v
Search
Advanced

Publications > Journals > Journal of Clinical and Translational Pathology> Article Full Text

  • OPEN ACCESS

Expression of Carbonic Anhydrase IX as a Novel Diagnostic Marker for Differentiating Pleural Mesothelioma from Non-small Cell Lung Carcinoma

  • Tianle Zou1,2,
  • Zhonghua Liu3,4,
  • Elizabeth Brese3 and
  • Bo Xu1,3,* 
 Author information 

Abstract

Background and objectives

Mesothelioma is an aggressive tumor with a poor prognosis. Histological diagnosis of mesothelioma using limited tissue samples can be challenging. Carbonic anhydrase IX (CAIX) is a transmembrane protein that is overexpressed in a variety of solid tumors. This study aimed to investigate the clinical utility of CAIX expression in the differential diagnosis of pleural mesothelioma from non-small cell lung carcinoma (NSCLC).

Methods

Unstained tissue microarray slides composed of 56 cases of pleural mesothelioma and 82 cases of NSCLC were subjected to immunohistochemical staining using a mouse anti-human antibody against CAIX.

Results

Of the 38 epithelioid mesothelioma cases, 34 (89%) displayed diffuse and strong cytoplasmic membrane reactivity, while the remaining four cases (11%) showed weak to moderate staining in tumor cells. Five out of sixteen (5/16) sarcomatoid mesothelioma cases were negative. Among the non-small cell lung carcinoma cases, 76% (32/42) of adenocarcinomas and 57% (21/37) of squamous cell carcinomas were completely negative, whereas the remaining cases showed focal weak expression of CAIX.

Conclusions

Our study demonstrates that CAIX expression has a high sensitivity (100%) in detecting pleural epithelioid mesothelioma, which is comparable to or better than currently used mesothelial markers. The specificity of CAIX is within a comparable range to that of commonly used mesothelial markers for differentiating epithelioid mesothelioma from NSCLC. Therefore, we recommend that CAIX immunohistochemistry staining be considered as an additional tool for the differential diagnosis of mesothelioma, particularly pleural epithelioid mesothelioma, from its common mimicker, NSCLC.

Keywords

Mesothelioma, Non-small cell lung carcinoma, Carbonic anhydrase IX, Immunohistochemistry marker, Tissue microarray, Differential diagnosis

Introduction

Mesothelioma is an aggressive neoplasm that develops in the lining of internal organs and body cavities. The mortality rate of mesothelioma is high due to late diagnosis and resistance to treatment.1 Mesothelioma is histologically classified into epithelioid, sarcomatoid, and biphasic types.2,3 Epithelioid mesothelioma (EM) is characterized by polygonal, oval, or cuboidal cells with growth patterns that include tubulopapillary, trabecular, micropapillary, and solid, although less common patterns, such as adenomatoid, can also occur.4,5 The pathological diagnosis of mesothelioma is based on histomorphological features and immunohistochemical (IHC) staining, which can be challenging when tissue samples are limited. It is recommended that IHC workups include at least two mesothelial markers, in addition to markers for epithelial neoplasms, particularly for lung adenocarcinoma. The general recommendation is to select mesothelial markers with specificity and sensitivity greater than 80%.2,4 Currently, the commonly used markers to aid in the diagnosis of mesothelioma include calretinin, cytokeratin 5/6 (CK5/6), Wilms’ tumor 1 (WT1) and podoplanin (D2-40). However, the sensitivity and specificity of these markers vary in the diagnosis of mesothelioma from its histological mimickers.2 Although recent identification of molecular targets in mesothelioma, such as breast cancer gene (BRCA1) -associated protein 1 (60.0% sensitivity), methylthioadenosine phosphorylase (42.2% sensitivity), and merlin/nuclear factor 2 (NF2), has improved diagnostic accuracy in effusion specimens, particularly for confirming EM,6–8 most pathology labs have not yet adopted these new antibodies. Moreover, studies have shown that mesothelioma exhibits molecular diversity.9 Consequently, immunostaining for these markers can be time-consuming, and a negative result does not rule out a diagnosis of mesothelioma. Additional markers are needed to enhance diagnostic sensitivity for mesothelioma.10

