v
Search
Advanced

Publications > Journals > Journal of Translational Gastroenterology> Article Full Text

  • OPEN ACCESS

Pancreatic Cystic Neoplasms: Diagnostic Challenges and Management Pathways Through Case-based Insights

  • Chisom Enwere* ,
  • Vivien Wong and
  • Jonathan Rieber
 Author information 

Abstract

Mucinous cystic neoplasms (MCNs) are rare pancreatic lesions that often go undiagnosed due to their asymptomatic nature. Though typically benign, they can harbor malignant potential, making early detection and treatment essential. This case report presents a 32-year-old female with intermittent epigastric pain, who was found to have a cystic lesion in the pancreatic tail, diagnosed as an MCN through endoscopic ultrasound and fine-needle aspiration. The patient underwent a spleen-sparing distal pancreatectomy, which was complicated by a peri-pancreatic abscess that required drainage. This case highlights the importance of distinguishing MCNs from other pancreatic cystic lesions, as misdiagnosis or delayed intervention can lead to adverse outcomes. It underscores the need for vigilant diagnostic imaging and individualized treatment strategies, particularly in young patients, to avoid unnecessary morbidity and ensure optimal outcomes. The report contributes to the growing understanding of MCNs, emphasizing early diagnosis, tailored surgical management, and the significance of postoperative care.

Keywords

Neoplasm, Pancreas, Pathophysiology, Treatment management, Abscess

Introduction

Pancreatic neoplasms are a diverse group of lesions, ranging from benign cysts to malignant tumors. Among these, mucinous cystic neoplasms (MCNs) are relatively rare and clinically significant due to their potential for malignancy. Typically found in middle-aged women, MCNs are most commonly located in the body or tail of the pancreas and are characterized by mucin-producing cystic lesions. While many MCNs are benign, approximately 15–30% can harbor malignant potential, making early detection and appropriate management critical.1,2 Other pancreatic cystic lesions, such as intraductal papillary mucinous neoplasms (IPMNs), serous cystadenomas, and solid pseudopapillary neoplasms, can present similarly but have distinct pathophysiological features and management approaches,3,4 as seen in Table 1.

Table 1

Characteristics of the Different Types of Neoplasms

LocationGross & micro pathologyGeneticsMalignant potential
MCNBody or TailSeptated, multi-loculated cysts surrounded by a fibrous capsule; lesions are lined by tall mucin-producing columnar or cuboidal cells with an underlying stroma resembling ovarian tissues is usually diagnostic for an MCNKRAS, TP53, SMAD4Yes
IPMNDuctsOriginate from stem cells of the epithelium of the pancreatic ducts which can differentiate into different subtypes including intestinal, pancreaticobiliary, oncocytic, and gastric typesKRAS, GNASYes
SCAHead & BodyLoculated, serous-containing cysts that tend to be mucin free and do not communicate with the pancreatic duct; tends to be a fibrous stellate scar lined by cuboidal epithelial cellsVHLNo
SPENEqually DistributedPresence of pseudorosettes, pseudopapillary patterns, and cercariform cells; the identification of the CTNNB1 molecular marker on immunohistochemistry on biopsy being both necessary and sufficient to make an official diagnosisCTNNB1Yes
pNETTailFibrocollagenous cyst wall with tumor cells arranged in nests and ribbons; when analyzed microscopically on immunohistochemistry positive for synaptophysin and chromograninMEN1, VHL, TSC, NF1Yes

MCNs are usually asymptomatic, but when symptoms occur, they may include abdominal pain, nausea, bloating, or a palpable mass.5 As the lesions grow, they can lead to complications such as ductal obstruction or pancreatitis. The ability to differentiate MCNs from other pancreatic cystic lesions is crucial in determining the appropriate treatment plan. Advanced imaging modalities, including CT, MRI, and endoscopic ultrasound (EUS), play a pivotal role in diagnosing these lesions and assessing their risk of malignancy.6,7

This case presents a 32-year-old female with a symptomatic MCN, significantly younger than the typical demographic, making this presentation unusual. The patient initially reported intermittent epigastric pain, which led to the discovery of a cystic lesion in the pancreatic tail. While MCNs are often asymptomatic and discovered incidentally, this case emphasizes the importance of considering MCNs in the differential diagnosis for patients with abdominal discomfort. Moreover, the presence of a peri-pancreatic abscess post-surgery adds a layer of complexity to the case, as complications like these are uncommon but important to manage. This case highlights the need for clinicians to maintain a high index of suspicion for MCNs in younger patients, as early intervention can prevent complications and improve outcomes.

