v
Search
Advanced

Publications > Journals > Journal of Translational Gastroenterology> Article Full Text

  • OPEN ACCESS

Diagnosing Hypoglycemia–from Liver Cancer to Insulinoma: A Case Report

  • Drashya Shah1,* ,
  • Jawad Turfa1,
  • Efsevia Vaikani2,
  • Shalini Chhabra3 and
  • Devika Rao1
 Author information 

Abstract

Insulinoma is a neuroendocrine tumor originating in the pancreas that secretes excess amounts of insulin, leading to severe hypoglycemia. The clinical presentation of hypoglycemia is classically described by Whipple’s Triad. Due to the rarity of this diagnosis, it can often be mistaken for other etiologies with similar presentations. In this paper, we present the case of a woman in her 70s with metastatic insulinoma involving the liver, who was initially diagnosed with an insulin-like growth factor 2-secreting hepatocellular carcinoma. Biochemical and immunohistochemical analyses were instrumental in distinguishing between these two etiologies.

Keywords

Insulinoma, Hypoglycemia, Hepatocellular carcinoma

Introduction

Hypoglycemia as a complication of cancer can occur either due to excessive insulin secretion, as in insulinoma, or as non-islet cell tumor hypoglycemia (NICTH), a serious paraneoplastic syndrome in which tumors secrete elevated levels of insulin-like growth factor 2 (IGF-2).1,2 Metastatic insulinoma is extremely rare. Among 121 cases of malignant insulinoma reported from 1973 to 2015 in the Surveillance, Epidemiology, and End Results registries, which cover approximately 34.6% of the United States population, 66 patients (54.4%) had metastatic insulinoma with regional or distant metastases.3 NICTH is usually associated with large mesenchymal tumors, including hepatocellular carcinoma. This condition is also rare, and its exact incidence remains unknown.4 Clinically, both conditions present similarly with Whipple Triad of hypoglycemia; therefore, diagnosis depends on objective methods. This case aimed to highlight an integrated diagnostic approach combining laboratory results, histopathology, and targeted imaging to determine the cause of hypoglycemia in a patient with liver lesions.

Case presentation

We present the case of a woman in her 70s with a history of hypertension and hyperlipidemia, a non-smoker with rare alcohol consumption, who was initially referred to our institution following a diagnosis of hepatocellular carcinoma (HCC) based on external pathology.

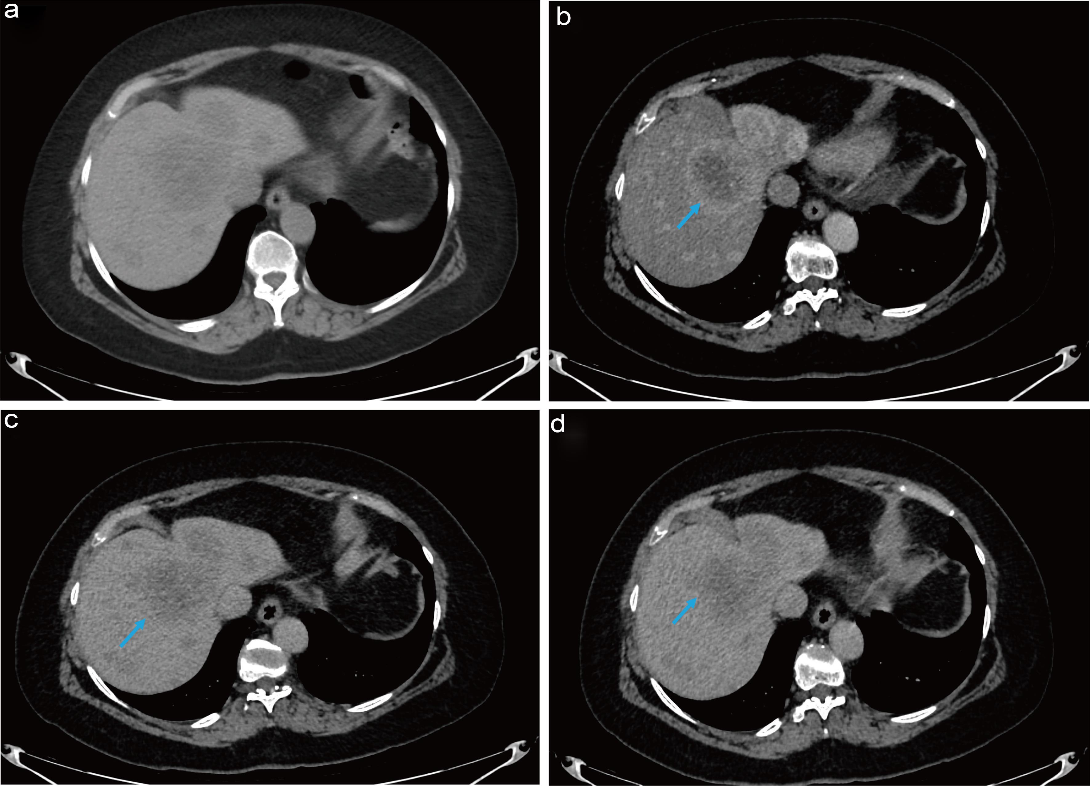
Two months prior to presentation, the patient visited her primary care physician complaining of mid-epigastric pain, reflux, and profuse sweating, symptoms that began shortly after receiving her second dose of the COVID-19 vaccine. An initial ultrasound revealed an 8 × 6.1 × 6.2 cm hyperechoic lesion in the right lobe of the liver, along with four smaller hyperechoic nodules scattered throughout the liver. A follow-up computed tomography (CT) scan of the abdomen and pelvis, performed with and without contrast, identified a noncirrhotic hepatic morphology with several hypodense lesions visible on non-contrast images. These lesions demonstrated arterial phase hyperenhancement exceeding that of the surrounding liver parenchyma, followed by peripheral washout in the portal venous phase (Fig. 1). These imaging features are classic for Liver Imaging Reporting and Data System category 5 lesions, consistent with HCC. Some lesions exhibited smooth, uniform borders suggestive of a capsule, which is typical for HCC. Additionally, the lesions were large (greater than 2 cm), supporting a higher likelihood of malignancy.

