v
Search
Advanced

Publications > Journals > Journal of Translational Gastroenterology> Article Full Text

  • OPEN ACCESS

Microscopic Colitis: A Review of the Literature and Histopathologic Mimickers

  • Alden Miller,
  • Charmi Patel and
  • Jingjing Hu* 
 Author information 

Abstract

Microscopic colitis is a chronic inflammatory disease of the colon that describes patients who present with watery diarrhea, normal or minimal endoscopic findings, and chronic inflammation identified on colonic biopsy. As the name suggests, microscopic colitis requires histologic evaluation for diagnosis. The two most well-established histologic patterns are collagenous colitis and lymphocytic colitis. In this review, we highlighted the key histologic features of microscopic colitis on biopsy specimens, along with its endoscopic findings, pathogenesis, and underlying molecular mechanisms. We also discussed important mimickers—including amyloidosis, collagenous colitis, ischemic colitis, and radiation colitis—emphasizing their distinguishing histopathologic characteristics. Recognizing these mimickers is crucial, as their treatment strategies are significantly different.

Keywords

Microscopic colitis, Lymphocytic colitis, Collagenous colitis, Amyloidosis, Radiation colitis, Medication injury

Introduction

Microscopic colitis is a chronic inflammatory disease of the colon that describes patients who present with watery diarrhea, confoundingly normal or minimal endoscopic findings, and chronic inflammation identified on colonic biopsy. As the name suggests, microscopic colitis requires histologic evaluation for diagnosis. The two most broadly recognized and well-established histologic patterns are collagenous colitis and lymphocytic colitis. Microscopic colitis was first described as a distinct clinical entity in 1980 by Read et al., who defined the disease by the absence of endoscopic abnormalities and the presence of chronic inflammation in the colonic mucosa.1 In 1982, further research by Lazenby et al. distinguishing collagenous colitis from lymphocytic colitis by noting the presence of a thickened subepithelial collagen band on microscopy.2 Today, microscopic colitis is considered a broad diagnostic term encompassing various etiologies of colitis in which endoscopic and clinical evaluations are equivocal, but histologic examination reveals increased lamina propria inflammation, lymphocytic infiltration of crypts, and preservation of overall crypt architecture.

Incidence and clinical presentation

Microscopic colitis has a pooled incidence of 4.14 per 100,000 persons for collagenous colitis and 4.85 per 100,000 persons for lymphocytic colitis.3 Both lymphocytic and collagenous colitis demonstrate a female predominance, with a female-to-male ratio of 3:1 to 9:1 for collagenous colitis, and 2.4:1 to 2.7:1 for lymphocytic colitis. The mean age at diagnosis is 61 years, and only roughly 25% of patients are diagnosed before the age of 45. Classically, patients present with chronic, non-bloody, watery diarrhea. Severity is variable, and in patients experiencing severe symptoms, bowel movements can occur more than fifteen times per day.1,4,5 Other common symptoms include fecal urgency, incontinence, nocturnal diarrhea, abdominal pain, and associated weight loss.

Patients usually report a slow, insidious onset of symptoms, but a sudden onset has been reported in approximately 40% of cases. The diagnosis of microscopic colitis is largely one of exclusion, where the initial clinical differential may include infectious etiologies, inflammatory bowel disease (IBD), inflammatory bowel syndrome, and celiac disease. Endoscopy, histopathology, and a thorough patient history play a critical role in refining this differential. Ulceration, erythema, and increased mucosal friability on endoscopy are suggestive of an inflammatory bowel disease such as ulcerative colitis or Crohn’s disease. Patients often present with bloody diarrhea and significant abdominal pain during IBD flares. Histology demonstrating crypt architectural distortion, cryptitis or crypt abscesses, Paneth cell metaplasia, or granuloma formation further supports a diagnosis of IBD. A family history of autoimmune disease or IBD is also helpful, as are possible extraintestinal manifestations such as arthralgias, pyoderma gangrenosum, erythema nodosum, and elevated inflammatory markers on peripheral blood draw.6 When considering celiac disease, a detailed history exploring the relationship between abdominal pain, bowel habits, and dietary changes is essential. A trial of eliminating dietary gluten often aids in diagnosis. Endoscopy in cases of celiac disease is often nonspecific but may show loss of normal mucosal folds or a scalloped appearance.7 Histopathology may reveal villous blunting, increased intraepithelial lymphocytes at the villous tips, and crypt hyperplasia. Additional clinical tests for anti-tissue transglutaminase antibodies can help confirm the diagnosis of celiac disease rather than microscopic colitis. Infectious etiologies should also be considered, with attention to recent travel to endemic areas, antibiotic exposure, and stool cultures. Histopathology showing parasitic, viral, or bacterial organisms would favor a diagnosis of infectious colitis. Overall, the diagnosis of microscopic colitis requires the integration of clinical, procedural, and histopathological findings and may be difficult to establish without a thorough workup.

