for predicting small lymph nodes metastases (<10 mm) in patients with resected pancreatic ductal adenocarcinoma. Abdom Radiol (NY) 2022;47(9):3217-3228 View Article PubMed/NCBI
  111. Lee JH, Han SS, Hong EK, Cho HJ, Joo J, Park EY, et al. Predicting lymph node metastasis in pancreatobiliary cancer with magnetic resonance imaging: A prospective analysis. Eur J Radiol 2019;116:1-7 View Article PubMed/NCBI
  112. Rong D, Mao Y, Hu W, Xu S, Wang J, He H, et al. Intravoxel incoherent motion magnetic resonance imaging for differentiating metastatic and non-metastatic lymph nodes in pancreatic ductal adenocarcinoma. Eur Radiol 2018;28(7):2781-2789 View Article PubMed/NCBI
  113. Adham S, Ferri M, Lee SY, Larocque N, Alwahbi OA, Ruo L, et al. Pancreatic ductal adenocarcinoma (PDAC) regional nodal disease at standard lymphadenectomy: is MRI accurate for identifying node-positive patients?. Eur Radiol 2023;33(9):5976-5983 View Article PubMed/NCBI
  114. Wang L, Dong P, Wang WG, Tian BL. Positron emission tomography modalities prevent futile radical resection of pancreatic cancer: A meta-analysis. Int J Surg 2017;46:119-125 View Article PubMed/NCBI
  115. Kauhanen SP, Komar G, Seppänen MP, Dean KI, Minn HR, Kajander SA, et al. A prospective diagnostic accuracy study of 18F-fluorodeoxyglucose positron emission tomography/computed tomography, multidetector row computed tomography, and magnetic resonance imaging in primary diagnosis and staging of pancreatic cancer. Ann Surg 2009;250(6):957-963 View Article PubMed/NCBI
  116. Shin J, Shin S, Lee JH, Song KB, Hwang DW, Kim HJ, et al. Lymph node size and its association with nodal metastasis in ductal adenocarcinoma of the pancreas. J Pathol Transl Med 2020;54(5):387-395 View Article PubMed/NCBI
  117. Prenzel KL, Hölscher AH, Vallböhmer D, Drebber U, Gutschow CA, Mönig SP, et al. Lymph node size and metastatic infiltration in adenocarcinoma of the pancreatic head. Eur J Surg Oncol 2010;36(10):993-996 View Article PubMed/NCBI
  118. Takahashi D, Kojima M, Morisue R, Sugimoto M, Kobayashi S, Takahashi S, et al. Comparison of morphological features in lymph node metastasis between pancreatic neuroendocrine neoplasms and pancreatic ductal adenocarcinomas. Pancreatology 2020;20(5):936-943 View Article PubMed/NCBI
  119. Elsholtz FHJ, Asbach P, Haas M, Becker M, Beets-Tan RGH, Thoeny HC, et al. Introducing the Node Reporting and Data System 1.0 (Node-RADS): a concept for standardized assessment of lymph nodes in cancer. Eur Radiol 2021;31(8):6116-6124 View Article PubMed/NCBI
  120. Bian Y, Zheng Z, Fang X, Jiang H, Zhu M, Yu J, et al. Artificial Intelligence to Predict Lymph Node Metastasis at CT in Pancreatic Ductal Adenocarcinoma. Radiology 2023;306(1):160-169 View Article PubMed/NCBI
  121. Rong D, Mao Y, Hu W, Xu S, Wang J, He H, et al. Intravoxel incoherent motion magnetic resonance imaging for differentiating metastatic and non-metastatic lymph nodes in pancreatic ductal adenocarcinoma. Eur Radiol 2018;28(7):2781-2789 View Article PubMed/NCBI
  122. Isaji S. Revised 7th edition of the General Rules for the Study of Pancreatic Cancer by Japan Pancreas Society -revised concepts and updated points (in Japanese). Nihon Shokakibyo Gakkai Zasshi 2017;114(4):617-626 View Article
  123. Kanda M, Fujii T, Nagai S, Kodera Y, Kanzaki A, Sahin TT, et al. Pattern of lymph node metastasis spread in pancreatic cancer. Pancreas 2011;40(6):951-955 View Article PubMed/NCBI
  124. Durczyński A, Hogendorf P, Szymański D, Grzelak P, Strzelczyk J. Sentinel lymph node mapping in tumors of the pancreatic body: preliminary report. Contemp Oncol (Pozn) 2012;16(3):206-209 View Article PubMed/NCBI
  125. Liu C, Xu WY, Long J, Yu XJ, Fu DL, Ni QX. Characteristics of lymph node metastasis in pancreatic head carcinoma and its related influencing factors. China Oncology 2012;22(8):583-588 View Article
  126. Aysal A, Agalar C, Cagaptay S, Safak T, Egeli T, Ozbilgin M, et al. The Site of Lymph Node Metastasis: A Significant Prognostic Factor in Pancreatic Ductal Adenocarcinoma. Turk Patoloji Derg 2022;38(3):284-291 View Article PubMed/NCBI
  127. Miyata Y, Yonamine N, Fujinuma I, Tsunenari T, Takihata Y, Iwasaki T, et al. Impact of Lymph Node Metastases Around the Superior Mesenteric Artery on Postoperative Outcomes of Pancreatic Head Cancer. World J Surg 2021;45(12):3668-3676 View Article PubMed/NCBI