Baseline CT imaging (a) non-contrast enhanced, and contrast enhanced- (b) arterial phase demonstrating hyperenhancement, (c) and (d) portal venous phase demonstrating washout.
Fig. 1  Baseline CT imaging (a) non-contrast enhanced, and contrast enhanced- (b) arterial phase demonstrating hyperenhancement, (c) and (d) portal venous phase demonstrating washout.

CT, computed tomography.

Two weeks later, the patient began experiencing episodes of disorientation and diaphoresis, which resulted in a fall. Emergency medical services were called, and laboratory testing revealed a blood glucose level of 32 mg/dL. She was admitted to a community hospital and diagnosed with a urinary tract infection and paroxysmal atrial fibrillation. However, despite treatment for the urinary tract infection, her blood glucose levels remained abnormally low without an obvious cause. A CT-guided liver biopsy demonstrated a moderately differentiated carcinoma with lymphovascular invasion, focally weakly positive alpha-fetoprotein (AFP), and negative Glypican-3 staining. Based on these findings, she was diagnosed with HCC accompanied by hypoglycemia, likely secondary to increased secretion of IGF-2 from a non-islet cell tumor. A treatment plan was developed for interventional radiology–guided embolization of the left and middle hepatic veins.

During her hospital stay following embolization, the patient experienced persistent hypoglycemia, necessitating continuous dextrose infusion, along with diazoxide and a prolonged course of daily steroids. Additional laboratory tests were performed to investigate other potential causes of hypoglycemia, as outlined in Table 1.

Table 1

Trend of laboratory findings

Reference valuesInitial presentation (prior to any therapy)After nine months of octreotideAfter one month of everolimus
Glucose (mg/dL)70–14034 (↓)121122
Serum insulin (microU/mL)0.0–1791.9 (↑)99.2 (↑)41.7 (↑)
C-peptide (ng/mL)0.69–2.4511.06 (↑)6.21 (↑)6.38 (↑)
Proinsulin (pmol/L)3.6–22>700 (↑↑)498 (↑↑)
Alpha fetoprotein (ng/mL)0–53,542.8 (↑↑)
IGF 1 (mcg/mL)34–187153
IGF 2 (mcg/mL)333–967441516