Carbonic anhydrases are a group of ubiquitous, zinc-containing metalloenzymes that catalyze the reversible hydration of carbon dioxide.11 Carbonic anhydrase IX (CAIX) is one of the isoforms of carbonic anhydrases found on cell membranes and has been shown to play a critical role in tumor progression.12,13 CAIX is expressed at low levels in most normal tissues,14 but it is overexpressed in various solid or hypoxic tumors,15 the most common being clear cell renal cell carcinoma. Previous studies have demonstrated that high CAIX expression in tumor cells is associated with poor response to chemotherapy, increased lymph node involvement, and distant metastasis in patients with head and neck squamous cell carcinoma (SCC).16 In addition, CAIX has been reported as an independent marker for poor prognosis in patients with breast cancer and resectable hepatocellular carcinoma.17–19 Consequently, CAIX inhibitors have recently been considered for targeted therapies in cancer treatment.20,21 Recent studies have observed that CAIX is expressed in both mesothelioma and benign mesothelial cells.22–24 In our routine IHC workup for tumors of unknown origin, we found strong membrane staining of CAIX in pleural mesothelioma. However, the sensitivity and specificity of CAIX expression in diagnosing malignant mesothelioma and its differential diagnosis from histological mimickers are not well-evaluated. In this study, we conducted a large-scale investigation on pleural mesothelioma and non-small cell lung carcinoma (NSCLC) using tissue microarray (TMA) and IHC to examine the sensitivity and specificity of CAIX expression in these tumors.

Materials and methods

Case selection and TMA construction

A group of 56 pleural mesothelioma cases, which did not overlap with the six cases in our pilot study, and 82 cases of NSCLC were retrospectively collected over an 11-year period from 1993 to 2013 in the Department of Pathology at Roswell Park Comprehensive Cancer Institute, Buffalo, New York. Three punch cores from each case, as well as benign tissue from various organs, were used to assemble the TMA. The pleural mesothelioma TMA included 38 epithelioid-type, 16 sarcomatoid-type, and two desmoplastic-type cases. The NSCLC TMA was composed of 82 cases, including 42 adenocarcinomas, 37 SCC, two large cell lung carcinomas, and one pleomorphic carcinoma. For both TMAs, the patient’s gender, age, tumor grade, and location were recorded. All protocols for this study were approved by the Institutional Review Board at Roswell Park Comprehensive Cancer Center (Buffalo, NY).

IHC stains

TMA blocks were cut at 4 µm, placed on charged slides, and dried at 60°C for one hour. Slides were cooled to room temperature and added to the Dako Omnis autostainer, where they were deparaffinized with Clearify (American Mastertech; catalog #CACLEGAL) and rinsed in water. Flex TRS High (Dako; catalog #GV804) was used for target retrieval for 30 m. Slides were incubated with CAIX (rabbit polyclonal IgG, Santa Cruz #sc-25599) for 30 m at 1/50 (4 µg/mL IgG). Rabbit Linker (Dako #GV809) was applied for 10 m, followed by horseradish peroxidase (HRP) for 20 m (Dako #GV823). DAB (Diaminobenzidine) (Dako; catalog #K3468) was applied for 5 m for visualization. Slides were counterstained with Hematoxylin for 8 m and then placed into water. After removal from the Omnis, the slides were dehydrated, cleared, and coverslipped. TMA sections from both mesothelioma and NSCLC were subjected to hematoxylin and eosin (H&E) staining for confirmation of tumor presence and histological type.

IHC scoring and statistical analysis

Membranous staining of CAIX was considered positive expression in tumor cells, while cytoplasmic expression of CAIX in both tumor and stromal cells was considered negative (background) staining. The IHC scores were evaluated independently by two pathologists (ZL and TZ). The membranous staining intensity of CAIX (ranging from zero to three points) and the distribution (diffuse, patchy, or scant) of positive tumor cells were recorded. Diffuse CAIX expression was defined as membranous staining in ≥50% of tumor cells (three points), 11–49% as patchy positivity (two points), and <10% as scant positivity (one point). The final score was the product of the staining intensity multiplied by the distribution of membranous-positive tumor cells.