Risk factors for the development of microscopic colitis include female sex, increasing age, smoking, and the use of medications such as non-steroidal anti-inflammatory drugs (NSAIDs), proton-pump inhibitors (PPIs), statins, histamine H2-receptor antagonists, and selective serotonin reuptake inhibitors.5

The extent to which these medications contribute to the development of microscopic colitis is not yet fully understood. Population-based case-control studies have demonstrated an increased risk of disease associated with NSAIDs and PPIs when used for four months or longer.8,9 However, Zylberberg et al. conducted a multicenter study comparing patients with biopsy-proven microscopic colitis to a control group with chronic diarrhea who were biopsy-negative for disease, yielding opposing findings. Their study concluded that only NSAIDs were associated with disease development, while PPIs and H2-receptor antagonists showed an inverse correlation with microscopic colitis.10 More research is needed to clarify the relative risks of these agents. Concomitant autoimmune diseases are another significant risk factor. Autoimmune thyroid disease, celiac disease, scleroderma, and rheumatoid arthritis occur with the highest incidence and have the strongest correlation with microscopic colitis. However, Sjögren’s syndrome, systemic lupus erythematosus, type 1 diabetes, autoimmune hepatitis, myasthenia gravis, and sclerosing cholangitis have also been reported to occur more frequently in patients with microscopic colitis than in the general population.11 Despite the many postulated risk factors, the exact pathogenesis of microscopic colitis remains largely unknown.

Pathogenesis

Given the poorly understood and likely multifactorial mechanism through which microscopic colitis develops, the pathogenesis is generally accepted to involve genetically predisposed individuals who undergo an increased inflammatory response to intraluminal antigens. Studies have shown an association with the human leukocyte antigen (HLA) gene complex in the development of microscopic colitis, with the HLA-DQ2 and HLA-DQ1,3 genes most strongly implicated.12 However, the exact extent to which genetic predisposition plays a role remains unclear. The HLA-DQ2 and DQ3 haplotype is known to be a predisposing factor in patients with Celiac disease, and their association with microscopic colitis supports the idea that autoimmunity could be a key component in the pathogenesis of microscopic colitis.12 Due to the shared haplotypes, it has even been posited that microscopic colitis may result from gluten sensitivity, as seen in Celiac disease.12

The apparent link between autoimmune diseases like Celiac disease and microscopic colitis has suggested autoimmunity as a potential pathophysiological mechanism. Research conducted by Pisani et al. speculates that since the function of HLA class II molecules is to bind antigenic peptides, which are then presented to T-cells to initiate an immune response, abnormalities in the process of peptide antigens might be one the etiology of microscopic colitis. In this context, a colonic luminal antigen might trigger an HLA-immunoregulated inflammatory reaction.13

Wildt et al. conducted a nationwide study in Denmark to describe the association between microscopic colitis and autoimmune disease. They compared the incidence of autoimmune disorders in patients with microscopic colitis to age- and sex-matched controls from the general population. They found that microscopic colitis was associated with a higher incidence of autoimmune diseases, particularly those of gastrointestinal, endocrine, or connective tissue origin.14 The greatest associations were found with Celiac disease, Crohn’s disease, and ulcerative colitis.14

Other studies have found a correlation between HLA 8.1 haplotype variants and the development of both collagenous colitis and Celiac disease.15 However, this correlation cannot account for the patients without the HLA-DQ2 and DQ3 haplotypes. The clinical observation that dietary modifications do not help manage symptoms in microscopic colitis further challenges the link between microscopic colitis and Celiac disease. More research into the role genetic factors play in the pathogenesis of microscopic colitis is needed to better understand their mechanistic contribution to the disease.

Beyond HLA-mediated immune pathways, studies have also implicated genetic predispositions to immune dysfunction due to interleukin (IL)-6-174 gene polymorphism.13 IL-6 is a proinflammatory molecule that contributes to macrophage recruitment to the site of injury, shifting the immune response from acute to chronic. IL-6 also promotes T- and B-lymphocyte maturation, further driving the immune response into a more chronic phase. The IL-6-174 polymorphism has been reported more frequently in patients with microscopic colitis, with a slightly higher frequency in patients with collagenous colitis compared to lymphocytic colitis.16 Alongside IL-6, studies have demonstrated overexpression of tumor necrosis factor alpha and IL-1 in patients with microscopic colitis, suggesting that pro-inflammatory cytokines play a pivotal role in the disease’s pathogenesis. However, a relationship between the IL-6-174 polymorphism and microscopic colitis has not yet been established, and further research is needed to define the role inflammatory cytokines may play in the development of microscopic colitis.

The prominent subepithelial collagen band in collagenous colitis has generated interest in aberrant collagen metabolism as a cause of the disease. Some research has demonstrated increased expression of the TGF-beta1 gene, a growth factor that can cause collagen accumulation in tissue, in patients with collagenous colitis. Another theory for the pathogenesis of microscopic colitis is that it may be medication-induced. A large population-based study found a significantly increased risk for the development of microscopic colitis in patients taking NSAIDs and PPIs compared to controls.17 The diarrhea in microscopic colitis is thought to arise from mucosal inflammation, supporting the idea that an intraluminal antigen plays a role in the development of symptoms. This theory is further supported by the finding that the severity of diarrhea correlates with the degree of inflammation within the lamina propria, not with the degree of subepithelial collagen band thickening.18

Infectious organisms have also been suggested to play a role in the development of microscopic colitis. A nationwide case-control study in Sweden analyzed the relationship between gastroenteritis and the development of subsequent microscopic colitis in adult patients diagnosed with microscopic colitis between 1990 and 2016. The study concluded that gastrointestinal infection conferred a nearly threefold increased risk of developing microscopic colitis compared to controls, with Clostridium difficile increasing the risk by 4.39%.19 Due to the profound alterations infection with Clostridium difficile can cause in the gut microbiome, it is suggested that downstream dysregulation and pro-inflammatory changes in the gut after infection may trigger an immune response that causes microscopic colitis. In addition to Clostridium difficile, other organisms such as Yersinia enterocolitica and Helicobacter pylori have been correlated with cases of microscopic colitis,20,21 though the association remains unclear. This is further confounded by the finding that immunosuppressive drugs can effectively treat microscopic colitis. Other studies have suggested that the role of infection in the development of microscopic colitis is linked to disturbances in the gut microbiome. When comparing the microbiome of patients with collagenous colitis to healthy controls, it was found that those with collagenous colitis had a less diverse microbiome.22 A separate study comparing the microbiome of patients with microscopic colitis during the active symptomatic phase to the remission phase found that during the active phase, microbiota diversity significantly declined.23 This suggests that a component of the pathogenesis of microscopic colitis could be related to dysbiosis of the intestinal flora. However, larger-scale studies that better characterize the microbial compositional changes in microscopic colitis are needed to elucidate the significance of gut flora composition.

