v
Search
Advanced

Publications > Journals > Journal of Translational Gastroenterology> Article Full Text

  • OPEN ACCESS

Gastrocolocutaneous Fistula: A Case Report on a Rare Complication of Gastrostomy Placement

  • Nicholas Bell1 and
  • Trinh Nguyen2,* 
 Author information 

Abstract

Percutaneous endoscopic gastrostomy (PEG) tube placement is a common procedure used to provide medium- and long-term enteral nutrition to patients. Although generally considered safe, PEG tube placement can be associated with various potential complications. We report a case of gastrocolocutaneous fistula formation in a patient who presented with severe abdominal pain, new-onset diarrhea, and feculent emesis nine days after PEG tube placement. Awareness of this rare complication can facilitate the recognition of colonic perforation during gastrostomy tube placement and enable early detection of the complication post-procedurally. Additionally, we discuss various techniques that may be employed to prevent this complication during PEG tube placement.

Keywords

Gastrointestinal surgery, Percutaneous endoscopic gastrostomy, Complication, Gastrocolocutaneous fistula, Feeding

Introduction

Percutaneous endoscopic gastrostomy (PEG) tube placement is a common procedure used to provide medium- and long-term enteral nutrition to patients who are unable to maintain adequate oral intake.1 Compared to other mainstream techniques for gastrostomy placement, such as fluoroscopic-guided gastrostomy by interventional radiology and open surgical gastrostomy, PEG tube placement is associated with a lower risk of adverse events and mortality,2 making it the modality of choice at many institutions. Kohli et al. postulate that, compared to PEG, the odds ratios for colon perforation are 1.90 (95% CI, 1.26–2.86; p = 0.002) for IR-gastrostomy and 6.65 (95% CI, 4.38–10.12; p < 0.001) for surgical gastrostomy.2 The main complications of PEG insertion include bleeding, site infection, tube migration, and perforation.3

Gastrocolocutaneous fistula is a rare complication, with a reported incidence rate of 0.5–3% of PEG insertions. This occurs when a portion of the colon is interposed between the anterior abdominal wall and the stomach during the procedure, resulting in a transcolonic placement of the gastrostomy tube.4,5 Formation of a gastrocolocutaneous fistula can present as sudden-onset diarrhea, the passage of undigested feeding formula, and/or feculent emesis. An asymptomatic period of days to months may follow gastrostomy tube placement, with symptoms typically occurring when the tube dislodges from the stomach and remains in the colon.4 We present a case of a male patient who exhibited the atypical but recognizable sign of feculent emesis due to a gastrocolocutaneous fistula following PEG tube placement. This report aimed to enhance awareness of the clinical course and typical versus atypical presentations of gastrocolocutaneous fistulas and to review various techniques for gastrostomy tube placement to reduce the likelihood of fistula formation.

Case presentation

Clinical findings

The patient is a 71-year-old male resident of a skilled nursing facility with a past medical history significant for Parkinson’s disease, cerebral vascular accident with left hemiparesis, dysphagia, type 2 diabetes mellitus, generalized weakness, and neurogenic bowel, resulting in severe protein-calorie malnutrition. The patient presents with diffuse abdominal pain, diarrhea, and feculent emesis nine days following a PEG tube placement.

Physical examination revealed diffuse abdominal pain, dry mucous membranes with feculent material around the mouth, tachypnea (respiratory rate of 21 breaths per minute), and Oxygen saturation of 90% on a 2 L/m cannula. Laboratory analysis revealed WBC 15.2 × 109/L (High), Hgb 11.5 g/dL (Low), and lactate POC 4.98 mmol/L (Critical).

Timeline

Day 0: The patient presented nine days after PEG tube placement. CT imaging performed the same day in the Emergency Department confirmed tube migration and the presence of a gastrocolocutaneous fistula.

Day 1: The patient underwent surgical repair of the gastrocolic fistula, which included partial resection of the colon, a diverting colostomy, and placement of a new gastrostomy tube.

Day 2: The patient resumed enteral nutrition via the PEG tube without issues.

Day 11: The patient was discharged to the skilled nursing facility.