Results

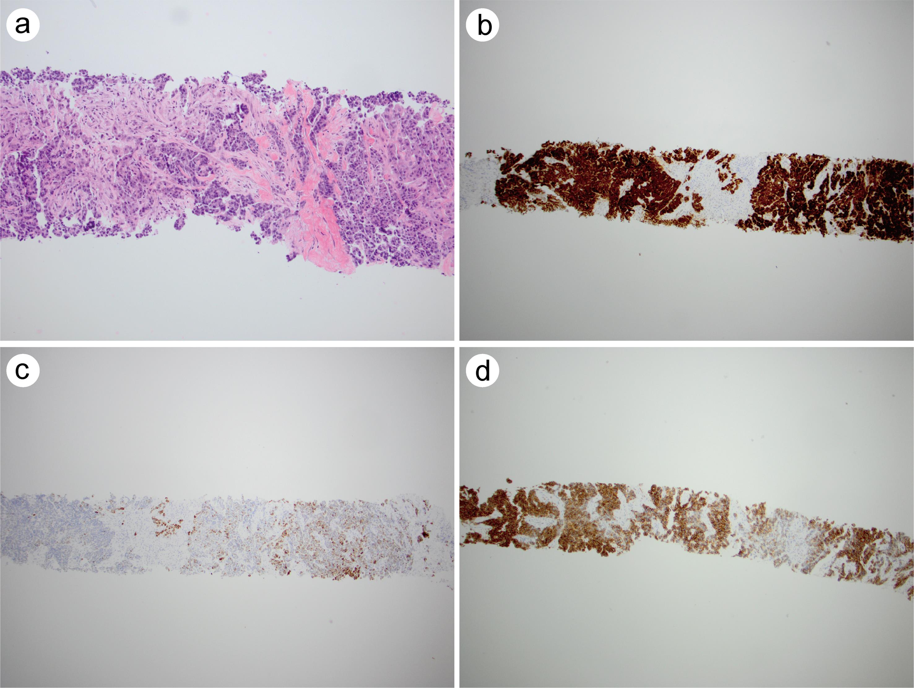
In a routine IHC workup for a tumor of unknown primary, we observed a strong membranous staining pattern of CAIX in pleural mesothelioma (index case). As illustrated in Figure 1, the intensity of IHC staining for CAIX in an EM is as strong as calretinin, one of the most commonly used mesothelial markers (Fig. 1b and d). Additionally, the CAIX reactivity is stronger than that of other mesothelial markers, such as CK5/6, in both intensity and the percentage of positive tumor cells (Fig. 1c). These findings prompted us to further investigate the sensitivity and specificity of CAIX in mesothelioma.

An index case of CAIX expression in epithelioid mesothelioma.
Fig. 1  An index case of CAIX expression in epithelioid mesothelioma.

(a) Hematoxylin and eosin (H&E) stain (100×) on a needle biopsy specimen showing clusters of epithelioid tumor cells in a fibrotic stroma. (b) Corresponding area to (a) with positive nuclear and cytoplasmic calretinin staining in tumor areas (40×). (c) CK5/6 shows patchy and moderately positive staining of tumor cells (40×). (d) CAIX staining is diffuse and strong in the tumor cells (40×). CAIX, carbonic anhydrase IX; CK5/6, cytokeratin 5/6.

The sensitivity of CAIX expression in mesotheliomas was evaluated on a TMA consisting of 56 mesothelioma cases using IHC staining. This TMA panel included 41 (73%) male and 15 (27%) female patients, with a median age of 66.5 years (range: 36 to 86 years). We found that all 38 cases of EM were positive for CAIX, with 89% (34/38) displaying diffuse and strong reactivity in tumor cells (Fig. 2). Eleven of sixteen (69%) sarcomatoid mesothelioma cases showed patchy, low-to-moderate expression levels of CAIX (Fig. 3). Two desmoplastic mesothelioma cases also showed weak positivity for CAIX (Fig. 2). There was no distinction in terms of expression level and staining patterns between mesothelioma and benign mesothelial cells.

