v
Search
Advanced

Publications > Journals > Journal of Clinical and Translational Pathology> Article Full Text

  • OPEN ACCESS

A Clinicopathologic Analysis of 740 Endometrial Polyps: Risk of Premalignant Changes and Malignancy

  • Swati Bhardwaj,
  • Shenyu Wang and
  • Yuxin Liu* 
 Author information 

Abstract

Background and objectives

Endometrial polyp (EMP) is one of the most common diagnoses in the evaluation of women with abnormal uterine bleeding. Understanding the malignancy risk associated with EMPs and related risk factors is essential for guiding both pathology practice and clinical management. This study aimed to explore risk factors for malignancy in EMPs.

Methods

The pathology database was searched for women diagnosed with EMP between 2021 and 2022. Patient age, polyp size, background endometrium, recurrence, and (if applicable) cancer types were recorded. Immunohistochemistry (IHC) for p53 and p16 was performed on selected cases. Risk factors for malignancy were analyzed using Chi-square and analysis of variance tests.

Results

Among the 740 EMP cases analyzed, 94% were benign, 2% were premalignant, and 4% were malignant. The median patient age was 54 years (range: 19–92). Minimal serous carcinoma (n = 14, 2%) was the most prevalent cancer. Among the 52 cases with p53 IHC, 38 were diagnosed as benign, supported by a wild-type p53 pattern, while 14 were diagnosed as serous carcinoma, supported by a mutant p53 pattern. Malignant polyps were found to be significantly associated with advanced age and malignant background endometrium (p < 0.001). Large size and recurrence were not identified as significant risk factors.

Conclusions

EMPs carry a low risk of malignancy, which is not significantly influenced by the polyp’s size or its recurrence. Our findings highlight the significantly elevated risk of malignancy in elderly patients and the importance of p53 IHC in improving diagnostic accuracy.

Keywords

Endometrial polyp, Uterine serous carcinomas, p53 immunohistochemistry, Abnormal uterine bleeding, Background endometrium, Polypectomy, Malignancy risk, Recurrence

Introduction

Endometrial polyps (EMPs) are defined as localized, polypoid overgrowths of endometrial glands and stroma that project into the uterine cavity. For women undergoing evaluation of abnormal uterine bleeding, the detection of EMPs is a common outcome, with their prevalence reported to range from 13% to 51%.1–3 While the vast majority of EMPs are benign and not classified as precancerous lesions—making polypectomy a widely accepted, safe management strategy—it is important to note that there is nonetheless a low incidence of malignancy associated with EMPs, with the highest reported rate being 13%.4–6 Uterine serous carcinoma and serous endometrial intraepithelial carcinoma (SEIC), its in-situ variant, emerge as the most common histological types among malignancies found in polyps. In some cases, these malignancies are remarkably small and exclusively limited to the polyp’s surface epithelium.7–10

Risk factors associated with malignant polyps have been reported, such as advanced age, postmenopausal status, hypertension, and obesity.1,4,6,11,12 The malignancy potential of large polyps or recurrent polyps remains uncertain.13–15 Recurrent EMP is a fairly common clinical presentation, with reported rates ranging from 2.5% to 43% in various studies, and has been associated with factors such as age, body mass index, hyperplasia, endometriosis, as well as the presence of large and multiple polyps.12,15,16 Several studies have suggested a possible association between recurrent polyps and adenosarcoma; nevertheless, it remains a subject of ongoing debate and requires additional investigation.17,18 Wethington et al.18 and Ferrazzi et al.19 found a significant correlation between larger polyps and malignancy, while Savelli et al.12 and Lasmar et al.20 reported no statistically significant association. Regarding recurrence, some authors, such as Lee et al.,21 have noted higher recurrence in tamoxifen-treated patients or younger women, whereas Ciscato et al.22 found no consistent clinical predictors.

In this study, we undertook a comprehensive clinicopathological analysis of a large cohort of women diagnosed with EMPs. Our primary aims were to ascertain the incidence of malignancy in EMPs and to elucidate the risk factors associated with such malignancy. Special emphasis was placed on analyzing large and recurrent polyps for their potential risks.