Case presentation

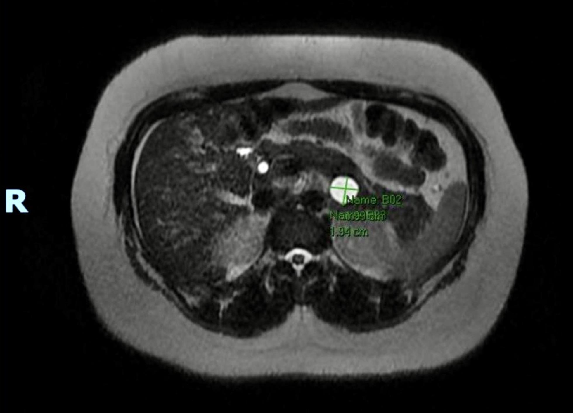
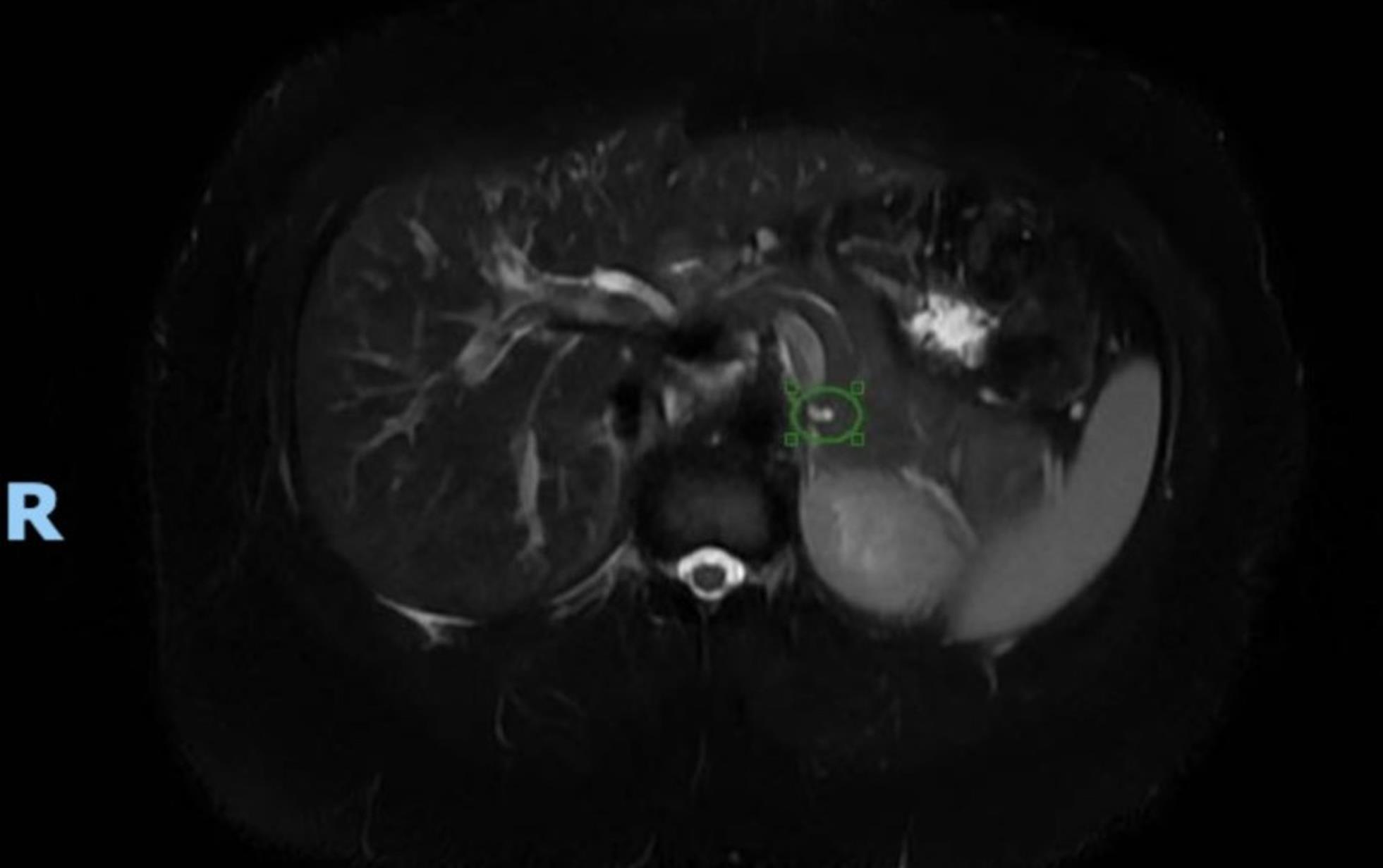
A 32-year-old female with a past medical history significant for asthma, goiter, irritable bowel syndrome, a laparoscopic cholecystectomy in 2020, and a laparoscopic appendectomy in 2022 presented to the emergency room in April 2024 with a severe episode of epigastric pain that had been occurring intermittently over the past several months. CT Abdomen/Pelvis completed on presentation showed a 19 mm cystic focus within the pancreatic tail. An MRI with MRCP, both with and without IV contrast, revealed a cystic lesion in the pancreatic tail measuring up to 2.0 × 1.9 cm. The lesion was characterized by thin peripheral enhancement, with no discernible nodularity, solid mass, or pancreatic ductal dilatation (Fig. 1). This was a significant increase in size from a previous MRI finding in February 2022, which showed dimensions of 0.6 × 0.3 cm (Fig. 2). The patient was further evaluated via EUS with fine needle aspiration (FNA) biopsy. Endosonographic findings confirmed those on MRI and CT, revealing an anechoic lesion measuring 17 mm × 16 mm in maximal cross-sectional diameter with two thinly septated compartments near the junction of the pancreatic tail. There was no associated mass or internal debris within the fluid-filled cavity. Analysis of the components from FNA was non-diagnostic due to scant cellular material, few inflammatory cells, and amorphous material. The overall findings on EUS and FNA were consistent with the MCN of the pancreas. After the endoscopy, the patient underwent an uncomplicated intraoperative resection via robotic spleen-sparing distal pancreatectomy in June 2024. Surgical pathology confirmed a benign MCN with low-grade mucinous epithelium and an ovarian-type stroma, which showed strong diffuse immunoreactivity for CD10 and the progesterone receptor. Gross pathology revealed a 2.1 × 1.1 × 1.0 cm tan-white smooth-lined, clear fluid-filled cyst that had no involvement with the pancreatic duct.