Histological findings

The histological diagnosis of microscopic colitis requires three basic criteria, regardless of etiology. Diagnosis is defined by increased lamina propria inflammation, increased intraepithelial lymphocytes at the mucosal surface and in colonic crypts, and generally intact crypt architecture.

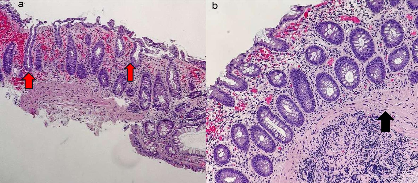
Collagenous colitis is distinguished from lymphocytic colitis by the distinct presence of a thickened and irregular subepithelial collagen band. The basement membrane should remain normal, as the collagen deposition occurs beneath the surface epithelium. When distinguishing a normal from an abnormal collagen band, it is helpful to note that the average thickness of the subepithelial collagen band in the cecum and ascending colon is 5 µm. In collagenous colitis, a thickness of 10 µm or more has been proposed as a criterion for identifying increased thickness. However, this has been challenged by studies showing that sensitivity varies among pathologists when using this criterion. Utilization of a trichrome stain provides a more objective and accurate measurement of collagen band thickness.24 Nevertheless, the thickened subepithelial collagen may be patchy, complicating accurate diagnosis. Typically, pathologic thickness increases towards the right side of the colon, which may be missed in cases where the colon is not extensively biopsied.24 Regardless of thickness, a thickened collagen band alone is not sufficient for diagnosis. A potentially more sensitive method for evaluating collagenous colitis is to assess the quality of the subepithelial collagen band rather than its thickness. The collagen should contain entrapped blood vessels, extravasated red blood cells, inflammatory cells, and fibroblast nuclei with a ragged pattern at the inferior margin of the band.24 The inferior border may also be described as “irregular” or “lacy” in appearance. The lamina propria should be notably hypercellular and contain a mixed inflammatory infiltrate, composed of lymphocytes, plasma cells, and eosinophils (Fig. 1a, b). While scattered neutrophils may be present, neutrophils should not dominate the inflammatory milieu. A large neutrophilic infiltrate may suggest an alternate diagnosis or a superimposed infectious process. In addition to these findings, intraepithelial lymphocytes will also be increased. Damage to the surface epithelium, such as epithelial flattening or sloughing, should be evident, and rare cases may present with pseudomembranes. While not required for diagnosis, Paneth cell metaplasia is a common histologic finding in collagenous colitis. Crypt architecture should be maintained overall, though rare branching or dilated crypts may be seen. Trichrome special stains are helpful in highlighting the thickened and irregular subepithelial collagen bands (Fig. 1c).

Collagenous colitis.
Fig. 1  Collagenous colitis.

(a) Hematoxylin and eosin demonstrating intact crypt architecture with characteristic thickened subepithelial collagen band (red arrow: irregular and thickened collagen bands with entrapped capillaries and inflammatory cells). The surface epithelium appears injured with lymphocytosis. (b) Increased inflammatory cells can be seen within the lamina propria (black arrow). There are entrapment of capillaries and inflammatory cells within the collagen band (yellow arrow). (c) Trichrome stain of collagenous colitis. Trichrome stain highlights the thickened subepithelial collagen bands with irregular borders (red arrow).

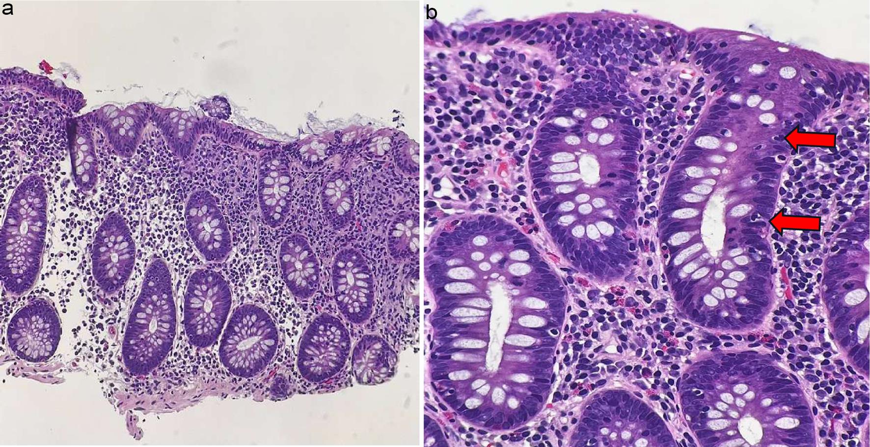
The hallmark microscopic findings of lymphocytic colitis include markedly increased intraepithelial lymphocytes and the absence of a thickened subepithelial collagen band. Biopsies often appear a top-heavy inflammatory pattern, with a dense lymphoplasmacytic infiltrate in the more superficial lamina propria and less inflammation in the deeper layers (Fig. 2). In normal colonic mucosa, there are approximately five intraepithelial lymphocytes for every 100 surface epithelial cells.24 In lymphocytic colitis, the number of intraepithelial lymphocytes increases to 20 or more per 100 surface epithelial cells. Lymphocytes can be seen at both the surface epithelium and within the colonic crypt epithelium. As in microscopic colitis, reactive changes such as rare branched crypts and Paneth cell metaplasia may also be present.