  128. Okada K, Uemura K, Kondo N, Sumiyoshi T, Seo S, Otsuka H, et al. Preoperative risk factors for para-aortic lymph node positivity in pancreatic cancer. Pancreatology 2021;21(3):606-612 View Article PubMed/NCBI
  129. Tanaka K, Kimura Y, Hayashi T, Ambo Y, Yoshida M, Umemoto K, et al. Appropriate Lymph Node Dissection Sites for Cancer in the Body and Tail of the Pancreas: A Multicenter Retrospective Study. Cancers (Basel) 2022;14(18):4409 View Article PubMed/NCBI
  130. Marion-Audibert AM, Vullierme MP, Ronot M, Mabrut JY, Sauvanet A, Zins M, et al. Routine MRI With DWI Sequences to Detect Liver Metastases in Patients With Potentially Resectable Pancreatic Ductal Carcinoma and Normal Liver CT: A Prospective Multicenter Study. AJR Am J Roentgenol 2018;211(5):W217-W225 View Article PubMed/NCBI
  131. Litjens G, Rivière DM, van Geenen EJM, Radema SA, Brosens LAA, Prokop M, et al. Diagnostic accuracy of contrast-enhanced diffusion-weighted MRI for liver metastases of pancreatic cancer: towards adequate staging and follow-up of pancreatic cancer - DIA-PANC study: study protocol for an international, multicenter, diagnostic trial. BMC Cancer 2020;20(1):744 View Article PubMed/NCBI
  132. Holzapfel K, Bruegel M, Eiber M, Ganter C, Schuster T, Heinrich P, et al. Characterization of small (≤10 mm) focal liver lesions: value of respiratory-triggered echo-planar diffusion-weighted MR imaging. Eur J Radiol 2010;76(1):89-95 View Article PubMed/NCBI
  133. Eiber M, Fingerle AA, Brügel M, Gaa J, Rummeny EJ, Holzapfel K. Detection and classification of focal liver lesions in patients with colorectal cancer: retrospective comparison of diffusion-weighted MR imaging and multi-slice CT. Eur J Radiol 2012;81(4):683-691 View Article PubMed/NCBI
  134. Löwenthal D, Zeile M, Lim WY, Wybranski C, Fischbach F, Wieners G, et al. Detection and characterisation of focal liver lesions in colorectal carcinoma patients: comparison of diffusion-weighted and Gd-EOB-DTPA enhanced MR imaging. Eur Radiol 2011;21(4):832-840 View Article PubMed/NCBI
  135. Hong SB, Choi SH, Kim KW, Kim SY, Kim JH, Kim S, et al. Meta-analysis of MRI for the diagnosis of liver metastasis in patients with pancreatic adenocarcinoma. J Magn Reson Imaging 2020;51(6):1737-1744 View Article PubMed/NCBI
  136. Alabousi M, McInnes MD, Salameh JP, Satkunasingham J, Kagoma YK, Ruo L, et al. MRI vs. CT for the Detection of Liver Metastases in Patients With Pancreatic Carcinoma: A Comparative Diagnostic Test Accuracy Systematic Review and Meta-Analysis. J Magn Reson Imaging 2021;53(1):38-48 View Article PubMed/NCBI
  137. Campos NMF, Almeida V, Curvo Semedo L. Peritoneal disease: key imaging findings that help in the differential diagnosis. Br J Radiol 2022;95(1130):20210346 View Article PubMed/NCBI
  138. Archer AG, Sugarbaker PH, Jelinek JS. Radiology of peritoneal carcinomatosis. Cancer Treat Res 1996;82:263-288 View Article PubMed/NCBI
  139. Vicens RA, Patnana M, Le O, Bhosale PR, Sagebiel TL, Menias CO, et al. Multimodality imaging of common and uncommon peritoneal diseases: a review for radiologists. Abdom Imaging 2015;40(2):436-456 View Article PubMed/NCBI
  140. Bozkurt M, Doganay S, Kantarci M, Yalcin A, Eren S, Atamanalp SS, et al. Comparison of peritoneal tumor imaging using conventional MR imaging and diffusion-weighted MR imaging with different b values. Eur J Radiol 2011;80(2):224-228 View Article PubMed/NCBI

About this Article

Cite this article
Bian Y, Li J, Li Z, Lu J, Shao C, Liu S, et al. Evidence-based Guideline on the Standardized Diagnostic Imaging Report for Pancreatic Solid Tumors in China. Cancer Screen Prev. 2026;5(1):1-22. doi: 10.14218/CSP.2025.00029.
Copy        Export to RIS        Export to EndNote
Article History
Received Revised Accepted Published
December 12, 2025 February 3, 2026 March 25, 2026 March 28, 2026
DOI http://dx.doi.org/10.14218/CSP.2025.00029
  • Cancer Screening and Prevention
  • pISSN 2993-6314
  • eISSN 2835-3315
Back to Top

Evidence-based Guideline on the Standardized Diagnostic Imaging Report for Pancreatic Solid Tumors in China

Yun Bian, Jing Li, Zhaoshen Li, Jianping Lu, Chengwei Shao, Shiyuan Liu, Min Chen, Xun Li and on behalf of the Professional Committee of Pancreatic Diseases, Chinese Medical Doctor Association; the Radiology Branch of the Chinese Medical Association; the National Clinical Research Center for Digestive Diseases (Shanghai); and the Shanghai Medical Association Radiology Quality Control Center
  • Reset Zoom
  • Download TIFF