MRI showing significantly increased pancreatic cyst in 2024.
Fig. 1  MRI showing significantly increased pancreatic cyst in 2024.

An MRI with MRCP with and without IV contrast revealed a cystic lesion in the pancreatic tail that measured up to 2.0 × 1.9 cm and that was characterized by thin peripheral enhancement without any discernible nodularity, solid mass, or pancreatic ductal dilatation.

MRI showing initial finding of pancreatic cyst in 2022 with dimensions of 0.6 × 0.3 cm.
Fig. 2  MRI showing initial finding of pancreatic cyst in 2022 with dimensions of 0.6 × 0.3 cm.

The patient's postoperative course was complicated by the formation of a peri-pancreatic abscess nine days after surgery, which required an IR abscess drain placement. The drain was removed on the day of discharge in mid-June. A few weeks later, the patient re-presented to a hospital in mid-July with sudden epigastric pain radiating from the epigastric region across the right upper quadrant of her abdomen. CT Abdomen/Pelvis (conducted at an outside hospital) revealed an irregular 5.7 cm fluid collection with a focus of gas, adjacent to the suture line, extending to the left upper quadrant of the abdomen posterior to the stomach. Initial labs on this presentation showed lipase >2,000, amylase of 1,861, and WBC of 10.2. Due to concern for pancreatitis, the patient was started on levofloxacin, metronidazole, and IV fluids. The fluid collection was aspirated, with complete resolution. The patient was discharged home approximately five days after presentation in late July, given her significant clinical improvement. She was recommended to take metoclopramide and simethicone if she experienced food intolerance or gas pains post-discharge. Follow-up information after late July 2024 is limited, and it is unclear how the patient has been progressing since her discharge. However, the patient’s long-term prognosis was deemed "good to excellent" upon discharge, with minimal concern about recurrence or further postoperative complications.