Lymphocytic colitis.
Fig. 2  Lymphocytic colitis.

(a) Low-power view (10×) shows preserved crypt architecture with increased lamina propria lymphoplasmacytic inflammation. (b) High-power view (40×) shows increased intraepithelial lymphocytosis (red arrows). The lamina propria is composed of lymphoplasmacytic inflammation with frequent eosinophils.

Management

Treatment strategies for microscopic colitis primarily focus on improving patients’ quality of life by alleviating symptoms associated with active disease. Active disease is clinically defined as three or more stools daily or one or more watery stools daily.25 Clinical remission is considered achieved if patients experience fewer than three stools per day and no watery stools for one week. Antidiarrheal agents, such as loperamide, may be used alone for symptomatic management of diarrhea in patients with mild disease or in combination with other therapies in more severe cases. Glucocorticoids are employed to manage patients with active disease, with Budesonide recommended as a first-line treatment. Budesonide has been shown to be significantly more effective than placebo and other steroids, such as prednisolone, for both short- and long-term treatment.26 Budesonide treatment typically lasts eight to twelve weeks and is then tapered down over the next four weeks. If clinical remission is not achieved despite glucocorticoid use, treatment with anti-tumor necrosis factor agents and immunomodulators may be considered to achieve remission.27 In severe cases of refractory microscopic colitis, for which medical therapy is insufficient, definitive surgical management via ileostomy or colectomy may be pursued.

Other causes of microscopic colitis

Amyloidosis

Amyloidosis can affect the gastrointestinal tract and is another potential cause of microscopic colitis. The two most common forms of systemic amyloidosis are immunoglobulin-light-chain-related amyloidosis (AL) and reactive amyloidosis (AA).28 Current data suggests that AL amyloidosis has an incidence of one case per 100,000 person-years in Western countries, with the annual proportion of new cases of AL in the United States being 78%.28

In comparison, secondary or AA amyloidosis accounts for 6% of all amyloidosis cases diagnosed annually in the United States.28 In England, research shows that AL amyloidosis has an annual incidence of three cases per million person-years, while AA amyloidosis has an incidence of 1 case per million person-years.29 Amyloidosis is typically seen in older adults around the seventh decade of life, with a median age of 64 at the time of diagnosis.30 The disease occurs more commonly in males, and primary AL amyloidosis is distributed evenly across all ethnic backgrounds.30 Intestinal amyloidosis can result from either systemic AL or AA amyloidosis. In patients with systemic AL amyloidosis, the digestive tract is affected in 3–28% of diagnosed patients.31

The pathogenesis of amyloidosis involves the extracellular deposition of non-branching fibrils composed of serum-protein precursors into tissues. These non-branching fibrils take on a β-pleated sheet configuration that is resistant to physiological solvents and normal proteolytic digestion, allowing them to accumulate in tissues and disrupt normal function.32 The most common symptom reported by patients with intestinal amyloidosis is chronic diarrhea, which can easily be confused clinically with other etiologies of microscopic colitis.33 Endoscopically, findings are often non-specific and variable, including friable mucosa, mucosal thickening, and polypoid protrusions.34 The diagnosis of intestinal amyloidosis often requires a high degree of clinical suspicion due to its non-specific presentation.

On microscopic H&E examination of a biopsy, initial inspection may give the impression of unremarkable tissue. Crypt architecture is typically intact, and the lamina propria is not expanded by inflammatory cells. The key finding is the deposition of amorphous pink material within the muscularis mucosa, giving it a waxy and eosinophilic appearance (Fig. 3). In more pronounced cases, the lamina propria may also be involved. Local vasculature is frequently affected by amyloid deposition within vessel walls. Congo red stain will highlight the material as salmon pink/orange and display characteristic apple-green birefringence under polarized light. A definitive diagnosis requires a gastrointestinal biopsy combined with Congo red staining.

Amyloidosis.
Fig. 3  Amyloidosis.

(a) Hematoxylin and eosin demonstrating overall intact crypt architecture with prominent amyloid deposition in the submucosa (red arrow). (b) Congo-red stain highlights both perivascular (yellow arrow) and interstitial amyloid deposition (black arrow). The amyloid material shows a salmon-pink color.

Radiation colitis

Radiation colitis can occur in patients exposed to ionizing radiation, most commonly as part of cancer treatment regimens. It may present acutely, within days to weeks of exposure, or chronically, with symptoms appearing months to years after exposure.

The pathogenesis of radiation colitis is due to radiation-induced cellular DNA damage, leading to impaired cell division and cell death.35,36 Cells that undergo high rates of proliferation, such as the stem cells located within the intestinal crypts, are especially vulnerable to radiation therapy. Clinically, patients present with non-specific symptoms, including diarrhea and abdominal pain.

Endoscopically, acute radiation colitis can present with mucosal edema, erosions, and loss of the vascular pattern. This endoscopic appearance shares features with those seen in inflammatory bowel disease.