Malignant mesothelioma tissue microarray immunostaining for CAIX.
Fig. 2  Malignant mesothelioma tissue microarray immunostaining for CAIX.

The y-axis represents the number of cases. The intensity of CAIX immunostaining is classified into strong & diffuse positivity (blue), weak-to-moderate positivity (red), and negative expressions (green). On the x-axis, CAIX, carbonic anhydrase IX; DM, desmoplastic mesothelioma; EM, epithelioid mesothelioma; IHC, immunohistochemical; SM, sarcomatoid mesothelioma.

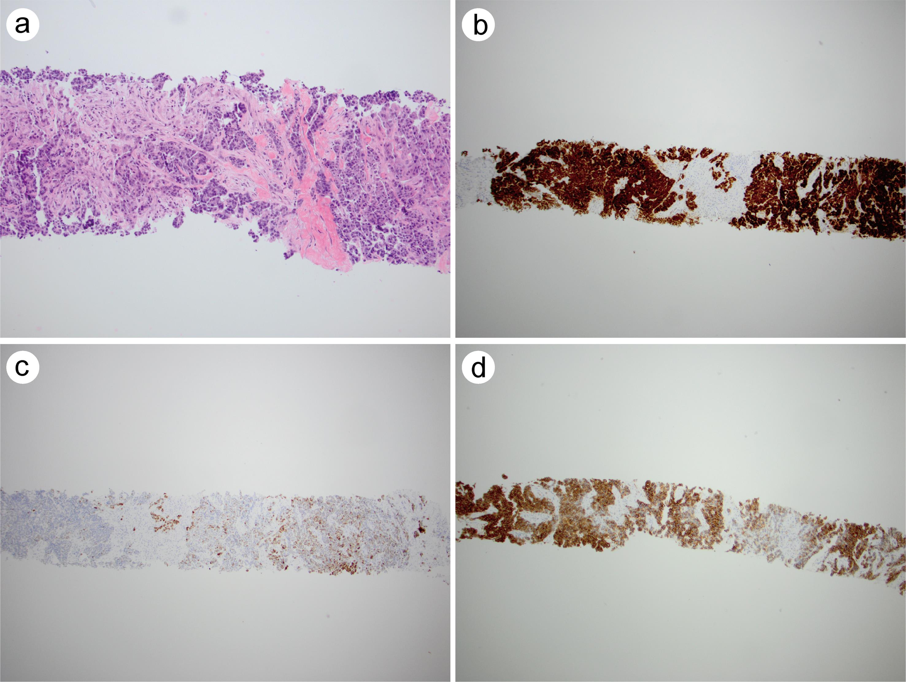
Immunohistochemical studies in a sarcomatoid mesothelioma.
Fig. 3  Immunohistochemical studies in a sarcomatoid mesothelioma.

(a) Hematoxylin and eosin (H&E) stain (100×) with inset (400×) showing spindle cell tumor in a pleura biopsy. (b) Corresponding area to (a). Calretinin immunohistochemical staining (100×) shows focal, weak-to-moderate staining (2+) of tumor cells; inset (400×). (c) D2-40 staining (100×) in the corresponding area to (a), and inset (400×), highlights rare tumor cells with weak staining (1+). (d) CAIX staining (100×) in the corresponding area to (a) and inset (400×) shows patchy staining. However, within these areas, the tumor cells exhibit strong, diffuse CAIX staining (3+). CAIX, carbonic anhydrase IX; D2-40, podoplanin.