Patient perspective

The patient fully consented to and agreed with the procedures outlined above. She was diagnosed and treated at the aforementioned institution and will continue to follow up if further complications arise.

Discussion

This case highlights a rare occurrence of a symptomatic MCN in a relatively young and otherwise healthy patient. While MCNs are typically benign, their potential for malignancy and the challenges in diagnosis and treatment make them clinically significant. The patient's presentation with intermittent epigastric pain, coupled with imaging findings of a cystic lesion in the pancreatic tail, raised suspicion for an MCN. This case underscores the importance of comprehensive diagnostic methods and clinical judgment when assessing pancreatic cystic lesions, especially in atypical cases. In this patient's case, the timely use of imaging modalities, including CT scans, MRIs, and EUS, ultimately led to a correct diagnosis and appropriate treatment.

In contrast to the more typical presentation of MCNs in middle-aged women, our patient was relatively young (32 years old), which highlights the need for vigilance in diagnosing MCNs even in patients outside the usual demographic.8 While MCNs are often asymptomatic, the patient’s symptoms of abdominal pain were in line with the findings of nearly two-thirds of MCN cases presenting with discomfort.9 The growth of the cystic lesion over time, from 0.6 cm to 2.0 cm, further demonstrated the evolving nature of these lesions and the potential for significant changes in a short period. Though MCNs are usually slow-growing, they can rapidly enlarge, which may increase the risk of complications such as cyst rupture, bleeding, and pancreatitis, necessitating timely intervention.10

The patient’s clinical course was complicated by the development of a peri-pancreatic abscess following surgical resection. Although distal pancreatectomy is generally well-tolerated, complications such as abscess formation can arise in a subset of patients. The occurrence of a postoperative abscess highlights a well-documented risk following pancreatic surgeries, especially in the setting of pancreatic cyst resections. Peripancreatic abscesses occur in a relatively small but significant number of patients, with studies indicating that a minority of patients who undergo pancreatic surgery develop such complications.11 Early recognition and management of these abscesses are critical to prevent further morbidity. In this case, the patient's abscess was managed with image-guided drainage, which is often the treatment of choice. The complication, though troubling, was resolved with conservative treatment, and the patient made a full recovery.12

The role of FNA in diagnosing MCNs is particularly noteworthy. Although the FNA in this case provided non-diagnostic results due to scant cellular material, it still played a pivotal role in directing clinical management. FNA is a valuable tool in diagnosing pancreatic cystic lesions, though its sensitivity for detecting malignant features in MCNs can be variable. Previous studies have demonstrated that while FNA can be instrumental in diagnosing MCNs, it is less reliable when the cysts are small or lack high-risk features such as solid components or nodularity.13 In this case, imaging findings and the patient's clinical symptoms played a more significant role in guiding the diagnosis and management, illustrating the importance of a multidisciplinary approach that includes radiology, endoscopy, and pathology. In addition to FNA in the diagnosis of pancreatic cystic lesions, cyst fluid tumor markers can also be used to further enhance diagnostic accuracy. Studies have reported that among the various fluid tumor markers (e.g., CEA, CA 72-4, CA 125, CA 19-9, and CA 15-3), the specific cyst fluid tumor marker CEA is the most accurate test available for diagnosing mucinous cystic lesions of the pancreas. This marker is more reliable than other fluid biomarkers and diagnostic measures such as EUS morphology and cytology.14,15 Such findings could help revolutionize and streamline the diagnostic work-up of mucinous cystic lesions of the pancreas, potentially leading to faster recovery times and reduced post-treatment complications.