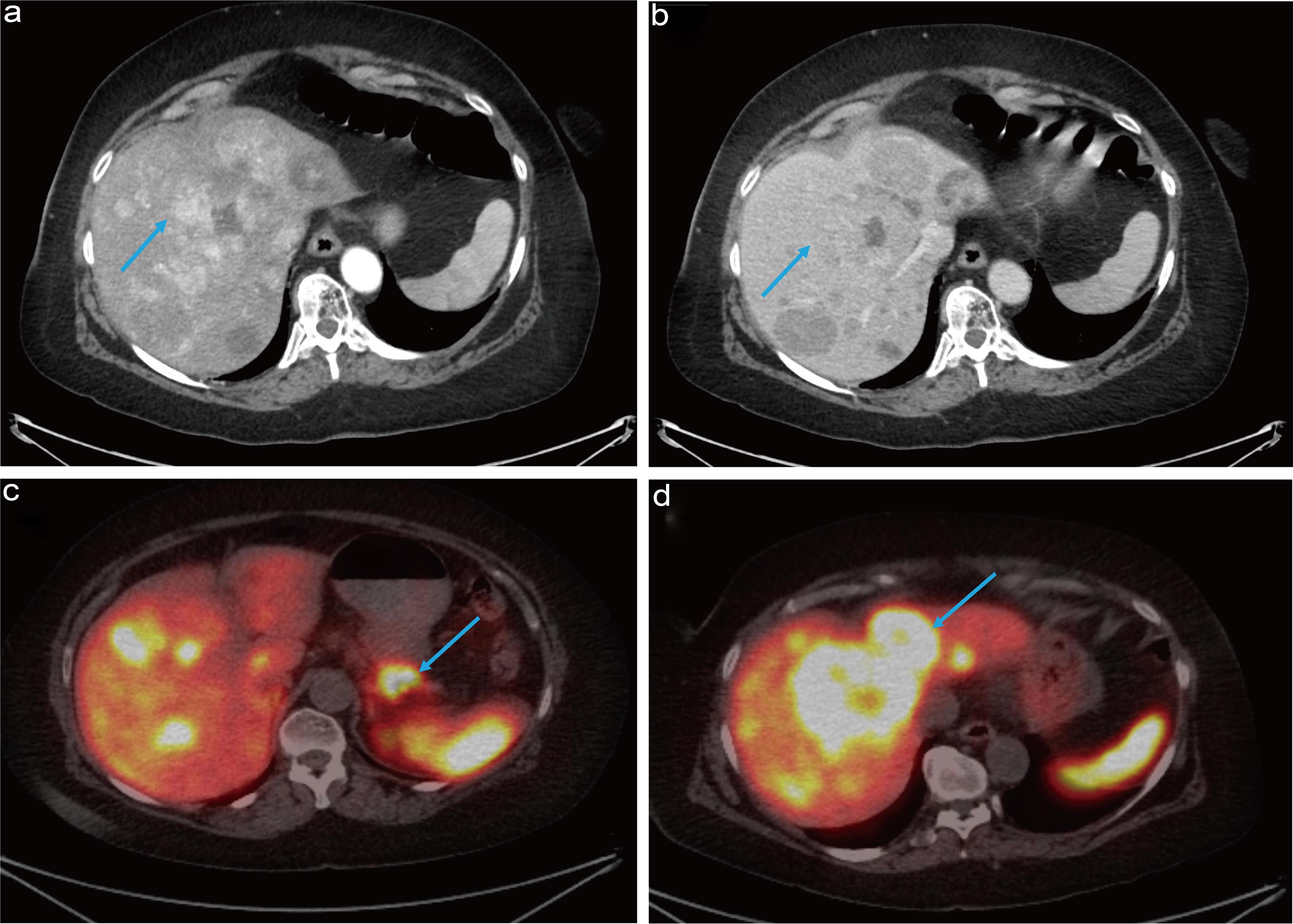
These findings, combined with normal IGF-2 levels, indicated that the hypoglycemia was due to hyperinsulinemia rather than an IGF-2-mediated process. Initial CT imaging revealed multiple masses throughout both lobes of the liver, with the largest lesion centrally located in the right lobe, measuring approximately 6.2 cm. There was peripheral enhancement and central hypoenhancement that persisted on both early and delayed post-contrast images. This pattern is not entirely typical of any benign etiology. HCC appears on CT as a mass that enhances during the arterial phase and washes out in the portal or delayed venous phase.5 However, because the patient did not have underlying cirrhosis or hepatitis, the Liver Imaging Reporting and Data System criteria could not be reliably applied.6 Consequently, previous scans were reviewed, and a triphasic CT scan of the liver was performed. This subsequent scan demonstrated an interval increase in lesion size, another feature favoring HCC (Fig. 2).

Subsequent CT scan (a) contrast enhanced- arterial phase, (b) portal venous phase, PET scan (c) DOTATATE avid pancreatic lesion, (d) DOTATATE avid liver metastases.
Fig. 2  Subsequent CT scan (a) contrast enhanced- arterial phase, (b) portal venous phase, PET scan (c) DOTATATE avid pancreatic lesion, (d) DOTATATE avid liver metastases.

CT, computed tomography; PET, positron emission tomography.

The scan also identified a sub-centimeter hypodense lesion with calcifications in the pancreatic tail. Given the suspicion of insulinoma, an esophagogastroduodenoscopy with endoscopic ultrasound and magnetic resonance cholangiopancreatography were performed but showed no definitive evidence of a pancreatic lesion. Consequently, a positron emission tomography DOTATATE (PET-DOTATATE) scan was scheduled to evaluate for a neuroendocrine tumor (NET). The result revealed intense somatostatin receptor-positive bilobar liver lesions, consistent with malignancy, as well as intense tracer avidity in the gastro-pancreatic region, likely misregistered from the pancreatic tail (Fig. 2). This finding raised suspicion for a primary neuroendocrine neoplasm, correlating with the calcification previously noted on CT.