The specificity of CAIX expression was assessed using a TMA comprising 82 NSCLC cases, including 40 (49%) male and 42 (51%) female patients, with a median age of 68 years (range: 16 to 86 years). In lung adenocarcinomas, 76% (32/42) of cases were completely negative for CAIX, while the remaining cases (24%) showed focal, low-to-moderate expression levels of CAIX. In SCC, 70% (26/37) of cases were negative, and 30% (11/37) showed focal weak staining of CAIX (Fig. 4). Large cell lung carcinoma (2/2) and pleomorphic carcinoma (1/1) cases were completely negative for CAIX. Figure 5 illustrates the negative staining of CAIX in one lung adenocarcinoma.

The specificity of CAIX immunostaining on TMA of non-small cell lung carcinoma.
Fig. 4  The specificity of CAIX immunostaining on TMA of non-small cell lung carcinoma.

The y-axis represents the percentage (%) of tumors that show negative reactivity in lung adenocarcinoma and squamous cell carcinoma, respectively. CAIX, carbonic anhydrase IX; TMA, tissue microarray.

Fig. 5  

Expression of CAIX in poorly differentiated lung adenocarcinoma. (a) Hematoxylin and eosin (H&E) stain (400×). Both epithelial markers, MOC31 (b, 400×) and BerEP4 (c, 400×), show strong diffuse positive staining, supporting the diagnosis of lung adenocarcinoma. (d) CAIX is completely negative in the tumor (20×). CAIX, carbonic anhydrase IX.

Discussion

The pathologic diagnosis of mesothelioma remains challenging, especially in limited tissue samples such as cytology and small biopsies.2 Current guidelines recommend demonstrating mesothelial origin by including at least two mesothelial markers and two epithelial markers with specificity and sensitivity greater than 80%.2,4 It is well understood that each commonly used mesothelial marker has potential pitfalls in terms of sensitivity and specificity. For example, calretinin is one of the most commonly used IHC markers, with nearly 100% sensitivity. However, its specificity is not as high, as approximately 40% of lung SCCs display at least focal reactivity to calretinin. CK5/6 is another useful mesothelial marker with 75–100% sensitivity, but nearly 100% of lung SCCs are also positive for CK5/6. D2-40 shows 90–100% sensitivity, but 50% of lung SCCs are positive for this marker. While WT1 is almost completely negative in lung SCC, its sensitivity is approximately 70–95%.2,25–27 Both CK5/6 and WT1 are negative in sarcomatoid mesothelioma, whereas calretinin and D2-40 may show positive expression in this subtype.28,29 Furthermore, studies have shown that sarcomatoid mesothelioma loses high molecular weight cytokeratin (HMWCK) expression but retains low molecular weight cytokeratin (LMWCK) expression.30 In recent years, new markers such as mesothelin, Fibulin-3, HMGB1 protein, aquaporins, and osteopontin have been explored for the diagnosis of mesothelioma. However, most are not yet applicable in clinical practice due to study controversies, limitations to higher-stage disease, or specific tissue types.31

It has been reported that high expression of CAIX is associated with poor prognosis in various malignancies, highlighting its importance in tumor progression.16,17,19 CAIX was initially detected by reverse transcriptase polymerase chain reaction, showing high expression in mesothelioma in pleural fluids.32 Subsequently, immunohistochemical studies revealed abundant expression of CAIX in both malignant mesothelioma and benign mesothelial cells.22–24 Kivelä et al.22 also reported high expression of CAIX in 27 cases of malignant pleural mesothelioma, although the percentage of positive cases was not provided. In our current study, we demonstrated that IHC staining of CAIX has high sensitivity (100%) in detecting pleural EM and 91% (51/56) across all types of pleural mesothelioma, which is equal to or better than that of commonly used mesothelioma markers. On the other hand, the majority (99%) of non-small cell lung carcinomas were either negative or weakly positive for CAIX, including 100% (42/42) of adenocarcinomas, 97% (36/37) of squamous cell carcinomas, 100% of large cell lung carcinomas (2/2), and 100% of pleomorphic carcinoma (1/1). Our data demonstrate that CAIX can be an additional biomarker to facilitate the differential diagnosis in some morphologically challenging cases, especially EM vs. lung adenocarcinoma when routine IHC markers showed inconclusive staining results.