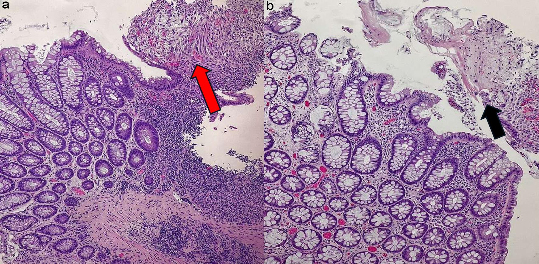
Histologically, acute radiation injury may feature disruption of crypt architecture with dilated crypts and nuclear atypia as crypt stem cells die. Loss of crypt stem cells can lead to crypt micro-abscess formation.36 The lamina propria shows dense infiltration of inflammatory cells, including plasma cells, macrophages, and polymorphonuclear cells (Fig. 4).37 Eosinophilic infiltration of the mucosal surface, lamina propria, or crypts is often a hallmark of acute radiation colitis. Surface mucosal erosion due to direct damage from radiation is a common finding and is often exacerbated by inflammatory cell activation secondary to increased cytokine production.38 The findings of crypt architectural distortion and crypt abscesses can mimic the histologic pattern seen in inflammatory bowel diseases, but notable radiation-induced nuclear atypia can help differentiate the two.

Radiation colitis.
Fig. 4  Radiation colitis.

(a) Dense lymphoplasmacytic inflammation, surface ulceration, and granulation tissue (red arrow). (b) Mild degree of crypt architectural distortion and adjacent surface erosion (black arrow).

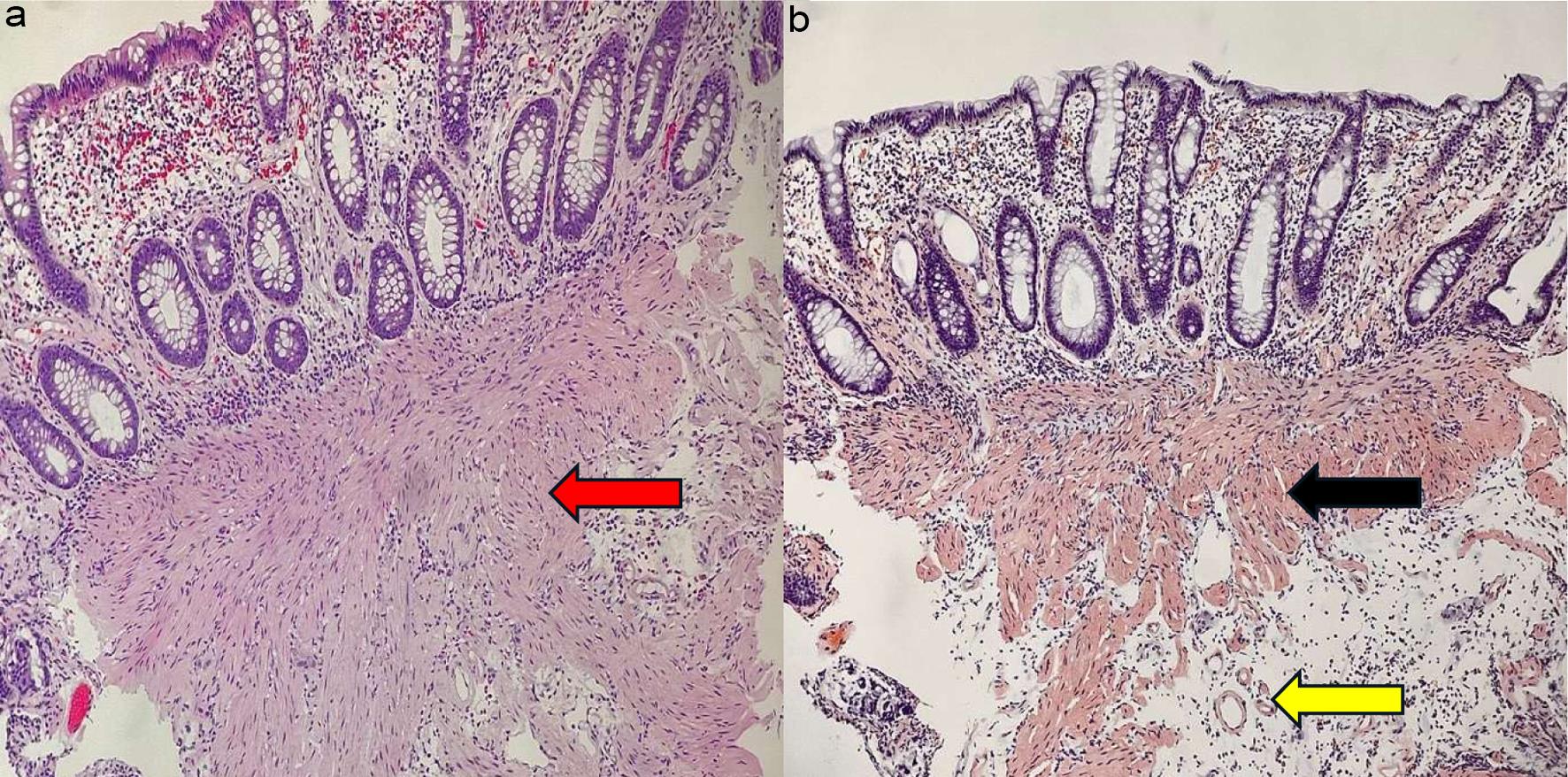
On endoscopy, chronic radiation colitis can present with pale mucosa, telangiectatic vessels, loss of mucosal folds, and congested mucosa.39 Endoscopically, this shares many features with ischemic colitis. However, the pattern of distribution for ischemic colitis predominantly affects the watershed areas of the colon, while radiation colitis has no anatomic tropism. Microscopic findings for chronic radiation colitis include hyalinized vessel walls, obliterative endarteritis, submucosal fibrosis, and collagen deposition. The thickened vascular walls may mimic the appearance of amyloidosis.36 As injury from chronic radiation induces tissue ischemia, radiation colitis shares many overlapping features with ischemic colitis. Atypical fibroblasts are a helpful finding in distinguishing the two. Clinical history is essential in diagnosis, and radiation colitis should always be considered in patients with a history of pelvic radiation.