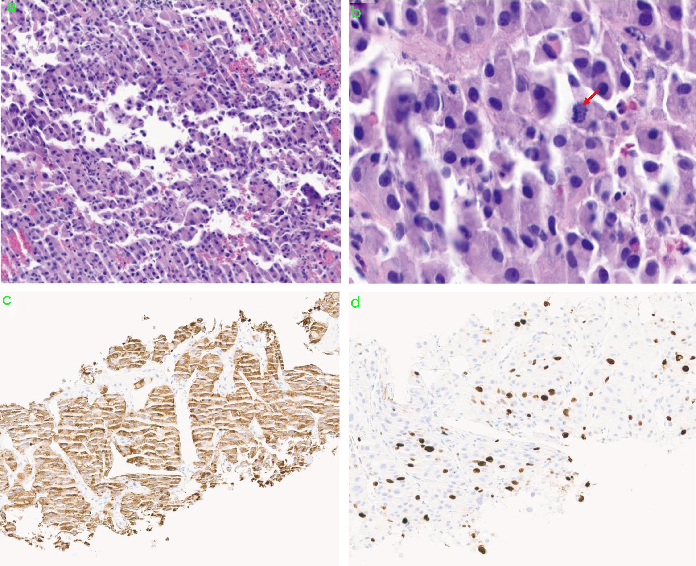
A review of the earlier biopsy performed at our institution during this period led to a revised diagnosis of metastatic well-differentiated NET, consistent with a pancreatic primary. Additional immunostaining confirmed the tumor’s neuroendocrine origin, with cells testing positive for synaptophysin and chromogranin and showing patchy insulin staining, while negative for HepPar-1, Arginase-1, trypsin, and chymotrypsin. The tumor exhibited a proliferation index (Ki-67) of approximately 25–30% (World Health Organization Grade 3) and a mitotic rate of approximately two to four per 10 high-power fields (Fig. 3). These findings reinforced the neuroendocrine origin of the tumor, distinguishing it from the initial diagnosis of HCC.

Pathology from liver biopsy (a) H&E low power, (b) high power showing a mitotic figure, (c) positive synaptophysin stain, (d) Ki67.
Fig. 3  Pathology from liver biopsy (a) H&E low power, (b) high power showing a mitotic figure, (c) positive synaptophysin stain, (d) Ki67.

The Ki67 proliferative index was 25–30% and the mitotic count 4 mitoses in 10 high power fields. H&E, hematoxylin and eosin.

Following the revised diagnosis, the patient began monthly octreotide injections one month after her first embolization. Eight weeks later, she underwent a second embolization. Over the subsequent seven months, her blood glucose levels remained well-controlled, allowing her to wean off both steroids and diazoxide. Fingerstick glucose monitoring served as a practical and cost-effective alternative to more expensive tests, such as insulin and C-peptide levels, which were reserved for periods of poor glucose control.

Over time, hypoglycemic episodes recurred, and imaging revealed disease progression. As a second-line treatment, peptide receptor radionuclide therapy was offered, but the patient declined due to the isolation requirements associated with this therapy. Consequently, everolimus was added to her octreotide regimen as a second-line agent. This combination provided excellent glucose control; however, after four months, she developed pulmonary fibrosis, a known adverse reaction to the drug.7 She recovered after discontinuing everolimus and receiving supportive management with steroids. The patient was then switched to a combination of capecitabine and temozolomide, which she continued for four months. During this period, her functional status declined significantly, and her blood glucose levels intermittently dropped, suggesting incomplete suppression of insulin production. Due to her frailty, she was no longer a candidate for further local or systemic therapies. After a thorough discussion of her goals of care with her and her husband, she chose to transition to comfort measures. Approximately two years after her initial presentation, she passed away at home on hospice (Fig. 4).

Clinical timeline of disease progression and management.
Fig. 4  Clinical timeline of disease progression and management.

CT, computed tomography; MSK, Memorial Sloan Kettering Cancer Center; PCP, Primary Care Provider; PET, positron emission tomography; UTI, urinary tract infection.

The patient is deceased, and her family declined to comment.

Discussion

Changes in diagnosis or prognosis based on second opinions are widely recognized in oncology, especially for rare malignancies such as NETs, including insulinomas, where comprehensive immunohistochemistry studies are commonly advised.8–11 In our case, the imaging appearance suggestive of HCC and elevated AFP levels were misleading, causing the calcification in the tail of the pancreas to be overlooked, as such calcifications can sometimes be benign findings. Additionally, hypoglycemia can result from both insulinoma and HCC, necessitating further laboratory testing to differentiate between these causes.

At our institution, it is standard practice for all new patients to have their pathology and radiology reviewed to ensure diagnostic accuracy. A 2023 retrospective study from our institution found that, out of 120 cases referred for second opinions across various cancers, 42 cases had clinically significant changes in treatment, with 13 of these due to changes in diagnosis.12 In a study by Arista-Nasr et al.13 assessing the pathologic resemblance of metastatic NET of the liver to HCC, 7 cases of NET were identified out of 285 hepatic biopsies where the original diagnosis had been HCC. Similarly, in a series by Prosser et al.,14 four of ten liver biopsies initially diagnosed as HCC were later reclassified as NET. This study further elaborates on the pathologic features that help differentiate atypical presentations of these diagnoses. In general, pancreatic NET (PNET) is a part of the differential diagnosis of well-differentiated HCC when presenting in the liver, because histologically both tumor types can have abundant eosinophilic cytoplasm. Therefore, a high index of suspicion for PNET is important when reviewing HCC pathology.