The molecular mechanism and biological significance of CAIX expression in mesothelioma may be related to its key role in tumorigenesis, as hypoxia and acidosis are characteristic features of many tumors due to the lactic acid fermentation response to insufficient oxygen supply.12,13 Upregulated under hypoxia conditions, CAIX stabilizes pH levels, helping cancer cells adapt to the adverse acidic conditions in the tumor microenvironment.33 Consequently, CAIX has been identified as an adverse factor in several malignancies, including SCC of the head and neck and breast cancers, due to hypoxia and acidosis increasing the likelihood of resistance to chemoradiation therapies.34

One limitation of our study is that CAIX sensitivity was only tested on pleural mesothelioma. Additional evaluation of CAIX expression in mesotheliomas from peritoneal or other sites is needed. Further validation of TMA findings is also warranted in resection specimens, particularly for CAIX specificity in non-small cell lung cancers.

Conclusions

Our study demonstrated that immunohistochemical staining for CAIX has high sensitivity and specificity for pleural epithelioid mesothelioma. CAIX IHC staining can be a useful tool for the differential diagnosis of pleural mesothelioma from its common mimicker, NSCLC.

Declarations

Acknowledgement

We thank the Department of Pathology for supporting faculty research initiatives and the Pathology Network Shared Resource of Roswell Park Comprehensive Cancer Center for technical assistance.

Ethical statement

This study was carried out in accordance with the recommendations of the Helsinki Declaration (revised in 2013). The protocol was approved by the Institutional Review Board of Roswell Park Comprehensive Cancer Center (Buffalo, NY). Individual consent for this retrospective analysis was waived.

Data sharing statement

All data used to support the findings of this study are included in the article.

Funding

The authors have received no funding.

Conflict of interest

The authors declare no conflict of interest related to this publication.

Authors’ contributions

Conceptualization, methodology, final analysis, writing, review, and editing (BX), methodology, data curation and analysis, original draft, editing (TLZ), methodology, data curation and analysis (ZHL), methodology and editing (EB). All authors have approved the final manuscript.