Diagnostic assessment

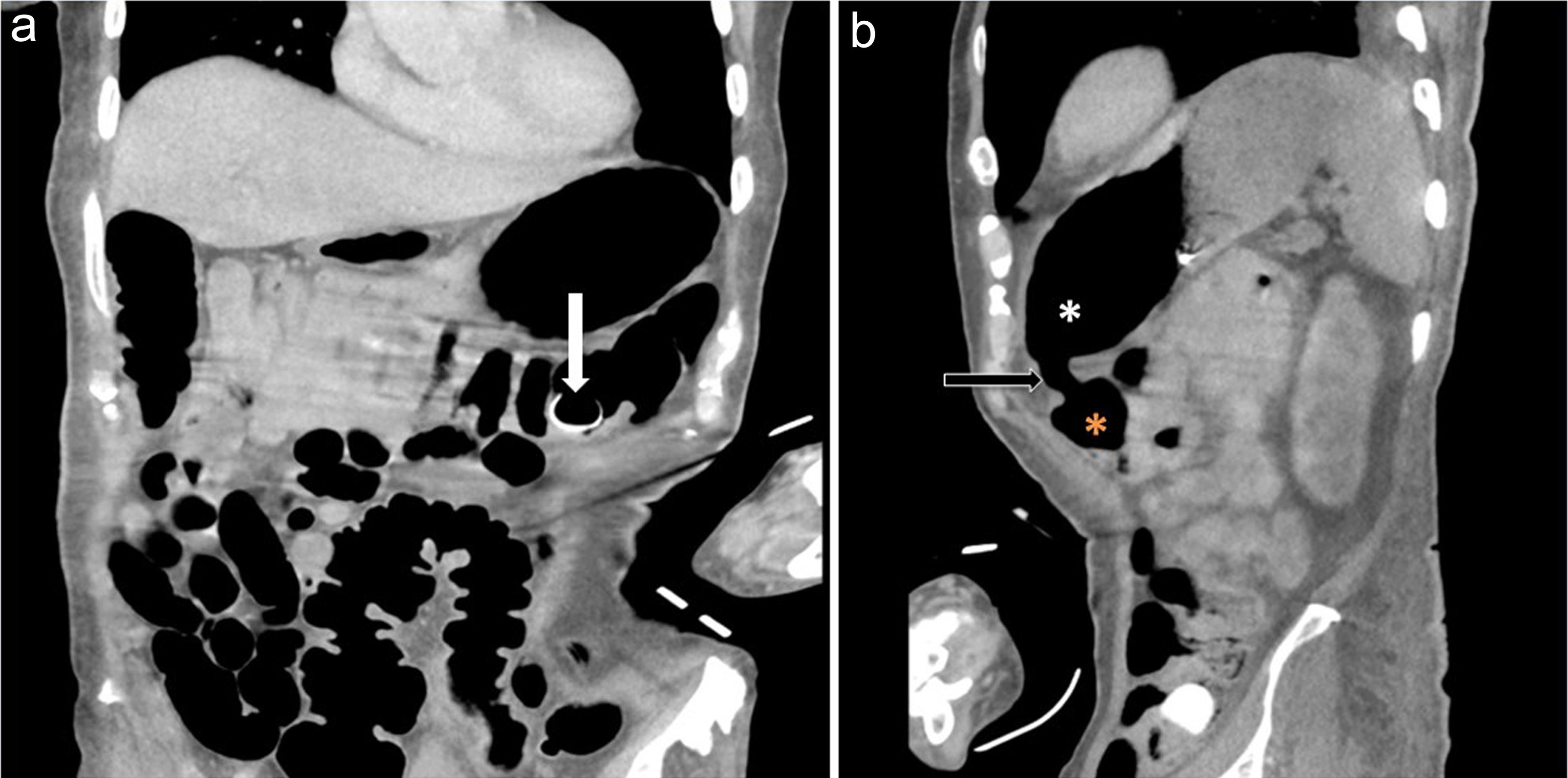
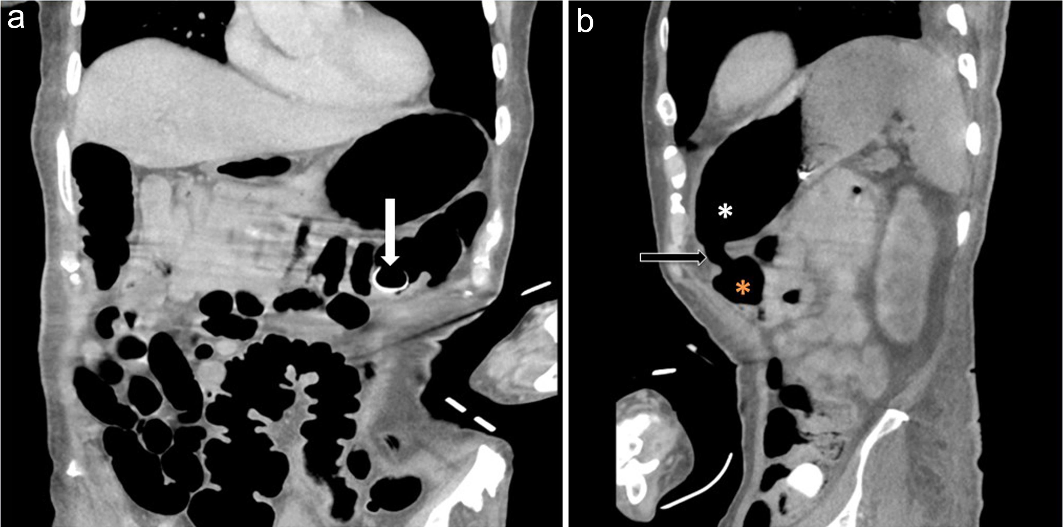
The post-PEG tube placement complication included tube migration and a gastrocolocutaneous fistula. CT imaging confirmed the dislodgement of the gastric balloon bumper from the stomach and its migration into the colonic lumen, as well as the formation of a fistula between the transverse colon and the stomach (Fig. 1a, b).