Ischemic colitis

The pathogenesis of ischemic colitis involves a reduction in blood flow to the colon. This can be divided into two broad categories: ischemia resulting from vascular causes, or ischemia originating from the bowel itself.40 Vascular etiologies include transient hypoperfusion, vasculitis, thrombus formation, or vasospasm. Etiologies originating from the bowel involve causes of increased intraluminal pressure that can disrupt blood flow. This category includes constipation, fecal impaction, obstructive ileus, and inflammatory bowel disease.

The incidence of ischemic colitis ranges from 4.5 to 44 per 100,000 population and accounts for one in 2,000 hospital admissions.40,41 Ischemic colitis most commonly occurs in patients over the age of 50 and has a female predominance. However, it is not infrequent in younger patients, who account for 10–15% of ischemic colitis cases.42

Endoscopic findings depend on the stage and severity of ischemia. In the early stages, endoscopic findings include pale, friable, or edematous mucosa with petechial hemorrhage and segmental erythema. Ulcerations and bleeding may or may not be present.43 Single linear ulcerations that follow the longitudinal axis of the colon generally characterize milder disease.43 The endoscopic patterns of ischemic colitis have been classified into three stages based on the severity of injury. Stage I shows patchy erythema separated by normal mucosa. Stage II demonstrates progression to areas of submucosal hemorrhage with non-necrotic ulcerations and edematous mucosa. Stage III results in deep necrotic ulcerations.43

Histologic findings in ischemic colitis also vary according to the severity and duration of the ischemic event. Transient, reversible ischemia results in mild, superficial changes such as mucosal edema, erosion, and vascular congestion. The lamina propria may show hyalinization, where the normal inflammatory cell population is replaced by an eosinophilic matrix, and the crypts may appear more closely spaced as the lamina propria condenses. Crypt atrophy and crypt withering are other classic histological findings, though they are not specific to ischemic colitis (Fig. 5). Overall, crypt architecture typically remains intact. Atypical epithelial changes may be pronounced and include atypical mitoses. As mentioned above, the microscopic patterns seen in ischemic colitis share many features with those observed in acute radiation colitis. The presence of diffuse hyalinization in the lamina propria, the absence of a pronounced eosinophilic infiltrate, and the lack of marked epithelial atypia support the diagnosis of ischemic colitis.

Early ischemic colitis.
Fig. 5  Early ischemic colitis.

(a) Atrophic/withering crypts (red arrow) and lamina propria vascular congestion. Notice that the cellularity of the lamina propria is not significantly increased. (b) Vascular congestion and submucosal hyalinization/fibrosis (black arrow).

Conclusions

Microscopic colitis is a subtle chronic inflammatory condition of the colon and a common cause of chronic watery diarrhea. The endoscopic findings of microscopic colitis are subtle and often non-specific. The diagnosis usually requires histologic evaluation. This review focuses on the two most common types of microscopic colitis (lymphocytic colitis and collagenous colitis) and their close mimickers, including amyloidosis, ischemic colitis, and radiation colitis. The diagnostic features of microscopic colitis are subtle, and early-stage manifestations can be non-specific. A detailed clinical history, infectious work-up, and family medical history are essential in establishing an accurate diagnosis.

Declarations

Acknowledgement

None.

Funding

None to declare.

Conflict of interest

The authors have no conflict of interests related to this publication.

Authors’ contributions

Contributed to study concept and design (AM, CP, JH), acquisition of the data (AM, JH), data analysis (AM), drafting of the manuscript (AM, JH), critical revision of the manuscript (CP, JH). All authors have approved final version and publication of the manuscript.