References

  1. Janes SM, Alrifai D, Fennell DA. Perspectives on the Treatment of Malignant Pleural Mesothelioma. N Engl J Med 2021;385(13):1207-1218 View Article PubMed/NCBI
  2. Husain AN, Colby TV, Ordóñez NG, Allen TC, Attanoos RL, Beasley MB, et al. Guidelines for Pathologic Diagnosis of Malignant Mesothelioma 2017 Update of the Consensus Statement From the International Mesothelioma Interest Group. Arch Pathol Lab Med 2018;142(1):89-108 View Article PubMed/NCBI
  3. Dacic S. Pleural mesothelioma classification-update and challenges. Mod Pathol 2022;35(Suppl 1):51-56 View Article PubMed/NCBI
  4. Travis WD, Brambilla E, Burke AP, Marx A, Nicholson AG. WHO Classification of Tumours of the Lung, Pleura, Thymus and Heart, 4th Edition. Lyon: International Agency for Research on Cancers; 2015
  5. Schulte JJ, Husain AN. Updates on grading mesothelioma. Histopathology 2024;84(1):153-162 View Article PubMed/NCBI
  6. Kinoshita Y, Hida T, Hamasaki M, Matsumoto S, Sato A, Tsujimura T, et al. A combination of MTAP and BAP1 immunohistochemistry in pleural effusion cytology for the diagnosis of mesothelioma. Cancer Cytopathol 2018;126(1):54-63 View Article PubMed/NCBI
  7. Beasley MB, Galateau-Salle F, Dacic S. Pleural mesothelioma classification update. Virchows Arch 2021;478(1):59-72 View Article PubMed/NCBI
  8. Eccher A, Girolami I, Lucenteforte E, Troncone G, Scarpa A, Pantanowitz L. Diagnostic mesothelioma biomarkers in effusion cytology. Cancer Cytopathol 2021;129(7):506-516 View Article PubMed/NCBI
  9. Hung YP, Chirieac LR. Molecular and Immunohistochemical Testing in Mesothelioma and Other Mesothelial Lesions. Arch Pathol Lab Med 2024;148(5):e77-e89 View Article PubMed/NCBI
  10. Chapel DB, Hornick JL, Barlow J, Bueno R, Sholl LM. Clinical and molecular validation of BAP1, MTAP, P53, and Merlin immunohistochemistry in diagnosis of pleural mesothelioma. Mod Pathol 2022;35(10):1383-1397 View Article PubMed/NCBI
  11. Supuran CT. Carbonic anhydrase inhibitors. Bioorg Med Chem Lett 2010;20(12):3467-3474 View Article PubMed/NCBI
  12. Supuran CT. Carbonic anhydrases: novel therapeutic applications for inhibitors and activators. Nat Rev Drug Discov 2008;7(2):168-181 View Article PubMed/NCBI
  13. Neri D, Supuran CT. Interfering with pH regulation in tumours as a therapeutic strategy. Nat Rev Drug Discov 2011;10(10):767-777 View Article PubMed/NCBI
  14. Aldera AP, Govender D. Carbonic anhydrase IX: a regulator of pH and participant in carcinogenesis. J Clin Pathol 2021;74:350-354 View Article PubMed/NCBI
  15. Queen A, Bhutto HN, Yousuf M, Syed MA, Hassan MI. Carbonic anhydrase IX: A tumor acidification switch in heterogeneity and chemokine regulation. Semin Cancer Biol 2022;86(Pt 3):899-913 View Article PubMed/NCBI
  16. Tanaka N, Kato H, Inose T, Kimura H, Faried A, Sohda M, et al. Expression of carbonic anhydrase 9, a potential intrinsic marker of hypoxia, is associated with poor prognosis in oesophageal squamous cell carcinoma. Br J Cancer 2008;99(9):1468-1475 View Article PubMed/NCBI
  17. Tan EY, Yan M, Campo L, Han C, Takano E, Turley H, et al. The key hypoxia regulated gene CAIX is upregulated in basal-like breast tumours and is associated with resistance to chemotherapy. Br J Cancer 2009;100(2):405-411 View Article PubMed/NCBI
  18. Rezuchova I, Bartosova M, Belvoncikova P, Takacova M, Zatovicova M, Jelenska L, et al. Carbonic Anhydrase IX in Tumor Tissue and Plasma of Breast Cancer Patients: Reliable Biomarker of Hypoxia and Prognosis. Int J Mol Sci 2023;24(5):4325 View Article PubMed/NCBI
  19. Huang WJ, Jeng YM, Lai HS, Fong IU, Sheu FY, Lai PL, et al. Expression of hypoxic marker carbonic anhydrase IX predicts poor prognosis in resectable hepatocellular carcinoma. PLoS One 2015;10(3):e0119181 View Article PubMed/NCBI
  20. Kalinin S, Malkova A, Sharonova T, Sharoyko V, Bunev A, Supuran CT, et al. Carbonic Anhydrase IX Inhibitors as Candidates for Combination Therapy of Solid Tumors. Int J Mol Sci 2021;22(24):13405 View Article PubMed/NCBI