Materials and methods

Case selection and consensus review

Institutional Review Board approval was received from the Mount Sinai School of Medicine for conducting this study. The pathology database from the Mount Sinai Health System was searched for “endometrial polyp” between January 2021 and December 2022 in endometrial biopsy, curettage, and hysterectomy specimens. Pathology reports were reviewed to record the following parameters: patient age, polyp size, histological diagnosis of the polyp as well as non-polyp background endometrium, history of polyp recurrence (defined as the presence of a polyp in two or more separate samples), and, if applicable, cancer type and size. All cases with premalignant or malignant diagnoses were independently reviewed by two authors (SW and YL). The review included examination of hematoxylin and eosin-stained slides and immunohistochemistry (IHC) when applicable. Any discrepancies in interpretation were resolved through consensus review with a third pathologist. The consensus diagnoses reached through this process were used for analysis in the study.

IHC and interpretation

IHC for p53 alone or in combination with p16 was performed on cases displaying histological features that raised suspicion of serous carcinoma or SEIC. IHC staining for p53 was performed using the monoclonal antibody clone DO-7 (catalog #NCL-L-p53-DO7; Leica Biosystems, Newcastle, UK) on a Ventana Benchmark LT automated immunostainer (Ventana Medical Systems, Tucson, AZ), following the manufacturer’s standard protocol. Appropriate positive and negative controls were included. IHC was interpreted according to established guidelines. Specifically, p53 was scored using the International Society of Gynecological Pathologists criteria: strong diffuse nuclear staining in >80% of cells or complete absence was interpreted as a mutant pattern, while focal weak-to-moderate nuclear staining was considered wild-type.23,24

IHC for p16 was performed using a mouse monoclonal antibody clone E6H4 (catalog #725-4713; Roche, Indianapolis, IN). A positive result was defined as nuclear staining with or without cytoplasmic staining. The p16 result was considered block-positive if it showed strong, diffuse, continuous nuclear and cytoplasmic staining, as defined by Yemelyanova et al.25,26

Statistical analyses

All statistical analyses were conducted using STATA version 13 (StataCorp, College Station, TX). Chi-square tests were used to evaluate categorical variables, such as diagnosis and recurrence, while analysis of variance or the nonparametric Kruskal-Wallis test was applied to continuous variables, such as age and polyp size, following standard comparative analysis practice. Missing data were handled by case-wise exclusion; for example, polyp size was documented in 102 cases (14% of the cohort), and size-related analyses were restricted to those with reported measurements. A p < 0.001 was considered statistically significant.

Results

Clinicopathologic characteristics

This study included 740 women who were diagnosed with EMP in endometrial biopsy and curettage samples (n = 563, 76%) or hysterectomy specimens (n = 177, 24%). The median age was 54 years, ranging from 19 to 92 years. The majority (∼70%) had a provided clinical history of abnormal uterine bleeding. Approximately 20% had a clinical impression of EMP. Polyp size was measured in 102 cases, and the median size was 1.2 cm (range: 0.1 cm to 11 cm). A history of recurrent polyps was recorded in 191 patients (26%). Background endometrium was recorded as benign (n = 670, 91%), pre-malignant (n = 38, 5%), and malignant (n = 32, 4%).

Histological diagnoses

Histological diagnoses of polyps were benign (n = 699, 94%), pre-malignant (n = 12, 2%), and malignant (n = 29, 4%). Benign polyps encompassed polyps with descriptive diagnoses such as focal reactive atypia and focal abnormal growth pattern. The pre-malignant polyps included polyps with atypical complex hyperplasia (n = 11) and atypical polypoid adenoma (n = 1). Malignancies were identified as endometrioid adenocarcinoma (n = 7), serous carcinoma (n = 6), SEIC (n = 8), carcinosarcoma (n = 3), and adenosarcoma (n = 5). The size of malignancies within the polyps ranged from 1 mm to 9 cm.