References

  1. Odze R, Goldblum J. Odze and Goldblum Surgical Pathology of the GI Tract, Liver, Biliary Tract and Pancreas, Fourth Edition. Amsterdam: Elsevier; 2023
  2. Miehlke S, Verhaegh B, Tontini GE, Madisch A, Langner C, Münch A. Microscopic colitis: pathophysiology and clinical management. Lancet Gastroenterol Hepatol 2019;4(4):305-314 View Article PubMed/NCBI
  3. Ebik B, Ekin N, Bacaksiz F, Uzel A, Akkuzu MZ, Ucmak F, et al. What is the incidence of celiac disease in patients with microscopic colitis? Why are these two diseases related?. Prz Gastroenterol 2024;19(1):81-88 View Article PubMed/NCBI
  4. Khalili H, Burke KE, Roelstraete B, Sachs MC, Olén O, Ludvigsson JF. Microscopic Colitis and Risk of Inflammatory Bowel Disease in a Nationwide Cohort Study. Gastroenterology 2020;158(6):1574-1583.e2 View Article PubMed/NCBI
  5. Bohr J, Tysk C, Eriksson S, Abrahamsson H, Järnerot G. Collagenous colitis: a retrospective study of clinical presentation and treatment in 163 patients. Gut 1996;39(6):846-851 View Article PubMed/NCBI
  6. Tome J, Kamboj AK, Pardi DS. Microscopic Colitis: A Concise Review for Clinicians. Mayo Clin Proc 2021;96(5):1302-1308 View Article PubMed/NCBI
  7. Kurien M, Evans KE, Hopper AD, Hale MF, Cross SS, Sanders DS. Duodenal bulb biopsies for diagnosing adult celiac disease: is there an optimal biopsy site?. Gastrointest Endosc 2012;75(6):1190-1196 View Article PubMed/NCBI
  8. Masclee GM, Coloma PM, Kuipers EJ, Sturkenboom MC. Increased risk of microscopic colitis with use of proton pump inhibitors and non-steroidal anti-inflammatory drugs. Am J Gastroenterol 2015;110(5):749-759 View Article PubMed/NCBI
  9. Verhaegh BP, de Vries F, Masclee AA, Keshavarzian A, de Boer A, Souverein PC, et al. High risk of drug-induced microscopic colitis with concomitant use of NSAIDs and proton pump inhibitors. Aliment Pharmacol Ther 2016;43(9):1004-1013 View Article PubMed/NCBI
  10. Zylberberg HM, Kamboj AK, De Cuir N, Lane CM, Khanna S, Pardi DS, et al. Medication use and microscopic colitis: a multicentre retrospective cohort study. Aliment Pharmacol Ther 2021;53(11):1209-1215 View Article PubMed/NCBI
  11. Le C, Zeffren N, Kramer N, Rosenstein ED. Rheumatologic associations of microscopic colitis: A narrative review. Mod Rheumatol 2023;33(3):441-447 View Article PubMed/NCBI
  12. Fine KD, Do K, Schulte K, Ogunji F, Guerra R, Osowski L, et al. High prevalence of celiac sprue-like HLA-DQ genes and enteropathy in patients with the microscopic colitis syndrome. Am J Gastroenterol 2000;95(8):1974-1982 View Article PubMed/NCBI
  13. Pisani LF, Tontini GE, Vecchi M, Pastorelli L. Microscopic Colitis: What Do We Know About Pathogenesis?. Inflamm Bowel Dis 2016;22(2):450-458 View Article PubMed/NCBI
  14. Wildt S, Munck LK, Winther-Jensen M, Jess T, Nyboe Andersen N. Autoimmune diseases in microscopic colitis: A Danish nationwide case-control study. Aliment Pharmacol Ther 2021;54(11-12):1454-1462 View Article PubMed/NCBI
  15. Stahl E, Roda G, Dobbyn A, Hu J, Zhang Z, Westerlind H, et al. Collagenous Colitis Is Associated With HLA Signature and Shares Genetic Risks With Other Immune-Mediated Diseases. Gastroenterology 2020;159(2):549-561.e8 View Article PubMed/NCBI
  16. Koskela RM, Karttunen TJ, Niemelä SE, Lehtola JK, Bloigu RS, Karttunen RA. Cytokine gene polymorphism in microscopic colitis association with the IL-6-174 GG genotype. Eur J Gastroenterol Hepatol 2011;23(7):607-613 View Article PubMed/NCBI
  17. Ståhle-Bäckdahl M, Maim J, Veress B, Benoni C, Bruce K, Egesten A. Increased presence of eosinophilic granulocytes expressing transforming growth factor-beta1 in collagenous colitis. Scand J Gastroenterol 2000;35(7):742-746 View Article PubMed/NCBI
  18. Lee E, Schiller LR, Vendrell D, Santa Ana CA, Fordtran JS. Subepithelial collagen table thickness in colon specimens from patients with microscopic colitis and collagenous colitis. Gastroenterology 1992;103(6):1790-1796 View Article PubMed/NCBI
  19. Khalili H, Axelrad JE, Roelstraete B, Olén O, D’Amato M, Ludvigsson JF. Gastrointestinal Infection and Risk of Microscopic Colitis: A Nationwide Case-Control Study in Sweden. Gastroenterology 2021;160(5):1599-1607.e5 View Article PubMed/NCBI
  20. Narayani RI, Burton MP, Young GS. Resolution of collagenous colitis after treatment for Helicobacter pylori. Am J Gastroenterol 2002;97(2):498-499 View Article PubMed/NCBI
  21. Bohr J, Nordfelth R, Järnerot G, Tysk C. Yersinia species in collagenous colitis: a serologic study. Scand J Gastroenterol 2002;37(6):711-714 View Article PubMed/NCBI
  22. Rindom Krogsgaard L, Kristian Munck L, Bytzer P, Wildt S. An altered composition of the microbiome in microscopic colitis is driven towards the composition in healthy controls by treatment with budesonide. Scand J Gastroenterol 2019;54(4):446-452 View Article PubMed/NCBI