Coronal (a) and sagittal (b) contrast CT demonstrates the migrated balloon bumper in the distal transverse colon (a, white arrow) and a patent gastrocolic fistula (b, black arrow) between the stomach (white asterisk) and the colon (orange asterisk).
Fig. 1  Coronal (a) and sagittal (b) contrast CT demonstrates the migrated balloon bumper in the distal transverse colon (a, white arrow) and a patent gastrocolic fistula (b, black arrow) between the stomach (white asterisk) and the colon (orange asterisk).

Therapeutic intervention

The patient underwent surgical repair of the gastrocolic fistula, which involved partial resection of the colon, a diverting colostomy, and placement of a new gastrostomy tube.

Follow-up and outcomes

The patient resumed enteral nutrition via the surgically placed PEG tube without issues and was subsequently discharged to a skilled nursing facility. However, due to multiple comorbidities and continued failure to thrive, the patient passed away with comfort measures not long after discharge.

Discussion

PEG tube placement is an effective procedure for providing long-term enteral nutrition and access to patients who are unable to maintain sufficient oral intake. Typical indications for PEG placement include neurological dysfunction requiring temporary or long-term nutrition, significant head and neck trauma or upper aerodigestive disease, impaired swallowing mechanisms or motility disorders, and gastrointestinal malignancies that limit oral intake.5

The procedure involves inserting a gastrostomy tube through the stomach via the abdominal wall under endoscopic guidance. The PEG tube insertion technique was first described in 1980 by Ponsky and Gauderer, and since then, various sub-techniques have emerged, including the push, pull, introducer, and Versa techniques.5,6 The most commonly utilized techniques are the push and pull methods.

The procedure can be performed under sedation without the need for general anesthesia, with a high success rate of 95% and typically completed in under 30 m. Complications are rare but may include bleeding, infection, perforation, and tube migration.7