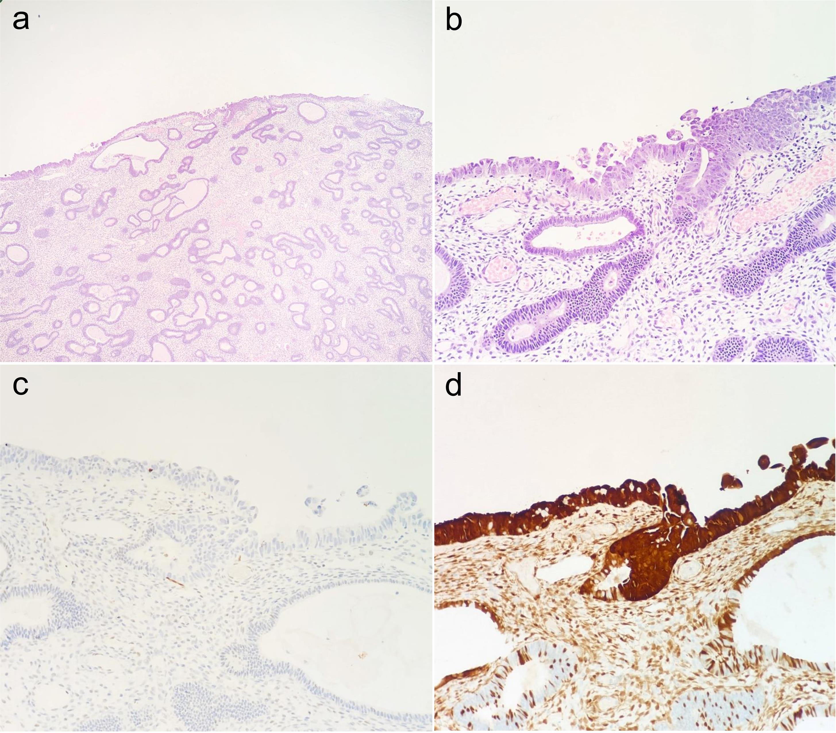
Fifty-two polyps underwent p53 IHC due to the presence of cytological atypia observed on hematoxylin and eosin stain. Among the 52 polyps tested, 38 showed a wild-type p53 pattern that supported the interpretation of benign (consistent with reactive atypia), whereas 14 showed a mutant pattern that supported the interpretation of serous carcinoma/SEIC (Fig. 1a and b). A p53 null mutation was observed in four cases of serous carcinoma (Fig. 1c) and two cases of SEIC, all of which exhibited block-positive p16 (Fig. 1d).

A case of serous endometrial intraepithelial carcinoma (SEIC) on the surface of an endometrial polyp.
Fig. 1  A case of serous endometrial intraepithelial carcinoma (SEIC) on the surface of an endometrial polyp.

(a) An endometrial polyp with focal cytological atypia noted on the surface (H&E, 4×). (b) The surface epithelial cells show nuclear hyperchromasia, coarse chromatin, and prominent nucleoli, morphologically consistent with SEIC (H&E, 20×). (c) p53 immunostaining reveals complete absence of staining, indicative of a null mutation (p53 IHC, 20×). (d) p16 immunostaining shows block-positive staining (p16 IHC, 20×). H&E, hematoxylin and eosin; IHC, immunohistochemistry.

Factors associated with malignancy and recurrence

Clinicopathological factors were compared among women with benign, premalignant, and malignant polyps (Table 1). Our analysis revealed a statistically significant association between malignant polyps and both age and the presence of a malignant background endometrium (p < 0.001). However, the relationship between malignant polyps and variables such as polyp size or recurrence history did not reach statistical significance.

Table 1

Clinicopathological characteristics by histological diagnosis of endometrial polyp

CharacteristicsEntire cohort (n = 740)Benign polyp (n = 698)Premalignant polyp (n = 13)Malignant polyp (n = 29)p-value
Age (mean, range), years54 (19–92)53 (19–88)54 (25–85)69 (38–92)< 0.001*
Polyp size (median, range), cm1.2 (0.1–11)1.2 (0.2–11)3.1 (0.5–3.5)2 (0.5–10)0.2
Background endometriumBenign670 (90.5%)647 (92.7%)7 (53.8%)16 (55.2%)< 0.001
Premalignant38 (5.1%)30 (4.3%)5 (38.5%)3 (10.3%)
Malignant32 (4.3%)21 (3.0%)1 (7.7%)10 (34.5%)
History of recurrent polyp191 (25.8%)180 (25.8%)8 (61.5%)3 (10.3%)0.02

Upon further comparison of patients with and without a history of recurrent polyps (Table 2), recurrence was found to be significantly associated with age and the presence of a premalignant background endometrium (p < 0.01). However, there was no significant association between recurrence and factors such as polyp size or the presence of premalignant or malignant lesions within the polyp.