The management of MCNs depends largely on their size, location, the presence of high-risk features, and the patient's clinical symptoms. As recommended by the American Gastroenterological Association guidelines, asymptomatic MCNs that are less than 3 cm and lack concerning features, such as pancreatic ductal dilation or elevated CA 19-9 levels, are generally managed with surveillance imaging every two to five years.16 In contrast, symptomatic MCNs, as in this case, or those with suspicious features on imaging, are typically treated surgically. The gold standard for surgical treatment of MCNs is distal pancreatectomy, and spleen-sparing techniques, like the one employed in this case, have been shown to reduce the risk of postoperative complications such as splenic infarction or thrombosis.17 The patient’s surgery went smoothly initially but was complicated by abscess formation, which, while not uncommon, underscores the need for vigilance and proper postoperative care.

In comparison to other pancreatic cystic lesions, such as IPMNs and serous cystadenomas (SCAs), MCNs are associated with a higher risk of malignancy, making them a key target for surgical resection when symptomatic or showing high-risk features. While IPMNs also produce mucin, they are located within the pancreatic ducts, which gives them a different clinical and management profile (Table 1). Unlike MCNs, which tend to be found in the body or tail of the pancreas, IPMNs can occur in any part of the pancreas, including the main pancreatic duct. This difference has significant implications for management, as IPMNs can cause ductal obstruction, jaundice, or pancreatitis, whereas MCNs typically do not involve the main pancreatic duct.18 Furthermore, IPMNs have a higher likelihood of progression to invasive carcinoma, particularly those with high-grade dysplasia or invasive features, necessitating more aggressive management strategies, including total pancreatectomy in some cases.19 A conservative approach is recommended for asymptomatic IPMNs measuring <40 mm without an enhancing nodule. Relative indications for surgery in IPMNs include a main pancreatic duct diameter between 5 and 9.9 mm or a cyst diameter ≥40 mm.20

Serous cystadenomas, on the other hand, are benign lesions that are less likely to develop into malignancy (Table 1). They are typically smaller, more commonly found in women over the age of 50, and do not usually produce mucin. Unlike MCNs and IPMNs, SCAs are often asymptomatic and are frequently discovered incidentally during imaging for other reasons. Though SCAs can grow large, they rarely become malignant, and surveillance with imaging is usually sufficient unless the cyst exceeds 10 cm or is associated with symptoms.21 This contrasts with MCNs, where even small increases in size, as seen in this case, can lead to significant clinical symptoms and the need for surgical intervention.

The postoperative care and follow-up in this case are crucial points that merit further discussion. Although the patient initially had an uncomplicated recovery, the development of a postoperative abscess led to further intervention. This highlights the importance of post-surgical surveillance, particularly in patients undergoing pancreatic resections. Imaging and clinical assessment should be performed routinely to monitor for complications such as abscess formation, pancreatic leaks, or pseudocyst development. In this case, the prompt recognition of the abscess and successful drainage were key to ensuring a favorable outcome for the patient. However, the need for continued monitoring and possible re-intervention remains a challenge for clinicians managing MCNs.22

The complexity of managing MCNs lies not only in diagnosis and treatment but also in post-surgical care. Surgical resection, though the standard treatment for symptomatic or high-risk MCNs, carries the potential for complications such as infection, leakage, and abscess formation, as demonstrated in this case. Long-term follow-up is essential to assess for recurrence or new complications.23 Furthermore, the role of adjuvant therapy in cases with malignant potential or concerning features on pathology is still an area of ongoing research. As such, personalized treatment strategies based on individual risk factors are crucial for achieving optimal outcomes in patients with MCNs.

This case highlights the importance of early diagnosis and appropriate management of MCNs, especially in patients presenting with symptoms. It emphasizes the role of comprehensive diagnostic imaging, careful surgical planning, and attentive postoperative care. While MCNs are frequently benign, their potential for malignancy makes surgical intervention a consideration in symptomatic cases or those exhibiting concerning features. This case illustrates some of the challenges and complexities involved in managing pancreatic cystic neoplasms, suggesting that a multidisciplinary approach to patient care may be beneficial.

This case report is limited by its single-patient nature, making it difficult to generalize findings to a broader population. The lack of a control group also restricts comparisons with other management strategies. Additionally, the reliance on specific diagnostic modalities may not reflect variations in clinical practice. The patient’s postoperative complications, such as a peri-pancreatic abscess, may not be representative of typical outcomes. Finally, the absence of long-term follow-up data limits the ability to assess recurrence or malignant transformation, warranting further studies with larger cohorts and extended follow-up.