Insulinoma is an insulin-secreting PNET that leads to extremely low blood sugar. If left untreated, it can result in confusion, abnormal behavior, coma, and/or death.15 While insulinomas are typically indolent, a small subset, less than 6%, with an annual incidence ranging from 0.0 to 0.27 cases per million person-years, can present as metastatic disease, most commonly involving the liver and lymph nodes.3 The clinical presentation of insulinoma can be described using Whipple’s Triad: hypoglycemic symptoms, fasting blood glucose levels below 50 mg/dL, and relief of symptoms after glucose administration.15,16 The two key differential diagnoses to consider when insulinoma is suspected are exogenous hypoglycemia and HCC. To differentiate insulinoma from exogenous hypoglycemia, patients with insulinoma typically present with absence of plasma sulfonylurea, increased serum insulin and proinsulin levels, and elevated C-peptide levels, as summarized in Table 2.15,17–21

Table 2

Expected laboratory parameters in patients with hypoglycemia, based on etiology

InsulinomaIatrogenicHCCNICTH
GlucoseVery lowLowNormalLow
Serum insulinElevatedElevatedNormalLow
C-peptideElevatedNormalNormalLow
ProinsulinElevatedNormalNormalLow
Alpha fetoproteinNormalNormalElevatedNormal

AFP is a nonspecific tumor marker, and while elevated levels are commonly associated with HCC, numerous alternative causes exist for AFP elevation, including large liver metastases from non-HCC malignancies.22–24 AFP elevation in insulinoma is extremely rare, likely due to the rarity of insulinoma itself, though it has been reported in the literature.25 As mentioned above, the elevated AFP levels in this case represented a significant red herring that contributed to the diagnostic challenge. To contextualize our patient’s AFP findings, we identified three prior reports of AFP-positive insulinomas. Table 3 summarizes their key features, including patient demographics, AFP levels, pathology, treatments, and outcomes.25–27 These cases, like ours, involved metastatic disease with elevated AFP and were managed with diverse interventions such as surgery, embolization, and chemotherapy. In contrast to the other cases, our patient’s markedly elevated AFP level, combined with focal immunohistochemical AFP positivity, added significant diagnostic complexity and contributed to the initial misclassification as HCC.

Table 3

Summary of reported AFP-positive insulinoma cases and clinical outcomes

ReferencePatient (age/sex)Primary tumor (location and size)Metastatic sitesPathology and markersAFP levels (ng/mL)TreatmentsOutcome
Hirshberg et al., 20052582 FLiver (metastatic insulinoma; size NR)LiverMetastatic insulinomaInitially, 40 and dropped to 23 after treatmentPercutaneous radiofrequency ablationHypoglycemia returned after four months. No further treatment due to other comorbidities
Lam et al., 20012664 FPancreatic tail, 7 × 4 × 4 cmLiverIslet cell carcinoma with focal hepatoid differentiation (chromogranin+, insulin+, glucagon+, AFP+)Increase from 1,694 to 2,119 20 months post treatment1. Octreotide and diazoxide (ineffective). 2. Hepatic arterial embolization (failed). 3. Distal pancreatectomy, splenectomy, cholecystectomy. 4. 2× Transarterial hepatic chemoembolization. 5. 6× sequential chemotherapy. 6. Repeat transarterial hepatic chemoembolization (no response)Tumor regressed more than 50%, and the patient was normoglycemic at 16 months. Liver metastases progressed with recurring hypoglycemia and hyperinsulinemia. Died 22 months after presentation
Shimoike et al., 19972728 MPancreatic tail (highly vascular; size NR)LiverAcinar islet (“amphicrine”) carcinoma (AFP+, alpha 1-antichymotrypsin+, chromogranin A+, and neuron-specific enolase+)2,234 (increased with metastases)NRProgressive hepatic metastases; duration and outcome NR

Since clinical presentation and tumor markers such as AFP are insufficient to differentiate between these two etiologies, clinical imaging plays a crucial role in localizing insulinomas, detecting metastatic disease, and guiding management strategies.15,28 Non-invasive imaging modalities such as CT and magnetic resonance imaging offer moderate sensitivity (33–64% and 40–90%, respectively) for lesion detection and are safe and efficient for patients.28 However, because up to 90% of insulinomas are smaller than 2 cm, conventional imaging techniques like CT and magnetic resonance imaging can be challenging for diagnosis.29 To address this, PET-DOTATATE, a functional scan using a radioligand targeting somatostatin receptors, can detect lesions as small as 6 mm and does not show uptake in HCC.29 NETs commonly overexpress somatostatin receptor subtype 2, which Ga-68 DOTATATE specifically targets, making PET-DOTATATE valuable for differentiating NETs from other etiologies.29

Immunohistochemistry is essential for diagnosing insulinoma and differentiating it from other tumors. Positive markers include synaptophysin, chromogranin, ISL1, INSM1, insulin (though insulin positivity is not required for diagnosis), proinsulin, amylin, and islet amyloid polypeptide.30 Additional markers include β-catenin and PDX1 (a beta-cell marker positive in indolent types with variable staining in aggressive forms), and ARX (an alpha-cell marker negative in indolent types and positive in aggressive subtypes).31 In contrast, tumor markers for HCC include Lens culinaris agglutinin-reactive fraction of AFP (AFP-L3), which is more specific for HCC than total AFP, des-gamma-carboxy prothrombin, and Glypican-3, a useful diagnostic marker that distinguishes HCC from benign hepatocellular lesions.32,33