  23. Morgan DM, Cao Y, Miller K, McGoldrick J, Bellavance D, Chin SM, et al. Microscopic Colitis Is Characterized by Intestinal Dysbiosis. Clin Gastroenterol Hepatol 2020;18(4):984-986 View Article PubMed/NCBI
  24. Fernández-Bañares F, Salas A, Esteve M. Pitfalls and errors in the diagnosis of collagenous and lymphocytic colitis. J Crohns Colitis 2008;2(4):343-347 View Article PubMed/NCBI
  25. Hjortswang H, Tysk C, Bohr J, Benoni C, Kilander A, Larsson L, et al. Defining clinical criteria for clinical remission and disease activity in collagenous colitis. Inflamm Bowel Dis 2009;15(12):1875-1881 View Article PubMed/NCBI
  26. Stewart MJ, Seow CH, Storr MA. Prednisolone and budesonide for short- and long-term treatment of microscopic colitis: systematic review and meta-analysis. Clin Gastroenterol Hepatol 2011;9(10):881-890 View Article PubMed/NCBI
  27. Esteve M, Mahadevan U, Sainz E, Rodriguez E, Salas A, Fernández-Bañares F. Efficacy of anti-TNF therapies in refractory severe microscopic colitis. J Crohns Colitis 2011;5(6):612-618 View Article PubMed/NCBI
  28. Bustamante JG, Zaidi SRH. Amyloidosis. Treasure Island, FL: StatPearls Publishing; 2025 PubMed/NCBI
  29. Pinney JH, Smith CJ, Taube JB, Lachmann HJ, Venner CP, Gibbs SD, et al. Systemic amyloidosis in England: an epidemiological study. Br J Haematol 2013;161(4):525-532 View Article PubMed/NCBI
  30. Baker KR. Light Chain Amyloidosis: Epidemiology, Staging, and Prognostication. Methodist Debakey Cardiovasc J 2022;18(2):27-35 View Article PubMed/NCBI
  31. Talar-Wojnarowska R, Jamroziak K. Intestinal amyloidosis: Clinical manifestations and diagnostic challenge. Adv Clin Exp Med 2021;30(5):563-570 View Article PubMed/NCBI
  32. Petre S, Shah IA, Gilani N. Review article: gastrointestinal amyloidosis - clinical features, diagnosis and therapy. Aliment Pharmacol Ther 2008;27(11):1006-1016 View Article PubMed/NCBI
  33. Okuda Y, Yamada T, Ueda M, Ando Y. First Nationwide Survey of 199 Patients with Amyloid A Amyloidosis in Japan. Intern Med 2018;57(23):3351-3355 View Article PubMed/NCBI
  34. Talley NJ, Shorter RG, Phillips SF, Zinsmeister AR. Eosinophilic gastroenteritis: a clinicopathological study of patients with disease of the mucosa, muscle layer, and subserosal tissues. Gut 1990;31(1):54-58 View Article PubMed/NCBI
  35. Horwhat JD, Dubois A. Radiation Enteritis. Curr Treatment Opt Gastroenterol 1999;2:27 View Article
  36. Shadad AK, Sullivan FJ, Martin JD, Egan LJ. Gastrointestinal radiation injury: symptoms, risk factors and mechanisms. World J Gastroenterol 2013;19(2):185-198 View Article PubMed/NCBI
  37. Alves FA, Gale G, Vivas APM, Porta G, Costa FDA, Warfwinge G, et al. Immunohistopathology of the Newly Discovered Giant Papillae Tongue Disorder in Organ-Transplanted Children. Transplantation 2017;101(6):1441-1448 View Article PubMed/NCBI
  38. Zanelli M, Ciarrocchi A, De Petris G, Zizzo M, Costantini M, Bisagni A, et al. Acute Radiation Colitis after Preoperative Short-Course Radiotherapy for Rectal Cancer: A Morphological, Immunohistochemical and Genetic Study. Cancers (Basel) 2020;12(9):2571 View Article PubMed/NCBI
  39. Kim TG, Huh SJ, Park W. Endoscopic findings of rectal mucosal damage after pelvic radiotherapy for cervical carcinoma: correlation of rectal mucosal damage with radiation dose and clinical symptoms. Radiat Oncol J 2013;31(2):81-87 View Article PubMed/NCBI
  40. Sherid M, Samo S, Sulaiman S, Husein H, Sethuraman SN, Thiruvaiyaru D, et al. Comparison of Ischemic Colitis in the Young and the Elderly. WMJ 2016;115(4):196-202 PubMed/NCBI
  41. Elder K, Lashner BA, Al Solaiman F. Clinical approach to colonic ischemia. Cleve Clin J Med 2009;76(7):401-409 View Article PubMed/NCBI
  42. Glauser PM, Wermuth P, Cathomas G, Kuhnt E, Käser SA, Maurer CA. Ischemic colitis: clinical presentation, localization in relation to risk factors, and long-term results. World J Surg 2011;35(11):2549-2554 View Article PubMed/NCBI
  43. Zou X, Cao J, Yao Y, Liu W, Chen L. Endoscopic findings and clinicopathologic characteristics of ischemic colitis: a report of 85 cases. Dig Dis Sci 2009;54(9):2009-2015 View Article PubMed/NCBI

About this Article

Cite this article
Miller A, Patel C, Hu J. Microscopic Colitis: A Review of the Literature and Histopathologic Mimickers. J Transl Gastroenterol. 2025;3(2):100-107. doi: 10.14218/JTG.2024.00025.
Copy        Export to RIS        Export to EndNote
Article History
Received Revised Accepted Published
July 8, 2024 January 7, 2025 March 11, 2025 April 24, 2025
DOI http://dx.doi.org/10.14218/JTG.2024.00025
  • Journal of Translational Gastroenterology
  • eISSN 2994-8754
Back to Top

Microscopic Colitis: A Review of the Literature and Histopathologic Mimickers

Alden Miller, Charmi Patel, Jingjing Hu
  • Reset Zoom
  • Download TIFF