To minimize the risk of bowel perforation during the procedure, physicians can employ various endoscopic techniques, such as endoscopic transillumination through the abdominal wall, applying pressure with finger indentation, and practicing the “safe tract” approach. In the transillumination technique, the abdominal wall is illuminated with endoscopic light, allowing external visualization of bright red light on the abdominal wall. This helps the proceduralist identify the stomach’s location. Additionally, applying finger pressure at the point of transillumination and observing the corresponding indentation of the anterior stomach via endoscopy aids in selecting the surgical site. The abdominal wall is then marked with a surgical pen before making an incision. The procedure is also performed with the patient in the reverse Trendelenburg position, so gravity helps move bowel loops inferiorly. Adequate insufflation of the stomach without overdistention is necessary before inserting the introducing needle to avoid puncturing the colon. The safe tract approach involves infiltrating the target area with lidocaine once the PEG tube placement location is determined via transillumination. The physician then slowly inserts an 18- or 22-gauge needle with a lidocaine-containing syringe into the skin along the future PEG tube tract while continually aspirating the needle. The lack of air in the syringe during aspiration before reaching the stomach wall is reassuring and confirms the absence of intervening bowel loops between the stomach and the abdominal wall. Conversely, the presence of air within the syringe before reaching the stomach raises suspicion of colon or bowel interposition and perforation.8 Failure of transillumination, finger indentation, or aspiration of air before gastric cannulation should prompt consideration of aborting the procedure and exploring alternative access methods, such as fluoroscopy-guided or surgical gastrostomy placement. Pre- and peri-procedural imaging, including ultrasound or CT, may also aid in PEG tube insertion and prevent colonic injury.5

Gastrocolocutaneous fistulae are a rare complication of PEG tube placement, occurring when a portion of the colon is transposed between the anterior abdominal wall and the gastric wall during the procedure, resulting in a transcolonic course of the PEG tube.5 The patient may remain largely asymptomatic for several months post-procedure or experience mild nonspecific symptoms such as transient fever or ileus. This complication may not be discovered until the PEG tube is replaced months later and diarrhea develops.5 In our patient’s case, it is hypothesized that clinical findings were accelerated and more severe due to the development of a gastrocolocutaneous fistula accompanied by the slippage of the internal gastrostomy bumper into the colon. This allows fecal material to enter directly into the stomach, leading to feculent emesis. Additionally, undigested formula entering directly into the colon results in osmotic watery diarrhea immediately postprandially.9 Symptoms such as feculent vomit or feculent material in the PEG tube and diarrhea should raise suspicion of a dislodged or improperly placed PEG tube.3

Given the rarity of this complication, there is no standard management protocol for gastrocolocutaneous fistula. Spontaneous closure of colocutaneous and gastrocolic fistulas often occurs after PEG tube removal.10–12 Nonoperative management may be preferred for patients who are hemodynamically stable and without signs of sepsis.13 However, emergency laparotomy may be indicated if the patient presents with peritonitis or signs of ischemia. Alternatively, endoscopic closure of the fistula with simultaneous clipping of the fistula opening in the colon via colonoscopy may be performed if there is evidence of a large fistula that may not close spontaneously.12

Conclusions

Gastrocolocutaneous fistula due to malplacement of the gastrostomy tube is a rare and often overlooked complication. Clinicians should maintain a high level of clinical suspicion and a low threshold for imaging in patients presenting with atypical symptoms, such as feculent emesis or watery diarrhea following PEG tube feeding, to enable early detection of this complication. Implementing safety procedures such as transillumination, finger indentation, and the “safe tract” techniques may help prevent or reduce the risk of this complication. Although no consensus exists on the management of gastrocolocutaneous fistula, anecdotal evidence suggests that most fistulas close spontaneously after the removal of the PEG tube. If the fistula is large and concerns about continual patency arise, endoscopic closure with clips may be necessary.

Declarations

Acknowledgement

We thank Mr. Sumeet Bal, M. Biotech. (Protein Characterisation Division, CSIRO, Melbourne, Australia), for critically reviewing the manuscript.

Ethical statement

The study was performed in accordance with the ethical standards of the institutions to which we are affiliated and with the Declaration of Helsinki (as revised in 2013). The case was reviewed and approved for publication following institutional IRB approval protocol. Written informed consent was also obtained for the publication of any potentially identifiable images or data included in this article.

Funding

The authors acknowledge that no funding was received for this article.

Conflict of interest

The authors declare no conflicts of interest.

Authors’ contributions

Writing the manuscript (NB, TN), overall formatting and preparation of figures (TN). Both authors read and approved the final manuscript.