Table 2

Clinicopathological characteristics by history of polyp recurrence

CharacteristicsPolyp recurrence
p-value
Absent (n = 549)Present (n = 191)
Age (mean, range), years52 (19–92)55 (31–86)0.02
Polyp size (median, range), cm1.4 (0.2–10)1.4 (0.3–11)0.5
Polyp histologyPremalignant9 (1.6%)7 (3.7%)0.1
Malignant23 (4.2%)4 (2.1%)0.1
Background endometriumPremalignant22 (4.0%)18 (9.4%)0.004
Malignant28 (5.1%)6 (3.1%)0.2

Discussion

Our study involved a comprehensive analysis of a large cohort of women diagnosed with EMPs, focusing on the evaluation of various clinical and pathological factors that may be associated with an increased risk of malignancy. Key findings include: (1) premalignancy and malignancy rates in EMPs were found to be 2% and 4%, respectively; (2) advanced age emerged as a significant risk factor for the development of malignancy within polyps; (3) the size of the polyp and a history of recurrence were not associated with a higher risk of malignancy.

Previous studies have reported a broad range of malignancy rates associated with EMP, ranging from none to as high as 15%.4,18,27–29 This variation can largely be attributed to differences in cohort demographics and risk factors across studies. Our findings, indicating a malignancy rate of 4%, are in close concordance with the 2.7% rate reported in the meta-analysis by Uglietti et al.4 Our patient population mainly consisted of perimenopausal women (median age 54) presenting with symptoms of abnormal uterine bleeding. Despite the relatively low overall risk of malignancy, the importance of not underestimating the malignancy potential in these cases cannot be overstated. Our findings underscore the necessity for thorough evaluations of EMPs within this specific patient group.

The most prevalent malignancies we detected in EMP were serous carcinoma and its in-situ variant, SEIC. In these cases, the background endometrium primarily showed benign and atrophic features, which is consistent with the current understanding that serous carcinoma has a tendency to develop within polyps without involving the surrounding endometrium.30

Carcinogenesis within EMPs has been proposed to occur through several possible mechanisms. Sahoo et al. demonstrated that even histologically benign EMPs may carry low-frequency cancer-associated mutations, which supports the hypothesis that EMPs arise from epithelium with latent oncogenic potential, particularly in postmenopausal women.27 Hormonal imbalances within EMPs, resulting from their abnormal vascularization, can disrupt normal cellular processes and promote the growth of malignant cells.31 The absence of menstrual shedding in polyps may contribute to the retention of age-related mutations.32

In our study, p53 IHC emerged as the most frequently applied ancillary tool, utilized in approximately 20% of the cases. These instances predominantly involved a differential diagnosis between SEIC and reactive cytological atypia. Given the nature of EMPs as protruding lesions, they are prone to erosion and torsion, leading to ischemia, reactive, and reparative responses in the surface epithelia. Such responses often manifest as significant cytological atypia alongside increased mitotic activity, posing a diagnostic challenge, especially in polyps from postmenopausal women, who are at an elevated risk for serous carcinoma. The detection of a wild-type p53 pattern within these atypical epithelia was particularly instrumental in ruling out SEIC. This approach proved effective in our cohort, with 73% of polyps initially considered for SEIC ultimately classified as benign upon the application of p53 IHC. Additionally, our findings highlighted the value of incorporating p16 staining, which was particularly useful in interpreting lesions with ambiguous p53 immunostain results or null mutations.

In our comprehensive analysis of risk factors for malignant polyps, we specifically investigated two clinically relevant scenarios: the occurrence of large polyps and the recurrence of polyps. Within our study cohort, we observed a wide range of polyp sizes, with the largest one measuring 11 cm. Polyp recurrence was relatively frequent, with 26% of our participants experiencing it. Contrary to initial hypotheses, our analysis did not establish a significant correlation between the size of the polyp or its recurrence and the risk of malignancy. Polyp recurrence has previously been studied by Ciscato et al.,22 who observed a recurrence rate of 5.6–6.9% with no increased risk of malignancy. In contrast, a significant association was identified between advanced age and the presence of malignant polyps, aligning with the epidemiological trend of endometrial cancer. According to the Surveillance, Epidemiology, and End Results database, the incidence of endometrial cancer increases with age, particularly peaking in women aged 55 to 64.33 Our findings underscore the importance of considering patient age in the clinical management and risk assessment of women with EMPs.