Conclusions

This case underscores the critical need for heightened awareness and understanding of pancreatic cystic neoplasms in clinical practice. The management of these lesions is complex, as they range from benign to potentially malignant and present a variety of diagnostic and treatment challenges. The findings highlight the importance of a comprehensive diagnostic approach, including advanced imaging and histological analysis, to differentiate between the different types of pancreatic cystic neoplasms and assess their malignant potential. Furthermore, this case illustrates the need for personalized treatment strategies based on the patient's clinical presentation and the specific characteristics of the cyst. The potential for complications, even in seemingly straightforward cases, reinforces the necessity for careful postoperative monitoring and long-term follow-up care. Ultimately, the case emphasizes the importance of ongoing education and research to improve outcomes for patients with pancreatic cystic lesions, and it calls for continued collaboration across specialties to refine management strategies.

Declarations

Ethical statement

The study was carried out in accordance with the ethical standards of an ethics committee or institutional review board and with the Helsinki Declaration (as revised in 2013). Explicit written and verbal consent was obtained from the patient herself. The patient has given consent for the publication of the manuscript and the images.

Funding

There are no sources of funding for the data and figures that make up this manuscript.

Conflict of interest

There are no conflicts of interest to disclose for this manuscript.

Authors’ contributions

Study concept and design (CE, JR), acquisition of data (CE, JR, VW), analysis and interpretation of data (CE, JR, VW), drafting of the manuscript (CE), critical revision of the manuscript for important intellectual content (CE, VW, JR), administrative, technical, or material support (VW), and study supervision (VW). All authors have made significant contributions to this study and have approved the final manuscript.