Once insulinoma is diagnosed and the tumor localized, surgical resection is recommended for all benign tumors, which comprise more than 90% of cases.29 Most benign insulinomas are sporadic, and surgical excision offers potential for cure.15 Medical management beyond surgery includes dietary modifications to prevent symptomatic hypoglycemia and medications such as diazoxide to inhibit insulin release.15 Malignant insulinomas have a 10-year survival rate of about 29%, and treatment options include liver transplant, liver resection, chemoembolization, radiofrequency ablation, hormonal therapy with long-acting octreotide, radionuclide therapy, and/or chemotherapy for advanced disease.28

HCC remains a leading cause of cancer-related death in the United States, ranking ninth overall.34 Traditionally, HCC diagnosis does not require tissue biopsy in patients with cirrhosis or high-risk chronic hepatitis B infection.35 Additionally, patients with advanced HCC and other mesenchymal tumors can develop NICTH, a serious paraneoplastic syndrome characterized by tumor secretion of elevated IGF-2 levels, resulting in hypoglycemia, as outlined in Table 2.1,2 NICTH is rare, and its incidence remains unknown.4 Hypoglycemia in HCC can present in two forms: Type A and Type B. Type A is mild, typically occurring in large, rapidly growing tumors, while Type B is rare, more severe, and involves elevated levels of incompletely processed IGF-2.2 Unfortunately, no standardized treatment protocol exists for hypoglycemia induced by HCC.

Primary treatment for malignancy-induced hypoglycemia focuses on controlling blood glucose, as untreated hypoglycemia can lead to severe complications.36 Intravenous glucose administration is commonly used but typically provides only short-term relief, as it does not address the underlying tumor.36 Secondary treatments include systemic chemotherapy and locally directed therapies such as surgical resection, liver transplantation, and trans-arterial chemoembolization (TACE), with the latter three being more common.2 TACE targets the liver’s dual blood supply system by blocking blood flow to the tumor while sparing normal tissue. Some studies have shown that TACE improves six-month survival in HCC patients and has been used to treat HCC-induced hypoglycemia.36

Learning points/take-home messages

  • Metastatic insulinoma is a rare condition that can be challenging to diagnose, particularly when the primary tumor is small and easily overlooked. Immunohistochemical markers and functional imaging, such as positron emission tomography-DOTATATE, are crucial in identifying the underlying etiology of the tumor.

  • The clinical presentation of hypoglycemia remains relatively uniform, irrespective of etiology. Therefore, clinicians must maintain a high index of suspicion for paraneoplastic causes of hypoglycemia.

  • Neuroendocrine tumors are important differentials to consider when analyzing the pathology of well-differentiated hepatocellular carcinoma, especially when presenting with isolated liver lesions.

Conclusions

Metastatic insulinoma is a rare condition that can be challenging to diagnose. Although hypoglycemia has multiple potential causes, its clinical presentation remains relatively uniform, requiring clinicians to maintain a high index of suspicion for less common etiologies such as insulinoma. The rarity of this pathology increases the risk of misdiagnosis, especially when the primary pancreatic tumor is too small to be detected on initial imaging. Therefore, a comprehensive approach incorporating multiple diagnostic modalities is essential to distinguish insulinoma from other malignancies with similar presentations and to ensure appropriate treatment selection.

Declarations

Acknowledgement

None.

Ethical statement

The study was performed in accordance with the ethical standards of the institutions with which we are affiliated and with the Declaration of Helsinki (as revised in 2024). Written informed consent was obtained from the patient for publication of this case report. All imaging and pathology materials were fully de-identified in accordance with journal guidelines and ethical standards.

Funding

None.

Conflict of interest

Dr. Devika Rao holds stock in Merck and Novartis. There are no other conflicts of interests.

Authors’ contributions

Conception and design (DS, DR), literature review (JT, DS), collection and assembly of data (JT, DR), pathology imaging and interpretation (EV), radiology imaging and interpretation (SC), care of patient described (DR), and manuscript writing (DS, DR, JT, EV, SC). All authors have approved the final version and publication of the manuscript.