In addition, we observed a significant correlation between the histology of the polyp and the background endometrium. Nearly half of the premalignant and malignant polyps in our cohort exhibited concurrent premalignant and malignant histology in the background endometrium. This finding highlights the utility of sampling the non-polyp endometrium during polypectomy, which is not always a routine clinical practice. This approach allows for a more comprehensive assessment of the uterine environment and greatly aids in the diagnosis.

Limitations of this study include its retrospective design, lack of centralized slide review across all cases, and incomplete data for certain variables such as polyp size. In addition, long-term follow-up for recurrence was limited. Despite these limitations, the large sample size and detailed clinicopathologic analysis strengthen the study’s contributions to current understanding of malignancy risk associated with EMP.

Conclusions

Our investigation has elucidated that while EMPs carry a low risk for malignancy, this risk is notably more pronounced in the elderly female population. Contrary to what might be expected, our findings reveal that neither the size of the polyps nor their recurrence serves as a reliable predictor for an increased malignancy risk. These findings would aid in the formulation of more informed clinical decisions regarding the management and follow-up care of women diagnosed with EMPs. Our findings further underscore the importance of routinely sampling the background endometrium during polypectomy, particularly in postmenopausal patients, to identify occult premalignant lesions. In patients over 65 years of age, where malignancy risk is heightened, we recommend considering p53 IHC and/or additional endometrial sampling to aid in early detection of serous carcinoma. Vigilance in examining the background endometrium enhances the diagnostic utility of EMP evaluation and informs appropriate patient management.

Declarations

Acknowledgement

None.

Ethical statement

This study was approved by the Institutional Review Board of the Icahn School of Medicine at Mount Sinai (Study ID: 22-00666). All procedures were performed in accordance with institutional guidelines and the ethical standards of the responsible committee on human experimentation, as well as with the 2024 Declaration of Helsinki and its later amendments. The requirement for informed consent was waived due to the retrospective nature of the study and the use of de-identified data.

Data sharing statement

The dataset used in support of the findings of this study is available from the corresponding author at yuxin.liu@mountsinai.org upon request.

Funding

None.

Conflict of interest

None.

Authors’ contributions

Study concept and design (YL), acquisition of data (SB), analysis and interpretation of data (SB, YL), drafting of the manuscript (SB, SW), critical revision of the manuscript for important intellectual content (SW, YL). All authors made significant contributions to this study and approved the final manuscript.