References

  1. Rahnemai-Azar AA, Rahnemaiazar AA, Naghshizadian R, Kurtz A, Farkas DT. Percutaneous endoscopic gastrostomy: indications, technique, complications and management. World J Gastroenterol 2014;20(24):7739-7751 View Article PubMed/NCBI
  2. Kohli DR, Kennedy KF, Desai M, Sharma P. Safety of endoscopic gastrostomy tube placement compared with radiologic or surgical gastrostomy: nationwide inpatient assessment. Gastrointest Endosc 2021;93(5):1077-1085.e1 View Article PubMed/NCBI
  3. Chime C, Baiomi A, Kumar K, Patel H, Dev A, Makker J. Endoscopic Repair of Gastrocolic and Colocutaneous Fistulas Complicating Percutaneous Endoscopic Gastrostomy Tube. Case Rep Gastrointest Med 2020;2020:7262514 View Article PubMed/NCBI
  4. Lee J, Kim J, Kim HI, Oh CR, Choi S, Noh S, et al. Gastrocolocutaneous Fistula: An Unusual Case of Gastrostomy Tube Malfunction with Diarrhea. Clin Endosc 2018;51(2):196-200 View Article PubMed/NCBI
  5. Schrag SP, Sharma R, Jaik NP, Seamon MJ, Lukaszczyk JJ, Martin ND, Hoey BA, Stawicki SP. Complications related to percutaneous endoscopic gastrostomy (PEG) tubes. A comprehensive clinical review. J Gastrointestin Liver Dis 2007;16(4):407-18 PubMed/NCBI
  6. DeLegge RL, DeLegge MH. Percutaneous endoscopic gastrostomy evaluation of device materials: are we “failsafe”?. Nutr Clin Pract 2005;20(6):613-617 View Article PubMed/NCBI
  7. Smyth GP, McGreal GT, McDermott EW. Delayed presentation of a gastric colocutaneous fistula after percutaneous endoscopic gastrostomy. Nutrition 2003;19(10):905-906 View Article PubMed/NCBI
  8. Albrecht H, Hagel AF, Schlechtweg P, Foertsch T, Neurath MF, Mudter J. Computed Tomography-Guided Percutaneous Gastrostomy/Jejunostomy for Feeding and Decompression. Nutr Clin Pract 2017;32(2):212-218 View Article PubMed/NCBI
  9. Lohiya GS, Tan-Figueroa L, Krishna V. Intermittent diarrhea as a delayed presentation of percutaneous endoscopic gastrostomy (PEG)-associated fistula. J Am Board Fam Med 2010;23(5):681-684 View Article PubMed/NCBI
  10. Friedmann R, Feldman H, Sonnenblick M. Misplacement of percutaneously inserted gastrostomy tube into the colon: report of 6 cases and review of the literature. JPEN J Parenter Enteral Nutr 2007;31(6):469-476 View Article PubMed/NCBI
  11. Liu SY, Ng SS, Yip HC, Teoh AY, Chiu PW, Ng EK. Migration of a percutaneous endoscopic gastrostomy tube into the transverse colon: A forgotten cause of refractory diarrhea. Endoscopy 2010;42(Suppl 2):E324-325 View Article PubMed/NCBI
  12. Hwang JH, Kim HW, Kang DH, Choi CW, Park SB, Park TI, et al. A case of endoscopic treatment for gastrocolocutaneous fistula as a complication of percutaneous endoscopic gastrostomy. Clin Endosc 2012;45(1):95-98 View Article PubMed/NCBI
  13. Yamazaki T, Sakai Y, Hatakeyama K, Hoshiyama Y. Colocutaneous fistula after percutaneous endoscopic gastrostomy in a remnant stomach. Surg Endosc 1999;13(3):280-282 View Article PubMed/NCBI

About this Article

Cite this article
Bell N, Nguyen T. Gastrocolocutaneous Fistula: A Case Report on a Rare Complication of Gastrostomy Placement. J Transl Gastroenterol. 2024;2(3):170-172. doi: 10.14218/JTG.2024.00007.
Copy        Export to RIS        Export to EndNote
Article History
Received Revised Accepted Published
January 1, 2024 July 29, 2024 August 16, 2024 September 30, 2024
DOI http://dx.doi.org/10.14218/JTG.2024.00007
  • Journal of Translational Gastroenterology
  • eISSN 2994-8754
Back to Top

Gastrocolocutaneous Fistula: A Case Report on a Rare Complication of Gastrostomy Placement

Nicholas Bell, Trinh Nguyen
  • Reset Zoom
  • Download TIFF