References

  1. Huang JS, Chang PH. Refractory hypoglycemia controlled by systemic chemotherapy with advanced hepatocellular carcinoma: A case report. Oncol Lett 2016;11(1):898-900 View Article PubMed/NCBI
  2. Yu J, Liang X, Chen Y, Huang F, Fan W, Xue J, et al. Hepatocellular carcinoma with worsened hypoglycemia after transarterial chemoembolization: a case report and systematic review. Int J Clin Exp Pathol 2020;13(12):3167-3173
  3. Sada A, Glasgow AE, Vella A, Thompson GB, McKenzie TJ, Habermann EB. Malignant Insulinoma: A Rare Form of Neuroendocrine Tumor. World J Surg 2020;44(7):2288-2294 View Article PubMed/NCBI
  4. Thomas J, Kumar SC. Nonislet cell tumor hypoglycemia. Case Rep Endocrinol 2013;2013:308086 View Article PubMed/NCBI
  5. Vietti Violi N, Lewis S, Hectors S, Said D, Taouli B. Radiological Diagnosis and Characterization of HCC. In: Hoshida Y (ed). Hepatocellular Carcinoma: Translational Precision Medicine Approaches. Cham (CH): Humana Press; 2019 View Article PubMed/NCBI
  6. Elsayes KM, Kielar AZ, Chernyak V, Morshid A, Furlan A, Masch WR, et al. LI-RADS: a conceptual and historical review from its beginning to its recent integration into AASLD clinical practice guidance. J Hepatocell Carcinoma 2019;6:49-69 View Article PubMed/NCBI
  7. Taboada RG, Riechelmann RP, Mauro C, Barros M, Hubner RA, McNamara MG, et al. Everolimus-Induced Pneumonitis in Patients with Neuroendocrine Neoplasms: Real-World Study on Risk Factors and Outcomes. Oncologist 2022;27(2):97-103 View Article PubMed/NCBI
  8. Lin H, Longacre TA, Khandelwal VH, Balise RR, Kunz PL. Diagnostic discrepancies between second-opinion and referring pathology reports of neuroendocrine tumors. J Clin Oncol 2013;31(15_suppl):e15011-e15011 View Article
  9. Xu B, Ghossein R, Ho A, Viswanathan K, Khimraj A, Saliba M, et al. Diagnostic discrepancy in second opinion reviews of primary epithelial neoplasms involving salivary gland: An 11-year experience from a tertiary referral center focusing on useful pathologic approaches and potential clinical impacts. Head Neck 2021;43(8):2497-2509 View Article PubMed/NCBI
  10. Matasar MJ, Shi W, Silberstien J, Lin O, Busam KJ, Teruya-Feldstein J, et al. Expert second-opinion pathology review of lymphoma in the era of the World Health Organization classification. Ann Oncol 2012;23(1):159-166 View Article PubMed/NCBI
  11. Salazar R, Wiedenmann B, Rindi G, Ruszniewski P. ENETS 2011 Consensus Guidelines for the Management of Patients with Digestive Neuroendocrine Tumors: an update. Neuroendocrinology 2012;95(2):71-73 View Article PubMed/NCBI
  12. Lipitz-Snyderman A, Chimonas S, Mailankody S, Kim M, Silva N, Kriplani A, et al. Clinical value of second opinions in oncology: A retrospective review of changes in diagnosis and treatment recommendations. Cancer Med 2023;12(7):8063-8072 View Article PubMed/NCBI
  13. Arista-Nasr J, Fernández-Amador JA, Martínez-Benítez B, de Anda-González J, Bornstein-Quevedo L. Neuroendocrine metastatic tumors of the liver resembling hepatocellular carcinoma. Ann Hepatol 2010;9(2):186-191 PubMed/NCBI
  14. Prosser JM, Dusenbery D. Histocytologic diagnosis of neuroendocrine tumors in the liver: a retrospective study of 23 cases. Diagn Cytopathol 1997;16(5):383-391 View Article PubMed/NCBI
  15. Mathur A, Gorden P, Libutti SK. Insulinoma. Surg Clin North Am 2009;89(5):1105-1121 View Article PubMed/NCBI
  16. Desimone ME, Weinstock RS. Hypoglycemia. In: Feingold KR, Ahmed SF, Anawalt B, Blackman MR, Boyce A, Chrousos G, et al (eds) . Endotext [Internet]. South Dartmouth (MA): MDText.com, Inc; 2000 PubMed/NCBI
  17. Hartke J, Johnson M, Ghabril M. The diagnosis and treatment of hepatocellular carcinoma. Semin Diagn Pathol 2017;34(2):153-159 View Article PubMed/NCBI
  18. Mathew TK, Zubair M, Tadi P. Blood Glucose Monitoring. StatPearls [Internet]. Treasure Island (FL): StatPearls Publishing; 2023
  19. Insulin: Reference Range, Interpretation, Collection and Panels. 2023 May 26 [cited 2023 Sep 23]; Available from: https://emedicine.medscape.com/article/2089224-ove
  20. Service FJ, O’Brien PC, McMahon MM, Kao PC. C-peptide during the prolonged fast in insulinoma. J Clin Endocrinol Metab 1993;76(3):655-659 View Article PubMed/NCBI