References

  1. Baiocchi G, Manci N, Pazzaglia M, Giannone L, Burnelli L, Giannone E, et al. Malignancy in endometrial polyps: a 12-year experience. Am J Obstet Gynecol 2009;201(5):462.e1-462.e4 View Article PubMed/NCBI
  2. Kurman RJ, Mazur MT. Benign diseases of the endometrium. In: Kurman RJ (ed). Blaustein’s Pathology of the Female Genital Tract. New York, NY: Springer; 1994:367-409 View Article
  3. Dreisler E, Stampe Sorensen S, Ibsen PH, Lose G. Prevalence of endometrial polyps and abnormal uterine bleeding in a Danish population aged 20-74 years. Ultrasound Obstet Gynecol 2009;33(1):102-108 View Article PubMed/NCBI
  4. Uglietti A, Buggio L, Farella M, Chiaffarino F, Dridi D, Vercellini P, et al. The risk of malignancy in uterine polyps: A systematic review and meta-analysis. Eur J Obstet Gynecol Reprod Biol 2019;237:48-56 View Article PubMed/NCBI
  5. Orvieto R, Bar-Hava I, Dicker D, Bar J, Ben-Rafael Z, Neri A. Endometrial polyps during menopause: characterization and significance. Acta Obstet Gynecol Scand 1999;78(10):883-886 PubMed/NCBI
  6. Hileeto D, Fadare O, Martel M, Zheng W. Age dependent association of endometrial polyps with increased risk of cancer involvement. World J Surg Oncol 2005;3(1):8 View Article PubMed/NCBI
  7. Yadav S, Agarwal A, Mokal S, Menon S, Rekhi B, Deodhar K. Serous endometrial intraepithelial carcinoma: A clinico-pathological study of 48 cases and its association with endometrial polyps - A tertiary care oncology centre experience. Eur J Obstet Gynecol Reprod Biol 2021;264:168-172 View Article PubMed/NCBI
  8. Wheeler DT, Bell KA, Kurman RJ, Sherman ME. Minimal uterine serous carcinoma: diagnosis and clinicopathologic correlation. Am J Surg Pathol 2000;24(6):797-806 View Article PubMed/NCBI
  9. Assem H, Rottmann D, Finkelstein A, Wang M, Ratner E, Santin AD, et al. Minimal uterine serous carcinoma and endometrial polyp: a close clinicopathological relationship. Hum Pathol 2021;118:1-8 View Article PubMed/NCBI
  10. Eken MK, Kaygusuz EI, IIhan G, Devranoglu B, Cogendez E, Keyif B, et al. Endometrial malignancies arising on endometrial polyps and precursor lesions. Eur J Gynaecol Oncol 2016;37(6):827-832 PubMed/NCBI
  11. Giordano G, Gnetti L, Merisio C, Melpignano M. Postmenopausal status, hypertension and obesity as risk factors for malignant transformation in endometrial polyps. Maturitas 2007;56(2):190-197 View Article PubMed/NCBI
  12. Savelli L, De Iaco P, Santini D, Rosati F, Ghi T, Pignotti E, et al. Histopathologic features and risk factors for benignity, hyperplasia, and cancer in endometrial polyps. Am J Obstet Gynecol 2003;188(4):927-931 View Article PubMed/NCBI
  13. Ben-Arie A, Goldchmit C, Laviv Y, Levy R, Caspi B, Huszar M, et al. The malignant potential of endometrial polyps. Eur J Obstet Gynecol Reprod Biol 2004;115(2):206-210 View Article PubMed/NCBI
  14. Gregoriou O, Konidaris S, Vrachnis N, Bakalianou K, Salakos N, Papadias K, et al. Clinical parameters linked with malignancy in endometrial polyps. Climacteric 2009;12(5):454-458 View Article PubMed/NCBI
  15. Paradisi R, Rossi S, Scifo MC, Dall‘O’ F, Battaglia C, Venturoli S. Recurrence of endometrial polyps. Gynecol Obstet Invest 2014;78(1):26-32 View Article PubMed/NCBI
  16. Cea García J, Jiménez Caraballo A, Ríos Vallejo MDM, Zapardiel I. Retrospective Cohort Study on the Symptomatic Recurrence Pattern after Hysteroscopic Polypectomy. Gynecol Minim Invasive Ther 2020;9(4):209-214 View Article PubMed/NCBI
  17. Howitt BE, Quade BJ, Nucci MR. Uterine polyps with features overlapping with those of Müllerian adenosarcoma: a clinicopathologic analysis of 29 cases emphasizing their likely benign nature. Am J Surg Pathol 2015;39(1):116-126 View Article PubMed/NCBI
  18. Wethington SL, Herzog TJ, Burke WM, Sun X, Lerner JP, Lewin SN, et al. Risk and predictors of malignancy in women with endometrial polyps. Ann Surg Oncol 2011;18(13):3819-3823 View Article PubMed/NCBI
  19. Ferrazzi E, Zupi E, Leone FP, Savelli L, Omodei U, Moscarini M, et al. How often are endometrial polyps malignant in asymptomatic postmenopausal women? A multicenter study. Am J Obstet Gynecol 2009;200(3):235.e1-235.e6 View Article PubMed/NCBI