  21. Kciuk M, Gielecińska A, Mujwar S, Mojzych M, Marciniak B, Drozda R, et al. Targeting carbonic anhydrase IX and XII isoforms with small molecule inhibitors and monoclonal antibodies. J Enzyme Inhib Med Chem 2022;37(1):1278-1298 View Article PubMed/NCBI
  22. Kivelä AJ, Knuuttila A, Räsänen J, Sihvo E, Salmenkivi K, Saarnio J, et al. Carbonic anhydrase IX in malignant pleural mesotheliomas: a potential target for anti-cancer therapy. Bioorg Med Chem 2013;21(6):1483-1488 View Article PubMed/NCBI
  23. Capkova L, Koubkova L, Kodet R. Expression of carbonic anhydrase IX (CAIX) in malignant mesothelioma. An immunohistochemical and immunocytochemical study. Neoplasma 2014;61(2):161-169 View Article PubMed/NCBI
  24. Ananthanarayanan V, Tretiakova M, Husain AN, Krausz T, Antic T. Carbonic anhydrase IX (CAIX) does not differentiate between benign and malignant mesothelium. Am J Clin Pathol 2014;142(1):82-87 View Article PubMed/NCBI
  25. Amatya VJ, Kushitani K, Kai Y, Suzuki R, Miyata Y, Okada M, et al. Glypican-1 immunohistochemistry is a novel marker to differentiate epithelioid mesothelioma from lung adenocarcinoma. Mod Pathol 2018;31(5):809-815 View Article PubMed/NCBI
  26. Ordóñez NG. The immunohistochemical diagnosis of mesothelioma: a comparative study of epithelioid mesothelioma and lung adenocarcinoma. Am J Surg Pathol 2003;27(8):1031-1051 View Article PubMed/NCBI
  27. Tandon RT, Jimenez-Cortez Y, Taub R, Borczuk AC. Immunohistochemistry in Peritoneal Mesothelioma: A Single-Center Experience of 244 Cases. Arch Pathol Lab Med 2018;142(2):236-242 View Article PubMed/NCBI
  28. Monaco S, Mehrad M, Dacic S. Recent Advances in the Diagnosis of Malignant Mesothelioma: Focus on Approach in Challenging Cases and in Limited Tissue and Cytologic Samples. Adv Anat Pathol 2018;25(1):24-30 View Article PubMed/NCBI
  29. Chirieac LR, Pinkus GS, Pinkus JL, Godleski J, Sugarbaker DJ, Corson JM. The immunohistochemical characterization of sarcomatoid malignant mesothelioma of the pleura. Am J Cancer Res 2011;1(1):14-24 PubMed/NCBI
  30. Lucas DR, Pass HI, Madan SK, Adsay NV, Wali A, Tabaczka P, et al. Sarcomatoid mesothelioma and its histological mimics: a comparative immunohistochemical study. Histopathology 2003;42(3):270-279 View Article PubMed/NCBI
  31. Ledda C, Senia P, Rapisarda V. Biomarkers for Early Diagnosis and Prognosis of Malignant Pleural Mesothelioma: The Quest Goes on. Cancers (Basel) 2018;10(6):203 View Article PubMed/NCBI
  32. Li G, Passebosc-Faure K, Feng G, Lambert C, Cottier M, Gentil-Perret A, et al. MN/CA9: a potential gene marker for detection of malignant cells in effusions. Biomarkers 2007;12(2):214-220 View Article PubMed/NCBI
  33. Ward C, Meehan J, Gray M, Kunkler IH, Langdon SP, Argyle DJ. Carbonic Anhydrase IX (CAIX), Cancer, and Radiation Responsiveness. Metabolites 2018;8(1):13 View Article PubMed/NCBI
  34. Vaupel P. Tumor microenvironmental physiology and its implications for radiation oncology. Semin Radiat Oncol 2004;14(3):198-206 View Article PubMed/NCBI

About this Article

Cite this article
Zou T, Liu Z, Brese E, Xu B. Expression of Carbonic Anhydrase IX as a Novel Diagnostic Marker for Differentiating Pleural Mesothelioma from Non-small Cell Lung Carcinoma. J Clin Transl Pathol. 2024;4(3):99-105. doi: 10.14218/JCTP.2024.00029.
Copy        Export to RIS        Export to EndNote
Article History
Received Revised Accepted Published
July 23, 2024 September 24, 2024 September 25, 2024 September 25, 2024
DOI http://dx.doi.org/10.14218/JCTP.2024.00029
  • Journal of Clinical and Translational Pathology
  • pISSN 2993-5202
  • eISSN 2771-165X
Back to Top

Expression of Carbonic Anhydrase IX as a Novel Diagnostic Marker for Differentiating Pleural Mesothelioma from Non-small Cell Lung Carcinoma

Tianle Zou, Zhonghua Liu, Elizabeth Brese, Bo Xu
  • Reset Zoom
  • Download TIFF