  21. Mayo Clinic Laboratories. PINS - Overview: Proinsulin, Plasma [Internet]. [cited 2023 Sep 23]. Available from: https://www.mayocliniclabs.com/test-catalog/overview/80908
  22. Peng SY, Chen WJ, Lai PL, Jeng YM, Sheu JC, Hsu HC. High alpha-fetoprotein level correlates with high stage, early recurrence and poor prognosis of hepatocellular carcinoma: significance of hepatitis virus infection, age, p53 and beta-catenin mutations. Int J Cancer 2004;112(1):44-50 View Article PubMed/NCBI
  23. Colli A, Fraquelli M, Casazza G, Massironi S, Colucci A, Conte D, et al. Accuracy of ultrasonography, spiral CT, magnetic resonance, and alpha-fetoprotein in diagnosing hepatocellular carcinoma: a systematic review. Am J Gastroenterol 2006;101(3):513-523 View Article PubMed/NCBI
  24. Hanif H, Ali MJ, Susheela AT, Khan IW, Luna-Cuadros MA, Khan MM, et al. Update on the applications and limitations of alpha-fetoprotein for hepatocellular carcinoma. World J Gastroenterol 2022;28(2):216-229 View Article PubMed/NCBI
  25. Hirshberg B, Cochran C, Skarulis MC, Libutti SK, Alexander HR, Wood BJ, et al. Malignant insulinoma: spectrum of unusual clinical features. Cancer 2005;104(2):264-272 View Article PubMed/NCBI
  26. Lam K, Lo C, Wat M, Fan ST. Malignant insulinoma with hepatoid differentiation: a unique case with alpha-fetoprotein production. Endocr Pathol 2001;12(3):351-354 View Article PubMed/NCBI
  27. Shimoike T, Goto M, Nakano I, Sato T, Migita Y, Ito T, et al. Acinar-islet cell carcinoma presenting as insulinoma. J Gastroenterol 1997;32(6):830-835 View Article PubMed/NCBI
  28. Okabayashi T, Shima Y, Sumiyoshi T, Kozuki A, Ito S, Ogawa Y, et al. Diagnosis and management of insulinoma. World J Gastroenterol 2013;19(6):829-837 View Article PubMed/NCBI
  29. Nockel P, Babic B, Millo C, Herscovitch P, Patel D, Nilubol N, et al. Localization of Insulinoma Using 68Ga-DOTATATE PET/CT Scan. J Clin Endocrinol Metab 2017;102(1):195-199 View Article PubMed/NCBI
  30. Graham RP, Shrestha B, Caron BL, Smyrk TC, Grogg KL, Lloyd RV, et al. Islet-1 is a sensitive but not entirely specific marker for pancreatic neuroendocrine neoplasms and their metastases. Am J Surg Pathol 2013;37(3):399-405 View Article PubMed/NCBI
  31. Hackeng WM, Schelhaas W, Morsink FHM, Heidsma CM, van Eeden S, Valk GD, et al. Alternative Lengthening of Telomeres and Differential Expression of Endocrine Transcription Factors Distinguish Metastatic and Non-metastatic Insulinomas. Endocr Pathol 2020;31(2):108-118 View Article PubMed/NCBI
  32. Toyoda H, Kumada T, Tada T, Sone Y, Kaneoka Y, Maeda A. Tumor Markers for Hepatocellular Carcinoma: Simple and Significant Predictors of Outcome in Patients with HCC. Liver Cancer 2015;4(2):126-136 View Article PubMed/NCBI
  33. Huang J, Chen G, Li H. An Update on the Role of Immunohistochemistry in the Evaluation of Pancreatic/Liver/Gastrointestinal Luminal Tract Disorders. Arch Pathol Lab Med 2023;147(12):1374-1382 View Article PubMed/NCBI
  34. Golabi P, Fazel S, Otgonsuren M, Sayiner M, Locklear CT, Younossi ZM. Mortality assessment of patients with hepatocellular carcinoma according to underlying disease and treatment modalities. Medicine (Baltimore) 2017;96(9):e5904 View Article PubMed/NCBI
  35. Moctezuma-Velázquez C, Lewis S, Lee K, Amodeo S, Llovet JM, Schwartz M, et al. Non-invasive imaging criteria for the diagnosis of hepatocellular carcinoma in non-cirrhotic patients with chronic hepatitis B. JHEP Rep 2021;3(6):100364 View Article PubMed/NCBI
  36. Sharma M, Reddy DN, Kiat TC. Refractory Hypoglycemia Presenting as First Manifestation of Advanced Hepatocellular Carcinoma. ACG Case Rep J 2014;2(1):50-52 View Article PubMed/NCBI

About this Article

Cite this article
Shah D, Turfa J, Vaikani E, Chhabra S, Rao D. Diagnosing Hypoglycemia–from Liver Cancer to Insulinoma: A Case Report. J Transl Gastroenterol. Published online: Jun 11, 2025. doi: 10.14218/JTG.2025.00016.
Copy        Export to RIS        Export to EndNote
Article History
Received Revised Accepted Published
March 21, 2025 May 14, 2025 May 20, 2025 June 11, 2025
DOI http://dx.doi.org/10.14218/JTG.2025.00016
  • Journal of Translational Gastroenterology
  • eISSN 2994-8754
Back to Top

Diagnosing Hypoglycemia–from Liver Cancer to Insulinoma: A Case Report

Drashya Shah, Jawad Turfa, Efsevia Vaikani, Shalini Chhabra, Devika Rao
  • Reset Zoom
  • Download TIFF