  20. Lasmar RB, Barrozo PR, Dias R, Oliveira MA. Submucous myomas: a new presurgical classification to evaluate the viability of hysteroscopic surgical treatment—preliminary report. J Minim Invasive Gynecol 2005;12(4):308-311 View Article PubMed/NCBI
  21. Lee SC, Kaunitz AM, Sanchez-Ramos L, Rhatigan RM. The oncogenic potential of endometrial polyps: a systematic review and meta-analysis. Obstet Gynecol 2010;116(5):1197-1205 View Article PubMed/NCBI
  22. Ciscato A, Zare SY, Fadare O. The significance of recurrence in endometrial polyps: a clinicopathologic analysis. Hum Pathol 2020;100:38-44 View Article PubMed/NCBI
  23. Köbel M, Ronnett BM, Singh N, Soslow RA, Gilks CB, McCluggage WG. Interpretation of P53 Immunohistochemistry in Endometrial Carcinomas: Toward Increased Reproducibility. Int J Gynecol Pathol 2019;38(Suppl 1):S123-S131 View Article PubMed/NCBI
  24. Rabban JT, Gilks CB, Malpica A, Matias-Guiu X, Mittal K, Mutter GL, et al. Issues in the Differential Diagnosis of Uterine Low-grade Endometrioid Carcinoma, Including Mixed Endometrial Carcinomas: Recommendations from the International Society of Gynecological Pathologists. Int J Gynecol Pathol 2019;38(Suppl 1):S25-S39 View Article PubMed/NCBI
  25. Yemelyanova A, Ji H, Shih IeM, Wang TL, Wu LS, Ronnett BM. Utility of p16 expression for distinction of uterine serous carcinomas from endometrial endometrioid and endocervical adenocarcinomas: immunohistochemical analysis of 201 cases. Am J Surg Pathol 2009;33(10):1504-1514 View Article PubMed/NCBI
  26. Chiesa-Vottero AG, Malpica A, Deavers MT, Broaddus R, Nuovo GJ, Silva EG. Immunohistochemical overexpression of p16 and p53 in uterine serous carcinoma and ovarian high-grade serous carcinoma. Int J Gynecol Pathol 2007;26(3):328-333 View Article PubMed/NCBI
  27. Sahoo SS, Aguilar M, Xu Y, Lucas E, Miller V, Chen H, et al. Endometrial polyps are non-neoplastic but harbor epithelial mutations in endometrial cancer drivers at low allelic frequencies. Mod Pathol 2022;35(11):1702-1712 View Article PubMed/NCBI
  28. Kassab A, Trotter P, Fox R. Risk of cancer in symptomatic postmenopausal women with endometrial polyps at scan. J Obstet Gynaecol 2008;28(5):522-525 View Article PubMed/NCBI
  29. Hui P. Endometrial Polyp in Postmenopausal Women: An Epicenter for the Development of Endometrial Serous Carcinoma. Arch Pathol Lab Med 2023;147(4):413-417 View Article PubMed/NCBI
  30. Hui P, Kelly M, O’Malley DM, Tavassoli F, Schwartz PE. Minimal uterine serous carcinoma: a clinicopathological study of 40 cases. Mod Pathol 2005;18(1):75-82 View Article PubMed/NCBI
  31. Shor S, Pansky M, Maymon R, Vaknin Z, Smorgick N. Prediction of Premalignant and Malignant Endometrial Polyps by Clinical and Hysteroscopic Features. J Minim Invasive Gynecol 2019;26(7):1311-1315 View Article PubMed/NCBI
  32. Reinikka S, Mehine M, von Nandelstadh P, Ahvenainen T, Khamaiseh S, Nousiainen S, et al. Genomic landscape of endometrial polyps. Genome Med 2025;17(1):132 View Article PubMed/NCBI
  33. Gao S, Wang J, Li Z, Wang T, Wang J. Global Trends in Incidence and Mortality Rates of Endometrial Cancer Among Individuals Aged 55 years and Above From 1990 to 2021: An Analysis of the Global Burden of Disease. Int J Womens Health 2025;17:651-662 View Article PubMed/NCBI

About this Article

Cite this article
Bhardwaj S, Wang S, Liu Y. A Clinicopathologic Analysis of 740 Endometrial Polyps: Risk of Premalignant Changes and Malignancy. J Clin Transl Pathol. Published online: Dec 19, 2025. doi: 10.14218/JCTP.2025.00013.
Copy        Export to RIS        Export to EndNote
Article History
Received Revised Accepted Published
February 20, 2025 July 29, 2025 November 4, 2025 December 19, 2025
DOI http://dx.doi.org/10.14218/JCTP.2025.00013
  • Journal of Clinical and Translational Pathology
  • pISSN 2993-5202
  • eISSN 2771-165X
Back to Top

A Clinicopathologic Analysis of 740 Endometrial Polyps: Risk of Premalignant Changes and Malignancy

Swati Bhardwaj, Shenyu Wang, Yuxin Liu
  • Reset Zoom
  • Download TIFF