References

  1. Din NU, Zubair M, Abdul-Ghafar J, et al. Pancreatic mucinous cystic neoplasms: A clinicopathological study of 11 cases and detailed review of literature. Surg Exp Pathol 2020;3:6 View Article
  2. Keegan MJ, Paranandi B. Diagnosis and management of pancreatic cystic neoplasms. Frontline Gastroenterol 2019;10(3):300-308 View Article PubMed/NCBI
  3. Garcea G, Ong SL, Rajesh A, et al. Cystic Lesions of the Pancreas. Pancreatology 2008;8(3):236-251 View Article PubMed/NCBI
  4. Zerboni G, Signoretti M, Crippa S, Falconi M, Arcidiacono PG, Capurso G. Systematic review and meta-analysis: Prevalence of incidentally detected pancreatic cystic lesions in asymptomatic individuals. Pancreatology 2019;19(1):2-9 View Article PubMed/NCBI
  5. Rogowska J, Semeradt J, Durko Ł, Małecka-Wojciesko E. Diagnostics and Management of Pancreatic Cystic Lesions-New Techniques and Guidelines. J Clin Med 2024;13(16):4644 View Article PubMed/NCBI
  6. Taya M, Hecht EM, Huang C, Lo GC. Pancreatic Cystic Lesions: Imaging Techniques and Diagnostic Features. Gastrointest Endosc Clin N Am 2023;33(3):497-518 View Article PubMed/NCBI
  7. Lévy P, Rebours V. The Role of Endoscopic Ultrasound in the Diagnosis of Cystic Lesions of the Pancreas. Visc Med 2018;34(3):192-196 View Article PubMed/NCBI
  8. Reddy RP, Smyrk TC, Zapiach M, Levy MJ, Pearson RK, Clain JE, et al. Pancreatic mucinous cystic neoplasm defined by ovarian stroma: demographics, clinical features, and prevalence of cancer. Clin Gastroenterol Hepatol 2004;2(11):1026-1031 View Article PubMed/NCBI
  9. Schubach A, Kothari S, Kothari T. Pancreatic Cystic Neoplasms: Diagnosis and Management. Diagnostics (Basel) 2023;13(2):207 View Article PubMed/NCBI
  10. Krishnamurthy G, Ganesan S, Ramas J, Radhakrishna P. Ruptured Mucinous Cystadenoma Pancreas: A Case Report and Review of Literature. Euroasian J Hepatogastroenterol 2021;11(1):45-48 View Article PubMed/NCBI
  11. Farrell JJ. Prevalence, Diagnosis and Management of Pancreatic Cystic Neoplasms: Current Status and Future Directions. Gut Liver 2015;9(5):571-589 View Article PubMed/NCBI
  12. Vege SS, Ziring B, Jain R, Moayyedi P, Clinical Guidelines Committee; American Gastroenterology Association. American gastroenterological association institute guideline on the diagnosis and management of asymptomatic neoplastic pancreatic cysts. Gastroenterology 2015;148(4):819-822 View Article PubMed/NCBI
  13. Hu F, Hu Y, Wang D, Ma X, Yue Y, Tang W, et al. Cystic Neoplasms of the Pancreas: Differential Diagnosis and Radiology Correlation. Front Oncol 2022;12:860740 View Article PubMed/NCBI
  14. Brugge WR, Lewandrowski K, Lee-Lewandrowski E, Centeno BA, Szydlo T, Regan S, et al. Diagnosis of pancreatic cystic neoplasms: a report of the cooperative pancreatic cyst study. Gastroenterology 2004;126(5):1330-1336 View Article PubMed/NCBI
  15. van der Waaij LA, van Dullemen HM, Porte RJ. Cyst fluid analysis in the differential diagnosis of pancreatic cystic lesions: a pooled analysis. Gastrointest Endosc 2005;62(3):383-389 View Article PubMed/NCBI
  16. Mohapatra S, Krishna SG, Pannala R. Pancreatic Cystic Neoplasms: Translating Guidelines into Clinical Practice. Diagnostics (Basel) 2023;13(4):749 View Article PubMed/NCBI
  17. Makuuchi M, Kokudo N, Popescu I, Belghiti J, Han HS, Takaori K, et al. The IASGO Textbook of Multi-Disciplinary Management of Hepato-Pancreato-Biliary Diseases. Singapore: Springer Nature Singapore; 2022 View Article
  18. Bansal A, Gupta P, Singh AK, Shah J, Samanta J, Mandavdhare HS, et al. Drainage of pancreatic fluid collections in acute pancreatitis: A comprehensive overview. World J Clin Cases 2022;10(20):6769-6783 View Article PubMed/NCBI
  19. Tanaka M, Fernández-del Castillo C, Adsay V, Chari S, Falconi M, Jang JY, et al. International consensus guidelines 2012 for the management of IPMN and MCN of the pancreas. Pancreatology 2012;12(3):183-97 View Article PubMed/NCBI
  20. European Study Group on Cystic Tumours of the Pancreas. European evidence-based guidelines on pancreatic cystic neoplasms. Gut 2018;67(5):789-804 View Article PubMed/NCBI
  21. Puri PM, Watkins AA, Kent TS, Maggino L, Jeganathan JG, Callery MP, et al. Decision-Making for the Management of Cystic Lesions of the Pancreas: How Satisfied Are Patients with Surgery?. J Gastrointest Surg 2018;22(1):88-97 View Article PubMed/NCBI
  22. Chen W, Ahmed N, Krishna SG. Pancreatic Cystic Lesions: A Focused Review on Cyst Clinicopathological Features and Advanced Diagnostics. Diagnostics (Basel) 2022;13(1):65 View Article PubMed/NCBI
  23. Walsh RM, Perlmutter BC, Adsay V, Reid MD, Baker ME, Stevens T, et al. Advances in the management of pancreatic cystic neoplasms. Curr Probl Surg 2021;58(6):100879 View Article PubMed/NCBI

About this Article

Cite this article
Enwere C, Wong V, Rieber J. Pancreatic Cystic Neoplasms: Diagnostic Challenges and Management Pathways Through Case-based Insights. J Transl Gastroenterol. 2025;3(2):108-112. doi: 10.14218/JTG.2024.00046.
Copy        Export to RIS        Export to EndNote
Article History
Received Revised Accepted Published
December 8, 2024 January 9, 2025 March 25, 2025 April 23, 2025
DOI http://dx.doi.org/10.14218/JTG.2024.00046
  • Journal of Translational Gastroenterology
  • eISSN 2994-8754
Back to Top

Pancreatic Cystic Neoplasms: Diagnostic Challenges and Management Pathways Through Case-based Insights

Chisom Enwere, Vivien Wong, Jonathan Rieber
  • Reset Zoom
  • Download TIFF